Reproductive and Behavioral Evaluation of a New Immunocastration Dog Vaccine
Simple Summary
Abstract
1. Introduction
2. Materials and Methods
2.1. Vaccine Formula
2.1.1. Antigen
2.1.2. Adjuvant
2.2. Controlled Conditions Trials
2.2.1. Animals and Housing
2.2.2. Trial Duration
2.2.3. Vaccination and Blood Collection
2.2.4. Vaccine Safety
2.2.5. Establishing Immunoglobulin Production
2.2.6. Serum Testosterone Evaluation
2.2.7. Spermiogram Evaluation
2.3. Trial under Field Conditions
2.3.1. Histological Gonadal Changes Evaluation
2.3.2. Behavioral Evaluation
2.4. Statistical Analysis
3. Results
3.1. Safety
3.2. Controlled Conditions Trial
3.2.1. IgG Immunoglobulin and Serum Testosterone Production
3.2.2. Spermiogram Evaluation
3.3. Field Trial
3.3.1. IgG Immunoglobulin and Serum Testosterone Production
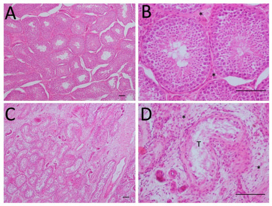
3.3.2. Histological Gonadal Changes
3.3.3. Behavioral Changes
4. Discussion
5. Conclusions
Author Contributions
Funding
Conflicts of Interest
References
- Morgan, M.; Palmer, J. Dog bites. BMJ 2007, 334, 413–417. [Google Scholar] [CrossRef] [PubMed]
- Otranto, D.; Dantas-Torres, F.; Breitschwerdt, E.B. Managing canine vector-borne diseases of zoonotic concern: Part one. Trends Parasitol. 2009, 25, 157–163. [Google Scholar] [CrossRef] [PubMed]
- Garde, E.; Pérez, G.E.; Vanderstichel, R.; Dalla Villa, P.F.; Serpell, J.A. Effects of surgical and chemical sterilization on the behavior of free-roaming male dogs in Puerto Natales, Chile. Prev. Vet. Med. 2016, 123, 106–120. [Google Scholar] [CrossRef] [PubMed]
- FAO. Dog Population Management; FAO: Banna, Italy, 2014. [Google Scholar]
- Ibarra, L.; Morales, M.A.; Acuña, P. Aspectos demográficos de la población de perros y gatos en la ciudad de Santiago, Chile. Av. en Ciencias Vet. 2003, 18, 1–2. [Google Scholar] [CrossRef]
- Bustamante, S.; Ibarra, L. Demografía en las Poblaciones de Perros y Gatos en la Comuna de Santiago, Universidad de Chile. 2008. Available online: www.repositorio.uchile.cl (accessed on 24 July 2019).
- Acosta-Jamett, G.; Cleaveland, S.; Cunningham, A.A.; Bronsvoort, B.M. Demography of domestic dogs in rural and urban areas of the Coquimbo region of Chile and implications for disease transmission. Prev. Vet. Med. 2010, 94, 272–281. [Google Scholar] [CrossRef]
- Palmer, C.; Pedersen, H.G.; Sandøe, P. Beyond Castration and Culling: Should We Use Non-surgical, Pharmacological Methods to Control the Sexual Behavior and Reproduction of Animals? J. Agric. Environ. Ethics 2018, 31, 197–218. [Google Scholar] [CrossRef]
- Donovan, C.; Greer, M.; Kutzler, M. Physiologic Responses Following Gonadotropin-Releasing Hormone Immunization in Intact Male Dogs. Reprod. Domest. Anim. 2012, 47, 403–405. [Google Scholar] [CrossRef]
- Root Kustritz, M. V Population Control in Small Animals. Vet. Clin. North Am. Small Anim. Pract. 2018, 48, 721–732. [Google Scholar] [CrossRef]
- Millar, R.P. GnRHs and GnRH receptors. Anim. Reprod. Sci. 2005, 88, 5–28. [Google Scholar] [CrossRef]
- Thompson, D.L. Immunization against GnRH in male species (comparative aspects). Anim. Reprod. Sci. 2000, 60–61, 459–469. [Google Scholar] [CrossRef]
- Brewster, V.; Nevel, A. Immunocastration with ImprovacTM reduces aggressive and sexual behaviours in male pigs. Appl. Anim. Behav. Sci. 2013, 145, 32–36. [Google Scholar] [CrossRef]
- Zamaratskaia, G.; Rasmussen, M.K. Immunocastration of Male Pigs–Situation Today. Procedia Food Sci. 2015, 5, 324–327. [Google Scholar] [CrossRef]
- Di Pasquale, J.; Nannoni, E.; Sardi, L.; Rubini, G.; Salvatore, R.; Bartoli, L.; Adinolfi, F.; Martelli, G. Towards the abandonment of surgical castration in pigs: How is immunocastration perceived by Italian consumers? Animals 2019, 9, 198. [Google Scholar] [CrossRef] [PubMed]
- Price, E.O.; Adams, T.E.; Huxsoll, C.C.; Borgwardt, R.E. Aggressive behavior is reduced in bulls actively immunized against gonadotropin-releasing hormone1. J. Anim. Sci. 2003, 81, 411–415. [Google Scholar] [CrossRef] [PubMed]
- Gómez, J.F.M.; Netto, A.S.; Antonelo, D.S.; Silva, J.; Sene, G.A.; Silva, H.B.; Dias, N.P.; Leme, P.R.; Silva, S.L. Effects of immunocastration on the performance and meat quality traits of feedlot-finished Bos indicus (Nellore) cattle. Anim. Prod. Sci. 2019, 59, 183. [Google Scholar] [CrossRef]
- Turkstra, J.A.; van der Meer, F.J.U.M.; Knaap, J.; Rottier, P.J.M.; Teerds, K.J.; Colenbrander, B.; Meloen, R.H. Effects of GnRH immunization in sexually mature pony stallions. Anim. Reprod. Sci. 2005, 86, 247–259. [Google Scholar] [CrossRef] [PubMed]
- Han, Y.-G.; Liu, G.-Q.; Jiang, X.-P.; Xiang, X.-L.; Huang, Y.-F.; Nie, B.; Zhao, J.-Y.; Nabeel, I.; Tesema, B. Reversibility and safety of KISS1 metastasis suppressor gene vaccine in immunocastration of ram lambs. Asian-Australas. J. Anim. Sci. 2018, 31, 835–841. [Google Scholar] [CrossRef]
- Sáenz, L.; Neira-Carrillo, A.; Paredes, R.; Cortés, M.; Bucarey, S.; Arias, J.L. Chitosan formulations improve the immunogenicity of a GnRH-I peptide-based vaccine. Int. J. Pharm. 2009, 369, 64–71. [Google Scholar] [CrossRef]
- Siel, D.; Vidal, S.; Sevilla, R.; Paredes, R.; Carvallo, F.; Lapierre, L.; Maino, M.; Pérez, O.; Sáenz, L. Effectiveness of an immunocastration vaccine formulation to reduce the gonadal function in female and male mice by Th1/Th2 immune response. Theriogenology 2016, 86, 1589–1598. [Google Scholar] [CrossRef]
- Siel, D.; Loaiza, A.; Vidal, S.; Caruffo, M.; Paredes, R.; Ramirez, G.; Lapierre, L.; Briceño, C.; Pérez, O.; Sáenz, L. The immune profile induced is crucial to determine the effects of immunocastration over gonadal function, fertility, and GnRH-I expression. Am. J. Reprod. Immunol. 2018, 79, e12772. [Google Scholar] [CrossRef]
- Yao, Z.; Si, W.; Tian, W.; Ye, J.; Zhu, R.; Li, X.; Ji, S.; Zheng, Q.; Liu, Y.; Fang, F. Effect of active immunization using a novel GnRH vaccine on reproductive function in rats. Theriogenology 2018, 111, 1–8. [Google Scholar] [CrossRef] [PubMed]
- Ghoneim, I.M.; Waheed, M.M.; Al-Eknah, M.M.; El-Bahr, S.M. Immunization against GnRH in the male camel (Camelus dromedarius): Effects on sexual behavior, testicular volume, semen characteristics and serum testosterone concentrations. Theriogenology 2012, 78, 1102–1109. [Google Scholar] [CrossRef] [PubMed]
- Levy, J.K.; Miller, L.A.; Cynda Crawford, P.; Ritchey, J.W.; Ross, M.K.; Fagerstone, K.A. GnRH immunocontraception of male cats. Theriogenology 2004, 62, 1116–1130. [Google Scholar] [CrossRef] [PubMed]
- Wang, C.; Zeng, Y.T.; Chen, X.Y.; Wu, Q.Y.; Yang, L.Q.; Xu, L.; Zhang, Y.; Qazi, I.H.; Zhou, G.B.; Zeng, C.J.; et al. Improvac induces immunocastration by affecting testosterone levels and disrupting spermatogenesis in male broiler chickens. Poult. Sci. 2019, 98, 6034–6045. [Google Scholar] [CrossRef]
- Walker, J.; Ghosh, S.; Pagnon, J.; Colantoni, C.; Newbold, A.; Zeng, W.; Jackson, D.C. Totally synthetic peptide-based immunocontraceptive vaccines show activity in dogs of different breeds. Vaccine 2007, 25, 7111–7119. [Google Scholar] [CrossRef]
- Liu, Y.; Tian, Y.; Zhao, X.; Jiang, S.; Li, F.; Zhang, Y.; Zhang, X.; Li, Y.; Zhou, J.; Fang, F. Immunization of dogs with recombinant GnRH-1 suppresses the development of reproductive function. Theriogenology 2015, 83, 314–319. [Google Scholar] [CrossRef]
- Bansal, A.; Gamal, W.; Wu, X.; Yang, Y.; Olson, V.; D’Souza, M.J. Evaluation of an adjuvanted hydrogel-based pDNA nanoparticulate vaccine for rabies prevention and immunocontraception. Nanomed. Nanotechnol. Biol. Med. 2019, 21, 102049. [Google Scholar] [CrossRef]
- Ferro, V.A.; Costa, R.; Carter, K.C.; Harvey, M.J.A.; Waterston, M.M.; Mullen, A.B.; Matschke, C.; Mann, J.F.S.; Colston, A.; Stimson, W.H. Immune responses to a GnRH-based anti-fertility immunogen, induced by different adjuvants and subsequent effect on vaccine efficacy. Vaccine 2004, 22, 1024–1031. [Google Scholar] [CrossRef]
- Kutzler, M.; Wood, A. Non-surgical methods of contraception and sterilization. Theriogenology 2006, 66, 514–525. [Google Scholar] [CrossRef]
- Purswell, B.J.; Kolster, K.A. Immunocontraception in companion animals. Theriogenology 2006, 66, 510–513. [Google Scholar] [CrossRef]
- Herbert, C.A.; Trigg, T.E. Applications of GnRH in the control and management of fertility in female animals. Anim. Reprod. Sci. 2005, 88, 141–153. [Google Scholar] [CrossRef] [PubMed]
- Van Loveren, H.; Van Amsterdam, J.G.; Vandebriel, R.J.; Kimman, T.G.; Rümke, H.C.; Steerenberg, P.S.; Vos, J.G. Vaccine-induced antibody responses as parameters of the influence of endogenous and environmental factors. Environ. Health Perspect. 2001, 109, 757–764. [Google Scholar] [CrossRef] [PubMed]
- Ajadi, T.; Oyeyemi, M. Short-term effects of a single dose of gonadotrophin releasing hormone (gnrh) vaccine on testicular and ejaculate characteristics of dogs. Bulg. J. Vet. Med. 2015, 18, 123–131. [Google Scholar] [CrossRef]
- Kempenaers, B.; Peters, A.; Foerster, K. Sources of individual variation in plasma testosterone levels. Philos. Trans. R. Soc. B Biol. Sci. 2008, 363, 1711–1723. [Google Scholar] [CrossRef] [PubMed]
- Rydhmer, L.; Lundström, K.; Andersson, K. Immunocastration reduces aggressive and sexual behaviour in male pigs. Animal 2010, 4, 965–972. [Google Scholar] [CrossRef] [PubMed]
- Zamaratskaia, G.; Rydhmer, L.; Andersson, H.K.; Chen, G.; Lowagie, S.; Andersson, K.; Lundström, K. Long-term effect of vaccination against gonadotropin-releasing hormone, using ImprovacTM, on hormonal profile and behaviour of male pigs. Anim. Reprod. Sci. 2008, 108, 37–48. [Google Scholar] [CrossRef] [PubMed]
- Janett, F.; Stump, R.; Burger, D.; Thun, R. Suppression of testicular function and sexual behavior by vaccination against GnRH (EquityTM) in the adult stallion. Anim. Reprod. Sci. 2009, 115, 88–102. [Google Scholar] [CrossRef][Green Version]





| Parameter | Dog 1 | Dog 2 | Dog 3 | Dog 4 | Dog 5 | Dog 6 | Dog 7 | Control 1 | Control 2 |
|---|---|---|---|---|---|---|---|---|---|
| Forward motility | 70 * | 75 | 88 | 75 | 97 | 70 * | 0 * | 95 | 95 |
| Sperm vitality | 98 | 90 | 95 | 95 | 98 | 89 | 0 * | 98 | 98 |
| Normal morphology | >98 | 70 * | >95 | >98 | >98 | 60 * | 0 * | 95 | 95 |
| Sperm concentration | 135 | 50 * | 49 * | 110 * | 350 | 72 * | 0 * | 149 | 152 |
© 2020 by the authors. Licensee MDPI, Basel, Switzerland. This article is an open access article distributed under the terms and conditions of the Creative Commons Attribution (CC BY) license (http://creativecommons.org/licenses/by/4.0/).
Share and Cite
Siel, D.; Ubilla, M.J.; Vidal, S.; Loaiza, A.; Quiroga, J.; Cifuentes, F.; Hardman, T.; Lapierre, L.; Paredes, R.; Sáenz, L. Reproductive and Behavioral Evaluation of a New Immunocastration Dog Vaccine. Animals 2020, 10, 226. https://doi.org/10.3390/ani10020226
Siel D, Ubilla MJ, Vidal S, Loaiza A, Quiroga J, Cifuentes F, Hardman T, Lapierre L, Paredes R, Sáenz L. Reproductive and Behavioral Evaluation of a New Immunocastration Dog Vaccine. Animals. 2020; 10(2):226. https://doi.org/10.3390/ani10020226
Chicago/Turabian StyleSiel, Daniela, María José Ubilla, Sonia Vidal, Alexandra Loaiza, John Quiroga, Federico Cifuentes, Timothy Hardman, Lisette Lapierre, Rodolfo Paredes, and Leonardo Sáenz. 2020. "Reproductive and Behavioral Evaluation of a New Immunocastration Dog Vaccine" Animals 10, no. 2: 226. https://doi.org/10.3390/ani10020226
APA StyleSiel, D., Ubilla, M. J., Vidal, S., Loaiza, A., Quiroga, J., Cifuentes, F., Hardman, T., Lapierre, L., Paredes, R., & Sáenz, L. (2020). Reproductive and Behavioral Evaluation of a New Immunocastration Dog Vaccine. Animals, 10(2), 226. https://doi.org/10.3390/ani10020226

