Ultrasonic Cutting of Frozen Semen Straws to Optimize the Use of Spermatozoa for In Vitro Fertilization
Abstract
Simple Summary
Abstract
1. Introduction
2. Materials and Methods
2.1. Animals and Ethics Statement
2.2. Frozen Bovine Semen and Semen Motility Assay
2.3. Bovine Semen Collection, Dilution, and Freezing
2.4. Ultrasonic Cutting and Thawing of the Frozen Semen Straw
2.5. Acrosome Analysis by CBB Staining
2.6. In Vitro Fertilization of Bovine Oocytes with Sperm from the Ultrasonic Cuttings of Frozen Semen
2.7. Statistical Analysis
3. Results
3.1. Effects of Ultrasonic Cutting on Spermatozoa Motility
3.2. Effects of Ultrasonic Cutting on Acrosome Integrity
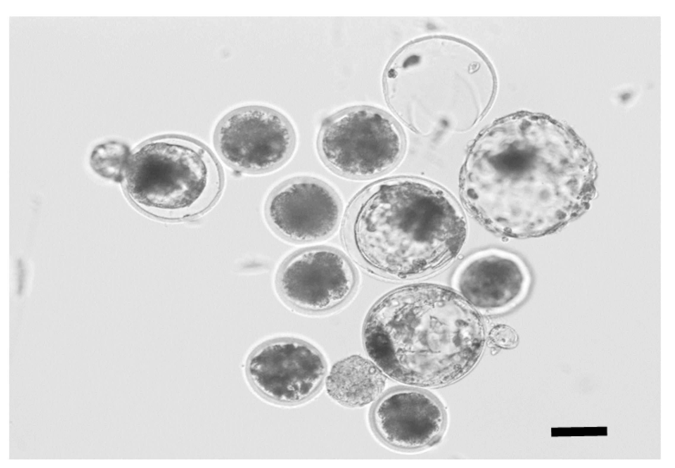
3.3. IVF Using the Spermatozoa from 1/4 Cuttings of Frozen Semen
4. Discussion
5. Conclusions
Author Contributions
Funding
Conflicts of Interest
References
- Parrish, J.J. Bovine in vitro fertilization: In vitro oocyte maturation and sperm capacitation with heparin. Theriogenology 2014, 81, 67–73. [Google Scholar] [CrossRef] [PubMed]
- Hasler, J. Forty years of embryo transfer in cattle: A review focusing on the journal Theriogenology, the growth of the industry in North America, and personal reminisces. Theriogenology 2014, 81, 152–169. [Google Scholar] [CrossRef] [PubMed]
- Bousquet, D.; Twagiramungu, H.; Morin, N.; Brisson, C.; Carboneau, G.; Durocher, J. In vitro embryo production in the cow: An effective alternative to the conventional embryo production approach. Theriogenology 1999, 51, 59–70. [Google Scholar] [CrossRef]
- Andrabi, S.M.; Maxwell, W.M. A review on reproductive biotechnologies for conservation of endangered mammalian species. Anim. Reprod. Sci. 2007, 99, 223–243. [Google Scholar] [CrossRef] [PubMed]
- Arav, A. Cryopreservation of oocytes and embryos. Theriogenology 2014, 81, 96–102. [Google Scholar] [CrossRef] [PubMed]
- Amstislavsky, S.Y.; Brusentsev, E.Y.; Okotrub, K.A.; Rozhkova, I.N. Embryo and gamete cryopreservation for genetic resources conservation of laboratory animals. Russ. J. Dev. Biol. 2015, 46, 47–59. [Google Scholar] [CrossRef]
- Henkel, R.; MAAß, G.; Bödeker, R.H.; Scheibelhut, C.; Stalf, T.; Mehnert, C.; Schuppe, H.C.; Jung, A.; Schill, W.B. Sperm function and assisted reproduction technology. Reprod. Med. Biol. 2005, 7, 7–30. [Google Scholar]
- Sukcharoen, N.; Keith, J. Evaluation of the percentage of sperm motility at 24 h and sperm survival ratio for prediction of in vitro fertilization. Andrologia 1996, 28, 203–210. [Google Scholar] [CrossRef] [PubMed]
- D’Angelo, A.; Panayotidis, C.; Amso, N.; Marci, R.; Matorras, R.; Onofriescu, M.; Turp, A.B.; Vandekerckhove, F.; Veleva, Z.; Vermeulen, N.; et al. Recommendations for good practice in ultrasound: Oocyte pick up. Hum. Reprod. Open 2019, 2019, hoz025. [Google Scholar] [PubMed]
- Paul, F.; Obajimi, G.O.; Kolade, C.O. Is semen analysis without strict criteria misleading decision in IVF? A prospective systematic study. Int. J. Reprod. Biomed. 2018, 16, 459–462. [Google Scholar] [CrossRef] [PubMed]
- Lohuis, M.M. Potential benefits of bovine embryo-manipulation technologies to genetic improvement programs. Theriogenology 1995, 43, 51–60. [Google Scholar] [CrossRef]
- Juga, J.; Mäki-Tanila, A. Genetic Change in a Nucleus Breeding Dairy Herd Using Embryo Transfer Pages. Acta Agric. Scand. 1987, 37, 511–519. [Google Scholar] [CrossRef]
- Benoff, S.; Hauser, R.; Marmar, J.L.; Hurley, I.R.; Napolitano, B.; Centola, G.M. Cadmium concentrations in blood and seminal plasma: Correlations with sperm number and motility in three male populations (infertility patients, artificial insemination donors, and unselected volunteers). Mol. Med. 2009, 15, 248–262. [Google Scholar] [CrossRef] [PubMed]
- Harris, A.L.; Vanegas, J.C.; Hariton, E.; Bortoletto, P.; Palmor, M.; Humphries, L.A.; Tanrikut, C.; Chavarro, J.E.; Styer, A.K. Semen parameters on the day of oocyte retrieval predict low fertilization during conventional insemination IVF cycles. J. Assist. Reprod. Genet 2019, 36, 291–298. [Google Scholar] [CrossRef] [PubMed]
- Tartaglione, C.M.; Ritta, M.N. Prognostic value of spermatological parameters as predictors of in vitro fertility of frozen-thawed bull semen. Theriogenology 2004, 62, 1245–1252. [Google Scholar] [CrossRef] [PubMed]
- Arnold, G.; Leiteritz, L.; Zahn, S.; Rohm, H. Ultrasonic cutting of cheese: Composition affects cutting work reduction and energy demand. Int. Dairy J. 2009, 19, 314–320. [Google Scholar] [CrossRef]
- Zahn, S.; Schneider, Y.; Zucker, G.; Rohm, H. Impact of excitation and material parameters on the efficiency of ultrasonic cutting of bakery products. J. Food Sci. 2005, 70, E510–E513. [Google Scholar] [CrossRef]
- Rawson, F.F. Ultrasonic Technology in Today’s Industry. Phys. Bull. 1987, 38, 255–257. [Google Scholar] [CrossRef]
- Kassner, M.E.; Smith, K. Low temperature creep plasticity. J. Mater. Res. Technol. 2014, 3, 280–288. [Google Scholar] [CrossRef]




| Cutting Treatment | Concentration (×106/mL) | % of Spermatozoa | ||
|---|---|---|---|---|
| Motile | Hyperactive | Slow | ||
| Control | 115.1 ± 2.0 | 84.9 ± 1.6 | 68.5 ± 3.1 | 16.5 ± 1.9 |
| 1/2-H | 48.7 ± 7.9 * | 77.8 ± 0.6 * | 61.1 ± 3.6 * | 16.8 ± 4.2 |
| 1/2-L | 119.0 ± 24.5 | 88.2 ± 1.5 | 77.4 ± 4.2 ** | 10.8 ± 5.1 |
| 1/3-H | 94.5 ± 4.6 * | 76.8 ± 2.5 * | 64.7 ± 5.9 * | 12.1 ± 4.7 |
| 1/3-M | 86.3 ± 22.9 * | 72.7 ± 1.9 * | 61.7 ± 0.7 * | 11.0 ± 1.6 * |
| 1/3-L | 143.9 ± 25.0 | 88.4 ± 1.3 | 78.4 ± 1.4 ** | 10.0 ± 2.6 * |
| Cutting Treatment | % of Spermatozoa | ||
|---|---|---|---|
| Intact | Reacting | Reacted | |
| Control | 75.4 ± 3.0 | 20.9 ± 2.5 | 3.8 ± 0.6 |
| 1/2-H | 70.6 ± 13.8 | 19.6 ± 8.6 | 9.8 ± 5.3 |
| 1/2-L | 77.6 ± 4.4 | 17.1 ± 2.8 | 5.3 ± 2.0 |
| 1/3-H | 67.5 ± 7.6 | 21.8 ± 7.4 | 10.7 ± 0.4 * |
| 1/3-M | 71.6 ± 2.4 | 14.5 ± 4.5 | 13.9 ± 2.2 * |
| 1/3-L | 78.2 ± 4.5 | 17.8 ± 2.8 | 4.0 ± 1.8 |
| Cutting Treatment | n | % of Spermatozoa | ||
|---|---|---|---|---|
| Cleaved | Morula | Blastocyst | ||
| Control | 66 | 54.5 ± 11.2 | 30.2 ± 6.3 | 22.6 ± 3.5 |
| 1/4-H | 71 | 60.1 ± 13.1 | 28.2 ± 15.6 | 20.0 ± 6.3 |
| 1/4-L | 69 | 53.3 ± 20.7 | 36.8 ± 10.0 | 26.2 ± 2.3 |
Publisher’s Note: MDPI stays neutral with regard to jurisdictional claims in published maps and institutional affiliations. |
© 2020 by the authors. Licensee MDPI, Basel, Switzerland. This article is an open access article distributed under the terms and conditions of the Creative Commons Attribution (CC BY) license (http://creativecommons.org/licenses/by/4.0/).
Share and Cite
Kim, S.W.; Lee, J.-Y.; Kim, B.; Kim, C.-L.; Hwang, I.-S.; Ko, Y.-G.; Lee, S.-S. Ultrasonic Cutting of Frozen Semen Straws to Optimize the Use of Spermatozoa for In Vitro Fertilization. Animals 2020, 10, 2152. https://doi.org/10.3390/ani10112152
Kim SW, Lee J-Y, Kim B, Kim C-L, Hwang I-S, Ko Y-G, Lee S-S. Ultrasonic Cutting of Frozen Semen Straws to Optimize the Use of Spermatozoa for In Vitro Fertilization. Animals. 2020; 10(11):2152. https://doi.org/10.3390/ani10112152
Chicago/Turabian StyleKim, Sung Woo, Jae-Yeong Lee, Bongki Kim, Chan-Lan Kim, In-Sul Hwang, Yeoung-Gyu Ko, and Sung-Soo Lee. 2020. "Ultrasonic Cutting of Frozen Semen Straws to Optimize the Use of Spermatozoa for In Vitro Fertilization" Animals 10, no. 11: 2152. https://doi.org/10.3390/ani10112152
APA StyleKim, S. W., Lee, J.-Y., Kim, B., Kim, C.-L., Hwang, I.-S., Ko, Y.-G., & Lee, S.-S. (2020). Ultrasonic Cutting of Frozen Semen Straws to Optimize the Use of Spermatozoa for In Vitro Fertilization. Animals, 10(11), 2152. https://doi.org/10.3390/ani10112152

