Gene Analysis, Cloning, and Heterologous Expression of Protease from a Micromycete Aspergillus ochraceus Capable of Activating Protein C of Blood Plasma
Abstract
:1. Introduction
2. Materials and Methods
2.1. Microorganism and Growth Conditions
2.2. cDNA Sequencing and Cloning of PAPC-4104
2.3. In Silico Protein Analysis
2.4. Alignments and Phylogeny
2.5. Construction of the Expression Plasmid
2.6. Expression and Purification of Recombinant PAPC-4104
2.7. Purification of Native PAPC-4104
2.8. Enzyme Activity Assays
2.9. General Analytical Methods
3. Results
3.1. Gene Organization and Protein Sequence
3.2. Tertiary Structure and Active Site Residue
3.3. Phylogeny and Evolution
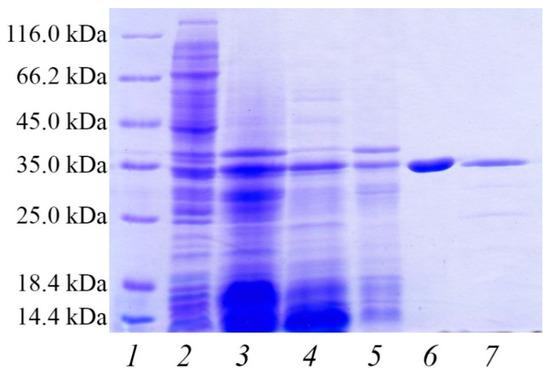
3.4. Properties of the Recombinant PAPC-4104
4. Discussion
Supplementary Materials
Author Contributions
Funding
Institutional Review Board Statement
Informed Consent Statement
Data Availability Statement
Conflicts of Interest
References
- Altaf, F.; Wu, S.; Kasim, V. Role of fibrinolytic enzymes in anti-thrombosis therapy. Front. Mol. Biosci. 2021, 8, 680397. [Google Scholar] [CrossRef]
- Kumar, S.S.; Sabu, A. Fibrinolytic enzymes for thrombolytic therapy. Adv. Exp. Med. Biol. 2019, 1148, 345–381. [Google Scholar] [CrossRef] [PubMed]
- Kotb, E. The biotechnological potential of fibrinolytic enzymes in the dissolution of endogenous blood thrombi. Biotechnol. Prog. 2014, 30, 656–672. [Google Scholar] [CrossRef] [PubMed]
- Osmolovskiy, A.A.; Kreier, V.G.; Kurakov, A.V.; Baranova, N.A.; Egorov, N.S. Aspergillus ochraceus micromycetes-producers of extracellular proteinases-protein C activators of blood plasma. Appl. Biochem. Microbiol. 2012, 48, 537–542. [Google Scholar] [CrossRef]
- Osmolovsky, A.A.; Kreier, V.G.; Baranova, N.A.; Kurakov, A.V.; Egorov, N.S. Production of extracellular proteinases-protein C activators of blood plasma-by the micromycete Aspergillus ochraceus during submerged and solid-state fermentation. Appl. Biochem. Microbiol. 2013, 49, 580–586. [Google Scholar] [CrossRef]
- Bouwens, E.A.M.; Stavenuiter, F.; Mosnier, L.O. Mechanisms of anticoagulant and cytoprotective actions of the protein C pathway. J. Thromb. Haemost. 2013, 11, 242–253. [Google Scholar] [CrossRef] [PubMed] [Green Version]
- Mohammed, S.; Favaloro, E.J. Laboratory testing for activated protein C resistance (APCR). Methods Mol. Biol. 2017, 1646, 137–143. [Google Scholar] [CrossRef] [PubMed] [Green Version]
- Chen, K.; Stafford, A.R.; Wu, C.; Yeh, C.H.; Kim, P.Y.; Fredenburgh, J.C.; Weitz, J.I. Exosite 2-directed ligands attenuate protein C activation by the thrombin-thrombomodulin complex. Biochemistry 2017, 56, 3119–3128. [Google Scholar] [CrossRef]
- Asmat, A.; Ramzan, F. Venom protein C activators as diagnostic agents for defects of protein C system. Protein Pept. Lett. 2018, 25, 643–651. [Google Scholar] [CrossRef]
- Gempeler-Messina, P.M.; Volz, K.; Bühler, B.; Müller, C. Protein C activators from snake venoms and their diagnostic use. Haemostasis 2001, 31, 266–272. [Google Scholar] [CrossRef]
- Osmolovskiy, A.A.; Kreyer, V.G.; Baranova, N.A.; Kurakov, A.V.; Egorov, N.S. Properties of extracellular proteinase—an activator of protein C in blood plasma formed by Aspergillus ochraceus. Appl. Biochem. Microbiol. 2015, 51, 86–92. [Google Scholar] [CrossRef]
- Osmolovskiy, A.A.; Orekhova, A.V.; Kreyer, V.G.; Baranova, N.A.; Egorov, N.S. Possibility of application of extracellular protease of micromycete Aspergillus ochraceus VKM F-4104D for determination of protein C content in human blood plasma. Biomed. Khim 2018, 64, 115–118. [Google Scholar] [CrossRef]
- Bushmanova, E.; Antipov, D.; Lapidus, A.; Prjibelski, A.D. RnaSPAdes: A de novo transcriptome assembler and its application to RNA-Seq data. GigaScience 2019, 8, 1–13. [Google Scholar] [CrossRef] [Green Version]
- Rawlings, N.D.; Barrett, A.J.; Thomas, P.D.; Huang, X.; Bateman, A.; Finn, R.D. The MEROPS database of proteolytic enzymes, their substrates and inhibitors in 2017 and a comparison with peptidases in the PANTHER database. Nucleic Acids Res. 2018, 46, 624–632. [Google Scholar] [CrossRef] [PubMed]
- Zimmermann, L.; Stephens, A.; Nam, S.Z.; Rau, D.; Kübler, J.; Lozajic, M.; Gabler, F.; Söding, J.; Lupas, A.N.; Alva, V. A Completely Reimplemented MPI Bioinformatics Toolkit with a New HHpred Server at its Core. J. Mol. Biol. 2018, 15, 2237–2243. [Google Scholar] [CrossRef] [PubMed]
- Jumper, J.; Evans, R.; Pritzel, A.; Green, T.; Figurnov, M.; Ronneberger, O.; Tunyasuvunakool, K.; Bates, R.; Žídek, A.; Potapenko, A.; et al. Highly accurate protein structure prediction with AlphaFold. Nature 2021, 596, 583–589. [Google Scholar] [CrossRef]
- The PyMOL Molecular Graphics System, Version 2.0 Schrödinger, LLC.
- Uziela, K.; Hurtado, D.; Shu, N.; Wallner, B.; Elofsson, A. ProQ3D: Improved model quality assessments using Deep Learning. Bioinformatics 2017, 33, 1578–1580. [Google Scholar] [CrossRef] [PubMed] [Green Version]
- McGuffin, L.; Aldowsari, F.; Alharbi, S.; Adiyaman, R. ModFOLD8: Accurate global and local quality estimates for 3D protein models. Nucleic Acids Res. 2021, 49, W425–W430. [Google Scholar] [CrossRef]
- Kearse, M.; Moir, R.; Wilson, A.; Stones-Havas, S.; Cheung, M.; Sturrock, S.; Buxton, S.; Cooper, A.; Markowitz, S.; Duran, C.; et al. Geneious Basic: An integrated and extendable desktop software platform for the organization and analysis of sequence data. Bioinformatics 2012, 28, 1647–1649. [Google Scholar] [CrossRef]
- Sievers, F.; Wilm, A.; Dineen, D.; Gibson, T.J.; Karplus, K.; Li, W.; Lopez, R.; McWilliam, H.; Remmert, M.; Söding, J.; et al. Fast, scalable generation of high quality protein multiple sequence alignments using Clustal Omega. Mol. Syst. Biol. 2011, 7, 539. [Google Scholar] [CrossRef] [PubMed]
- Stamatakis, A. RAxML version 8: A tool for phylogenetic analysis and post-analysis of large phylogenies. Bioinformatics 2014, 30, 1312–1313. [Google Scholar] [CrossRef] [PubMed]
- Komarevtsev, S.K.; Popova, E.A.; Kreyer, V.G.; Miroshnikov, K.A.; Osmolovskiy, A.A. Purification of the protease activator of protein C of human blood plasma produced by the micromycete Aspergillus ochraceus VKM F-4104D. Appl. Biochem. Microbiol. 2020, 56, 39–44. [Google Scholar] [CrossRef]
- Morya, V.K.; Yadav, S.; Kim, E.K.; Yadav, D. In silico characterization of alkaline proteases from different species of Aspergillus. Appl. Biochem. Biotechnol. 2012, 166, 243–257. [Google Scholar] [CrossRef] [PubMed]
- Morya, V.K.; Yadav, V.K.; Yadav, S.; Yadav, D. Active site characterization of proteases sequences from different species of Aspergillus. Cell Biochem. Biophys. 2016, 74, 327–335. [Google Scholar] [CrossRef] [PubMed]
- Rawlings, N.D.; Barrett, A.J. Families of serine peptidases. Methods Enzymol. 1994, 244, 19–61. [Google Scholar] [CrossRef] [PubMed]
- Bryan, P.N. Prodomains and protein folding catalysis. Chem. Rev. 2002, 102, 4805–4816. [Google Scholar] [CrossRef] [PubMed]
- Eder, J.; Fersht, A.R. Pro-sequence-assisted protein folding. Mol. Microbiol. 1995, 16, 609–614. [Google Scholar] [CrossRef]
- Von Heijne, G. Signal sequences. The limits of variation. J. Mol. Biol. 1985, 184, 99–105. [Google Scholar] [CrossRef]
- Dodson, G.; Wlodawer, A. Catalytic triads and their relatives. Trends Biochem. Sci. 1998, 23, 347–352. [Google Scholar] [CrossRef]
- Siezen, R.J.; Leunissen, J.A. Subtilases: The superfamily of subtilisin-like serine proteases. Protein Sci. 1997, 6, 501–523. [Google Scholar] [CrossRef]
- Liang, L.; Meng, Z.; Ye, F.; Yang, J.; Liu, S.; Sun, Y.; Guo, Y.; Mi, Q.; Huang, X.; Zou, C.; et al. The crystal structures of two cuticle–degrading proteases from nematophagous fungi and their contribution to infection against nematodes. FASEB J. 2010, 24, 1391–1400. [Google Scholar] [CrossRef]
- Siezen, R.J.; De Vos, W.M.; Leunissen, J.A.; Dijkstra, B.W. Homology modelling and protein engineering strategy of subtilases, the family of subtilisin-like serine proteinases. Protein Eng. Des. Sel. 1991, 4, 719–737. [Google Scholar] [CrossRef]
- Muszewska, A.; Stepniewska-Dziubinska, M.M.; Steczkiewicz, K.; Pawlowska, J.; Dziedzic, A.; Ginalski, K. Fungal lifestyle reflected in serine protease repertoire. Sci. Rep. 2017, 7, 9147. [Google Scholar] [CrossRef] [Green Version]
- Gunkel, F.A.; Gassen, H.G. Proteinase K from Tritirachium album Limber Characterization of the chromosomal gene and expression of the cDNA in Escherichia coli. Eur. J. Biochem. 1989, 179, 185–194. [Google Scholar] [CrossRef]
- Jaton-Ogay, K.; Suter, M.; Crameri, R.; Falchetto, R.; Fatih, A.; Monod, M. Nucleotide sequence of a genomic and a cDNA clone encoding an extracellular alkaline protease of Aspergillus fumigatus. FEMS Microbiol. Lett. 1992, 71, 163–168. [Google Scholar] [CrossRef]
- Tatsumi, H.; Ogawa, Y.; Murakami, S.; Ishida, Y.; Murakami, K.; Masaki, A.; Kawabe, H.; Arimura, H.; Nakano, E.; Motai, H. A full length cDNA clone for the alkaline protease from Aspergillus oryzae: Structural analysis and expression in Saccharomyces cerevisiae. MGG Mol. Gen. Genet. 1989, 219, 33–38. [Google Scholar] [CrossRef] [Green Version]
- Cheevadhanarak, S.; Renno, D.V.; Saunders, G.; Holt, G. Cloning and selective overexpression of an alkaline protease-encoding gene from Aspergillus oryzae. Gene 1991, 108, 151–155. [Google Scholar] [CrossRef]
- Ramesh, M.V.; Sirakova, T.; Kolattukudy, P.E. Isolation, characterization, and cloning of cDNA and the gene for an elastinolytic serine proteinase from Aspergillus flavus. Infect. Immun. 1994, 62, 79–85. [Google Scholar] [CrossRef] [PubMed] [Green Version]
- Wang, H.; Xu, Z.; Gao, L.; Hao, B. A fungal phylogeny based on 82 complete genomes using the composition vector method. BMC Evol. Biol. 2009, 9, 1–13. [Google Scholar] [CrossRef] [PubMed] [Green Version]
- James, T.Y.; Kauff, F.; Schoch, C.L.; Matheny, P.B.; Hofstetter, V.; Cox, C.J.; Celio, G.; Gueidan, C.; Fraker, E.; Miadlikowska, J.; et al. Reconstructing the early evolution of Fungi using a six-gene phylogeny. Nature 2006, 443, 818–822. [Google Scholar] [CrossRef]
- Bonifait, L.; De La Cruz Dominguez-Punaro, M.; Vaillancourt, K.; Bart, C.; Slater, J.; Frenette, M.; Gottschalk, M.; Grenier, D. The cell envelope subtilisin-like proteinase is a virulence determinant for Streptococcus suis. BMC Microbiol. 2010, 10, 42. [Google Scholar] [CrossRef] [Green Version]
- Yin, S.; Li, M.; Rao, X.; Yao, X.; Zhong, Q.; Wang, M.; Wang, J.; Peng, Y.; Tang, J.; Hu, F.; et al. Subtilisin-like protease-1 secreted through type IV secretion system contributes to high virulence of Streptococcus suis 2. Sci. Rep. 2016, 6, 1–9. [Google Scholar] [CrossRef] [Green Version]
- Gao, B.J.; Mou, Y.N.; Tong, S.M.; Ying, S.H.; Feng, M.G. Subtilisin-like Pr1 proteases marking the evolution of pathogenicity in a wide-spectrum insect-pathogenic fungus. Virulence 2020, 11, 365–380. [Google Scholar] [CrossRef] [Green Version]
- Ksiazek, M.; Karim, A.Y.; Bryzek, D.; Enghild, J.J.; Thøgersen, I.B.; Koziel, J.; Potempa, J. Mirolase, a novel subtilisin-like serine protease from the periodontopathogen Tannerella forsythia. Biol. Chem. 2015, 396, 261–275. [Google Scholar] [CrossRef]
- Ni, H.; Guo, P.C.; Jiang, W.L.; Fan, X.M.; Luo, X.Y.; Li, H.H. Expression of nattokinase in Escherichia coli and renaturation of its inclusion body. J. Biotechnol. 2016, 231, 65–71. [Google Scholar] [CrossRef]
- Sharkova, T.S.; Matveeva, E.O.; Kreier, V.G.; Osmolovskiy, A.A.; Kurakov, A.V.; Baranova, N.A.; Egorov, N.S. Production of proteinase-plasminogen activators by micromycete Tolypocladium inflatum k1. Appl. Biochem. Microbiol. 2016, 52, 31–35. [Google Scholar] [CrossRef]
- Kornienko, E.I.; Osmolovskiy, A.A.; Kreyer, V.G.; Baranova, N.A.; Kotova, I.B.; Egorov, N.S. Characteristics and properties of the complex of proteolytic enzymes of the thrombolytic action of the micromycete Sarocladium strictum. Appl. Biochem. Microbiol. 2021, 57, 57–64. [Google Scholar] [CrossRef]
- Liu, C.; Matsushita, Y.; Shimizu, K.; Makimura, K.; Hasumi, K. Activation of prothrombin by two subtilisin-like serine proteases from Acremonium sp. Biophys. Res. Commun. 2007, 358, 356–362. [Google Scholar] [CrossRef]
- Zvonareva, E.S.; Osmolovskiy, A.A.; Kreyer, V.G.; Baranova, N.A.; Kotova, I.B.; Egorov, N.S. Identification of targets for extracellular proteases activating proteins of the haemostatic system produced by micromycetes Aspergillus ochraceus and Aspergillus terreus. Russ. J. Bioorg. Chem. 2015, 41, 500–505. [Google Scholar] [CrossRef]
- Orekhova, A.V.; Osmolovskiy, A.A.; Kreyer, V.G.; Baranova, N.A.; Egorov, N.S. Possibility for application of extracellular protease of micromycete Aspergillus ochraceus for determining factor X content in human blood plasma. Mosc. Univ. Biol. Sci. Bull. 2019, 74, 117–120. [Google Scholar] [CrossRef]




| Substrate | Activity of Recombinant PAPC-4104 | Activity of Native PAPC-4104 |
|---|---|---|
| Conjugate reactions (with blood plasma) | ||
| pGlu-Pro-Arg-pNA | + | + |
| Z-D-Arg-Gly-Arg-pNA | + | + |
| Direct reactions (without blood plasma) | ||
| pGlu-Pro-Arg-pNA | − | − |
| Z-D-Arg-Gly-Arg-pNA | − | − |
| H-D-Val-Leu-Lys-pNA | + | + |
| Tos-Gly-Pro-Arg-pNA | + | + |
| H-D-Pro-Phe-Arg-pNA | − | − |
| H-D-Phe-Pip-Arg-pNA | − | − |
Publisher’s Note: MDPI stays neutral with regard to jurisdictional claims in published maps and institutional affiliations. |
© 2021 by the authors. Licensee MDPI, Basel, Switzerland. This article is an open access article distributed under the terms and conditions of the Creative Commons Attribution (CC BY) license (https://creativecommons.org/licenses/by/4.0/).
Share and Cite
Komarevtsev, S.K.; Evseev, P.V.; Shneider, M.M.; Popova, E.A.; Tupikin, A.E.; Stepanenko, V.N.; Kabilov, M.R.; Shabunin, S.V.; Osmolovskiy, A.A.; Miroshnikov, K.A. Gene Analysis, Cloning, and Heterologous Expression of Protease from a Micromycete Aspergillus ochraceus Capable of Activating Protein C of Blood Plasma. Microorganisms 2021, 9, 1936. https://doi.org/10.3390/microorganisms9091936
Komarevtsev SK, Evseev PV, Shneider MM, Popova EA, Tupikin AE, Stepanenko VN, Kabilov MR, Shabunin SV, Osmolovskiy AA, Miroshnikov KA. Gene Analysis, Cloning, and Heterologous Expression of Protease from a Micromycete Aspergillus ochraceus Capable of Activating Protein C of Blood Plasma. Microorganisms. 2021; 9(9):1936. https://doi.org/10.3390/microorganisms9091936
Chicago/Turabian StyleKomarevtsev, Sergei K., Peter V. Evseev, Mikhail M. Shneider, Elizaveta A. Popova, Alexey E. Tupikin, Vasiliy N. Stepanenko, Marsel R. Kabilov, Sergei V. Shabunin, Alexander A. Osmolovskiy, and Konstantin A. Miroshnikov. 2021. "Gene Analysis, Cloning, and Heterologous Expression of Protease from a Micromycete Aspergillus ochraceus Capable of Activating Protein C of Blood Plasma" Microorganisms 9, no. 9: 1936. https://doi.org/10.3390/microorganisms9091936
APA StyleKomarevtsev, S. K., Evseev, P. V., Shneider, M. M., Popova, E. A., Tupikin, A. E., Stepanenko, V. N., Kabilov, M. R., Shabunin, S. V., Osmolovskiy, A. A., & Miroshnikov, K. A. (2021). Gene Analysis, Cloning, and Heterologous Expression of Protease from a Micromycete Aspergillus ochraceus Capable of Activating Protein C of Blood Plasma. Microorganisms, 9(9), 1936. https://doi.org/10.3390/microorganisms9091936

