Coconut Mesocarp-Based Lignocellulosic Waste as a Substrate for Cellulase Production from High Promising Multienzyme-Producing Bacillus amyloliquefaciens FW2 without Pretreatments
Abstract
1. Introduction
2. Materials and Methods
2.1. Isolation of Cellulose—Degrading Bacteria
2.2. Coconut Mesocarp Preparation
2.3. Taxonomic Identification and Sequence Analysis
2.4. Screening of Cellulase Production
2.5. Optimization of Enzyme Production
2.5.1. Optimization of Physio-Chemical Parameters
2.5.2. Effect of Carbon and Nitrogen Sources on Enzyme Production
2.5.3. Enzyme Production Using Coconut Mesocarp Powder
2.5.4. Effect of Effects of Ions on Cellulase Activity
2.6. Cellulase Activity Assay
2.7. Purification of Cellulase Enzymes
2.8. Molecular Weight Determination
3. Results
3.1. Identification of Cellulase-Producing Bacterial Strain
3.2. Screening the Cellulase Production of Strain FW2
3.3. Effect of Culture Conditions on Cellulase Activity of Strain FW2
3.3.1. Effect of Physio-Chemical Parameters and Enzyme Production Stability
3.3.2. Effect of Carbon and Nitrogen Sources on Enzyme Production
3.3.3. Effect of Coconut Mesocarp Substrate on Cellulase Production at Various Concentrations
3.3.4. Effect of Metal Ions on Cellulase Activity
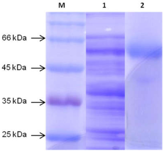
3.4. Determination of Molecular Weight of Extracted Cellulase
4. Discussion
5. Conclusions
Author Contributions
Funding
Institutional Review Board Statement
Informed Consent Statement
Data Availability Statement
Conflicts of Interest
References
- Chukwuma, O.B.; Rafatullah, M.; Tajarudin, H.A.; Ismail, N. A Review on bacterial contribution to lignocellulose breakdown into useful bio-products. Int. J. Environ. Res. Public Health 2021, 18, 6001. [Google Scholar] [CrossRef]
- Siqueira, J.G.W.; Cristine Rodrigues, C.; de Souza Vandenberghe, L.P.; Woiciechowski, A.L.; Soccol, C.R. Current advances in on-site cellulase production and application on lignocellulosic biomass conversion to biofuels: A review. Biomass Bioenergy 2020, 132, 105419. [Google Scholar] [CrossRef]
- Álvarez, C.; González, A.; Negro, M.J.; Ballesteros, I.; Oliva, J.M.; Sáez, F. Optimized use of hemicellulose within a biorefinery for processing high value-added xylooligosaccharides. Ind. Crops Prod. 2017, 99 (Suppl. C), 41–48. [Google Scholar] [CrossRef]
- BCC Research. The Global Biofuel Enzyme Market Value Is Expected to Reach Nearly $915 Million in 2017. Available online: https://www.bccresearch.com/pressroom/egy/global-biofuel-enzyme-market-value-expected-reach-nearly-$915-million-2017 (accessed on 27 January 2022).
- Grand View Research. Biofuel Enzymes Market Report Biofuel Enzymes Market Analysis by Product (Amylases, Industrial Lipases), by Appli-Cation (Biodiesel, Starch/Corn Based Ethanol, Lignocellulosic Ethanol/Biofuels) and Segment Forecasts to 2020. Available online: https://www.grandviewresearch.com/industry-analysis/biofuel-enzymes-market (accessed on 27 January 2022).
- Transparency Market Research. Amylases Biofuel Enzymes Market—Global Industry Analysis, Size, Share, Growth, Trends, and Forecast 2016–2024. Available online: https://www.transparencymarketresearch.com/amylases-biofuel-enzymes.html (accessed on 27 January 2022).
- Chen, M.; Smith, P.M. The U.S. cellulosic biofuels industry: Expert views on commercialization drivers and barriers. Biomass Bioenergy 2017, 102, 52–61. [Google Scholar] [CrossRef]
- Neves, P.V.; Pitarelo, A.P.; Ramos, L.P. Production of cellulosic ethanol from sugarcane bagasse by steam explosion: Effect of extractives content, acid catalysis and different fermentation technologies. Bioresour. Technol. 2016, 208, 184–194. [Google Scholar] [CrossRef] [PubMed]
- Phanchan, N.; Fiala, K.; Apirakakorn, J. Isolation of cellulolytic Clostridia and their performance for one-step butanol production from sugarcane bagasse. Energy Proc. 2017, 138, 163–168. [Google Scholar] [CrossRef]
- Kausar, H.; Ismail, M.R.; Saud, H.M.; Habib, S.H.; Othman, R.; Miah, G. A novel lignocellulolytic bacterium for bioconversion of rice straw. Pak. J. Agric. Sci. 2016, 53, 523–533. [Google Scholar]
- Magalhães, B.L.; Grassi, M.C.B.; Pereira, G.A.G.; Brocchi, M. Improved n-butanol production from lignocellulosic hydrolysate by Clostridium strain and culture-medium optimization. Biomass Bioenergy 2018, 108, 157–166. [Google Scholar] [CrossRef]
- Champreda, V.; Mhuantong, W.; Lekakarn, H.; Bunterngsook, B.; Kanokratana, P.; Zhao, X.Q.; Zhang, F.; Inoue, H.; Fujii, T.; Eurwilaichitr, L. Designing cellulolytic enzyme systems for biorefinery: From nature to application. J. Biosci. Bioeng. 2019, 128, 637–654. [Google Scholar] [CrossRef]
- Dumorné, K.; Córdova, D.C.; Astorga-Eló, M.; Renganathan, P. Extremozymes: A Potential Source for Industrial Applications. J. Microbiol. Biotechnol. 2017, 27, 649–659. [Google Scholar] [CrossRef]
- Pham, V.H.T.; Ahn, J.Y.; Ro, Y.H.; Ravindran, B.; Kim, J.S.; Chang, S.W.; Shim, J.H.; Chung, W.J. The efficiency of potential food waste-degrading bacteria under harsh conditions. J. Appl. Microbiol. 2022, 132, 340–350. [Google Scholar] [CrossRef] [PubMed]
- Jayasekara, S.; Ratnayake, R. Microbial cellulase: An overview and applications. In Cellulose; IntechOpen: London, UK, 2019. [Google Scholar]
- Ejaz, U.; Sohail, M.; Ghanemi, A. Cellulases: From Bioactivity to a Variety of Industrial Applications. Biomimetics 2021, 6, 44. [Google Scholar] [CrossRef] [PubMed]
- Behera, B.C.; Sethi, B.K.; Mishra, R.R.; Dutta, S.K.; Thatoi, H.N. Microbial cellulases—Diversity & biotechnology with reference to mangrove environment: A review. J. Genet. Eng. Biotechnol. 2017, 15, 197–210. [Google Scholar] [PubMed]
- Kanokratana, P.; Wongwilaiwalin, S.; Mhuantong, W.; Tangphatsornruang, S.; Eurwilaichitr, L.; Champreda, V. Characterization of cellulolytic microbial consortium enriched on Napier grass using metagenomic approaches. J. Biosci. Bioeng. 2018, 125, 439–447. [Google Scholar] [CrossRef]
- Zhivin-Nissan, O.; Dassa, B.; Morag, E.; Kupervaser, M.; Levin, Y.; Bayer, E.A. Unraveling essential cellulosomal components of the (Pseudo)Bacteroides cellulosolvens reveals an extensive reservoir of novel catalytic enzymes. Biotechnol. Biofuels Bioprod. 2019, 12, 115. [Google Scholar] [CrossRef]
- Pham, V.H.T.; Kim, J.; Chang, S.; Chung, W. Improvement of hydrogen production during anaerobic fermentation of food waste leachate by enriched bacterial culture using biochar as an additive. Microorganisms 2021, 9, 2438. [Google Scholar] [CrossRef]
- Dehghanikhah, F.; Shakarami, J.; Asoodeh, A. Purification and Biochemical Characterization of Alkalophilic Cellulase from the Symbiotic Bacillus subtilis BC1 of the Leopard Moth, Zeuzera pyrina (L.) (Lepidoptera: Cossidae). Curr. Microbiol. 2020, 77, 1254–1261. [Google Scholar] [CrossRef]
- Swathy, R.; Rambabu, K.; Banat, F.; Ho, S.-H.; Chu, D.T.; Show, P.L. Production and optimization of high grade cellulase from waste date seeds by Cellulomonas uda NCIM 2353 for biohydrogen production. Int. J. Hydrogen Energy 2020, 45, 22260–22270. [Google Scholar] [CrossRef]
- Malik, W.A.; Khan, H.M.; Javed, S. Bioprocess optimization for enhanced production of bacterial cellulase and hydrolysis of sugarcane bagasse. Bioenergy Res. 2021, 1–14. [Google Scholar] [CrossRef]
- Pham, V.H.T.; Kim, J.; Chang, S.W.; Chung, W.J. Purification and characterization of strong simultaneous enzyme production of protease and amylase from an extremophile-Bacillus sp. FW2 and its possibility in food waste degradation. Fermentation 2022, 8, 12. [Google Scholar] [CrossRef]
- Kuhad, R.C.; Gupta, R.; Ajay Singh, A. Microbial cellulases and their industrial applications. Enzyme Res. 2011, 2011, 280696. [Google Scholar] [CrossRef]
- López-Mondéjar, R.; Zühlke, D.; Becher, D.; Riedel, K.; Baldrian, P. Cellulose and hemicellulose decomposition by forest soil bacteria proceeds by the action of structurally variable enzymatic systems. Sci. Rep. 2016, 6, 25279. [Google Scholar] [CrossRef]
- Zheng, G.; Yin, T.; Lu, Z.; yannick benz Boboua, S.; Li, J.; Zhou, W. Degradation of rice straw at low temperature using a novel microbial consortium LTF-27 with efficient ability. Bioresour. Technol. 2020, 304, 123064. [Google Scholar] [CrossRef]
- Ye, M.; Sun, L.; Yang, R.; Wang, Z.; Qi, K. The optimization of fermentation conditions for producing cellulase of Bacillus amyloliquefaciens and its application to goose feed. R. Soc. Open Sci. 2017, 4, 171012. [Google Scholar] [CrossRef]
- Aslam, S.; Hussain, A.; Qazi, J.I. Production of Cellulase by Bacillus amyloliquefaciens-ASK11 under high chromium stress. Waste Biomass Valori. 2019, 10, 53–61. [Google Scholar] [CrossRef]
- Soares, J.; Demeke, M.M.; Foulquié-Moreno, M.R.; de Velde, M.V.; Alex Verplaetse, A.; Ribeiro Fernandes, A.A.; Thevelein, J.M.; Bueno Fernandes, P.M. Green coconut mesocarp pretreated by an alkaline process as raw material for bioethanol production. Bioresour. Technol. 2016, 216, 744–753. [Google Scholar] [CrossRef]
- Cabral, M.M.S.; Abud, A.K.S.; Silva, C.E.F.; Almeida, R.M.R.G. Bioethanol production from coconut husk fiber. Ciência Rural 2016, 46, 1872–1877. [Google Scholar] [CrossRef]
- Ebrahimi, M.; Caparanga, A.R.; Ordono, E.E.; Villaflores, O.B. Evaluation of organosolv pretreatment on the enzymatic digestibility of coconut coir fibers and bioethanol production via simultaneous saccharification and fermentation. Renew. Energy 2017, 109, 41–48. [Google Scholar] [CrossRef]
- Da Silva, R.N.; de Andrade Melo, L.F.; Finkler, C.L.L. Optimization of the cultivation conditions of Bacillus licheniformis BCLLNF-01 for cellulase production. Biotechnol. Rep. 2021, 29, e00599. [Google Scholar] [CrossRef]
- Dey, P.; Singh, J.; Scaria, J.; Anand, A.P. Improved production of cellulase by Trichoderma reesei (MTCC 164) from coconut mesocarp-based lignocellulosic wastes under response surface-optimized condition. 3 Biotechnol. 2018, 8, 402. [Google Scholar] [CrossRef]
- Pham, V.H.T.; Kim, J. Bacillus thaonhiensis sp. nov., a new species, was isolated from the forest soil of Kyonggi University by using a modified culture method. Curr Microbiol. 2014, 68, 88–95, Erratum in: Curr. Microbiol. 2014, 69, 225. [Google Scholar] [CrossRef]
- Frank, J.A.; Reich, C.I.; Sharma, S.; Weisbaum, J.S.; Wilson, B.A.; Olsen, G.J. Critical evaluation of two primers commonly used for amplification of bacterial 16S rRNA Genes. Appl. Environ. Microbiol. 2008, 74, 2461–2470. [Google Scholar] [CrossRef] [PubMed]
- Yoon, S.H.; Ha, S.M.; Kwon, S.; Lim, J.; Kim, Y.; Seo, H.; Chun, J. Introducing EzBioCloud: A taxonomically united database of 16S rRNA gene sequences and whole genome assemblies. Int. J. Syst. Evol. Microbiol. 2017, 67, 1613–1617. [Google Scholar] [CrossRef] [PubMed]
- Kumar, S.; Stecher, G.; Tamura, K. MEGA7: Molecular evolutionary genetics analysis version 7.0 for bigger datasets. Mol. Biol. Evol. 2016, 33, 1870–1874. [Google Scholar] [CrossRef]
- Nei, M.; Kumar, S. Molecular Evolution and Phylogenetics; Oxford University Press: New York, NY, USA, 2000. [Google Scholar]
- Felsenstein, J. Confidence limit on phylogenies: An approach using the bootstrap. Evolution 1985, 39, 783–791. [Google Scholar] [CrossRef]
- Miller, G.L. Use of Dinitrosalicylic Acid Reagent for Determination of Reducing Sugar. Anal. Chem. 1959, 31, 426–428. [Google Scholar] [CrossRef]
- Laemmli, U.K. Cleavage of structural proteins during assembly of head of bacteriophage T4. Nature 1970, 227, 680–685. [Google Scholar] [CrossRef]
- Borriss, R.; Chen, X.H.; Rueckert, C.; Blom, J.; Becker, A.; Baumgarth, B.; Fan, B.; Pukall, R.; Schumann, P.; Spröer, C.; et al. Relationship of Bacillus amyloliquefaciens clades associated with strains DSM 7T and FZB42T: A proposal for Bacillus amyloliquefaciens subsp. amyloliquefaciens subsp. nov. and Bacillus amyloliquefaciens subsp. plantarum subsp. nov. based on complete genome sequence comparisons. Int. J. Syst. Evol. Microbiol. 2011, 61, 1786–1801. [Google Scholar]
- Rathakrishnan, D.; Gopalan, A.K. Isolation and characterization of halophilic isolates from Indian salterns and their screening for production of hydrolytic enzymes. Environ. Chall. 2022, 6, 100426. [Google Scholar] [CrossRef]
- Gozan, M.; Harahap, A.F.; Bakti, C.P.; Setyahadi, S. Optimization of cellulase production by Bacillus sp. BPPT CC RK2 with pH and temperature variation using response surface methodology. In Proceedings of the 3rd International Tropical Renewable Energy Conference “Sustainable Development of Tropical Renewable Energy”, Bali, Indonesia, 6–8 September 2018; Volume 67, p. 02051. [Google Scholar]
- Islam, F.; Roy, N. Screening, purification and characterization of cellulase from cellulase producing bacteria in molasses. BMC Res. Notes 2018, 11, 445. [Google Scholar] [CrossRef]
- Dar, M.A.; Dhole, N.P.; Xie, R.; Pawar, K.D.; Ullah, K.; Rahi, P.; Pandit, R.S.; Sun, J. Valorization potential of a novel bacterial strain, Bacillus altitudinis RSP75, towards lignocellulose bioconversion: An Assessment of Symbiotic Bacteria from the Stored Grain Pest, Tribolium castaneum. Microorganisms 2021, 9, 1952. [Google Scholar] [CrossRef]
- Revin, V.; Liyaskina, E.; Nazarkina, M.; Bogatyreva, A.; Shchankin, M. Cost-effective production of bacterial cellulose using acidic food industry by-products. Braz. J. Microbiol. 2018, 49, 151–159. [Google Scholar] [CrossRef]
- Ben Hmad, I.; Gargouri, A. Neutral and alkaline cellulases: Production, engineering, and applications. J. Basic Microbiol. 2017, 57, 653–658. [Google Scholar] [CrossRef]
- Shajahan, S.; Ganesh Moorthy, I.; Sivakumar, N.; Selvakumar, G. Statistical modeling and optimization of cellulase production by Bacillus licheniformis NCIM 5556 isolated from the hot spring, Maharashtra, India. J. King Saud. Univ. Sci. 2017, 29, 302–310. [Google Scholar] [CrossRef]
- Siu-Rodas, Y.; Calixto-Romo, M.d.l.A.; Guillén-Navarro, K.; Sánchez, J.E.; Zamora-Briseño, J.A.; Amaya-Delgado, L. Bacillus subtilis with endocellulase and exocellulase activities isolated in the thermophilic phase from composting with coffee residues. Rev. Argent. Microbiol. 2018, 50, 234–243. [Google Scholar] [CrossRef]
- Zainudin, M.H.M.; Mustapha, N.A.; Hassan, M.A. A highly thermostable crude endoglucanase produced by a newly isolated Thermobifida fusca strain UPMC 901. Sci. Rep. 2019, 9, 13526. [Google Scholar] [CrossRef]
- Gupta, G.N.; Srivastava, S.; Khare, S.K.; Prakash, V. Extremophiles: An: Overview of Microorganism from Extreme Environment. Int. J. Agric. Environ. Biotechnol. 2014, 7, 371–380. [Google Scholar] [CrossRef]
- Kumar, S.; Dangi, A.K.; Shukla, P.; Baishya, D.; Khare, S.K. Thermozymes: Adaptive strategies and tools for their biotechnological applications. Bioresour. Technol. 2019, 278, 372–382. [Google Scholar] [CrossRef]
- Sajith, S.; Priji, P.; Sreedevi, S.; Benjamin, S. An overview on fungal cellulases with an industrial perspective. J. Nutr. Food Sci. 2016, 6, 1–13. [Google Scholar]
- Lee, H.; Lee, Y.M.; Heo, Y.M.; Lee, J.; Kim, J.S.; Kang, K.Y.; Kim, J.J. Utilization of agricultural residues for enhancement of cellulolytic enzyme production and enzymatic saccharification by Trichoderma harzianum KUC1716. Ind. Crops Prod. 2017, 109 (Suppl. C), 185–191. [Google Scholar] [CrossRef]
- Kane, S.D.; French, C.E. Characterisation of novel biomass degradation enzymes from the genome of Cellulomonas fimi. Enzyme Microb. Technol. 2018, 113, 9–17. [Google Scholar] [CrossRef] [PubMed]
- Sanhueza, C.; Carvajal, G.; Soto-Aguilar, J.; Lienqueo, M.E.; Salazar, O. The effect of a lytic polysaccharide monooxygenase and a xylanase from Gloeophyllum trabeum on the enzymatic hydrolysis of lignocellulosic residues using a commercial cellulase. Enzyme Microb. Technol. 2018, 113, 75–82. [Google Scholar] [CrossRef] [PubMed]
- Irfan, M.; Mushtaq, Q.; Tabssum, F.; Shakir, H.A.; Qazi, J.I. Carboxymethyl cellulase production optimization from newly isolated thermophilic Bacillus subtilis K-18 for saccharification using response surface methodology. AMB Express 2017, 7, 29. [Google Scholar] [CrossRef] [PubMed]
- Xu, J.; Gao, Z.; Wu, B.; He, B. Lactose-inducted production of a complete lignocellulolytic enzyme system by a novel bacterium Bacillus sp. BS-5 and its application for saccharification of alkali-pretreated corn cob. Cellulose 2017, 24, 2059–2070. [Google Scholar] [CrossRef]
- Nevita, T.; Sharma, G.D.; Pandeya, P. Differences in rice rhizosphere bacterial community structure by application of lignocellulolytic plant-probiotic bacteria with rapid composting traits. Ecol. Eng. 2018, 120, 209–221. [Google Scholar] [CrossRef]
- Bohra, V.; Dafale, N.A.; Purohit, H.J. Paenibacillus polymyxa ND25: Candidate genome for lignocellulosic biomass utilization. 3 Biotechnol. 2018, 8, 248. [Google Scholar] [CrossRef]
- Guo, H.; Chen, H.; Fan, L.; Linklater, A.; Zheng, B.; Jiang, D.; Qin, W. Enzymes produced by biomass-degrading bacteria can efficiently hydrolyze algal cell walls and facilitate lipid extraction. Renew. Energy 2017, 109, 195–201. [Google Scholar] [CrossRef]
- Wu, Y.; Guo, H.; Zhang, J.; Chen, X.; Wu, M.; Qin, W. Multiple applications of enzymes induced by algal biomasses from a new Bacillus isolate to saccharify algae and degrade chemical dyes. Waste Biomass Valor. 2019, 10, 2517–2526. [Google Scholar] [CrossRef]
- Neelkant, K.S.; Shankar, K.; Jayalakshmi, S.K.; Sreeramulu, K. Optimization of conditions for the production of lignocellulolytic enzymes by Sphingobacterium sp. ksn-11 utilizing agro-wastes under submerged condition. Prep. Biochem. Biotechnol. 2019, 49, 927–934. [Google Scholar] [CrossRef]
- Miftahul Jannah, A.; Asip, F. Bioethanol production from coconut fiber using alkaline pretreatment and acid hydrolysis method. Int. J. Adv. Sci. Eng. Inf. Technol. 2015, 5, 320. [Google Scholar] [CrossRef]
- Zhuang, X.; Wang, W.; Yu, Q.; Qi, W.; Wang, Q.; Tan, X.; Zhou, G.; Yuan, Z. Liquid hot water pretreatment of lignocellulosic biomass for bioethanol production accompanying with high valuable products. Bioresour. Technol. 2016, 199, 68–75. [Google Scholar] [CrossRef]
- Riordan, J.F. The role of metals in enzyme activity. Ann. Clin. Lab. Sci. 1977, 7, 119–129. [Google Scholar]
- Yoon, S.; Kim, M.K.; Hong, J.S.; Kim, M.S. Production of polygalacturonase from Ganoderma lucidum. Korean J. Mycol. 1994, 22, 286–297. [Google Scholar]
- Bakare, M.K.; Adewale, I.O.; Ajayi, A.; Shonukan, O.O. Purification and characterization of cellulase from the wild-type and two improved mutants of Pseudomonas fluorescens. Afr. J. Biotechnol. 2005, 4, 898–904. [Google Scholar]
- Moni Bhuyan, P.; Protim Sandilya, S.; Kumar Nath, P.; Gandotra, S.; Subramanian, S.; Kardong, D.; Kumar Gogoi, D. Optimization and characterization of extracellular cellulase produced by Bacillus pumilus MGB05 isolated from midgut of muga silkworm (Antheraea assamensis Helfer). J. Asia-Pac. Entomol. 2018, 21, 1171–1181. [Google Scholar] [CrossRef]
- Yin, L.J.; Lin, H.H.; Xiao, Z.R. Purification and characterization of a cellulase from Bacillus subtilis YJ1.J. Mar. Sci. Technol. 2010, 18, 466–471. [Google Scholar] [CrossRef]
- Singh, J.; Kaur, P. Optimization of process parameters for cellulase production from Bacillus sp. JS14 in solid substrate fermentation using response surface methodology. Braz. Arch. Biol. Technol. 2012, 55, 505–512. [Google Scholar] [CrossRef]
- Banerjee, S.; Maiti, T.K.; Roy, R.N. Production, purification, and characterization of cellulase from Acinetobacter junii GAC 16.2, a novel cellulolytic gut isolate of Gryllotalpa africana, and its effects on cotton fiber and sawdust. Ann. Microbiol. 2020, 70, 28. [Google Scholar] [CrossRef]









| Strain | Similarity (%) | Different Nucleotide/Comparison |
|---|---|---|
| Bacillus amyloliquefaciens DSM7T | 99.86 | 2/1472 |
| Bacillus siamensis KCTC 13613T | 99.86 | 2/1472 |
| Bacillus velezensis CR-502T | 99.86 | 2/1403 |
| Bacillus nematocida B-16T | 99.73 | 4/1470 |
| Bacillus subtilis NCIB 3610T | 99.59 | 6/1472 |
| Bacillus nakamurai NRRL B-41091T | 99.59 | 6/1472 |
| Bacillus cabrialesii TE3T | 99.52 | 7/1472 |
| Bacillus inaquosorum KCTC 13429T | 99.52 | 7/1472 |
| Bacillus stercoris JCM 30051T | 99.52 | 7/1472 |
| Bacillus vallismortis | 99.46 | 8/1472 |
| Metal Ions | Residual Activity (%) | ||
|---|---|---|---|
| FPase | CMCase | Avicelase | |
| Control | 100 | 100 | 100 |
| Na+ | 99 | 100 | 98 |
| K+ | 97 | 99 | 95 |
| Mg2+ | 130.5 | 138.5 | 120 |
| Fe2+ | 98 | 96 | 89 |
| Ca2+ | 115.8 | 122.5 | 108 |
| Zn2+ | 79 | 85 | 83 |
| Substrate | Bacterial Strains | Cellulase Production (U/mL) | Reference |
|---|---|---|---|
| Potato peel | Bacillus subtilis K-18 | CMCase (3.5) | [59] |
| Alkali-pretreated corn cob | Bacillus sp. BS-5 | CMCase (9.6), FPase (1.4) | [60] |
| Rice straw residues | Bacillus cereus RSI6 | CMCase (0.36) | [61] |
| Sugarcane bagasse | Paenibacillus polymyxa ND25 | CMCase (0.49) | [62] |
| Wheat bran | Bacillus sp. AO | CMCase (5.9), FPase (0.97) | [63] |
| Algal biomasses | Bacillus sp. TPF-1 | CMCase (9.12) | [64] |
| Corn husk | Sphingobacterium sp. ksn-11 | CMCase (3.55) | [65] |
| Coconut mesocarp | Bacillus sp. FW2 | CMCase (650), Avicelase (720) | This study |
Publisher’s Note: MDPI stays neutral with regard to jurisdictional claims in published maps and institutional affiliations. |
© 2022 by the authors. Licensee MDPI, Basel, Switzerland. This article is an open access article distributed under the terms and conditions of the Creative Commons Attribution (CC BY) license (https://creativecommons.org/licenses/by/4.0/).
Share and Cite
Pham, V.H.T.; Kim, J.; Shim, J.; Chang, S.; Chung, W. Coconut Mesocarp-Based Lignocellulosic Waste as a Substrate for Cellulase Production from High Promising Multienzyme-Producing Bacillus amyloliquefaciens FW2 without Pretreatments. Microorganisms 2022, 10, 327. https://doi.org/10.3390/microorganisms10020327
Pham VHT, Kim J, Shim J, Chang S, Chung W. Coconut Mesocarp-Based Lignocellulosic Waste as a Substrate for Cellulase Production from High Promising Multienzyme-Producing Bacillus amyloliquefaciens FW2 without Pretreatments. Microorganisms. 2022; 10(2):327. https://doi.org/10.3390/microorganisms10020327
Chicago/Turabian StylePham, Van Hong Thi, Jaisoo Kim, Jeahong Shim, Soonwoong Chang, and Woojin Chung. 2022. "Coconut Mesocarp-Based Lignocellulosic Waste as a Substrate for Cellulase Production from High Promising Multienzyme-Producing Bacillus amyloliquefaciens FW2 without Pretreatments" Microorganisms 10, no. 2: 327. https://doi.org/10.3390/microorganisms10020327
APA StylePham, V. H. T., Kim, J., Shim, J., Chang, S., & Chung, W. (2022). Coconut Mesocarp-Based Lignocellulosic Waste as a Substrate for Cellulase Production from High Promising Multienzyme-Producing Bacillus amyloliquefaciens FW2 without Pretreatments. Microorganisms, 10(2), 327. https://doi.org/10.3390/microorganisms10020327

