Polyhydroxyalkanoate (PHA) Production in Pseudomonas sp. phDV1 Strain Grown on Phenol as Carbon Sources
Abstract
:1. Introduction
2. Materials and Methods
2.1. Cultivation of Pseudomonas sp. phDV1
2.2. Activity Assay of PHA Synthase
2.3. SDS PAGE and MS-Based Protein Identification
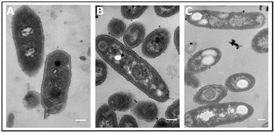
2.4. Transmission Electron Microscopy (TEM)
2.5. Extraction of PHA
2.6. FTIR Analysis of the Purified PHA
2.7. NMR Spectroscopy of the Purified PHA
2.8. MALDI-TOF MS of the Purified PHA
3. Results and Discussion
3.1. Utilization of Phenol by Pseudomonas sp. phDV1
3.2. PHA Synthase Identification and Enzyme Assay
3.3. Accumulation and Isolation of PHA
3.4. Characterization of PHB by FTIR Analysis
3.5. Characterization of PHB by NMR Analysis
3.6. Characterization of PHB by MALDI-TOF MS Analysis
4. Conclusions
Supplementary Materials
Author Contributions
Funding
Institutional Review Board Statement
Informed Consent Statement
Data Availability Statement
Acknowledgments
Conflicts of Interest
References
- Philip, S.; Keshavarz, T.; Roy, I. Polyhydroxyalkanoates: Biodegradable polymers with a range of applications. J. Chem. Technol. Biotechnol. 2007, 82, 233–247. [Google Scholar] [CrossRef]
- Choi, J.I.; Lee, S.Y. High-level production of poly(3-hydroxybutyrate-co-3-hydroxyvalerate) by fed-batch culture of recombinant Escherichia coli. Appl. Environ. Microbiol. 1999, 65, 4363–4368. [Google Scholar] [CrossRef] [Green Version]
- Dietrich, K.; Dumont, M.-J.; Del Rio, L.F.; Orsat, V. Producing PHAs in the bioeconomy—Towards a sustainable bioplastic. Sustain. Prod. Consum. 2017, 9, 58–70. [Google Scholar] [CrossRef]
- Fradinho, J.C.; Oehmen, A.; Reis, M.A.M. Photosynthetic mixed culture polyhydroxyalkanoate (PHA) production from individual and mixed volatile fatty acids (VFAs): Substrate preferences and co-substrate uptake. J. Biotechnol. 2014, 185, 19–27. [Google Scholar] [CrossRef]
- Ntaikou, I.; Kourmentza, C.; Koutrouli, E.C.; Stamatelatou, K.; Zampraka, A.; Kornaros, M.; Lyberatos, G. Exploitation of olive oil mill wastewater for combined biohydrogen and biopolymers production. Bioresour. Technol. 2009, 100, 3724–3730. [Google Scholar] [CrossRef]
- Villegas, L.G.C.; Mashhadi, N.; Chen, M.; Mukherjee, D.; Taylor, K.E.; Biswas, N. A Short Review of Techniques for Phenol Removal from Wastewater. Curr. Pollut. Rep. 2016, 2, 157–167. [Google Scholar] [CrossRef] [Green Version]
- Parales, R.E.; Harwood, C.S. Bacterial chemotaxis to pollutants and plant-derived aromatic molecules. Curr. Opin. Microbiol. 2002, 5, 266–273. [Google Scholar] [CrossRef]
- Hinteregger, C.; Leitner, R.; Loidl, M.; Ferschl, A.; Streichsbier, F. Degradation of phenol and phenolic compounds by Pseudomonas putida EKII. Appl. Microbiol. Biotechnol. 1992, 37, 252–259. [Google Scholar] [CrossRef] [PubMed]
- Feist, C.F.; Hegeman, G.D. Phenol and benzoate metabolism by Pseudomonas putida: Regulation of tangential pathways. J. Bacteriol. 1969, 100, 869–877. [Google Scholar] [CrossRef] [PubMed] [Green Version]
- Tsirogianni, I.; Aivaliotis, M.; Karas, M.; Tsiotis, G. Mass spectrometric mapping of the enzymes involved in the phenol degradation of an indigenous soil pseudomonad. Biochim. Biophys. Acta 2004, 1700, 117–123. [Google Scholar] [CrossRef] [PubMed]
- Tsirogianni, E.; Aivaliotis, M.; Karas, M.; Tsiotis, G. Detection and characterisation of catechol 2,3-dioxygenase in an indigenous soil pseudomonad by MALDI-TOF MS using a column separation. Biodegradation 2005, 16, 181–186. [Google Scholar] [CrossRef] [PubMed]
- Xie, H.; Valsamidis, G.; Mathioudaki, E.; Tsiotis, G. Complete Genome Sequence of Pseudomonas sp. Strain phDV1, an Isolate Capable of Efficient Degradation of Aromatic Hydrocarbons. Microbiol. Resour. Announc. 2019, 8. [Google Scholar] [CrossRef] [PubMed] [Green Version]
- Tsirogianni, E.; Aivaliotis, M.; Papasotiriou, D.G.; Karas, M.; Tsiotis, G. Identification of inducible protein complexes in the phenol degrader Pseudomonas sp. strain phDV1 by blue native gel electrophoresis and mass spectrometry. Amino Acids 2006, 30, 63–72. [Google Scholar] [CrossRef] [PubMed]
- Papasotiriou, D.G.; Markoutsa, S.; Meyer, B.; Papadioti, A.; Karas, M.; Tsiotis, G. Comparison of the membrane subproteomes during growth of a new pseudomonas strain on lysogeny broth medium, glucose, and phenol. J. Proteome Res. 2008, 7, 4278–4288. [Google Scholar] [CrossRef] [PubMed]
- Lyratzakis, A.; Valsamidis, G.; Kanavaki, I.; Nikolaki, A.; Rupprecht, F.; Langer, J.D.; Tsiotis, G. Proteomic Characterization of the Pseudomonas sp. Strain phDV1 Response to Monocyclic Aromatic Compounds. Proteomics 2020, 21, 2000003. [Google Scholar] [CrossRef]
- Valentin, H.E.; Steinbüchel, A. Application of enzymatically synthesized short-chain-length hydroxy fatty acid coenzyme A thioesters for assay of polyhydroxyalkanoic acid synthases. Appl. Microbiol. Biotechnol. 1994, 40, 699–709. [Google Scholar] [CrossRef]
- Cao, B.; Loh, K.-C. Catabolic pathways and cellular responses of Pseudomonas putida P8 during growth on benzoate with a proteomics approach. Biotechnol. Bioeng. 2008, 101, 1297–1312. [Google Scholar] [CrossRef]
- Tan, G.-Y.; Chen, C.-L.; Li, L.; Ge, L.; Wang, L.; Razaad, I.; Li, Y.; Zhao, L.; Mo, Y.; Wang, J.-Y. Start a Research on Biopolymer Polyhydroxyalkanoate (PHA): A Review. Polymers 2014, 6, 706–754. [Google Scholar] [CrossRef] [Green Version]
- Zhang, W.; Chen, C.; Cao, R.; Maurmann, L.; Li, P. Inhibitors of polyhydroxyalkanoate (PHA) synthases: Synthesis, molecular docking, and implications. Chembiochem 2015, 16, 156–166. [Google Scholar] [CrossRef] [Green Version]
- Mozejko-Ciesielska, J.; Szacherska, K.; Marciniak, P. Pseudomonas Species as Producers of Eco-friendly Polyhydroxyalkanoates. J. Polym. Environ. 2019, 27, 1151–1166. [Google Scholar] [CrossRef] [Green Version]
- Anjum, A.; Zuber, M.; Zia, K.M.; Noreen, A.; Anjum, M.N.; Tabasum, S. Microbial production of polyhydroxyalkanoates (PHAs) and its copolymers: A review of recent advancements. Int. J. Biol. Macromol. 2016, 89, 161–174. [Google Scholar] [CrossRef] [PubMed]
- Li, R.; Jiang, Y.; Wang, X.; Yang, J.; Gao, Y.; Zi, X.; Zhang, X.; Gao, H.; Hu, N. Psychrotrophic Pseudomonas mandelii CBS-1 produces high levels of poly-β-hydroxybutyrate. Springerplus 2013, 2, 335. [Google Scholar] [CrossRef] [PubMed] [Green Version]
- Bayarı, S.; Severcan, F. FTIR study of biodegradable biopolymers: P(3HB), P(3HB-co-4HB) and P(3HB-co-3HV). J. Mol. Struct. 2005, 74, 529–534. [Google Scholar] [CrossRef]
- Hassan, M.; Bakhiet, E.; Ali, S.; Hussien, H. Production and characterization of polyhydroxybutyrate (PHB) produced by Bacillus sp. isolated from Egypt. J. Appl. Pharm. Sci. 2016, 6, 46–51. [Google Scholar] [CrossRef] [Green Version]
- Sabarinathan, D.; Chandrika, S.P.; Venkatraman, P.; Easwaran, M.; Sureka, C.S.; Preethi, K. Production of polyhydroxybutyrate (PHB) from Pseudomonas plecoglossicida and its application towards cancer detection. Inform. Med. Unlocked 2018, 11, 61–67. [Google Scholar] [CrossRef]
- Kanavaki, H.Μ. Production of Poly(3-Hydroxybutyrate) Ester (PHB) by the Bacterial Strain Pseudomonas sp. phDV1 in the Presence of Phenol. Master Thesis, University of Crete, Heraklion, Greece, 2020. [Google Scholar]
- Doi, Y.; Kunioka, M.; Nakamura, Y.; Soga, K. Proton and carbon-13 NMR analysis of poly(β-hydroxybutyrate) isolated from Bacillus megaterium. Macromolecules 1986, 19, 1274–1276. [Google Scholar] [CrossRef]
- Kamiya, N.; Inoue, Y.; Yamamoto, Y.; Chujo, R.; Doi, Y. Conformational analysis of poly(3-hydroxybutyrate-co-3-hydroxyvalerate) in solution by proton NMR spectroscopy. Macromolecules 1990, 23, 1313–1317. [Google Scholar] [CrossRef]
- Impallomeni, G.; Carnemolla, G.M.; Puzzo, G.; Ballistreri, A.; Martino, L.; Scandola, M. Characterization of biodegradable poly(3-hydroxybutyrate-co-butyleneadipate) copolymers obtained from their homopolymers by microwave-assisted transesterification. Polymer 2013, 54, 65–74. [Google Scholar] [CrossRef]







| Phenol (mg/L) | A412 (22 °C) | TNB (mM) | A412 (32 °C) | TNB (mM) |
|---|---|---|---|---|
| 200 | 0.366 | 0.0197 | 0.499 | 0.026 |
| 400 | 0.181 | 0.0097 | 0.426 | 0.023 |
| 600 | 0.396 | 0.0213 | 0.708 | 0.038 |
Publisher’s Note: MDPI stays neutral with regard to jurisdictional claims in published maps and institutional affiliations. |
© 2021 by the authors. Licensee MDPI, Basel, Switzerland. This article is an open access article distributed under the terms and conditions of the Creative Commons Attribution (CC BY) license (https://creativecommons.org/licenses/by/4.0/).
Share and Cite
Kanavaki, I.; Drakonaki, A.; Geladas, E.D.; Spyros, A.; Xie, H.; Tsiotis, G. Polyhydroxyalkanoate (PHA) Production in Pseudomonas sp. phDV1 Strain Grown on Phenol as Carbon Sources. Microorganisms 2021, 9, 1636. https://doi.org/10.3390/microorganisms9081636
Kanavaki I, Drakonaki A, Geladas ED, Spyros A, Xie H, Tsiotis G. Polyhydroxyalkanoate (PHA) Production in Pseudomonas sp. phDV1 Strain Grown on Phenol as Carbon Sources. Microorganisms. 2021; 9(8):1636. https://doi.org/10.3390/microorganisms9081636
Chicago/Turabian StyleKanavaki, Iliana, Athina Drakonaki, Ermis Dionisios Geladas, Apostolos Spyros, Hao Xie, and Georgios Tsiotis. 2021. "Polyhydroxyalkanoate (PHA) Production in Pseudomonas sp. phDV1 Strain Grown on Phenol as Carbon Sources" Microorganisms 9, no. 8: 1636. https://doi.org/10.3390/microorganisms9081636
APA StyleKanavaki, I., Drakonaki, A., Geladas, E. D., Spyros, A., Xie, H., & Tsiotis, G. (2021). Polyhydroxyalkanoate (PHA) Production in Pseudomonas sp. phDV1 Strain Grown on Phenol as Carbon Sources. Microorganisms, 9(8), 1636. https://doi.org/10.3390/microorganisms9081636

