Syphilitic Gummata in the Central Nervous System: A Narrative Review and Case Report about a Noteworthy Clinical Manifestation
Abstract
1. Introduction
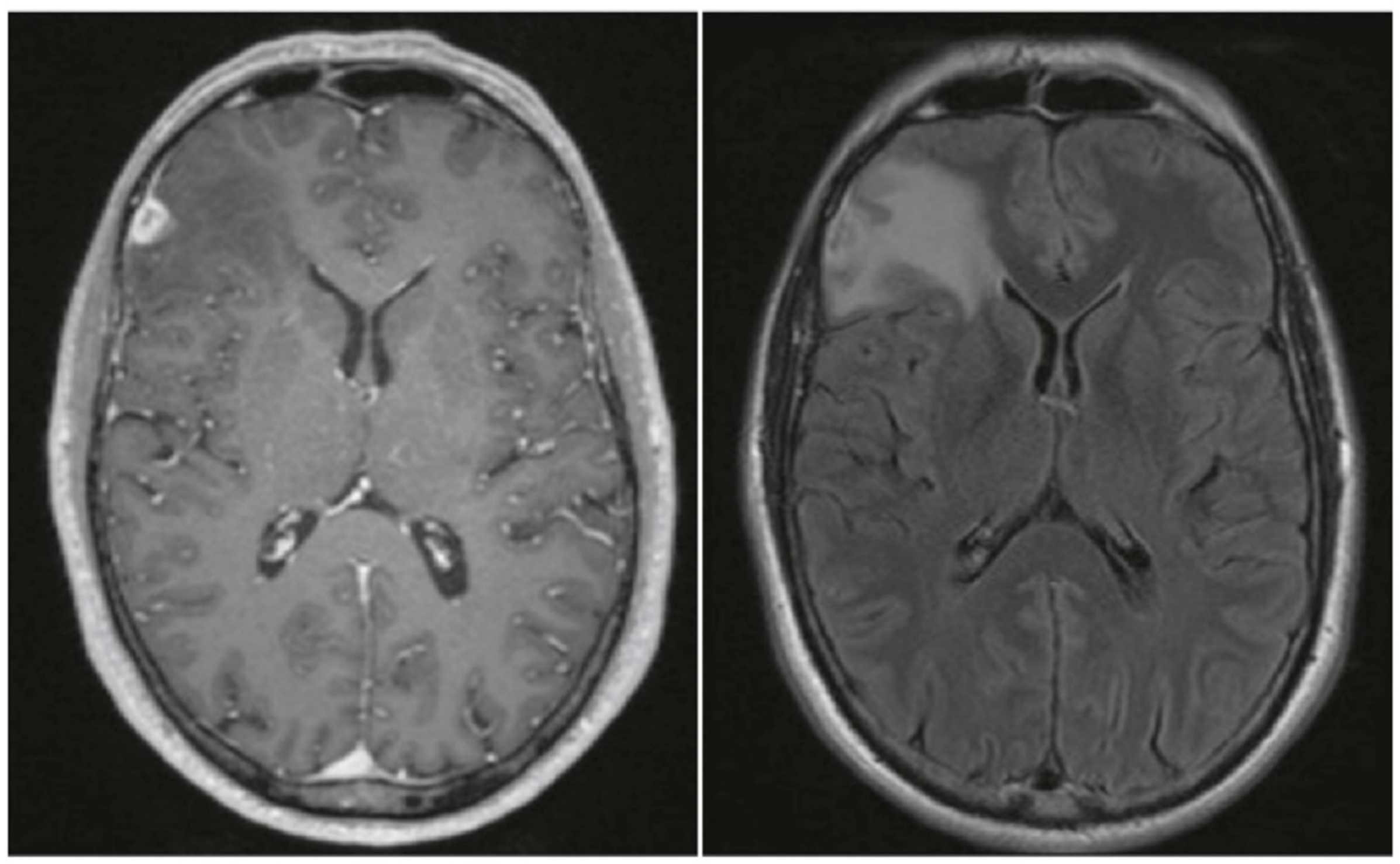
2. Case Presentation
3. Review
4. Discussion
Author Contributions
Funding
Institutional Review Board Statement
Informed Consent Statement
Data Availability Statement
Conflicts of Interest
Search Criteria
References
- Church, B.; Wall, E.; Webb, J.R.; Cameron, C.E. Interaction of treponema pallidum, the syphilis spirochete, with human platelets. PLoS ONE 2019, 14, 1–22. [Google Scholar] [CrossRef]
- Margos, G.; Gofton, A.; Wibberg, D.; Dangel, A.; Marosevic, D.; Loh, S.M.; Oskam, C.; Fingerle, V. The genus Borrelia reloaded. PLoS ONE 2018, 13, 1–14. [Google Scholar] [CrossRef] [PubMed]
- Pónyai, K.; Ostorházi, E.; Marschalkó, M.; Kárpáti, S.; Rozgonyi, F. Syphilis: Today. Rev. Med. Microbiol. 2010, 21, 84–95. [Google Scholar] [CrossRef]
- Ojcius, D.; Peeling, R.W.; Mabey, D.C.W. In the news/focus: Syphilis. Nat. Rev. Microbiol. 2004, 2, 448–449. [Google Scholar] [CrossRef]
- CDC Syphilis & MSM (Men who have Sex with Men). CDC Fact Sheet. STD Facts 2019, 1–2, 1. [Google Scholar]
- Marra, C.M.; González-Scarano, F.; Jeanne, M. Neurosyphilis—UpToDate. Available online: https://www.uptodate.com/contents/neurosyphilis?search=neurosyphilis&source=search_result&selectedTitle=1~70&usage_type=default&display_rank=1 (accessed on 4 March 2020).
- Ropper, A.H. Neurosyphilis. N. Engl. J. Med. 2019, 381, 1358–1363. [Google Scholar] [CrossRef]
- Tien, R.D.; Gean-Marton, A.D.; Mark, A.S. Neurosyphilis in HIV carriers: MR findings in six patients. Am. J. Roentgenol. 1992, 158, 1325–1328. [Google Scholar] [CrossRef]
- Thibodeau, R.; Goel, A.; Jafroodifar, A.; Klumpp, M.; Mirchia, K.; Swarnkar, A. Cerebral syphilitic gumma presenting with intracranial gumma and pathologic vertebrae fractures. Radiol. Case Rep. 2021, 16, 916–922. [Google Scholar] [CrossRef]
- Weng, C.; Huang, K.; Jiang, T.; Zhou, G.; Wu, T. Cerebral syphilitic gumma masquerading as cerebral metastatic tumors: Case report. Neurosurg. Focus 2019, 47. [Google Scholar] [CrossRef]
- Tawfik, S.; Khong, P.; Dower, A.; Huynh, W. Syphilitic gumma presenting as myelopathy. J. Clin. Neurosci. 2019, 10–11. [Google Scholar] [CrossRef]
- Shen, S.; Yang, R.; Wang, L.; Tang, L.; Liu, B. Multiple intracranial and spinal cord syphilitic gummas in a human immunodeficiency virus-negative man with untreated syphilis: A case report. Medicine 2019, 98, e16887. [Google Scholar] [CrossRef] [PubMed]
- Sasaki, R.; Tanaka, N.; Okazaki, T.; Yonezawa, T. Multiple cerebral syphilitic gummas mimicking brain tumor in a non-HIV-infected patient: A case report. J. Infect. Chemother. 2019, 25, 208–211. [Google Scholar] [CrossRef] [PubMed]
- Huang, Y.H.; Shi, Q.X.; Xu, M.M.; Chen, C.Z.; Yang, M.L.; Li, J.J.; Chen, Y.F.; Lin, Z.Q.; Lin, Y.Y. Spinal cord syphilitic gumma presenting with brown-Séquard syndrome: A case report and literature review. Ann. Clin. Lab. Sci. 2019, 49, 265–270. [Google Scholar] [PubMed]
- Shao, X.; Qiang, D.; Liu, Y.; Yuan, Q.; Tao, J.; Ji, B. Diagnosis and Treatment of Cerebral Syphilitic Gumma: A Report of Three Cases. Front. Neurosci. 2018, 12, 1–6. [Google Scholar] [CrossRef]
- Kuroi, Y.; Tani, S.; Shibuya, M.; Kasuya, H. Teaching NeuroImages: Cerebral syphilitic gumma with numerous spirochetes in immunohistochemical staining. Neurology 2018, 90, e818–e819. [Google Scholar] [CrossRef]
- Koizumi, Y.; Watabe, T.; Ota, Y.; Nakayama, S.I.; Asai, N.; Hagihara, M.; Yamagishi, Y.; Suematsu, H.; Tsuzuki, T.; Takayasu, M.; et al. Cerebral Syphilitic Gumma Can Arise Within Months of Reinfection: A Case of Histologically Proven Treponema pallidum Strain Type 14b/f Infection with Human Immunodeficiency Virus Positivity. Sex. Transm. Dis. 2018, 45, e1–e4. [Google Scholar] [CrossRef]
- Kodama, T.; Sato, H.; Osa, M.; Fujikura, Y.; Kawana, A. Cerebral syphilitic gumma in immunocompetent man, Japan. Emerg. Infect. Dis. 2018, 24, 395–396. [Google Scholar] [CrossRef]
- Kikuchi, Y.; Hiwatashi, A.; Togao, O.; Yamashita, K.; Momosaka, D.; Honda, H. Cerebral syphilitic gumma mimicking glioma: Utility of CT perfusion. Diagn. Interv. Imaging 2018, 99, 755–757. [Google Scholar] [CrossRef]
- Yin, R.; Wang, L.; Zhang, T.; Zhao, B. Syphilis of the lumbar spine: A case report and review of the literature. Medicine 2017, 96, e9098. [Google Scholar] [CrossRef]
- Xia, D.Y.; Zhu, M.F.; Liu, C.G.; Dai, Y.; Li, Z.B.; Jiang, X.C.; Xu, S.S. Cerebral Syphilitic Gumma Misdiagnosed as a Malignant Brain Tumor. J. Craniofac. Surg. 2017, 28, e170–e172. [Google Scholar] [CrossRef]
- Shi, F.; Jiang, H.; Shi, Z.; Liu, H.; Zhang, Q. Cerebral syphilitic gumma: Case report of a brainstem mass lesion and brief review of the literature. Jpn. J. Infect. Dis. 2017, 70, 595–596. [Google Scholar] [CrossRef]
- Rasool, N.; Stefater, J.A.; Eliott, D.; Cestari, D.M. Isolated presumed optic nerve gumma, a rare presentation of neurosyphilis. Am. J. Ophthalmol. Case Rep. 2017, 6, 7–10. [Google Scholar] [CrossRef]
- Zhang, L.; Zhou, Y.; Chen, J.; Yan, W.; Kong, Q.; Chen, P.; Sang, H. A case of a cerebral syphilitic gumma developed in a few months mimicking a brain tumor in a human immunodeficiency virus-negative patient. Br. J. Neurosurg. 2016, 31, 481–483. [Google Scholar] [CrossRef]
- Yang, C.; Li, G.; Fang, J.; Liu, H.; Yang, B.; Xu, Y. Spinal Intramedullary Syphilitic Gumma: An Unusual Presentation of Neurosyphilis. World Neurosurg. 2016, 95, e17–e23. [Google Scholar] [CrossRef]
- Tsuboi, M.; Nishijima, T.; Teruya, K.; Kikuchi, Y.; Gatanaga, H.; Oka, S. Cerebral syphilitic gumma within 5 months of syphilis in HIV-infected patient. Emerg. Infect. Dis. 2016, 22, 1846–1848. [Google Scholar] [CrossRef] [PubMed]
- Faropoulos, K.; Zolota, V.; Gatzounis, G. Occipital lobe gumma: A case report and review of the literature. Acta Neurochir. 2017, 159, 199–203. [Google Scholar] [CrossRef] [PubMed]
- Sprenger, K.; Furrer, H. Chameleons everywhere. BMJ Case Rep. 2014, 2014, 1–3. [Google Scholar] [CrossRef] [PubMed]
- Yoon, Y.K.; Kim, M.J.; Chae, Y.S.; Kang, S.H. Cerebral syphilitic gumma mimicking a brain tumor in the relapse of secondary syphilis in a human immunodeficiency virus-negative patient. J. Korean Neurosurg. Soc. 2013, 53, 197–200. [Google Scholar] [CrossRef]
- Huo, K.; Liu, L. Horizontal gaze palsy with progressive myoclonic epilepsy: Rare presentation of Gaucher’s disease. Neurol. India 2013, 61, 177–178. [Google Scholar] [CrossRef]
- Ventura, N.; Cannelas, R.; Bizzo, B.; Gasparetto, E.L. Intracranial syphilitic gumma mimicking a brain stem glioma. Am. J. Neuroradiol. 2012, 33, 110–111. [Google Scholar] [CrossRef]
- Noel, C.B.; Moeketsi, K.; Kies, B. Cavernous sinus syndrome, an atypical presentation of tertiary syphilis: Case report and review of the literature. Clin. Neurol. Neurosurg. 2011, 113, 65–67. [Google Scholar] [CrossRef]
- Li, J.C.; Mahta, A.; Kim, R.Y.; Saria, M.; Kesari, S. Cerebral syphilitic gumma: A case report and review of the literature. Neurol. Sci. 2012, 33, 1179–1181. [Google Scholar] [CrossRef]
- Lee, C.W.; Lim, M.J.; Son, D.; Lee, J.S.; Cheong, M.H.; Park, I.S.; Lim, M.K.; Kim, E.; Ha, Y. A case of cerebral gumma presenting as brain tumor in a human immunodeficiency virus (HIV)-negative patient. Yonsei Med. J. 2009, 50, 284–288. [Google Scholar] [CrossRef]
- Fargen, K.M.; Alvernia, J.E.; Lin, C.S.; Melgar, M. Cerebral syphilitic gummata: A case presentation and analysis of 156 reported cases. Neurosurgery 2009, 64, 568–575. [Google Scholar] [CrossRef]
- Weinert, L.S.; Scheffel, R.S.; Zoratto, G.; Samios, V.; Jeffmann, M.W.; Dora, J.M.; Goldani, L.Z. Cerebral syphilitic gumma in HIV-infected patients: Case report and review. Int. J. STD AIDS 2008, 19, 62–64. [Google Scholar] [CrossRef]
- Morshed, M.G.; Lee, M.K.; Maguire, J.; Zwimpfer, T.; Willoughby, B.; Clement, J.; Crawford, R.I.; Barberie, J.; Gul, S.; Jones, H. Neurosyphilitic gumma in a homosexual man with HIV infection confirmed by polymerase chain reaction. Int. J. STD AIDS 2008, 19, 568–569. [Google Scholar] [CrossRef]
- Darwish, B.S.; Fowler, A.; Ong, M.; Swaminothan, A.; Abraszko, R. Intracranial syphilitic gumma resembling malignant brain tumour. J. Clin. Neurosci. 2008, 15, 308–310. [Google Scholar] [CrossRef]
- Soares-Fernandez, J.; Ribeiro, M.; Mare, R.; Magalhaes, Z.; Lourenco, E.; Rocha, J. Diffusion-Weighted Magnetic Resonance Imaging Findings in a Patient with Cerebral Syphilitic Gumma. J. Comput. Assist. Tomogr. 2007, 31, 592–594. [Google Scholar] [CrossRef]
- Gyori, E.; Lew, E.O. Unsuspected central nervous system gummas in a case of “cerebral infarctg” associated with cocaine use. Am. J. Forensic Med. Pathol. 2007, 28, 208–211. [Google Scholar] [CrossRef]
- Régal, L.; Demaerel, P.; Dubois, B. Cerebral syphilitic gumma in a human immunodeficiency virus-positive patient. Arch. Neurol. 2005, 62, 1310–1311. [Google Scholar] [CrossRef]
- Ances, B.; Danish, S.; Kolson, D.; Judy, K.; Liebeskind, D. Cerebral Gumma Micking Glioblastoma Multiforme. Neurocrit. Care 2005, 2, 300–302. [Google Scholar] [CrossRef]
- Lana-Peixoto, M.; Teixeira, A.J.; Tzelikis, P.; Campos, W.; Curi, A.; Orefice, F. Asymptomatic Intracranial Gumma in a Patient with Syphilitic Uveitis and Human Immunodeficiency Infection. Scand. J. Infect. Dis. 2003, 35, 341–343. [Google Scholar] [CrossRef]
- Charach, G.; Groskopf, I.; Turner, D.; Barilan, M.; Kugel, C.; Weintraub, M. Syphilitic Gumma and Tubercolosis: An Unusual Combination in AIDS. Case Commun. 2008, 10, 1–2. [Google Scholar]
- Takeshima, H.; Kaku, T.; Ushio, Y. Cerebral Gumma showing spontaneous regression on magnetic resonance imaging study. Neurol. Med. Chir. 1999, 39, 242–245. [Google Scholar] [CrossRef][Green Version]
- Suarez, J.; Mlakar, D.; Snodgrass, S. Cerebral Syphilitic Gumma in an HIV-Negative Patient Presenting as Prolonged Focal Motor Status Epilepticus. N. Engl. J. Med. 1996, 335, 1159–1160. [Google Scholar] [CrossRef]
- Uemura, K.; Yamada, T.; Tsukada, A.; Enomoto, T.; Yoshii, Y.; Nose, T. Cerebral Gumma Mimicking Resonance Glioblastoma Images on Magnetic. Neurol. Med. Chir. 1995, 35, 462–466. [Google Scholar] [CrossRef][Green Version]
- Inoue, R.; Katayama, S.; Kusakabe, T.; Mori, T.; Hori, S. Cerebral Gumma Showing Linear Dural Enhancement on Magnetic Resonance Imaging. Neurol. Med. Chir. 1995, 35, 813–817. [Google Scholar] [CrossRef][Green Version]
- Horowitz, H.; Valsamis, M.; Wicher, V.; Abbruscato, F.; Larsen, S.; Wormser, G.; Wicher, K. Brief Report: Cerebral Syphilitic Gumma Confirmed by The Polymerase Chain Reaction in a Man with Human Immunodeficiency Virus Infection. N. Engl. J. Med. 1994, 331, 1488–1491. [Google Scholar] [CrossRef]
- Herrold, J.M. A Syphilitic Cerebral Gumma Manifesting as a Brain-Stem Mass Lesion That Responded to Corticosteroid Monotherapy. Mayo Clin. Proc. 1994, 69, 960–961. [Google Scholar] [CrossRef]
- Berger, J.R.; Waskin, H.; Pall, L.; Hensley, G.; Ihmedian, I.; Post, M.J.D. Syphilitic cerebral gumma with HIV infection. Neurology 1992, 42, 1282–1287. [Google Scholar] [CrossRef]
- Wang, A.M.; Barriger, T.K.; Wesolowski, D.P. Intracranial gumma mimicking a tuber cinereum tumor. Comput. Med. Imaging Graph. 1991, 15, 57–60. [Google Scholar] [CrossRef]
- Standaert, D.G.; Galetta, S.L.; Atlas, S.W. Meningovascular syphilis with a gumma of the midbrain. J. Clin. Neuroophthalmol. 1991, 11, 139–143. [Google Scholar] [PubMed]
- Smith, J.L.; Byrne, S.F.; Cambron, C.R. Syphiloma/gumma of the optic nerve and human immunodeficiency virus seropositivity. J. Clin. Neuroophthalmol. 1990, 10, 175–184. [Google Scholar] [PubMed]


| # of Case | Location | Sex | MSM | Age | HIV | Year of Report | Country | Ref. |
|---|---|---|---|---|---|---|---|---|
| 1 | Frontal lobe; thoracic vertebrae | f | 37 | no | 2021 | U.S. | [9] | |
| 2 | Frontal lobe | m | 45 | 2019 | China | [10] | ||
| 3 | Thoracic medullary Th10; cauda equina at the 3/4 lumbar level | m | “In his 30s” | no | 2019 | Australia | [11] | |
| 4 | Multiple loci cerebellar and medullary | m | 22 | no | 2019 | China | [12] | |
| 5 | Frontal and temporal lobe | m | 47 | no | 2019 | Japan | [13] | |
| 6 | Thoracal intra-/extramedullary T8 level | f | 45 | no | 2019 | China | [14] | |
| 7 | Frontal lobe | m | 37 | 2018 | China | [15] | ||
| 8 | Frontal lobe | m | 62 | 2018 | China | [15] | ||
| 9 | Frontal lobe | m | 66 | 2018 | China | [15] | ||
| 10 | Temporal lobe | m | 62 | no | 2018 | Japan | [16] | |
| 11 | Temporal lobe | m | no | 44 | yes | 2018 | Japan | [17] |
| 12 | Temporal | m | 36 | no | 2018 | Japan | [18] | |
| 13 | Frontal lobe | f | 50 | 2018 | Japan | [19] | ||
| 14 | Medullary L4 | m | 61 | 2017 | China | [20] | ||
| 15 | Frontal lobe | m | 62 | 2017 | China | [21] | ||
| 16 | Brain stem | m | no | 41 | no | 2017 | China | [22] |
| 17 | Optic nerve | m | 36 | yes | 2016 | U.S. | [23] | |
| 18 | Parietal lobe | m | 56 | no | 2016 | China | [24] | |
| 19 | Intramedullary C5 level | f | 65 | no | 2016 | China | [25] | |
| 20 | Frontal lobe | m | 21 | yes | 2016 | Japan | [26] | |
| 21 | Occipital lobe | m | 53 | 2016 | Greece | [27] | ||
| 22 | Frontal lobe | m | yes | 51 | no | 2016 | Germany | This case |
| 23 | Parietal lobe | m | 40 | yes | 2014 | Switzerland | [28] | |
| 24 | Frontal lobe | f | 59 | no | 2013 | South Korea | [29] | |
| 25 | Parietal | m | 38 | no | 2013 | China | [30] | |
| 26 | Pons | m | 26 | yes | 2012 | Brazil | [31] | |
| 27 | Cavernous sinus | f | 62 | no | 2011 | South Africa | [32] | |
| 28 | Basal ganglia; temporal lobe | m | 45 | no | 2011 | China | [33] | |
| 29 | Cerebrum | f | 40 | no | 2009 | South Korea | [34] | |
| 30 | Occipital lobe | m | yes | 61 | no | 2008 | U.S. | [35] |
| 31 | Frontal lobe | m | 20 | yes | 2008 | Brazil | [36] | |
| 32 | Frontal lobe | m | yes | 46 | yes | 2008 | Canada | [37] |
| 33 | Temporal lobe | m | no | 43 | no | 2008 | Australia | [38] |
| 34 | Parietal lobe | m | 42 | yes | 2007 | Portugal | [39] | |
| 35 | Parietotemporal | m | no | 54 | 2007 | U.S. | [40] | |
| 36 | Frontal lobe | m | yes | 42 | yes | 2005 | Belgium | [41] |
| 37 | Corpus callosum | m | 42 | no | 2005 | U.S. | [42] | |
| 38 | Pons and middle cerebellar peduncle | m | no | 51 | yes | 2003 | Brazil | [43] |
| 39 | Temporo-parietal | m | 42 | yes | 2002 | Israel | [44] | |
| 40 | Temporo-occipital | m | 75 | 1999 | Japan | [45] | ||
| 41 | Frontal lobe | m | 47 | no | 1996 | U.S. | [46] | |
| 42 | Optic tract, temporal lobe | f | 39 | no | 1995 | Japan | [47] | |
| 43 | Cerebellar, temporal lobe | m | 51 | 1995 | Japan | [48] | ||
| 44 | Parieto-occipital, cerebellum | m | 29 | yes | 1994 | U.S. | [49] | |
| 45 | Pontomesencephalic region; choroidal fissure | m | 69 | no | 1994 | U.S. | [50] | |
| 46 | “Cerebral” | m | yes | 1992 | U.S. | [51] | ||
| 47 | “Cerebral” | m | yes | 1992 | U.S. | [51] | ||
| 48 | Tuber cinereum | m | 37 | 1991 | U.S. | [52] | ||
| 49 | Midbrain and thalamus | m | 27 | 1991 | U.S. | [53] | ||
| 50 | Optic nerve | m | 68 | 1990 | U.S. | [54] |
| # of Case | Clinical Appearance | Surgery | Treatment | Outcome | Ref. |
|---|---|---|---|---|---|
| 1 | Seizures, left-sided weakness, urinary incontinence, mild photophobia, ataxia, and headache. | Yes | Benzathine penicillin G daily; dexamethasone. | [9] | |
| 2 | Headache and left-sided weakness. | Yes | 14-day course of IV penicillin (2.5 million U administered every 4 h) followed by a three-week course of IM of benzathine penicillin (2.4 million U administered once per week). | Myodynamia of the left limbs gradually improved. | [10] |
| 3 | Rapidly progressive right lower limb monoparesis associated with sphincter and erectile dysfunction; impaired sensation in the right leg, with reduced anal tone and saddle anesthesia. | Yes | IV benzylpenicillin. | Near complete neurological recovery after three months. | [11] |
| 4 | Progressive right lower limb weakness with tremor, and headache. | No | IV penicillin G at 24 million units daily divided into six doses was given for a total of 21 days, along with three weekly IM of benzathine penicillin G (BPG, 2.4 million units); oral prednisolone (40 mg) was also prescribed 24 h before the start of penicillin for three days. | Complete neurological recovery after three weeks. | [12] |
| 5 | Generalized tonic-clonic seizures; syphilitic roseola was observed on the skin in the hypogastric region. | no | Amoxicillin per os 1500 mg/day followed by penicillin G IV 24 × 106 U for 14 days. | Completely recovered. | [13] |
| 6 | Revealed muscle strength of grade 3/5 in right lower extremities and loss of superficial sensation of grade 3/10 below the umbilicus on the left side; grade 3 ankle and knee hyperreflexia on the right side; positive Babinski sign and Chaddock sign. | yes | Penicillin G (IV 19.6 million U/day, and 4.9 million U QID) for 14 days, then IM benzathine penicillin G (2.4 million U QW) for 21 days. | Completely recovered after three months. | [14] |
| 7 | Dizziness for ~15 days. | no | 14-day IV penicillin (2.4 million U every 4 h) followed by three weeks of IM benzathine penicillin (2.4 million U, once per week). | Complete recovery after four months. | [15] |
| 8 | Speech arrest for 10 h, clear consciousness. | yes | Complete recovery after six months. | [15] | |
| 9 | Decreasing right eye vision and headache since ~50 days ago. | yes | [15] | ||
| 10 | Headache. | yes | [16] | ||
| 11 | Severe headache, nausea, and vomiting. | yes | 14 days of IV ceftriaxone 2 g every 24 h. | Completely recovered. | [17] |
| 12 | Hearing loss in right ear and right-side facial paralysis since two weeks ago. | no | “2015 U.K. national guidelines”. | After two weeks: facial nerve palsy improved markedly; hearing loss improved gradually. | [18] |
| 13 | Headache, right-sided hearing loss, tinnitus, and vertigo since three months ago. | no | IV penicillin G. | [19] | |
| 14 | Worsening pain and numbness in both lower legs for four weeks, started one year ago. | yes | [20] | ||
| 15 | Speech disturbance and a mild headache since 10 days ago. | yes | Penicillin G IV daily (24 million units for 14 days), followed by IM benzathine penicillin G (2.4 million units three-weekly). | “Improving gradually”. | [21] |
| 16 | Headache, swallowing difficulties, and dysarthria for four months, and vomiting for a month and a half; progressive right facial and neck numbness for two years; dysarthria; right Babinski sign positive. | no | IV penicillin G (24 million units per day). | Complete recovery after two months. | [22] |
| 17 | Decreased vision, left eye. | no | 14 days of IV penicillin. | Vision improved. | [23] |
| 18 | Mild headache; twitch and right limb sustained shaking. | yes | IV penicillin G (24 million units per day for 12 days), followed by IM benzathine penicillin G (2.4 million units three-weekly). | [24] | |
| 19 | Paresthesia in both upper extremities and weakness; two-month history of neck–shoulder–back pain. | yes | IV penicillin G (24 million units/day) for 14 days. | After 29 months: pain completely relieved; sensorimotor dysfunctions partially improved; sensory disturbance remained; muscle strength legs improved. | [25] |
| 20 | 2 h loss of consciousness; prior: uncomfortable feeling at the back of his head and neck and eye fatigue that lasted for one week. | no | IV benzylpenicillin (24 million units/day) for 14 consecutive days. | Complete recovery after two months. | [26] |
| 21 | Rapidly deteriorating gait disorder. | yes | “Per os penicillin”. | Complete recovery. | [27] |
| 22 | One-month history of vertigo and blurry vision; two episodes of tinnitus. | yes | IV penicillin G (24 million units per day, 3–4 million units every 4 h) for 10 days. | Complete recovery after four months. | This case |
| 23 | Persistent fatigue, excessive sweating and pain in the right thorax, slight paresthesia of the right hand, and headaches. | yes | IV penicillin G (6 × 4 Mio U/day) for 14 days. | [28] | |
| 24 | Speech disturbance/dysarthria. | yes | Ceftriaxone IV daily dose of 2 g for 14 days. | Completely recovered after 15 months. | [29] |
| 25 | Headache and emesis for 15 days. | yes | “Symptoms are improving gradually”. | [30] | |
| 26 | Four-month history of fever, weight loss, dizziness, diarrhea, tremors, and paresthesia, disorientation, pyramidal and extrapyramidal symptoms, and multiple cutaneous non-pruriginous cicatricial lesions affecting the chest and inferior limbs. | no | IV crystalline penicillin (24 × 106 units/day) for 14 days. | “Significant clinical improvement”. | [31] |
| 27 | Two-week history of painful ophthalmoplegia and a complete left ptosis, signs of cavernous sinus syndrome, with left sided III, IV, V1, V2, and VI cranial nerve palsies. | no | IV crystalline penicillin G (24 million units per day) for two weeks, followed by 2.4 million units of IM penicillin administered weekly for three weeks (total 7.2 million units). | Cranial nerves: After three weeks, full recovery in III, IV, V1, and V2, and partial recovery in cranial nerve VI. | [32] |
| 28 | Eight-day history of right-sided vision loss, slurred speech, incoordination of his right arm and leg, and imbalance ad admission. | yes | IV penicillin G 14 days, followed by three-weekly IM shots of benzathine penicillin G (2.4 million units). | One-month follow-up: gait and use of right hand improved dramatically; right-sided visual loss persisted. | [33] |
| 29 | Three- to four-month history of headache. | yes | IV penicillin G daily (24 × 106 U) for 10 days. | Complete recovery. | [34] |
| 30 | Two-month history of progressively worsening altered mental status and intermittent seizures characterized by the déjà vu phenomena; left homonymous hemianopsia. | yes | [35] | ||
| 31 | Single episode of a tonic-clonic seizure. | yes | IV crystalline penicillin G (24 million units) daily for 14 days. | [36] | |
| 32 | Eight-week history of left frontal headaches. | no | “Intravenous penicillin”. | No further symptoms. | [37] |
| 33 | Two-month history of worsening generalized headaches, nausea, and peculiar speech. | yes | “Intravenous penicillin”. | Full clinical recovery. | [38] |
| 34 | Generalized seizure. | no | IV penicillin G; after 10 days, the patient refused further treatment. | After two-month asymptomatic period, follow-up MRI: residual focal contrast enhancement, marked reduction of perilesional edema, and normal signal on diffusion weighted imaging (DWI). | [39] |
| 35 | “Altered mental status,” rhabdomyolysis, and hypernatremia; confused, disoriented, and agitated; “speech was incoherent, his mood anxious, and his affect inappropriate”. | no | The patient died eight days after admission; the diagnosis of neurosyphilitic gumma was made post-mortem. | [40] | |
| 36 | Fever, headache for two and a half months, and hearing loss since one week before | no | IV penicillin G and ampicillin for three weeks | Complete recovery after three weeks | [41] |
| 37 | Frequent falling, visual hallucinations, headaches, diminished appetite, and prominent weight loss over a period of several months; cachectic and minimally interactive; prominent abulia, psychomotor retardation, and tremulousness of bilateral upper extremities; diminished proprioception with a shuffling gait | yes | Patient died during hospital stay | [42] | |
| 38 | Three-month history of progressive visual decline in the right eye | no | IV penicillin (24 million units/day) for 21 days | Lost to follow-up | [43] |
| 39 | Grand mal seizure; ataxia | yes | Treatment for tuberculosis | Died after three weeks; post-mortem diagnosis of syphilis | [44] |
| 40 | 10-day history of headache | yes | IV penicillin G: Skin eruption; switch to oral erythromycin for 28 days | Recovery | [45] |
| 41 | Generalized seizure | no | IV phenytoin and high-dose penicillin G for 21 days | Recovery | [46] |
| 42 | Visual impairment worsening rapidly over one week; left upper quadrantanopsia, diplopia, slight hemiparesis, and hypesthesia on the left side; bilateral optic atrophy | yes | IV penicillin G (24 × 106 U/day IV) plus probenecid for 14 days, followed by procaine penicillin G (2.4 × 106 U/week IM) | Rigidity in left upper extremity resolved; left upper homonymous quadrantanopsia remained | [47] |
| 43 | Four-month history of headache; diplopia for three months; vertigo; cerebellar ataxia; abducens nerve paresis | yes | IV penicillin G (12 × 106 U/day) for 10 days (total 120 × 106 U) | Cerebellar ataxia gradually improved; right abducens nerve paresis remained unchanged | [48] |
| 44 | Three years before: history of right-sided weakness for six months, changes in mental status for three months, one seizure one week before admission, problems with swallowing for one week; at admission: disorientation, tremoulus, and poor memory | no | Cefotaxime 2 g IV every 6 h for 11 days, followed by IV penicillin G (12 × 106 U/day) for 10 days; subsequently, amphotericin B and ceftazidime (because of progressive neurological deterioration) | None of the lesions resolved with treatment; four days before death, occlusive hydrocephalus | [49] |
| 45 | Intermittent diplopia, slurred speech, right-sided weakness, and gait unsteadiness; after therapy (five months later): Mild worsening of the right-sided hemiparesis | no | Allergy to penicillin: two-week IV ceftriaxone (1 g/day), followed by 30 days of oral doxycycline (100 mg twice a day); second treatment five months after initial treatment: skin tests for penicillin allergy; subsequently, 21 days of IV penicillin (4 million U every 4 h) | Five months after initial therapy: Mild worsening of hemiparesis; at follow-up six months after last therapy (penicillin): Remained neurologically stable; findings on a repeated lumbar puncture were normal | [50] |
| 46 | Seizure disorder | yes | “High-dose” IV penicillin | [51] | |
| 47 | Seizure disorder | no | “High-dose” IV penicillin | [51] | |
| 48 | Headache for three months; mild ataxia, intermittent low-grade fever, skin rashes, cervical lymph node enlargement, conjunctivitis, and progressively decreased libido | Initial diagnosis sarcoidosis: prednisone; after second lumbar puncture and diagnosis of syphilis: IV penicillin G (24 million units per day) for 10 days. | Three months after therapy: Neurological examination was normal; left hemi-ataxia resolved | [52] | |
| 49 | Dorsal midbrain syndrome, cognitive dysfunction, and a left peripheral seventh nerve palsy | no | “Intravenous penicillin” | [53] | |
| 50 | Right eye vision suddenly became “totally black,” cleared totally within 10–12 s; edema of the right optic nerve with dilated vessels on its surface and a bit of hemorrhage around the papilla; less than one month later: transient obscurations in the right eye, floaters in the left eye, photophobic, and persistent blurring left eye | no | IV penicillin G (20 million U/day) for 10 days | Transient obscurations stopped completely during hospital stay; after five months: right optic disc appeared notably improved; blind spot sizes within normal limits in both eyes; iritis and vitritis of left eye improved | [54] |
| # of Case | Histology | CSF | Neuroimaging | Ref. |
|---|---|---|---|---|
| 1 | Focal chronic dural inflammation and a reactive neocortex with chronic inflammation and rare spirochetes. | MRI: cerebral edema of the frontoparietal lobes; nodular contrast enhancement (T1). | [9] | |
| 2 | Large quantity of inflammatory cell infiltration containing lymphocytes, neutrophils, and necrosis. | Routine examination, biochemical indexes: normal; TPPA: positive. | Edema around the lesion in MRI and CT. CT: low-density lesion; homogeneous enhancement with contrast. MRI: isointensity on T1; long T2 nodular signal shadow; somewhat higher T2-FLAIR signal; high signal in diffusion-weighted imaging. | [10] |
| 3 | Initial Warthin–Starry staining for spirochetes, Ziehl–Neelsen staining for atypical bacteria, and periodic acid-Schiff staining for fungi were negative; retrospective immunoperoxidase stains returned positive and revealed scattered spirochetes. | MRI: lobulated contrast enhancing intramedullary mass at level T10. | [11] | |
| 4 | White blood cells: 84 cells/mL; total protein level: 2.08 g/L; glucose level: 2.95 mmol/L; TRUST: positive (1:4). | MRI: multiple dural-based enhancing masses; irregular ring-enhancing lesion, central hypointense surrounding edema; enhanced nodules: homogeneous-enhancing or ring-enhancing. | [12] | |
| 5 | Cell count: 199/mL; glucose: 61 mg/dL; protein: 116 mg/dL; positive TPHA and FTA-ABS—immunoglobulin G. | MRI: multiple mass lesions, enhanced and adjacent to the dura, left cerebral hemisphere. | [13] | |
| 6 | Granulomatous inflammation with small areas of caseous necrosis, multinucleated giant cells infiltration, surrounded by large numbers of lymphocytes and small numbers of neutrophils; swelling and hyperplasia of some vascular endothelial cells with massive infiltration of lymphocytes and plasma cells around the blood vessels; immunohistochemistry: immunopositivity with glial fibrillary acidic protein, myelin basic protein, neurofilament protein, CD3, CD45RO, and CD68, but was negative for periodic acid-Schiff and CD56; acid-fast staining: negative; further Warthin–Starry staining confirmed spirochetes. | MRI: irregular nodule at T8 level intradural–extramedullary and intramedullary, slightly hyperintense (T1), heterogeneously hyperintense signal (T2), significantly and homogeneously enhanced with contrast. | [14] | |
| 7 | Protein: 97.3 mg/dL; white blood cells: 84 × 106/L; RPR: positive; TPPA: positive. | MRI: slightly abnormal lamellar and longer T1, T2 signal shadow; contrast enhancement: lesion patchy enhancement, adjacent meninges slightly thickened and enhanced. | [15] | |
| 8 | HE staining: necrotic with infiltration of inflammatory cells, glial proliferation in the periphery; GFAP staining: small amount of glial proliferation around necrotic foci; Ki67 staining: higher proliferative activity around the necrotic lesions; P53 staining: negative peripheral P53. | MRI: slightly long T1 and a long T2 nodular signal shadow left cerebral falx, slightly high T2- FLAIR and DWI signal; edema. CT: low-density-area left frontal lobe, ventricular compression. | [15] | |
| 9 | Argyrophilic staining: negative; HE staining: necrotic with infiltration of inflammatory cells, glial proliferation in the periphery; GFAP staining: small amount of glial proliferation around necrotic foci; Ki67 staining: higher proliferative activity around the necrotic lesions; P53 staining: negative peripheral P53. | TPPA: positive; RPR: positive. | MRI: irregular clumping, high-signal mixed with low-signal foci frontal lobe, unclear border, surrounded by a large, low-signal shadow, ventricle re-compressed. | [15] |
| 10 | Immunohistochemical staining revealed numerous spirochetes. | 2.2-fold higher RPR levels. | Contrast-enhanced T1-weighted, fluid-attenuated inversion recovery image reveal ring-enhanced lesion with substantial edema. | [16] |
| 11 | Nonspecific inflammatory granuloma with central necrosis; T. pallidum immunohistochemical stain: clearly stained as helical-shaped in the granuloma specimen (two different T. pallidum-specific PCR (targeting polA and TpN47) for homogenized specimens were positive; T. pallidum DNA was identified. | Cells: 12/mm3; glucose: 98 mg/dL; protein: 90 mg/dL; TPLA: negative; RPR: negative. | MRI: nodule with ring enhancement; high-intensity area in T2; SPECT: weak uptake both in early and late phase; high retention index of 0.86. | [17] |
| 12 | 142 cells/µL (96% lymphocytes); glucose: 60 mg/dL; total protein: 64 mg/dL; RPR titer: 1:2.4; Treponema pallidum latex agglutination titer: 1:53.4.; fluorescent treponemal antibody absorption: 2+ positive. | MRI: nodulus-enhanced temporal on T1, hyperintense on T2; enhanced vestibulo-cochlear nerve and facial nerve T1. | [18] | |
| 13 | Fluorescent treponemal antibody absorption: increased (1:514.5). | MRI: enhancing mass; iso to slightly hyperintense lesion (T1). CT: iso-attenuating lesion; mild enhancement, surrounding edema; hypointense with surrounding edema (T2*); hypointensity at cortex with surrounding hyperintensity (DWI; postcontrast T1: heterogeneous enhancement). CT perfusion: no increase in cerebral blood volume. | [19] | |
| 14 | Degenerative necrotic tissues and fibrous connective tissues with occasional perivascular infiltration by lymphocytes. | MRI: narrowing of the disc space at L4–5, mass behind vertebral body. CT: “Extensive wormy appearance”. | [20] | |
| 15 | Severe inflammation and putrescence formation with a large quantity of inflammatory cell infiltration (mainly of the lymphocytes and plasma cells). | RPR and Treponema pallidum particle agglutination test: positive; RPR titer: 1:8. | MRI: irregular-enhancing lesion with extensive edema. CT: lesion frontal lobe with severe edema. | [21] |
| 16 | 50 cells/µL (80% lymphocytes, 20% monocytes); total protein level: 0.29 g/L; chloride concentration: 126.1 mmol/L; RPR + VDRL: negative. | MRI: hyperintense gadolinium-enhanced T1-weighted regions in the brainstem. | [22] | |
| 17 | MRI: enhancement of the left optic nerve. | [23] | ||
| 18 | Severe inflammation; putrescence and abscess formation; large quantity of inflammatory cell infiltration (mainly of the plasma cells); Warthin–Starry staining: no spirochetes. | Protein level: 0.72 g/L; RPR: negative; TPPA: positive; Spirochetes: not detected. | MRI: mass lesion. | [24] |
| 19 | Granuloma with fibrous hyperplasia; large quantities of inflammatory cell infiltration; immunohistochemistry positive for GFAP, MBP, NF, CD3, and CD45RO; CD68 immunonegative: PAS and CD56; acid-fast staining: negative; Warthin–Starry staining: spirochete-positive. | VDRL: 1:16 dilution; TPPA assay: positive; very few cells; protein: 29 mg/dL; glucose: 57 mg/dL. | MRI: intramedullary nodule; isointense (T1); hyperintense with isointense center, perilesional oedema (T2); lesion enhanced after contrast. | [25] |
| 20 | Leukocyte count: 35 cells/mL (2 neutrophils/mL, 33 lymphocytes/mL); total protein level: 30 mg/dL; glucose: 59 mg/dL; RPR titer: 1:<1; TPHA titer: 1:160; fluorescent treponemal antibody absorption titer: 1:32. | CT: hypodense lesion. MRI: hypointense lesion by gadolinium-enhanced (T1), hyperintense (T2); extensive edema. | [26] | |
| 21 | Necrotic area (star) with extensive peripheral granulomatous tissue (arrowhead). | Two lesions. MRI: low-signal (T1); ring-shaped enhancement and blurry borders (contrast enhanced); diffuse high-signal lesion (edema), low-signal, high-signal border (T2). CT: hypointense lesion, moderate edema. | [27] | |
| 22 | Immunohistochemical stains: Toxoplasma spp.- and T. pallidum-negative; staining with antibodies to GFAP, p53, and IDH1-R132H negative. | Contrast-enhancing lesion with perifocal edema, contrast enhancement. | This case | |
| 23 | Epithelioid cell macrophages and plasma cells without evidence of a pathogen. | TPHA: CSF/serum index negative. | MRI: mass lesion. | [28] |
| 24 | Chronic inflammation; Warthin–Starry: no spirochetes; necrotic material infiltrated predominantly with plasma cells; peri-vascular region with fibrosis contained lymphocytes and plasma cells; parenchymal infiltration of lymphocytes and plasma cells in the gumma. | White cells: 0/dL; erythrocytes: 1/mm2; glucose: 74 mg/dL; protein: 16.8 mg/dL; VDRL test: negative; T. pallidum (PCR): negative; FTA-ABS IgG: reactive. | MRI: irregular-enhancing mass, central necrosis; edema. CT: mass-like lesion; severe swelling. | [29] |
| 25 | Vascular intimal hyperplasia and large quantities of inflammatory cell infiltration; Warthin–Starry stain: T. pallidum-positive. | Protein: 0.468 g/L; chloride: 133.2 mmol/L; glucose: “normal”; lactate: “normal”; “no demonstrable T. pallidum” | MRI: irregular nodulus; hypointense (T1); hyperintense (T2) with meningeal thickening; edema. Contrast: enhancing ring. | [30] |
| 26 | “Aseptic meningitis” (lymphocytic pleocytosis, elevated protein, and normal glucose levels) | MRI: Pontine lesion; isointense to gray matter (T1WI); hyperintense on (T2WI and flair); no contrast enhancement. | [31] | |
| 27 | VDRL: positive; FTA: positive; Ziehl–Neelsen stain: positive; protein: 0.37 g/L; glucose: 4.0 mmol/L; polymorphonuclear cells: 0 cells/mm3; lymphocytes: 8 cells/mm3; erythrocytes: 6 cells/mm3. | MRI: Left sphenoid wing dural-based enhancing mass. | [32] | |
| 28 | Non-monoclonal, perivascular inflammatory infiltrates; no viral inclusions, granuloma or inclusions. | White blood cells: 18; red blood cells: 350; VDRL: positive. | MRI: lesions with isointense signaling (T1); surrounding increased signal and mass effect (T2); CT (with contrast): homogeneously enhancing lesions. | [33] |
| 29 | Central portion of the mass: necrotic material infiltrated with eosinophils; peripheral portion: fibrotic0contained lymphocytes and plasma cells; Warthin–Starry staining: spirochete-positive. | Red blood cells: 0 cells/mm3; white blood cells: 3 cells/mm3; glucose: 65 mg/dL; protein level: 47.0 mg/dL; VDRL, FTA-ABS; IgG: positive. | MRI: mass with an ill-defined margin, accompanied with severe swelling; central portion hypointense, peripheral isointense (T1); central portion hyperintense, peripheral portion isointense (T2); enhancement peripheral portion; no enhancement in the central portion (T1 contrast); high-signal intensity in the central portion (DWI). | [34] |
| 30 | Atypical polymorphic inflammatory infiltrate with intralesional spirochetes; fluorescein immunostaining: consistent with syphilitic gumma. | Glucose, protein, and cell counts: “Normal”; VDRL: nonreactive. | MRI: Isodense lesion (T1); isointense, extensive perilesional edema (T2); enhanced uniformly in contrast. | [35] |
| 31 | Granulomatosis with inflammatory infiltration; reactional gliosis, especially in the perivascular space; Ziehl–Nielsen and Groccot staining: negative; T. pallidum: positive. | White blood cells: 2/mm3; protein: 26 mg/dL; glucose: 69 mg/dL; VDRL: negative. | MRI: lesion enhanced in contrast. | [36] |
| 32 | Intense lymphoproliferative infiltrates of plasma cells, T lymphocytes, and B-cell infiltrates; PCR: positive for T. pallidum; Warthin–Starry stain: positive spirochaetes. | VDRL: reactive. | CT: left frontal lobe mass. | [37] |
| 33 | Necrotizing inflammatory mass, intense granulation; layered appearance: outer layer of reactive glial tissue, middle layer of granulation tissue containing lymphocytes, neutrophils, and plasma cells, and inner layer of necrosis; PCR: T. pallidum positive. | Aseptic meningitis with mononuclear pleocytosis; elevated protein with a low glucose CSF/serum ratio; RPR: positive. | MRI and CT: irregularly enhancing lesion with a central hypointense area, extensive surrounding edema. | [38] |
| 34 | “Normal cytology, glucose, and protein levels”; polymerase chain reactions for herpes simplex, cytomegalovirus, HHV6, and enteroviruses: negative; anti-treponemal antibodies: positive; VDRL: positive. | MRI: cortical lesion, isointense (T1, T2, fluid-attenuated inversion); edema; nodular and meningeal enhancement (contrast); restricted diffusion modulus and meningeal-based tail (DWI). | [39] | |
| 35 | Syphilitic gumma on postmortem neuropathologic examination: well-defined, round, rubbery, gray-tan, 4 cm maximal diameter mass, with adjoining diffuse edema; diffuse thickening of leptomeninges and infiltration with lymphocytes and plasma cells peri-vascularly, and histiocytes within leptomeninges; Warthin–Starry and modified Steiner stain did not demonstrate treponemas. | CT: without contrast left middle cerebral artery infarct, with edema and mass effect. | [40] | |
| 36 | White blood cell count: 1010/µL (64% polymorphonuclear leukocytes); hypoglycorrhachia: 16 mg/dL; protein level: 0.17 g/dL; lactate level: 50 mg/dL; IgG index: 1.27; 16 oligoclonal bands; anti-treponemal antibodies: positive; VDRL: positive. | MRI: vasogenic edema; enhancement of gumma (contrast), edema. | [41] | |
| 37 | Necrotic areas with extensive mixed inflammation, consisting of lymphocytes, plasma cells, neutrophils, and focal collagen deposits; inflammation was also present in several midsized arteries, with extensive infiltration by macrophages and severe narrowing of the lumens. | MRI: heterogeneous enhancement of partially cystic midline butterfly-shaped intra- and extra-axial mass; edema; butterfly midline lesion with mild surrounding edema (postcontrast T1); necrotic regions within the lesion and surrounding inflammation and edema (FLAIR); no hyperintensity in the lesion (DWI). CT: heterogeneous perifalcine mass extending from the corpus callosum bilaterally into the subcortical regions of the frontal lobes with considerable mass effect. | [42] | |
| 38 | 26 cells/mm3 (94% lymphocytes); protein level: 106 mg/dL; glucose level: 65 mg/dL; VDRL and FTA-ABS: reactive. | MRI: contrast-enhancing lesions. | [43] | |
| 39 | Non-specific encephalitis. | Autopsy: rich lymphocytes and plasma cells around blood vessels at the border of the gummas. | CT: three-ringed space-occupying lesions, surrounding edema. | [44] |
| 40 | Granulomatous inflammation; necrosis, fibrosis, and infiltration of a large number of lymphocytes and plasma cells. | TPHA: positive. | MRI: hypointense lesion (T1, T2), and strongly enhanced (contrast). CT: irregular low-density, ring-like enhancement (contrast). | [45] |
| 41 | Protein level: 117 mg/dL; glucose level: 69 mg/dL; white blood cells: 11 per mm3 (82% lymphocytes and 18% polymorphonuclear cells); VDRL: positive. | MRI: “abnormal signal” (T2); multifocal contrast enhancement. | [46] | |
| 42 | Necrotic center, surrounded by a layer of granulation tissue infiltrated with proliferating fibroblasts, variable numbers of lymphocytes, macrophages, and histiocytes, and many newly formed small blood vessels; perivascular lymphocytes and histiocytes. | CT: Small ring-like enhanced mass with a surrounding low-density area. MRI: low-signal-intensity basal ganglia (T1); small ring-like enhancement in the vicinity of the right optic nerve (contrast); high-signal intensity surrounding the lesion (T2). | [47] | |
| 43 | Epithelioid granuloma; central caseating necrosis, plasma cell infiltration; destruction of the tunica media of small arteries embedded in the lesion. | TPHA: positive. | CT: ambiguous hypodense lesions; oval homogeneously contrast-enhanced mass lesion attached to the dura mater right temporal. MRI: low-intensity lesions in right cerebellar hemisphere, right middle cerebellar peduncle, and right temporal lobe (T1); and high intensity in T2, homogeneously enhanced (contrast). | [48] |
| 44 | Postmortem: lesions with rubbery greenish core, surrounded by darker area; necrosis with marked inflammatory exudate (lymphocytes and plasma); multinucleated giant cells; silver staining with modified Steiner stain: spirochetal forms; PCR of coded specimens: syphilis (confirmed with DNA hybridization). | Three years ago: white blood cells: 4/mm3 (lymphocytes); erythrocytes: 3/mm3; protein level: 140 mg/dL; glucose level: 40 mg/dL; VDRL: negative. Last admission: white blood cells: 12/mm3 (11 lymphocytes); erythrocytes: 0; glucose level: 50 mg/dL; protein level: 178 mg/dL; VDRL: positive. | CT: multiple ring-enhancing lesions, left frontal. | [49] |
| 45 | Protein level: 23 mg/dL; glucose level: 86 mg/dL; leukocytes: 28/mm3; erythrocytes: 2/mm3; VDRL: not recorded. Second CSF sampling after one month: protein level: 82 mg/dL; glucose level: 60 mg/dL; leukocytes: 38/mm3 (99% lymphocytes); VDRL: positive. Third lumbar puncture after five months (after therapy): protein level: 40 mg/dL; glucose level: 55 mg/dL; leukocytes: 13/mm3 (86% lymphocytes); VDRL: positive. | MRI: contrast-enhancing lesions (T1); edema. One month later: CT: substantial resolution of the lesions while the patient was receiving only corticosteroid therapy (contrast). Nine months later: MRI: after treatment with both antibiotics and corticosteroids, demonstrated resolution of the lesions, except for a subtle abnormality in the left midbrain (Tl + contrast). | [50] | |
| 46 | Lymphoplasmacytic infiltrate with extensive perivascular inflammation. | MRI: dural thickening in the area of the lesion. CT: isolated, peripherally located, contrast-enhancing lesion of the brain. | [51] | |
| 47 | CT: isolated, peripherally located, contrast-enhancing lesion of the brain. | [51] | ||
| 48 | “Increased lymphocytes, elevated protein, and decreased glucose.” Second lumbar puncture: FTA-ABS: positive. | MRI: mass; signal intensity isointense to cortex on (T1 + double spin echo); enhanced markedly (T1, contrast). CT: suprasellar enhancing mass. | [52] | |
| 49 | MRI: intense enhancement | [53] | ||
| 50 | Erythrocytes: 6; lymphocytes: 0; glucose level: 41; protein level: 83; culture: negative; VDRL: positive (units are not reported). | MRI: normal. | [54] |
Publisher’s Note: MDPI stays neutral with regard to jurisdictional claims in published maps and institutional affiliations. |
© 2021 by the authors. Licensee MDPI, Basel, Switzerland. This article is an open access article distributed under the terms and conditions of the Creative Commons Attribution (CC BY) license (https://creativecommons.org/licenses/by/4.0/).
Share and Cite
Barthel, L.; Hetze, S.; Teuber-Hanselmann, S.; Chapot, V.; Sure, U. Syphilitic Gummata in the Central Nervous System: A Narrative Review and Case Report about a Noteworthy Clinical Manifestation. Microorganisms 2021, 9, 906. https://doi.org/10.3390/microorganisms9050906
Barthel L, Hetze S, Teuber-Hanselmann S, Chapot V, Sure U. Syphilitic Gummata in the Central Nervous System: A Narrative Review and Case Report about a Noteworthy Clinical Manifestation. Microorganisms. 2021; 9(5):906. https://doi.org/10.3390/microorganisms9050906
Chicago/Turabian StyleBarthel, Lennart, Susann Hetze, Sarah Teuber-Hanselmann, Valérie Chapot, and Ulrich Sure. 2021. "Syphilitic Gummata in the Central Nervous System: A Narrative Review and Case Report about a Noteworthy Clinical Manifestation" Microorganisms 9, no. 5: 906. https://doi.org/10.3390/microorganisms9050906
APA StyleBarthel, L., Hetze, S., Teuber-Hanselmann, S., Chapot, V., & Sure, U. (2021). Syphilitic Gummata in the Central Nervous System: A Narrative Review and Case Report about a Noteworthy Clinical Manifestation. Microorganisms, 9(5), 906. https://doi.org/10.3390/microorganisms9050906

