Engineering of Recombinant Sheep Pox Viruses Expressing Foreign Antigens
Abstract
1. Introduction
2. Materials and Methods
2.1. Virus and Cells
2.2. Construction of the Integration Plasmids
2.3. Generation and Identification of Recombinant Viruses
2.4. Light and Fluorescent Microscopy
2.5. Western Blot Analysis
2.6. Mouse Immunization
2.7. ELISA
2.8. Statistic Analysis
3. Results
3.1. Design and Construction of Integration Plasmids for SPPV Genome Recombination
3.2. Generation of Recombinant Viruses Expressing EGFP
3.3. Effectiveness Reproduction of Recombinant SPPV In Vitro
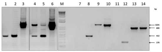
3.4. Genetic Stability of Recombinant SPPV
3.5. Assessment of EGFP Expression by Recombinant SPPV in Cells of Non-Permissive Hosts
3.6. Generation of Recombinant Virus Expressing VP1A and OMP25 Proteins
3.7. Immunogenicity of Recombinant SPPV Expressing VP1A and OMP25 Proteins
4. Discussion
5. Conclusions
Author Contributions
Funding
Institutional Review Board Statement
Informed Consent Statement
Acknowledgments
Conflicts of Interest
References
- Panicali, D.; Paoletti, E. Construction of poxviruses as cloning vectors: Insertion of the thymidine kinase gene from herpes simplex virus into the DNA of infectious vaccinia virus. Proc. Natl. Acad. Sci. USA 1982, 79, 4927–4931. [Google Scholar] [CrossRef] [PubMed]
- Blancou, J.; Kieny, M.P.; Lathe, R.; Lecocq, J.P.; Pastoret, P.P.; Soulebot, J.P.; Desmettre, P. Oral vaccination of the fox against rabies using a live recombinant vaccinia virus. Nature 1986, 322, 373–375. [Google Scholar] [CrossRef] [PubMed]
- Ohishi, K.; Inui, K.; Barrett, T.; Yamanouchi, K. Long-term protective immunity to rinderpest in cattle following a single vaccination with a recombinant vaccinia virus expressing the virus haemagglutinin protein. J. Gen. Virol. 2000, 81, 1439–1446. [Google Scholar] [CrossRef] [PubMed]
- Cheevers, W.P.; Hötzel, I.; Beyer, J.C.; Kumpula-McWhirter, N. Immune response to caprine arthritis-encephalitis virus surface protein induced by co-immunization with recombinant vaccinia viruses expressing the caprine arthritis-encephalitis virus envelope gene and caprine interleukin-12. Vaccine 2000, 18, 2494–2503. [Google Scholar] [CrossRef]
- Tartaglia, J.; Perkus, M.E.; Taylor, J.; Norton, E.K.; Audonnet, J.C.; Cox, W.I.; Davis, S.W.; van der Hoeven, J.; Meignier, B.; Riviere, M.; et al. NYVAC: A highly attenuated strain of vaccinia virus. Virology 1992, 188, 217–232. [Google Scholar] [CrossRef]
- Sutter, G.; Moss, B. Nonreplicating vaccinia vector efficiently expresses recombinant genes. Proc. Natl. Acad. Sci. USA 1992, 89, 10847–10851. [Google Scholar] [CrossRef]
- Breathnach, C.C.; Clark, H.J.; Clark, R.C.; Olsen, C.W.; Townsend, H.G.; Lunn, D.P. Immunization with recombinant modified vaccinia Ankara (rMVA) constructs encoding the HA or NP gene protects ponies from equine influenza virus challenge. Vaccine 2006, 24, 1180–1190. [Google Scholar] [CrossRef]
- Antonis, A.F.; van der Most, R.G.; Suezer, Y.; Stockhofe-Zurwieden, N.; Daus, F.; Sutter, G.; Schrijver, R.S. Vaccination with recombinant modified vaccinia virus Ankara expressing bovine respiratory syncytial virus (bRSV) proteins protects calves against RSV challenge. Vaccine 2007, 25, 4818–4827. [Google Scholar] [CrossRef]
- Romero, C.H.; Barrett, T.; Chamberlain, R.W.; Kitching, R.P.; Fleming, M.; Black, D.N. Recombinant capripoxvirus expressing the hemagglutinin protein gene of rinderpest virus: Protection of cattle against rinderpest and lumpy skin disease viruses. Virology 1994, 204, 425–429. [Google Scholar] [CrossRef]
- Aspden, K.; van Dijk, A.A.; Bingham, J.; Cox, D.; Passmore, J.A.; Williamson, A.L. Immunogenicity of a recombinant lumpy skin disease virus (neethling vaccine strain) expressing the rabies virus glycoprotein in cattle. Vaccine 2002, 20, 2693–2701. [Google Scholar] [CrossRef]
- Perrin, A.; Albina, E.; Bréard, E.; Sailleau, C.; Promé, S.; Grillet, C.; Kwiatek, O.; Russo, P.; Thiéry, R.; Zientara, S.; et al. Recombinant capripoxviruses expressing proteins of bluetongue virus: Evaluation of immune responses and protection in small ruminants. Vaccine 2007, 25, 6774–6783. [Google Scholar] [CrossRef]
- Kitching, R.P. Vaccines for lumpy skin disease, sheep pox and goat pox. Dev. Biol. 2003, 114, 161–167. [Google Scholar]
- Aspden, K.; Passmore, J.A.; Tiedt, F.; Williamson, A.L. Evaluation of lumpy skin disease virus, a capripoxvirus, as a replication-deficient vaccine vector. J. Gen. Virol. 2003, 84, 1985–1996. [Google Scholar] [CrossRef]
- Shen, Y.J.; Shephard, E.; Douglass, N.; Johnston, N.; Adams, C.; Williamson, C.; Williamson, A.L. A novel candidate HIV vaccine vector based on the replication deficient Capripoxvirus, Lumpy skin disease virus (LSDV). Virol. J. 2011, 8, 265. [Google Scholar] [CrossRef]
- Kurchenko, F.P.; Ivanyushchenkov, B.N.; Ufimtsev, K.P.; Alyokhin, A.F.; Gononov, Y.M.; Seitkassymov, B.K.; Kutumbetov, L.B.; Safonov, G.A.; Tatarintsev, N.T. Effectiveness of the cultural virus vaccine based on NISKhI strain against sheep pox. Veterinariya 1991, 10, 21–23. (In Russian) [Google Scholar]
- Tulman, E.R.; Alfonso, C.L.; Lu, Z.; Zsak, L.; Sur, J.H.; Sandybaev, N.T.; Kerembekova, U.Z.; Zaitsev, V.L.; Kutish, G.F.; Rock, D.L. The genomes of sheeppox and goatpox viruses. J. Virol. 2002, 76, 6054–6061. [Google Scholar] [CrossRef]
- Baer, A.; Kehn-Hall, K. Viral Concentration Determination Through Plaque Assays: Using Traditional and Novel Overlay Systems. J. Vis. Exp. 2014, 93, e52065. [Google Scholar] [CrossRef]
- Falkner, F.G.; Moss, B. Escherichia coli gpt gene provides dominant selection for vaccinia virus open reading frame expression vectors. J. Virol. 1988, 62, 1849–1854. [Google Scholar] [CrossRef]
- Chervyakova, O.V.; Zaitsev, V.L.; Iskakov, B.K.; Tailakova, E.T.; Strochkov, V.M.; Sultankulova, K.T.; Sandybayev, N.T.; Stanbekova, G.E.; Beisenov, D.K.; Abduraimov, Y.O.; et al. Recombinant Sheep Pox Virus Proteins Elicit Neutralizing Antibodies. Viruses 2016, 8, 159. [Google Scholar] [CrossRef]
- Sadikaliyeva, S.O.; Tailakova, E.T.; Issabek, A.U.; Shynybekova, G.O.; Sultankulova, K.T.; Chervyakova, O.V. Design, expression and purification of the external membrane protein OMP25 Brucella spp. in the bacterial system. Res. Results 2020, 2, 162–169. Available online: https://izdenister.kaznau.kz/files/full/2020_2.pdf (accessed on 6 May 2021).
- Byrd, C.M.; Hruby, D.E. Construction of recombinant vaccinia virus: Cloning into the thymidine kinase locus. Methods Mol. Biol. 2004, 269, 31–40. [Google Scholar] [CrossRef]
- Liu, F.; Zhang, H.; Liu, W. Construction of recombinant capripoxviruses as vaccine vectors for delivering foreign antigens: Methodology and application. Comp. Immunol. Microbiol. Infect. Dis. 2019, 65, 181–188. [Google Scholar] [CrossRef]
- Chakrabarti, S.; Sisler, J.R.; Moss, B. Compact, synthetic, vaccinia virus early/late promoter for protein expression. Biotechniques. 1997, 23, 1094–1097. [Google Scholar] [CrossRef]
- Falkner, F.G.; Moss, B. Transient dominant selection of recombinant vaccinia viruses. J. Virol. 1990, 64, 3108–3111, PMC249504. [Google Scholar] [CrossRef]
- Chowdhury, A.; Dighe, D.G.; Velhankar, R.D.; Sarkar, A.; Nandi, S. Evaluation of a multicomponent vaccine in dogs. Int. J. Biol. Res. 2017, 5, 36–40. [Google Scholar] [CrossRef]
- Yakubitskiy, S.N.; Kolosova, I.V.; Maksyutov, R.A.; Shchelkunov, S.N. Attenuation of Vaccinia Virus. Acta Naturae 2015, 7, 113–121. [Google Scholar] [CrossRef]
- Zhu, Y.; Li, Y.; Bai, B.; Fanga, J.; Zhang, K.; Yin, X.; Li, S.; Li, W.; Ma, Y.; Cui, Y.; et al. Construction of an attenuated goatpox virus AV41 strain by deleting the TK gene and ORF8-18. Antivir. Res. 2018, 157, 111–119. [Google Scholar] [CrossRef]
- Sandvik, T.; Tryland, M.; Hansen, H.; Mehl, R.; Moens, U.; Olsvik, O.; Traavik, T. Naturally occurring orthopoxviruses: Potential for recombination with vaccine vectors. J. Clin. Microbiol. 1998, 36, 2542–2547. [Google Scholar] [CrossRef]
- Aghaei, A.; Moghbeli, M.; Kargar, M.; Nazarian, S.; Kafilzadeh, F. Cloning and expression of a novel synthetic gene containing VP1 and 3A in Bacillus subtilis as a vaccine candidate against foot-and-mouth disease virus. Biologicals 2019, 60, 55–59. [Google Scholar] [CrossRef] [PubMed]
- Avendaño, C.; Celis-Giraldo, C.; Ordoñez, D.; Díaz-Arévalo, D.; Rodríguez-Habibe, I.; Oviedo, J.; Curtidor, H.; García-Castiblanco, S.; Martínez-Panqueva, F.; Camargo-Castañeda, A.; et al. Evaluating the immunogenicity of chemically-synthesised peptides derived from foot-and-mouth disease VP1, VP2 and VP3 proteins as vaccine candidates. Vaccine 2020, 38, 3942–3951. [Google Scholar] [CrossRef] [PubMed]
- Shojaei, M.; Tahmoorespur, M.; Soltani, M.; Sekhavati, M.H. Immunogenicity evaluation of plasmids encoding Brucella melitensis Omp25 and Omp31 antigens in BALB/c mice. Iran. J. Basic Med. Sci. 2018, 21, 957–964. [Google Scholar] [CrossRef] [PubMed]
- Gupta, S.; Mohan, S.; Somani, V.K.; Aggarwal, S.; Bhatnagar, R. Simultaneous Immunization with Omp25 and L7/L12 Provides Protection against Brucellosis in Mice. Pathogens 2020, 9, 152. [Google Scholar] [CrossRef] [PubMed]








| Primer Name | 5′–3′ Sequence a | Amplified Gene | Restriction Site |
|---|---|---|---|
| SPPV066-LF | acggatcctatggatcacagcaagtat | left flanking sequences of SPPV066 insertion site | BamHI |
| SPPV066-LR | gactgcaggcatgctgcccttcatctatacctataa | PstI-SphI | |
| SPPV066-RF | gactgcagctcgagtctttaaagatattgta | right flanking sequences of SPPV066 insertion site | PstI |
| SPPV066-RR | gcaagctttcattcatagtcatcctctatatcatt | HindIII | |
| SPPV020-LF | acggatcctatttaaacggtaaattaacttcgt | left flanking sequences of SPPV020 insertion site | BamHI |
| SPPV020-LR | gactgcaggcatgccagttgagggaatattcttttc | PstI-SphI | |
| SPPV020-RF | gactgcagctcgagcagcaaacgctattaatcgt | right flanking sequences of SPPV020 insertion site | PstI |
| SPPV020-RR | gcaagcttacgcctttagcataggaactg | HindIII | |
| pS&MCSI-F | gactgcagaaaaattgaaattttattttttttttttggaatataaatagccaccatgggtacgcggccgcagatctaattaattaatttttctgcatgcatt | Synthetic promotor pS and multi-cloning sites | PstI–SphI |
| pS&MCSI-R | aatgcatgcagaaaaattaattaattagatctgcggccgcgtacccatggtggctatttatattccaaaaaaaaaaaataaaatttcaatttttctgcagtctagagg | ||
| p7.5K-F | ccaggatccgaattcatatactatatagtaataccaa | P7.5 promoter | EcoRI |
| p7.5K-R | tcggagctcgcgtcactgttctttatgattctactt | SacI | |
| Ec-gpt-F | ccagagctcgccaccatgagcgaaaaataca | gpt, xanthine-guanine-phosphoribosyl transferase gene | SacI |
| Ec-gpt-R | tcagagctcagaaaaattagcgaccggagattggcgggacga | SacI |
| Primer Name | Sequence (5’–3’) | Product Size, bp | |
|---|---|---|---|
| Wild Type | Recombinant Type | ||
| PCR-TK-F | aattataggacctatgttttctggc | 412 | 1225 (EGFP) |
| PCR-TK-R | cagcgtctttataacattccat | 1058 (OMP25) | |
| PCR-RR-F | taaacacgcaaaatcacaatg | 179 | 899 (EGFP) |
| PCR-RR-R | gggctagaaaatggatatcg | 799 (VP1A) | |
| EGFP-F | caccatggtgagcaagggcgaggagct | n/a | 730 |
| EGFP-R | atgcatgcggccgcttacttgtacagctcgtccatgccgagagtga | ||
| VP1A-F | gctccatgggcgcgcaaaccac | n/a | 639 |
| VP1A-R | cgcgcggccgtgacatgtcctcctgcatctggtt | ||
| OMP25-F | cacgccatggttgctgccgacgc | n/a | 576 |
| OMP25-R | ccaagatctgaacttgatgccgatgccgacgc | ||
Publisher’s Note: MDPI stays neutral with regard to jurisdictional claims in published maps and institutional affiliations. |
© 2021 by the authors. Licensee MDPI, Basel, Switzerland. This article is an open access article distributed under the terms and conditions of the Creative Commons Attribution (CC BY) license (https://creativecommons.org/licenses/by/4.0/).
Share and Cite
Chervyakova, O.; Tailakova, E.; Kozhabergenov, N.; Sadikaliyeva, S.; Sultankulova, K.; Zakarya, K.; Maksyutov, R.A.; Strochkov, V.; Sandybayev, N. Engineering of Recombinant Sheep Pox Viruses Expressing Foreign Antigens. Microorganisms 2021, 9, 1005. https://doi.org/10.3390/microorganisms9051005
Chervyakova O, Tailakova E, Kozhabergenov N, Sadikaliyeva S, Sultankulova K, Zakarya K, Maksyutov RA, Strochkov V, Sandybayev N. Engineering of Recombinant Sheep Pox Viruses Expressing Foreign Antigens. Microorganisms. 2021; 9(5):1005. https://doi.org/10.3390/microorganisms9051005
Chicago/Turabian StyleChervyakova, Olga, Elmira Tailakova, Nurlan Kozhabergenov, Sandugash Sadikaliyeva, Kulyaisan Sultankulova, Kunsulu Zakarya, Rinat A. Maksyutov, Vitaliy Strochkov, and Nurlan Sandybayev. 2021. "Engineering of Recombinant Sheep Pox Viruses Expressing Foreign Antigens" Microorganisms 9, no. 5: 1005. https://doi.org/10.3390/microorganisms9051005
APA StyleChervyakova, O., Tailakova, E., Kozhabergenov, N., Sadikaliyeva, S., Sultankulova, K., Zakarya, K., Maksyutov, R. A., Strochkov, V., & Sandybayev, N. (2021). Engineering of Recombinant Sheep Pox Viruses Expressing Foreign Antigens. Microorganisms, 9(5), 1005. https://doi.org/10.3390/microorganisms9051005

