Production of the HBc Protein from Different HBV Genotypes in E. coli. Use of Reassociated HBc VLPs for Packaging of ss- and dsRNA
Abstract
1. Introduction
2. Materials and Methods
2.1. Bacterial Strains
2.2. Construction of Plasmids for the Expression of HBc
2.3. Screening of Transformants, Expression of HBc, and Purification of HBc VLPs
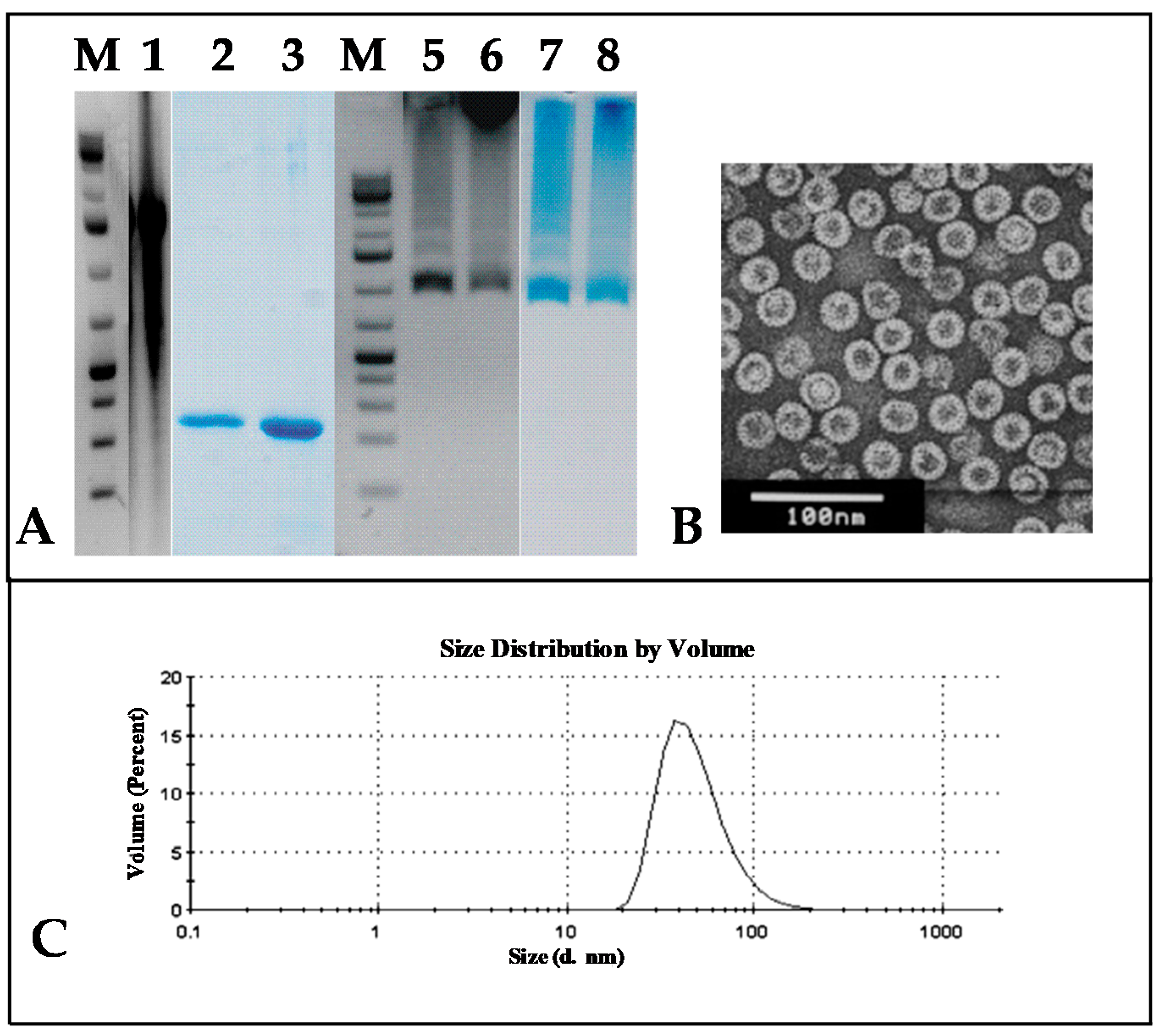
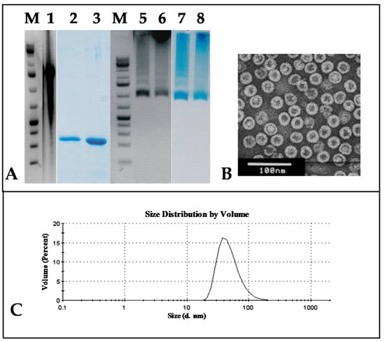
2.4. Electron Microscopy and Dynamic Light Scattering Analysis of HBc VLPs
2.5. ssRNA and dsRNA Used for Packaging
2.6. Dissociation/Reassociation of HBc VLPs
2.7. Packaging of ssRNA and dsRNA in HBc/D VLPs
2.8. Packaging of dsRNA in HBcAg/G VLPs
2.9. Extraction of RNA from HBc VLPs
3. Results
3.1. Construction of Expression Plasmids and Purification of HBc VLPs
3.2. Dissociation and Refolding of HBc VLPs of Genotypes D, G, and F
3.3. Packaging of ds- and ssRNA into HBc VLPs for Genotypes D and G
3.4. Analysis of RNA Packaged in HBc VLPs
4. Discussion
Author Contributions
Funding
Institutional Review Board Statement
Informed Consent Statement
Data Availability Statement
Acknowledgments
Conflicts of Interest
References
- Norder, H.; Couroucé, A.M.; Coursaget, P.; Echevarria, J.M.; Lee, S.D.; Mushahwar, I.K.; Robertson, B.H.; Locarnini, S.; Magnius, L.O. Genetic diversity of hepatitis B virus strains derived worldwide: Genotypes, subgenotypes, and HBsAG subtypes. Intervirology 2004, 47, 289–309. [Google Scholar] [CrossRef] [PubMed]
- Kramvis, A. Genotypes and genetic variability of hepatitis B virus. Intervirology 2014, 57, 141–150. [Google Scholar] [CrossRef] [PubMed]
- Lin, C.L.; Kao, J.H. Hepatitis B virus genotypes and variants. Cold Spring Harb. Perspect. Med. 2015, 5, a021436. [Google Scholar] [CrossRef] [PubMed]
- Gerlich, W.H. Medical Virology of Hepatitis B: How it began and where we are now. Virol. J. 2013, 10, 239–263. [Google Scholar] [CrossRef] [PubMed]
- Charnay, P.; Pourcel, C.; Louise, A.; Fritsch, A.; Tiollais, P. Cloning in Escherichia coli and physical structure of hepatitis B virion DNA. Proc. Natl. Acad. Sci. USA 1979, 10, 2222–2226. [Google Scholar] [CrossRef] [PubMed]
- Valenzuela, P.; Gray, P.; Quiroga, M.; Zaldivar, J.; Goodman, H.M.; Rutter, W.J. Nucleotide sequence of the gene coding for the major protein of hepatitis B virus surface antigen. Nature 1979, 10, 815–819. [Google Scholar] [CrossRef]
- Pasek, M.; Goto, T.; Gilbert, W.; Zink, B.; Schaller, H.; MacKay, P.; Leadbetter, G.; Murray, K. Hepatitis B virus genes and their expression in E. coli. Nature 1979, 282, 575–579. [Google Scholar] [CrossRef]
- Pumpen, P.P.; Dishler, A.V.; Kozlovskaia, T.M.; Bychko, V.V.; la Gren, E.; Rivkina, M.B.; Grinberg, A.P.; Kukaine, R.A. Cloning of hepatitis B virus DNA in Escherichia coli. Dokl. Akad. Nauk SSSR 1981, 260, 1022–1024. (In Russian) [Google Scholar] [PubMed]
- Pumpens, P.; Grens, E. The true story and advantages of the famous hepatitis B virus core particles: Outlook. Mol. Biol. 2016, 50, 558–576. [Google Scholar] [CrossRef]
- Borisova, G.P.; Pumpen, P.P.; Bychko, V.V.; Pushko, P.M.; Kalis, I.V. Structure and expression in Escherichia coli cells of the core antigen gene of the human hepatitis B virus (HBV). Dokl. Akad. Nauk SSSR 1984, 279, 1245–1249. [Google Scholar] [PubMed]
- Nassal, M. Total chemical synthesis of a gene for hepatitis B virus core protein and its functional characterization. Gene 1988, 66, 279–294. [Google Scholar] [CrossRef]
- Kniskern, P.J.; Hagopian, A.; Montgomery, D.L.; Burke, P.; Dunn, N.R.; Hofmann, K.J.; Miller, W.J.; Ellis, R.W. Unusually high-level expression of a foreign gene (hepatitis B virus core antigen) in Saccharomyces cerevisiae. Gene 1986, 46, 135–141. [Google Scholar] [CrossRef]
- Miyanohara, A.; Imamura, T.; Araki, M.; Sugawara, K.; Ohtomo, N.; Matsubara, K. Expression of hepatitis B virus core antigen gene in Saccharomyces cerevisiae: Synthesis of two polypeptides translated from different initiation codons. J. Virol. 1986, 59, 176–180. [Google Scholar] [CrossRef] [PubMed]
- Freivalds, J.; Dislers, A.; Ose, V.; Pumpens, P.; Tars, K.; Kazaks, A. Highly efficient production of phosphorylated hepatitis B core particles in yeast Pichia pastoris. Protein Expr. Purif. 2011, 75, 218–224. [Google Scholar] [CrossRef]
- Rolland, D.; Gauthier, M.; Dugua, J.M.; Fournier, C.; Delpech, L.; Watelet, B.; Letourneur, O.; Arnaud, M.; Jolivet, M. Purification of recombinant HBc antigen expressed in Escherichia coli and Pichia pastoris: Comparison of size-exclusion chromatography and ultracentrifugation. J. Chromatogr. B Biomed. Sci. Appl. 2001, 753, 51–65. [Google Scholar] [CrossRef]
- Mechtcheriakova, I.A.; Eldarov, M.A.; Nicholson, L.; Shanks, M.; Skryabin, K.G.; Lomonossoff, G.P. The use of viral vectors to produce hepatitis B virus core particles in plants. J. Virol. Methods 2006, 131, 10–15. [Google Scholar] [CrossRef]
- Tsuda, S.; Yoshioka, K.; Tanaka, T.; Iwata, A.; Yoshikawa, A.; Watanabe, Y.; Okada, Y. Application of the human hepatitis B virus core antigen from transgenic tobacco plants for serological diagnosis. Vox Sang. 1998, 74, 148–155. [Google Scholar] [CrossRef]
- Hilditch, C.M.; Rogers, L.J.; Bishop, D.H. Physicochemical analysis of the hepatitis B virus core antigen produced by a baculovirus expression vector. J. Gen. Virol. 1990, 71, 2755–2759. [Google Scholar] [CrossRef]
- Lanford, R.E.; Notvall, L. Expression of hepatitis B virus core and precore antigens in insect cells and characterization of a core-associated kinase activity. Virology 1990, 176, 222–233. [Google Scholar] [CrossRef]
- Zlotnick, A.; Tan, Z.; Selzer, L. One protein, at least three structures, and many functions. Structure 2013, 21, 6–8. [Google Scholar] [CrossRef]
- Zhou, S.; Standring, D.N. Hepatitis B virus capsid particles are assembled from core-protein dimer precursors. Proc. Natl. Acad. Sci. USA 1992, 89, 10046–10050. [Google Scholar] [CrossRef] [PubMed]
- Crowther, R.A.; Kiselev, N.A.; Böttcher, B.; Berriman, J.A.; Borisova, G.P.; Ose, V.; Pumpens, P. Three-dimensional structure of hepatitis B virus core particles determined by electron cryomicroscopy. Cell 1994, 77, 943–950. [Google Scholar] [CrossRef]
- Roseman, A.M.; Berriman, J.A.; Wynne, S.A.; Butler, P.J.G.; Crowther, R.A. A structural model for maturation of the hepatitis B virus core. Proc. Natl. Acad. Sci. USA 2005, 102, 15821–15826. [Google Scholar] [CrossRef] [PubMed]
- Schödel, F.; Peterson, D.; Hughes, J.; Wirtz, R.; Milich, D. Hybrid hepatitis B virus core antigen as a vaccine carrier moiety: I. presentation of foreign epitopes. J. Biotechnol. 1996, 44, 91–96. [Google Scholar] [CrossRef]
- Borisova, G.; Wanst, O.B.; Mezule, G.; Skrastina, D.; Petrovskis, I.; Dislers, A.; Pumpens, P.; Grens, E. Spatial structure and insertion capacity of immunodominant region of hepatitis B core antigen. Intervirology 1996, 39, 16–22. [Google Scholar] [CrossRef]
- Ulrich, R.; Nassal, M.; Meisel, H.; Krüger, D.H. Core particles of hepatitis B virus as carrier for foreign epitopes. Adv. Virus Res. 1998, 50, 141–182. [Google Scholar] [CrossRef]
- Clarke, B.E.; Newton, S.E.; Carroll, A.R.; Francis, M.J.; Appleyard, G.; Syred, A.D.; Highfield, P.E.; Rowlands, D.J.; Brown, F. Improved immunogenicity of a peptide epitope after fusion to hepatitis B core protein. Nature 1987, 330, 381–384. [Google Scholar] [CrossRef]
- Neirynck, S.; Deroo, T.; Saelens, X.; Vanlandschoot, P.; Jou, W.M.; Fiers, W. A universal influenza A vaccine based on the extracellular domain of the M2 protein. Nat. Med. 1999, 5, 1157–1163. [Google Scholar] [CrossRef]
- Fiers, W.; De Filette, M.; Birkett, A.; Neirynck, S.; Jou, W.M. A “universal” human influenza A vaccine. Virus Res. 2004, 103, 173–176. [Google Scholar] [CrossRef]
- Yoshikawa, A.; Tanaka, T.; Hoshi, Y.; Kato, N.; Tachibana, K.; Iizuka, H.; Machida, A.; Okamoto, H.; Yamasaki, M.; Miyakawa, Y.; et al. Chimeric hepatitis B virus core particles with parts or copies of the hepatitis C virus core protein. J. Virol. 1993, 67, 6064–6070. [Google Scholar] [CrossRef]
- Grene, E.; Mezule, G.; Borisova, G.; Pumpens, P.; Bentwich, Z.; Arnon, R. Relationship between antigenicity and immunogenicity of chimeric hepatitis B virus core particles carrying HIV type 1 epitopes. AIDS Res. Hum. Retrovir. 1997, 13, 41–51. [Google Scholar] [CrossRef] [PubMed]
- Pumpens, P.; Grens, E. HBV core particles as a carrier for B cell/T cell epitopes. Intervirology 2001, 44, 98–114. [Google Scholar] [CrossRef] [PubMed]
- Dishlers, A.; Skrastina, D.; Renhofa, R.; Petrovskis, I.; Ose, V.; Lieknina, I.; Jansons, J.; Pumpens, P.; Sominskaya, I. The hepatitis B virus core variants that expose foreign C-terminal insertions on the outer surface of virus-like particles. Mol. Biotechnol. 2015, 57, 1038–1049. [Google Scholar] [CrossRef] [PubMed]
- Whitacre, D.C.; Lee, B.O.; Milich, D.R. Use of hepadnavirus core proteins as vaccine platforms. Expert Rev. Vaccines 2009, 8, 1565–1573. [Google Scholar] [CrossRef] [PubMed]
- Lechner, F.; Jegerlehner, A.; Tissot, A.C.; Maurer, P.; Sebbel, P.; Renner, W.A.; Jennings, G.T.; Bachmann, M.F. Virus-like particles as a modular system for novelvaccines. Intervirology 2002, 45, 212–217. [Google Scholar] [CrossRef] [PubMed]
- Jegerlehner, A.; Schmitz, N.; Storni, T.; Bachmann, M.F. Influenza A vaccine based on the extracellular domain of M2: Weak protection mediated via antibody-dependent NK cell activity. J. Immunol. 2004, 172, 5598–5605. [Google Scholar] [CrossRef]
- Schwarz, K.; Meijerink, E.; Speiser, D.E.; Tissot, A.C.; Cielens, I.; Renhof, R.; Dishlers, A.; Pumpens, P.; Bachmann, M.F. Efficient homologous prime-boost strategies for T cell vaccination based on virus-like particles. Eur. J. Immunol. 2005, 35, 816–821. [Google Scholar] [CrossRef]
- Strods, A.; Ose, V.; Bogans, J.; Cielens, I.; Kalnins, G.; Radovica, I.; Kazaks, A.; Pumpens, P.; Renhofa, R. Preparation by alkaline treatment and detailed characterisation of empty hepatitis B virus core particles for vaccine and gene therapy applications. Sci. Rep. 2015, 5, 11639. [Google Scholar] [CrossRef]
- Cooper, A.; Shaul, Y. Recombinant viral capsids as an efficient vehicle of oligonucleotide delivery into cells. Biochem. Biophys. Res. Commun. 2005, 327, 1094–1099. [Google Scholar] [CrossRef]
- Newman, M.; Chua, P.K.; Tang, F.M.; Su, P.-Y.; Shih, C. Testing an electrostatic interaction hypothesis of hepatitis B virus capsid stability by using an in vitro capsid disassembly/reassembly system. J. Virol. 2009, 83, 10616–10626. [Google Scholar] [CrossRef]
- Porterfield, J.Z.; Dhason, M.S.; Loeb, D.D.; Nassal, M.; Stray, S.J.; Zlotnick, A. Full-length hepatitis B virus core protein packages viral and heterologous RNA with similarly high levels of cooperativity. J. Virol. 2010, 84, 7174–7184. [Google Scholar] [CrossRef] [PubMed]
- Dhason, M.S.; Wang, J.C.; Hagan, M.F.; Zlotnick, A. Differential assembly of hepatitis B virus core protein on single- and double-stranded nucleic acid suggest the dsDNA-filled core is spring-loaded. Virology 2012, 430, 20–29. [Google Scholar] [CrossRef] [PubMed]
- Kann, M.; Gerlich, W.H. Effect of core protein phosphorylation by protein kinase C on encapsidation of RNA within core particles of hepatitis B virus. J. Virol. 1994, 68, 7993–8000. [Google Scholar] [CrossRef] [PubMed]
- Storni, T.; Ruedl, C.; Schwarz, K.; Schwendener, R.A.; Renner, W.A.; Bachmann, M.F. Nonmethylated CG motifs packaged into virus-like particles induce protective cytotoxic T cell responses in the absence of systemic side effects. J. Immunol. 2004, 172, 1777–1785. [Google Scholar] [CrossRef]
- Sominskaya, I.; Skrastina, D.; Petrovskis, I.; Dishlers, A.; Berza, I.; Mihailova, M.; Jansons, J.; Akopjana, I.; Stahovska, I.; Dreilina, D.; et al. A VLP library of C-terminally truncated Hepatitis B core proteins: Correlation of RNA encapsidation with a Th1/Th2 switch in the immune responses of mice. PLoS ONE 2013, 8, e75938. [Google Scholar] [CrossRef]
- Feldmane, G.; Umbraško, J.; Buiķe, Ā.; Loža, V. Method for preparation of natural double helix RNA—The inductor and modulator of interferon. Latvian Patent LV-10653, IPC-C12P19/34, 20 August 1995. [Google Scholar]
- Larifan. Available online: http://www.larifans.lv/index.php/en (accessed on 30 December 2020).
- Pumpens, P. Chapter 17, Replication. Larifan. In Single-Stranded RNA Phages: From Molecular Biology to Nanotechnology; Taylor and Francis Group, CRC Press: Boca Raton, FL, USA; London, UK; New York, NY, USA, 2020; pp. 378–379. [Google Scholar]
- Pumpens, P. Chapter 8, Genetics and Mutants. In Single-Stranded RNA Phages: From Molecular Biology to Nanotechnology; Taylor and Francis Group, CRC Press: Boca Raton, FL, USA; London, UK; New York, NY, USA, 2020; pp. 175–181. [Google Scholar]
- Lieknina, I.; Petrovskis, I.; Sominskaya, I.; Dislers, A. Packaging of functional phage RNA in recombinant HBc VLPs. Microorganisms, Manuscript, prepared for submission 2021.
- Loža, V.; Feldmane, G. Biomodulatory functions of the double-stranded ribonucleic acids. Acta Med. Balt. 1996, 3, 12–17. [Google Scholar]
- Rabe, B.; Delaleau, M.; Bischof, A.; Foss, M.; Sominskaya, I.; Pumpens, P.; Cazenave, C.; Castroviejo, M.; Kann, M. Nuclear Entry of Hepatitis B Virus Capsids Involves Disintegration to Protein Dimers followed by Nuclear Reassociation to Capsids. PLoS Pathog. 2009, 5, e1000563. [Google Scholar] [CrossRef]








| HBc Origin (HBV Genotype) | HBc Length, aa | Variability of HBc Expression Level in Five Individual E. coli Transformants (% of Total Protein) | HBc Purity, % | VLP Outcome, mg/g Wet Cells |
|---|---|---|---|---|
| A | 185 | 3.1–7.6 | >90 | 8.45 |
| B | 183 | 4.1–7.1 | 80 | 5.6 |
| C | 183 | 3.3–4.9 | 70 | 4.4 |
| D | 183 | 4.2–10.0 | ≥90 | 15 |
| E | 183 | 5.4–6.3 | 80 | 8.4 |
| F | 183 | 4.5–5.2 | 80 | 7.4 |
| G | 195 | 5.6–7.2 | >90 | 20 |
| Parameter | HBc/D | HBc/G | HBc/F |
|---|---|---|---|
| Dimer content | 30% | 30% | 30% |
| Reassociated dimers | 80% | 90% | 80% |
| VLP purity after reassociation | 97% | 97% | 97% |
| VLP stability after reassociation | >15 months | >15 months | >15 months |
| VLP size, nm (dynamic light scattering, DLS) | 38 | 38 | 38 |
Publisher’s Note: MDPI stays neutral with regard to jurisdictional claims in published maps and institutional affiliations. |
© 2021 by the authors. Licensee MDPI, Basel, Switzerland. This article is an open access article distributed under the terms and conditions of the Creative Commons Attribution (CC BY) license (http://creativecommons.org/licenses/by/4.0/).
Share and Cite
Petrovskis, I.; Lieknina, I.; Dislers, A.; Jansons, J.; Bogans, J.; Akopjana, I.; Zakova, J.; Sominskaya, I. Production of the HBc Protein from Different HBV Genotypes in E. coli. Use of Reassociated HBc VLPs for Packaging of ss- and dsRNA. Microorganisms 2021, 9, 283. https://doi.org/10.3390/microorganisms9020283
Petrovskis I, Lieknina I, Dislers A, Jansons J, Bogans J, Akopjana I, Zakova J, Sominskaya I. Production of the HBc Protein from Different HBV Genotypes in E. coli. Use of Reassociated HBc VLPs for Packaging of ss- and dsRNA. Microorganisms. 2021; 9(2):283. https://doi.org/10.3390/microorganisms9020283
Chicago/Turabian StylePetrovskis, Ivars, Ilva Lieknina, Andris Dislers, Juris Jansons, Janis Bogans, Inara Akopjana, Jelena Zakova, and Irina Sominskaya. 2021. "Production of the HBc Protein from Different HBV Genotypes in E. coli. Use of Reassociated HBc VLPs for Packaging of ss- and dsRNA" Microorganisms 9, no. 2: 283. https://doi.org/10.3390/microorganisms9020283
APA StylePetrovskis, I., Lieknina, I., Dislers, A., Jansons, J., Bogans, J., Akopjana, I., Zakova, J., & Sominskaya, I. (2021). Production of the HBc Protein from Different HBV Genotypes in E. coli. Use of Reassociated HBc VLPs for Packaging of ss- and dsRNA. Microorganisms, 9(2), 283. https://doi.org/10.3390/microorganisms9020283

