Detection of Systemic Canine Kobuvirus Infection in Peripheral Tissues and the Central Nervous System of a Fox Infected with Canine Distemper Virus
Abstract
:1. Introduction
2. Materials and Methods
2.1. Post-Mortem Examination
2.2. Next-Generation Sequencing and Analysis
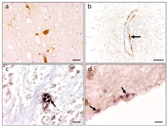
2.3. Immunohistochemistry and In Situ Hybridization
2.4. Virus Detection by RT-PCR and RT-qPCR
3. Results
3.1. Macro- and Histopathology Findings
3.2. Virus Detection and Phylogenetic Analysis
3.3. Organ and Cell Tropism of CaKV and CDV
4. Discussion
Author Contributions
Funding
Institutional Review Board Statement
Informed Consent Statement
Data Availability Statement
Acknowledgments
Conflicts of Interest
References
- Adams, M.J.; Lefkowitz, E.J.; King, A.M.Q.; Harrach, B.; Harrison, R.L.; Knowles, N.J.; Kropinski, A.M.; Krupovic, M.; Kuhn, J.H.; Mushegian, A.R.; et al. Changes to taxonomy and the International Code of Virus Classification and Nomenclature ratified by the International Committee on Taxonomy of Viruses. Arch. Virol. 2017, 162, 2505–2538. [Google Scholar] [CrossRef]
- Zell, R. Picornaviridae—the ever-growing virus family. Arch. Virol. 2018, 163, 299–317. [Google Scholar] [CrossRef]
- Li, L.; Pesavento, P.A.; Shan, T.; Leutenegger, C.M.; Wang, C.; Delwart, E. Viruses in diarrhoeic dogs include novel kobuviruses and sapoviruses. J. Gen. Virol. 2011, 92, 2534–2541. [Google Scholar] [CrossRef] [PubMed]
- Khamrin, P.; Maneekarn, N.; Okitsu, S.; Ushijima, H. Epidemiology of human and animal kobuviruses. Virusdisease 2014, 25, 195–200. [Google Scholar] [CrossRef] [Green Version]
- Yamashita, T.; Kobayashi, S.; Sakac, K.; Nakata, S.; Chiba, S.; Ishihara, Y.; Isomura, S. Isolation of Cytopathic Small Round Viruses with BS-C-l Cells from Patients with Gastroenteritis. J. Infect. Dis. 1991, 164, 954–957. [Google Scholar] [CrossRef] [PubMed]
- Yamashita, T.; Sakae, K.; Tsuzuki, H.; Suzuki, Y.; Ishikawa, N.; Takeda, N.; Miyamura, T.; Yamazaki, S. Complete Nucleotide Sequence and Genetic Organization of Aichi Virus, a Distinct Member of the Picornaviridae Associated with Acute Gastroenteritis in Humans. J. Virol. 1998, 72, 8408–8412. [Google Scholar] [CrossRef] [Green Version]
- Kapoor, A.; Simmonds, P.; Dubovi, E.J.; Qaisar, N.; Henriquez, J.A.; Medina, J.; Shields, S.; Lipkin, W.I. Characterization of a Canine Homolog of Human Aichivirus. J. Virol. 2011, 85, 11520–11525. [Google Scholar] [CrossRef] [Green Version]
- Phan, T.; Kapusinszky, B.; Wang, C.; Rose, R.K.; Lipton, H.L.; Delwart, E.L. The Fecal Viral Flora of Wild Rodents. PLoS Pathog. 2011, 7, e1002218. [Google Scholar] [CrossRef] [PubMed] [Green Version]
- Ng, T.F.F.; Marine, R.; Wang, C.; Simmonds, P.; Kapusinszky, B.; Bodhidatta, L.; Oderinde, B.; Wommack, K.E.; Delwart, E. High Variety of Known and New RNA and DNA Viruses of Diverse Origins in Untreated Sewage. J. Virol. 2012, 86, 12161–12175. [Google Scholar] [CrossRef] [Green Version]
- Pankovics, P.; Boros, A.; Kiss, T.; Reuter, G. Identification and complete genome analysis of kobuvirus in faecal samples of European roller (Coracias garrulus): For the first time in a bird. Arch. Virol. 2015, 160, 345–351. [Google Scholar] [CrossRef]
- Chung, J.-Y.; Kim, S.-H.; Kim, Y.-H.; Lee, M.-H.; Lee, K.-K.; Oem, J.-K. Detection and genetic characterization of feline kobuviruses. Virus Genes 2013, 47, 559–562. [Google Scholar] [CrossRef]
- Yamashita, T.; Adachi, H.; Hirose, E.; Nakamura, N.; Ito, M.; Yasui, Y.; Kobayashi, S.; Minagawa, H. Molecular detection and nucleotide sequence analysis of a new Aichi virus closely related to canine kobuvirus in sewage samples. J. Med. Microbiol. 2014, 63, 715–720. [Google Scholar] [CrossRef] [Green Version]
- Di Martino, B.; Di Profio, F.; Melegari, I.; Robetto, S.; Di Felice, E.; Orusa, R.; Marsilio, F. Molecular evidence of kobuviruses in free-ranging red foxes (Vulpes vulpes). Arch. Virol. 2014, 159, 1803–1806. [Google Scholar] [CrossRef]
- Melegari, I.; Sarchese, V.; Di Profio, F.; Robetto, S.; Carella, E.; Sánchez, S.B.; Orusa, R.; Martella, V.; Marsilio, F.; Di Martino, B. First molecular identification of kobuviruses in wolves (Canis lupus) in Italy. Arch. Virol. 2018, 163, 509–513. [Google Scholar] [CrossRef]
- Olarte-Castillo, X.; Heeger, F.; Mazzoni, C.J.; Greenwood, A.D.; Fyumagwa, R.; Moehlman, P.D.; Hofer, H.; East, M.L. Molecular characterization of canine kobuvirus in wild carnivores and the domestic dog in Africa. Virology 2015, 477, 89–97. [Google Scholar] [CrossRef] [Green Version]
- Oem, J.-K.; Choi, J.-W.; Lee, M.-H.; Lee, K.-K.; Choi, K.-S. Canine kobuvirus infections in Korean dogs. Arch. Virol. 2014, 159, 2751–2755. [Google Scholar] [CrossRef]
- Wang, Z.; Jiang, Y.; Liu, X.; Lin, W.; Feng, Q.; Xin, T.; Guo, X.; Hou, S.; Zhu, H.; Jia, H. Epidemiological and phylogenetic analysis of canine kobuviruses in Tangshan, China. Arch. Virol. 2020, 165, 2317–2322. [Google Scholar] [CrossRef]
- Miyabe, F.M.; Ribeiro, J.; Alfieri, A.F.; Alfieri, A. Detection of canine kobuvirus RNA in diarrheic fecal samples of dogs with parvoviruses. Braz. J. Microbiol. 2019, 50, 871–874. [Google Scholar] [CrossRef] [PubMed] [Green Version]
- Carmona-Vicente, N.; Buesa, J.; Brown, P.; Merga, J.; Darby, A.; Stavisky, J.; Sadler, L.; Gaskell, R.; Dawson, S.; Radford, A. Phylogeny and prevalence of kobuviruses in dogs and cats in the UK. Vet. Microbiol. 2013, 164, 246–252. [Google Scholar] [CrossRef] [PubMed] [Green Version]
- Charoenkul, K.; Janetanakit, T.; Chaiyawong, S.; Bunpapong, N.; Boonyapisitsopa, S.; Tangwangvivat, R.; Amonsin, A. First detection and genetic characterization of canine Kobuvirus in domestic dogs in Thailand. BMC Vet. Res. 2019, 15, 254. [Google Scholar] [CrossRef] [PubMed]
- Khamrin, P.; Maneekarn, N.; Hidaka, S.; Kishikawa, S.; Ushijima, K.; Okitsu, S.; Ushijima, H. Molecular detection of kobuvirus sequences in stool samples collected from healthy pigs in Japan. Infect. Genet. Evol. 2010, 10, 950–954. [Google Scholar] [CrossRef] [PubMed]
- Reuter, G.; Boldizsár, Á.; Kiss, I.; Pankovics, P. Candidate New Species of Kobuvirusin Porcine Hosts. Emerg. Infect. Dis. 2008, 14, 1968–1970. [Google Scholar] [CrossRef] [PubMed]
- Yamashita, T.; Ito, M.; Kabashima, Y.; Tsuzuki, H.; Fujiura, A.; Sakae, K. Isolation and characterization of a new species of kobuvirus associated with cattle. J. Gen. Virol. 2003, 84, 3069–3077. [Google Scholar] [CrossRef] [PubMed]
- Khamrin, P.; Maneekarn, N.; Peerakome, S.; Okitsu, S.; Mizuguchi, M.; Ushijima, H. Bovine Kobuviruses from Cattle with Diarrhea. Emerg. Infect. Dis. 2008, 14, 985–986. [Google Scholar] [CrossRef] [PubMed]
- Le Guyader, F.S.; Le Saux, J.-C.; Ambert-Balay, K.; Krol, J.; Serais, O.; Parnaudeau, S.; Giraudon, H.; Delmas, G.; Pommepuy, M.; Pothier, P.; et al. Aichi Virus, Norovirus, Astrovirus, Enterovirus, and Rotavirus Involved in Clinical Cases from a French Oyster-Related Gastroenteritis Outbreak. J. Clin. Microbiol. 2008, 46, 4011–4017. [Google Scholar] [CrossRef] [PubMed] [Green Version]
- Drexler, J.F.; Baumgarte, S.; de Souza Luna, L.K.; Eschbach-Bludau, M.; Lukashev, A.N.; Drosten, C. Aichi Virus Shedding in High Concentrations in Patients with Acute Diarrhea. Emerg. Infect. Dis. 2011, 17, 1544–1548. [Google Scholar] [CrossRef] [PubMed]
- Ambert-Balay, K.; Lorrot, M.; Bon, F.; Giraudon, H.; Kaplon, J.; Wolfer, M.; Lebon, P.; Gendrel, D.; Pothier, P. Prevalence and Genetic Diversity of Aichi Virus Strains in Stool Samples from Community and Hospitalized Patients. J. Clin. Microbiol. 2008, 46, 1252–1258. [Google Scholar] [CrossRef] [PubMed] [Green Version]
- Wang, Y.; Cui, Y.; Li, Y.; Wang, X.; Yang, K.; Zhang, D.; Zhao, L.; Bai, C.; Jiang, S.; Li, Y. Identification and full-genome sequencing of canine kobuvirus in canine fecal samples collected from Anhui Province, eastern China. Arch. Virol. 2020, 165, 2495–2501. [Google Scholar] [CrossRef] [PubMed]
- Von Messling, V.; Springfeld, C.; Devaux, P.; Cattaneo, R. A Ferret Model of Canine Distemper Virus Virulence and Immunosuppression. J. Virol. 2003, 77, 12579–12591. [Google Scholar] [CrossRef] [Green Version]
- Jo, W.K.; Pfankuche, V.M.; Petersen, H.; Frei, S.; Kummrow, M.; Lorenzen, S.; Ludlow, M.; Metzger, J.; Baumgärtner, W.; Osterhaus, A.; et al. New Avian Hepadnavirus in Palaeognathous Bird, Germany. Emerg. Infect. Dis. 2017, 23, 2089–2091. [Google Scholar] [CrossRef] [PubMed] [Green Version]
- Jo, W.K.; Van Elk, C.; Van De Bildt, M.; Van Run, P.; Petry, M.; Jesse, S.T.; Jung, K.; Ludlow, M.; Kuiken, T.; Osterhaus, A. An evolutionary divergent pestivirus lacking the N(pro) gene systemically infects a whale species. Emerg. Microbes Infect. 2019, 8, 1383–1392. [Google Scholar] [CrossRef] [PubMed] [Green Version]
- Katoh, K.; Standley, D.M. MAFFT Multiple Sequence Alignment Software Version 7: Improvements in Performance and Usability. Mol. Biol. Evol. 2013, 30, 772–780. [Google Scholar] [CrossRef] [Green Version]
- Kumar, S.; Stecher, G.; Tamura, K. MEGA7: Molecular Evolutionary Genetics Analysis Version 7.0 for Bigger Datasets. Mol. Biol. Evol. 2016, 33, 1870–1874. [Google Scholar] [CrossRef] [PubMed] [Green Version]
- Seehusen, F.; Orlando, E.A.; Wewetzer, K.; Baumgärtner, W. Vimentin-positive astrocytes in canine distemper: A target for canine distemper virus especially in chronic demyelinating lesions? Acta Neuropathol. 2007, 114, 597–608. [Google Scholar] [CrossRef]
- Gaedke, K.; Zurbriggen, A.; Baumgärtner, W. In vivo and in vitro Detection of Canine Distemper Virus Nucleoprotein Gene with Digoxigenin-Labelled RNA, Double-Stranded DNA Probes and Oligonucleotides by in situ Hybridization. J. Vet. Med. Ser. B 1997, 44, 329–340. [Google Scholar] [CrossRef]
- Alić, A.; Hodžić, A.; Kadrić, M.; Beširović, H.; PraŠović, S. Pearsonema plica (Capillaria plica) infection and associated urinary bladder pathology in red foxes (Vulpes vulpes) from Bosnia and Herzegovina. Parasitol. Res. 2015, 114, 1933–1938. [Google Scholar] [CrossRef] [PubMed]
- Jo, W.K.; Peters, M.; Kydyrmanov, A.; Van De Bildt, M.W.G.; Kuiken, T.; Osterhaus, A.; Ludlow, M. The Canine Morbillivirus Strain Associated with An Epizootic in Caspian Seals Provides New Insights into the Evolutionary History of this Virus. Viruses 2019, 11, 894. [Google Scholar] [CrossRef] [Green Version]
- Ribeiro, J.; Headley, S.A.; Diniz, J.A.; Pereira, A.H.T.; Lorenzetti, E.; Alfieri, A.; Alfieri, A. Extra-intestinal detection of canine kobuvirus in a puppy from Southern Brazil. Arch. Virol. 2016, 162, 867–872. [Google Scholar] [CrossRef] [PubMed]
- Beineke, A.; Puff, C.; Seehusen, F.; Baumgärtner, W. Pathogenesis and immunopathology of systemic and nervous canine distemper. Vet. Immunol. Immunopathol. 2009, 127, 1–18. [Google Scholar] [CrossRef] [PubMed]
- Mina, M.J.; Metcalf, C.J.E.; de Swart, R.L.; Osterhaus, A.D.M.E.; Grenfell, B.T. Long-term measles-induced immunomodulation increases overall childhood infectious disease mortality. Science 2015, 348, 694–699. [Google Scholar] [CrossRef] [PubMed] [Green Version]
- Carvalho, O.V.; Botelho, C.V.; Ferreira, C.G.T.; Scherer, P.O.; Soares-Martins, J.A.P.; Almeida, M.R.; Silva, A.S., Jr. Immunopathogenic and Neurological Mechanisms of Canine Distemper Virus. Adv. Virol. 2012, 2012, 16386. [Google Scholar] [CrossRef]
- Von Messling, V.; Milosevic, D.; Cattaneo, R. Tropism illuminated: Lymphocyte-based pathways blazed by lethal morbillivirus through the host immune system. Proc. Natl. Acad. Sci. USA 2004, 101, 14216–14221. [Google Scholar] [CrossRef] [Green Version]
- Lodder, W.J.; Rutjes, S.A.; Takumi, K.; de Roda Husman, A.M. Aichi Virus in Sewage and Surface Water, the Netherlands. Emerg. Infect. Dis. 2013, 19, 1222–1230. [Google Scholar] [CrossRef]
- Ana, A.; Esmeralda, V.; Jesús, R.-D.; Walter, B.; Ferdinando, L. Molecular Detection and Characterization of Aichi Viruses in Sewage-Polluted Waters of Venezuela. Appl. Environ. Microbiol. 2010, 76, 4113–4115. [Google Scholar] [CrossRef] [Green Version]
- Sdiri-Loulizi, K.; Hassine, M.; Aouni, Z.; Gharbi-Khelifi, H.; Sakly, N.; Chouchane, S.; Guédiche, M.N.; Pothier, P.; Aouni, M.; Ambert-Balay, K. First molecular detection of Aichi virus in sewage and shellfish samples in the Monastir region of Tunisia. Arch. Virol. 2010, 155, 1509–1513. [Google Scholar] [CrossRef] [PubMed]
- Ribes, J.M.; Montava, R.; Teéllez-Castillo, C.J.; Fernaández-Jimeénez, M.; Buesa, J. Seroprevalence of Aichi Virus in a Spanish Population from 2007 to 2008. Clin. Vaccine Immunol. 2010, 17, 545–549. [Google Scholar] [CrossRef] [PubMed] [Green Version]
- Oh, D.-Y.; Silva, P.A.; Hauroeder, B.; Diedrich, S.; Cardoso, D.D.P.; Schreier, E. Molecular characterization of the first Aichi viruses isolated in Europe and in South America. Arch. Virol. 2006, 151, 1199–1206. [Google Scholar] [CrossRef] [PubMed]
- Goyer, M.; Aho, L.-S.; Bour, J.-B.; Ambert-Balay, K.; Pothier, P. Seroprevalence distribution of Aichi virus among a French population in 2006–2007. Arch. Virol. 2008, 153, 1171–1174. [Google Scholar] [CrossRef]



| Sample Tissue | CDV IHC | CaKV ISH |
|---|---|---|
| Cerebrum | + | + |
| Brain stem | + | − |
| Cerebellum | + | − |
| Trachea | − | − |
| Lung | + | + |
| Spleen | + | − |
| Tonsil | − | − |
| Stomach | − | + |
| Heart | − | − |
| Liver | − | − |
| Intestine | − | − |
| Lymph node | − | − |
| Kidney | + | − |
| Bladder | + | − |
| Testicle | − | − |
| Sample Tissue | CDV RT-PCR | CaKV RT-qPCR |
|---|---|---|
| Brain | + | + (28) |
| Trachea | + | + (27) |
| Lung | + | − |
| Spleen | + | − |
| Lung LN | + | + (30) |
| Intestinal LN | + | + (35) |
| Inguinal LN | + | + (30) |
| Kidney | + | − |
| Blood | + | − (42) |
| Bladder | + | + (29) |
Publisher’s Note: MDPI stays neutral with regard to jurisdictional claims in published maps and institutional affiliations. |
© 2021 by the authors. Licensee MDPI, Basel, Switzerland. This article is an open access article distributed under the terms and conditions of the Creative Commons Attribution (CC BY) license (https://creativecommons.org/licenses/by/4.0/).
Share and Cite
Kaiser, F.K.; van Dyck, L.; Jo, W.K.; Schreiner, T.; Pfankuche, V.M.; Wohlsein, P.; Baumann, I.; Peters, M.; Baumgärtner, W.; Osterhaus, A.D.M.E.; et al. Detection of Systemic Canine Kobuvirus Infection in Peripheral Tissues and the Central Nervous System of a Fox Infected with Canine Distemper Virus. Microorganisms 2021, 9, 2521. https://doi.org/10.3390/microorganisms9122521
Kaiser FK, van Dyck L, Jo WK, Schreiner T, Pfankuche VM, Wohlsein P, Baumann I, Peters M, Baumgärtner W, Osterhaus ADME, et al. Detection of Systemic Canine Kobuvirus Infection in Peripheral Tissues and the Central Nervous System of a Fox Infected with Canine Distemper Virus. Microorganisms. 2021; 9(12):2521. https://doi.org/10.3390/microorganisms9122521
Chicago/Turabian StyleKaiser, Franziska K., Lydia van Dyck, Wendy K. Jo, Tom Schreiner, Vanessa M. Pfankuche, Peter Wohlsein, Ilka Baumann, Martin Peters, Wolfgang Baumgärtner, Albert D. M. E. Osterhaus, and et al. 2021. "Detection of Systemic Canine Kobuvirus Infection in Peripheral Tissues and the Central Nervous System of a Fox Infected with Canine Distemper Virus" Microorganisms 9, no. 12: 2521. https://doi.org/10.3390/microorganisms9122521
APA StyleKaiser, F. K., van Dyck, L., Jo, W. K., Schreiner, T., Pfankuche, V. M., Wohlsein, P., Baumann, I., Peters, M., Baumgärtner, W., Osterhaus, A. D. M. E., & Ludlow, M. (2021). Detection of Systemic Canine Kobuvirus Infection in Peripheral Tissues and the Central Nervous System of a Fox Infected with Canine Distemper Virus. Microorganisms, 9(12), 2521. https://doi.org/10.3390/microorganisms9122521

