Molecular Remodeling of Cardiac Sinus Node Associated with Acute Chagas Disease Myocarditis
Abstract
1. Introduction
2. Materials and Methods
2.1. Parasite Strains
2.2. Ethics Statement
2.3. Experimental Infection
2.4. Pharmacological Protocols
2.5. Surface Electrocardiogram
2.6. Immunofluorescence
2.7. Western Blot
2.8. Quantitative RT-PCR in Heart Tissue
2.9. Statistical Analysis
3. Results
3.1. Heart Rate Kinetics Analysis
3.2. ECG Evaluation
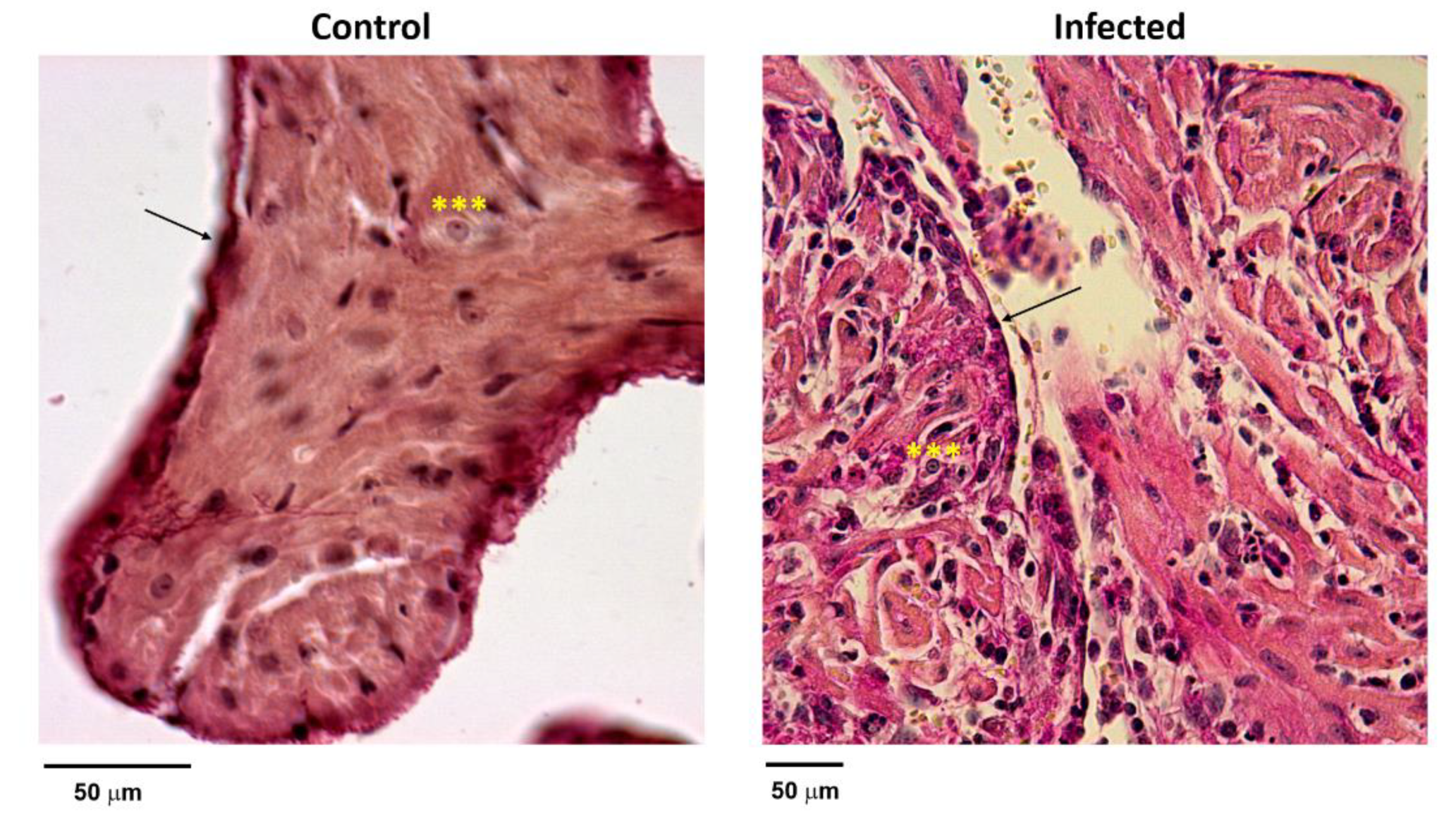
3.3. Histological Sections
3.4. HCN4 Expression in Heart Tissue
4. Discussion
Author Contributions
Funding
Institutional Review Board Statement
Acknowledgments
Conflicts of Interest
References
- World Health Organization. Chagas disease in Latin America: An epidemiological update based on 2010 estimates. Wkly. Epidemiol. Rec. 2015, 90, 33–43. [Google Scholar]
- Higuchi, M.D.L.; Benvenuti, L.A.; Martins Reis, M.; Metzger, M. Pathophysiology of the heart in Chagas’ disease: Current status and new developments. Cardiovasc. Res. 2003, 60, 96–107. [Google Scholar] [CrossRef]
- Mendoza, I.; Camardo, J.; Moleiro, F.; Castellanos, A.; Medina, V.; Gomez, J.; Acquatella, H.; Casal, H.; Tortoledo, F.; Puigbo, J. Sustained ventricular tachycardia in chronic Chagasic myocarditis: Electrophysiologic and pharmacologic characteristics. Am. J. Cardiol. 1986, 57, 423–427. [Google Scholar] [CrossRef]
- Baroldi, G.; Oliveira, S.J.; Silver, M.D. Sudden and unexpected death in clinically “silent” Chagas disease. A hypothesis. Int. J. Cardiol. 1997, 58, 263–268. [Google Scholar] [CrossRef]
- Fineschi, V.; Silver, M.D.; Karch, S.B.; Parolini, M.; Turillazzi, E.; Pomara, C.; Baroldi, G. Myocardial disarray: An architectural disorganization related to adrenergic stress? Int. J. Cardiol. 2005, 99, 277–282. [Google Scholar] [CrossRef] [PubMed]
- Rodríguez-Angulo, H.O.; Toro-Mendoza, J.; Marques, J.A.; Concepción, J.L.; Bonfante-Cabarcas, R.; Higuerey, Y.; Thomas, L.E.; Balzano-Nogueira, L.; Lopez, J.R.; Mijares, A. Evidence of Reversible Bradycardia and Arrhythmias Caused by Immunogenic Proteins Secreted by T. cruzi in Isolated Rat Hearts. PLoS Negl. Trop. Dis. 2015, 9, e0003512. [Google Scholar] [CrossRef] [PubMed][Green Version]
- Bayer-Santos, E.; Aguilar-Bonavides, C.; Rodrigues, S.P.; Cordero, E.M.; Marques, A.F.; Varela-Ramirez, A.; Choi, H.; Yoshida, N.; da Silveira, J.F.; Almeida, I.C. Proteomic Analysis of Trypanosoma cruzi Secretome: Characterization of Two Populations of Extracellular Vesicles and Soluble Proteins. J. Proteome Res. 2013, 12, 883–897. [Google Scholar] [CrossRef] [PubMed]
- Daliry, A.; Pereira, I.R.; Pereira-Junior, P.P.; Ramos, I.P.; Vilar-Pereira, G.; Silvares, R.R.; Lannes-Vieira, J.; De Carvalho, A.C.C. Levels of circulating anti-muscarinic and anti-adrenergic antibodies and their effect on cardiac arrhythmias and dysautonomia in murine models of Chagas disease. Parasitology 2014, 141, 1769–1778. [Google Scholar] [CrossRef]
- Vicco, M.H.; Pujato, N.; Bontempi, I.; Rodeles, L.; Marcipar, I.; Bottasso, O. A beta1-selective adrenoceptor antagonists increase plasma levels of anti-p2beta antibodies and decrease cardiac involvement in chronic progressive Chagas heart disease. Can. J. Cardiol. 2014, 30, 332–337. [Google Scholar] [CrossRef] [PubMed]
- Altschuller, M.B.; Pedrosa, R.C.; Pereira Bde, B.; Correa Filho, W.B.; Medeiros, A.S.; Costa, P.C.S.; de Carvalho, A.C.C. Chronic Chagas disease patients with sinus node dysfunction: Is the presence of IgG antibodies with muscarinic agonist action independent of left ventricular dysfunction? Rev. Soc. Bras. Med. Trop. 2007, 40, 665–671. [Google Scholar] [PubMed]
- Chiale, P.A.; Ferrari, I.; Mahler, E.; Vallazza, M.A.; Elizari, M.V.; Rosenbaum, M.B.; Levin, M.J. Differential profile and biochemical effects of antiautonomic membrane receptor antibodies in ventricular arrhythmias and sinus node dysfunction. Circulation 2001, 103, 1765–1771. [Google Scholar] [CrossRef]
- Portero, V.; Le Scouarnec, S.; Es-Salah-Lamoureux, Z.; Burel, S.; Gourraud, J.B.; Bonnaud, S.; Lindenbaum, P.; Simonet, F.; Violleau, J.; Baron, E.; et al. Dysfunction of the Voltage-Gated K+ Channel beta2 Subunit in a Familial Case of Brugada Syndrome. J. Am. Heart Assoc. 2016, 5, e003122. [Google Scholar] [CrossRef] [PubMed]
- Beziau, D.M.; Barc, J.; O’Hara, T.; Le Gloan, L.; Amarouch, M.Y.; Solnon, A.; Pavin, D.; Lecointe, S.; Bouillet, P.; Gourraud, J.B.; et al. Complex Brugada syndrome inheritance in a family harbouring compound SCN5A and CACNA1C mutations. Basic Res. Cardiol. 2014, 109, 446. [Google Scholar] [CrossRef] [PubMed]
- Sartiani, L.; Romanelli, M.; Mugelli, A.; Cerbai, E. Updates on HCN Channels in the Heart: Function, Dysfunction and Pharmacology. Curr. Drug Targets 2015, 16, 868–876. [Google Scholar] [CrossRef] [PubMed]
- Biel, S.; Aquila, M.; Hertel, B.; Berthold, A.; Neumann, T.; DiFrancesco, D.; Moroni, A.; Thiel, G.; Kauferstein, S. Mutation in S6 domain of HCN4 channel in patient with suspected Brugada syndrome modifies channel function. Pflügers Arch.—Eur. J. Physiol. 2016, 468, 1663–1671. [Google Scholar] [CrossRef]
- Stallmeyer, B.; Kuß, J.; Kotthoff, S.; Zumhagen, S.; Vowinkel, K.; Rinné, S.; Matschke, L.A.; Friedrich, C.; Schulze-Bahr, E.; Rust, S.; et al. A Mutation in the G-Protein Gene GNB2 Causes Familial Sinus Node and Atrioventricular Conduction Dysfunction. Circ. Res. 2017, 120, e33–e44. [Google Scholar] [CrossRef] [PubMed]
- Delgado-Ramirez, M.; Pottosin, I.I.; Melnikov, V.; Dobrovinskaya, O.R. Infection by Trypanosoma cruzi enhances anion conductance in rat neonatal ventricular cardiomyocytes. J. Membr. Biol. 2010, 238, 51–61. [Google Scholar] [CrossRef]
- Balbi, T.; Ghimenton, C.; Pasquinelli, G.; Foroni, L.; Grillini, M.; Pierini, G. Advancement in the examination of the human cardiac sinus node: An unexpected architecture and a novel cell type could interest the forensic science. Am. J. Forensic Med. Pathol. 2011, 32, 112–118. [Google Scholar] [CrossRef]
- Bucchi, A.; Baruscotti, M.; DiFrancesco, D. Current-dependent block of rabbit sino-atrial node I(f) channels by ivabradine. J. Gen. Physiol. 2002, 120, 1–13. [Google Scholar] [CrossRef]
- Jiménez, M.A.V.; Nascimento, J.H.; Monnerat, G.; Maciel, L.; Paiva, C.N.; Pedrosa, R.C.; de Carvalho, A.C.C.; Medei, E. Autoantibodies with beta-adrenergic activity from chronic chagasic patients induce cardiac arrhythmias and early afterdepolarization in a drug-induced LQT2 rabbit hearts. Int. J. Cardiol. 2017, 240, 354–359. [Google Scholar] [CrossRef]
- Rodriguez-Angulo, H.; Marques, J.; Mendoza, I.; Villegas, M.; Mijares, A.; Girones, N.; Fresno, M. Differential cytokine profiling in Chagasic patients according to their arrhythmogenic-status. BMC Infect. Dis. 2017, 17, 221. [Google Scholar] [CrossRef]
- De Carvalho, A.C.; Masuda, M.O.; Tanowitz, H.B.; Wittner, M.; Goldenberg, R.C.; Spray, D.C. Conduction defects and arrhythmias in Chagas’ disease: Possible role of gap junctions and humoral mechanisms. J. Cardiovasc. Electrophysiol. 1994, 5, 686–698. [Google Scholar] [CrossRef]
- Lazzerini, P.E.; Capecchi, P.L.; Laghi-Pasini, F.; Boutjdir, M. Autoimmune channelopathies as a novel mechanism in cardiac arrhythmias. Nat. Rev. Cardiol. 2017, 14, 521–535. [Google Scholar] [CrossRef] [PubMed]
- Choy, L.; Yeo, J.M.; Tse, V.; Chan, S.P.; Tse, G. Cardiac disease and arrhythmogenesis: Mechanistic insights from mouse models. Int. J. Cardiol. Heart Vasc. 2016, 12, 1–10. [Google Scholar] [CrossRef]
- Waghabi, M.C.; Coutinho-Silva, R.; Feige, J.J.; Higuchi Mde, L.; Becker, D.; Burnstock, G.; de Araújo-Jorge, T.C. Gap junction reduction in cardiomyocytes following transforming growth factor-beta treatment and Trypanosoma cruzi infection. Mem. Inst. Oswaldo Cruz 2009, 104, 1083–1090. [Google Scholar] [CrossRef] [PubMed]
- Cruz, J.S.; Machado, F.S.; Ropert, C.; Roman-Campos, D. Molecular mechanisms of cardiac electromechanical remodeling during Chagas disease: Role of TNF and TGF-beta. Trends Cardiovasc. Med. 2017, 27, 81–91. [Google Scholar] [CrossRef] [PubMed]
- Rodriguez, H.O.; Guerrero, N.A.; Fortes, A.; Santi-Rocca, J.; Girones, N.; Fresno, M. Trypanosoma cruzi strains cause different myocarditis patterns in infected mice. Acta Tropica. 2014, 139, 57–66. [Google Scholar] [CrossRef]
- Poveda, C.; Herreros-Cabello, A.; Callejas-Hernández, F.; Osuna-Pérez, J.; Maza, M.C.; Chillón-Marinas, C.; Calderón, J.; Stamatakis, K.; Fresno, M.; Gironès, N. Interaction of Signaling Lymphocytic Activation Molecule Family 1 (SLAMF1) Receptor with Trypanosoma Cruzi Is Strain-Dependent and Affects NADPH Oxidase Expression and Activity. PLoS Negl. Trop. Dis. 2020, 14, e0008608. [Google Scholar] [CrossRef]
- Elizari, M.V.; Chiale, P.A. Cardiac Arrhythmias in Chagas’ Heart Disease. J. Cardiovasc. Electrophysiol. 1993, 4, 596–608. [Google Scholar] [CrossRef]
- John, R.M.; Kumar, S. Sinus Node and Atrial Arrhythmias. Circulation 2016, 133, 1892–1900. [Google Scholar] [CrossRef]
- Wu, C.; Dong, X.; Liu, Q.; Zhu, J.; Zhang, T.; Wang, Q.; Hu, X.; Yang, Z.; Li, L. EP3 activation facilitates bladder excitability via HCN channels on ICCs. Biochem. Biophys. Res. Commun. 2017, 485, 535–541. [Google Scholar] [CrossRef] [PubMed]
- Acosta, C.; McMullan, S.; Djouhri, L.; Gao, L.; Watkins, R.; Berry, C.; Dempsey, K.; Lawson, S.N. HCN1 and HCN2 in Rat DRG neurons: Levels in nociceptors and non-nociceptors, NT3-dependence and influence of CFA-induced skin inflammation on HCN2 and NT3 expression. PLoS ONE 2012, 7, e50442. [Google Scholar] [CrossRef] [PubMed]
- Hancox, J.C.; Melgari, D.; Dempsey, C.; Brack, K.E.; Mitcheson, J.; Ng, G.A. hERG potassium channel inhibition by ivabradine may contribute to QT prolongation and risk of torsades de pointes. Ther. Adv. Drug Saf. 2015, 6, 177–179. [Google Scholar] [CrossRef] [PubMed]
- Camm, A.J.; Lau, C.P. Electrophysiological effects of a single intravenous administration of ivabradine (S 16257) in adult patients with normal baseline electrophysiology. Drugs R D 2003, 4, 83–89. [Google Scholar] [CrossRef] [PubMed]
- Frommeyer, G.; Weller, J.; Ellermann, C.; Bogeholz, N.; Leitz, P.; Dechering, D.G.; Kochhäuser, S.; Wasmer, K.; Eckardt, L. Ivabradine Reduces Digitalis-induced Ventricular Arrhythmias. Basic Clin. Pharmacol. Toxicol. 2017, 121, 526–530. [Google Scholar] [CrossRef] [PubMed]
- Melgari, D.; Brack, K.E.; Zhang, C.; Zhang, Y.; El Harchi, A.; Mitcheson, J.; Dempsey, C.E.; Ng, G.A.; Hancox, J.C. hERG Potassium Channel Blockade by the HCN Channel Inhibitor Bradycardic Agent Ivabradine. J. Am. Heart Assoc. 2015, 4, e001813. [Google Scholar] [CrossRef]
- Varró, A.; Baczkó, I. Cardiac ventricular repolarization reserve: A principle for understanding drug-related proarrhythmic risk. Br. J. Pharmacol. 2011, 164, 14–36. [Google Scholar] [CrossRef]
- Sanguinetti, M.C.; Tristani-Firouzi, M. hERG potassium channels and cardiac arrhythmia. Nat. Cell Biol. 2006, 440, 463–469. [Google Scholar] [CrossRef]
- Mengesha, H.G.; Weldearegawi, B.; Petrucka, P.; Bekele, T.; Otieno, M.G.; Hailu, A. Effect of ivabradine on cardiovascular outcomes in patients with stable angina: Meta-analysis of randomized clinical trials. BMC Cardiovasc. Disord. 2017, 17, 105. [Google Scholar] [CrossRef]
- Niccoli, G.; Borovac, J.A.; Vetrugno, V.; Camici, P.G.; Crea, F. Ivabradine in acute coronary syndromes: Protection beyond heart rate lowering. Int. J. Cardiol. 2017, 236, 107–112. [Google Scholar] [CrossRef]
- Marin-Neto, J.A.; Simoes, M.V.; Ayres-Neto, E.M.; Attab-Santos, J.L.; Gallo, L., Jr.; Amorim, D.S.; Maciel, B.C. Studies of the coronary circulation in Chagas’ heart disease. Sao Paulo Med. J. Rev. Paul. Med. 1995, 113, 826–834. [Google Scholar] [CrossRef] [PubMed][Green Version]
- Hofmann, F.; Fabritz, L.; Stieber, J.; Schmitt, J.; Kirchhof, P.; Ludwig, A.; Herrmann, S. Ventricular HCN channels decrease the repolarization reserve in the hypertrophic heart. Cardiovasc. Res. 2012, 95, 317–326. [Google Scholar] [CrossRef]
- Kuwabara, Y.; Kuwahara, K.; Takano, M.; Kinoshita, H.; Arai, Y.; Yasuno, S.; Nakagawa, Y.; Igata, S.; Usami, S.; Minami, T.; et al. Increased Expression of HCN Channels in the Ventricular Myocardium Contributes to Enhanced Arrhythmicity in Mouse Failing Hearts. J. Am. Heart Assoc. 2013, 2, e000150. [Google Scholar] [CrossRef]
- Riesen, S.C.; Schober, K.E.; Bonagura, J.D.; Carnes, C.A. Myocardial expression of hyperpolarization-activated, cyclic nucleotide-gated proteins in healthy cats and cats with hypertrophic cardiomyopathy. Schweiz. Arch. Tierheilkd. 2013, 155, 143–147. [Google Scholar] [CrossRef]
- Stillitano, F.; Lonardo, G.; Zicha, S.; Varro, A.; Cerbai, E.; Mugelli, A.; Nattel, S. Molecular basis of funny current (If) in normal and failing human heart. J. Mol. Cell. Cardiol. 2008, 45, 289–299. [Google Scholar] [CrossRef]
- Udoko, A.N.; Johnson, C.A.; Dykan, A.; Rachakonda, G.; Villalta, F.; Mandape, S.N.; Lima, M.F.; Pratap, S.; Nde, P.N. Early Regulation of Profibrotic Genes in Primary Human Cardiac Myocytes by Trypanosoma cruzi. PLoS Negl. Trop. Dis. 2016, 10, e0003747. [Google Scholar] [CrossRef]
- Pitcairn, E.; Harris, H.; Epiney, J.; Pai, V.P.; Lemire, J.M.; Ye, B.; Shi, N.Q.; Levin, M.; McLaughlin, K.A. Coordinating heart morphogenesis: A novel role for hyperpolarization-activated cyclic nucleotide-gated (HCN) channels during cardiogenesis in Xenopus laevis. Commun. Integr. Biol. 2017, 10, e1309488. [Google Scholar] [CrossRef] [PubMed]
- Benchimol-Barbosa, P.; Barbosa-Filho, J. Mechanical cardiac remodeling and new-onset atrial fibrillation in long-term follow-up of subjects with chronic Chagas’ disease. Braz. J. Med. Biol. Res. 2009, 42, 251–262. [Google Scholar] [CrossRef] [PubMed][Green Version]





Publisher’s Note: MDPI stays neutral with regard to jurisdictional claims in published maps and institutional affiliations. |
© 2021 by the authors. Licensee MDPI, Basel, Switzerland. This article is an open access article distributed under the terms and conditions of the Creative Commons Attribution (CC BY) license (https://creativecommons.org/licenses/by/4.0/).
Share and Cite
Rodríguez-Angulo, H.O.; Colombet-Naranjo, D.; Maza, M.C.; Poveda, C.; Herreros-Cabello, A.; Mendoza, I.; Perera, J.C.; Goyo, J.D.; Gironès, N.; Fresno, M. Molecular Remodeling of Cardiac Sinus Node Associated with Acute Chagas Disease Myocarditis. Microorganisms 2021, 9, 2208. https://doi.org/10.3390/microorganisms9112208
Rodríguez-Angulo HO, Colombet-Naranjo D, Maza MC, Poveda C, Herreros-Cabello A, Mendoza I, Perera JC, Goyo JD, Gironès N, Fresno M. Molecular Remodeling of Cardiac Sinus Node Associated with Acute Chagas Disease Myocarditis. Microorganisms. 2021; 9(11):2208. https://doi.org/10.3390/microorganisms9112208
Chicago/Turabian StyleRodríguez-Angulo, Héctor O., Diana Colombet-Naranjo, María C. Maza, Cristina Poveda, Alfonso Herreros-Cabello, Iván Mendoza, Juan C. Perera, Juan D. Goyo, Núria Gironès, and Manuel Fresno. 2021. "Molecular Remodeling of Cardiac Sinus Node Associated with Acute Chagas Disease Myocarditis" Microorganisms 9, no. 11: 2208. https://doi.org/10.3390/microorganisms9112208
APA StyleRodríguez-Angulo, H. O., Colombet-Naranjo, D., Maza, M. C., Poveda, C., Herreros-Cabello, A., Mendoza, I., Perera, J. C., Goyo, J. D., Gironès, N., & Fresno, M. (2021). Molecular Remodeling of Cardiac Sinus Node Associated with Acute Chagas Disease Myocarditis. Microorganisms, 9(11), 2208. https://doi.org/10.3390/microorganisms9112208

