Virgin Olive Oil Quality Is Affected by the Microbiota that Comprise the Biotic Fraction of the Oil
Abstract
1. Introduction
2. The Microbiota of VOO
2.1. Yeast Survival and Distribution
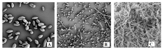
2.2. Bacteria and Molds
3. Influence of Yeasts on VOO Quality
4. Functional Properties of Oil-Borne Yeast Strains
5. Development of a Potentially Functional Olive Oil
6. Conclusions
Author Contributions
Funding
Acknowledgments
Conflicts of Interest
References
- Casado-Díaz, A.; Túnez-Fiñana, I.; Mata-Granados, J.M.; Ruiz-Méndez, M.V.; Dorado, G.; Romero-Sánchez, M.C.; Navarro-Valverde, C.; Quesada-Gómez, J.M. Serum from postmenopausal women treated with a by-product of olive-oil extraction process stimulates osteoblastogenesis and inhibits adipogenesis in human mesenchymal stem-cells (MSC). Exp. Gerontol. 2017, 90, 71–78. [Google Scholar] [CrossRef] [PubMed]
- Masana, M.F.; Koyanagi, A.; Haro, J.M.; Tyrovolas, S. n-3 Fatty acids, Mediterranean diet and cognitive function in normal aging: A systematic review. Exp. Gerontol. 2017, 91, 39–50. [Google Scholar] [CrossRef] [PubMed]
- Koidis, A.; Triantafillou, E.; Boskou, D. Endogenous microflora in turbid virgin olive oils and the physicochemical characteristics of these oils. Eur. J. Lipid Sci. Technol. 2008, 110, 164–171. [Google Scholar] [CrossRef]
- Breschi, C.; Guerrini, L.; Domizio, P.; Ferraro, G.; Calamai, L.; Canuti, V.; Masella, P.; Parenti, A.; Fratini, A.; Fia, G.; et al. Physical, Chemical, and Biological Characterization of Veiled Extra Virgin Olive Oil Turbidity for Degradation Risk Assessment. Eur. J. Lipid Sci. Technol. 2019, 121, 1900195. [Google Scholar] [CrossRef]
- Koidis, A.; Boskou, D. The contents of proteins and phospholipids in cloudy (veiled) virgin olive oils. Eur. J. Lipid Sci. Technol. 2006, 108, 323–328. [Google Scholar] [CrossRef]
- Lozano-Sánchez, J.; Cerretani, L.; Bendini, A.; Segura-Carretero, A.; Fernández-Gutiérrez, A. Filtration process of extra virgin olive oil: effect on minor components, oxidative stability and sensorial and physicochemical characteristics. Trends Food Sci. Technol. 2010, 21, 201–211. [Google Scholar] [CrossRef]
- Brenes, M.; García, A.; García, P.; Garrido, J. Acid hydrolysis of secoiridoid aglycons during storage of virgin olive oil. J. Agric. Food Chem. 2001, 49, 5609–5614. [Google Scholar] [CrossRef]
- Fregapane, G.; Lavelli, V.; León, S.; Kapuralin, J.; Salvador, M.D. Effect of filtration on virgin olive oil stability during storage. Eur. J. Lipid Sci. Technol. 2006, 108, 134–142. [Google Scholar] [CrossRef]
- Servili, M.; Montedoro, G.F. Contribution of phenolic compounds to virgin olive oil quality. Eur. J. Lipid Sci. Technol. 2002, 104, 602–613. [Google Scholar] [CrossRef]
- Servili, M.; Selvaggini, R.; Esposto, S.; Taticchi, A.; Montedoro, G.F.; Morozzi, G. Health and sensory properties of virgin olive oil hydrophilic phenols: agronomic and technological aspects of production that affect their occurrence in the oil. J. Chromatogr. A 2004, 1054, 113–127. [Google Scholar] [CrossRef]
- Franconi, R.; Coinu, R.; Carta, S.; Urgeghe, P.P.; Ieri, F.; Mulinacci, N.; Romani, A. Antioxidant effect of two virgin olive oils depends on the concentration and composition of minor polar compounds. J. Agric. Food Chem. 2006, 54, 3121–3125. [Google Scholar] [CrossRef] [PubMed]
- Han, J.; Talorete, T.P.N.; Yamada, P.; Isoda, H. Antiproliferative and apoptotic effects of oleuropein and hydroxytyrosol on human breast cancer MCF-7 cells. Cytotechnology 2009, 59, 45–53. [Google Scholar] [CrossRef]
- Omar, S.H. Oleuropein in olive and its pharmacological effects. Sci. Pharmac. 2010, 78, 133–154. [Google Scholar] [CrossRef] [PubMed]
- Lucas, L.; Russell, A.; Keast, R. Molecular mechanisms of inflammation. Anti-inflammatory benefits of virgin olive oil and the phenolic compound oleocanthal. Curr. Pharm. Des. 2011, 17, 754–768. [Google Scholar] [CrossRef] [PubMed]
- Warleta, F.; Quesada, C.S.; Campos, M.; Allouche, Y.; Beltrán, G.; Gaforio, J.J. Hydroxytyrosol protects against oxidation DNA damage in human breast cells. Nutrients 2011, 3, 839–857. [Google Scholar] [CrossRef]
- Justino, C.I.L.; Pereira, R.; Freitas, A.C.; Rocha-Santos, T.A.P.; Panteleitchouk, T.S.L.; Duarte, A.C. Olive oil mill wasterwaters before and after treatment: a critical review from the ecotoxicologica point of view. Ecotoxicology 2012, 21, 615–619. [Google Scholar] [CrossRef]
- Taghvaei, M.; Jafari, S.M. Application and stability of natural antioxidants in edible oils in order to substitute synthetic additives. J. Food Sci. Technol. 2015, 52, 1272–1282. [Google Scholar] [CrossRef]
- Gharby, S.; Harhar, H.; Mamouni, R.; Matthäus, B.; Addi, E.H.A.; Charrouf, Z. Chemical characterization and kinetic parameter determination under Rancimat test conditions of four monovarietal virgin olive oil grown in Morocco. Oilseeds Fats Crop. Lipids 2016, 23, A401. [Google Scholar] [CrossRef]
- Ciafardini, G.; Zullo, B.A. Microbiological activity in stored olive oil. Int. J. Food Microbiol. 2002, 75, 111–118. [Google Scholar] [CrossRef]
- Zullo, B.A.; Cioccia, G.; Ciafardini, G. Effects of some oil-born yeasts on the sensory characteristics of Italian virgin olive oil during its storage. Food Microbiol. 2013, 36, 70–78. [Google Scholar] [CrossRef]
- Ciafardini, G.; Zullo, B.A. Virgin olive oil yeasts: A review. Food Microbiol. 2018, 70, 245–253. [Google Scholar] [CrossRef] [PubMed]
- Ciafardini, G.; Zullo, B.A. In vitro potential antioxidant activity of indigenous yeasts isolated from virgin olive oil. J. Appl. Microbiol. 2020, 128, 853–861. [Google Scholar] [CrossRef] [PubMed]
- Guerrini, S.; Mari, E.; Barbato, D.; Granchi, L. Extra virgin olive oil quality as affected by yeast species occurring in the extraction process. Foods 2019, 8, 457. [Google Scholar] [CrossRef] [PubMed]
- Zullo, B.A.; Ciafardini, G. Evaluation of physiological properties of yeast strains isolated from olive oil and their in vitro probiotic trait. Food Microbiol. 2019, 78, 179–187. [Google Scholar] [CrossRef] [PubMed]
- Mari, E.; Guerrini, S.; Granchi, L.; Vincenzini, M. Enumeration and rapid identification of yeasts during extraction process of extra virgin olive oil in Tuscany. World J. Microbiol. Biotechnol. 2016, 32, 93–103. [Google Scholar] [CrossRef] [PubMed]
- Ciafardini, G.; Cioccia, G.; Zullo, B.A. Taggiasca extra virgin olive oil colonization by yeasts during the extraction process. Food Microbiol. 2017, 62, 58–61. [Google Scholar] [CrossRef]
- Zullo, B.A.; Maiuro, L.; Ciafardini, G. Survival of Coliform Bacteria in Virgin Olive Oil. BioMed Res. Int. 2018, 2018, 8490614. [Google Scholar] [CrossRef]
- Zullo, B.A.; Ciafardini, G. Lipolytic yeasts distribution in commercial extra virgin olive oil. Food Microbiol. 2008, 25, 970–977. [Google Scholar] [CrossRef]
- Zullo, B.A.; Cioccia, G.; Ciafardini, G. Distribution of dimorphic yeast species in commercial extra virgin olive oil. Food Microbiol. 2010, 27, 1035–1042. [Google Scholar] [CrossRef]
- Zullo, B.A.; Ciafardini, G. Changes in physicochemical and microbiological parameters of short and long-lived veiled (cloudy) virgin olive oil upon storage in the dark. Eur. J. Lipid Sci.Technol. 2018, 120, 1700309. [Google Scholar] [CrossRef]
- Ciafardini, G.; Cioccia, G.; Zullo, B.A. Survival of Candida parapsilosis yeast in olive oil. Ann. Microbiol. 2013, 63, 1645–1648. [Google Scholar] [CrossRef]
- Guerrini, L.; Zanoni, B.; Breschi, C.; Angeloni, G.; Masella, P.; Calamai, L.; Parenti, A. Understanding olive oil stability using filtration and high hydrostatic pressure. Molecules 2020, 25, 420. [Google Scholar] [CrossRef] [PubMed]
- Kiritsakis, A.; Nanos, G.D.; Polymenopulos, Z.; Thomai, T.; Sfakiotakis, E.M. Effect of fruit storage conditions on olive oil quality. J. Am. Oil Chem. Soc. 1998, 75, 721–724. [Google Scholar] [CrossRef]
- Zullo, B.A.; Ciafardini, G. Differential microbial composition of monovarietal and blended extra virgin olive oils determines oil quality during storage. Microorganisms 2020, 8, 402. [Google Scholar] [CrossRef]
- Spencer, J.; Spencer, D. Ecology: Where Yeasts Live, in Yeasts in Natural and Artificial Habitats; Spencer, J., Spencer, D., Eds.; Springer: Berlin/Heidelberg, Germany, 1997; pp. 33–58. [Google Scholar]
- Péter, G.; Dlauchy, D.; Tóbiás, A.; Fülöp, L.; Podgoršek, M.; Čadež, N. Brettanomyces acidodurans sp. nov., a new acetic acid producing yeast species from olive oil. Antonie van Leeuwenhoek 2017. [Google Scholar] [CrossRef]
- Kurtzman, C.P.; Fell, J.W.; Boekhout, T. The Yeasts: A Taxonomic Study; Elsevier Science: Burlington, VM, USA, 2011. [Google Scholar]
- Čadež, N.; Raspor, P.; Turchetti, B.; Cardinali, G.; Ciafardini, G.; Veneziani, G.; Péter, G. Candida adriatica sp. nov. and Candida molendinolei sp. nov., two yeast species isolated from olive oil and its by-products. Int. J. Syst. Evol. Microbiol. 2012, 62, 2296–2302. [Google Scholar] [CrossRef]
- Čadež, N.; Dlauchy, D.; Raspor, P.; Péter, G. Ogataea kolombanensis sp. nov., Ogataea histrianica sp. nov. and Ogataea deakii sp. nov., three novel yeast species from plant sources. Int. J. Syst. Evol. Microbiol. 2013, 63, 3115–3123. [Google Scholar] [CrossRef]
- Ciafardini, G.; Zullo, B.A.; Antonielli, L.; Corte, L.; Roscini, L.; Cardinali, G. Yamadazyma terventina sp. nov., a yeast species of the Yamadazyma clade from Italian olive oils. Int. J. Syst. Evol. Microbiol. 2013, 63, 372–376. [Google Scholar] [CrossRef]
- Čadež, N.; Dlauchy, D.; Tóbiás, A.; Péter, G. Kuraishia mediterranea sp. nov., a methanol-assimilating yeast species from olive oil and its sediment. Int. J. Syst. Evol. Microbiol. 2017, 67, 4846–4850. [Google Scholar] [CrossRef]
- Buescher, R.W.; Burgin, C. Diffusion plate assay for measurement of polygalacturonase activities in pickle brine. J. Food Biochem. 1992, 16, 59–68. [Google Scholar] [CrossRef]
- Golomb, B.L.; Morales, V.; Jung, A.; Yau, B.; Boundy-Mills, K.L.; Marco, M.L. Effects of pectinolytic yeast on the microbial composition and spoilage of olive fermentations. Food Microbiol. 2013, 33, 97–106. [Google Scholar] [CrossRef] [PubMed]
- Santona, M.; Sanna, M.L.; Multineddu, C.; Fancello, F.; de la Fuente, S.A.; Dettori, S.; Zara, S. Microbial biodiversity of Sardinian oleic ecosystems. Food Microbiol. 2018, 70, 65–75. [Google Scholar] [CrossRef] [PubMed]
- Pizzolante, G.; Durante, M.; Rizzo, D.; Di Salvo, M.; Tredici, S.M.; Tufariello, M.; De Paolis, A.; Talá, A.; Mita, G.; Alifano, P.; et al. Characterization of two Pantoea strains isolated from extra-virgin olive oil. AMB Express 2018, 8, 113. [Google Scholar] [CrossRef] [PubMed]
- Fancello, F.; Multineddu, C.; Santona, M.; Deiana, P.; Zara, G.; Mannazzu, I.; Budroni, M.; Dettori, S.; Zara, S. Bacterial biodiversity of extra virgin olive oils and their potential biotechnological exploitation. Microorganisms 2020, 8, 97. [Google Scholar] [CrossRef]
- Ciafardini, G.; Zullo, B.A. Survival of microorganisms in extra virgin olive oil during storage. Food Microbiol. 2002, 19, 105–109. [Google Scholar] [CrossRef]
- Vichi, S.; Romero, A.; Tous, J.; Caixach, J. The activity of healthy olive microbiota during virgin olive oil extraction influences oil chemical composition. J. Agric. Food Chem. 2011, 59, 4705–4714. [Google Scholar] [CrossRef]
- Ciafardini, G.; Zullo, B.A. Effect of lipolytic activity of Candida adriatica, Candida diddensiae and Yamadazyma terventina on the acidity of extra-virgin olive oil with different polyphenol and water content. Food Microbiol. 2015, 47, 12–20. [Google Scholar] [CrossRef]
- Ciafardini, G.; Zullo, B.A.; Iride, A. Lipase production by yeasts from extra virgin olive oil. Food Microbiol. 2006, 23, 60–67. [Google Scholar] [CrossRef]
- Romo-Sanchez, S.; Alves-Baffi, M.; Arévalo-Villena, M.; Úbeda-Iranzo, J.; Briones-Pérez, A. Yeast biodiversity from oleic ecosystem: study of their biotechnological properties. Food Microbiol. 2010, 27, 487–492. [Google Scholar] [CrossRef]
- Zullo, B.A.; Pachioli, S.; Ciafardini, G. Reducing the bitter taste of virgin olive oil Don Carlo by microbial and vegetable enzymes linked to the colloidal fraction. Colloids Interfaces 2020, 4, 11. [Google Scholar] [CrossRef]
- Migliorini, M.; Cecchi, L.; Cherubini, C.; Trapani, S.; Cini, E.; Zanoni, B. Understanding degradation of phenolic compounds during olive oil processing by inhibitor addition. Eur. J. Lipid Sci. Technol. 2012, 114, 942–950. [Google Scholar] [CrossRef]
- Campestre, C.; Angelini, G.; Gasbarri, C.; Angerosa, F. The compounds responsible for the sensory profile in monovarietal virgin olive oils. Molecules 2017, 22, 1833. [Google Scholar] [CrossRef] [PubMed]
- Palla, M.; Digiacomo, M.; Cristani, C.; Bertini, S.; Giovannetti, M.; Macchia, M.; Manera, C.; Agnolucci, M. Composition of health-promoting phenolic compounds in two extra virgin olive oils and diversity of associated yeasts. J. Food Compos. Anal. 2018, 74, 27–33. [Google Scholar] [CrossRef]
- Ciafardini, G.; Zullo, B.A.; Cioccia, G.; Iride, A. Lipolytic activity of Williopsis californica and Saccharomyces cerevisiae in extra virgin olive oil. Int. J. Food Microbiol. 2006, 107, 27–32. [Google Scholar] [CrossRef]
- Brockerhoff, H.; Jensen, R.G. Lipase. Lipolytic Enzymes; Academic Press: New York, NY, USA, 1974; pp. 25–175. [Google Scholar]
- Schith, R.D.; Verger, R. Lipases: interfacial enzymes with attractive applications. Angew. Chem. Int. Ed. 1978, 37, 1608–1633. [Google Scholar]
- Commission Implementing Regulation (EU) No. 1348/2913. OJEU. L338:3; Publications Office of the European Union: Luxembourg, 2013.
- Caponio, F.; Gomes, T.; Pasqualone, A. Phenolic compounds in virgin olive oils: influence of the degree of olive ripeness on organoleptic characteristics and shelf-life. Eur. Food Res. Technol. 2001, 212, 329–333. [Google Scholar] [CrossRef]
- Andrewes, P.; Busch, J.L.H.C.; De Joode, T.; Groenewegen, A.; Alexandre, H. Sensory properties of virgin olive oil polyphenols: Identification of deacetoxyligstroside aglycon as a key contributor to pungency. J. Agric. Food Chem. 2003, 51, 1415–1420. [Google Scholar] [CrossRef]
- Guerrini, S.; Mari, E.; Migliorini, M.; Cherubini, C.; Trapani, S.; Zanoni, B.; Vincenzini, M. Investigation on microbiology of olive oil extraction process. Ital. J. Food Sci. 2015, 27, 237–247. [Google Scholar]
- Banik, A.; Mondal, J.; Rakshit, S.; Ghosh, K.; Sha, S.P.; Halder, S.K.; Ghosh, C.; Mondal, K.C. Amelioration of cold-induced gastric injury by a yeast probiotic isolated from traditional fermented foods. J. Funct. Foods 2019, 59, 164–173. [Google Scholar] [CrossRef]
- Shen, Y.B.; Piao, X.S.; Kim, S.W.; Wang, L.; Liu, P.; Yoon, I.; Zhen, Y.G. Effects of yeast culture supplementation on growth performance, intestinal health, and immune response of nursey pigs. J. Anim. Sci. 2009, 87, 2614–2624. [Google Scholar] [CrossRef]
- McFarland, L.V.; Bernasconi, P. Saccharomyces bourlardii: a Review of an innovative biotherapeutic agent. Microb. Ecol. Health Dis. 1993, 6, 157–171. [Google Scholar]
- Ouwehand, A.C.; Salminen, S.; Isolauri, E. Probiotics: an overview of beneficial effects. Antonie Leeuwenhoek 2002, 82, 279–289. [Google Scholar] [CrossRef] [PubMed]
- Czerucka, D.; Piche, T.; Rampal, P. Review article: yeast as probiotics-Saccharomyces boulardii. Aliment. Pharmacol. Ther. 2007, 26, 767–778. [Google Scholar] [CrossRef] [PubMed]
- Psani, M.; Kotzekidou, P. Technologic characteristics of yeast strains and their potential as starters adjuncts in Greel-style black olive fermentation. World J. Microbiol. Biotechnol. 2006, 22, 1329–1336. [Google Scholar] [CrossRef]
- Kourelis, A.; Kotzamanidis, C.; Litopoulou-Tzanetaki, E.; Scouras, Z.G.; Tzanetakis, N.; Yiangou, M. Preliminary probiotic selection of dairy and human yeast strains. J. Biol. Res. (Thessalon.) 2010, 13, 93–104. [Google Scholar]
- Oliveira, T.; Ramalhosa, E.; Nunes, L.; Pereira, J.A.; Colla, E.; Pereira, E.L. Probiotic potential of indigenous yeasts isolated during the fermentation of table olives from Northeast of Portugal. Innovat. Food Sci. Emerg. Technol. 2017, 44, 167–172. [Google Scholar] [CrossRef]
- Chopade, L.R.; Paradeshi, J.S.; Amrutkar, K.P.; Chaudhari, B.L. Finding out potent probiotic cultures from ayurvedic formulation Takrarishta through in vitro-probiotic characterization and principal component analysis. LWT 2019, 100, 205–212. [Google Scholar] [CrossRef]
- Pauls, S.D.; Rodway, L.A.; Winter, T.; Taylor, C.G.; Zahradka, P.; Aukema, H.M. Anti-inflammatory effects of ᾳ-linolenic acid in M1-like macrophages are associated with enhanced production of oxylipins from ᾳ-linolenic and linoleic acid. J. Nutr. Biochem. 2018, 57, 121–129. [Google Scholar] [CrossRef]
- Gómez-Rico, A.; Fregapane, G.; Salvador, M.D. Effect of cultivar and ripening on minor components in Spanish olive fruits and their corresponding virgin olive oils. Food Res. Int. 2008, 41, 433–440. [Google Scholar] [CrossRef]
- Frankel, E.; Bakhouche, A.; Lozano-Sánchez, J.; Segura-Carretero, A.; Fernández-Gutiérrez, A. Literature review on production process to obtain extra virgin olive oil enriched in bioactive compounds. Potential use of by-product as alternative sources of polyphenols. J. Agric. Food Chem. 2013, 61, 5179–5188. [Google Scholar] [CrossRef]
- Fregapane, G.; Salvador, M.D. Production of superior quality extra virgin olive oil modulating the content and profile of its minor components. Food Res. Int. 2013, 54, 1907–1914. [Google Scholar] [CrossRef]
- Ciafardini, G.; Zullo, B.A. Improvement of commercial olive oil quality through an evaluation of the polyphenol content of the oily fraction of the olive fruit during its period of maturation. J. Food Process Technol. 2014, 5, 397. [Google Scholar]
- Zullo, B.A.; Di Stefano, M.G.; Cioccia, G.; Ciafardini, G. Evaluation of polyphenol decay in the oily fraction of olive fruit during storage using a mild sample handling method. Eur. J. Lipid Sci. Technol. 2014, 116, 160–168. [Google Scholar] [CrossRef]
- Segade, M.; Bermejo, R.; Silva, A.; Paiva-Martins, F.; Gil-Longo, J.; Campos-Toimil, M. Involvement of endothelium in the vasorelaxant effects of 3,4-DHPEA and 3,4-DHPEA-EDA, two major functional bioactives in olive oil. J. Funct. Foods 2016, 23, 637–646. [Google Scholar] [CrossRef]
- Suárez, M.; Romero, M.P.; Motilva, M.J. Development of a phenol enriched olive oil with phenolic compounds from olive cake. J. Agric. Food Chem. 2010, 58, 10396–10403. [Google Scholar] [CrossRef] [PubMed]
- Achat, S.; Tomao, V.; Madani, K.; Chibane, M.; Elmaataoui, M.; Dangles, O.; Chemad, F. Direct enrichment of olive oil in oleuropein by ultrasound-assisted maceration at laboratory and pilot plant scale. Ultrason. Sonochem. 2012, 19, 777–786. [Google Scholar] [CrossRef]
- Rubió, L.; Motilva, M.J.; Macià, A.; Ramo, T.; Romero, M.P. Development of a phenol-enriched olive oil with both its own phenolic compounds and complementary phenols from thyme. J. Agric. Food Chem. 2012, 60, 3105–3112. [Google Scholar] [CrossRef]
- Garrido, M.; González-Flores, D.; Marchena, A.M.; Prior, E.; García-Parra, J.; Barriga, C.; Rodríguez-Moratinos, A.B. A lycopene-enriched virgin olive enhances antioxidant status in humans. J. Sci. Food Agric. 2013, 93, 1820–1826. [Google Scholar] [CrossRef]
- Fernández-Castillejo, S.; Valls, R.M.; Castañer, O.; Rubió, L.; Catalán, Ú.; Pedret, A.; Macià, A.; Sampson, M.L.; Covas, M.I.; Fitó, M.; et al. Polyphenol rich olive oils improve lipoprotein particle atherogenic ratios and subclasses profile: A randomized, crossover, controlled trial. Mol. Nutr. Food Res. 2016, 60, 1544–1554. [Google Scholar] [CrossRef]
- Reboredo-Rodriguez, P.; Figueiredo-González, M.; González-Barreiro, C.; Simal-Gándara, J.; Salvador, M.D.; Cancho-Grande, B.; Fregapane, G. State of the art on functional virgin olive oils enriched with bioactive compounds and their properties. Int. J. Mol. Sci. 2017, 18, 668. [Google Scholar] [CrossRef]

| Yeast Species | Substrate | Location | Reference |
|---|---|---|---|
| Brettanomyces acidodurans | olive oil | Spain | [36] |
| (New species) | spoiled olive oil | Israel | [36] |
| Brettanomyces californica | virgin olive oil | Italy | [22] |
| Candida adriatica | olive oil sediment | Slovenia | [38] |
| (New species) | virgin olive oil | Italy | [38] |
| spoiled olive oil | Croatia | [38] | |
| oil from decanter | Italy | [23] | |
| Candida dendronema | olive oil | Italy | [44] |
| Candida diddensiae | virgin olive oil | Italy | [29] |
| Candida norvegica | virgin olive oil | Italy | [26] |
| Candida oleophila | virgin olive oil | Italy | [26] |
| Candida parapsilosis | virgin olive oil | Italy | [28] |
| Candida temnochilae | olive oil | Italy | [44] |
| Debaryomyces hansenii | virgin olive oil | Italy | [26] |
| Groenewaldozyma auringiensis | olive oil | Spain | [36] |
| Lachancea fermentati | olive oil | Spain | [36] |
| Kuraishia capsulata | virgin olive oil | Italy | [Date unpublished] |
| Kuraishia mediterranea | olive oil sediment | Slovenia | [41] |
| (New species) | spoiled olive oil | Portugal | [41] |
| virgin olive oil | Italy | [Date unpublished] | |
| Meyerozyma guilliermondii | virgin olive oil | Italy | [29] |
| Nakazawaea molendinolei | virgin olive oil | Italy | [38] |
| (New species) | virgin olive oil | Croatia | [38] |
| virgin olive oil | Slovenia | [38] | |
| spoiled olive oil | Israel | [38] | |
| oil from decanter | Italy | [23] | |
| Nakazawaea wickerhamii | virgin olive oil | Italy | [28] |
| (Candida wickerhamii) | oil from decanter | Italy | [23] |
| Ogataea histrianica | olive oil sediment | Slovenia, Italy | [39] |
| (New species) | virgin olive oil | Italy | [22] |
| Ogateae kolombanensis | olive oil sediment | Slovenia | [39] |
| (New species) | virgin olive oil | Italy | [Date unpublished] |
| Yamadazyma mexicana | olive oil | Italy | [44] |
| Yamadazyma nakazawaea | olive oil | Italy | [44] |
| Saccharomyces cerevisiae | olive oil | Italy | [44] |
| Wickerhamomyces anomalus | virgin olive oil | Italy | [26] |
| Yamadazyma terventina | virgin olive oil | Italy | [40] |
| (New species) | oil from decanter | Italy | [23] |
| Free fatty acid | Candida adriatica | Candida diddensiae | Nakazawaeamolendinolei | Nakazawaeawickerhamii | Wickerhamomycesanomalus | Yamadazymaterventina | Saccharomycesboulardii | Olive oil | |||||||
|---|---|---|---|---|---|---|---|---|---|---|---|---|---|---|---|
| No.* | %** | No. | % | No. | % | No. | % | No. | % | No. | % | No. | % | ||
| 2 | 2 | 2 | 1 | 2 | 2 | 1 | |||||||||
| Myristic acid (C14:0) | 1.02 | 1.29 | 0.31 | 0.22 | 0.33 | 0.40 | 0.89 | 0.01 | |||||||
| Palmitic acid (C16:0) | 14.83 | 20.72 | 13.35 | 9.41 | 18.38 | 16.34 | 16.15 | 12.25 | |||||||
| Palmitoleic acid (16:1) | 7.56 | 7.81 | 9.13 | 9.52 | 4.90 | 8.05 | 47.01 | 0.79 | |||||||
| Heptadecanoic acid (C17:0) | 0.36 | 0.00 | 0.64 | 0.65 | 0.29 | 0.49 | 0.00 | 0.04 | |||||||
| Heptadecenoic acid (C17:1) | 2.71 | 0.98 | 2.49 | 4.05 | 1.98 | 2.48 | 0.66 | 0.06 | |||||||
| Stearic acid (C18:0) | 2.70 | 1.72 | 1.41 | 0.98 | 2.46 | 2.33 | 5.82 | 2.61 | |||||||
| Oleic acid (C18:1) | 36.72 | 26.91 | 31.76 | 32.96 | 35.47 | 37.66 | 26.49 | 73.50 | |||||||
| Linoleic acid (C18:2) | 25.51 | 27.91 | 31.00 | 37.31 | 30.96 | 25.90 | 0.00 | 9.09 | |||||||
| Arachic acid (C20:0) | 0.09 | 3.34 | 3.24 | 2.05 | 1.83 | 0.30 | 0.00 | 0.41 | |||||||
| Linolenic acid (C18:3) | 5.08 | 9.48 | 5.97 | 2.21 | 3.69 | 5.07 | 0.00 | 0.67 | |||||||
| Eicosenoic acid (C20:1) | 0.12 | 0.00 | 0.00 | 0.00 | 0.00 | 0.03 | 0.00 | 0.40 | |||||||
| Behenic acid (C22:0) | 0.06 | 0.00 | 0.00 | 0.13 | 0.07 | 0.10 | 0.00 | 0.10 | |||||||
| Lignoceric tR acid (C24:0) | 2.83 | 0.32 | 0.27 | 0.00 | 0.20 | 0.36 | 2.76 | 0.04 | |||||||
| Total % | 99.59 | 99.76 | 99.57 | 99.49 | 99.58 | 99.51 | 99.78 | 99.96 | |||||||
| SFA | 21.89 | 27.39 | 19.22 | 13.44 | 23.51 | 20.32 | 25.62 | 15.72 | |||||||
| MUFA | 47.11 | 35.70 | 43.38 | 46.53 | 42.02 | 48.22 | 74.16 | 74.75 | |||||||
| PUFA | 30.59 | 36.67 | 36.97 | 39.52 | 34.05 | 30.97 | 0.00 | 9.76 | |||||||
| Yeast Species. | No.* | Cholesterol Removal (%) | No. | Antioxidant Activity (%) | No. | Specific Activity (U g−1 Yeast Biomass) | Reference |
|---|---|---|---|---|---|---|---|
| Barnettozyma californica | 0 | ND | 3 | 34.17 | 3 | 4.44 | [22] |
| Candida adriatica | 2 | 14.97 | 6 | 47.00 | 6 | 6.27 | [22,24] |
| Candida diddensiae | 2 | 14.20 | 4 | 36.50 | 4 | 4.77 | [22,24] |
| Nakazawaea molendinolei | 2 | 44.45 | 3 | 59.50 | 3 | 8.06 | [22,24] |
| Nakazawaea wickerhamii | 1 | 39.60 | 1 | 83.50 | 1 | 11.48 | [22,24] |
| Ogataea histrianica | 0 | ND | 1 | 47.00 | 1 | 6.27 | [22] |
| Yamadazyma terventina | 2 | 21.45 | 4 | 52.13 | 4 | 7.00 | [22,24] |
| Wickerhamomyces anomalus | 2 | 60.52 | 2 | 50.00 | 2 | 6.74 | [22,24] |
| Saccharomyces boulardii** | 1 | 35.38 | 1 | 70.00 | 1 | 9.55 | [22,24] |
© 2020 by the authors. Licensee MDPI, Basel, Switzerland. This article is an open access article distributed under the terms and conditions of the Creative Commons Attribution (CC BY) license (http://creativecommons.org/licenses/by/4.0/).
Share and Cite
Zullo, B.A.; Ciafardini, G. Virgin Olive Oil Quality Is Affected by the Microbiota that Comprise the Biotic Fraction of the Oil. Microorganisms 2020, 8, 663. https://doi.org/10.3390/microorganisms8050663
Zullo BA, Ciafardini G. Virgin Olive Oil Quality Is Affected by the Microbiota that Comprise the Biotic Fraction of the Oil. Microorganisms. 2020; 8(5):663. https://doi.org/10.3390/microorganisms8050663
Chicago/Turabian StyleZullo, Biagi Angelo, and Gino Ciafardini. 2020. "Virgin Olive Oil Quality Is Affected by the Microbiota that Comprise the Biotic Fraction of the Oil" Microorganisms 8, no. 5: 663. https://doi.org/10.3390/microorganisms8050663
APA StyleZullo, B. A., & Ciafardini, G. (2020). Virgin Olive Oil Quality Is Affected by the Microbiota that Comprise the Biotic Fraction of the Oil. Microorganisms, 8(5), 663. https://doi.org/10.3390/microorganisms8050663
