Arginine Catabolic Mobile Element in Evolution and Pathogenicity of the Community-Associated Methicillin-Resistant Staphylococcus aureus Strain USA300
Abstract
1. Introduction
2. Materials and Methods
2.1. Bacterial Strains and Plasmids
2.2. Construction of USA300 arcA and ACME Deletion Mutants
2.3. Gene Expression in WT and Mutant Strain
2.4. Bacterial Growth in Acidic Environment
2.5. Bacterial Survival on a Plastic Surface
2.6. Mouse Skin Survival Model
2.7. Invasion, Proliferation and Cytotoxicity Assays
2.8. Caenorhabditis elegans and Drosophila melanogaster Killing Assays
2.9. Mouse Skin Intradermal Infection Model
2.10. Epidemiology of ACME Positive and Negative USA300 Clinical Isolates
2.11. Excision of ACME and/or SCCmec Catalyzed by Recombinase CcrAB2
2.12. Spontaneous Excision of ACME and/or SCCmec
2.13. Ethics Approval
3. Results
3.1. Construction of USA300 arcA and ACME Deletion
3.2. Growth Difference among Strains 2406 WT, ΔarcA and ΔACME in Acidic Environment
3.3. The Survival Ability of Strain 2406 WT, ΔarcA and ΔACME on the Different Surfaces
3.4. The Survival Ability of Strain 2406 WT and ΔACME on the Surface of Mouse Skin
3.5. Strain 2406 WT and ΔACME Showed Similar Invasion, Intracellular Replication and Cytotoxicity in the Human Lung Epithelial Cell (A549)
3.6. Strain 2406 WT and ΔACME Showed Similar Virulence in Invertebrate Models
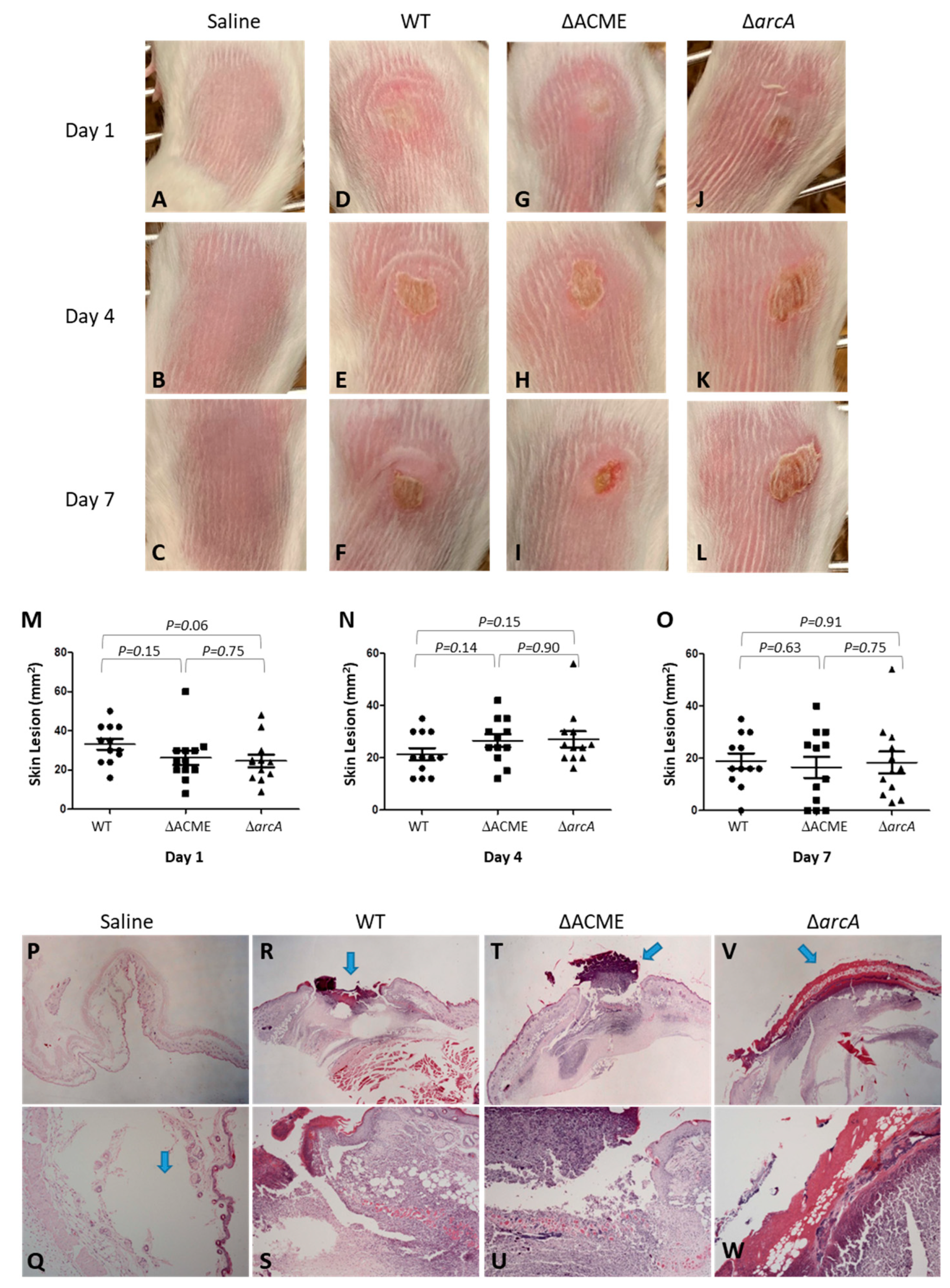
3.7. Strain 2406 WT, ΔACME and ΔarcA Showed Similar Virulence in a Mouse Skin Infection Model
3.8. Epidemiology Features of ACME+/− USA300 Clinical Isolates
3.9. Spontaneous ACME and/or SCCmec Excision from the Chromosome
4. Discussion
5. Conclusions
Author Contributions
Funding
Acknowledgments
Conflicts of Interest
Abbreviations
| CA-MRSA | Community-associated methicillin-resistant Staphylococcus aureus |
| MRSA | Methicillin-resistant Staphylococcus aureus |
| ACME | Arginine catabolic mobile element |
| arc | Arginine deiminase |
| opp-3 | oligopeptide permease |
| SCCmec | Staphylococcal cassette chromosome mec |
| PFGE | Pulsed field gel electrophoresis |
| WT | wild type |
| PCR | Polymerase chain reaction |
| Δ | deletion |
| BHI | Brain heart infusion |
| TSA | Tryptic soy agar |
| CFU | Colony forming units |
| CI | Competition index |
| MEM | Minimum essential medium |
| FBS | Fetal bovine serum |
| PBS | Phosphate buffered saline |
| EDTA | Ethylenediaminetetraacetic acid |
| LDH | Lactate dehydrogenase |
| NA | Nalidixic acid |
| AHS | Alberta Health Services |
| spa | staphylococcal protein A |
| MLST | Multilocus sequence typing |
| agr | Accessory gene regulator |
| PVL | Panton-Valentine Leukocidin |
| qRT-PCR | Quantitative reverse transcription polymerase chain reaction |
| Ct | cycle threshold |
| SSTI | Skin and soft tissue infection |
| MSSA | Methicillin-susceptible Staphylococcus aureus |
References
- Diekema, D.J.; Richter, S.S.; Heilmann, K.P.; Dohrn, C.L.; Riahi, F.; Tendolkar, S.; McDanel, J.S.; Doern, G.V. Continued emergence of USA300 methicillin-resistant Staphylococcus aureus in the United States: Results from a nationwide surveillance study. Infect. Control. Hosp. Epidemiol. 2014, 35, 285–292. [Google Scholar] [CrossRef] [PubMed]
- Nimmo, G.R. USA300 abroad: Global spread of a virulent strain of community-associated methicillin-resistant Staphylococcus aureus. Clin. Microbiol. Infect. 2012, 18, 725–734. [Google Scholar] [CrossRef] [PubMed]
- Tenover, F.C.; Goering, R.V. Methicillin-resistant Staphylococcus aureus strain USA300: Origin and epidemiology. J. Antimicrob. Chemother. 2009, 64, 441–446. [Google Scholar] [CrossRef] [PubMed]
- Diep, B.A.; Gill, S.R.; Chang, R.F.; Phan, T.H.; Chen, J.H.; Davidson, M.G.; Lin, F.; Lin, J.; Carleton, H.A.; Mongodin, E.F.; et al. Complete genome sequence of USA300, an epidemic clone of community-acquired meticillin-resistant Staphylococcus aureus. Lancet 2006, 367, 731–739. [Google Scholar] [CrossRef]
- Casiano-Colon, A.; Marquis, R.E. Role of the arginine deiminase system in protecting oral bacteria and an enzymatic basis for acid tolerance. Appl. Environ. Microbiol. 1988, 54, 1318–1324. [Google Scholar] [CrossRef] [PubMed]
- Degnan, B.A.; Palmer, J.M.; Robson, T.; Jones, C.E.; Fischer, M.; Glanville, M.; Mellor, G.D.; Diamond, A.G.; Kehoe, M.A.; Goodacre, J.A. Inhibition of human peripheral blood mononuclear cell proliferation by Streptococcus pyogenes cell extract is associated with arginine deiminase activity. Infect. Immun. 1998, 66, 3050–3058. [Google Scholar] [CrossRef]
- Degnan, B.A.; Fontaine, M.C.; Doebereiner, A.H.; Lee, J.J.; Mastroeni, P.; Dougan, G.; Goodacre, J.A.; Kehoe, M.A. Characterization of an isogenic mutant of Streptococcus pyogenes Manfredo lacking the ability to make streptococcal acid glycoprotein. Infect. Immun. 2000, 68, 2441–2448. [Google Scholar] [CrossRef]
- Podbielski, A.; Pohl, B.; Woischnik, M.; Korner, C.; Schmidt, K.H.; Rozdzinski, E.; Leonard, B.A. Molecular characterization of group A streptococcal (GAS) oligopeptide permease (opp) and its effect on cysteine protease production. Mol. Microbiol. 1996, 21, 1087–1099. [Google Scholar] [CrossRef]
- Thurlow, L.R.; Joshi, G.S.; Clark, J.R.; Spontak, J.S.; Neely, C.J.; Maile, R.; Richardson, A.R. Functional modularity of the arginine catabolic mobile element contributes to the success of USA300 methicillin-resistant Staphylococcus aureus. Cell Host Hicrobe 2013, 13, 100–107. [Google Scholar] [CrossRef]
- Diep, B.A.; Stone, G.G.; Basuino, L.; Graber, C.J.; Miller, A.; des Etages, S.A.; Jones, A.; Palazzolo-Balance, A.M.; Perdreau-Remington, F.; Sensabaugh, G.F.; et al. The arginine catabolic mobile element and staphylococcal chromosomal cassette mec linkage: Convergence of virulence and resistance in the USA300 clone of methicillin-resistant Staphylococcus aureus. J. Infect. Dis. 2008, 197, 1523–1530. [Google Scholar] [CrossRef]
- Montgomery, C.P.; Boyle-Vavra, S.; Daum, R.S. The arginine catabolic mobile element is not associated with enhanced virulence in experimental invasive disease caused by the community-associated methicillin-resistant Staphylococcus aureus USA300 genetic background. Infect. Immun. 2009, 77, 2650–2656. [Google Scholar] [CrossRef]
- Gilbert, M.; MacDonald, J.; Gregson, D.; Siushansian, J.; Zhang, K.; Elsayed, S.; Laupland, K.; Louie, T.; Hope, K.; Mulvey, M.; et al. Outbreak in Alberta of community-acquired (USA300) methicillin-resistant Staphylococcus aureus in people with a history of drug use, homelessness or incarceration. CMAJ 2006, 175, 149–154. [Google Scholar] [CrossRef] [PubMed]
- Bruckner, R. Gene replacement in Staphylococcus carnosus and Staphylococcus xylosus. FEMS Microbiol. Lett. 1997, 151, 1–8. [Google Scholar] [CrossRef]
- Katayama, Y.; Ito, T.; Hiramatsu, K. A new class of genetic element, Staphylococcus cassette chromosome mec, encodes methicillin resistance in Staphylococcus aureus. Antimicrob. Agents Chemother. 2000, 44, 1549–1555. [Google Scholar] [CrossRef] [PubMed]
- Mulvey, M.R.; Chui, L.; Ismail, J.; Louie, L.; Murphy, C.; Chang, N.; Alfa, M.; Canadian Committee for the Standardization of Molecular Methods. Development of a Canadian standardized protocol for subtyping methicillin-resistant Staphylococcus aureus using pulsed-field gel electrophoresis. J. Clin. Microbiol. 2001, 39, 3481–3485. [Google Scholar] [CrossRef] [PubMed]
- Zhang, K.; McClure, J.A.; Elsayed, S.; Louie, T.; Conly, J.M. Novel multiplex PCR assay for simultaneous identification of community-associated methicillin-resistant Staphylococcus aureus strains USA300 and USA400 and detection of mecA and Panton-Valentine leukocidin genes, with discrimination of Staphylococcus aureus from coagulase-negative staphylococci. J. Clin. Microbiol. 2008, 46, 1118–1122. [Google Scholar] [PubMed]
- Lenski, R.E.; Rose, M.R.; Simpson, S.C.; Tadler, S.C. Long-term experimental evolution in Escherichia coli. I. adaptation and divergence during 2,000 generations. Am. Nat. 1991, 138, 1315–1341. [Google Scholar] [CrossRef]
- Taylor, R.K.; Miller, V.L.; Furlong, D.B.; Mekalanos, J.J. Use of phoA gene fusions to identify a pilus colonization factor coordinately regulated with cholera toxin. Proc. Natl. Acad. Sci. USA 1987, 84, 2833–2837. [Google Scholar] [CrossRef]
- Wu, K.; Conly, J.; McClure, J.A.; Elsayed, S.; Louie, T.; Zhang, K. Caenorhabditis elegans as a host model for community-associated methicillin-resistant Staphylococcus aureus. Clin. Microbiol. Infect. 2010, 16, 245–254. [Google Scholar] [CrossRef]
- Wu, K.; Conly, J.; Surette, M.; Sibley, C.; Elsayed, S.; Zhang, K. Assessment of virulence diversity of methicillin-resistant Staphylococcus aureus strains with a Drosophila melanogaster infection model. BMC Microbial. 2012, 12, 274. [Google Scholar] [CrossRef]
- Zhang, K.; McClure, J.A.; Conly, J.M. Enhanced multiplex PCR assay for typing of staphylococcal cassette chromosome mec types I to V in methicillin-resistant Staphylococcus aureus. Mol. Cell Probes 2012, 26, 218–221. [Google Scholar] [CrossRef]
- Zhang, K.; McClure, J.A.; Elsayed, S.; Louie, T.; Conly, J.M. Novel multiplex PCR assay for characterization and concomitant subtyping of staphylococcal cassette chromosome mec types I to V in methicillin-resistant Staphylococcus aureus. J. Clin. Microbiol. 2005, 43, 5026–5033. [Google Scholar] [CrossRef] [PubMed]
- Harmsen, D.; Claus, H.; Witte, W.; Rothganger, J.; Turnwald, D.; Vogel, U. Typing of methicillin-resistant Staphylococcus aureus in a university hospital setting by using novel software for spa repeat determination and database management. J. Clin. Microbiol. 2003, 41, 5442–5448. [Google Scholar] [CrossRef] [PubMed]
- Enright, M.C.; Day, N.P.; Davies, C.E.; Peacock, S.J.; Spratt, B.G. Multilocus sequence typing for characterization of methicillin-resistant and methicillin-susceptible clones of Staphylococcus aureus. J. Clin. Microbiol. 2000, 38, 1008–1015. [Google Scholar] [CrossRef] [PubMed]
- Peacock, S.J.; Moore, C.E.; Justice, A.; Kantzanou, M.; Story, L.; Mackie, K.; O’Neill, G.; Day, N.P. Virulent combinations of adhesin and toxin genes in natural populations of Staphylococcus aureus. Infect. Immun. 2002, 70, 4987–4996. [Google Scholar] [CrossRef]
- Kramer, A.; Schwebke, I.; Kampf, G. How long do nosocomial pathogens persist on inanimate surfaces? A systematic review. BMC Infect. Dis. 2006, 6, 130. [Google Scholar] [CrossRef]
- Kahl, B.C.; Goulian, M.; van Wamel, W.; Herrmann, M.; Simon, S.M.; Kaplan, G.; Peters, G.; Cheung, A.L. Staphylococcus aureus RN6390 replicates and induces apoptosis in a pulmonary epithelial cell line. Infect. Immun. 2000, 68, 5385–5392. [Google Scholar] [CrossRef]
- Bayles, K.W.; Wesson, C.A.; Liou, L.E.; Fox, L.K.; Bohach, G.A.; Trumble, W.R. Intracellular Staphylococcus aureus escapes the endosome and induces apoptosis in epithelial cells. Infect. Immun. 1998, 66, 336–342. [Google Scholar] [CrossRef]
- Noto, M.J.; Archer, G.L. A subset of Staphylococcus aureus strains harboring staphylococcal cassette chromosome mec (SCCmec) type IV is deficient in CcrAB-mediated SCCmec excision. Antimicrob. Agents Chemother. 2006, 50, 2782–2788. [Google Scholar] [CrossRef]
- Highlander, S.K.; Hulten, K.G.; Qin, X.; Jiang, H.; Yerrapragada, S.; Mason, E.O., Jr.; Shang, Y.; Williams, T.M.; Fortunov, R.M.; Liu, Y.; et al. Subtle genetic changes enhance virulence of methicillin resistant and sensitive Staphylococcus aureus. BMC Microbiol. 2007, 7, 99. [Google Scholar] [CrossRef]
- DeLeo, F.R.; Otto, M.; Kreiswirth, B.N.; Chambers, H.F. Community-associated meticillin-resistant Staphylococcus aureus. Lancet 2010, 375, 1557–1568. [Google Scholar] [CrossRef]
- Planet, P.J.; LaRussa, S.J.; Dana, A.; Smith, H.; Xu, A.; Ryan, C.; Uhlemann, A.C.; Boundy, S.; Goldberg, J.; Narechania, A.; et al. Emergence of the epidemic methicillin-resistant Staphylococcus aureus strain USA300 coincides with horizontal transfer of the arginine catabolic mobile element and speG-mediated adaptations for survival on skin. mBio 2013, 4. [Google Scholar] [CrossRef] [PubMed]
- Bouslimani, A.; Porto, C.; Rath, C.M.; Wang, M.; Guo, Y.; Gonzalez, A.; Berg-Lyon, D.; Ackermann, G.; Moeller Christensen, G.J.; Nakatsuji, T.; et al. Molecular cartography of the human skin surface in 3D. Proc. Natl. Acad. Sci. USA 2015, 112, E2120–E2129. [Google Scholar] [CrossRef] [PubMed]
- Granslo, H.N.; Klingenberg, C.; Fredheim, E.G.; Ronnestad, A.; Mollnes, T.E.; Flaegstad, T. Arginine catabolic mobile element is associated with low antibiotic resistance and low pathogenicity in Staphylococcus epidermidis from neonates. Pediatr. Res. 2010, 68, 237–241. [Google Scholar] [CrossRef]
- Jamrozy, D.M.; Harris, S.R.; Mohamed, N.; Peacock, S.J.; Tan, C.Y.; Parkhill, J.; Anderson, A.S.; Holden, M.T.G. Pan-genomic perspective on the evolution of the Staphylococcus aureus USA300 epidemic. Microb. Genom. 2016, 2, e000058. [Google Scholar] [CrossRef]
- Goering, R.V.; McDougal, L.K.; Fosheim, G.E.; Bonnstetter, K.K.; Wolter, D.J.; Tenover, F.C. Epidemiologic distribution of the arginine catabolic mobile element among selected methicillin-resistant and methicillin-susceptible Staphylococcus aureus isolates. J. Clin. Microbiol. 2007, 45, 1981–1984. [Google Scholar] [CrossRef][Green Version]
- Monecke, S.; Ehricht, R.; Slickers, P.; Tan, H.L.; Coombs, G. The molecular epidemiology and evolution of the Panton-Valentine leukocidin-positive, methicillin-resistant Staphylococcus aureus strain USA300 in Western Australia. Clin. Microbiol. Infect. 2009, 15, 770–776. [Google Scholar] [CrossRef][Green Version]
- Fontanilla, J.M.; Kirkland, K.B.; Talbot, E.A.; Powell, K.E.; Schwartzman, J.D.; Goering, R.V.; Parsonnet, J. Outbreak of skin infections in college football team members due to an unusual strain of community-acquired methicillin-susceptible Staphylococcus aureus. J. Clin. Microbiol. 2010, 48, 609–611. [Google Scholar] [CrossRef][Green Version]
- Li, M.; Diep, B.A.; Villaruz, A.E.; Braughton, K.R.; Jiang, X.; DeLeo, F.R.; Chambers, H.F.; Lu, Y.; Otto, M. Evolution of virulence in epidemic community-associated methicillin-resistant Staphylococcus aureus. Proc. Natl. Acad. Sci. USA 2009, 106, 5883–5888. [Google Scholar] [CrossRef]
- O’Hara, F.P.; Guex, N.; Word, J.M.; Miller, L.A.; Becker, J.A.; Walsh, S.L.; Scangarella, N.E.; West, J.M.; Shawar, R.M.; Amrine-Madsen, H. A geographic variant of the Staphylococcus aureus Panton-Valentine leukocidin toxin and the origin of community-associated methicillin-resistant S. aureus USA300. J. Infect. Dis. 2008, 197, 187–194. [Google Scholar] [CrossRef]
- Miragaia, M.; de Lencastre, H.; Perdreau-Remington, F.; Chambers, H.F.; Higashi, J.; Sullam, P.M.; Lin, J.; Wong, K.I.; King, K.A.; Otto, M.; et al. Genetic diversity of arginine catabolic mobile element in Staphylococcus epidermidis. PLoS ONE 2009, 4, e7722. [Google Scholar] [CrossRef] [PubMed]
- Wisplinghoff, H.; Rosato, A.E.; Enright, M.C.; Noto, M.; Craig, W.; Archer, G.L. Related clones containing SCCmec type IV predominate among clinically significant Staphylococcus epidermidis isolates. Antimicrob. Agents Chemother. 2003, 47, 3574–3579. [Google Scholar] [CrossRef] [PubMed]










| Primers | Sequence (5′ to 3′) a |
|---|---|
| ACME-LF b | TTTTGTCGACGAATCTATGGCCACTAACTGC |
| ACME-LR | TTTTGACGTCAGGTGACAAATAAAAGGCTACC |
| ACME-RF | TTTTATCGATTACACCAGTCATGCTTACAGG |
| ACME-RR | TTTTCTCGAGCTTTAATCTCTTCGTTTACGACC |
| arcA-LF | TTTTGTCGACTAATTAAAGCGTTGACCG |
| arcA-LR | TTTTGACGTCCTTAATTGGTTTAGTCATAGGC |
| arcA-RF | TTTTATCGATTCACAATTGTTTAGGGAGG |
| arcA-RR | TTTTCTCGAGTAAAGCGCTCTAATACATACC |
| pGen-F c | AACCCAAGCTTATCGATGAGGGTATTAATAATGAAAGGG |
| pGen-R | TTCGCGGATCCGACGTCAGGTAATCCTAGAGCTTGCC |
| arcA-ExtF | GGTAAAAAGCACTGAGTGTATATGG |
| USA300-ExtF | AGCTTAATAAGTTCTACCTTGACC |
| Primers | Sequence (5′ to 3′) |
|---|---|
| gyrB-F | ATCGACTTCAGAGAGAGGTTTG |
| gyrB-R | CCGTTATCCGTTACTTTAATCCA |
| arcA-F | GCAGCAGAATCTATTACTGAGCC |
| arcA-R | TGCTAACTTTTCTATTGCTTGAGC |
| Opp3C-F | TCTTAGTAAGACTGATTGTCGG |
| Opp3C-R | GAATCACATGTGTTACTGTCG |
| Strain | Excision/Circularization | |||||
|---|---|---|---|---|---|---|
| ACME | SCCmec | ACME-SCCmec | ACME (cir) a | SCCmec (cir) | ACME-SCCmec (cir) | |
| USA300-2406 | 10−5.5 | 10−3.6 | 10−3.7 | 10−5.7 | 10−5.0 | 10−4.5 |
| exACME− | N/A b | 10−2.7 | N/A | N/A | 10−4.9 | N/A |
| exSCCmec− | U/D c | N/A | N/A | U/D | N/A | N/A |
| COL d | N/A | U/D | N/A | N/A | N/A | N/A |
| CMRSA2 | N/A | 10−6.1 | N/A | N/A | N/A | N/A |
© 2020 by the authors. Licensee MDPI, Basel, Switzerland. This article is an open access article distributed under the terms and conditions of the Creative Commons Attribution (CC BY) license (http://creativecommons.org/licenses/by/4.0/).
Share and Cite
Wu, K.; Conly, J.; McClure, J.-A.; Kurwa, H.A.; Zhang, K. Arginine Catabolic Mobile Element in Evolution and Pathogenicity of the Community-Associated Methicillin-Resistant Staphylococcus aureus Strain USA300. Microorganisms 2020, 8, 275. https://doi.org/10.3390/microorganisms8020275
Wu K, Conly J, McClure J-A, Kurwa HA, Zhang K. Arginine Catabolic Mobile Element in Evolution and Pathogenicity of the Community-Associated Methicillin-Resistant Staphylococcus aureus Strain USA300. Microorganisms. 2020; 8(2):275. https://doi.org/10.3390/microorganisms8020275
Chicago/Turabian StyleWu, Kaiyu, John Conly, Jo-Ann McClure, Habib A. Kurwa, and Kunyan Zhang. 2020. "Arginine Catabolic Mobile Element in Evolution and Pathogenicity of the Community-Associated Methicillin-Resistant Staphylococcus aureus Strain USA300" Microorganisms 8, no. 2: 275. https://doi.org/10.3390/microorganisms8020275
APA StyleWu, K., Conly, J., McClure, J.-A., Kurwa, H. A., & Zhang, K. (2020). Arginine Catabolic Mobile Element in Evolution and Pathogenicity of the Community-Associated Methicillin-Resistant Staphylococcus aureus Strain USA300. Microorganisms, 8(2), 275. https://doi.org/10.3390/microorganisms8020275

