Caffeine Stabilises Fission Yeast Wee1 in a Rad24-Dependent Manner but Attenuates Its Expression in Response to DNA Damage
Abstract
1. Introduction
2. Materials and Methods
2.1. Strains, Media and Reagents
2.2. Molecular Genetics
2.3. Microscopy
2.4. Fluorescence-Activated Cell Sorting (FACS)
2.5. Immunoblotting
3. Results
3.1. Caffeine Stabilises Cdc25 by Inhibiting Its Nuclear Degradation
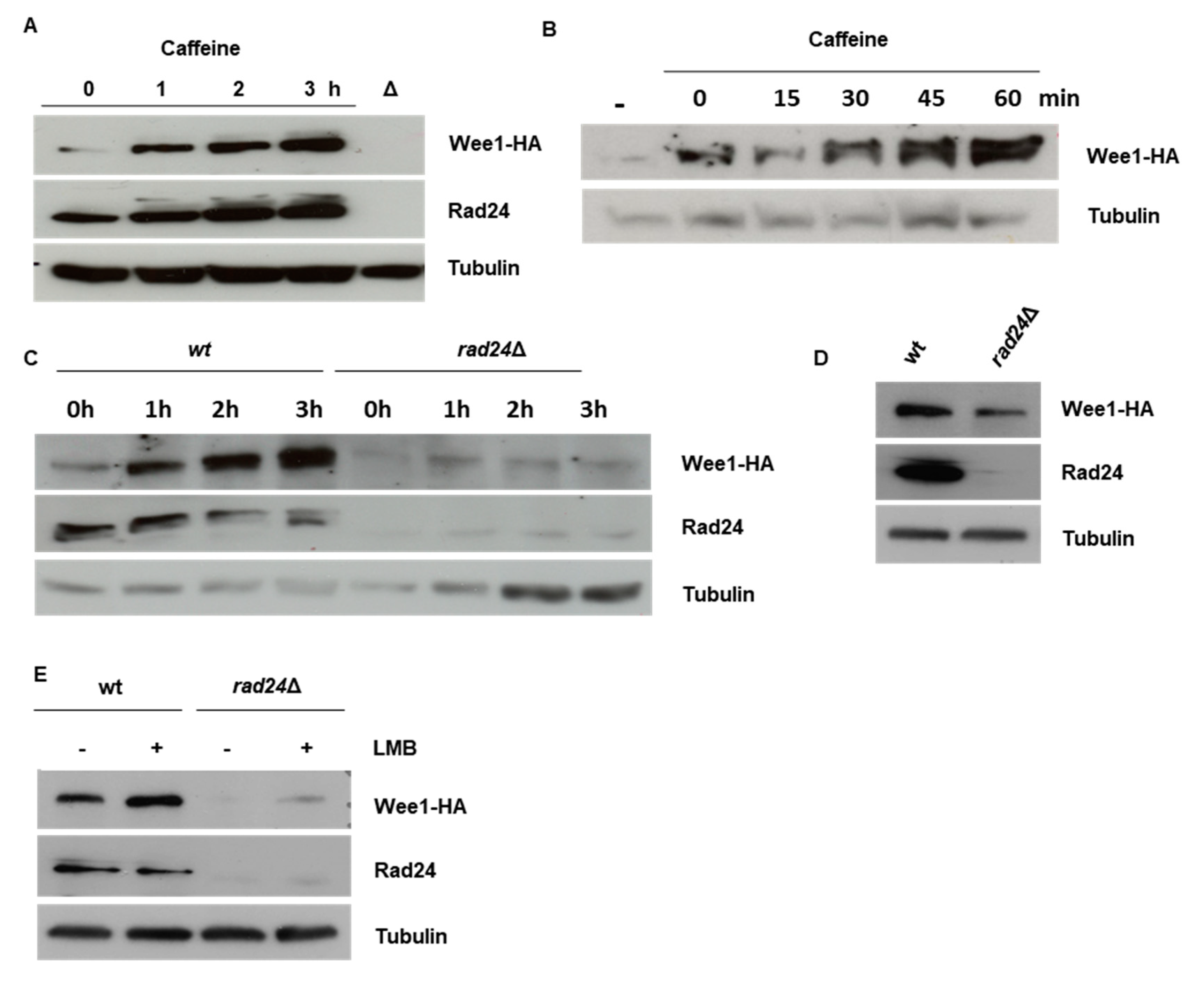
3.2. Caffeine Stabilises Wee1 in a Rad24 Dependent Manner
3.3. Caffeine Suppresses DNA Damage-Induced Wee1 Accumulation
3.4. Caffeine Mediates Checkpoint Override by Suppressing Wee1 under Genotoxic Conditions
3.5. Inhibition of TORC1 Signalling Enhances DNA Damage Sensitivity
4. Discussion
4.1. Effect of Caffeine on Cdc25 Stability
4.2. Effect of Caffeine on Wee1 Stability
4.3. Differential Effects of Caffeine on DNA Damage Resistance
4.4. TORC1 Inhibition Enhances DNA Damage Sensitivity
Author Contributions
Funding
Acknowledgments
Conflicts of Interest
References
- Caspari, T.; Hilditch, V. Two distinct Cdc2 pools regulate cell cycle progression and the DNA damage response in the fission yeast S. pombe. PLoS ONE 2015, 10, e0130748. [Google Scholar] [CrossRef] [PubMed]
- Moseley, J.B. Wee1 and Cdc25: Tools, pathways, mechanisms, questions. Cell Cycle 2017, 16, 599–600. [Google Scholar] [CrossRef] [PubMed]
- de Gooijer, M.C.; van den Top, A.; Bockaj, I.; Beijnen, J.H.; Wurdinger, T.; van Tellingen, O. The G2 checkpoint-a node-based molecular switch. FEBS Open Bio 2017, 7, 439–455. [Google Scholar] [CrossRef] [PubMed]
- Karlsson-Rosenthal, C.; Millar, J.B. Cdc25: Mechanisms of checkpoint inhibition and recovery. Trends Cell Biol. 2006, 16, 285–292. [Google Scholar] [CrossRef]
- Alao, J.P.; Sunnerhagen, P. Rad3 and Sty1 function in Schizosaccharomyes pombe: An integrated response to DNA damage and environmental stress? Mol. Microbiol. 2008, 68, 246–254. [Google Scholar] [CrossRef]
- Raleigh, J.M.; O’Connell, M.J. The G(2) DNA damage checkpoint targets both Wee1 and Cdc25. J. Cell Sci. 2000, 113, 1727–1736. [Google Scholar]
- Humphrey, T. DNA damage and cell cycle control in Schizosaccharomyces pombe. Mutat. Res. 2000, 451, 211–226. [Google Scholar] [CrossRef]
- Bode, A.M.; Dong, Z. The enigmatic effects of caffeine in cell cycle and cancer. Cancer Lett. 2007, 247, 26–39. [Google Scholar] [CrossRef]
- Lovejoy, C.A.; Cortez, D. Common mechanisms of PIKK regulation. DNA Repair 2009, 8, 1004–1008. [Google Scholar] [CrossRef]
- Gibbs, B.F.; Silva, I.G.; Prokhorov, A.; Abooali, M.; Yasinska, I.M.; Casely-Hayford, M.A.; Berger, S.M.; Fasler-Kan, E.; Sumbayev, V.V. Caffeine affects the biological responses of human hematopoietic cells of myeloid lineage via downregulation of the mTOR pathway and xanthine oxidase activity. Oncotarget 2015, 6, 28678–28692. [Google Scholar] [CrossRef]
- Moser, B.A.; Brondello, J.M.; Baber-Furnari, B.; Russell, P. Mechanism of caffeine-induced checkpoint override in fission yeast. Mol. Cell. Biol. 2000, 20, 4288–4294. [Google Scholar] [CrossRef] [PubMed][Green Version]
- Wanke, V.; Cameroni, E.; Uotila, A.; Piccolis, M.; Urban, J.; Loewith, R.; De Virgilio, C. Caffeine extends yeast lifespan by targeting TORC1. Mol. Microbiol. 2008, 69, 277–285. [Google Scholar] [CrossRef]
- Cortez, D. Caffeine inhibits checkpoint responses without inhibiting the ataxia-telangiectasia-mutated (ATM) and ATM- and Rad3-related (ATR) protein kinases. J. Biol. Chem. 2003, 278, 37139–37145. [Google Scholar] [CrossRef] [PubMed]
- Kuranda, K.; Leberre, V.; Sokol, S.; Palamarczyk, G.; Francois, J. Investigating the caffeine effects in the yeast Saccharomyces cerevisiae brings new insights into the connection between TOR, PKC and Ras/cAMP signalling pathways. Mol. Microbiol. 2006, 61, 1147–1166. [Google Scholar] [CrossRef] [PubMed]
- Reinke, A.; Chen, J.C.; Aronova, S.; Powers, T. Caffeine targets TOR complex I and provides evidence for a regulatory link between the FRB and kinase domains of Tor1p. J. Biol. Chem. 2006, 281, 31616–31626. [Google Scholar] [CrossRef] [PubMed]
- Rallis, C.; Codlin, S.; Bähler, J. TORC1 signaling inhibition by rapamycin and caffeine affect lifespan, global gene expression, and cell proliferation of fission yeast. Aging Cell 2013, 12, 563–573. [Google Scholar] [CrossRef] [PubMed]
- Petersen, J. TOR signalling regulates mitotic commitment through stress-activated MAPK and Polo kinase in response to nutrient stress. Biochem. Soc. Trans. 2009, 37, 273–277. [Google Scholar] [CrossRef]
- Alao, J.P.; Johansson-Sjölander, J.; Baar, J.; Özbaki-Yagan, N.; Kakoschky, B.; Sunnerhagen, P. Caffeine stabilizes Cdc25 independently of Rad3 in Schizosaccharomyces pombe contributing to checkpoint override. Mol. Microbiol. 2014, 92, 777–796. [Google Scholar] [CrossRef] [PubMed]
- Atkin, J.; Halova, L.; Ferguson, J.; Hitchin, J.R.; Lichawska-Cieslar, A.; Jordan, A.M.; Pines, J.; Wellbrock, C.; Petersen, J. Torin1-mediated TOR kinase inhibition reduces Wee1 levels and advances mitotic commitment in fission yeast and HeLa cells. J. Cell Sci. 2014, 127, 1346–1356. [Google Scholar] [CrossRef]
- Paul, M.; Ghosal, A.; Bandyopadhyay, S.; Selvam, U.; Rai, N.; Sundaram, G. The fission yeast MAPK Spc1 senses perturbations in Cdc25 and Wee1 activities and targets Rad24 to restore this balance. Yeast 2018, 35, 261–271. [Google Scholar] [CrossRef]
- Bähler, J.; Wu, J.Q.; Longtine, M.S.; Shah, N.G.; McKenzie, A., 3rd; Steever, A.B.; Wach, A.; Philippsen, P.; Pringle, J.R. Heterologous modules for efficient and versatile PCR-based gene targeting in Schizosaccharomyces pombe. Yeast 1998, 14, 943–951. [Google Scholar] [CrossRef]
- Dunaway, S.; Walworth, N.C. Assaying the DNA damage checkpoint in fission yeast. Methods 2004, 33, 260–263. [Google Scholar] [CrossRef] [PubMed]
- Forsburg, S.L.; Rhind, N. Basic methods for fission yeast. Yeast 2006, 23, 173–183. [Google Scholar] [CrossRef] [PubMed]
- Frazer, C.; Young, P.G. Redundant mechanisms prevent mitotic entry following replication arrest in the absence of Cdc25 hyper-phosphorylation in fission yeast. PLoS ONE 2011, 6, e21348. [Google Scholar] [CrossRef][Green Version]
- Frazer, C.; Young, P.G. Carboxy-terminal phosphorylation sites in Cdc25 contribute to enforcement of the DNA damage and replication checkpoints in fission yeast. Curr. Genet. 2012, 58, 217–234. [Google Scholar] [CrossRef]
- Lucena, R.; Alcaide-Gavilan, M.; Anastasia, S.D.; Kellogg, D.R. Wee1 and Cdc25 are controlled by conserved PP2A-dependent mechanisms in fission yeast. Cell Cycle 2017, 16, 428–435. [Google Scholar] [CrossRef]
- Calvo, I.A.; Gabrielli, N.; Iglesias-Baena, I.; Garcia-Santamarina, S.; Hoe, K.L.; Kim, D.U.; Sanso, M.; Zuin, A.; Perez, P.; Ayte, J.; et al. Genome-wide screen of genes required for caffeine tolerance in fission yeast. PLoS ONE 2009, 4, e6619. [Google Scholar] [CrossRef]
- Petersen, J.; Nurse, P. TOR signalling regulates mitotic commitment through the stress MAP kinase pathway and the Polo and Cdc2 kinases. Nat. Cell Biol. 2007, 9, 1263–1272. [Google Scholar] [CrossRef]
- Laor, D.; Cohen, A.; Kupiec, M.; Weisman, R. TORC1 regulates developmental responses to nitrogen stress via regulation of the GATA transcription factor Gaf1. mBio 2015, 6, e00959. [Google Scholar] [CrossRef]
- Rodríguez-López, M.; Gonzalez, S.; Hillson, O.; Tunnacliffe, E.; Codlin, S.; Tallada, V.A.; Bähler, J.; Rallis, C. The GATA transcription factor Gaf1 represses tRNA genes, inhibits growth, and extends chronological lifespan downstream of fission yeast TORC1. Cell Rep. 2020, 30, 3240–3249.e4. [Google Scholar] [CrossRef]
- Hayashi, T.; Hatanaka, M.; Nagao, K.; Nakaseko, Y.; Kanoh, J.; Kokubu, A.; Ebe, M.; Yanagida, M. Rapamycin sensitivity of the Schizosaccharomyces pombe tor2 mutant and organization of two highly phosphorylated TOR complexes by specific and common subunits. Genes Cells 2007, 12, 1357–1370. [Google Scholar] [CrossRef] [PubMed]
- Martin, R.; Lopez-Aviles, S. Express yourself: How PP2A-B55(Pab1) helps TORC1 talk to TORC2. Curr. Genet. 2018, 64, 43–51. [Google Scholar] [CrossRef] [PubMed]
- Jimenez, G.; Yucel, J.; Rowley, R.; Subramani, S. The rad3+ gene of Schizosaccharomyces pombe is involved in multiple checkpoint functions and in DNA repair. Proc. Natl. Acad. Sci. USA 1992, 89, 4952–4956. [Google Scholar] [CrossRef] [PubMed]
- Perry, J.A.; Kornbluth, S. Cdc25 and Wee1: Analogous opposites? Cell Div. 2007, 2, 12. [Google Scholar] [CrossRef]
- Ford, J.C.; Al-Khodairy, F.; Fotou, E.; Sheldrick, K.S.; Griffiths, D.J.F.; Carr, A.M. 14-3-3 protein homologs required for the DNA damage checkpoint in fission yeast. Science 1994, 265, 533–535. [Google Scholar] [CrossRef]
- Lundgren, K.; Walworth, N.; Booher, R.; Dembski, M.; Kirschner, M.; Beach, D. Mik1 and Wee1 cooperate in the inhibitory tyrosine phosphorylation of Cdc2. Cell 1991, 64, 1111–1122. [Google Scholar] [CrossRef]
- Hartmuth, S.; Petersen, J. Fission yeast Tor1 functions as part of TORC1 to control mitotic entry through the stress MAPK pathway following nutrient stress. J. Cell Sci. 2009, 122, 1737–1746. [Google Scholar] [CrossRef]
- Fletcher, J.; Griffiths, L.; Caspari, T. Nutrient limitation inactivates Mrc1-to-Cds1 checkpoint signalling in Schizosaccharomyces pombe. Cells 2018, 7, 15. [Google Scholar] [CrossRef]
- Gressner, O.A. About coffee, cappuccino and connective tissue growth factor-Or how to protect your liver!? Environ. Toxicol. Pharmacol. 2009, 28, 1–10. [Google Scholar] [CrossRef]
- Marshall, R.S.; Vierstra, R.D. Eat or be eaten: The autophagic plight of inactive 26S proteasomes. Autophagy 2015, 11, 1927–1928. [Google Scholar] [CrossRef][Green Version]
- Zhao, J.; Zhai, B.; Gygi, S.P.; Goldberg, A.L. mTOR inhibition activates overall protein degradation by the ubiquitin proteasome system as well as by autophagy. Proc. Natl. Acad. Sci. USA 2015, 112, 15790–15797. [Google Scholar] [CrossRef] [PubMed]
- Alao, J.P.; Sunnerhagen, P.; University of Gothenburg, Gothenburg, Sweden. Unpublished work. 2020.
- Nakashima, A.; Otsubo, Y.; Yamashita, A.; Sato, T.; Yamamoto, M.; Tamanoi, F. Psk1, an AGC kinase family member in fission yeast, is directly phosphorylated and controlled by TORC1 and functions as S6 kinase. J. Cell Sci. 2012, 125, 5840–5849. [Google Scholar] [CrossRef] [PubMed]
- Pan, X.; Lei, B.; Zhou, N.; Feng, B.; Yao, W.; Zhao, X.; Yu, Y.; Lu, H. Identification of novel genes involved in DNA damage response by screening a genome-wide Schizosaccharomyces pombe deletion library. BMC Genom. 2012, 13, 662. [Google Scholar] [CrossRef] [PubMed]






| h- L972 | Lab Stock |
|---|---|
| h+ cdc25-6HA [ura4+] leu1-32 ura4-D18 (FY7031) | YGRC |
| h+ cdc25-6HA [ura4+] leu1-32 ura4-D18 rad24::KanMX6 | This study |
| h- cdc25-12myc::ura4+ ura4-D18 leu1-32 | P. Russell |
| h- cdc25-GFPint cdc25::ura4+ ura4-D18 leu1-32 | P. Young |
| h+cdc25(9A)-GFPint cdc25::ura4+ ura4-D18 leu1-32 | P. Young |
| h- cdc25(12A)-GFPint cdc25::ura4+ ura4-D18 leu1-32 | P. Young |
| h- cdc25(12A)-GFPint cdc25::ura4+ ura4-D18 leu1-32 mik1::ura4+ | P. Young |
| h+ cut8::ura4 (FY9535) | YGRC |
| h+ leu1 his2 ura4 cut8-8xMyc ura4+ | YGRC |
| h- wee1::ura4+ leu1-32 ura4-D18 (FY7283) | YGRC |
| h- wee1-3HA:6His leu1-32 ura4-D18 (FY16241) | YGRC |
| h- wee1-3HA:6His leu1-32 ura4-D18 rad24::KanMX6 | This study |
| h- rad24::ura4+ leu1 ura4-D18 ade6-M210 (FY13517) | YGRC |
| h- mik1::ura4 leu1 ura4 (FY8317) | YGRC |
| h+ ade6-M210 ura4-D18 leu1–32 gaf1::KanMX6 | Bioneer |
| h+ ade6-M210 ura4-D18 leu1–32 tco89::KanMX6 | Bioneer |
| h+ leu1-32 ura4-D18∆ pab1::kanR | D. R. Kellogg |
| h+ tor2-G2040D | J. Petersen |
© 2020 by the authors. Licensee MDPI, Basel, Switzerland. This article is an open access article distributed under the terms and conditions of the Creative Commons Attribution (CC BY) license (http://creativecommons.org/licenses/by/4.0/).
Share and Cite
Alao, J.P.; Johansson-Sjölander, J.; Rallis, C.; Sunnerhagen, P. Caffeine Stabilises Fission Yeast Wee1 in a Rad24-Dependent Manner but Attenuates Its Expression in Response to DNA Damage. Microorganisms 2020, 8, 1512. https://doi.org/10.3390/microorganisms8101512
Alao JP, Johansson-Sjölander J, Rallis C, Sunnerhagen P. Caffeine Stabilises Fission Yeast Wee1 in a Rad24-Dependent Manner but Attenuates Its Expression in Response to DNA Damage. Microorganisms. 2020; 8(10):1512. https://doi.org/10.3390/microorganisms8101512
Chicago/Turabian StyleAlao, John P., Johanna Johansson-Sjölander, Charalampos Rallis, and Per Sunnerhagen. 2020. "Caffeine Stabilises Fission Yeast Wee1 in a Rad24-Dependent Manner but Attenuates Its Expression in Response to DNA Damage" Microorganisms 8, no. 10: 1512. https://doi.org/10.3390/microorganisms8101512
APA StyleAlao, J. P., Johansson-Sjölander, J., Rallis, C., & Sunnerhagen, P. (2020). Caffeine Stabilises Fission Yeast Wee1 in a Rad24-Dependent Manner but Attenuates Its Expression in Response to DNA Damage. Microorganisms, 8(10), 1512. https://doi.org/10.3390/microorganisms8101512

