The Tumor Cell Proliferation Inhibitory Activity of the Human Herpes Virus Type 6 U94 Protein Relies on a Stable Tridimensional Conformation
Abstract
1. Introduction
2. Materials and Methods
2.1. Cell Lines: MDA-MB-468 and BT-549
2.2. pVAX Vectors Construction
2.3. Proliferation Assays and Cells Counting
2.4. Protein Modeling
2.5. Structure Quality Assessment
2.6. Molecular Dynamic Simulation and Trajectory Analysis
2.7. Western Blot Analysis
3. Results
3.1. The N-Terminal Region of U94 Is Responsible for the Antiproliferative Activity
3.2. The U94 Antiproliferative Activity Is Linked to a Three-Dimensional Structure
3.3. The U94 Active Residues Are Likely Located Within the β-Sheet
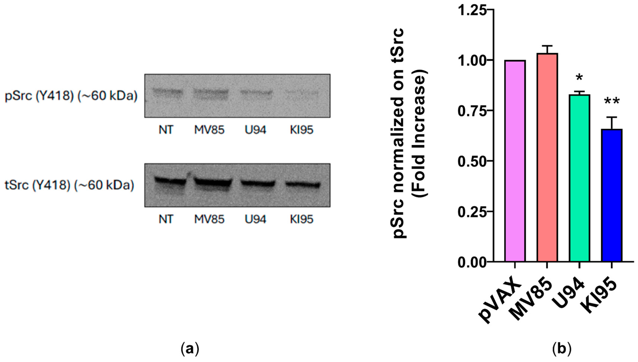
3.4. KI95 Downregulates Src Signaling
4. Discussion
5. Conclusions
Supplementary Materials
Author Contributions
Funding
Institutional Review Board Statement
Informed Consent Statement
Data Availability Statement
Conflicts of Interest
Abbreviations
| HHV-6 | Human Herpesvirus 6 |
| PBMCs | Peripheral Blood Mononucleate Cells |
| hTBP | human TATA-binding protein |
| TFIID | Pol II-specific complex |
| Ecs | endothelial cells |
| HeLa | Henrietta Lacks |
| Src | Rous sarcoma virus tyrosine-protein kinase |
| SFKs | Src family kinases |
| JAK-STAT3 | Janus Kinase—Signal Transducer and Activator of Transcription 3 |
| Ras-MAPK | Rat sarcoma virus—Mitogen-Activated Protein Kinase |
| PI3K-AKT | PhosphatIdylinositol 3-Kinase—alpha serine/threonine-protein kinase |
| FAK | Focal Adhesion Kinase |
| NOD/SCID | Non-Obese Diabetic/Severe Combined ImmunoDeficiency |
| PCR | Polymerase Chain Reaction |
| ATCC | American Type Culture Collection |
| PVDF | polyvinylidene difluoride |
| SDS | Sodium Dodecyl Sulfate |
| MD | Molecular Dynamic |
| RMSD | Root Mean Square Deviation |
| H-bond | Hydrogen bond |
| NVT | constant volume |
| NPT | constant pressure |
| RT | room temperature |
| IgG | immunoglobulin G |
| ECL | enhanced chemiluminescence reagent |
| RMSF | Root Mean Square Fluctuation |
| β1, β2, β3 | β-strand 1, 2 and 3 |
| MET | Mesenchymal-to-Epithelial Transition |
| PPI | Protein–Protein Interaction |
| SD | standard deviation |
| p | p-value |
| ANOVA | Analysis of Variance |
| AI | Artificial intelligence |
References
- Caruso, A.; Caselli, E.; Fiorentini, S.; Rotola, A.; Prandini, A.; Garrafa, E.; Saba, E.; Alessandri, G.; Cassai, E.; Di Luca, D. U94 of human herpesvirus 6 inhibits in vitro angiogenesis and lymphangiogenesis. Proc. Natl. Acad. Sci. USA 2009, 106, 20446–20451. [Google Scholar] [CrossRef] [PubMed] [PubMed Central]
- Rapp, J.C.; Krug, L.T.; Inoue, N.; Dambaugh, T.R.; Pellett, P.E. U94, the human herpesvirus 6 homolog of the parvovirus nonstructural gene, is highly conserved among isolates and is expressed at low mRNA levels as a spliced transcript. Virology 2000, 268, 504–516. [Google Scholar] [CrossRef] [PubMed][Green Version]
- Mullins, T.B.; Krishnamurthy, K. Roseola Infantum. In StatPearls [Internet]; StatPearls Publishing: Treasure Island, FL, USA, 2025. [Google Scholar] [PubMed]
- Kondo, K.; Kondo, T.; Okuno, T.; Takahashi, M.; Yamanishi, K. Latent human herpesvirus 6 infection of human monocytes/macrophages. J. Gen. Virol. 1991, 72, 1401–1408. [Google Scholar] [CrossRef] [PubMed]
- Agut, H.; Bonnafous, P.; Gautheret-Dejean, A. Laboratory and clinical aspects of human herpesvirus 6 infections. Clin. Microbiol. Rev. 2015, 28, 313–335. [Google Scholar] [CrossRef] [PubMed] [PubMed Central]
- Kondo, K.; Shimada, K.; Sashihara, J.; Tanaka-Taya, K.; Yamanishi, K. Identification of human herpesvirus 6 latency-associated transcripts. J. Virol. 2002, 76, 4145–4151. [Google Scholar] [CrossRef] [PubMed] [PubMed Central]
- Caselli, E.; Bracci, A.; Galvan, M.; Boni, M.; Rotola, A.; Bergamini, C.; Cermelli, C.; Dal Monte, P.; Gompels, U.A.; Cassai, E.; et al. Human herpesvirus 6 (HHV-6) U94/REP protein inhibits betaherpesvirus replication. Virology 2006, 346, 402–414. [Google Scholar] [CrossRef] [PubMed]
- Mori, Y.; Dhepakson, P.; Shimamoto, T.; Ueda, K.; Gomi, Y.; Tani, H.; Matsuura, Y.; Yamanishi, K. Expression of human herpesvirus 6B rep within infected cells and binding of its gene product to the TATA-binding protein in vitro and in vivo. J. Virol. 2000, 74, 6096–6104. [Google Scholar] [CrossRef] [PubMed] [PubMed Central]
- Caccuri, F.; Ronca, R.; Laimbacher, A.S.; Berenzi, A.; Steimberg, N.; Campilongo, F.; Mazzuca, P.; Giacomini, A.; Mazzoleni, G.; Benetti, A.; et al. U94 of human herpesvirus 6 down-modulates Src, promotes a partial mesenchymal-to-epithelial transition and inhibits tumor cell growth, invasion and metastasis. Oncotarget 2017, 8, 44533–44549. [Google Scholar] [CrossRef] [PubMed] [PubMed Central][Green Version]
- Zhang, S.; Yu, D. Targeting Src family kinases in anti-cancer therapies: Turning promise into triumph. Trends Pharmacol. Sci. 2012, 33, 122–128. [Google Scholar] [CrossRef] [PubMed] [PubMed Central]
- Raji, L.; Tetteh, A.; Amin, A.R.M.R. Role of c-Src in Carcinogenesis and Drug Resistance. Cancers 2023, 16, 32. [Google Scholar] [CrossRef] [PubMed] [PubMed Central]
- Jiang, W.; Li, L.; Tang, H.; Gu, B.; Feng, D.; Zhou, F.; Liu, Y.; Xu, X.; Chen, Y.; Yao, K.; et al. Human herpesvirus 6 U94 suppresses tumor cell proliferation and invasion by inhibiting Akt/GSK3β signaling in glioma. Transl. Cancer Res. 2018, 7, 1694–1702. [Google Scholar] [CrossRef]
- Mirdita, M.; Schütze, K.; Moriwaki, Y.; Heo, L.; Ovchinnikov, S.; Steinegger, M. ColabFold: Making protein folding accessible to all. Nat. Methods 2022, 19, 679–682. [Google Scholar] [CrossRef] [PubMed] [PubMed Central]
- Sippl, M.J. Recognition of errors in three-dimensional structures of proteins. Proteins 1993, 17, 355–362. [Google Scholar] [CrossRef] [PubMed]
- Wiederstein, M.; Sippl, M.J. ProSA-web: Interactive web service for the recognition of errors in three-dimensional structures of proteins. Nucleic Acids Res. 2007, 35, W407–W410. [Google Scholar] [CrossRef] [PubMed] [PubMed Central]
- Abraham, M.J.; Murtola, T.; Schulz, R.; Páll, S.; Smith, J.C.; Hess, B.; Lindahl, E. GROMACS: High performance molecular simulations through multi-level parallelism from laptops to supercomputers. SoftwareX 2015, 1–2, 19–25. [Google Scholar] [CrossRef]
- Giorgino, T. Analysis Libraries for Molecular Trajectories: A Cross-Language Synopsis. Methods Mol. Biol. 2019, 2022, 503–527. [Google Scholar] [CrossRef] [PubMed]
- Caccuri, F.; Giagulli, C.; Bugatti, A.; Benetti, A.; Alessandri, G.; Ribatti, D.; Marsico, S.; Apostoli, P.; Slevin, M.A.; Rusnati, M.; et al. HIV-1 matrix protein p17 promotes angiogenesis via chemokine receptors CXCR1 and CXCR2. Proc. Natl. Acad. Sci. USA 2012, 109, 14580–14585. [Google Scholar] [CrossRef] [PubMed] [PubMed Central]
- Johnson, S.A.; Dubea, L.; Kawalek, M.; Dervan, A.; Schönthal, A.H.; Dang, C.V.; Johnson, D.L. Increased expression of TATA-binding protein, the central transcription factor, can contribute to oncogenesis. Mol. Cell Biol. 2003, 23, 3043–3051. [Google Scholar] [CrossRef] [PubMed] [PubMed Central]
- Caccuri, F.; Sommariva, M.; Marsico, S.; Giordano, F.; Zani, A.; Giacomini, A.; Fraefel, C.; Balsari, A.; Caruso, A. Inhibition of DNA Repair Mechanisms and Induction of Apoptosis in Triple Negative Breast Cancer Cells Expressing the Human Herpesvirus 6 U94. Cancers 2019, 11, 1006. [Google Scholar] [CrossRef] [PubMed] [PubMed Central]
- Gu, B.; Li, L.; Li, M.; Wang, J.; Zhang, G.; Yao, K.; Wang, S. U94/rep of human herpesvirus 6 inhibits proliferation, invasion, and angiogenesis of glioma. Cancer Manag. Res. 2018, 10, 5991–6001. [Google Scholar] [CrossRef] [PubMed] [PubMed Central]
- Ifon, E.T.; Pang, A.L.; Johnson, W.; Cashman, K.; Zimmerman, S.; Muralidhar, S.; Chan, W.Y.; Casey, J.; Rosenthal, L.J. U94 alters FN1 and ANGPTL4 gene expression and inhibits tumorigenesis of prostate cancer cell line PC3. Cancer Cell Int. 2005, 5, 19. [Google Scholar] [CrossRef] [PubMed] [PubMed Central][Green Version]
- Jumper, J.; Evans, R.; Pritzel, A.; Green, T.; Figurnov, M.; Ronneberger, O.; Tunyasuvunakool, K.; Bates, R.; Žídek, A.; Potapenko, A.; et al. Highly accurate protein structure prediction with AlphaFold. Nature 2021, 596, 583–589. [Google Scholar] [CrossRef] [PubMed] [PubMed Central]
- Sinha, S.; Tam, B.; Wang, S.M. Applications of Molecular Dynamics Simulation in Protein Study. Membranes 2022, 12, 844. [Google Scholar] [CrossRef] [PubMed] [PubMed Central]
- Sevim, B.; Güneş Altuntaş, E. Molecular Dynamic Study on the Structure and Thermal Stability of Mutant Pediocin PA-1 Peptides Engineered with Cysteine Substitutions. Probiotics Antimicrob. Proteins 2025, 17, 1739–1753. [Google Scholar] [CrossRef] [PubMed] [PubMed Central]
- Duran, T.; Minatovicz, B.; Bai, J.; Shin, D.; Mohammadiarani, H.; Chaudhuri, B. Molecular Dynamics Simulation to Uncover the Mechanisms of Protein Instability During Freezing. J. Pharm. Sci. 2021, 110, 2457–2471. [Google Scholar] [CrossRef] [PubMed]
- Colombo, E.A.; Valiante, M.; Uggeri, M.; Orro, A.; Majore, S.; Grammatico, P.; Gentilini, D.; Finelli, P.; Gervasini, C.; D’Ursi, P.; et al. Germline NUP98 Variants in Two Siblings with a Rothmund-Thomson-like Spectrum: Protein Functional Changes Predicted by Molecular Modeling. Int. J. Mol. Sci. 2023, 24, 4028. [Google Scholar] [CrossRef] [PubMed] [PubMed Central]
- Akbarian, M.; Khani, A.; Eghbalpour, S.; Uversky, V.N. Bioactive Peptides: Synthesis, Sources, Applications, and Proposed Mechanisms of Action. Int. J. Mol. Sci. 2022, 23, 1445. [Google Scholar] [CrossRef] [PubMed] [PubMed Central]
- Musayev, F.N.; Zarate-Perez, F.; Bardelli, M.; Bishop, C.; Saniev, E.F.; Linden, R.M.; Henckaerts, E.; Escalante, C.R. Structural Studies of AAV2 Rep68 Reveal a Partially Structured Linker and Compact Domain Conformation. Biochemistry 2015, 54, 5907–5919. [Google Scholar] [CrossRef] [PubMed] [PubMed Central]
- Gingras, A.C.; Gstaiger, M.; Raught, B.; Aebersold, R. Analysis of protein complexes using mass spectrometry. Nat. Rev. Mol. Cell Biol. 2007, 8, 645–654. [Google Scholar] [CrossRef] [PubMed]
- Dunham, W.H.; Mullin, M.; Gingras, A.C. Affinity-purification coupled to mass spectrometry: Basic principles and strategies. Proteomics 2012, 12, 1576–1590. [Google Scholar] [CrossRef] [PubMed]
- Cooper, M.A. Optical biosensors in drug discovery. Nat. Rev. Drug Discov. 2002, 1, 515–528. [Google Scholar] [CrossRef] [PubMed]
- Zani, A.; Bugatti, A.; Maceroni, E.; Duheric, M.; Uggeri, M.; Manocha, E.; Bertelli, M.; d’Angelo, M.; Cimini, A.; Caccuri, F.; et al. A broad-spectrum anti-angiogenic tetrapeptide regresses diabetic retinopathy through β-arrestin-1 binding and prevention of Akt phosphorylation. Pharmacol. Res. 2025, 222, 108042. [Google Scholar] [CrossRef] [PubMed]
- Bugatti, A.; Zani, A.; Bardelli, M.; Giovanetti, M.; Ravelli, C.; Ciccozzi, M.; Caruso, A.; Caccuri, F. Heparan sulfate proteoglycans remodel SARS-CoV-2 spike conformation to allow integrin interaction and infection of endothelial cells. Front. Cell. Infect. Microbiol. 2025, 15, 1552116. [Google Scholar] [CrossRef] [PubMed] [PubMed Central]
- Bijak, V.; Szczygiel, M.; Lenkiewicz, J.; Gucwa, M.; Cooper, D.R.; Murzyn, K.; Minor, W. The current role and evolution of X-ray crystallography in drug discovery and development. Expert Opin. Drug Discov. 2023, 18, 1221–1230. [Google Scholar] [CrossRef] [PubMed] [PubMed Central]
- Lin, A.; Zhang, Z.; Jiang, A.; Li, K.; Shi, Y.; Yang, H.; Zhang, J.; Liu, R.; Wang, Y.; Glaviano, A.; et al. Computational approaches to druggable site identification: Current status and future perspective. Acta Pharm. Sin. B 2026, 16, 62–92. [Google Scholar] [CrossRef]
- Gu, S.; Shen, C.; Zhang, X.; Sun, H.; Cai, H.; Luo, H.; Zhao, H.; Liu, B.; Du, H.; Zhao, Y.; et al. Benchmarking AI-powered docking methods from the perspective of virtual screening. Nat. Mach. Intell. 2025, 7, 509–520. [Google Scholar] [CrossRef]
- Tropsha, A.; Isayev, O.; Varnek, A.; Schneider, G.; Cherkasov, A. Integrating QSAR modelling and deep learning in drug discovery: The emergence of deep QSAR. Nat. Rev. Drug Discov. 2024, 23, 141–155. [Google Scholar] [CrossRef] [PubMed]
- Zhang, J.; Li, H.; Zhang, Y.; Huang, J.; Ren, L.; Zhang, C.; Zou, Q.; Zhang, Y. Computational toxicology in drug discovery: Applications of artificial intelligence in ADMET and toxicity prediction. Brief. Bioinform. 2025, 26, bbaf533. [Google Scholar] [CrossRef] [PubMed] [PubMed Central]
- Tran, T.T.V.; Surya Wibowo, A.; Tayara, H.; Chong, K.T. Artificial Intelligence in Drug Toxicity Prediction: Recent Advances, Challenges, and Future Perspectives. J. Chem. Inf. Model. 2023, 63, 2628–2643. [Google Scholar] [CrossRef] [PubMed]
- Ferreira, F.J.N.; Carneiro, A.S. AI-Driven Drug Discovery: A Comprehensive Review. ACS Omega 2025, 10, 23889–23903. [Google Scholar] [CrossRef] [PubMed] [PubMed Central]







Disclaimer/Publisher’s Note: The statements, opinions and data contained in all publications are solely those of the individual author(s) and contributor(s) and not of MDPI and/or the editor(s). MDPI and/or the editor(s) disclaim responsibility for any injury to people or property resulting from any ideas, methods, instructions or products referred to in the content. |
© 2026 by the authors. Licensee MDPI, Basel, Switzerland. This article is an open access article distributed under the terms and conditions of the Creative Commons Attribution (CC BY) license.
Share and Cite
Bertelli, A.; Uggeri, M.; Filippini, F.; Duheric, M.; Caccuri, F.; Caruso, A. The Tumor Cell Proliferation Inhibitory Activity of the Human Herpes Virus Type 6 U94 Protein Relies on a Stable Tridimensional Conformation. Microorganisms 2026, 14, 255. https://doi.org/10.3390/microorganisms14010255
Bertelli A, Uggeri M, Filippini F, Duheric M, Caccuri F, Caruso A. The Tumor Cell Proliferation Inhibitory Activity of the Human Herpes Virus Type 6 U94 Protein Relies on a Stable Tridimensional Conformation. Microorganisms. 2026; 14(1):255. https://doi.org/10.3390/microorganisms14010255
Chicago/Turabian StyleBertelli, Anna, Matteo Uggeri, Federica Filippini, Melissa Duheric, Francesca Caccuri, and Arnaldo Caruso. 2026. "The Tumor Cell Proliferation Inhibitory Activity of the Human Herpes Virus Type 6 U94 Protein Relies on a Stable Tridimensional Conformation" Microorganisms 14, no. 1: 255. https://doi.org/10.3390/microorganisms14010255
APA StyleBertelli, A., Uggeri, M., Filippini, F., Duheric, M., Caccuri, F., & Caruso, A. (2026). The Tumor Cell Proliferation Inhibitory Activity of the Human Herpes Virus Type 6 U94 Protein Relies on a Stable Tridimensional Conformation. Microorganisms, 14(1), 255. https://doi.org/10.3390/microorganisms14010255

