In Vitro Transcribed Artificial Primary MicroRNA for the Inhibition of Hepatitis B Virus Gene Expression in Cultured Cells †
Abstract
1. Introduction
2. Materials and Methods
2.1. mRNA Expression Vector Design
2.2. In Vitro Transcription, Capping and mRNA Purification
2.3. Cell Culture
2.4. Transfections
2.5. Northern Blot Analysis
2.6. Assessment of Cellular Toxicity
2.7. Assessment of Interferon Response Stimulation by Dual Luciferase Assay and RT-qPCR
3. Results
3.1. Design of Artificial pri-miR-31 Sequences for In Vitro Transcription
3.2. Inhibition of HBV Gene Expression by the Artificial pri-miR-31 DNA Expression Vectors
3.3. Inhibition of HBV Gene Expression by Artificial pri-miR-31 Sequences
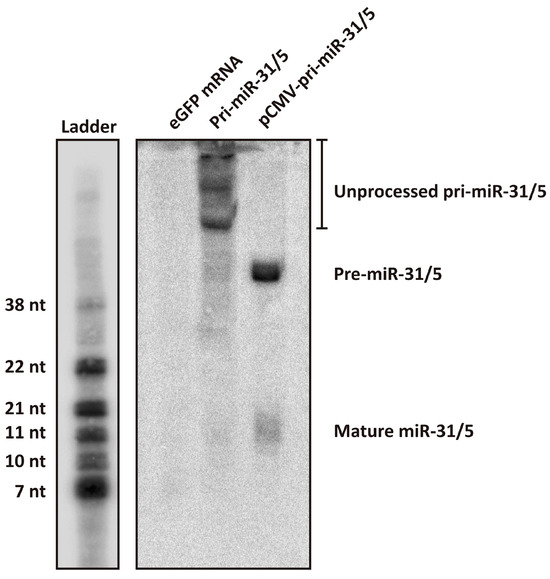
3.4. Processing Efficiency of the In Vitro Transcribed pri-miR-31/5
3.5. Assessing Non-Specific Silencing of In Vitro Transcribed Artificial pri-miR-31 Sequences
4. Discussion
Supplementary Materials
Author Contributions
Funding
Institutional Review Board Statement
Data Availability Statement
Acknowledgments
Conflicts of Interest
References
- World Health Organization. Global Hepatitis Report; World Health Organization: Geneva, Switzerland, 2017.
- Edmunds, W.J.; Medley, G.F.; Nokes, D.J.; Hall, A.J.; Whittle, H.C. The Influence of Age on the Development of the Hepatitis B Carrier State. Proc. R. Soc. B Biol. Sci. 1993, 253, 197–201. [Google Scholar] [CrossRef]
- Hyams, K.C. Risks of Chronicity Following Acute Hepatitis B Virus Infection: A Review. Clin. Infect. Dis. 1995, 20, 992–1000. [Google Scholar] [CrossRef]
- Liang, J.T. Hepatitis B: The Virus and Disease. Hepatology 2009, 49, S13–S21. [Google Scholar] [CrossRef] [PubMed]
- Poland, G.A.; Jacobson, R.M. Clinical Practice: Prevention of Hepatitis B with the Hepatitis B Vaccine. N. Engl. J. Med. 2004, 351, 2832–2838. [Google Scholar] [CrossRef] [PubMed]
- Subaiya, S.; Dumolard, L.; Lydon, P.; Gacic-Dobo, M.; Eggers, R.; Conklin, L. Global Routine Vaccination Coverage, 2014. MMWR Morb. Mortal. Wkly. Rep. 2015, 64, 1252–1255. [Google Scholar] [CrossRef] [PubMed]
- Pattyn, J.; Hendrickx, G.; Vorsters, A.; Van Damme, P. Hepatitis B Vaccines. J. Infect. Dis. 2021, 224, S343–S351. [Google Scholar] [CrossRef]
- Micco, L.; Peppa, D.; Loggi, E.; Schurich, A.; Jefferson, L.; Cursaro, C.; Panno, A.M.; Bernardi, M.; Brander, C.; Bihl, F.; et al. Differential Boosting of Innate and Adaptive Antiviral Responses during Pegylated-Interferon-Alpha Therapy of Chronic Hepatitis B. J. Hepatol. 2013, 58, 225–233. [Google Scholar] [CrossRef]
- Cooksley, W.G.E.; Piratvisuth, T.; Lee, S.-D.; Mahachai, V.; Chao, Y.-C.; Tanwandee, T.; Chutaputti, A.; Chang, W.Y.; Zahm, F.E.; Pluck, N. Peginterferon A-2a (40 KDa): An Advance in the Treatment of Hepatitis B e Antigen-positive Chronic Hepatitis B. J. Viral Hepat. 2003, 10, 298–305. [Google Scholar] [CrossRef]
- Lau, G.K.K.; Piratvisuth, T.; Luo, K.X.; Marcellin, P.; Thongsawat, S.; Cooksley, G.; Gane, E.; Fried, M.W.; Chow, W.C.; Paik, S.W.; et al. Peginterferon Alfa-2a, Lamivudine, and the Combination for HBeAg-Positive Chronic Hepatitis B. N. Engl. J. Med. 2005, 352, 2682–2695. [Google Scholar] [CrossRef]
- Menéndez-Arias, L.; Álvarez, M.; Pacheco, B. Nucleoside/Nucleotide Analog Inhibitors of Hepatitis B Virus Polymerase: Mechanism of Action and Resistance. Curr. Opin. Virol. 2014, 8, 1–9. [Google Scholar] [CrossRef]
- Terrault, N.A.; Lok, A.S.F.; McMahon, B.J.; Chang, K.; Hwang, J.P.; Jonas, M.M.; Brown, R.S.; Bzowej, N.H.; Wong, J.B. Update on Prevention, Diagnosis, and Treatment of Chronic Hepatitis B. Hepatology 2018, 67, 1560–1599. [Google Scholar] [CrossRef] [PubMed]
- Seto, W.-K.; Wong, D.K.-H.; Fung, J.; Huang, F.-Y.; Lai, C.-L.; Yuen, M.-F. Reduction of Hepatitis B Surface Antigen Levels And Hepatitis B Surface Antigen Seroclearance in Chronic Hepatitis B Patients Receiving 10 Years of Nucleoside Analogue Therapy. Hepatology 2013, 58, 923–931. [Google Scholar] [CrossRef] [PubMed]
- Lampertico, P.; Agarwal, K.; Berg, T.; Buti, M.; Janssen, H.L.A.; Papatheodoridis, G.; Zoulim, F.; Tacke, F. EASL 2017 Clinical Practice Guidelines on the Management of Hepatitis B Virus Infection. J. Hepatol. 2017, 67, 370–398. [Google Scholar] [CrossRef] [PubMed]
- Kim, G.-A.; Lee, H.C.; Kim, M.-J.; Ha, Y.; Park, E.J.; An, J.; Lee, D.; Shim, J.H.; Kim, K.M.; Lim, Y.-S. Incidence of Hepatocellular Carcinoma after HBsAg Seroclearance in Chronic Hepatitis B Patients: A Need for Surveillance. J. Hepatol. 2015, 62, 1092–1099. [Google Scholar] [CrossRef]
- Giladi, H.; Ketzinel-Gilad, M.; Rivkin, L.; Felig, Y.; Nussbaum, O.; Galun, E. Small Interfering RNA Inhibits Hepatitis B Virus Replication in Mice. Mol. Ther. 2003, 8, 769–776. [Google Scholar] [CrossRef]
- Hamasaki, K.; Nakao, K.; Matsumoto, K.; Ichikawa, T.; Ishikawa, H.; Eguchi, K. Short Interfering RNA-directed Inhibition of Hepatitis B Virus Replication. FEBS Lett. 2003, 543, 51–54. [Google Scholar] [CrossRef]
- Klein, C.; Bock, C.T.; Wedemeyer, H.; Wüstefeld, T.; Locarnini, S.; Dienes, H.P.; Kubicka, S.; Manns, M.P.; Trautwein, C. Inhibition of Hepatitis B Virus Replication in Vivo by Nucleoside Analogues and SiRNA. Gastroenterology 2003, 125, 9–18. [Google Scholar] [CrossRef]
- Konishi, M.; Wu, C.H.; Wu, G.Y. Inhibition of HBV Replication by SiRNA in A Stable HBV–Producing Cell Line. Hepatology 2003, 38, 842–850. [Google Scholar] [CrossRef]
- Qian, Z.-K. Cost-Effective Method of SiRNA Preparation and Its Application to Inhibit Hepatitis B Virus Replication in HepG2 Cells. World J. Gastroenterol. 2005, 11, 1297. [Google Scholar] [CrossRef]
- Shlomai, A.; Shaul, Y. Inhibition of Hepatitis B Virus Expression and Replication by RNA Interference. Hepatology 2003, 37, 764–770. [Google Scholar] [CrossRef]
- Carmona, S.; Ely, A.; Crowther, C.; Moolla, N.; Salazar, F.H.; Marion, P.L.; Ferry, N.; Weinberg, M.S.; Arbuthnot, P. Effective Inhibition of HBV Replication in Vivo by Anti-HBx Short Hairpin RNAs. Mol. Ther. 2006, 13, 411–421. [Google Scholar] [CrossRef] [PubMed]
- Ely, A.; Naidoo, T.; Mufamadi, S.; Crowther, C.; Arbuthnot, P. Expressed Anti-HBV Primary MicroRNA Shuttles Inhibit Viral Replication Efficiently In Vitro and In Vivo. Mol. Ther. 2008, 16, 1105–1112. [Google Scholar] [CrossRef]
- Ely, A.; Naidoo, T.; Arbuthnot, P. Efficient Silencing of Gene Expression with Modular Trimeric Pol II Expression Cassettes Comprising MicroRNA Shuttles. Nucleic Acids Res. 2009, 37, e91. [Google Scholar] [CrossRef] [PubMed]
- Dyer, V.; Ely, A.; Bloom, K.; Weinberg, M.; Arbuthnot, P. TRNALys3 Promoter Cassettes That Efficiently Express RNAi-Activating Antihepatitis B Virus Short Hairpin RNAs. Biochem. Biophys. Res. Commun. 2010, 398, 640–646. [Google Scholar] [CrossRef] [PubMed]
- Uprichard, S.L.; Boyd, B.; Althage, A.; Chisari, F.V. Clearance of Hepatitis B Virus from the Liver of Transgenic Mice by Short Hairpin RNAs. Proc. Natl. Acad. Sci. USA 2005, 102, 773–778. [Google Scholar] [CrossRef]
- Maepa, M.B.; Ely, A.; Grayson, W.; Arbuthnot, P. Sustained Inhibition of HBV Replication In Vivo after Systemic Injection of AAVs Encoding Artificial Antiviral Primary MicroRNAs. Mol. Ther. Nucleic Acids 2017, 7, 190–199. [Google Scholar] [CrossRef]
- Denli, A.M.; Tops, B.B.J.; Plasterk, R.H.A.; Ketting, R.F.; Hannon, G.J. Processing of Primary MicroRNAs by the Microprocessor Complex. Nature 2004, 432, 231–235. [Google Scholar] [CrossRef]
- Zhang, H.; Kolb, F.A.; Jaskiewicz, L.; Westhof, E.; Filipowicz, W. Single Processing Center Models for Human Dicer and Bacterial RNase III. Cell 2004, 118, 57–68. [Google Scholar] [CrossRef]
- Chendrimada, T.P.; Gregory, R.I.; Kumaraswamy, E.; Norman, J.; Cooch, N.; Nishikura, K.; Shiekhattar, R. TRBP Recruits the Dicer Complex to Ago2 for MicroRNA Processing and Gene Silencing. Nature 2005, 436, 740–744. [Google Scholar] [CrossRef]
- Bohnsack, M.T.; Czaplinski, K.; Görlich, D. Exportin 5 Is a RanGTP-Dependent DsRNA-Binding Protein That Mediates Nuclear Export of Pre-MiRNAs. RNA 2004, 10, 185–191. [Google Scholar] [CrossRef]
- Streinu-Cercel, A.; Gane, E.; Cheng, W.; Sievert, W.; Roberts, S.; Ahn, S.H.; Kim, Y.J.; Agarwal, K.; Niforos, D.; Symonds, B.; et al. A Phase 2a Study Evaluating the Multi-Dose Activity of ARB-1467 in HBeAg Positive and Negative Virally Suppressed Subjects with Hepatitis B. J. Hepatol. 2017, 66, S688–S689. [Google Scholar] [CrossRef]
- Wooddell, C.I.; Yuen, M.-F.; Chan, H.L.-Y.; Gish, R.G.; Locarnini, S.A.; Chavez, D.; Ferrari, C.; Given, B.D.; Hamilton, J.; Kanner, S.B.; et al. RNAi-Based Treatment of Chronically Infected Patients and Chimpanzees Reveals That Integrated Hepatitis B Virus DNA Is a Source of HBsAg. Sci. Transl. Med. 2017, 9, eaan0241. [Google Scholar] [CrossRef]
- Gane, E.; Lim, Y.-S.; Tangkijvanich, P.; O’Beirne, J.; Lim, T.H.; Bakardjiev, A.; Ding, X.; Connolly, L.; Huang, S.; Kim, J.; et al. Preliminary Safety and Antiviral Activity of VIR-2218, an X-Targeting HBV RNAi Therapeutic, in Chronic Hepatitis B Patients. J. Hepatol. 2020, 73, S50–S51. [Google Scholar] [CrossRef]
- Yuen, M.-F.; Heo, J.; Jang, J.-W.; Yoon, J.-H.; Kweon, Y.-O.; Park, S.-J.; Tami, Y.; You, S.; Yates, P.; Tao, Y.; et al. Safety, Tolerability and Antiviral Activity of the Antisense Oligonucleotide Bepirovirsen in Patients with Chronic Hepatitis B: A Phase 2 Randomized Controlled Trial. Nat. Med. 2021, 27, 1725–1734. [Google Scholar] [CrossRef]
- Gane, E.; Yuen, M.; Kim, D.J.; Chan, H.L.; Surujbally, B.; Pavlovic, V.; Das, S.; Triyatni, M.; Kazma, R.; Grippo, J.F.; et al. Clinical Study of Single-Stranded Oligonucleotide RO7062931 in Healthy Volunteers and Patients With Chronic Hepatitis B. Hepatology 2021, 74, 1795–1808. [Google Scholar] [CrossRef]
- Jucov, A.; Gane, E.J.; Fitzgerald, M.; Le, K.; Wang, S.; Ammar, L.; Burnett, C.; Haceatrean, A.; Gupta, K.; Clark, D.; et al. Safety, Pharmacokinetics, and Antiviral Activity of Single Ascending Doses of ALG-125755, a GalNAc-Conjugated Small Interfering RNA, in Subjects with Chronic Hepatitis B. J. Hepatol. 2023, 78, S1162–S1163. [Google Scholar] [CrossRef]
- Yuen, M.-F.; Lim, Y.-S.; Yoon, K.T.; Lim, T.-H.; Heo, J.; Tangkijvanich, P.; Tak, W.Y.; Thanawala, V.; Cloutier, D.; Mao, S.; et al. VIR-2218 (Elebsiran) plus Pegylated Interferon-Alfa-2a in Participants with Chronic Hepatitis B Virus Infection: A Phase 2 Study. Lancet Gastroenterol. Hepatol. 2024, 9, 1121–1132. [Google Scholar] [CrossRef]
- Baiersdörfer, M.; Boros, G.; Muramatsu, H.; Mahiny, A.; Vlatkovic, I.; Sahin, U.; Karikó, K. A Facile Method for the Removal of DsRNA Contaminant from In Vitro-Transcribed MRNA. Mol. Ther. Nucleic Acids 2019, 15, 26–35. [Google Scholar] [CrossRef] [PubMed]
- Nassal, M. The Arginine-Rich Domain of the Hepatitis B Virus Core Protein Is Required for Pregenome Encapsidation and Productive Viral Positive-Strand DNA Synthesis but Not for Virus Assembly. J. Virol. 1992, 66, 4107–4116. [Google Scholar] [CrossRef]
- Zhang, F.; Cong, L.; Lodato, S.; Kosuri, S.; Church, G.M.; Arlotta, P. Efficient Construction of Sequence-Specific TAL Effectors for Modulating Mammalian Transcription. Nat. Biotechnol. 2011, 29, 149–153. [Google Scholar] [CrossRef]
- Weinberg, M.S.; Ely, A.; Barichievy, S.; Crowther, C.; Mufamadi, S.; Carmona, S.; Arbuthnot, P. Specific Inhibition of HBV Replication In Vitro and In Vivo With Expressed Long Hairpin RNA. Mol. Ther. 2007, 15, 534–541. [Google Scholar] [CrossRef] [PubMed]
- Iwamoto, M.; Watashi, K.; Tsukuda, S.; Aly, H.H.; Fukasawa, M.; Fujimoto, A.; Suzuki, R.; Aizaki, H.; Ito, T.; Koiwai, O.; et al. Evaluation and Identification of Hepatitis B Virus Entry Inhibitors Using HepG2 Cells Overexpressing a Membrane Transporter NTCP. Biochem. Biophys. Res. Commun. 2014, 443, 808–813. [Google Scholar] [CrossRef] [PubMed]
- Mamane, Y.; Heylbroeck, C.; Génin, P.; Algarté, M.; Servant, M.J.; LePage, C.; DeLuca, C.; Kwon, H.; Lin, R.; Hiscott, J. Interferon Regulatory Factors: The next Generation. Gene 1999, 237, 1–14. [Google Scholar] [CrossRef]
- Polack, F.P.; Thomas, S.J.; Kitchin, N.; Absalon, J.; Gurtman, A.; Lockhart, S.; Perez, J.L.; Pérez Marc, G.; Moreira, E.D.; Zerbini, C.; et al. Safety and Efficacy of the BNT162b2 MRNA COVID-19 Vaccine. N. Engl. J. Med. 2020, 383, 2603–2615. [Google Scholar] [CrossRef]
- Patel, R.; Kaki, M.; Potluri, V.S.; Kahar, P.; Khanna, D. A Comprehensive Review of SARS-CoV-2 Vaccines: Pfizer, Moderna & Johnson & Johnson. Hum. Vaccin. Immunother. 2022, 18, 2002083. [Google Scholar] [CrossRef]
- Karikó, K.; Weissman, D. Naturally Occurring Nucleoside Modifications Suppress the Immunostimulatory Activity of RNA: Implication for Therapeutic RNA Development. Curr. Opin. Drug Discov. Dev. 2007, 10, 523–532. [Google Scholar]
- Alexopoulou, L.; Holt, A.C.; Medzhitov, R.; Flavell, R.A. Recognition of Double-Stranded RNA and Activation of NF-ΚB by Toll-like Receptor 3. Nature 2001, 413, 732–738. [Google Scholar] [CrossRef]
- Heil, F.; Hemmi, H.; Hochrein, H.; Ampenberger, F.; Kirschning, C.; Akira, S.; Lipford, G.; Wagner, H.; Bauer, S. Species-Specific Recognition of Single-Stranded RNA via Toll-like Receptor 7 and 8. Science 2004, 303, 1526–1529. [Google Scholar] [CrossRef] [PubMed]
- Kormann, M.S.D.; Hasenpusch, G.; Aneja, M.K.; Nica, G.; Flemmer, A.W.; Herber-Jonat, S.; Huppmann, M.; Mays, L.E.; Illenyi, M.; Schams, A.; et al. Expression of Therapeutic Proteins after Delivery of Chemically Modified MRNA in Mice. Nat. Biotechnol. 2011, 29, 154–157. [Google Scholar] [CrossRef]
- Marimani, M.D.; Ely, A.; Buff, M.C.R.; Bernhardt, S.; Engels, J.W.; Arbuthnot, P. Inhibition of Hepatitis B Virus Replication in Cultured Cells and in Vivo Using 2′-O-Guanidinopropyl Modified SiRNAs. Bioorg. Med. Chem. 2013, 21, 6145–6155. [Google Scholar] [CrossRef]
- Buff, M.C.R.; Bernhardt, S.; Marimani, M.D.; Ely, A.; Engels, J.W.; Arbuthnot, P. Use of Guanidinopropyl-Modified SiRNAs to Silence Gene Expression. Methods Mol. Biol. 2015, 1218, 217–249. [Google Scholar] [CrossRef] [PubMed]
- Marimani, M.D.; Ely, A.; Buff, M.C.R.; Bernhardt, S.; Engels, J.W.; Scherman, D.; Escriou, V.; Arbuthnot, P. Inhibition of Replication of Hepatitis B Virus in Transgenic Mice Following Administration of Hepatotropic Lipoplexes Containing Guanidinopropyl-Modified SiRNAs. J. Control. Release 2015, 209, 198–206. [Google Scholar] [CrossRef] [PubMed]
- McGee, J.E.; Kirsch, J.R.; Kenney, D.; Cerbo, F.; Chavez, E.C.; Shih, T.-Y.; Douam, F.; Wong, W.W.; Grinstaff, M.W. Complete Substitution with Modified Nucleotides in Self-Amplifying RNA Suppresses the Interferon Response and Increases Potency. Nat. Biotechnol. 2024. [Google Scholar] [CrossRef] [PubMed]





Disclaimer/Publisher’s Note: The statements, opinions and data contained in all publications are solely those of the individual author(s) and contributor(s) and not of MDPI and/or the editor(s). MDPI and/or the editor(s) disclaim responsibility for any injury to people or property resulting from any ideas, methods, instructions or products referred to in the content. |
© 2025 by the authors. Licensee MDPI, Basel, Switzerland. This article is an open access article distributed under the terms and conditions of the Creative Commons Attribution (CC BY) license (https://creativecommons.org/licenses/by/4.0/).
Share and Cite
Shrilall, C.; Arbuthnot, P.; Ely, A. In Vitro Transcribed Artificial Primary MicroRNA for the Inhibition of Hepatitis B Virus Gene Expression in Cultured Cells. Microorganisms 2025, 13, 604. https://doi.org/10.3390/microorganisms13030604
Shrilall C, Arbuthnot P, Ely A. In Vitro Transcribed Artificial Primary MicroRNA for the Inhibition of Hepatitis B Virus Gene Expression in Cultured Cells. Microorganisms. 2025; 13(3):604. https://doi.org/10.3390/microorganisms13030604
Chicago/Turabian StyleShrilall, Creanne, Patrick Arbuthnot, and Abdullah Ely. 2025. "In Vitro Transcribed Artificial Primary MicroRNA for the Inhibition of Hepatitis B Virus Gene Expression in Cultured Cells" Microorganisms 13, no. 3: 604. https://doi.org/10.3390/microorganisms13030604
APA StyleShrilall, C., Arbuthnot, P., & Ely, A. (2025). In Vitro Transcribed Artificial Primary MicroRNA for the Inhibition of Hepatitis B Virus Gene Expression in Cultured Cells. Microorganisms, 13(3), 604. https://doi.org/10.3390/microorganisms13030604

