Next Article in Journal
The Synergistic Effects of Jasmonic Acid and Arbuscular Mycorrhizal Fungi in Enhancing the Herbicide Resistance of an Invasive Weed Sphagneticola trilobata
Previous Article in Journal
Inhibition of Escherichia coli O157:H7 Growth Through Nutrient Competition by Non-O157 E. coli Isolated from Cattle
 
 
Font Type:
Arial Georgia Verdana
Font Size:
Aa Aa Aa
Line Spacing:
Column Width:
Background:
Article

Nutrient State-Dependent Ascarosides and Nematode Immune Response Limit the Predation of Arthrobotrys oligospora

1
State Key Laboratory for Conservation and Utilization of Bio-Resources in Yunnan and Key Laboratory of Industrial Microbial Fermentation Engineering of Yunnan Province, School of Life Sciences, Yunnan University, Kunming 650091, China
2
Southwest United Graduate School, Kunming 650092, China
*
Authors to whom correspondence should be addressed.
Microorganisms 2025, 13(12), 2816; https://doi.org/10.3390/microorganisms13122816
Submission received: 12 November 2025 / Revised: 5 December 2025 / Accepted: 7 December 2025 / Published: 10 December 2025
(This article belongs to the Section Plant Microbe Interactions)

Abstract

Nematode-trapping fungi act as predators of nematodes in soil ecosystems, forming a typical predator–prey relationship. However, this interaction is frequently influenced by environmental factors such as nutrient state. In this study, we demonstrate that starved nematodes had better chances of escaping A. oligospora predation by inhibiting A. oligospora trap formation. Starved nematodes showed downregulated acyl-CoA oxidase genes (acox-1.2/1.3/1.4) and reduced ascaroside pheromone production (ascr#1/#3/#5/#9), thus diminishing A. oligospora trap induction. In soils with uneven nutrient content, nutrient deficiencies can activate this mechanism locally, thereby reducing predation. When avoidance fails, nematodes rely on canonical innate immune pathways (FSHR-1, ATFS-1, and PMK-1) to improve survival during capture. In response to this predation, nematodes have evolved multiple strategies to defend against these pressures, closely linked to their nutritional status. Together, these findings link local nutrient availability to both fungal predation efficiency and the robustness of nematode defenses in soil ecosystems.

1. Introduction

The interactions between nematodes and nematode-trapping fungi (NTF) are characterized by chemical cues that enable reciprocal sensing and response [1,2,3]. Caenorhabditis elegans, a free-living bacterivorous nematode, naturally inhabits microbe-rich and spatially heterogeneous environments, including compost, decaying vegetation, and rhizosphere-associated soils [4,5], where encounters with fungal predators are frequent. Arthrobotrys oligospora is a globally distributed NTF that is widely present in agricultural soils, forest floors, grasslands, and organic-rich substrates, and is known to co-occur with diverse free-living nematodes in these habitats [6]. In response to prey-derived ascaroside pheromones, A. oligospora forms adhesive traps and modulates its predatory strategies to improve capture efficiency [7]. Besides traps, NTFs use additional predation strategies such as constricting rings, spore-based adhesion in endoparasites, and post-capture effectors (lectins/adhesins, penetration pegs, and lytic enzymes) to immobilize and digest prey [8]. However, the effect of nematodes’ nutritional status on this predation remains to be elucidated.
Ascarosides, hormones produced by C. elegans, consist of a dideoxy sugar core with side chains and are synthesized by peroxisomal acyl-coenzyme A oxidase (ACOX) initially. Their length and oxidation state are in turn determined by peroxisomal β-oxidation [9,10,11] to mediate prey-to-prey and prey-to-predator communication [12]. The genome of C. elegans encodes seven ACOX genes, five of which (acox-1.1, -1.2, -1.3, -1.4, and acox-3) are dedicated to isoform-specific substrate preferences to contribute to ascaroside variation and production [13]. ACOX-1.1 and ACOX-3 tend to synthesize medium-to long-chain ascarosides, whereas ACOX-1.2, -1.3, and -1.4 favor shorter chains [14,15,16]. Because cellular lipid catabolism [17] and peroxisomal function shift [18] under nutrient scarcity, this causes the ascaroside profile to undergo changes, which may consequently weaken the chemical cues that activate fungal predation. In natural soils, resources are not evenly distributed but appear as temporary micro-hotspots [19,20], creating patchy patterns of carbon and nutrients [21]. Within these patches, nematode–microbiome interactions depend on changes in resource availability, suggesting that ascaroside production may differ at the microscale. However, the exact ACOX contributors and the specific ascaroside species responsible for A. oligospora trapping still remain to be identified.
C. elegans possesses conserved innate immune pathways that protect it from microbes, including physical barriers and generated fungicidal materials (reactive oxygen species and antimicrobial peptides) [6,7,22,,23,24,25]. Collectively, the intestinal G protein-coupled receptors (GPCR) FSHR-1 triggers and participates in defensive activity [26,27], the p38 mitogen-activated protein kinases (p38 MAPK) PMK-1 maintains epithelial integrity [28], and the mitochondrial unfolded protein response (UPRmt) driven by the transcriptional factor ATFS-1 sustains organellar proteostasis [29]. Although those pathways have been extensively studied in the context of bacterial infection, their roles in resistance to fungal predation remain unclear.
Here, we address the relationship between the nutritional status of nematodes and the predation efficiency of A. oligospora and explore which innate immune pathways nematodes rely on to resist predation. We demonstrated that starvation lowered the expression of ACOX genes (acox-1.2, -1.3, and -1.4) and reduced levels of ascaroside (ascr#1, #3, #5, and #9)-induced trap formation. In conditions of abundant nutrient availability, the ability of worms to resist A. oligospora predation was found to be contingent upon their canonical innate immune signaling pathways, including FSHR-1, ATFS-1, and PMK-1. This reveals the dual-strategy of nematodes in their natural habitat: when food availability fluctuates between scarcity and abundance, they must continuously switch between ascaroside and innate immune signaling in response to fungal predation.

2. Materials and Methods

2.1. Strains

The wild-type Caenorhabditis elegans strain N2, the mutant strains daf-16(mu86), hlh-30(tm1978), pmk-1(km25), fshr-1(ok778), and atfs-1(gk3094), and the transgenic reporter strains (acox-1.2p::gfp, T24B8.5p::gfp, and hsp-6p::gfp) were kindly provided by the Caenorhabditis Genetics Center (CGC; http://www.cbs.umn.edu/CGC, accessed on 15 October 2025), funded by NIH Office of Research Infrastructure Programs (P40 OD010440). All strains were maintained on nematode growth medium (NGM) plates seeded with Escherichia coli OP50 at 20 °C under standard conditions. Unless otherwise specified, synchronized young adult worms were used in all experiments. Worms were routinely propagated on 6 cm NGM plates and transferred to fresh OP50-seeded plates every 2–3 days to avoid starvation and overcrowding.
The Arthrobotrys oligospora strain used (ATCC 24927) was obtained from the American Type Culture Collection (ATCC). It was cultured on potato dextrose agar (PDA) at 28 °C and subcultured every 7–10 days to maintain vigorous growth and trap-forming ability. For long-term storage, the fungus was grown on PDA plates until abundant sporulation was observed, and spores were gently harvested with sterile water to prepare spore suspensions. The suspensions were aliquoted and stored at −80 °C. For each set of experiments, fresh working plates and spore suspensions were prepared from these stocked cultures to ensure consistency between replicates.

2.2. Worm Starvation Treatment

Two types of plates were prepared: nutrient-rich NGM plates seeded with OP50 and nutrient-poor water agar (WA) plates, where fresh A. oligospora (1 × 105 spores) were spread and incubated at 28 °C for 3 days before adding worms [30,31,32]. OP50 was prepared according to standard C. elegans maintenance protocols, with bacterial density controlled by OD600 measurements (OD600 ≈ 1.0) [33,34]. For NGM plates, 100–150 μL of OP50 culture was spread evenly on the agar surface and incubated overnight at 20 °C to form uniform lawns. For WA plates, A. oligospora spores were obtained from PDA cultures by gently flooding plates with sterile water and filtering through sterile gauze to remove mycelial fragments. The number of spores was adjusted to 1 × 105 per plate in a small volume, which was evenly spread on the WA surface. These plates were incubated at 28 °C for 3 days to allow mycelial growth and the establishment of a pre-predatory network before worms were added. Synchronized young adult worms were washed three times with M9 buffer to remove residual bacteria and then transferred to unseeded NGM plates for 24 h at 20 °C to induce starvation (STR), while control worms were kept on OP50-seeded plates (CTL) with the same density of worms. This treatment generated two groups of worms with different nutritional states but similar handling procedures.

2.3. Predation Assay

For the predation assay, 100 synchronized young adult worms were placed on A. oligospora plates and incubated at 20 °C. For each condition, at least three plates were used in each independent experiment. Every 12 h, the number of fungal traps and the percentage of worms captured were counted under a dissecting microscope. Trap density was quantified by counting adhesive traps in several non-overlapping microscopic (Olympus BX51, Olympus Corporation, Tokyo, Japan) fields of fixed area and converting to traps/cm2 based on the calibrated field size. Worms were scored as captured when any part of the body was firmly attached to a fungal trap and did not move after gentle prodding with a platinum wire. The assay was carried out using three independent experiments, each starting from independently synchronized worm populations and independently prepared fungal plates.

2.4. Relative Quantitative Analysis of Ascarosides in Worms

The CTL and STR worms were placed into pre-weighed 15 mL tubes, washed three times with sterile water, snap-frozen, and then lyophilized for 12 h. Dry mass was recorded to ensure consistency across samples (≥10 mg each). For extraction, 700 µL of 50% methanol was added. The samples were then sonicated in a pre-cooled water bath for 20 min at 50% amplitude with a 6-s-on/6-s-off duty cycle, followed by centrifugation for 15 min at 4 °C at 12,000 rpm. Supernatants were filtered through 0.2 µm PTFE membranes into LC vials (approximately 500–600 µL). UHPLC and HRMS (Orbitrap FTMS) were performed to analyze metabolites using ESI+ in full-scan mode (m/z 70–1000). Extracted-ion chromatograms (EICs) were generated at exact-mass windows corresponding to the targeted ascarosides 219.0858-219.0880 (ascr#5), 247.1170-247.1194 (ascr#9), 273.1325-273.1353 (ascr#7), 275.1481-275.1509 (ascr#1), and 301.1636-301.1666 (ascr#3). Peaks were integrated with fixed retention-time windows. Relative abundances were derived from peak areas and normalized to the dry mass of each worm sample to allow comparison between CTL and STR groups. The assay was carried out through three independent experiments.

2.5. RNA Interference

RNAi bacterial strains containing targeting genes (acox-1.1, acox-1.2, acox-1.3, acox-1.4, acox-3, egl-30, dbl-1, skn-1, xbp-1) were obtained from the Ahringer RNAi library [35]. E. coli was cultured in LB containing 100 μg/mL ampicillin at 37 °C for 16 h, and then plated on NGM plates with the same antibiotic and 5 mM IPTG. RNAi bacteria were grown at 25 °C for 16 h. Synchronized L1 larvae were transferred onto plates and kept at 20 °C until they reached young adulthood. Target gene knockdown was achieved by feeding synchronized C. elegans larvae with E. coli HT115 (DE3) carrying dsRNA vectors (pL4440). Controls received E. coli with the empty pL4440 vector.

2.6. Quantitative Real-Time PCR (qRT-PCR)

Total RNA was isolated from 100 μL worm suspension using TRIzol reagent (Invitrogen, Waltham, MA, USA) according to the manufacturer’s instructions. cDNA synthesis was performed using the PrimeScript RT reagent kit (Takara, Kusatsu, Japan). qRT-PCR was conducted on a real-time PCR system with SYBR Premix Ex Taq II (Takara). Gene expression levels were normalized to the internal control gene act-1, and relative expression was calculated using the 2−ΔΔCt method. Data are presented as the mean fold change ± SD from three independent experiments. The primer sequences used are provided in Table S1.

2.7. Survival Assays

For immune pathway screening, about 50 synchronized worms (wild-type, mutants, or RNAi-treated) were transferred to A. oligospora WA plates and observed every 12 h. Worms were considered dead when no pharyngeal pumping or movement was observed after gentle prodding. Detailed survival data and statistical analysis are provided in Table S2. Each assay was repeated in three independent biological replicates, with each replicate using 50 nematodes.

2.8. Fluorescence Microscopic Analysis

For fluorescence imaging, worms expressing hsp-6p::gfp, acox-1.2p::gfp, and T24B8.5p::gfp were collected in M9 buffer and transferred onto microscope slides. The slides were imaged using a Zeiss Axioskop 2 Plus fluorescence microscope (ZEISS, Oberkochen, Germany). The GFP intensities were analyzed with ImageJ (version 1.47f). All experiments were performed in three independent replicates, with each replicate using 30 nematodes. Identical exposure settings were used within each experiment, and background fluorescence was subtracted before quantification.

2.9. Statistical Analysis

Differences in survival rates were analyzed using the log-rank test. Differences in gene expression, trap density, captured fraction, and fluorescence intensity were assessed by performing two-way ANOVA followed by Šidák’s correction for multiple comparisons or Student’s t-test. p-values of <0.05 were considered statistically significant. Data were analyzed using GraphPad Prism 8 (GraphPad Software Inc., La Jolla, CA, USA).

3. Results

3.1. Starvation-Induced Ascaroside Reduction in Nematodes Impairs A. oligospora Predation

When C. elegans nematodes were placed under nutrient-replete conditions, A. oligospora trap formation and capture notably increased over the 24–48 h time period (Figure 1a–c). Natural environments are characterized by an uneven distribution of food resources, often fluctuating between scarcity and abundance; therefore, the experiments were designed to evaluate the nematode-killing behavior of A. oligospora in nutrient-scarce conditions (Figure 1d). The worms that were subjected to starvation for 24 h prior were surrounded by fewer A. oligospora adhesive structures (Figure 1e), with quantitative analyses revealing significant decreases in the number of traps and worms captured compared with well-fed worms (Figure 1f,g). These results suggest that nutrient deprivation in worms compromised the killing behavior and trap formation of A. oligospora, resulting in increased nematode survival.
Ascaroside has been identified as the most significant chemical signal for triggering the formation of traps by nematode-trapping fungi [11,36]. To investigate how starvation affects worms and thereby reduces fungal predation capacity, we analyzed ascaroside levels (Figure 2a), identifying significantly lower peak intensities for ascr#1, ascr#3, ascr#5, and ascr#9 in starved worms compared to well-fed worms (Figure 2b). However, the level of ascr#7 remained unchanged in worms after starvation (Figure 2b). This result suggests that under nutrient-poor conditions, nematodes are unable to synthesize ascaroside to an adequate extent.

3.2. Starvation Downregulation of the ACOX Genes in Nematodes Reduces the Predation Efficiency of A. oligospora

Peroxisomal β-oxidation is known to modify ascaroside side chains via a set of ACOX genes (Figure 3a), which display chain-length-specific activity on ascaroside precursors [13,15,37]; therefore, we determined which of the ACOX genes responded to starvation. qRT-PCR showed that the mRNA levels of acox-1.1, acox-1.2, acox-1.3, and acox-1.4 were reduced in starved worms; however, acox-3 remained steady (Figure 3b). Consistently, the expression of acox-1.2p::gfp displayed a lower fluorescence intensity in starved worms than in well-fed worms (Figure 3c,d). These results suggest that acox-1.1, -1.2, -1.3, and -1.4 are potential effectors for reducing trap-inducing ascaroside production in nematodes.
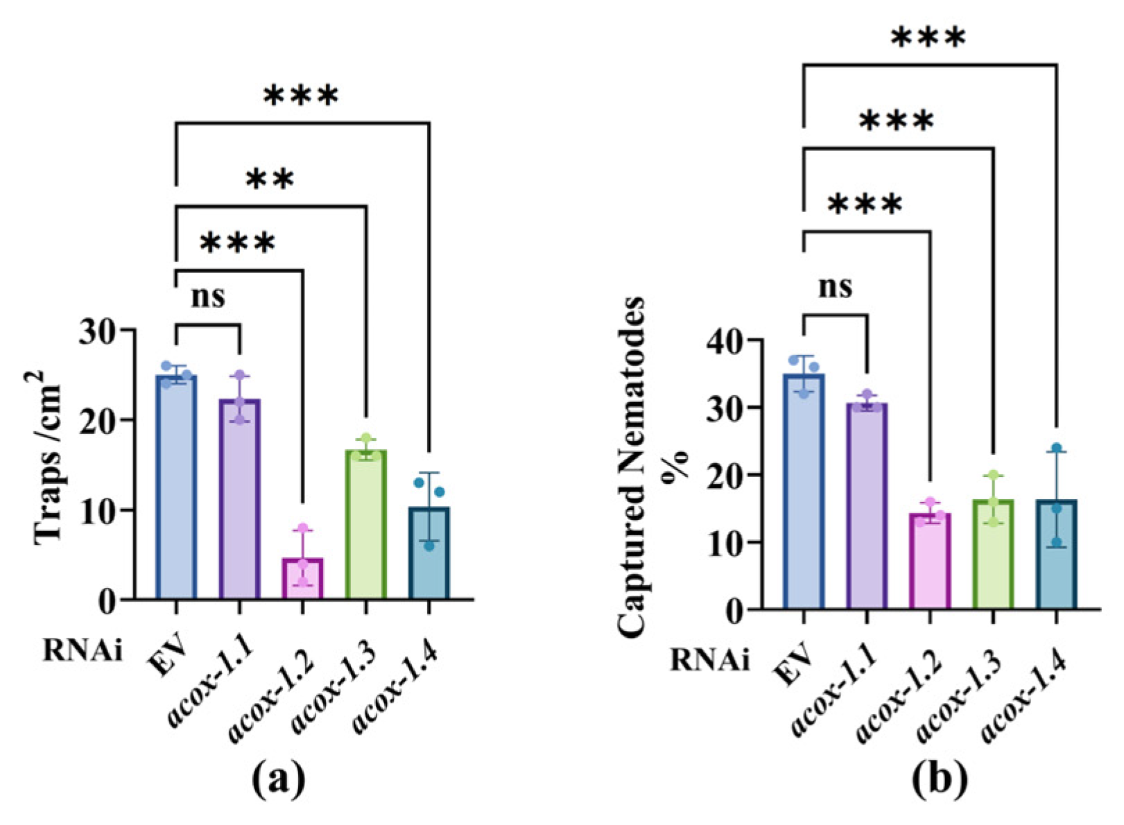
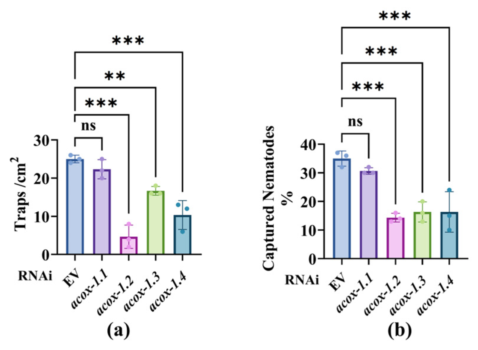
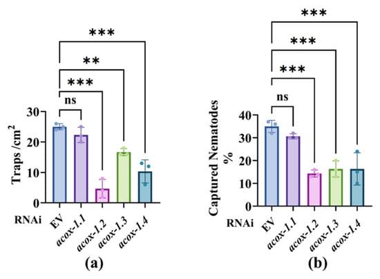
Knockdown of acox-1.2, acox-1.3, and acox-1.4 by RNAi in well-fed worms reduced the number of traps created and the number of worms captured by A. oligospora (Figure 4a,b). However, knockdown of acox-1.1 had no detectable effects in this regard (Figure 4a,b). Furthermore, knockdown of acox-1.2 in starved worms failed to cause a further decrease in both the number of traps and the number of worms captured (Figure S1). Consequently, we identified acox-1.2, acox-1.3, and acox-1.4 as effectors that responded to starvation and modulated the predation efficiency of A. oligospora.

3.3. Nematodes Rely on Canonical Innate Immune Pathways to Improve Their Survival After the Capture by A. oligospora

Previous research has shown that fungi activate conserved innate responses in worms, including p38 MAPK [38,39], insulin/IGF-1 signaling (DAF-16/FOXO), reactive oxygen species [22], and antimicrobial peptides production [40]. We aimed to determine which canonical innate immunity pathways were involved in resistance to A. oligospora. The survival rate of the mutant worm strains daf-16 (mu86), hlh-30 (tm1978), pmk-1 (km25), fshr-1 (ok778), and atfs-1 (gk3094), and those subjected to RNAi (dbl-1, xbp-1, skn-1, and egl-30), was measured after exposure to A. oligospora (Figure 5 and Table S2). We found that worm survival was dependent on p38 MAPK, as pmk-1 mutants showed a reduced survival rate (Figure 5a). In contrast, neither DAF-16/FOXO nor TGF-β/DBL-1 altered the survival rate of worms after exposure to A. oligospora (Figure 5b,c). The mitochondrial unfolded protein response (UPRmt) was found to be necessary for survival on A. oligospora, as the loss of atfs-1 reduced the worm survival rate (Figure 5d), whereas the endoplasmic reticulum unfolded protein response (UPR-ER) XBP-1 and regulator of the cellular stress response SKN-1 did not contribute to survival (Figure 5e,f). The ortholog of the mammalian glycopeptide hormone receptor, FSHR-1, was also required for survival (Figure 5g), while the conserved basic helix–loop–helix transcription factor, HLH-30/transcription factor EB (TFEB), and the vertebrate heterotrimeric G protein alpha subunit, EGL-30/Gq, did not alter survival (Figure 5h,i). Taken together, our data indicated that PMK-1, ATFS-1, and FSHR-1 were the canonical innate immunity pathways that enabled the worms to resist A. oligospora.
The transgenic worms that carried hsp-6p::gfp [41] and T24B8.5p::gfp [42,43] were used as markers of UPRmt and p38 MAPK, respectively. We found that the GFP intensity of HSP-6 was significantly increased in worms after exposure to A. oligospora (Figure 6a,b). However, the GFP intensity of T24B8.5 was unchanged in worms after exposure to A. oligospora (Figure 6c,d), demonstrating that A. oligospora activated UPRmt but may not have activated p38 MAPK. The requirement for PMK-1, despite the absence of T24B8.5 induction by A. oligospora, suggests that p38 MAPK functions as a basal defense for worms against A. oligospora.

4. Discussion

Our findings reveal that nematode nutritional state shapes interactions with nematode-trapping fungi at two levels: by altering ascaroside-based prey cues and by selectively engaging innate immune pathways during fungal attack. Natural soils show considerable variation over space and time with regard to nutrient and carbon levels, creating localized nutrient-rich zones that impact microbial activity and species interactions [19,20]. Under laboratory nutrient-limiting conditions, we found that this dietary state change lowered ascaroside output in nematodes, which in turn reduced the trap induction and predatory activity of A. oligospora. Starvation represses acox-1.2/1.3/1.4, selectively depleting short-chain ascarosides (ascr#1/#3/#5/#9) rather than uniformly reducing all congeners. During the A. oligospora attack, worm survival was contingent on the innate immune pathways of FSHR-1, ATFS-1, and PMK-1. In combination, these diet-sensitive changes in pheromone production and host defense modulate fungal trap formation and nematode survival. The dual modulation of prey cues and immunity is a mechanism that may help account for site-to-site variability in NTF-based biocontrol.
In nematodes, ascarosides are compositionally complex mixtures of congeners that differ in side-chain length and head-group modifications. Shifts in ascaroside composition modulate well-defined nematode behaviors and interspecies communications, including dispersal, aggregation, mating, foraging, and stress adaptation, which are strongly conditioned by diet and developmental stage [15,44,45]. Among these, short-chain molecules, notably ascr#1, ascr#3, ascr#5, and ascr#7, and related congeners, function as strong prey cues that trigger trap morphogenesis in NTFs [13,14,15]. Consistent with this, our results demonstrate that nutrient limitation specifically resulted in the downregulation of acox-1.2, acox-1.3, and acox-1.4, thereby shifting biosynthesis away from short-chain species in worms. This caused a decrease in ascr#1, ascr#3, ascr#5, and ascr#9, and subsequently the reduced trap induction and capture behavior of A. oligospora.
In agricultural and natural ecosystems, nematode-trapping fungi have been explored as biological control agents to suppress plant-parasitic nematodes [8,46,47]. However, the efficacy of NTF-based biocontrol is notoriously variable across field sites and seasons, often performing well in some soils but not in others [8]. Our results provide a mechanistic explanation for part of this variability. Because short-chain ascarosides that induce trap formation are selectively reduced under nematode starvation, the nematode populations inhabiting nutrient-poor habitats may produce low levels of ascaroside signals, making them less vulnerable to predation by A. oligospora. In contrast, the nematode populations inhabiting nutrient-rich habitats may produce stronger ascaroside signals, thereby enhancing trap formation by A. oligospora. Thus, microscale nutrient heterogeneity can create a shifting mosaic of “high-risk” and “low-risk” zones for nematodes, with consequences for both nematode community structure and the realized impact of NTFs as biocontrol agents.
Furthermore, in C. elegans, the PMK-1/p38-ATF-7 pathway is required for survival and broad effector induction during Pseudomonas aeruginosa 14 (PA14) infection [48]. The GPCR FSHR-1 promotes host defense across Gram-negative and Gram-positive challenges in parallel to p38 [26], while the mitochondrial UPR regulator ATFS-1 mediates pathogen-induced mitochondrial stress to innate immunity and enhances survival under PA14 infection [49]. Furthermore, some stress responses, like HLH-30, are required for protection during Staphylococcus aureus infection and mediate responses to bacterial pore-forming toxins [50]. SKN-1 is activated via TIR-1/PMK-1 during PA14 or Enterococcus faecalis infection [51]. DAF-16/FOXO improves survival when insulin/IGF-1 signaling is reduced across PA14, S. aureus, or E. faecalis [52]. In addition, DBL-1/TGF-β signaling modulates antimicrobial peptide expression during Drechmeria coniospora infection [53]. Beyond immune and stress response programs, cuticle-trap adhesion is a further biophysical determinant during predation by nematode-trapping fungi. Forward genetic screening identified NHR-66 as a regulator of cuticular collagens, whose loss reduces trapping across multiple Arthrobotrys species [3]. These studies together indicate that multiple immune, stress, and cuticular pathways can influence nematode survival under diverse pathogenic and predatory challenges.
Building on these mechanisms, our identification of FSHR-1, ATFS-1, and PMK-1 as key factors for nematode survival during A. oligospora predation indicates that host defense is not a generalized innate immunity response. Instead, it is mediated by specific innate immune pathways initially characterized in bacterial infection models. We found that UPRmt, but not all other stress response regulators like SKN-1 or XBP-1, are essential for the survival of worms, suggesting that mitochondria are especially crucial during fungal trapping and digestion. This may reflect mitochondria’s dual function as centers for metabolic adaptation to starvation and for integrating immune signals. In addition, the basal activity of PMK-1 also contributes to nematode survival during fungal trapping and digestion. Future research exploring downstream effector genes of these pathways in NTF predation will help clarify how nematodes balance immune responses with other starvation-related adaptations. These results demonstrate that during exposure to A. oligospora, worms deploy specific defense response pathways rather than a generalized immune response.

5. Conclusions

Our findings demonstrate a two-strategy nematode defense model whereby nutrient limitation downregulates the expression of acyl-CoA oxidase genes to selectively deplete the short-chain ascarosides that activate nematode-trapping fungi, while post-capture survival requires several focused innate immune pathways (PMK-1, ATFS-1, and FSHR-1). These results suggest that microscale nutrient patchiness modulates fungal predation pressure in situ, offering a framework for interpreting variability in field biocontrol performance. This dual-defense strategy has significant theoretical value for research into bioactivated nematicides.

Supplementary Materials

The following supporting information can be downloaded at: https://www.mdpi.com/article/10.3390/microorganisms13122816/s1, Figure S1: No significant effect of acox-1.2 RNAi in A. oligospora trap formation in STR; Table S1: Primers of qPCR analysis; Table S2: Survival assay data; Table S3: The fold change of gene level and survival of C. elegans impact during A. oligospora predation.

Author Contributions

C.-G.Z., Y.-C.M. and J.-H.D. designed the experiments and analyzed the data. J.-H.D., Z.-K.H., X.-Q.G., Q.Z. and X.-Y.T. performed the experiments. Y.-C.M., J.-H.D. and Z.-K.H. interpreted the data. C.-G.Z., Y.-C.M. and J.-H.D. All authors have read and agreed to the published version of the manuscript.

Funding

This research was funded by the National Natural Science Foundation of China (32260021 and 32470128), Yunnan Fundamental Research Projects (202401AS070137), and the Central Government Guidance Fund for the Development of Local Science and Technology (202407AB110004).

Institutional Review Board Statement

Not applicable.

Informed Consent Statement

Not applicable.

Data Availability Statement

The original contributions presented in this study are included in the article/Supplementary Materials. Further inquiries can be directed to the corresponding authors.

Acknowledgments

We would like to thank Q.-Y. Wu (Yunnan University of Traditional Chinese Medicine) for critically reviewing this manuscript. We thank the Caenorhabditis Genetics Center for worm strains.

Conflicts of Interest

The authors declare no conflicts of interest.

References

  1. Yu, X.; Hu, X.; Pop, M.; Wernet, N.; Kirschhöfer, F.; Brenner-Weiß, G.; Keller, J.; Bunzel, M.; Fischer, R. Fatal attraction of Caenorhabditis elegans to predatory fungi through 6-methyl-salicylic acid. Nat. Commun. 2021, 12, 5462, Erratum in Nat. Commun. 2021, 12, 7262. [Google Scholar] [CrossRef]
  2. Lin, T.H.; Chang, H.W.; Tay, R.J.; Hsueh, Y.P. Predation by nematode-trapping fungus triggers mechanosensory-dependent quiescence in Caenorhabditis elegans. iScience 2025, 28, 112792. [Google Scholar] [CrossRef]
  3. Chang, H.W.; Lin, H.C.; Yang, C.T.; Tay, R.J.; Chang, D.M.; Tung, Y.C.; Hsueh, Y.P. Cuticular collagens mediate cross-kingdom predator-prey interactions between trapping fungi and nematodes. PLoS Biol. 2025, 23, e3003178. [Google Scholar] [CrossRef]
  4. Schulenburg, H.; Félix, M.A. The Natural Biotic Environment of Caenorhabditis elegans. Genetics 2017, 206, 55–86. [Google Scholar] [CrossRef]
  5. Deng, W.; Zhang, F.; Li, Y.P.; Zhang, X.; Fornacca, D.; Yang, X.Y.; Xiao, W. Uncovering the biogeographic pattern of the widespread nematode-trapping fungi Arthrobotrys oligospora: Watershed is the key. Front. Microbiol. 2023, 14, 1152751. [Google Scholar] [CrossRef]
  6. Zhang, Y.; Li, S.; Li, H.; Wang, R.; Zhang, K.-Q.; Xu, J. Fungi–Nematode Interactions: Diversity, Ecology, and Biocontrol Prospects in Agriculture. J. Fungi 2020, 6, 206. [Google Scholar] [CrossRef] [PubMed]
  7. Yang, C.-T.; Vidal-Diez de Ulzurrun, G.; Gonçalves, A.P.; Lin, H.-C.; Chang, C.-W.; Huang, T.-Y.; Chen, S.-A.; Lai, C.-K.; Tsai, I.J.; Schroeder, F.C.; et al. Natural diversity in the predatory behavior facilitates the establishment of a robust model strain for nematode-trapping fungi. Proc. Natl. Acad. Sci. USA 2020, 117, 6762–6770. [Google Scholar] [CrossRef] [PubMed]
  8. Jiang, X.; Xiang, M.; Liu, X. Nematode-Trapping Fungi. Microbiol. Spectr. 2017, 5. [Google Scholar] [CrossRef]
  9. Zhao, L.; Zhang, X.; Wei, Y.; Zhou, J.; Zhang, W.; Qin, P.; Chinta, S.; Kong, X.; Liu, Y.; Yu, H.; et al. Ascarosides coordinate the dispersal of a plant-parasitic nematode with the metamorphosis of its vector beetle. Nat. Commun. 2016, 7, 12341. [Google Scholar] [CrossRef] [PubMed]
  10. Shinoda, K.; Choe, A.; Hirahara, K.; Kiuchi, M.; Kokubo, K.; Ichikawa, T.; Hoki, J.S.; Suzuki, A.S.; Bose, N.; Appleton, J.A.; et al. Nematode ascarosides attenuate mammalian type 2 inflammatory responses. Proc. Natl. Acad. Sci. USA 2022, 119, e2108686119. [Google Scholar] [CrossRef]
  11. Kuo, C.Y.; Tay, R.J.; Lin, H.C.; Juan, S.C.; Vidal-Diez de Ulzurrun, G.; Chang, Y.C.; Hoki, J.; Schroeder, F.C.; Hsueh, Y.P. The nematode-trapping fungus Arthrobotrys oligospora detects prey pheromones via G protein-coupled receptors. Nat. Microbiol. 2024, 9, 1738–1751. [Google Scholar] [CrossRef]
  12. von Reuss, S.H.; Schroeder, F.C. Combinatorial chemistry in nematodes: Modular assembly of primary metabolism-derived building blocks. Nat. Prod. Rep. 2015, 32, 994–1006. [Google Scholar] [CrossRef]
  13. Zhang, X.; Wang, Y.; Perez, D.H.; Jones Lipinski, R.A.; Butcher, R.A. Acyl-CoA Oxidases Fine-Tune the Production of Ascaroside Pheromones with Specific Side Chain Lengths. ACS Chem. Biol. 2018, 13, 1048–1056. [Google Scholar] [CrossRef]
  14. Bhar, S.; Prajapati, D.V.; Gonzalez, M.S.; Yoon, C.S.; Mai, K.; Bailey, L.S.; Basso, K.B.; Butcher, R.A. Comparative Metabolomics Identifies the Roles of Acyl-CoA Oxidases in the Biosynthesis of Ascarosides and a Complex Family of Secreted N-Acylethanolamines. ACS Chem. Biol. 2025, 20, 1298–1308. [Google Scholar] [CrossRef]
  15. Zhou, Y.; Wang, Y.; Zhang, X.; Bhar, S.; Jones Lipinski, R.A.; Han, J.; Feng, L.; Butcher, R.A. Biosynthetic tailoring of existing ascaroside pheromones alters their biological function in C. elegans. eLife 2018, 7, e33286. [Google Scholar] [CrossRef]
  16. Zhang, X.; Feng, L.; Chinta, S.; Singh, P.; Wang, Y.; Nunnery, J.K.; Butcher, R.A. Acyl-CoA oxidase complexes control the chemical message produced by Caenorhabditis elegans. Proc. Natl. Acad. Sci. USA 2015, 112, 3955–3960. [Google Scholar] [CrossRef] [PubMed]
  17. Rambold, A.S.; Cohen, S.; Lippincott-Schwartz, J. Fatty acid trafficking in starved cells: Regulation by lipid droplet lipolysis, autophagy, and mitochondrial fusion dynamics. Dev. Cell 2015, 32, 678–692. [Google Scholar] [CrossRef]
  18. Han, J.; Zheng, D.; Liu, P.S.; Wang, S.; Xie, X. Peroxisomal homeostasis in metabolic diseases and its implication in ferroptosis. Cell Commun. Signal. CCS 2024, 22, 475. [Google Scholar] [CrossRef]
  19. Kuzyakov, Y.; Blagodatskaya, E. Microbial hotspots and hot moments in soil: Concept & review. Soil. Biol. Biochem. 2015, 83, 184–199. [Google Scholar] [CrossRef]
  20. Yadav, R.K.; Yadav, M.R.; Mahala, D.M.; Kumar, R.; Kumar, D.; Yadav, N.; Yadav, S.L.; Sharma, V.K.; Yadav, S. Soil Microbial Hotspots and Hot Moments: Management vis-a-vis Soil Biodiversity. In Plant Growth Promoting Rhizobacteria for Agricultural Sustainability: From Theory to Practices; Kumar, A., Meena, V.S., Eds.; Springer: Singapore, 2019; pp. 189–202. [Google Scholar]
  21. Ettema, C.H.; Wardle, D.A. Spatial soil ecology. Trends Ecol. Evol. 2002, 17, 177–183. [Google Scholar] [CrossRef]
  22. McCallum, K.C.; Garsin, D.A. The Role of Reactive Oxygen Species in Modulating the Caenorhabditis elegans Immune Response. PLoS Pathog. 2016, 12, e1005923. [Google Scholar] [CrossRef]
  23. Pujol, N.; Zugasti, O.; Wong, D.; Couillault, C.; Kurz, C.L.; Schulenburg, H.; Ewbank, J.J. Anti-fungal innate immunity in C. elegans is enhanced by evolutionary diversification of antimicrobial peptides. PLoS Pathog. 2008, 4, e1000105. [Google Scholar] [CrossRef]
  24. Ma, Y.C.; Dai, L.L.; Qiu, B.B.; Zhou, Y.; Zhao, Y.Q.; Ran, Y.; Zhang, K.Q.; Zou, C.G. TOR functions as a molecular switch connecting an iron cue with host innate defense against bacterial infection. PLoS Genet. 2021, 17, e1009383. [Google Scholar] [CrossRef]
  25. Zou, C.G.; Ma, Y.C.; Dai, L.L.; Zhang, K.Q. Autophagy protects C. elegans against necrosis during Pseudomonas aeruginosa infection. Proc. Natl. Acad. Sci. USA 2014, 111, 12480–12485. [Google Scholar] [CrossRef]
  26. Powell, J.R.; Kim, D.H.; Ausubel, F.M. The G protein-coupled receptor FSHR-1 is required for the Caenorhabditis elegans innate immune response. Proc. Natl. Acad. Sci. USA 2009, 106, 2782–2787. [Google Scholar] [CrossRef]
  27. Kim, S.; Sieburth, D. FSHR-1/GPCR Regulates the Mitochondrial Unfolded Protein Response in Caenorhabditis elegans. Genetics 2020, 214, 409–418. [Google Scholar] [CrossRef]
  28. Peterson, N.D.; Icso, J.D.; Salisbury, J.E.; Rodríguez, T.; Thompson, P.R.; Pukkila-Worley, R. Pathogen infection and cholesterol deficiency activate the C. elegans p38 immune pathway through a TIR-1/SARM1 phase transition. eLife 2022, 11, e74206. [Google Scholar] [CrossRef]
  29. Shpilka, T.; Du, Y.; Yang, Q.; Melber, A.; Uma Naresh, N.; Lavelle, J.; Kim, S.; Liu, P.; Weidberg, H.; Li, R.; et al. UPRmt scales mitochondrial network expansion with protein synthesis via mitochondrial import in Caenorhabditis elegans. Nat. Commun. 2021, 12, 479. [Google Scholar] [CrossRef]
  30. Yang, L.; Li, X.; Ma, Y.; Zhang, K.; Yang, J. The Arf-GAP Proteins AoGcs1 and AoGts1 Regulate Mycelial Development, Endocytosis, and Pathogenicity in Arthrobotrys oligospora. J. Fungi 2022, 8, 463. [Google Scholar] [CrossRef]
  31. Zhou, D.; Xie, M.; Bai, N.; Yang, L.; Zhang, K.Q.; Yang, J. The Autophagy-Related Gene Aolatg4 Regulates Hyphal Growth, Sporulation, Autophagosome Formation, and Pathogenicity in Arthrobotrys oligospora. Front. Microbiol. 2020, 11, 592524. [Google Scholar] [CrossRef]
  32. Zhou, D.; Zhu, Y.; Bai, N.; Xie, M.; Zhang, K.Q.; Yang, J. Aolatg1 and Aolatg13 Regulate Autophagy and Play Different Roles in Conidiation, Trap Formation, and Pathogenicity in the Nematode-Trapping Fungus Arthrobotrys oligospora. Front. Cell. Infect. Microbiol. 2021, 11, 824407. [Google Scholar] [CrossRef]
  33. Ching, T.T.; Hsu, A.L. Solid plate-based dietary restriction in Caenorhabditis elegans. J. Vis. Exp. JoVE 2011, 28, e2701. [Google Scholar] [CrossRef]
  34. Petratou, D.; Fragkiadaki, P.; Lionaki, E.; Tavernarakis, N. Assessing locomotory rate in response to food for the identification of neuronal and muscular defects in C. elegans. STAR Protoc. 2024, 5, 102801. [Google Scholar] [CrossRef]
  35. Kamath, R.S.; Ahringer, J. Genome-wide RNAi screening in Caenorhabditis elegans. Methods 2003, 30, 313–321. [Google Scholar] [CrossRef]
  36. Hsueh, Y.P.; Mahanti, P.; Schroeder, F.C.; Sternberg, P.W. Nematode-trapping fungi eavesdrop on nematode pheromones. Curr. Biol. CB 2013, 23, 83–86. [Google Scholar] [CrossRef]
  37. Park, J.Y.; Joo, H.J.; Park, S.; Paik, Y.K. Ascaroside Pheromones: Chemical Biology and Pleiotropic Neuronal Functions. Int. J. Mol. Sci. 2019, 20, 3898. [Google Scholar] [CrossRef]
  38. Ziegler, K.; Kurz, C.L.; Cypowyj, S.; Couillault, C.; Pophillat, M.; Pujol, N.; Ewbank, J.J. Antifungal innate immunity in C. elegans: PKCdelta links G protein signaling and a conserved p38 MAPK cascade. Cell Host Microbe 2009, 5, 341–352. [Google Scholar] [CrossRef]
  39. Zugasti, O.; Thakur, N.; Belougne, J.; Squiban, B.; Kurz, C.L.; Soulé, J.; Omi, S.; Tichit, L.; Pujol, N.; Ewbank, J.J. A quantitative genome-wide RNAi screen in C. elegans for antifungal innate immunity genes. BMC Biol. 2016, 14, 35. [Google Scholar] [CrossRef]
  40. Sen, I.; Zhou, X.; Chernobrovkin, A.; Puerta-Cavanzo, N.; Kanno, T.; Salignon, J.; Stoehr, A.; Lin, X.X.; Baskaner, B.; Brandenburg, S.; et al. DAF-16/FOXO requires Protein Phosphatase 4 to initiate transcription of stress resistance and longevity promoting genes. Nat. Commun. 2020, 11, 138. [Google Scholar] [CrossRef]
  41. Soo, S.K.; Van Raamsdonk, J.M. High confidence ATFS-1 target genes for quantifying activation of the mitochondrial unfolded protein response. Micropublication Biol. 2021, 2021. [Google Scholar] [CrossRef]
  42. Soltanmohammadi, N.; Wang, S.; Schumacher, B. Somatic PMK-1/p38 signaling links environmental stress to germ cell apoptosis and heritable euploidy. Nat. Commun. 2022, 13, 701, Erratum in Nat. Commun. 2023, 14, 270. [Google Scholar] [CrossRef]
  43. Jeong, D.E.; Lee, Y.; Ham, S.; Lee, D.; Kwon, S.; Park, H.H.; Hwang, S.Y.; Yoo, J.Y.; Roh, T.Y.; Lee, S.V. Inhibition of the oligosaccharyl transferase in Caenorhabditis elegans that compromises ER proteostasis suppresses p38-dependent protection against pathogenic bacteria. PLoS Genet. 2020, 16, e1008617. [Google Scholar] [CrossRef]
  44. Greene, J.S.; Brown, M.; Dobosiewicz, M.; Ishida, I.G.; Macosko, E.Z.; Zhang, X.; Butcher, R.A.; Cline, D.J.; McGrath, P.T.; Bargmann, C.I. Balancing selection shapes density-dependent foraging behaviour. Nature 2016, 539, 254–258. [Google Scholar] [CrossRef]
  45. Panda, O.; Akagi, A.E.; Artyukhin, A.B.; Judkins, J.C.; Le, H.H.; Mahanti, P.; Cohen, S.M.; Sternberg, P.W.; Schroeder, F.C. Biosynthesis of Modular Ascarosides in C. elegans. Angew. Chem. Int. Ed. Engl. 2017, 56, 4729–4733. [Google Scholar] [CrossRef]
  46. Singh, U.B.; Sahu, A.; Sahu, N.; Singh, R.K.; Renu, S.; Singh, D.P.; Manna, M.C.; Sarma, B.K.; Singh, H.B.; Singh, K.P. Arthrobotrys oligospora-mediated biological control of diseases of tomato (Lycopersicon esculentum Mill.) caused by Meloidogyne incognita and Rhizoctonia solani. J. Appl. Microbiol. 2013, 114, 196–208. [Google Scholar] [CrossRef]
  47. Al-Ani, L.K.T.; Soares, F.E.F.; Sharma, A.; de Los Santos-Villalobos, S.; Valdivia-Padilla, A.V.; Aguilar-Marcelino, L. Strategy of Nematophagous Fungi in Determining the Activity of Plant Parasitic Nematodes and Their Prospective Role in Sustainable Agriculture. Front. Fungal Biol. 2022, 3, 863198. [Google Scholar] [CrossRef]
  48. Shivers, R.P.; Pagano, D.J.; Kooistra, T.; Richardson, C.E.; Reddy, K.C.; Whitney, J.K.; Kamanzi, O.; Matsumoto, K.; Hisamoto, N.; Kim, D.H. Phosphorylation of the Conserved Transcription Factor ATF-7 by PMK-1 p38 MAPK Regulates Innate Immunity in Caenorhabditis elegans. PLoS Genet. 2010, 6, e1000892. [Google Scholar] [CrossRef]
  49. Pellegrino, M.W.; Nargund, A.M.; Kirienko, N.V.; Gillis, R.; Fiorese, C.J.; Haynes, C.M. Mitochondrial UPR-regulated innate immunity provides resistance to pathogen infection. Nature 2014, 516, 414–417. [Google Scholar] [CrossRef]
  50. Chen, H.D.; Kao, C.Y.; Liu, B.Y.; Huang, S.W.; Kuo, C.J.; Ruan, J.W.; Lin, Y.H.; Huang, C.R.; Chen, Y.H.; Wang, H.D.; et al. HLH-30/TFEB-mediated autophagy functions in a cell-autonomous manner for epithelium intrinsic cellular defense against bacterial pore-forming toxin in C. elegans. Autophagy 2017, 13, 371–385. [Google Scholar] [CrossRef]
  51. Papp, D.; Csermely, P.; Sőti, C. A Role for SKN-1/Nrf in Pathogen Resistance and Immunosenescence in Caenorhabditis elegans. PLoS Pathog. 2012, 8, e1002673. [Google Scholar] [CrossRef]
  52. Zou, C.-G.; Tu, Q.; Niu, J.; Ji, X.-L.; Zhang, K.-Q. The DAF-16/FOXO Transcription Factor Functions as a Regulator of Epidermal Innate Immunity. PLoS Pathog. 2013, 9, e1003660. [Google Scholar] [CrossRef] [PubMed]
  53. Zugasti, O.; Ewbank, J.J. Neuroimmune regulation of antimicrobial peptide expression by a noncanonical TGF-beta signaling pathway in Caenorhabditis elegans epidermis. Nat. Immunol. 2009, 10, 249–256. [Google Scholar] [CrossRef] [PubMed]
Figure 1. Nematode starvation reduced the predatory capacity of A. oligospora: (a) Representative images of C. elegans at 24 h–48 h on A. oligospora plates. Scale bar: 100 μm. (b,c) Quantification of adhesive trap density (traps/cm2) (e) and captured fraction (%) (f). These results (b,c) are from three independent experiments. (d) Schematic of the starvation (STR) treatment paradigm compared to the fed control (CTL) under the same density of worms, n = 50. Synchronized young adult C. elegans were maintained for 24 h on OP50-seeded NGM or on unseeded NGM, then transferred at equal density to A. oligospora predation plates. (e) Representative images showing fewer adhesive traps surrounding starved worms than controls. Scale bars, 100 μm. (f,g) Quantification under CTL versus STR, trap density (f), and captured fraction (g). These results are means ± SD of three independent experiments. ** p < 0.01, *** p < 0.001. p-values (f,g) were calculated using Student’s t-test.
Figure 1. Nematode starvation reduced the predatory capacity of A. oligospora: (a) Representative images of C. elegans at 24 h–48 h on A. oligospora plates. Scale bar: 100 μm. (b,c) Quantification of adhesive trap density (traps/cm2) (e) and captured fraction (%) (f). These results (b,c) are from three independent experiments. (d) Schematic of the starvation (STR) treatment paradigm compared to the fed control (CTL) under the same density of worms, n = 50. Synchronized young adult C. elegans were maintained for 24 h on OP50-seeded NGM or on unseeded NGM, then transferred at equal density to A. oligospora predation plates. (e) Representative images showing fewer adhesive traps surrounding starved worms than controls. Scale bars, 100 μm. (f,g) Quantification under CTL versus STR, trap density (f), and captured fraction (g). These results are means ± SD of three independent experiments. ** p < 0.01, *** p < 0.001. p-values (f,g) were calculated using Student’s t-test.
Microorganisms 13 02816 g001
Figure 2. Starvation reduces trap-inducing ascarosides in C. elegans: (a) Overlaid LC–MS extracted-ion chromatograms (EICs) of conditioned media from feeding controls (CTL, black) and starved worms (STR, red). Arrows mark ascr#5, ascr#9, ascr#7, ascr#1, and ascr#3. (b) Quantification of abundance for individual ascarosides. STR significantly decreased ascr#1, ascr#3, ascr#5, and ascr#9 relative to CTL. These results are means ± SD of three independent experiments. ns, no significance, *** p < 0.001. p-values were calculated using two-way ANOVA with Šidák’s correction for multiple comparisons.
Figure 2. Starvation reduces trap-inducing ascarosides in C. elegans: (a) Overlaid LC–MS extracted-ion chromatograms (EICs) of conditioned media from feeding controls (CTL, black) and starved worms (STR, red). Arrows mark ascr#5, ascr#9, ascr#7, ascr#1, and ascr#3. (b) Quantification of abundance for individual ascarosides. STR significantly decreased ascr#1, ascr#3, ascr#5, and ascr#9 relative to CTL. These results are means ± SD of three independent experiments. ns, no significance, *** p < 0.001. p-values were calculated using two-way ANOVA with Šidák’s correction for multiple comparisons.
Microorganisms 13 02816 g002
Figure 3. Nutritional stress represses the mRNA Level of the acox-1 isoforms: (a) Schematic of ascaroside side-chain editing/shortening via peroxisomal β-oxidation (first step). ACOX denotes acyl-CoA oxidase in the β-oxidation cycle. (b) The mRNA level of acox isoform genes. STR reduced acox-1.1, acox-1.2, acox-1.3, and acox-1.4 mRNA, whereas acox-3 was unchanged. These results are means ± SD of three independent experiments. ns, no significance, *** p < 0.001. p-values were calculated using two-way ANOVA with Šidák’s correction for multiple comparisons. (c) Representative fluorescence images of the transcriptional reporter acox-1.2p::GFP in CTL and STR animals. Scale bar, 100 µm. (d) Quantified reporter intensity shows decreased acox-1.2 promoter activity under STR. These results are means ± SD of three independent experiments (n = 30 per group). ** p < 0.01. p-values were calculated using Student’s t-test.
Figure 3. Nutritional stress represses the mRNA Level of the acox-1 isoforms: (a) Schematic of ascaroside side-chain editing/shortening via peroxisomal β-oxidation (first step). ACOX denotes acyl-CoA oxidase in the β-oxidation cycle. (b) The mRNA level of acox isoform genes. STR reduced acox-1.1, acox-1.2, acox-1.3, and acox-1.4 mRNA, whereas acox-3 was unchanged. These results are means ± SD of three independent experiments. ns, no significance, *** p < 0.001. p-values were calculated using two-way ANOVA with Šidák’s correction for multiple comparisons. (c) Representative fluorescence images of the transcriptional reporter acox-1.2p::GFP in CTL and STR animals. Scale bar, 100 µm. (d) Quantified reporter intensity shows decreased acox-1.2 promoter activity under STR. These results are means ± SD of three independent experiments (n = 30 per group). ** p < 0.01. p-values were calculated using Student’s t-test.
Microorganisms 13 02816 g003
Figure 4. ACOX-1 regulated the trapping and capture behavior of A. oligospora under feeding conditions: (a) Trap density on A. oligospora plates for EV and isoform genes RNAi (acox-1.1, acox-1.2, acox-1.3, acox-1.4). (b) Quantification of captured fraction (%). These results are means ± SD of three independent experiments. ns, no significance, ** p < 0.01, *** p < 0.001. p-values (a,b) were calculated using one-way ANOVA with Dunnett’s multiple-comparison correction test.
Figure 4. ACOX-1 regulated the trapping and capture behavior of A. oligospora under feeding conditions: (a) Trap density on A. oligospora plates for EV and isoform genes RNAi (acox-1.1, acox-1.2, acox-1.3, acox-1.4). (b) Quantification of captured fraction (%). These results are means ± SD of three independent experiments. ns, no significance, ** p < 0.01, *** p < 0.001. p-values (a,b) were calculated using one-way ANOVA with Dunnett’s multiple-comparison correction test.
Microorganisms 13 02816 g004
Figure 5. The worms depend on PMK-1, ATFS-1, and FSHR-1 for survival during A. oligospora Predation: (ai) Kaplan–Meier survival fractions of C. elegans exposed to A. oligospora. During A. oligospora predation, survival required pmk-1 (a), atfs-1 (d), and fshr-1 (g), whereas daf-16, dbl-1 (RNAi), xbp-1 (RNAi), skn-1 (RNAi), hlh-30, and egl-30 (RNAi) were dispensable (b,c,e,f,h,i). Kaplan–Meier curves with WT or EV controls as indicated. Shown is a representative experiment of three independent repeats (n = 100 per group). ns, no significance, *** p < 0.001. p-values (ai) were calculated by two-sided log-rank (Mantel–Cox) tests.
Figure 5. The worms depend on PMK-1, ATFS-1, and FSHR-1 for survival during A. oligospora Predation: (ai) Kaplan–Meier survival fractions of C. elegans exposed to A. oligospora. During A. oligospora predation, survival required pmk-1 (a), atfs-1 (d), and fshr-1 (g), whereas daf-16, dbl-1 (RNAi), xbp-1 (RNAi), skn-1 (RNAi), hlh-30, and egl-30 (RNAi) were dispensable (b,c,e,f,h,i). Kaplan–Meier curves with WT or EV controls as indicated. Shown is a representative experiment of three independent repeats (n = 100 per group). ns, no significance, *** p < 0.001. p-values (ai) were calculated by two-sided log-rank (Mantel–Cox) tests.
Microorganisms 13 02816 g005
Figure 6. The expression of UPRmt marker increased upon exposure to A. oligospora: (a) hsp-6p::GFP fluorescence in C. elegans exposed to A. oligospora (+) versus unexposed (−). Scale bar: 100 μm. (b) Quantification of reporter fluorescence intensity increased upon exposure. These results are means ± SD of three independent experiments. *** p < 0.001. (c) Representative images of T24B8.5p::GFP. Scale bar: 200 μm. (d) Quantification of fluorescence intensity. These results are means ± SD of three independent experiments (n = 30 per group). ns, no significance. p-values (b,d) were calculated using Student’s t-test.
Figure 6. The expression of UPRmt marker increased upon exposure to A. oligospora: (a) hsp-6p::GFP fluorescence in C. elegans exposed to A. oligospora (+) versus unexposed (−). Scale bar: 100 μm. (b) Quantification of reporter fluorescence intensity increased upon exposure. These results are means ± SD of three independent experiments. *** p < 0.001. (c) Representative images of T24B8.5p::GFP. Scale bar: 200 μm. (d) Quantification of fluorescence intensity. These results are means ± SD of three independent experiments (n = 30 per group). ns, no significance. p-values (b,d) were calculated using Student’s t-test.
Microorganisms 13 02816 g006
Disclaimer/Publisher’s Note: The statements, opinions and data contained in all publications are solely those of the individual author(s) and contributor(s) and not of MDPI and/or the editor(s). MDPI and/or the editor(s) disclaim responsibility for any injury to people or property resulting from any ideas, methods, instructions or products referred to in the content.

Share and Cite

MDPI and ACS Style

Duan, J.-H.; He, Z.-K.; Gong, X.-Q.; Zhao, Q.; Tang, X.-Y.; Zou, C.-G.; Ma, Y.-C. Nutrient State-Dependent Ascarosides and Nematode Immune Response Limit the Predation of Arthrobotrys oligospora. Microorganisms 2025, 13, 2816. https://doi.org/10.3390/microorganisms13122816

AMA Style

Duan J-H, He Z-K, Gong X-Q, Zhao Q, Tang X-Y, Zou C-G, Ma Y-C. Nutrient State-Dependent Ascarosides and Nematode Immune Response Limit the Predation of Arthrobotrys oligospora. Microorganisms. 2025; 13(12):2816. https://doi.org/10.3390/microorganisms13122816

Chicago/Turabian Style

Duan, Jia-Hong, Zhong-Kan He, Xin-Qian Gong, Qiu Zhao, Xin-Yue Tang, Cheng-Gang Zou, and Yi-Cheng Ma. 2025. "Nutrient State-Dependent Ascarosides and Nematode Immune Response Limit the Predation of Arthrobotrys oligospora" Microorganisms 13, no. 12: 2816. https://doi.org/10.3390/microorganisms13122816

APA Style

Duan, J.-H., He, Z.-K., Gong, X.-Q., Zhao, Q., Tang, X.-Y., Zou, C.-G., & Ma, Y.-C. (2025). Nutrient State-Dependent Ascarosides and Nematode Immune Response Limit the Predation of Arthrobotrys oligospora. Microorganisms, 13(12), 2816. https://doi.org/10.3390/microorganisms13122816

Note that from the first issue of 2016, this journal uses article numbers instead of page numbers. See further details here.

Article Metrics

Back to TopTop