Next Article in Journal
Advancing Bacillus licheniformis as a Superior Expression Platform through Promoter Engineering
Previous Article in Journal
Agro Active Potential of Bacillus subtilis PE7 against Didymella bryoniae (Auersw.), the Causal Agent of Gummy Stem Blight of Cucumis melo
 
 
Font Type:
Arial Georgia Verdana
Font Size:
Aa Aa Aa
Line Spacing:
Column Width:
Background:
Case Report

Paraclostridium tenue Causing an Anaerobic Brain Abscess Identified by Whole-Metagenome Sequencing: A Case Report

1
Department of Neurology, National Cerebral and Cardiovascular Center, Suita, Osaka 564-8565, Japan
2
Department of Preemptive Medicine for Dementia, National Cerebral and Cardiovascular Center, Suita, Osaka 564-8565, Japan
3
Department of Infection Metagenomics, Research Institute for Microbial Diseases, Osaka University, Suita, Osaka 565-0871, Japan
*
Author to whom correspondence should be addressed.
Microorganisms 2024, 12(8), 1692; https://doi.org/10.3390/microorganisms12081692
Submission received: 22 July 2024 / Revised: 10 August 2024 / Accepted: 14 August 2024 / Published: 16 August 2024
(This article belongs to the Section Medical Microbiology)

Abstract

When treating anaerobic brain abscesses, healthcare professionals often face the difficulty of identifying the causal pathogens, necessitating empiric therapies with uncertain efficacy. We present the case of a 57-year-old woman who was admitted to our hospital with a fever and headache. Brain magnetic resonance imaging revealed a hemorrhagic lesion with wall enhancement at the left hemisphere on contrast-enhanced T1-weighted imaging. Cerebrospinal fluid examination showed pleocytosis (23 cells/μL), an elevated protein level (125 mg/dL), and decreased glucose level (51 mg/dL; blood glucose was 128 mg/dL). Intracerebral hemorrhage accompanied by a brain abscess was clinically suspected. The patient received empirical treatment with intravenous meropenem and vancomycin for 2 weeks. However, conventional bacterial culture tests failed to identify the pathogen. We then performed shotgun sequencing and ribosomal multilocus sequence typing, which identified Paraclostridium tenue. Based on this finding, we de-escalated to benzylpenicillin potassium for 4 weeks, leading to a 2.5-year remission of the anaerobic brain abscess. Therefore, Paraclostridium can be a causative pathogen for brain abscesses. Furthermore, whole-metagenome sequencing is a promising method for detecting rare pathogens that are not identifiable by conventional bacterial culture tests. This approach enables more targeted treatment and contributes to achieving long-term remission in clinical settings.

1. Introduction

A brain abscess is a serious medical condition requiring immediate attention due to high mortality and unfavorable neurological outcomes. It can be treated using antimicrobial therapy and surgical drainage. Over the past five decades, the prognosis for brain abscesses has improved due to technical advancements, such as the modality of cranial imaging, neurosurgical techniques, and improved antimicrobial regimens. A systematic review showed that the fatality rate has decreased from 40% to 10%, and the rate of full recovery has increased from 33% to 70% [1]. However, a nationwide study in Denmark from 2010 to 2016 still showed a mortality rate of 20% [2], and insufficient treatment may induce epilepsy, with 32% of patients experiencing a new development of epilepsy as the most common neurologic sequela [3,4]. Therefore, it is crucial to accurately identify the pathogen causing brain abscesses and administer appropriate antibiotics targeting etiological bacteria.
Furthermore, diagnosing anaerobic abscesses is particularly challenging due to the complexities involved in isolating anaerobic bacteria. Invasive brain biopsies may occasionally be performed to confirm the diagnosis and identify the causal pathogen. In our case, pathogenetic microorganisms could not be identified by conventional bacterial culture tests initially. However, whole-metagenome sequencing finally identified Paraclostridium tenue in cerebrospinal fluid (CSF) collected by lumbar puncture, and the long-term remission of the anaerobic brain abscess was achieved through the appropriate antibiotic therapy. This approach helps to ameliorate infection, prevent recurrence, and ultimately achieve sustained remission. Therefore, whole-metagenome sequencing is valuable for identifying pathogens and achieving long-term remission and should be more commonly employed in daily clinical settings.

2. Materials and Methods

We used a test-tube growth medium for anaerobic bacteria and a test-tube growth medium supplemented with hemin and vitamin K1. The enriched bacteria were then transferred to an agar medium suitable for anaerobic culture, which was also supplemented with hemin and vitamin K1, and incubated at 35 °C to obtain pure cultures.
To identify the causative microorganism, we performed the 16S rRNA gene and whole-metagenome sequencing of the pure cultured bacteria from the cultured strains of CSF. First, we used MEGA (https://www.megasoftware.net/ (accessed on 15 August 2024)) for the phylogenetic analysis of the full-length 16S rRNA gene sequence. Subsequently, whole-metagenome analysis was performed using DNA extracted from cultured bacterial isolates. The genome sequence was assembled into 28 contigs by shotgun sequencing using MiSeq® (Illumina, San Diego, CA, USA) and de novo assembly by Unicycler (ver. 0.4.4). Ribosomal multilocus sequence typing (rMLST, https://pubmlst.org/species-id (accessed on 15 August 2024)) was used as well [5]. Finally, the genomic information was compared to the other two strains with previously reported whole metagenomes. Additionally, we used whole-metagenome information for average nucleotide identity (ANI) analysis (https://github.com/ParBLiSS/FastANI (accessed on 15 August 2024)) [6].

3. Case Description

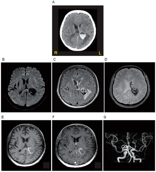
A 57-year-old woman presented at our hospital with a complaint of fever and headache lasting for several days. She had a history of embolic stroke of an undetermined source and took warfarin (4.25 mg/day). Her body temperature was 37.7 °C. The neurological examinations revealed alert consciousness and mild hearing loss in the left ear, with no other neurological abnormalities such as meningeal irritation signs and motor palsy. Blood tests showed an elevated white blood cell count of 5, 180/μL, CRP 0.04 mg/dL and PT-INR 2.89. The head non-contrast computed tomography (CT) showed a circular hemorrhagic lesion with an air-fluid level inside at the left hemisphere, attaching to the left ventricle (Figure 1A). Brain magnetic resonance imaging (MRI) showed a hypointense round lesion on diffusion-weighted imaging (Figure 1B), a cystic lesion with heterogeneous hypo- and hyper-intensities on fluid-attenuated inversion recovery imaging (Figure 1C) and T2*-weighted imaging (Figure 1D), a lesion wall with hyperintensity on T1-weighted imaging (Figure 1E), and the enhancement of the wall on contrast enhancement T1-weighted imaging (Figure 1F). MR angiography (Figure 1G), as well as conventional cerebral angiography, showed no abnormal vessels or aneurysms. A CSF examination showed that the cell count was mildly elevated (23/μL; polynuclear cells 5/μL: mononuclear cells 18/μL), and the protein level was also elevated (125 mg/dL), but the glucose level was decreased (51 mg/dL; blood glucose of 128 mg/dL examined at the same time). According to the findings indicated above, a brain abscess accompanied by intracerebral hemorrhage was clinically suspected.
CSF was further anaerobically cultured prior to treatment, which indicated the existence of Clostridium spp. with suspicion; thereby, the detailed pathogenetic microorganism was not identified by a conventional bacterial culture test. No sinusitis or inflammatory diseases of the inner or middle ear were present in the head CT. A thoracoabdominal contrast-enhanced CT showed no obvious inflammatory lesions. Transthoracic echocardiography showed no vegetation on valves. A dental examination revealed no caries. The patient was diagnosed with a brain abscess accompanied by an intracerebral hemorrhage and started to be empirically treated with intravenous meropenem 6 g/day and vancomycin 3 g/day for 2 weeks.
To identify the causative microorganism, we performed 16S rRNA gene and whole-metagenome sequencing of the pure cultured bacteria from the cultured strains of CSF. First, phylogenetic analysis of the full-length 16S rRNA gene sequence analysis revealed that the bacteria were close to strains of P. tenue, Paeniclostridium ghonii, and Paeniclostridium sordellii (Figure 2). Subsequently, we performed whole-metagenome analysis using DNA extracted from cultured bacterial isolates. The genome sequence was assembled into 28 contigs by shotgun sequencing using MiSeq® and de novo assembly by unicycler. Ribosomal multilocus sequence typing showed that P. tenue was identified. Finally, we scrutinized its genomic information to determine whether whole genomes of the identified P. tenue were equivalent to other strains of P. tenue for which whole metagenomes have been previously reported [7]. A similar genome size, number of genes, and GC% among the two strains of P. tenue were observed (Table 1). Furthermore, we used whole-metagenome information to perform an ANI analysis of the strains of P. tenue, P. sordellii and P. ghonii. As a result, we confirmed that the bacterium responsible for the brain abscess was P. tenue, not P. sordellii, and P. ghonii (Table 2). Therefore, we determined that biopsy and surgery were not feasible or necessary for the patient as their symptoms were limited to fever, headache, and mild hearing loss without consciousness disturbances or motor palsy. Additionally, P. tenue was identified as the causal pathogen through shotgun sequencing. Finally, we de-escalated from broad-spectrum antibiotics to narrow-spectrum antibiotics, benzylpenicillin potassium 24,000,000 U/day for 4 weeks. The brain abscess was found to be shrunken in two months and has not been exacerbated or undergone relapse over 2.5 years (Figure 3).

4. Discussion and Conclusions

P. tenue was identified as the causative microorganism, in this case, as a member of the genus Paraclostridium, which is a saccharolytic anaerobic Gram-positive rod. This bacterium is a member of the human gut microflora and can be isolated from human fecal samples [8]. There are few reports of P. tenue infections, including bacteremia, due to difficulties identifying it by a conventional bacterial culture test. Therefore, P. tenue is generally required to be identified by metagenomic analysis [9].
Patients who have intestinal comorbidities such as colon cancer are susceptible to bacteremia caused by Gram-positive rods, including Paraclostridium [10]. In the development of colorectal cancer, inflammation and oxidative stress in the colon epithelial cells are thought to be involved in colorectal carcinogenesis, leading to the breakdown of the integrity of the colonic barrier [11]. Furthermore, abundant Paraclostridium may inhibit expression of proteins constituting tight junction and adherent junction, and anti-inflammatory cytokines (interleukin-10), by contrast activate proinflammatory cytokines (interleukin-6, tumor necrosis factor-α and interferon-γ) in the colon may be increased [12]. Such mechanisms may have facilitated intestinal barrier disruption, allowing enteric commensal bacteria to encroach in the intestinal wall and microcirculation [11]. In this case, the intestinal barrier could have been disrupted, and P. tenue could have invaded the luminal wall and caused hematogenous bacterial translocation to the brain.
Generally, patients with brain abscesses may require stereotactic-guided needle aspiration or surgical drainage in addition to antibiotics for both diagnostic and therapeutic purposes. However, for this patient, these procedures were deemed too invasive given the mild nature of her symptoms, which included only fever, headache, and mild hearing loss without consciousness disturbances or motor palsy. Moreover, the identification of P. tenue as the causal pathogen by shotgun sequencing using CSF made these invasive procedures unnecessary, leading to a successful de-escalation from empirical therapy.
Similar to this case, only 24% of conventional CSF cultures identify the causative microorganism of brain abscesses [1]. Brain abscesses caused by anaerobic bacteria are especially difficult to diagnose because of the difficulty of isolation techniques. Thus, next-generation sequencing, such as metagenomic analysis, is useful for the elucidation of new pathogens. To date, whole-metagenomic analysis has identified causal pathogens in 17 cases of brain abscesses, while bacterial culture tests have identified pathogens in only six of these cases (Table 3, [13,14,15,16,17,18,19,20,21,22,23,24,25,26]). In our case, we were able to identify P. tenue as the causative microorganism via the 16S rRNA gene and whole-metagenome sequencing. In 16S rRNA analysis, the 16S rRNA gene of a bacterium is amplified by PCR, sequencing analysis is performed, and a homology comparison with known databases is performed to narrow down the genus and species names. Conversely, whole-metagenome analysis is a very useful method to obtain genetic composition because it reads all the fragmented gene sequences without selecting specific regions using PCR. In ANI analysis, the whole-metagenome sequence is logically cut into about 1000 bases, and the similarity to all the sequences of the partner is calculated. Within the same species, the ANI index is greater than 95% [27], as this case showed a similar percentage (Table 2).
An intracerebral hemorrhage accompanied by a brain abscess was clinically suspected in this case. Intracerebral hemorrhages are rarely involved in brain abscesses. The mechanism of a hemorrhage in the brain abscess is still unclear, but neoangiogenesis observed in brain abscesses was demonstrated by the increased expression of vascular endothelial growth factor and microvascular density [28]. The neoangiogenesis in the wall of the brain abscesses is susceptible to the rupture of newly formed fragile blood vessels [29]. In our case, contrast-enhanced T1-weighted imaging revealed an enhanced abscess wall, suggesting the presence of neovascularization in the wall. Furthermore, the patient was taking warfarin, which could contribute to the bleeding tendency.
The patient experienced mild hearing loss. CSF analysis revealed the presence of P. tenue. This finding indicates that P. tenue in the CSF was the etiological agent responsible for bacterial meningitis in this case. Meningitis caused by P. tenue can lead to sensorineural hearing loss, a common complication of bacterial meningitis, affecting up to 54% of survivors [30]. Several experimental studies have shown that lesions can include suppurative labyrinthitis with cochlear damage and infection that spreads from the subarachnoid space [31,32,33,34,35].
In conclusion, P. tenue was considered a causative microorganism of the anaerobic brain abscess in this case, as whole-metagenome sequencing demonstrated its presence. Whole-metagenome sequencing is a promising method for detecting rare pathogens that cannot be identified by conventional bacterial culture tests commonly used in clinical settings and research and for achieving the long-term remission of brain abscesses.

Author Contributions

Conceptualization: T.C. and Y.H.; Methodology, Y.H.; Formal analysis: D.M.; Investigation, T.C.; Writing—original draft preparation: T.C. and Y.H.; Writing—review and editing: Y.H., D.M., T.T., and M.I. Supervision, M.I.; Funding Acquisition, Y.H. All authors have read and agreed to the published version of the manuscript.

Funding

This report was supported by Towa Pharmaceuticals (Y.H.).

Data Availability Statement

The data that support the findings of this case report are available from the corresponding author upon reasonable request. The sequence data are available under the accession number (PRJDB18608) in BioProject.

Acknowledgments

We thank the patient for providing informed consent.

Conflicts of Interest

The authors declare no conflicts of interest. The funders had no role in the design of the study; in the collection, analyses, or interpretation of data; in the writing of the manuscript; or in the decision to publish the results.

References

  1. Brouwer, M.C.; Coutinho, J.M.; van de Beek, D. Clinical characteristics and outcome of brain abscess: Systematic review and meta-analysis. Neurology 2014, 82, 806–813. [Google Scholar] [CrossRef] [PubMed]
  2. Bodilsen, J.; Dalager-Pedersen, M.; van de Beek, D.; Brouwer, M.C.; Nielsen, H. Incidence and mortality of brain abscess in Denmark: A nationwide population-based study. Clin. Microbiol. Infect. 2020, 26, 95–100. [Google Scholar] [CrossRef]
  3. Seydoux, C.; Francioli, P. Bacterial brain abscesses: Factors influencing mortality and sequelae. Clin. Infect. Dis. 1992, 15, 394–401. [Google Scholar] [CrossRef]
  4. Bodilsen, J.; Dalager-Pedersen, M.; van de Beek, D.; Brouwer, M.C.; Nielsen, H. Long-term mortality and epilepsy in patients after brain abscess: A nationwide population-based matched cohort study. Clin. Infect. Dis. 2020, 71, 2825–2832. [Google Scholar] [CrossRef] [PubMed]
  5. Jolley, K.A.; Bliss, C.M.; Bennett, J.S.; Bratcher, H.B.; Brehony, C.; Colles, F.M.; Wimalarathna, H.; Harrison, O.B.; Sheppard, S.K.; Cody, A.J.; et al. Ribosomal multilocus sequence typing: Universal characterization of bacteria from domain to strain. Microbiology 2012, 158, 1005–1015. [Google Scholar] [CrossRef]
  6. Jain, C.; Rodriguez-R, L.M.; Phillippy, A.M.; Konstantinidis, K.T.; Aluru, S. High throughput ANI analysis of 90K prokaryotic genomes reveals clear species boundaries. Nat. Commun. 2018, 9, 5114. [Google Scholar] [CrossRef] [PubMed]
  7. Linhuan, W.; Juncai, M. The Global Catalogue of Microorganisms (GCM) 10K type strain sequencing project: Providing services to taxonomists for standard genome sequencing and annotation. Int. J. Syst. Evol. Microbiol. 2019, 69, 895–898. [Google Scholar]
  8. Cano, R.J.; Tiefenbrunner, F.; Ubaldi, M.; Del Cueto, C.; Luciani, S.; Cox, T.; Orkand, P.; Künzel, K.H.; Rollo, F. Sequence analysis of bacterial DNA in the colon and stomach of the Tyrolean iceman. Am. J. Phys. Anthropol. 2000, 112, 297–309. [Google Scholar] [CrossRef]
  9. Lau, S.K.P.; Woo, P.C.Y.; Fung, A.M.Y.; Chan, K.M.; Woo, G.K.S.; Yuen, K.Y. Anaerobic, non-sporulating, Gram-positive bacilli bacteraemia characterized by 16S rRNA gene sequencing. J. Med. Microbiol. 2004, 53, 1247–1253. [Google Scholar] [CrossRef]
  10. Lee, M.R.; Huang, Y.T.; Liao, C.H.; Chuang, T.Y.; Wang, W.J.; Lee, S.W.; Lee, L.N.; Hsueh, P.R. Clinical and microbiological characteristics of bacteremia caused by Eggerthella, Paraeggerthella, and Eubacterium species at a University Hospital in Taiwan from 2001 to 2010. J. Clin. Microbiol. 2012, 50, 2053–2055. [Google Scholar] [CrossRef]
  11. Genua, F.; Raghunathan, V.; Jenab, M.; Gallagher, W.M.; Hughes, D.J. The role of gut barrier dysfunction and microbiome dysbiosis in colorectal cancer development. Front. Oncol. 2021, 11, 626349. [Google Scholar] [CrossRef]
  12. Ma, X.; Xu, T.; Qian, M.; Zhang, Y.; Yang, Z.; Han, X. Faecal microbiota transplantation alleviates early-life antibiotic-induced gut microbiota dysbiosis and mucosa injuries in a neonatal piglet model. Microbiol. Res. 2021, 255, 126942. [Google Scholar] [CrossRef] [PubMed]
  13. Ma, Z.; Yan, S.; Dong, H.; Wang, H.; Luo, Y.; Wang, X. Case report: Metagenomics next-generation sequencing can help define the best therapeutic strategy for brain abscesses caused by oral pathogens. Front. Med. 2021, 8, 644130. [Google Scholar] [CrossRef]
  14. Zhou, C.; Wang, K.; Li, H.; Zhang, X. Idiopathic thrombocytopenic purpura with brain abscess caused by Nocardia farcinica diagnosed using metagenomics next-generation sequencing of the cerebrospinal fluid: A case report. BMC Infect. Dis. 2021, 21, 380. [Google Scholar] [CrossRef]
  15. Yang, J.; Xie, S.; Li, J.; Xia, H.; Liu, X. Brain abscess caused by Nocardia farcinica and diagnosed by metagenomic next-generation sequencing: A case report. Front. Med. 2022, 9, 803554. [Google Scholar] [CrossRef]
  16. Zhang, Y.; Zhu, Y.; Wan, H. Case report: Multiple abscesses caused by Porphyromonas gingivalis diagnosed by metagenomic next-generation sequencing. Front. Med. 2022, 9, 1089863. [Google Scholar]
  17. Li, X.; Zhuang, S.; He, L.; Wang, S.; Zhao, M.; Lyu, X. Brain abscess caused by Nocardia brevicatena in an immunocompetent patient: A case report. Infect. Drug Resist. 2022, 15, 7693–7697. [Google Scholar] [CrossRef]
  18. Gao, S.; Ma, X.; Kang, Y.; Zhang, Z.; Zhang, Y.; Zhou, W.; Shen, H. Brain abscess caused by Scedosporium boydii in a systemic lupus erythematosus patient: A case report and literature review. Indian. J. Med. Microbiol. 2022, 40, 611–615. [Google Scholar] [CrossRef] [PubMed]
  19. Yao, L.; Chen, S.; Yu, Z.; Yu, T. Multifocal brain abscesses caused by invasive Streptococcus intermedia: A case report. Front. Neurol. 2022, 13, 893627. [Google Scholar] [CrossRef] [PubMed]
  20. Chen, Y.Y.; Xue, X.H. Coinfection of Streptococcus suis and Nocardia asiatica in the human central nervous system: A case report. World J. Clin. Cases 2022, 10, 6283–6288. [Google Scholar] [CrossRef]
  21. Hu, H.L.; Guo, L.Y.; Wu, H.L.; Feng, W.Y.; Chen, T.M.; Liu, G. Evaluation of next-generation sequencing for the pathogenic diagnosis of children brain abscesses. J. Infect. 2019, 78, 323–337. [Google Scholar] [CrossRef] [PubMed]
  22. Huang, T.; Chen, Y.; Zhang, J.; He, R.; Qu, D.; Ye, Q.; Chen, X. Rapid and accurate diagnosis of brain abscess caused by Nocardia asiatica with a combination of Ziehl-Neelsen staining and metagenomics next-generation sequencing. Eur. J. Neurol. 2021, 28, 355–357. [Google Scholar] [CrossRef] [PubMed]
  23. Deng, S.; Zhu, H.; Li, Y.; Zhao, F.; Ocak, U.; Gong, Y. An unusual case report of brain abscess caused by Prevotella loescheii identified using the metagenomic next-generation sequencing. IDCases 2020, 20, e00758. [Google Scholar] [CrossRef] [PubMed]
  24. Lars, W.; Lamoureux, C.; Picard, J.; Rodriguez, C.; Beauruelle, C.; Quaesaet, L.; Héry-Arnaud, G.; Ansart, S.; Coste, A. Is metagenomics the future routine diagnosis tool for brain abscesses? About a case. Biologics 2023, 3, 335–341. [Google Scholar] [CrossRef]
  25. Lin, J.H.; Wu, Z.Y.; Gong, L.; Wong, C.H.; Chao, W.C.; Yen, C.M.; Wang, C.P.; Wei, C.L.; Huang, Y.T.; Liu, P.Y. Complex microbiome in brain abscess revealed by whole-genome culture-independent and culture-based sequencing. J. Clin. Med. 2019, 8, 351. [Google Scholar] [CrossRef] [PubMed]
  26. Greninger, A.L.; Langelier, C.; Cunningham, G.; Keh, C.; Melgar, M.; Chiu, C.Y.; Miller, S. Two rapidly growing mycobacterial species isolated from a brain abscess: First whole-genome sequences of Mycobacterium immunogenum and Mycobacterium llatzerense. J. Clin. Microbiol. 2015, 53, 2374–2377. [Google Scholar] [CrossRef] [PubMed]
  27. Goris, J.; Konstantinidis, K.T.; Klappenbach, J.A.; Coenye, T.; Vandamme, P.; Tiedje, J.M. DNA–DNA hybridization values and their relationship to whole-genome sequence similarities. Int. J. Syst. Evol. Microbiol. 2007, 57, 81–91. [Google Scholar] [CrossRef] [PubMed]
  28. Haris, M.; Gupta, R.K.; Husain, N.; Hasan, K.M.; Husain, M.; Narayana, P.A. Measurement of DTI metrics in hemorrhagic brain lesions: Possible implication in MRI interpretation. J. Magn. Reson. Imaging 2006, 24, 1259–1268. [Google Scholar] [CrossRef] [PubMed]
  29. Gupta, R.K.; Tomar, V.; Awasthi, R.; Yadav, A.; Husain, N.; Bharadwaj, V.; Ojha, B.K.; Behari, S.; Prasad, K.N.; Rathore, R.K.S. T2*-weighted MR angiography substantially increases the detection of hemorrhage in the wall of brain abscess: Implications in clinical interpretation. Neuroradiology 2012, 54, 565–572. [Google Scholar] [CrossRef]
  30. Jensen, E.S.; Cayé-Thomasen, P.; Bodilsen, J.; Nielsen, H.; Friis-Hansen, L.; Christensen, T.; Christiansen, M.; Kirchmann, M.; Brandt, C.T. Hearing loss in bacterial meningitis revisited-evolution and recovery. Open Forum Infect. Dis. 2023, 10, ofad056. [Google Scholar] [CrossRef]
  31. Kay, R. The site of the lesion causing hearing loss in bacterial meningitis: A study of experimental streptococcal meningitis in guinea-pigs. Neuropathol. Appl. Neurobiol. 1991, 17, 485–493. [Google Scholar] [CrossRef] [PubMed]
  32. Brandt, C.T.; Cayé-Thomasen, P.; Lund, S.P.; Worsøe, L.; Ostergaard, C.; Frimodt-Møller, N.; Espersen, F.; Thomsen, J.; Lundgren, J.D. Hearing loss and cochlear damage in experimental pneumococcal meningitis, with special reference to the role of neutrophil granulocytes. Neurobiol. Dis. 2006, 23, 300–311. [Google Scholar] [CrossRef] [PubMed]
  33. Cayé-Thomasen, P.; Worsøe, L.; Brandt, C.T.; Miyazaki, H.; Ostergaard, C.; Frimodt-Møller, N.; Thomsen, J. Routes, dynamics, and correlates of cochlear inflammation in terminal and recovering experimental meningitis. Laryngoscope 2009, 119, 1560–1570. [Google Scholar] [CrossRef] [PubMed]
  34. Møller, M.N.; Brandt, C.; Østergaard, C.; Caye-Thomasen, P. Bacterial invasion of the inner ear in association with pneumococcal meningitis. Otol. Neurotol. 2014, 35, e178–e186. [Google Scholar] [CrossRef]
  35. Møller, M.N.; Brandt, C.; Østergaard, C.; Caye-Thomasen, P. Endolymphatic sac involvement in bacterial meningitis. Eur. Arch. Otorhinolaryngol. 2015, 272, 843–851. [Google Scholar] [CrossRef]
Figure 1. Neuroradiological findings of the patient in the acute phase. The brain lesion is shown by brain computed tomography (A), diffusion-weighted magnetic resonance imaging (MRI) (B), fluid-attenuated inversion recovery MRI (C), T2*-weighted MRI (D), T1-weighted MRI (E), contrast-enhanced T1-weighted MRI (F), and MR angiography (G).
Figure 1. Neuroradiological findings of the patient in the acute phase. The brain lesion is shown by brain computed tomography (A), diffusion-weighted magnetic resonance imaging (MRI) (B), fluid-attenuated inversion recovery MRI (C), T2*-weighted MRI (D), T1-weighted MRI (E), contrast-enhanced T1-weighted MRI (F), and MR angiography (G).
Microorganisms 12 01692 g001
Figure 2. Phylogenetic tree constructed using 16S rRNA sequences. A phylogenetic tree was constructed using 16S rRNA sequences of closely related (red square frame) and distantly related species (Oscillibacter and Blautia).
Figure 2. Phylogenetic tree constructed using 16S rRNA sequences. A phylogenetic tree was constructed using 16S rRNA sequences of closely related (red square frame) and distantly related species (Oscillibacter and Blautia).
Microorganisms 12 01692 g002
Figure 3. Long-term follow-up of brain magnetic resonance imaging. Fluid-attenuated inversion recovery imaging examined at the disease onset and after 2 months, 1 year, and 2.5 years.
Figure 3. Long-term follow-up of brain magnetic resonance imaging. Fluid-attenuated inversion recovery imaging examined at the disease onset and after 2 months, 1 year, and 2.5 years.
Microorganisms 12 01692 g003
Table 1. Genome assembly statistics between Paraclostridium tenue strains.
Table 1. Genome assembly statistics between Paraclostridium tenue strains.
This StudyJCM 6486 [7]
Isolation sourcehuman CSFPost-abortion abscess
Number of contigs2864
N50 contig length [bp]263,515163,012
Max contig length [bp]864,437342,076
No. of bases, total [bp]2,995,4402,943,107
GC content [%]2726.9
Number of CDSs29632875
Abbreviations: CDS, coding sequence; CSF, cerebral spinal fluid; and GC, guanine–cytosine.
Table 2. Comparison of average nucleotide identity (ANI).
Table 2. Comparison of average nucleotide identity (ANI).
Paraclostridium tenue
JCM6486 (GCA_039521565.1)
Paraclostridium sordellii ATCC9714
(GCA_000953675.1)
Paraclostridium ghonii DSM15049
(GCA_030815085.1)
This case95.185.383.4
Paraclostridium tenue
JCM6486 (GCA_039521565.1)
NA85.183.4
Paraclostridium sordellii
ATCC9714
(GCA_000953675.1)
NANA82.6
Abbreviation: NA, not applicable.
Table 3. Reported cases of brain abscesses diagnosed by whole-metagenomic analysis.
Table 3. Reported cases of brain abscesses diagnosed by whole-metagenomic analysis.
ReferencesAge
(Years)
SpecimenAntibiotics Therapy Prior to SamplingCulture Results16S rRNA
Analysis Results
Whole-Metagenomic
Analysis
Whole-Metagenomic
Analysis Results
Our case57CSFNoNegativeP. tenue,
P. ghonii,
P. sordellii
SMgP. tenue
[13]75CSFNo: prior to
culture,
Yes: prior
to metagenomic analysis
NegativeNASMgPrevotella
denticola,
Fusobacterium
nucleatum
[14]50CSFNo: prior to
culture,
Yes: prior
to metagenomic analysis
NegativeNASMgNocardia
farcinica
[15]58CSFYesPositiveNASMgN. farcinica
[16]65CSFYesNegativeNASMgPorphyromonas
gingivalis
[17]49CSFYesPositiveNASMgN. brevicatena
[18]30CSFYesPositiveNASMgScedosporium
boydii
[19]67CSFYesNegativeNASMgStreptococcus
intermedia,
N. asiatica
[20]66CSFYesNegativeNASMgS. suis
[21]2 monthsPus from
brain abscess
YesBacteroides
fragilis
NASMgBacteroides
fragilis
[21]5Pus from
brain abscess
YesS. intermediusNASMgS. intermedius,
S. constellatus
[21]10Pus from
brain abscess
YesNegativeNASMgS. intermedius
[21]13Pus from
brain abscess
YesNegativeNASMgP. oris,
F. nucleatum,
S. intermedius
[22]61Pus from
brain abscess
YesNegativeNASMgN. asiatica
[23]27Pus from
brain abscess
YesNegativeNASMgP. loescheii
[24]70Pus from
brain abscess
YesNegativeNegativeSMgS. anginosus,
F. nucleatum
[25]60Pus from
brain abscess
NANAStreptococcus sp., Prevotella sp.SMgS. constellatus,
Prevotella sp.
[26]40Pus from
brain abscess
NoS. anginosus group,
Peptostreptococcus.
Mycobacterium llatzerense,
M. immunogenum
SMgMycobacterium chubuense,
M. abscessus subsp. bolletii
Abbreviations: CSF, cerebrospinal fluid; NA, not available; and SMg, shotgun metagenomics.
Disclaimer/Publisher’s Note: The statements, opinions and data contained in all publications are solely those of the individual author(s) and contributor(s) and not of MDPI and/or the editor(s). MDPI and/or the editor(s) disclaim responsibility for any injury to people or property resulting from any ideas, methods, instructions or products referred to in the content.

Share and Cite

MDPI and ACS Style

Chiba, T.; Hattori, Y.; Motooka, D.; Tanaka, T.; Ihara, M. Paraclostridium tenue Causing an Anaerobic Brain Abscess Identified by Whole-Metagenome Sequencing: A Case Report. Microorganisms 2024, 12, 1692. https://doi.org/10.3390/microorganisms12081692

AMA Style

Chiba T, Hattori Y, Motooka D, Tanaka T, Ihara M. Paraclostridium tenue Causing an Anaerobic Brain Abscess Identified by Whole-Metagenome Sequencing: A Case Report. Microorganisms. 2024; 12(8):1692. https://doi.org/10.3390/microorganisms12081692

Chicago/Turabian Style

Chiba, Tetsuya, Yorito Hattori, Daisuke Motooka, Tomotaka Tanaka, and Masafumi Ihara. 2024. "Paraclostridium tenue Causing an Anaerobic Brain Abscess Identified by Whole-Metagenome Sequencing: A Case Report" Microorganisms 12, no. 8: 1692. https://doi.org/10.3390/microorganisms12081692

APA Style

Chiba, T., Hattori, Y., Motooka, D., Tanaka, T., & Ihara, M. (2024). Paraclostridium tenue Causing an Anaerobic Brain Abscess Identified by Whole-Metagenome Sequencing: A Case Report. Microorganisms, 12(8), 1692. https://doi.org/10.3390/microorganisms12081692

Note that from the first issue of 2016, this journal uses article numbers instead of page numbers. See further details here.

Article Metrics

Back to TopTop