Host Gut-Derived Probiotic, Exiguobacterium acetylicum G1-33, Improves Growth, Immunity, and Resistance to Vibrio harveyi in Hybrid Grouper (Epinephelus fuscoguttatus ♀ × Epinephelus lanceolatus ♂)
Abstract
1. Introduction
2. Materials and Methods
2.1. Ethics Statement
2.2. Evaluation of Probiotic Application Potential
2.3. Diet Preparation and Feeding Program
2.4. Growth Performance and Survival Rate
2.5. Sample Collection
2.6. Gene Expression Detection
2.7. Biochemical Assays
2.8. Histological Examinations
2.9. Challenge Test
2.10. Data Analysis
3. Results
3.1. Application Potential of E. acetylicum G1-33
3.2. Growth Performance
3.3. Expression of Immune-Related Genes after the Feeding Program
3.4. Biochemical Analysis
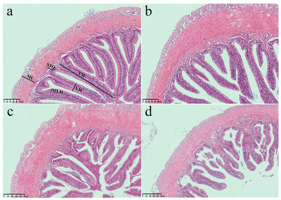
3.5. Histology
3.6. Hybrid Group SR after V. harveyi Challenge
3.7. Expression of Immune-Related Genes after V. harveyi Challenge
4. Discussion
5. Conclusions
Supplementary Materials
Author Contributions
Funding
Data Availability Statement
Conflicts of Interest
References
- Subasinghe, R.; Soto, D.; Jia, J. Global Aquaculture and Its Role in Sustainable Development. Rev. Aquac. 2009, 1, 2–9. [Google Scholar] [CrossRef]
- Klinger, D.; Naylor, R. Searching for Solutions in Aquaculture: Charting a Sustainable Course. Annu. Rev. Environ. Resour. 2012, 37, 247–276. [Google Scholar] [CrossRef]
- Abdel-Latif, H.M.R.; Chaklader, M.R.; Shukry, M.; Ahmed, H.A.; Khallaf, M.A. A Multispecies Probiotic Modulates Growth, Digestive Enzymes, Immunity, Hepatic Antioxidant Activity, and Disease Resistance of Pangasianodon hypophthalmus Fingerlings. Aquaculture 2023, 563, 738948. [Google Scholar] [CrossRef]
- Mukherjee, A.; Chandra, G.; Ghosh, K. Single or Conjoint Application of Autochthonous Bacillus Strains as Potential Probiotics: Effects on Growth, Feed Utilization, Immunity and Disease Resistance in Rohu, Labeo rohita (Hamilton). Aquaculture 2019, 512, 734302. [Google Scholar] [CrossRef]
- Shi, L.H.; Balakrishnan, K.; Thiagarajah, K.; Mohd Ismail, N.I.; Yin, O.S. Beneficial Properties of Probiotics. Trop. Life Sci. Res. 2016, 27, 73–90. [Google Scholar] [CrossRef] [PubMed]
- Rohani, M.F.; Islam, S.M.; Hossain, M.K.; Ferdous, Z.; Siddik, M.A.; Nuruzzaman, M.; Padeniya, U.; Brown, C.; Shahjahan, M. Probiotics, Prebiotics and Synbiotics Improved the Functionality of Aquafeed: Upgrading Growth, Reproduction, Immunity and Disease Resistance in Fish. Fish Shellfish. Immunol. 2022, 120, 569–589. [Google Scholar] [CrossRef]
- Lubis, A.R.; Sumon, M.A.A.; Dinh-Hung, N.; Dhar, A.K.; Delamare-Deboutteville, J.; Kim, D.; Shinn, A.P.; Kanjanasopa, D.; Permpoonpattana, P.; Doan, H.V.; et al. Review of Quorum-quenching Probiotics: A Promising Non-antibiotic-based Strategy for Sustainable Aquaculture. J. Fish Dis. 2024, 47, e13941. [Google Scholar] [CrossRef]
- Dang, Y.; Sun, Y.; Zhou, Y.; Men, X.; Wang, B.; Li, B.; Ren, Y. Effects of Probiotics on Growth, the Toll-like Receptor Mediated Immune Response and Susceptibility to Aeromonas salmonicida Infection in Rainbow Trout Oncorhynchus mykiss. Aquaculture 2022, 561, 738668. [Google Scholar] [CrossRef]
- He, X.; Abakari, G.; Tan, H.; Liu, W.; Luo, G. Effects of Different Probiotics (Bacillus subtilis) Addition Strategies on a Culture of Litopenaeus vannamei in Biofloc Technology (BFT) Aquaculture System. Aquaculture 2023, 566, 739216. [Google Scholar] [CrossRef]
- Mohammadi, G.; Rafiee, G.; Tavabe, K.R.; Abdel-Latif, H.M.R.; Dawood, M.A.O. The Enrichment of Diet with Beneficial Bacteria (Single- or Multi-Strain) in Biofloc System Enhanced the Water Quality, Growth Performance, Immune Responses, and Disease Resistance of Nile Tilapia (Oreochromis niloticus). Aquaculture 2021, 539, 736640. [Google Scholar] [CrossRef]
- Zibiene, G.; Zibas, A. Impact of Commercial Probiotics on Growth Parameters of European Catfish (Silurus glanis) and Water Quality in Recirculating Aquaculture Systems. Aquac. Int. 2019, 27, 1751–1766. [Google Scholar] [CrossRef]
- Naylor, R.L.; Goldburg, R.J.; Primavera, J.H.; Kautsky, N.; Beveridge, M.C.M.; Clay, J.; Folke, C.; Lubchenco, J.; Mooney, H.; Troell, M. Effect of Aquaculture on World Fish Supplies. Nature 2000, 405, 1017–1024. [Google Scholar] [CrossRef]
- Ye, G.; Dong, X.; Yang, Q.; Chi, S.; Liu, H.; Zhang, H.; Tan, B.; Zhang, S. A Formulated Diet Improved Digestive Capacity, Immune Function and Intestinal Microbiota Structure of Juvenile Hybrid Grouper (Epinephelus fuscoguttatus ♀ × Epinephelus lanceolatus ♂) When Compared with Chilled Trash Fish. Aquaculture 2020, 523, 735230. [Google Scholar] [CrossRef]
- Yanuhar, U.; Nurcahyo, H.; Widiyanti, L.; Junirahma, N.S.; Caesar, N.R.; Sukoso, S. In Vivo Test of Vibrio alginolyticus and Vibrio harveyi Infection in the Humpback Grouper (Cromileptes altivelis) from East Java Indonesia. Vet. World 2022, 15, 1269–1282. [Google Scholar] [CrossRef]
- Shapawi, R.; Abdullah, F.C.; Senoo, S.; Mustafa, S. Nutrition, Growth and Resilience of Tiger Grouper (Epinephelus fuscoguttatus) × Giant Grouper (Epinephelus lanceolatus) Hybrid—A Review. Rev. Aquac. 2019, 11, 1285–1296. [Google Scholar] [CrossRef]
- Dennis, L.P.; Ashford, G.; Thai, T.Q.; Van In, V.; Ninh, N.H.; Elizur, A. Hybrid Grouper in Vietnamese Aquaculture: Production Approaches and Profitability of a Promising New Crop. Aquaculture 2020, 522, 735108. [Google Scholar] [CrossRef]
- Qin, Y.; Liu, J.; Liu, W.; Shi, H.; Jia, A.; Lu, Y.; Liu, X. First Isolation and Identification of Red-Grouper Nervous Necrosis Virus (RGNNV) from Adult Hybrid Hulong Grouper (Epinephelus fuscoguttatus × Epinephelus lanceolatus) in China. Aquaculture 2020, 529, 735662. [Google Scholar] [CrossRef]
- Shen, G.M.; Shi, C.Y.; Fan, C.; Jia, D.; Wang, S.Q.; Xie, G.S.; Li, G.Y.; Mo, Z.L.; Huang, J. Isolation, Identification and Pathogenicity of Vibrio harveyi, the Causal Agent of Skin Ulcer Disease in Juvenile Hybrid Groupers Epinephelus fuscoguttatus × Epinephelus lanceolatus. J. Fish Dis. 2017, 40, 1351–1362. [Google Scholar] [CrossRef]
- Li, J.; Wu, Z.-B.; Zhang, Z.; Zha, J.-W.; Qu, S.-Y.; Qi, X.-Z.; Wang, G.-X.; Ling, F. Effects of Potential Probiotic Bacillus velezensis K2 on Growth, Immunity and Resistance to Vibrio harveyi Infection of Hybrid Grouper (Epinephelus lanceolatus♂ × E. fuscoguttatus♀). Fish Shellfish. Immunol. 2019, 93, 1047–1055. [Google Scholar] [CrossRef]
- Jinendiran, S.; Boopathi, S.; Sivakumar, N.; Selvakumar, G. Functional Characterization of Probiotic Potential of Novel Pigmented Bacterial Strains for Aquaculture Applications. Probiotics Antimicrob. Proteins 2019, 11, 186–197. [Google Scholar] [CrossRef] [PubMed]
- Xie, G.; Zhang, M.; Zhong, Z.; Zhu, Y.; Fan, X.; Li, M.; Xing, K.; Shu, H. Functional Genomic Characterization Reveals the Probiotic Tendency and Safety Assessment of Exiguobacterium acetylicum G1–33 Isolated from the Gut of the Hybrid Grouper (Epinephelus fuscoguttatus♀ × E. lanceolatus♂). Aquac. Rep. 2024, 36, 102127. [Google Scholar] [CrossRef]
- Zhu, Y.; Li, W.; Zhang, M.; Zhong, Z.; Zhou, Z.; Han, J.; Zhang, C.; Yang, J.; Wu, Y.; Shu, H. Screening of Host Gut-Derived Probiotics and Effects of Feeding Probiotics on Growth, Immunity, and Antioxidant Enzyme Activity of Hybrid Grouper (Epinephelus fuscoguttatus♀ × E. lanceolatus♂). Fish Shellfish. Immunol. 2023, 136, 108700. [Google Scholar] [CrossRef] [PubMed]
- Liu, S.; Wang, S.; Cai, Y.; Li, E.; Ren, Z.; Wu, Y.; Guo, W.; Sun, Y.; Zhou, Y. Beneficial Effects of a Host Gut-Derived Probiotic, Bacillus pumilus, on the Growth, Non-Specific Immune Response and Disease Resistance of Juvenile Golden Pompano, Trachinotus ovatus. Aquaculture 2020, 514, 734446. [Google Scholar] [CrossRef]
- Zhang, Y.; Liang, X.-F.; He, S.; Feng, H.; Li, L. Dietary Supplementation of Exogenous Probiotics Affects Growth Performance and Gut Health by Regulating Gut Microbiota in Chinese Perch (Siniperca chuatsi). Aquaculture 2022, 547, 737405. [Google Scholar] [CrossRef]
- El-Kady, A.A.; Magouz, F.I.; Mahmoud, S.A.; Abdel-Rahim, M.M. The Effects of Some Commercial Probiotics as Water Additive on Water Quality, Fish Performance, Blood Biochemical Parameters, Expression of Growth and Immune-Related Genes, and Histology of Nile Tilapia (Oreochromis niloticus). Aquaculture 2022, 546, 737249. [Google Scholar] [CrossRef]
- Ren, Z.; Wang, S.; Cai, Y.; Wu, Y.; Tian, L.; Wang, S.; Jiang, L.; Guo, W.; Sun, Y.; Zhou, Y. Effects of Dietary Mannan Oligosaccharide Supplementation on Growth Performance, Antioxidant Capacity, Non-Specific Immunity and Immune-Related Gene Expression of Juvenile Hybrid Grouper (Epinephelus lanceolatus♂ × Epinephelus fuscoguttatus♀). Aquaculture 2020, 523, 735195. [Google Scholar] [CrossRef]
- Lulijwa, R.; Rupia, E.J.; Alfaro, A.C. Antibiotic Use in Aquaculture, Policies and Regulation, Health and Environmental Risks: A Review of the Top 15 Major Producers. Rev. Aquac. 2020, 12, 640–663. [Google Scholar] [CrossRef]
- Gutiérrez Falcón, A.; Padilla, D.; Real, F.; Ramos Sosa, M.J.; Acosta-Hernández, B.; Sánchez Henao, A.; García-Álvarez, N.; Rosario Medina, I.; Silva Sergent, F.; Déniz, S.; et al. Screening of New Potential Probiotics Strains against Photobacterium damselae Subsp. piscicida for Marine Aquaculture. Animals 2021, 11, 2029. [Google Scholar] [CrossRef]
- Adenaya, A.; Berger, M.; Brinkhoff, T.; Ribas-Ribas, M.; Wurl, O. Usage of Antibiotics in Aquaculture and the Impact on Coastal Waters. Mar. Pollut. Bull. 2023, 188, 114645. [Google Scholar] [CrossRef]
- Li, S.; Shi, W.; Liu, W.; Li, H.; Zhang, W.; Hu, J.; Ke, Y.; Sun, W.; Ni, J. A Duodecennial National Synthesis of Antibiotics in China’s Major Rivers and Seas (2005–2016). Sci. Total Environ. 2018, 615, 906–917. [Google Scholar] [CrossRef]
- Wang, A.; Ran, C.; Wang, Y.; Zhang, Z.; Ding, Q.; Yang, Y.; Olsen, R.E.; Ringø, E.; Bindelle, J.; Zhou, Z. Use of Probiotics in Aquaculture of China—A Review of the Past Decade. Fish Shellfish. Immunol. 2019, 86, 734–755. [Google Scholar] [CrossRef]
- Kaktcham, P.M.; Temgoua, J.-B.; Zambou, F.N.; Diaz-Ruiz, G.; Wacher, C.; Pérez-Chabela, M.D.L. In Vitro Evaluation of the Probiotic and Safety Properties of Bacteriocinogenic and Non-Bacteriocinogenic Lactic Acid Bacteria from the Intestines of Nile Tilapia and Common Carp for Their Use as Probiotics in Aquaculture. Probiotics Antimicrob. Proteins 2018, 10, 98–109. [Google Scholar] [CrossRef]
- Das, S.K.; Xiang, T.W.; Noor, N.M.; De, M.; Mazumder, S.K.; Goutham-Bharathi, M.P. Temperature Physiology in Grouper (Epinephelinae: Serranidae) Aquaculture: A Brief Review. Aquac. Rep. 2021, 20, 100682. [Google Scholar] [CrossRef]
- Sutthinon, P.; Thongprajukaew, K.; Saekhow, S.; Ketmanee, R. Juvenile Hybrid Grouper (Epinephelus coioides × E. lanceolatus) Are Euryhaline and Can Grow in a Wide Range of Salinities. Aquac. Int. 2015, 23, 671–682. [Google Scholar] [CrossRef]
- Kar, N.; Ghosh, K. Enzyme Producing Bacteria in the Gastrointestinal Tracts of Labeo rohita (Hamilton) and Channa punctatus (Bloch). Turk. J. Fish. Aquat. Sci. 2008, 8, 115–120. [Google Scholar]
- Shen, W.-Y.; Fu, L.-L.; Li, W.-F.; Zhu, Y.-R. Effect of Dietary Supplementation with Bacillus subtilis on the Growth, Performance, Immune Response and Antioxidant Activities of the Shrimp (Litopenaeus vannamei): B. subtilis Affect Growth of L. vannamei. Aquac. Res. 2010, 41, 1691–1698. [Google Scholar] [CrossRef]
- Ghosh, S.; Sinha, A.; Sahu, C. Dietary Probiotic Supplementation in Growth and Health of Live-Bearing Ornamental Fishes. Aquac. Nutr. 2008, 14, 289–299. [Google Scholar] [CrossRef]
- Reinecke, M.; Björnsson, B.T.; Dickhoff, W.W.; McCormick, S.D.; Navarro, I.; Power, D.M.; Gutiérrez, J. Growth Hormone and Insulin-like Growth Factors in Fish: Where We Are and Where to Go. Gen. Comp. Endocrinol. 2005, 142, 20–24. [Google Scholar] [CrossRef] [PubMed]
- Midhun, S.J.; Arun, D.; Neethu, S.; Vysakh, A.; Radhakrishnan, E.K.; Jyothis, M. Administration of Probiotic Paenibacillus polymyxa HGA4C Induces Morphometric, Enzymatic and Gene Expression Changes in Oreochromis niloticus. Aquaculture 2019, 508, 52–59. [Google Scholar] [CrossRef]
- Qin, Q.; Cao, X.-F.; Dai, Y.; Wang, L.-N.; Zhang, D.-D.; Jiang, G.-Z.; Liu, W.-B. Effects of Dietary Protein Level on Growth Performance, Digestive Enzyme Activity, and Gene Expressions of the TOR Signaling Pathway in Fingerling Pelteobagrus fulvidraco. Fish Physiol. Biochem. 2019, 45, 1747–1757. [Google Scholar] [CrossRef]
- Wu, M.; Lu, S.; Wu, X.; Jiang, S.; Luo, Y.; Yao, W.; Jin, Z. Effects of Dietary Amino Acid Patterns on Growth, Feed Utilization and Hepatic IGF-I, TOR Gene Expression Levels of Hybrid Grouper (Epinephelus fuscoguttatus ♀ × Epinephelus lanceolatus ♂) Juveniles. Aquaculture 2017, 468, 508–514. [Google Scholar] [CrossRef]
- Jose, M.S.; Arun, D.; Neethu, S.; Radhakrishnan, E.K.; Jyothis, M. Probiotic Paenibacillus polymyxa HGA4C and Bacillus licheniformis HGA8B Combination Improved Growth Performance, Enzymatic Profile, Gene Expression and Disease Resistance in Oreochromis niloticus. Microb. Pathog. 2023, 174, 105951. [Google Scholar] [CrossRef] [PubMed]
- Heshmatfar, F.; Safari, R.; Shabani, A.; Hoseinifar, S.H.; Ghaffari, H.; Shokohian, B.; Ullah, M.R.; Siddik, M.A.B. The Effects of Combined or Singular Administration of Formic Acid and Pediococcus acidilactici on Stress Resistance, Growth Performance, Immune Responses and Related Genes Expression in Common Carp, Cyprinus carpio. Aquac. Rep. 2023, 29, 101474. [Google Scholar] [CrossRef]
- Li, H.; Tian, X.; Zhao, K.; Jiang, W.; Dong, S. Effect of Clostridium butyricum in Different Forms on Growth Performance, Disease Resistance, Expression of Genes Involved in Immune Responses and mTOR Signaling Pathway of Litopenaeus vannamai. Fish Shellfish. Immunol. 2019, 87, 13–21. [Google Scholar] [CrossRef]
- Liang, H.; Ren, M.; Habte-Tsion, H.-M.; Ge, X.; Xie, J.; Mi, H.; Xi, B.; Miao, L.; Liu, B.; Zhou, Q.; et al. Dietary Arginine Affects Growth Performance, Plasma Amino Acid Contents and Gene Expressions of the TOR Signaling Pathway in Juvenile Blunt Snout Bream, Megalobrama amblycephala. Aquaculture 2016, 461, 1–8. [Google Scholar] [CrossRef]
- Irm, M.; Taj, S.; Jin, M.; Luo, J.; Andriamialinirina, H.J.T.; Zhou, Q. Effects of Replacement of Fish Meal by Poultry By-Product Meal on Growth Performance and Gene Expression Involved in Protein Metabolism for Juvenile Black Sea Bream (Acanthoparus schlegelii). Aquaculture 2020, 528, 735544. [Google Scholar] [CrossRef]
- Kuebutornye, F.K.A.; Abarike, E.D.; Lu, Y. A Review on the Application of Bacillus as Probiotics in Aquaculture. Fish Shellfish. Immunol. 2019, 87, 820–828. [Google Scholar] [CrossRef]
- Zhang, M.-Q.; Yang, J.-L.; Lai, X.-X.; Li, W.; Zhan, M.-J.; Zhang, C.-P.; Jiang, J.-Z.; Shu, H. Effects of Integrated Multi-Trophic Aquaculture on Microbial Communities, Antibiotic Resistance Genes, and Cultured Species: A Case Study of Four Mariculture Systems. Aquaculture 2022, 557, 738322. [Google Scholar] [CrossRef]
- Cao, H.; Yu, R.; Zhang, Y.; Hu, B.; Jian, S.; Wen, C.; Kajbaf, K.; Kumar, V.; Yang, G. Effects of Dietary Supplementation with β-Glucan and Bacillus subtilis on Growth, Fillet Quality, Immune Capacity, and Antioxidant Status of Pengze Crucian Carp (Carassius auratus var. Pengze). Aquaculture 2019, 508, 106–112. [Google Scholar] [CrossRef]
- Linh, N.V.; Lubis, A.R.; Dinh-Hung, N.; Wannavijit, S.; Montha, N.; Fontana, C.M.; Lengkidworraphiphat, P.; Srinual, O.; Jung, W.-K.; Paolucci, M.; et al. Effects of Shrimp Shell-Derived Chitosan on Growth, Immunity, Intestinal Morphology, and Gene Expression of Nile Tilapia (Oreochromis niloticus) Reared in a Biofloc System. Mar. Drugs 2024, 22, 150. [Google Scholar] [CrossRef]
- Pirarat, N.; Pinpimai, K.; Endo, M.; Katagiri, T.; Ponpornpisit, A.; Chansue, N.; Maita, M. Modulation of Intestinal Morphology and Immunity in Nile Tilapia (Oreochromis niloticus) by Lactobacillus rhamnosus GG. Res. Vet. Sci. 2011, 91, e92–e97. [Google Scholar] [CrossRef] [PubMed]
- Merrifield, D.L.; Harper, G.M.; Dimitroglou, A.; Ringø, E.; Davies, S.J. Possible Influence of Probiotic Adhesion to Intestinal Mucosa on the Activity and Morphology of Rainbow Trout (Oncorhynchus mykiss) Enterocytes. Aquac. Res. 2009, 41, 1268–1272. [Google Scholar] [CrossRef]
- Akhter, N.; Wu, B.; Memon, A.M.; Mohsin, M. Probiotics and Prebiotics Associated with Aquaculture: A Review. Fish Shellfish. Immunol. 2015, 45, 733–741. [Google Scholar] [CrossRef] [PubMed]
- Xing, Q.; Liao, H.; Xun, X.; Wang, J.; Zhang, Z.; Yang, Z.; Huang, X.; Bao, Z. Genome-Wide Identification, Characterization and Expression Analyses of TLRs in Yesso Scallop (Patinopecten yessoensis) Provide Insight into the Disparity of Responses to Acidifying Exposure in Bivalves. Fish Shellfish. Immunol. 2017, 68, 280–288. [Google Scholar] [CrossRef] [PubMed]
- Xu, S.; Wang, Q.; Wang, F.; Li, X.; Wang, B.; Zhou, Y.; Zou, P.; Tang, L.; Yu, D.; Li, W. Improved Immune Function of Chinese Soft-Shelled Turtles (Pelodiscus sinensis) through Oral Probiotics via the TLR Signaling Pathway. Aquaculture 2022, 555, 738126. [Google Scholar] [CrossRef]
- Gu, Y.; Chen, K.; Xi, B.; Xie, J.; Bing, X. Paeonol Increases the Antioxidant and Anti-Inflammatory Capacity of Gibel Carp (Carassius auratus gibelio) Challenged with Aeromonas Hydrophila. Fish Shellfish. Immunol. 2022, 123, 479–488. [Google Scholar] [CrossRef] [PubMed]
- Li, M.-Y.; Guo, W.-Q.; Guo, G.-L.; Zhu, X.-M.; Niu, X.-T.; Shan, X.-F.; Tian, J.-X.; Wang, G.-Q.; Zhang, D.-M. Effects of Dietary Astaxanthin on Lipopolysaccharide-Induced Oxidative Stress, Immune Responses and Glucocorticoid Receptor (GR)-Related Gene Expression in Channa argus. Aquaculture 2020, 517, 734816. [Google Scholar] [CrossRef]
- Xue, M.; Wu, Y.; Hong, Y.; Meng, Y.; Xu, C.; Jiang, N.; Li, Y.; Liu, W.; Fan, Y.; Zhou, Y. Effects of Dietary Bacillus amyloliquefaciens on the Growth, Immune Responses, Intestinal Microbiota Composition and Disease Resistance of Yellow Catfish, Pelteobagrus fulvidraco. Front. Cell. Infect. Microbiol. 2022, 12, 1047351. [Google Scholar] [CrossRef]
- Zhao, Z.; Wang, H.; Zhang, D.; Guan, Y.; Siddiqui, S.A.; Feng-Shan, X.; Cong, B. Oral Vaccination with Recombinant Lactobacillus casei Expressing Aeromonas hydrophila Aha1 against A. Hydrophila Infections in Common Carps. Virulence 2022, 13, 794–807. [Google Scholar] [CrossRef]
- Kuebutornye, F.K.A.; Tang, J.; Cai, J.; Yu, H.; Wang, Z.; Abarike, E.D.; Lu, Y.; Li, Y.; Afriyie, G. In Vivo Assessment of the Probiotic Potentials of Three Host-Associated Bacillus Species on Growth Performance, Health Status and Disease Resistance of Oreochromis niloticus against Streptococcus agalactiae. Aquaculture 2020, 527, 735440. [Google Scholar] [CrossRef]
- Yang, G.; Cao, H.; Jiang, W.; Hu, B.; Jian, S.; Wen, C.; Kajbaf, K.; Kumar, V.; Tao, Z.; Peng, M. Dietary Supplementation of Bacillus cereus as Probiotics in Pengze Crucian Carp (Carassius auratus var. Pengze): Effects on Growth Performance, Fillet Quality, Serum Biochemical Parameters and Intestinal Histology. Aquac. Res. 2019, 50, 2207–2217. [Google Scholar] [CrossRef]
- Yang, G.; Shen, K.; Yu, R.; Wu, Q.; Yan, Q.; Chen, W.; Ding, L.; Kumar, V.; Wen, C.; Peng, M. Probiotic (Bacillus cereus) Enhanced Growth of Pengze Crucian Carp Concurrent with Modulating the Antioxidant Defense Response and Exerting Beneficial Impacts on Inflammatory Response via Nrf2 Activation. Aquaculture 2020, 529, 735691. [Google Scholar] [CrossRef]
- Giri, S.S.; Sen, S.S.; Chi, C.; Kim, H.J.; Yun, S.; Park, S.C.; Sukumaran, V. Effect of Guava Leaves on the Growth Performance and Cytokine Gene Expression of Labeo rohita and Its Susceptibility to Aeromonas hydrophila Infection. Fish Shellfish. Immunol. 2015, 46, 217–224. [Google Scholar] [CrossRef] [PubMed]
- Amalina, N.Z.; Dzarifah, Z.; Amal, M.N.A.; Yusof, M.T.; Zamri-Saad, M.; Al-saari, N.; Tanaka, M.; Mino, S.; Sawabe, T.; Ina-Salwany, M.Y. Recent Update on the Prevalence of Vibrio Species among Cultured Grouper in Peninsular Malaysia. Aquac. Res. 2019, 50, 3202–3210. [Google Scholar] [CrossRef]
- Amoah, K.; Tan, B.; Zhang, S.; Chi, S.; Yang, Q.; Liu, H.; Yang, Y.; Zhang, H.; Dong, X. Host Gut-Derived Bacillus Probiotics Supplementation Improves Growth Performance, Serum and Liver Immunity, Gut Health, and Resistive Capacity against Vibrio harveyi Infection in Hybrid Grouper (♀Epinephelus fuscoguttatus × ♂Epinephelus lanceolatus). Anim. Nutr. 2023, 14, 163–184. [Google Scholar] [CrossRef] [PubMed]
- Tan, H.Y.; Chen, S.-W.; Hu, S.-Y. Improvements in the Growth Performance, Immunity, Disease Resistance, and Gut Microbiota by the Probiotic Rummeliibacillus stabekisii in Nile Tilapia (Oreochromis niloticus). Fish Shellfish. Immunol. 2019, 92, 265–275. [Google Scholar] [CrossRef]
- Zhang, X.; Xu, X.; Shen, Y.; Fang, Y.; Zhang, J.; Bai, Y.; Gu, S.; Wang, R.; Chen, T.; Li, J. Myeloid Differentiation Factor 88 (Myd88) Is Involved in the Innate Immunity of Black Carp (Mylopharyngodon piceus) Defense against Pathogen Infection. Fish Shellfish. Immunol. 2019, 94, 220–229. [Google Scholar] [CrossRef]
- Yu, Z.; Zhao, L.; Zhao, J.-L.; Xu, W.; Guo, Z.; Zhang, A.-Z.; Li, M.-Y. Dietary Taraxacum Mongolicum Polysaccharide Ameliorates the Growth, Immune Response, and Antioxidant Status in Association with NF-κB, Nrf2 and TOR in Jian Carp (Cyprinus carpio Var. Jian). Aquaculture 2022, 547, 737522. [Google Scholar] [CrossRef]
- Tian, J.; Han, G.; Li, Y.; Zhao, L.; Wang, G. Effects of Resveratrol on Growth, Antioxidative Status and Immune Response of Snakehead Fish (Channa argus). Aquac. Nutr. 2021, 27, 1472–1481. [Google Scholar] [CrossRef]
- Yin, H.; Deng, Y.; Liang, C.; Geng, L.; Zhang, J.; Wu, X.; Zhou, Z.; Zhai, H.; Cai, Q.; Zhang, L.; et al. Effects of Feeding Regimes and Dietary Energy on the Production Performance, Plasma Immune Parameters and Expression of Genes Involved in the TOR/S6K1 Pathway of Juvenile Hybrid Grouper (Epinephelus fuscoguttatus ♀ × Epinephelus lanceolatus ♂). Aquaculture 2023, 571, 739457. [Google Scholar] [CrossRef]
- Sun, Z.; Tan, X.; Ye, H.; Zou, C.; Ye, C.; Wang, A. Effects of Dietary Panax Notoginseng Extract on Growth Performance, Fish Composition, Immune Responses, Intestinal Histology and Immune Related Genes Expression of Hybrid Grouper (Epinephelus lanceolatus ♂ × Epinephelus fuscoguttatus ♀) Fed High Lipid Diets. Fish Shellfish. Immunol. 2018, 73, 234–244. [Google Scholar] [CrossRef]
- Yang, J.; Lu, X.-J.; Chai, F.-C.; Chen, J. Molecular Characterization and Functional Analysis of a Piscidin Gene in Large Yellow Croaker (Larimichthys crocea). Zool. Res. 2016, 37, 347–355. [Google Scholar] [CrossRef]
- Yang, H.-L.; Sun, Y.-Z.; Hu, X.; Ye, J.; Lu, K.-L.; Hu, L.-H.; Zhang, J.-J. Bacillus Pumilus SE5 Originated PG and LTA Tuned the Intestinal TLRs/MyD88 Signaling and Microbiota in Grouper (Epinephelus Coioides). Fish Shellfish. Immunol. 2019, 88, 266–271. [Google Scholar] [CrossRef] [PubMed]
- Tan, X.; Sun, Z.; Liu, Q.; Ye, H.; Zou, C.; Ye, C.; Wang, A.; Lin, H. Effects of Dietary Ginkgo Biloba Leaf Extract on Growth Performance, Plasma Biochemical Parameters, Fish Composition, Immune Responses, Liver Histology, and Immune and Apoptosis-Related Genes Expression of Hybrid Grouper (Epinephelus Lanceolatus♂ × Epinephelus Fuscoguttatus♀) Fed High Lipid Diets. Fish Shellfish. Immunol. 2018, 72, 399–409. [Google Scholar] [CrossRef]
- Zhou, Z.; Wang, X.; Wu, X.; Gao, Y.; Li, X.; Dong, Y.; Yao, W. Effects of Dietary Leucine Levels on Growth, Feed Utilization, Neuro-Endocrine Growth Axis and TOR-Related Signaling Genes Expression of Juvenile Hybrid Grouper (Epinephelus Fuscoguttatus ♀ × Epinephelus Lanceolatus ♂). Aquaculture 2019, 504, 172–181. [Google Scholar] [CrossRef]
- Xia, Y.-T.; Wu, Q.-Y.; Hok-Chi Cheng, E.; Ting-Xia Dong, T.; Qin, Q.-W.; Wang, W.-X.; Wah-Keung Tsim, K. The Inclusion of Extract from Aerial Part of Scutellaria baicalensis in Feeding of Pearl Gentian Grouper (Epinephelus fuscoguttatus♀ × Epinephelus lanceo-latus♂) Promotes Growth and Immunity. Fish Shellfish. Immunol. 2022, 127, 521–529. [Google Scholar] [CrossRef]
- Luo, S.-W.; Cai, L.; Qi, Z.-H.; Wang, C.; Liu, Y.; Wang, W.-N. Effects of a Recombinant Complement Component C3b Functional Fragment α2MR (α2-macroglobulin receptor) Additive on the Immune Response of Juvenile Orange-Spotted Grouper (Epinephelus coioides) after the Exposure to Cold Shock Challenge. Fish Shellfish. Immunol. 2015, 45, 346–356. [Google Scholar] [CrossRef]
- Lin, K.; Zhu, Z.; Ge, H.; Zheng, L.; Huang, Z.; Wu, S. Immunity to Nervous Necrosis Virus Infections of Orange-Spotted Grouper (Epinephelus coioides) by Vaccination with Virus-like Particles. Fish Shellfish. Immunol. 2016, 56, 136–143. [Google Scholar] [CrossRef]









| FW (g) | WG (g) | WGR (%) | SGR (%) | CF (%) | VI (%) | SR (%) | |
|---|---|---|---|---|---|---|---|
| C | 65.17 ± 1.51 b | 34.97 ± 1.52 b | 52.10 ± 1.15 b | 1.25 ± 0.04 b | 2.97 ± 0.06 a | 6.35 ± 0.13 ab | 94.44 ± 1.11 a |
| L | 67.02 ± 1.72 b | 36.88 ± 1.74 b | 53.08 ± 1.32 b | 1.30 ± 0.05 b | 2.76 ± 0.05 b | 6.43 ± 0.12 a | 95.56 ± 1.11 a |
| M | 71.16 ± 1.57 a | 41.16 ± 1.57 a | 56.57 ± 0.99 a | 1.41 ± 0.04 a | 2.87 ± 0.05 ab | 6.51 ± 0.17 a | 98.89 ± 1.11 a |
| H | 57.36 ± 1.59 c | 28.70 ± 1.52 c | 48.03 ± 1.35 c | 1.12 ± 0.04 c | 2.75 ± 0.06 b | 6.11 ± 0.18 b | 94.44 ± 1.11 a |
Disclaimer/Publisher’s Note: The statements, opinions and data contained in all publications are solely those of the individual author(s) and contributor(s) and not of MDPI and/or the editor(s). MDPI and/or the editor(s) disclaim responsibility for any injury to people or property resulting from any ideas, methods, instructions or products referred to in the content. |
© 2024 by the authors. Licensee MDPI, Basel, Switzerland. This article is an open access article distributed under the terms and conditions of the Creative Commons Attribution (CC BY) license (https://creativecommons.org/licenses/by/4.0/).
Share and Cite
Zhang, M.; Feng, Y.; Zhong, Z.; Du, Q.; Yu, W.; Wu, J.; Huang, X.; Huang, Z.; Xie, G.; Shu, H. Host Gut-Derived Probiotic, Exiguobacterium acetylicum G1-33, Improves Growth, Immunity, and Resistance to Vibrio harveyi in Hybrid Grouper (Epinephelus fuscoguttatus ♀ × Epinephelus lanceolatus ♂). Microorganisms 2024, 12, 1688. https://doi.org/10.3390/microorganisms12081688
Zhang M, Feng Y, Zhong Z, Du Q, Yu W, Wu J, Huang X, Huang Z, Xie G, Shu H. Host Gut-Derived Probiotic, Exiguobacterium acetylicum G1-33, Improves Growth, Immunity, and Resistance to Vibrio harveyi in Hybrid Grouper (Epinephelus fuscoguttatus ♀ × Epinephelus lanceolatus ♂). Microorganisms. 2024; 12(8):1688. https://doi.org/10.3390/microorganisms12081688
Chicago/Turabian StyleZhang, Mingqing, Yuwei Feng, Zhongxuan Zhong, Qianping Du, Wei Yu, Jinhui Wu, Xiaolin Huang, Zhong Huang, Guangting Xie, and Hu Shu. 2024. "Host Gut-Derived Probiotic, Exiguobacterium acetylicum G1-33, Improves Growth, Immunity, and Resistance to Vibrio harveyi in Hybrid Grouper (Epinephelus fuscoguttatus ♀ × Epinephelus lanceolatus ♂)" Microorganisms 12, no. 8: 1688. https://doi.org/10.3390/microorganisms12081688
APA StyleZhang, M., Feng, Y., Zhong, Z., Du, Q., Yu, W., Wu, J., Huang, X., Huang, Z., Xie, G., & Shu, H. (2024). Host Gut-Derived Probiotic, Exiguobacterium acetylicum G1-33, Improves Growth, Immunity, and Resistance to Vibrio harveyi in Hybrid Grouper (Epinephelus fuscoguttatus ♀ × Epinephelus lanceolatus ♂). Microorganisms, 12(8), 1688. https://doi.org/10.3390/microorganisms12081688
