Identification, Characterization, and Antibacterial Evaluation of Five Endophytic Fungi from Psychotria poeppigiana Müll. Arg., an Amazon Plant
Abstract
1. Introduction
2. Materials and Methods
2.1. Materials
2.2. Isolation of Endophytic Fungi from Psychotria poeppigiana Müll. Arg.
2.3. Identification of Endophytic Fungi
2.4. Preparation and Chemical Profile of Extract from Endophytic Fungi
2.5. Antibacterial Test: Determination of Minimum Inhibitory Concentration (MIC), Disk Diffusion, and TLC–Bioautography
3. Results
3.1. Isolation and Molecular Identification of Endophytic Fungi from Psychotria poeppigiana Müll. Arg. (Rubiaceae)
3.2. Morphological Characteristics of Endophytic Fungi
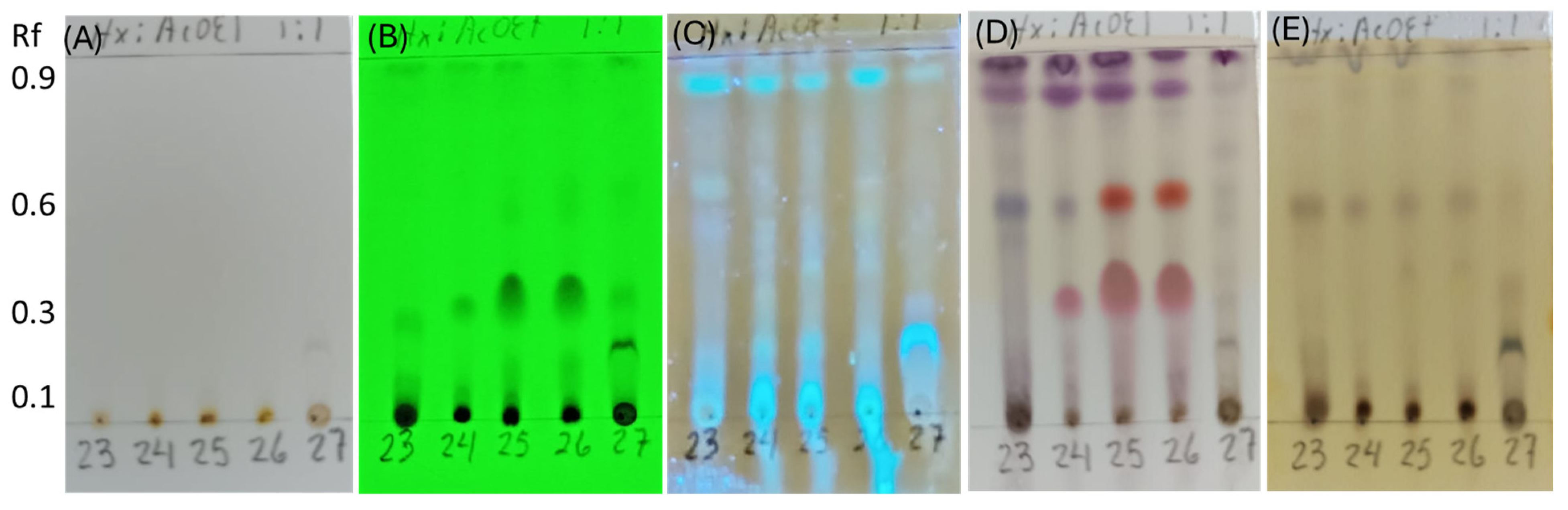
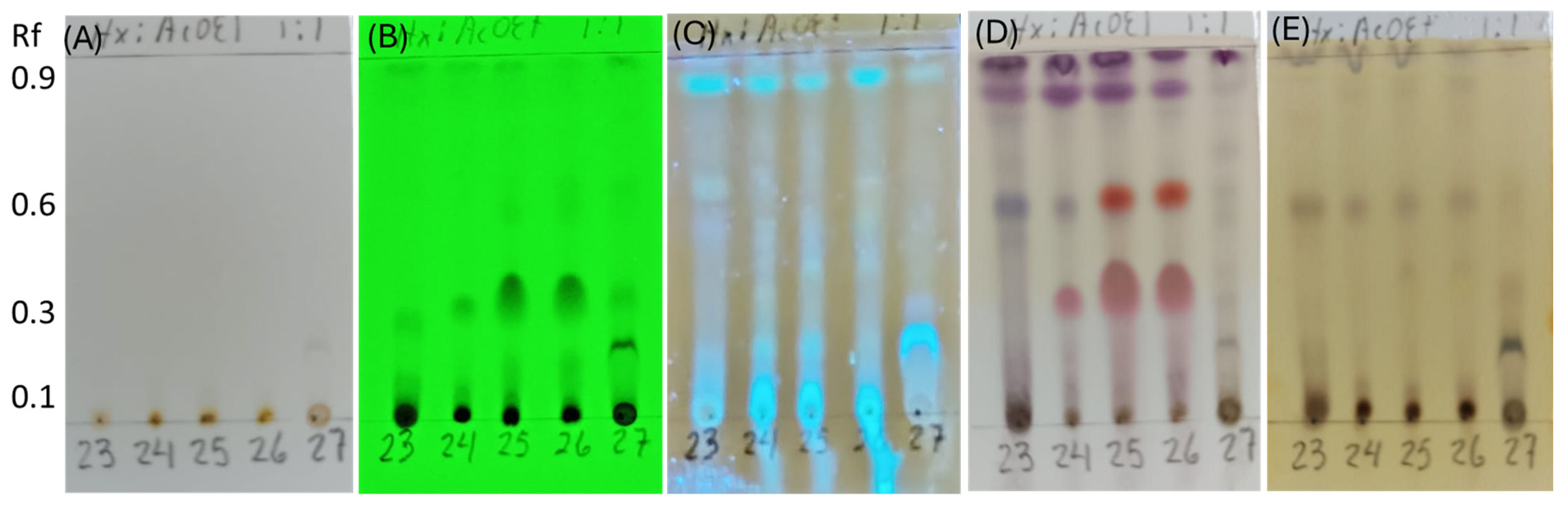
3.3. Chemical Profile of Endophytic Fungi Extracts
3.4. Antimicrobial Activity of Extracts from Endophytic Fungi
3.5. Relationship between Antibacterial Activity and Chemical Profile
4. Discussion
5. Conclusions
Author Contributions
Funding
Data Availability Statement
Acknowledgments
Conflicts of Interest
References
- Mohamed, G.A.; Ibrahim, S.R.M.; Asfour, H.Z. Antimicrobial metabolites from the endophytic fungus Aspergillus versicolor. Phytochem. Lett. 2020, 35, 152–155. [Google Scholar] [CrossRef]
- Kellogg, J.J.; Raja, H.A. Endolichenic fungi: A new source of rich bioactive secondary metabolites on the horizon. Phytochem. Rev. 2017, 16, 271–293. [Google Scholar] [CrossRef]
- Batista, B.N.; Matias, R.R.; Oliveira, R.L.E.; Albuquerque, P.M. Hydrolytic enzyme production from açai palm (Euterpe precatoria) endophytic fungi and characterization of the amylolytic and cellulolytic extracts. World J. Microbiol. Biotechnol. 2022, 38, 30. [Google Scholar] [CrossRef] [PubMed]
- Gupta, S.; Chaturvedi, P.; Kulkarni, M.G.; Van Staden, J. A critical review on exploiting the pharmaceutical potential of plant endophytic fungi. Biotechnol. Adv. 2020, 39, 10–46. [Google Scholar] [CrossRef] [PubMed]
- Gakuubi, M.M.; Munusamy, M.; Liang, Z.X.; Ng, S.B. Fungal Endophytes: A Promising Frontier for Discovery of Novel Bioactive Compounds. J. Fungi 2021, 7, 786. [Google Scholar] [CrossRef] [PubMed]
- Deshmukh, S.K.; Dufossé, L.; Chhipa, H.; Saxena, S.; Mahajan, G.B.; Gupta, M.K. Fungal Endophytes: A Potential Source of Antibacterial Compounds. J. Fungi 2022, 8, 164. [Google Scholar] [CrossRef] [PubMed]
- Hamzah, T.N.T.; Lee, S.Y.; Hidayat, A.; Terhem, R.; Faridah-Hanum, I.; Mohamed, R. Diversity and Characterization of Endophytic Fungi Isolated From the Tropical Mangrove Species, Rhizophora mucronata, and Identification of Potential Antagonists against the Soil-Borne Fungus, Fusarium solani. Front. Microbiol. 2018, 9, 1707. [Google Scholar] [CrossRef] [PubMed]
- Adeleke, B.S.; Babalola, O.O. Pharmacological Potential of Fungal Endophytes Associated with Medicinal Plants: A Review. J. Fungi 2021, 7, 147. [Google Scholar] [CrossRef] [PubMed]
- Cruz, J.S.; da Silva, C.A.; Hamerski, L. Natural Products from Endophytic Fungi Associated with Rubiaceae Species. J. Fungi 2020, 6, 128. [Google Scholar] [CrossRef]
- Gurgel, R.S.; de Melo Pereira, D.Í.; Garcia, A.V.F.; Fernandes de Souza, A.T.; Mendes da Silva, T.; de Andrade, C.P.; Lima da Silva, W.; Nunez, C.V.; Fantin, C.; de Lima Procópio, R.E.; et al. Antimicrobial and Antioxidant Activities of Endophytic Fungi Associated with Arrabidaea chica (Bignoniaceae). J. Fungi 2023, 9, 864. [Google Scholar] [CrossRef]
- Kusari, S.; Hertweck, C.; Spiteller, M. Chemical ecology of endophytic fungi: Origins of secondary metabolites. Chem. Biol. 2012, 19, 792–798. [Google Scholar] [CrossRef] [PubMed]
- Potshangbam, M.; Devi, S.I.; Sahoo, D.; Strobel, G.A. Functional Characterization of Endophytic Fungal Community Associated with Oryza sativa L. and Zea mays L. Front. Microbiol. 2017, 8, 325. [Google Scholar] [CrossRef]
- Shreelalitha, S.; Sridhar, K. Endophytic fungi of wild legume Sesbania bispinosa in coastal sand dunes and mangroves of the Southwest coast of India. J. For. Res. 2015, 26, 1003–1011. [Google Scholar] [CrossRef]
- Ribeiro, F.M.; Volpato, H.; Lazarin-Bidóia, D.; Desoti, V.C.; de Souza, R.O.; Fonseca, M.J.V.; Ueda-Nakamura, T.; Nakamura, C.V.; Silva, S.d.O. The extended production of UV-induced reactive oxygen species in L929 fibroblasts is attenuated by posttreatment with Arrabidaea chica through scavenging mechanisms. J. Photochem. Photobiol. B Biol. 2018, 178, 175–181. [Google Scholar] [CrossRef]
- Cui, J.-L.; Guo, T.-T.; Ren, Z.-X.; Zhang, N.-S.; Wang, M.-L. Diversity and Antioxidant Activity of Culturable Endophytic Fungi from Alpine Plants of Rhodiola crenulata, R. angusta, and R. sachalinensis. PLoS ONE 2015, 10, e0118204. [Google Scholar] [CrossRef]
- Araújo, K.S.; Brito, V.N.; Veloso, T.G.R.; de Leite, T.S.; Alves, J.L.; da Hora Junior, B.T.; Moreno, H.L.A.; Pereira, O.L.; Mizubuti, E.S.G.; de Queiroz, M.V. Diversity and distribution of endophytic fungi in different tissues of Hevea brasiliensis native to the Brazilian Amazon forest. Mycol. Prog. 2020, 19, 1057–1068. [Google Scholar] [CrossRef]
- Toapanta-Alban, C.E.; Ordoñez, M.E.; Blanchette, R.A. New Findings on the Biology and Ecology of the Ecuadorian Amazon Fungus Polyporus leprieurii var. Yasuniensis. J. Fungi 2022, 8, 203. [Google Scholar] [CrossRef]
- Martins, D.; Nunez, C.V. Secondary Metabolites from Rubiaceae Species. Molecules 2015, 20, 13422–13495. [Google Scholar] [CrossRef] [PubMed]
- Soares, D.B.S.; Duarte, L.P.; Cavalcanti, A.D.; Silva, F.C.; Braga, A.D.; Lopes, M.T.P.; Takahashi, J.A.; Vieira-Filho, S.A. Psychotria viridis: Chemical constituents from leaves and biological properties. Acad. Bras. Cienc. 2017, 89, 927–938. [Google Scholar] [CrossRef]
- Rosales, P.F.; Bordin, G.S.; Gower, A.E.; Moura, S. Indole alkaloids: 2012 until now, highlighting the new chemical structures and biological activities. Fitoterapia 2020, 143, 104558. [Google Scholar] [CrossRef]
- Formagio, A.S.N.; Vilegas, W.; Volobuff, C.R.F.; Kassuya, C.A.L.; Cardoso, C.A.L.; Pereira, Z.V.; Silva, R.; Dos Santos Yamazaki, D.A.; de Freitas Gauze, G.; Manfron, J.; et al. Exploration of essential oil from Psychotria poeppigiana as an anti-hyperalgesic and anti-acetylcholinesterase agent: Chemical composition, biological activity and molecular docking. J. Ethnopharmacol. 2022, 296, 115220. [Google Scholar] [CrossRef] [PubMed]
- Griffith, G.W.; Easton, G.L.; Detheridge, A.; Roderick, K.; Edwards, A.; Worgan, H.J.; Nicholson, J.; Perkins, W.T. Copper deficiency in potato dextrose agar causes reduced pigmentation in cultures of various fungi. FEMS Microbiol. Lett. 2007, 276, 165–171. [Google Scholar] [CrossRef] [PubMed]
- Vedamurthy, A.B.; Mane, R.S.; Paarakh, P.M. Brief Review on Fungal Endophytes. Int. J. Second. Metab. 2018, 5, 288–303. [Google Scholar] [CrossRef]
- Strobel, G.; Daisy, B. Bioprospecting for microbial endophytes and their natural products. Microbiol. Mol. Biol. Rev. 2003, 67, 491–502. [Google Scholar] [CrossRef] [PubMed]
- Stinson, M.; Ezra, D.; Hess, W.M.; Sears, J.; Strobel, G. An endophytic Gliocladium sp. of Eucryphia cordifolia producing selective volatile antimicrobial compounds. Plant Sci. 2003, 165, 913–922. [Google Scholar] [CrossRef]
- Chen, Y.-J.; Chen, H.-J.; Chung, W.-H. Endophytic Fungal Diversity in Cirsium kawakamii from Taiwan. J. Fungi 2023, 9, 1076. [Google Scholar] [CrossRef] [PubMed]
- Walker, A.R. Short Protocols in Molecular Biology, 3rd ed.; Ausubel, F., Brent, R., Kingston, R.E., Moore, D.D., Seidman, J.G., Smith, J.A., Struhl, K., Eds.; John Wiley & Sons: New York, NY, USA, 1996; Volume 6, p. 366. [Google Scholar]
- Visagie, C.M.; Houbraken, J.; Frisvad, J.C.; Hong, S.B.; Klaassen, C.H.W.; Perrone, G.; Seifert, K.A.; Varga, J.; Yaguchi, T.; Samson, R.A. Identification and nomenclature of the genus Penicillium. Stud. Mycol. 2014, 78, 343–371. [Google Scholar] [CrossRef] [PubMed]
- Hanin, N.A.; Fitriasari, P.D. Identification of Endophytic Fungi from Fruits and Seeds of Jambolana (Syzygium cumini L.) Skeels. IOP Conf. Ser. Earth Environ. Sci. 2019, 276, 012060. [Google Scholar] [CrossRef]
- Samson, R.A.; Visagie, C.M.; Houbraken, J.; Hong, S.B.; Hubka, V.; Klaassen, C.H.; Perrone, G.; Seifert, K.A.; Susca, A.; Tanney, J.B.; et al. Phylogeny, identification and nomenclature of the genus Aspergillus. Stud. Mycol. 2014, 78, 141–173. [Google Scholar] [CrossRef]
- Norphanphoun, C.; Jayawardena, R.S.; Chen, Y.; Wen, T.C.; Meepol, W.; Hyde, K.D. Morphological and phylogenetic characterization of novel pestalotioid species associated with mangroves in Thailand. Mycosphere 2019, 10, 531–578. [Google Scholar] [CrossRef]
- Selim, K.A.; El-Beih, A.A.; Abdel-Rahman, T.M.; El-Diwany, A.I. Biological evaluation of endophytic fungus, Chaetomium globosum JN711454, as potential candidate for improving drug discovery. Cell Biochem. Biophys. 2014, 68, 67–82. [Google Scholar] [CrossRef] [PubMed]
- Huang, W.Y.; Cai, Y.Z.; Surveswaran, S.; Hyde, K.D.; Corke, H.; Sun, M. Molecular phylogenetic identification of endophytic fungi isolated from three Artemisia species. Fungal Divers. 2009, 36, 69–88. [Google Scholar]
- Kumar, S.; Stecher, G.; Li, M.; Knyaz, C.; Tamura, K. MEGA X: Molecular Evolutionary Genetics Analysis across Computing Platforms. Mol. Biol. Evol. 2018, 35, 1547–1549. [Google Scholar] [CrossRef] [PubMed]
- Bose, P.; Gowrie, S.G.; Chathurdevi, G. Optimization of Culture Conditions for Growth and Production of Bioactive Metabolites by Endophytic Fungus—Aspergillus tamarii. Int. J. Pharm. Biol. Sci. 2019, 9, 469–478. [Google Scholar]
- Wagner, H.; Bladt, S. Plant Drug Analysis A Thin Layer Chromatography Atlas, 2nd ed.; Springer: Dordrecht, The Netherlands; Heidelberg, Germany; London, UK; New York, NY, USA, 2009. [Google Scholar]
- Doern, G.V. Antimicrobial Susceptibility Testing. J. Clin. Microbiol. 2011, 49, S4. [Google Scholar] [CrossRef][Green Version]
- CLSI Standard M27; Reference Method for Broth Dilution Antifungal Susceptibility Testing of Yeasts, 4th Edition. CLSI—Clinical and Laboratory Standards Institute: Wayne, PA, USA, 2017.
- Dalsgaard, I. Selection of media for antimicrobial susceptibility testing of fish pathogenic bacteria. Aquaculture 2001, 196, 267–275. [Google Scholar] [CrossRef]
- Hintzen, K.F.H.; Blanchet, L.; Smolinska, A.; Boumans, M.L.; Stobberingh, E.E.; Dallinga, J.W.; Lubbers, T.; van Schooten, F.J.; Boots, A.W. Volatile organic compounds in headspace characterize isolated bacterial strains independent of growth medium or antibiotic sensitivity. PLoS ONE 2024, 19, e0297086. [Google Scholar] [CrossRef] [PubMed]
- Jesionek, W.; Móricz, Á.M.; Alberti, Á.; Ott, P.G.; Kocsis, B.; Horváth, G.; Choma, I.M. TLC-Direct Bioautography as a Bioassay Guided Method for Investigation of Antibacterial Compounds in Hypericum perforatum L. J. AOAC Int. 2015, 98, 1013–1020. [Google Scholar] [CrossRef] [PubMed]
- Choma, I.M.; Jesionek, W. TLC-direct bioautography as a high throughput method for detection of antimicrobials in plants. Chromatography 2015, 2, 225–238. [Google Scholar] [CrossRef]
- Gerardo-Lugo, S.S.; Tovar-Pedraza, J.M.; Maharachchikumbura, S.S.N.; Apodaca-Sánchez, M.A.; Correia, K.C.; Sauceda-Acosta, C.P.; Camacho-Tapia, M.; Hyde, K.D.; Marraiki, N.; Elgorban, A.M.; et al. Characterization of Neopestalotiopsis Species Associated with Mango Grey Leaf Spot Disease in Sinaloa, Mexico. Pathogens 2020, 9, 788. [Google Scholar] [CrossRef]
- Watanabe, T. Pictorial Atlas of Soil and Seed Fungi: Morphologies of Cultured Fungi and Key to Species, 4th ed.; CRC Press: Boca Raton, FL, USA; Taylor & Francis Group: Boca Raton, FL, USA, 2002. [Google Scholar]
- Seifollahi, E.; Farias, A.; Jayawardena, R.; Hyde, K. Taxonomic Advances from Fungal Flora Associated with Ferns and Fern-like Hosts in Northern Thailand. Plants 2023, 12, 683. [Google Scholar] [CrossRef] [PubMed]
- Maharachchikumbura, S.S.; Hyde, K.D.; Groenewald, J.Z.; Xu, J.; Crous, P.W. Pestalotiopsis revisited. Stud. Mycol. 2014, 79, 121–186. [Google Scholar] [CrossRef] [PubMed]
- Maharachchikumbura, S.S.N.; Larignon, P.; Hyde, K.D.; Al-Sadi, A.M.; Liu, Z.Y. Characterization of Neopestalotiopsis, Pestalotiopsis and Truncatella species associated with grapevine trunk diseases in France. Phytopathol. Mediterr. 2016, 55, 380–390. [Google Scholar] [CrossRef]
- van Eijk, G.W. Isolation and identification of orsellinic acid and penicillic acid produced by Penicillium fennelliae Stolk. Antonie Van Leeuwenhoek 1969, 35, 497–504. [Google Scholar] [CrossRef] [PubMed]
- Abedi, F.; Razavi, B.M.; Hosseinzadeh, H. A review on gentisic acid as a plant derived phenolic acid and metabolite of aspirin: Comprehensive pharmacology, toxicology, and some pharmaceutical aspects. Phytother. Res. PTR 2020, 34, 729–741. [Google Scholar] [CrossRef] [PubMed]
- Jiang, D.; Jiang, B.; Wang, Z.; Lv, M.; Liu, M. Antagonistic Rice Bacterial Leaf Blight Active Monomer Compound and Preparation Method Thereof. Patent CN108191663B, 26 January 2021. [Google Scholar]
- Ye, K.; Ai, H.L.; Liu, J.K. Identification and Bioactivities of Secondary Metabolites Derived from Endophytic Fungi Isolated from Ethnomedicinal Plants of Tujia in Hubei Province: A Review. Nat. Prod. Bioprospect. 2021, 11, 185–205. [Google Scholar] [CrossRef] [PubMed]
- Omarini, A.B.; Achimón, F.; Brito, V.D.; Zygadlo, J.A. Fermentation as an Alternative Process for the Development of Bioinsecticides. Fermentation 2020, 6, 120. [Google Scholar] [CrossRef]
- Emara, T.E. Effect of 6-methyl-5-hepten-2-one on acetylcholinesterase activity, growth and development of Spodoptera littoralis. Egypt. J. Biol. 2004, 6, 136–146. [Google Scholar]
- Naveen, K.V.; Saravanakumar, K.; Sathiyaseelan, A.; Wang, M.H. Comparative Analysis of the Antioxidant, Antidiabetic, Antibacterial, Cytoprotective Potential and Metabolite Profile of Two Endophytic Penicillium spp. Antioxidants 2023, 12, 248. [Google Scholar] [CrossRef]
- Mosquera, W.G.; Criado, L.Y.; Guerra, B.E. Antimicrobial activity of endophytic fungi from the medicinal plants Mammea americana (Calophyllaceae) and Moringa oleifera (Moringaceae). Biomed. Rev. Inst. Nac. Salud 2020, 40, 55–71. [Google Scholar] [CrossRef][Green Version]
- Prihanto, A.A.; Firdaus, M.; Nurdiani, R. Endophytic Fungi Isolated from Mangrove (Rhyzopora mucronata) and Its Antibacterial Activity on Staphylococcus aureus and Escherichia coli. J. Food Sci. Eng. 2011, 1, 386–389. [Google Scholar]
- Zhao, S.; Chen, S.; Wang, B.; Niu, S.; Wu, W.; Guo, L.; Che, Y. Four new tetramic acid and one new furanone derivatives from the plant endophytic fungus Neopestalotiopsis sp. Fitoterapia 2015, 103, 106–112. [Google Scholar] [CrossRef] [PubMed]
- Navarro-de-la-Fuente, L.; Salinas-Castro, A.; Trigos, Á. Hongos endófitos aislados de Manilkara zapota y su actividad antibacteriana y antifúngica. Sci. Fungorum 2022, 53, e1407. [Google Scholar] [CrossRef]
- Pinheiro, E.A.; Carvalho, J.M.; dos Santos, D.C.; Feitosa Ade, O.; Marinho, P.S.; Guilhon, G.M.; de Souza, A.D.; da Silva, F.M.; Marinho, A.M. Antibacterial activity of alkaloids produced by endophytic fungus Aspergillus sp. EJC08 isolated from medical plant Bauhinia guianensis. Nat. Prod. Res. 2013, 27, 1633–1638. [Google Scholar] [CrossRef] [PubMed]











| Loci | PCR Primers | Sequence (5′–3′) | PCR Cycles | Ref. | ||
|---|---|---|---|---|---|---|
| Denaturation | Annealing | Polymerization | ||||
| ITS | F: ITS5 R: ITS3 | GGA AGT AAA AGT CGT AAC AAG G GCA TCG ATG AAG AAC GCA GC | 94 °C: 2 min, 35 cycles 94 °C: 30 s | 53 °C: 30 s | 72 °C: 1 min 72 °C: 1 min 4 °C: ∞ | [33] |
| TEF1-α | F: EF4f R: Fung5r | GGA AGG GGA TGT ATT TAT TAG GTA AAA GTC CTG GTT CCC | 94 °C: 2 min, 35 cycles 94 °C: 30 s | 53 °C: 30 s | 72 °C: 1 min 72 °C: 1 min 4 °C: ∞ | [32] |
| Species | Source | GenBank Accession Number, ITS |
|---|---|---|
| Neopestalotiopsis sp. SMB-23 | Leaf | PP800334 |
| Penicillium sp. SMB-24 | Leaf | PP800436 |
| Penicillium sp. SMB-25 | Leaf | 2829790 a |
| Penicillium sp. SMB-26 | Leaf | PP800338 |
| Aspergillus sp. SMB-27 | Leaf | PP800435 |
| Macroscopic and Microscopic Characteristics | ||||||
|---|---|---|---|---|---|---|
| Endophytic Fungi Strains | Colonies (PDA) | Colonies (YES) | Size Colonies | Hyphae | Conidiophores and Conidia | References |
| Neopestalotiopsis phangngaensis | Fluffy to cottony, irregular shape, dull surface, undulate edge, fluffy margin. Upper view white and the reverse primrose. | Colonies reached 75–90 mm after seven days on PDA at 28 °C | Filamentous and septate hyphae with a diameter between 4 and 6 μm, ending in rounded conidiophores. | Conidiogenous cells subcylindrical to ampulliform, hyaline, entroblastic, and thin-walled. Conidia fusiform, straight or slightly curved, basal cell conical, hyaline to pale brown, 3–6 µm long. | [31,44,45] | |
| Neopestalotiopsis sp., SMB-23 | White concentric growth cottony texture. Rough yellowish. | White layered concentric growth cottony texture. Rough yellowish on the reverse. | Colonies reached 90 mm after the fifth day in PDA at 30 °C and 90 mm in seven days in YES at 30 °C. | Insulated branched. Filamentous and septate hyphae ending in rounded conidiophores. | Oval-shaped conidia with transverse segments with brown coloration with antenna-shaped tips. | This study |
| Aspergillus niger | The growth is initially white but changes to black after a few days, producing conidial spores. The edges of the colonies appear pale yellow, producing radial fissures. | Cottony appearance, initially white to yellow and then turning black. The reverse rough yellow on PDA. In YES, the color is and more orange on the reverse. | Filamentous fungus that forms filamentous hyphae that make them look like small plants. | The conidial heads appear radial, they are smooth and hyaline. The conidiophore becomes dark at the apex and terminating in a globose vesicle which is 30–75 μm in diameter. Produce conidia of brown coloration, and have a diameter of 4–5 μm. | [30,44] | |
| Aspergillus sp., SMB-27 | Cottony appearance, initially white to yellow and then turning black. The reverse is rough yellowish. | Brown with white concentric edges. Orange rough appearance on the reverse. | Colonies reached 70 mm after the fifth day in PDA at 30 °C and 90 mm in five days in YES at 30 °C. | Insulated, branched. | Conidiophores, globose vesicle, small round conidia. | This study |
| Penicillium linzhiense | White colonies that turn greenish with yellowish parts. Cottony texture. | The colonies are white with a slight greenish coloration and a cottony texture. | Colonies in MEA at 25 °C. After 7 days, the growth varies between 30 and 50 mm in diameter. In PDA, the diameter is larger, up to 60 mm, | It has septate hyaline hyphae. | Conidiophore 20–100 × 2–2.5 μm, occurred in aerial or dragging hyphae with smooth walls. Conidia spherical or subspherical in shape, 2.6–4.5 μm. Conidial chains loose, nearly cylindrical, or irregular. | [28,44] |
| Penicillium sp. SMB-24 | Greenish-yellow with white dots and streaks. Cottony, yellowish, striated. | Green, cottony whitish. Rough yellowish. | Colonies reached 70 mm after the fifth day in PDA at 30 °C and 70 mm in seven days in YES at 30 °C. | It has septate hyaline hyphae. | Short conidiophores, in the shape of small trees, with branches called phialides in numbers of 3 or 4. Cylindrical conidia. | This study |
| Penicillium sp. SMB-25 | Greenish, cottony texture. Greenish-yellow, flat. | Yellowish-green, cottony whitish. Greenish-yellow light edges. | Colonies reached 80 mm after the fifth day in PDA at 30 °C and 80 mm in seven days in YES at 30 °C. | It has septate hyaline hyphae. | Short conidiophores, in the shape of small trees, with branches called phialides in numbers of 3 or 4. Cylindrical conidia. Conidiophores smaller than in 24 and 26. | This study |
| Penicillium sp. SMB-26 | Greenish-yellow with white dots. Cottony, yellowish, flat | Green, cottony whitish. Rough yellowish. | Colonies reached 70 mm after the fifth day in PDA at 30 °C and 90 mm in seven days in YES at 30 °C. | It has septate hyaline hyphae. | Short conidiophores, in the shape of small trees, with branches called phialides in numbers of 3 or 4. Cylindrical conidia. | This study |
| Endophytic Fungi | Pathogenic Bacteria | Inhibition (µg/mL) | |||||
|---|---|---|---|---|---|---|---|
| 2000 | 1000 | 500 | 250 | 125 | 62.5 | ||
| Neopestalotiopsis sp. SMB-23 | S. aureus | - | - | - | - | - | - |
| E. coli | - | - | - | - | - | - | |
| E. faecalis | - | - | - | - | - | - | |
| Penicillium sp. SMB-24 | S. aureus | + | + | + | - | - | - |
| E. coli | ++ | + | + | + | - | - | |
| E. faecalis | ++ | + | - | - | - | - | |
| Penicillium sp. SMB-25 | S. aureus | ++ | ++ | + | - | - | - |
| E. coli | +++ | ++ | ++ | ++ | ++ | + | |
| E. faecalis | ++ | - | - | - | - | - | |
| Penicillium sp. SMB-26 | S. aureus | ++ | ++ | ++ | + | + | - |
| E. coli | ++ | ++ | ++ | ++ | ++ | + | |
| E. faecalis | ++ | + | - | - | - | - | |
| Aspergillus sp. SMB-27 | S. aureus | - | - | - | - | - | - |
| E. coli | - | - | - | - | - | - | |
| E. faecalis | - | - | - | - | - | - | |
| Endophytic Fungi | MIC (µg/mL) | Inhibition (%) at 250 µg/mL | ||||
|---|---|---|---|---|---|---|
| S. sureus | E. coli | E. faecalis | S. sureus | E. coli | E. faecalis | |
| Neopestalotiopsis sp. SMB-23 | - | - | - | - | - | - |
| Penicillium sp. SMB-24 | 500 | 250 | 1000 | 62.3 | 87.1 | 61.8 |
| Penicillium sp. SMB-25 | 500 | 62.5 | 2000 | - | 97.7 | 61.0 |
| Penicillium sp. SMB-26 | 125 | 62.5 | 1000 | 83.1 | 96.4 | 59.4 |
| Aspergillus sp. SMB-27 | - | - | - | - | - | - |
Disclaimer/Publisher’s Note: The statements, opinions and data contained in all publications are solely those of the individual author(s) and contributor(s) and not of MDPI and/or the editor(s). MDPI and/or the editor(s) disclaim responsibility for any injury to people or property resulting from any ideas, methods, instructions or products referred to in the content. |
© 2024 by the authors. Licensee MDPI, Basel, Switzerland. This article is an open access article distributed under the terms and conditions of the Creative Commons Attribution (CC BY) license (https://creativecommons.org/licenses/by/4.0/).
Share and Cite
Mendieta-Brito, S.; Sayed, M.; Son, E.; Kim, D.-S.; Dávila, M.; Pyo, S.-H. Identification, Characterization, and Antibacterial Evaluation of Five Endophytic Fungi from Psychotria poeppigiana Müll. Arg., an Amazon Plant. Microorganisms 2024, 12, 1590. https://doi.org/10.3390/microorganisms12081590
Mendieta-Brito S, Sayed M, Son E, Kim D-S, Dávila M, Pyo S-H. Identification, Characterization, and Antibacterial Evaluation of Five Endophytic Fungi from Psychotria poeppigiana Müll. Arg., an Amazon Plant. Microorganisms. 2024; 12(8):1590. https://doi.org/10.3390/microorganisms12081590
Chicago/Turabian StyleMendieta-Brito, Sonia, Mahmoud Sayed, Eunjung Son, Dong-Seon Kim, Marcelo Dávila, and Sang-Hyun Pyo. 2024. "Identification, Characterization, and Antibacterial Evaluation of Five Endophytic Fungi from Psychotria poeppigiana Müll. Arg., an Amazon Plant" Microorganisms 12, no. 8: 1590. https://doi.org/10.3390/microorganisms12081590
APA StyleMendieta-Brito, S., Sayed, M., Son, E., Kim, D.-S., Dávila, M., & Pyo, S.-H. (2024). Identification, Characterization, and Antibacterial Evaluation of Five Endophytic Fungi from Psychotria poeppigiana Müll. Arg., an Amazon Plant. Microorganisms, 12(8), 1590. https://doi.org/10.3390/microorganisms12081590

