Genotyping and Phenotyping of Indigenous Saccharomyces cerevisiae from a New Zealand Organic Winery and Commercial Sources Using Inter-Delta and MALDI-TOF MS Typing
Abstract
1. Introduction
2. Materials and Methods
2.1. Yeast Strains
2.2. Inter-Delta Polymorphism Analysis
2.3. MALDI-TOF MS
2.3.1. Sample Preparation
2.3.2. Mass Spectra Acquisition
2.3.3. Data Analysis
3. Results
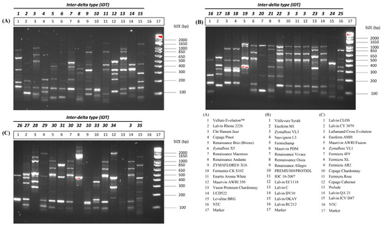
3.1. Inter-Delta Polymorphism of Commercial Strains
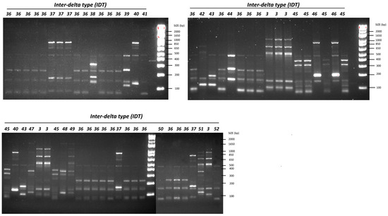
3.2. Inter-Delta Polymorphism of Wild Isolates
3.3. MALDI Profile Analysis
4. Discussion
5. Conclusions
Supplementary Materials
Author Contributions
Funding
Data Availability Statement
Acknowledgments
Conflicts of Interest
References
- Swiegers, J.; Bartowsky, E.; Henschke, P.; Pretorius, I. Yeast and bacterial modulation of wine aroma and flavour. Aust. J. Grape Wine Res. 2005, 11, 139–173. [Google Scholar] [CrossRef]
- Overton, J.; Murray, W. Finding a place for New Zealand wine: Terroir and regional denominations. In Social, Cultural and Economic Impacts of Wine in New Zealand; Routledge: Londonn, UK, 2014; pp. 55–71. [Google Scholar]
- Capece, A.; Romaniello, R.; Siesto, G.; Romano, P. Diversity of Saccharomyces cerevisiae yeasts associated to spontaneously fermenting grapes from an Italian “heroic vine-growing area”. Food Microbiol. 2012, 31, 159–166. [Google Scholar] [CrossRef] [PubMed]
- Knight, S.; Klaere, S.; Fedrizzi, B.; Goddard, M.R. Regional microbial signatures positively correlate with differential wine phenotypes: Evidence for a microbial aspect to terroir. Sci. Rep. 2015, 5, 14233. [Google Scholar] [CrossRef] [PubMed]
- Esteve-Zarzoso, B.; Gostíncar, A.; Bobet, R.; Uruburu, F.; Querol, A. Selection and molecular characterization of wine yeasts isolated from the ‘El Penedès’ area (Spain). Food Microbiol. 2000, 17, 553–562. [Google Scholar] [CrossRef]
- Padilla, B.; Zulian, L.; Ferreres, A.; Pastor, R.; Esteve-Zarzoso, B.; Beltran, G.; Mas, A. Sequential Inoculation of Native Non-Saccharomyces and Saccharomyces cerevisiae Strains for Wine Making. Front. Microbiol. 2017, 8, 267961. [Google Scholar] [CrossRef] [PubMed]
- Liu, P.-T.; Lu, L.; Duan, C.-Q.; Yan, G.-L. The contribution of indigenous non-Saccharomyces wine yeast to improved aromatic quality of Cabernet Sauvignon wines by spontaneous fermentation. LWT—Food Sci. Technol. 2016, 71, 356–363. [Google Scholar] [CrossRef]
- Ilieva, F.; Kostadinovic Velickovska, S.; Dimovska, V.; Mirhosseini, H.; Spasov, H. Selection of 80 newly isolated autochthonous yeast strains from the Tikves region of Macedonia and their impact on the quality of red wines produced from Vranec and Cabernet Sauvignon grape varieties. Food Chem. 2017, 216, 309–315. [Google Scholar] [CrossRef] [PubMed]
- Higgins, P.; Grace, C.A.; Lee, S.A.; Goddard, M.R. Whole-genome sequencing from the New Zealand Saccharomyces cerevisiae population reveals the genomic impacts of novel microbial range expansion. G3 2021, 11, jkaa027. [Google Scholar] [CrossRef] [PubMed]
- Gayevskiy, V.; Goddard, M.R. Geographic delineations of yeast communities and populations associated with vines and wines in New Zealand. ISME J. 2012, 6, 1281–1290. [Google Scholar] [CrossRef] [PubMed]
- Binati, R.L.; Innocente, G.; Gatto, V.; Celebrin, A.; Polo, M.; Felis, G.E.; Torriani, S. Exploring the diversity of a collection of native non-Saccharomyces yeasts to develop co-starter cultures for winemaking. Food Res. Int. 2019, 122, 432–442. [Google Scholar] [CrossRef] [PubMed]
- Trabalzini, L.; Paffetti, A.; Scaloni, A.; Talamo, F.; Ferro, E.; Coratza, G.; Bovalini, L.; Lusini, P.; Martelli, P.; Santucci, A. Proteomic response to physiological fermentation stresses in a wild-type wine strain of Saccharomyces cerevisiae. Biochem. J. 2003, 370, 35–46. [Google Scholar] [CrossRef] [PubMed]
- Szopinska, A.; Christ, E.; Planchon, S.; Konig, H.; Evers, D.; Renaut, J. Stuck at work? Quantitative proteomics of environmental wine yeast strains reveals the natural mechanism of overcoming stuck fermentation. Proteomics 2016, 16, 593–608. [Google Scholar] [CrossRef] [PubMed]
- Zhang, J.; Plowman, J.E.; Tian, B.; Clerens, S.; On, S.L.W. Application of MALDI-TOF analysis to reveal diversity and dynamics of winemaking yeast species in wild-fermented, organically produced, New Zealand Pinot Noir wine. Food Microbiol. 2021, 99, 103824. [Google Scholar] [CrossRef] [PubMed]
- Zhang, J.; Plowman, J.E.; Tian, B.; Clerens, S.; On, S.L. An improved method for MALDI-TOF analysis of wine-associated yeasts. J. Microbiol. Methods 2020, 172, 105904. [Google Scholar]
- Zhang, J.; Plowman, J.E.; Tian, B.; Clerens, S.; On, S.L.W. Predictive Potential of MALDI-TOF Analyses for Wine and Brewing Yeast. Microorganisms 2022, 10, 265. [Google Scholar] [CrossRef] [PubMed]
- Usbeck, J.C.; Wilde, C.; Bertrand, D.; Behr, J.; Vogel, R.F. Wine yeast typing by MALDI-TOF MS. Appl. Microbiol. Biotechnol. 2014, 98, 3737–3752. [Google Scholar] [CrossRef] [PubMed]
- Posteraro, B.; De Carolis, E.; Vella, A.; Sanguinetti, M. MALDI-TOF mass spectrometry in the clinical mycology laboratory: Identification of fungi and beyond. Expert Rev. Proteom. 2013, 10, 151–164. [Google Scholar] [CrossRef]
- Guerrini, S.; Barbato, D.; Guerrini, L.; Mari, E.; Buscioni, G.; Mangani, S.; Romboli, Y.; Galli, V.; Parenti, A.; Granchi, L. Selection of Indigenous Saccharomyces cerevisiae Strains and Exploitation of a Pilot-Plant to Produce Fresh Yeast Starter Cultures in a Winery. Fermentation 2021, 7, 99. [Google Scholar] [CrossRef]
- Xufre, A.; Albergaria, H.; Girio, F.; Spencer-Martins, I. Use of interdelta polymorphisms of Saccharomyces cerevisiae strains to monitor population evolution during wine fermentation. J. Ind. Microbiol. Biotechnol. 2011, 38, 127–132. [Google Scholar] [CrossRef] [PubMed]
- Legras, J.-L.; Karst, F. Optimisation of interdelta analysis for Saccharomyces cerevisiaestrain characterisation. FEMS Microbiol. Lett. 2003, 221, 249–255. [Google Scholar] [CrossRef] [PubMed]
- Borg, I.; Groenen, P.J. Modern Multidimensional Scaling: Theory and Applications; Springer Science & Business Media: Berlin/Heidelberg, Germany, 2007. [Google Scholar]
- Granchi, L.; Ganucci, D.; Buscioni, G.; Mangani, S.; Guerrini, S. The Biodiversity of Saccharomyces cerevisiae in Spontaneous Wine Fermentation: The Occurrence and Persistence of Winery-Strains. Fermentation 2019, 5, 86. [Google Scholar] [CrossRef]
- Liu, Y.; Rousseaux, S.; Tourdot-Marechal, R.; Sadoudi, M.; Gougeon, R.; Schmitt-Kopplin, P.; Alexandre, H. Wine microbiome: A dynamic world of microbial interactions. Crit. Rev. Food Sci. Nutr. 2017, 57, 856–873. [Google Scholar] [CrossRef]
- Varela, C.; Borneman, A.R. Yeasts found in vineyards and wineries. Yeast 2017, 34, 111–128. [Google Scholar] [CrossRef] [PubMed]
- Lappa, I.K.; Kachrimanidou, V.; Pateraki, C.; Koulougliotis, D.; Eriotou, E.; Kopsahelis, N. Indigenous yeasts: Emerging trends and challenges in winemaking. Curr. Opin. Food Sci. 2020, 32, 133–143. [Google Scholar] [CrossRef]
- Davydenko, S.; Meledina, T.; Mittenberg, A.; Shabelnikov, S.; Vonsky, M.; Morozov, A. Proteomics Answers Which Yeast Genes Are Specific for Baking, Brewing, and Ethanol Production. Bioengineering 2020, 7, 147. [Google Scholar] [CrossRef] [PubMed]
- Zhang, J.; Plowman, J.E.; Tian, B.; Clerens, S.; On, S.L.W. The influence of growth conditions on MALDI-TOF MS spectra of winemaking yeast: Implications for industry applications. J. Microbiol. Methods 2021, 188, 106280. [Google Scholar] [CrossRef]
- Fuchs, S.M.; Quasem, I. Budding yeast as a model to study epigenetics. Drug Discov. Today Dis. Models 2014, 12, 1–6. [Google Scholar] [CrossRef]
- O’Kane, C.J.; Hyland, E.M. Yeast epigenetics: The inheritance of histone modification states. Biosci. Rep. 2019, 39, BSR20182006. [Google Scholar] [CrossRef]
- Suresh, S. Role of DNA Methylation in Wine Yeast: A Dissertation Submitted in Partial Fulfilment of the Requirements for the Degree of Master of Science in Food Innovation at Lincoln University. Master’s Thesis, Lincoln University, Lincoln, New Zealand, 2021. [Google Scholar]
- Styger, G.; Prior, B.; Bauer, F.F. Wine flavor and aroma. J. Ind. Microbiol. Biotechnol. 2011, 38, 1145–1159. [Google Scholar] [CrossRef] [PubMed]
- Welker, M. Proteomics for routine identification of microorganisms. Proteomics 2011, 11, 3143–3153. [Google Scholar] [CrossRef] [PubMed]
- Nikolaou, E.; Soufleros, E.H.; Bouloumpasi, E.; Tzanetakis, N. Selection of indigenous Saccharomyces cerevisiae strains according to their oenological characteristics and vinification results. Food Microbiol. 2006, 23, 205–211. [Google Scholar] [CrossRef]








| SV1 [1] | SV2 [3] | SV3 [8] | SV4 [22] | SW2 [3] | SW3 [6] | SW4 [17] |
|---|---|---|---|---|---|---|
| IDT 50 * (1) | IDT 36 (3) | IDT 36 (5) | IDT 36 (5) | IDT 36 (3) | IDT 36 (5) | IDT 36 (5) |
| IDT 37 (3) | IDT 3 (3) | IDT 37 (1) | IDT 45 (4) | |||
| IDT 45 (2) | IDT 3 (3) | |||||
| IDT 37 (1) | IDT 46 * (2) | |||||
| IDT 38 * (1) | IDT 42 * (1) | |||||
| IDT 39 * (1) | IDT 43 (1) | |||||
| IDT 40 * (2) | IDT 44 * (1) | |||||
| IDT 41 * (1) | ||||||
| IDT 43 (1) | ||||||
| IDT 47 * (1) | ||||||
| IDT 48 * (1) | ||||||
| IDT 49 * (1) | ||||||
| IDT 51 * (1) | ||||||
| IDT 52 * (1) |
| No. | Strain | Number of Isolates | Source |
|---|---|---|---|
| 1 | IDT 36 | 26 | Winery/Vineyard |
| 2 | IDT 3 | 6 | Winery/Vineyard |
| 3 | IDT 45 | 6 | Winery/Vineyard |
| 4 | IDT 37 | 5 | Winery/Vineyard |
| 5 | IDT 40 | 2 | Vineyard |
| 6 | IDT 43 | 2 | Vineyard |
| 7 | IDT 46 | 2 | Winery |
| 8 | IDT 38 | 1 | Vineyard |
| 9 | IDT 39 | 1 | Vineyard |
| 10 | IDT 41 | 1 | Vineyard |
| 11 | IDT 50 | 1 | Vineyard |
| 12 | IDT 51 | 1 | Vineyard |
| 13 | IDT 52 | 1 | Vineyard |
| 14 | IDT 47 | 1 | Vineyard |
| 15 | IDT 48 | 1 | Vineyard |
| 16 | IDT 49 | 1 | Vineyard |
| 17 | IDT 42 | 1 | Winery |
| 18 | IDT 44 | 1 | Winery |
Disclaimer/Publisher’s Note: The statements, opinions and data contained in all publications are solely those of the individual author(s) and contributor(s) and not of MDPI and/or the editor(s). MDPI and/or the editor(s) disclaim responsibility for any injury to people or property resulting from any ideas, methods, instructions or products referred to in the content. |
© 2024 by the authors. Licensee MDPI, Basel, Switzerland. This article is an open access article distributed under the terms and conditions of the Creative Commons Attribution (CC BY) license (https://creativecommons.org/licenses/by/4.0/).
Share and Cite
Zhang, J.; Plowman, J.E.; Tian, B.; Clerens, S.; On, S.L.W. Genotyping and Phenotyping of Indigenous Saccharomyces cerevisiae from a New Zealand Organic Winery and Commercial Sources Using Inter-Delta and MALDI-TOF MS Typing. Microorganisms 2024, 12, 1299. https://doi.org/10.3390/microorganisms12071299
Zhang J, Plowman JE, Tian B, Clerens S, On SLW. Genotyping and Phenotyping of Indigenous Saccharomyces cerevisiae from a New Zealand Organic Winery and Commercial Sources Using Inter-Delta and MALDI-TOF MS Typing. Microorganisms. 2024; 12(7):1299. https://doi.org/10.3390/microorganisms12071299
Chicago/Turabian StyleZhang, Junwen, Jeffrey E. Plowman, Bin Tian, Stefan Clerens, and Stephen L. W. On. 2024. "Genotyping and Phenotyping of Indigenous Saccharomyces cerevisiae from a New Zealand Organic Winery and Commercial Sources Using Inter-Delta and MALDI-TOF MS Typing" Microorganisms 12, no. 7: 1299. https://doi.org/10.3390/microorganisms12071299
APA StyleZhang, J., Plowman, J. E., Tian, B., Clerens, S., & On, S. L. W. (2024). Genotyping and Phenotyping of Indigenous Saccharomyces cerevisiae from a New Zealand Organic Winery and Commercial Sources Using Inter-Delta and MALDI-TOF MS Typing. Microorganisms, 12(7), 1299. https://doi.org/10.3390/microorganisms12071299

