Epidemiological Investigation of Goose Astrovirus in Hebei Province, China, 2019–2021
Abstract
1. Introduction
2. Materials and Methods
2.1. Clinical Cases and Sample Collection
2.2. Virus Detection
2.3. Histopathological Examination
2.4. Virus Isolation and Identification
2.5. Whole-Genome Sequencing
2.6. Genetic Diversity Analysis
3. Results
3.1. Clinical Symptoms
3.2. Geographic and Temporal Distribution of Samples That Tested Positive for GAstV
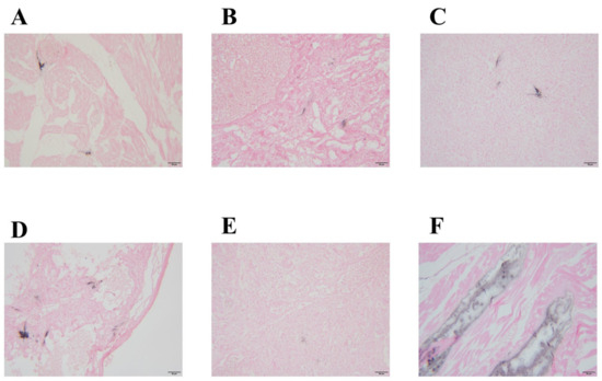
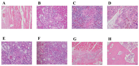
3.3. Histopathological Changes
3.4. Virus Isolation and Phylogenetic Trees
4. Discussion
5. Conclusions
Supplementary Materials
Author Contributions
Funding
Institutional Review Board Statement
Data Availability Statement
Conflicts of Interest
References
- Liu, C.; Sun, M.; Liao, M. A Review of Emerging Goose Astrovirus Causing Gout. BioMed Res. Int. 2022, 2022, 1635373. [Google Scholar] [CrossRef] [PubMed]
- Cortez, V.; Meliopoulos, V.A.; Karlsson, E.A.; Hargest, V.; Johnson, C.; Schultz-Cherry, S. Astrovirus Biology and Pathogenesis. Annu. Rev. Virol. 2017, 4, 327–348. [Google Scholar] [CrossRef]
- Yang, J.; Tian, J.; Tang, Y.; Diao, Y. Isolation and genomic characterization of gosling gout caused by a novel goose astrovirus. Transbound. Emerg. Dis. 2018, 65, 1689–1696. [Google Scholar] [CrossRef]
- Li, L.; Sun, M.; Zhang, Y.; Liao, M. A Review of the Emerging Poultry Visceral Gout Disease Linked to Avian Astrovirus Infection. Int. J. Mol. Sci. 2022, 23, 10429. [Google Scholar] [CrossRef]
- Wohlgemuth, N.; Honce, R.; Schultz-Cherry, S. Astrovirus evolution and emergence. Infect. Genet. Evol. J. Mol. Epidemiol. Evol. Genet. Infect. Dis. 2019, 69, 30–37. [Google Scholar] [CrossRef] [PubMed]
- Zhang, P.; Su, H.; Peng, R.; Chan, J.F.; Bai, S.; Wang, G.; Huang, Y.; Hu, X.; Luo, J.; Liu, S.; et al. Identification of a Novel Astrovirus in Pinnipeds. Front. Microbiol. 2022, 13, 845601. [Google Scholar] [CrossRef] [PubMed]
- Wang, A.P.; Zhang, S.; Xie, J.; Gu, L.L.; Wu, S.; Wu, Z.; Liu, L.; Feng, Q.; Dong, H.Y.; Zhu, S.Y. Isolation and characterization of a goose astrovirus 1 strain causing fatal gout in goslings, China. Poult. Sci. 2021, 100, 101432. [Google Scholar] [CrossRef]
- De Benedictis, P.; Schultz-Cherry, S.; Burnham, A.; Cattoli, G. Astrovirus infections in humans and animals—Molecular biology, genetic diversity, and interspecies transmissions. Infect. Genet. Evol. J. Mol. Epidemiol. Evol. Genet. Infect. Dis. 2011, 11, 1529–1544. [Google Scholar] [CrossRef] [PubMed]
- Zhang, Y.; Wang, F.; Liu, N.; Yang, L.; Zhang, D. Complete genome sequence of a novel avastrovirus in goose. Arch. Virol. 2017, 162, 2135–2139. [Google Scholar] [CrossRef] [PubMed]
- Donato, C.; Vijaykrishna, D. The Broad Host Range and Genetic Diversity of Mammalian and Avian Astroviruses. Viruses 2017, 9, 102. [Google Scholar] [CrossRef]
- Fernández-Correa, I.; Truchado, D.A.; Gomez-Lucia, E.; Doménech, A.; Pérez-Tris, J.; Schmidt-Chanasit, J.; Cadar, D.; Benítez, L. A novel group of avian astroviruses from Neotropical passerine birds broaden the diversity and host range of Astroviridae. Sci. Rep. 2019, 9, 9513. [Google Scholar] [CrossRef]
- He, D.; Yang, J.; Jiang, X.; Lin, Y.; Chen, H.; Tang, Y.; Diao, Y. A quantitative loop-mediated isothermal amplification assay for detecting a novel goose astrovirus. Poult. Sci. 2020, 99, 6586–6592. [Google Scholar] [CrossRef] [PubMed]
- Jin, M.; Wang, X.; Ning, K.; Liu, N.; Zhang, D. Genetic characterization of a new astrovirus in goslings suffering from gout. Arch. Virol. 2018, 163, 2865–2869. [Google Scholar] [CrossRef] [PubMed]
- Fei, Z.; Jiao, A.; Xu, M.; Wu, J.; Wang, Y.; Yu, J.; Lu, L.; Jiang, W.; Zhu, G.; Sun, W.; et al. Genetic diversity and evolution of goose astrovirus in the east of China. Transbound. Emerg. Dis. 2022, 69, e2059–e2072. [Google Scholar] [CrossRef]
- Zhang, X.; Deng, T.; Song, Y.; Liu, J.; Jiang, Z.; Peng, Z.; Guo, Y.; Yang, L.; Qiao, H.; Xia, Y.; et al. Identification and genomic characterization of emerging goose astrovirus in central China, 2020. Transbound. Emerg. Dis. 2022, 69, 1046–1055. [Google Scholar] [CrossRef] [PubMed]
- Zhang, F.; Li, H.; Wei, Q.; Xie, Q.; Zeng, Y.; Wu, C.; Yang, Q.; Tan, J.; Tan, M.; Kang, Z. Isolation and phylogenetic analysis of goose astrovirus type 1 from goslings with gout in Jiangxi province, China. Poult. Sci. 2022, 101, 101800. [Google Scholar] [CrossRef] [PubMed]
- Zhang, Q.; Cao, Y.; Wang, J.; Fu, G.; Sun, M.; Zhang, L.; Meng, L.; Cui, G.; Huang, Y.; Hu, X.; et al. Isolation and characterization of an astrovirus causing fatal visceral gout in domestic goslings. Emerg. Microbes Infect. 2018, 7, 71. [Google Scholar] [CrossRef] [PubMed]
- Zhu, Y.; Wang, H.; Hua, J.; Ye, W.; Chen, L.; Ni, Z.; Yun, T.; Ma, J.; Yao, H.; Bao, E.; et al. Isolation and Pathogenicity of a Novel Goose Astrovirus from Overfed Adult Landaise Geese in China. Viruses 2022, 14, 2806. [Google Scholar] [CrossRef] [PubMed]
- He, D.; Jiang, X.; Tian, M.; Niu, X.; Wei, F.; Wu, B.; Gao, L.; Tang, Y.; Diao, Y. Pathogenicity of goose astrovirus genotype 2 in chickens. Poult. Sci. 2023, 102, 102808. [Google Scholar] [CrossRef] [PubMed]
- Liu, N.; Jiang, M.; Dong, Y.; Wang, X.; Zhang, D. Genetic characterization of a novel group of avastroviruses in geese. Transbound. Emerg. Dis. 2018, 65, 927–932. [Google Scholar] [CrossRef] [PubMed]
- Chen, Q.; Xu, X.; Yu, Z.; Sui, C.; Zuo, K.; Zhi, G.; Ji, J.; Yao, L.; Kan, Y.; Bi, Y.; et al. Characterization and genomic analysis of emerging astroviruses causing fatal gout in goslings. Transbound. Emerg. Dis. 2020, 67, 865–876. [Google Scholar] [CrossRef]
- Yin, D.; Tian, J.; Yang, J.; Tang, Y.; Diao, Y. Pathogenicity of novel goose-origin astrovirus causing gout in goslings. BMC Vet. Res. 2021, 17, 40. [Google Scholar] [CrossRef] [PubMed]
- Chen, H.; Zhang, B.; Yan, M.; Diao, Y.; Tang, Y. First report of a novel goose astrovirus outbreak in Cherry Valley ducklings in China. Transbound. Emerg. Dis. 2020, 67, 1019–1024. [Google Scholar] [CrossRef] [PubMed]
- Xu, J.; Gao, L.; Zhu, P.; Chen, S.; Chen, Z.; Yan, Z.; Lin, W.; Yin, L.; Javed, M.T.; Tang, Z.; et al. Isolation, identification, and pathogenicity analysis of newly emerging gosling astrovirus in South China. Front. Microbiol. 2023, 14, 1112245. [Google Scholar] [CrossRef] [PubMed]
- Maiuolo, J.; Oppedisano, F.; Gratteri, S.; Muscoli, C.; Mollace, V. Regulation of uric acid metabolism and excretion. Int. J. Cardiol. 2016, 213, 8–14. [Google Scholar] [CrossRef] [PubMed]
- Wu, W.; Xu, R.; Lv, Y.; Bao, E. Goose astrovirus infection affects uric acid production and excretion in goslings. Poult. Sci. 2020, 99, 1967–1974. [Google Scholar] [CrossRef] [PubMed]
- Hasegawa, M.; Kusuhara, H.; Adachi, M.; Schuetz, J.D.; Takeuchi, K.; Sugiyama, Y. Multidrug resistance-associated protein 4 is involved in the urinary excretion of hydrochlorothiazide and furosemide. J. Am. Soc. Nephrol. JASN 2007, 18, 37–45. [Google Scholar] [CrossRef] [PubMed]
- Bataille, A.M.; Goldmeyer, J.; Renfro, J.L. Avian renal proximal tubule epithelium urate secretion is mediated by Mrp4. Am. J. Physiol. Regul. Integr. Comp. Physiol. 2008, 295, R2024–R2033. [Google Scholar] [CrossRef] [PubMed]
- Huang, H.; Ding, R.; Chen, Z.; Yi, Z.; Wang, H.; Lv, Y.; Bao, E. Goose nephritic astrovirus infection increases autophagy, destroys intercellular junctions in renal tubular epithelial cells, and damages podocytes in the kidneys of infected goslings. Vet. Microbiol. 2021, 263, 109244. [Google Scholar] [CrossRef] [PubMed]
- Wei, F.; Yang, J.; He, D.; Diao, Y.; Tang, Y. Evidence of vertical transmission of novel astrovirus virus in goose. Vet. Microbiol. 2020, 244, 108657. [Google Scholar] [CrossRef] [PubMed]






| Origin City | Numbers | Clinical Symptoms | ||||
|---|---|---|---|---|---|---|
| Mental Depression * | No Appetite for Food | Weight Loss | Difficulty Walking | White Feces | ||
| Shijiazhuang | 73 | 41 | 32 | 15 | 52 | 36 |
| Baoding | 85 | 32 | 67 | 43 | 37 | 53 |
| Cangzhou | 66 | 43 | 26 | 29 | 41 | 29 |
| Hengshui | 64 | 35 | 42 | 36 | 28 | 37 |
| Xingtai | 51 | 26 | 29 | 37 | 21 | 38 |
| Langfang | 29 | 19 | 11 | 17 | 21 | 19 |
| Dingzhou | 80 | 65 | 39 | 67 | 57 | 69 |
| Tangshan | 26 | 12 | 19 | 11 | 14 | 11 |
| Total numbers | 474 | 273 | 265 | 255 | 271 | 292 |
Disclaimer/Publisher’s Note: The statements, opinions and data contained in all publications are solely those of the individual author(s) and contributor(s) and not of MDPI and/or the editor(s). MDPI and/or the editor(s) disclaim responsibility for any injury to people or property resulting from any ideas, methods, instructions or products referred to in the content. |
© 2024 by the authors. Licensee MDPI, Basel, Switzerland. This article is an open access article distributed under the terms and conditions of the Creative Commons Attribution (CC BY) license (https://creativecommons.org/licenses/by/4.0/).
Share and Cite
Chen, L.; Cui, H.; Li, J.; Zhang, Y.; Wang, H.; Yang, Y.; Wang, X.; Zhang, C.; Liu, J. Epidemiological Investigation of Goose Astrovirus in Hebei Province, China, 2019–2021. Microorganisms 2024, 12, 990. https://doi.org/10.3390/microorganisms12050990
Chen L, Cui H, Li J, Zhang Y, Wang H, Yang Y, Wang X, Zhang C, Liu J. Epidemiological Investigation of Goose Astrovirus in Hebei Province, China, 2019–2021. Microorganisms. 2024; 12(5):990. https://doi.org/10.3390/microorganisms12050990
Chicago/Turabian StyleChen, Ligong, Huan Cui, Jiaqi Li, Yuxin Zhang, Heng Wang, Yejin Yang, Xuejing Wang, Cheng Zhang, and Juxiang Liu. 2024. "Epidemiological Investigation of Goose Astrovirus in Hebei Province, China, 2019–2021" Microorganisms 12, no. 5: 990. https://doi.org/10.3390/microorganisms12050990
APA StyleChen, L., Cui, H., Li, J., Zhang, Y., Wang, H., Yang, Y., Wang, X., Zhang, C., & Liu, J. (2024). Epidemiological Investigation of Goose Astrovirus in Hebei Province, China, 2019–2021. Microorganisms, 12(5), 990. https://doi.org/10.3390/microorganisms12050990
