Enrofloxacin, Effective Treatment of Pseudomonas aeruginosa and Enterococcus faecalis Infection in Oreochromis niloticus
Abstract
1. Introduction
2. Materials and Methods
2.1. Experimental Fish
2.2. Enrofloxacin
2.3. Infectivity Test
2.3.1. Bacterial Isolates
2.3.2. Verification of Bacterial Isolates
2.3.3. Bacterial Inoculum Preparation for the Infectivity Test
2.3.4. Experimental Design
2.4. Clinical Picture
2.5. Histopathological Investigation
2.6. Antimicrobial Susceptibility Tests
2.6.1. Agar Disc Diffusion Test
2.6.2. Broth Dilution Test
2.6.3. Protective Effect of Enrofloxacin against P. aeruginosa and E. faecalis Challenge
3. Results
3.1. Verification of Bacterial Isolates
3.2. Antimicrobial Susceptibility
3.3. Infectivity Test Result
3.4. Clinical Picture
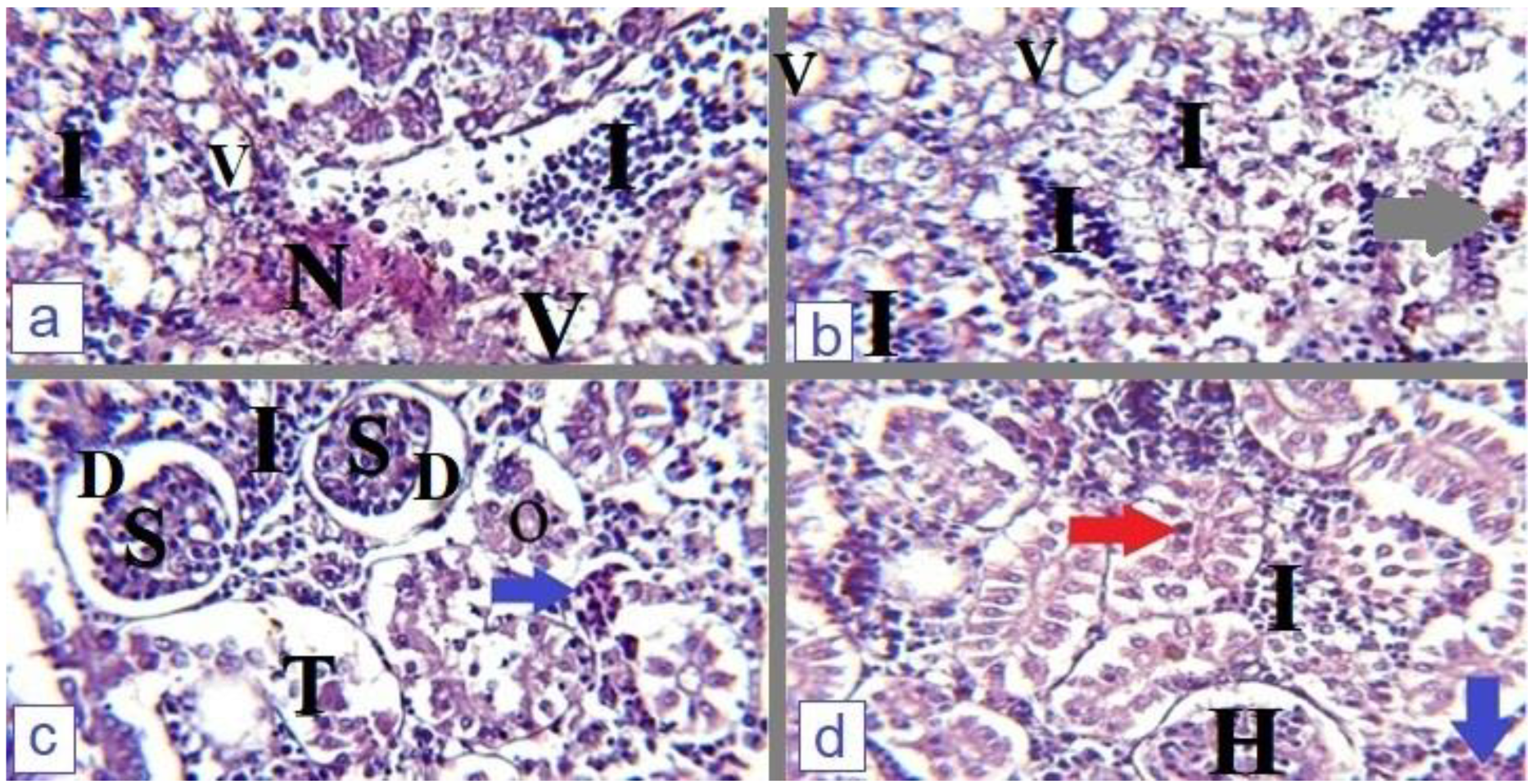
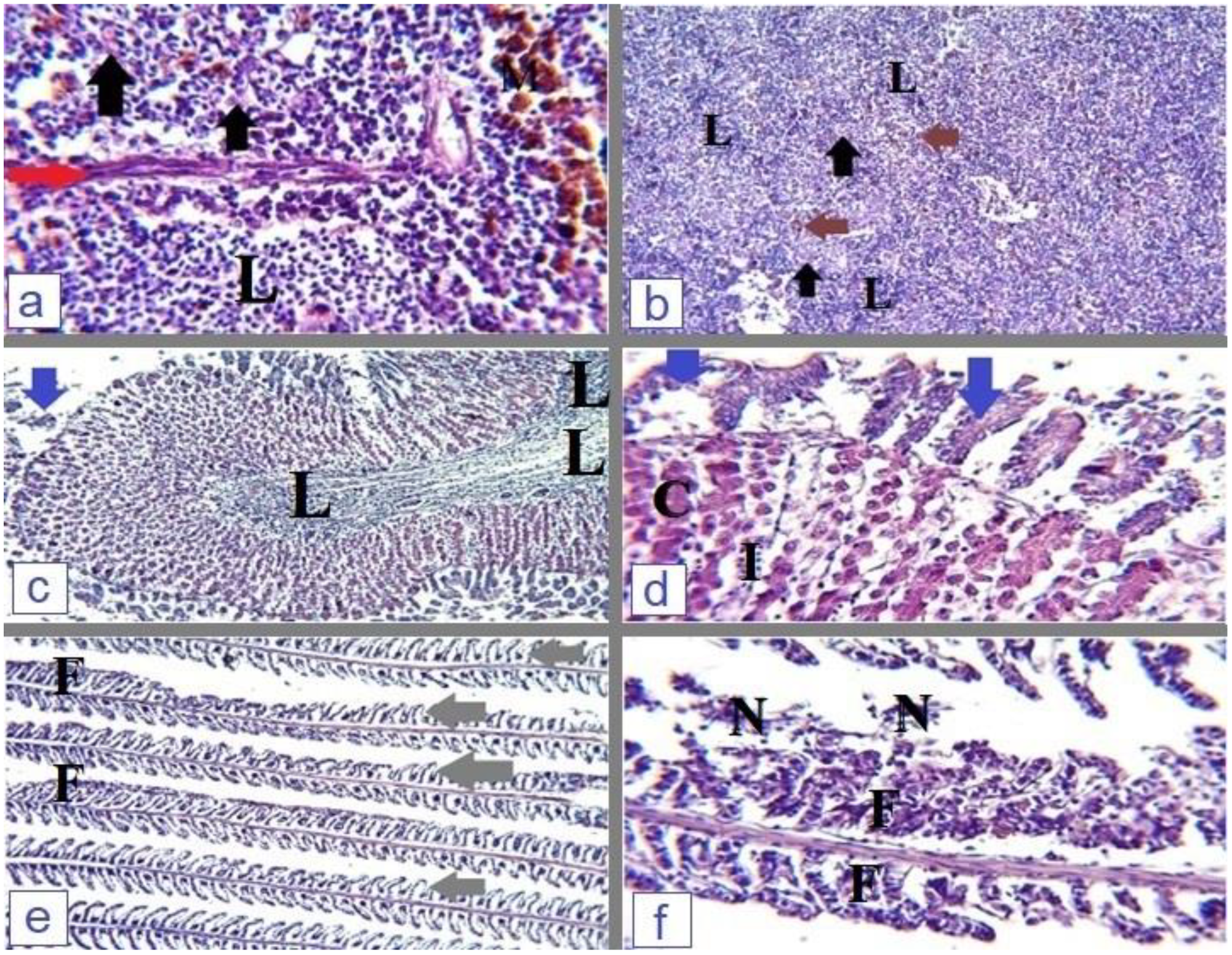
3.5. Histopathological Examination
3.6. Result of the Treatment Trial
4. Discussion
5. Conclusions
Author Contributions
Funding
Institutional Review Board Statement
Data Availability Statement
Conflicts of Interest
References
- Abd-Elhafiz, R. The Current Situation of Fish Production from its Various Sources in Egypt. AJAS 2022, 53, 148–167. [Google Scholar] [CrossRef]
- Ali, S.E.; Mahana, O.; Mohan, C.V.; Delamare-Deboutteville, J.; Elgendy, M.Y. Genetic characterization and antimicrobial profiling of bacterial isolates collected from Nile tilapia (Oreochromis niloticus) affected by summer mortality syndrome. J. Fish Dis. 2022, 45, 1857–1871. [Google Scholar] [CrossRef]
- Abdou, M.S.; El-Gamal, A.M.; Saif, A.S.; Abu-Bryka, A.E.Z.; Abou Zaid, A. A Field Study of Some Bacterial Causes of Mass Mortality Syndrome in Nile Tilapia Fish Farms with a Treatment Trial. Alex. J. Vet. Sci. 2023, 77, 117–126. [Google Scholar] [CrossRef]
- Youssuf, H.; Abdel Gawad, E.A.; El Asely, A.M.; Elabd, H.; Matter, A.F.; Shaheen, A.A.; Abbass, A.A. Insight into summer mortalities syndrome in farmed Nile tilapia (Oreochromis niloticus) associated with bacterial infections. BVMJ 2020, 39, 111–118. [Google Scholar] [CrossRef]
- Ali, N.G.; Aboyadak, I.M.; Gouda, M.Y. Rapid detection and control of Gram-negative bacterial pathogens isolated from summer mortality outbreak affecting tilapia farms. J. Biol. Sci. 2018, 19, 24–33. [Google Scholar] [CrossRef]
- Haenen, O.L.M.; Dong, H.T.; Hoai, T.D.; Crumlish, M.; Karunasagar, I.; Barkham, T.; Chen, S.L.; Zadoks, R.; Kiermeier, A.; Wang, B.; et al. Bacterial diseases of tilapia, their zoonotic potential and risk of antimicrobial resistance. Rev. Aquac. 2023, 15 (Suppl. S1), 154–185. [Google Scholar] [CrossRef]
- Aboyadak, I.M.; Ali, N.G.; Goda, A.M.; Saad, W.; Salam, A.M. Non-Selectivity of R-S Media for Aeromonas hydrophila and TCBS Media for Vibrio Species Isolated from Diseased Oreochromis niloticus. J. Aquac. Res. Dev. 2017, 8, 7. [Google Scholar] [CrossRef]
- LaFrentz, B.R.; García, J.C.; Waldbieser, G.C.; Evenhuis, J.P.; Loch, T.P.; Liles, M.R.; Wong, F.S.; Chang, S.F. Identification of Four Distinct Phylogenetic Groups in Flavobacterium columnare with Fish Host Associations. Front. Microbiol. 2018, 9, 452. [Google Scholar] [CrossRef] [PubMed]
- El-Bahar, H.M.; Ali, N.G.; Aboyadak, I.M.; Khalil, S.A.; Ibrahim, M.S. Virulence genes contributing to Aeromonas hydrophila pathogenicity in Oreochromis niloticus. Int. Microbiol. 2019, 22, 479–490. [Google Scholar] [CrossRef]
- Algammal, A.M.; Mabrok, M.; Sivaramasamy, E.; Youssef, F.M.; Atwa, M.H.; El-kholy, A.W.; Hetta, H.F.; Hozzein, W.N. Emerging MDR-Pseudomonas aeruginosa in fish commonly harbor oprL and toxA virulence genes and blaTEM, blaCTX-M, and tetA antibiotic-resistance genes. Sci. Rep. 2020, 10, 15961. [Google Scholar] [CrossRef]
- Duman, M.; Mulet, M.; Altun, S.; Saticioglu, I.B.; Ozdemir, B.; Ajmi, N.; Lalucat, J.; García-Valdés, E. The diversity of Pseudomonas species isolated from fish farms in Turkey. Aquaculture 2021, 535, 736369. [Google Scholar] [CrossRef]
- Bikouli, V.C.; Doulgeraki, A.I.; Skandamis, P.N. Culture-dependent PCR-DGGE-based fingerprinting to trace fishing origin or storage history of gilthead seabream. Food Control 2021, 130, 108398. [Google Scholar] [CrossRef]
- Rahman, M.; Rahman, M.M.; Deb, S.C.; Alam, M.S.; Alam, M.J.; Islam, M.T. Molecular Identification of Multiple Antibiotic Resistant Fish Pathogenic Enterococcus faecalis and their Control by Medicinal Herbs. Sci. Rep. 2017, 7, 3747. [Google Scholar] [CrossRef] [PubMed]
- Osman, K.M.; da Silva, P.A.; Franco, O.L.; Saad, A.; Hamed, M.; Naim, H.; Ali, A.H.M.; Elbehiry, A. Nile tilapia (Oreochromis niloticus) as an aquatic vector for Pseudomonas species of medical importance: Antibiotic Resistance Association with Biofilm Formation, Quorum Sensing and Virulence. Aquaculture 2021, 532, 736068. [Google Scholar] [CrossRef]
- Araujo, A.J.G.; Grassotti, T.T.; Frazzon, A.P.G. Characterization of Enterococcus spp. isolated from a fish farming environment in southern Brazil. Braz. J. Biol. 2021, 81, 954–961. [Google Scholar] [CrossRef] [PubMed]
- Elgohary, I.; Eissa, A.E.; Fadel, N.G.; Abd Elatief, J.I.; Mahmoud, M.A. Bacteriological, molecular, and pathological studies on the Gram-positive bacteria Aerococcus viridans and Enterococcus faecalis and their effects on Oreochromis niloticus in Egyptian fish farms. Aquac. Res. 2021, 52, 2220–2232. [Google Scholar] [CrossRef]
- Ehsan, R.; Alam, M.; Akter, T.; Paul, S.I.; Foysal, M.J.; Gupta, D.R.; Islam, T.; Rahman, M.M. Enterococcus faecalis involved in streptococcosis like infection in silver barb (Barbonymus gonionotus). Aquac. Rep. 2021, 21, 100868. [Google Scholar] [CrossRef]
- Zhou, K.; Liu, A.; Ma, W.; Sun, L.; Mi, K.; Xu, X.; Algharib, S.A.; Xie, S.; Huang, L. Apply a Physiologically Based Pharmacokinetic Model to Promote the Development of Enrofloxacin Granules: Predict Withdrawal Interval and Toxicity Dose. Antibiotics 2021, 10, 955. [Google Scholar] [CrossRef] [PubMed]
- Ding, Y.; Pang, Y.; Vara, P.C.V.N.S.; Wang, B. Formation of inclusion complex of enrofloxacin with 2-hydroxypropyl-β-cyclodextrin. Drug Deliv. 2020, 27, 334–343. [Google Scholar] [CrossRef]
- Liu, M.; Yin, D.; Fu, H.; Deng, F.; Peng, G.; Shu, G.; Yuan, Z.; Shi, F.; Lin, J.; Zhao, L.; et al. Double-coated enrofloxacin microparticles with chitosan and alginate: Preparation, characterization and taste-masking effect study. Carbohydr. Polym. 2017, 170, 247–253. [Google Scholar] [CrossRef]
- Zhou, K.; Huo, M.; Ma, W.; Mi, K.; Xu, X.; Algharib, S.A.; Xie, S.; Huang, L. Application of a Physiologically Based Pharmacokinetic Model to Develop a Veterinary Amorphous Enrofloxacin Solid Dispersion. Pharmaceutics 2021, 13, 602. [Google Scholar] [CrossRef] [PubMed]
- Vesna, D.; Baltic, M.; Cirkovic, M.; Natasa, K.; Natasa, G.; Stefanovic, S.; Mirjana, M. Quantitative and qualitative determination of enrofloxacin residues in fish tissues. Acta Vet. 2009, 59, 579–589. [Google Scholar] [CrossRef]
- Ali, N.G.; Ali, T.E.; Aboyadak, I.M.; Elbakry, M.A. Controlling Pseudomonas aeruginosa infection in Oreochromis niloticus spawners by cefotaxime sodium. Aquaculture 2021, 544, 737107. [Google Scholar] [CrossRef]
- Wang, W.; Dong, H.; Sun, Y.; Cao, M.; Duan, Y.; Li, H.; Liu, L.; Gu, Q.; Zhang, J. The efficacy of eugenol and tricaine methanesulphonate as anesthetics for juvenile Chinese sea bass (Lateolabrax maculatus) during simulated transport. J. Appl. Ichthyol. 2019, 35, 551–557. [Google Scholar] [CrossRef]
- Ali, N.G.; El-Nokrashy, A.M.; Gouda, M.Y.; Aboyadak, I.M. Summer Mortality Syndrome Affecting Cultured European Seabass at Kafrelsheikh Province, Egypt. Front. Mar. Sci. 2021, 8, 717360. [Google Scholar] [CrossRef]
- Reed, L.J.; Muench, H. A simple method of estimating fifty percent endpoints. Am. J. Epidemiol. 1938, 27, 493–497. [Google Scholar] [CrossRef]
- Austin, B.; Austin, D.A. Bacterial Fish Pathogens: Disease of Farmed and Wild Fish, 6th ed.; Springer International Publishing: Cham, Switzerland, 2016; Available online: https://link.springer.com/book/10.1007/978-3-319-32674-0 (accessed on 17 March 2023).
- Suvarna, S.K.; Layton, C.; Bancroft, J.D. Bancroft’s Theory and Practice of Histological Techniques, 8th ed.; Elsevier: Amsterdam, The Netherlands, 2018. [Google Scholar] [CrossRef]
- CLSI, Clinical and Laboratory Standards Institute Document M45-A. Methods for Antimicrobial Dilution and Disk Susceptibility of Infrequently Isolated or Fastidious Bacteria; Approved Guideline; Clinical and Laboratory Standards Institute: Wayne, PA, USA, 2016; Available online: https://clsi.org/media/1450/m45ed3_sample.pdf (accessed on 31 March 2023).
- Shinn, A.J.; Pratoomyot, J.; Bron, J.; Paladini, G.; Brooker, E.; Brooker, A. Economic costs of protistan and metazoan parasites to global mariculture. Parasitology 2015, 142, 196–270. [Google Scholar] [CrossRef] [PubMed]
- Maldonado-Miranda, J.J.; Castillo-Pérez, L.J.; Ponce-Hernández, A.; Carranza-Alvarez, C. Summary of economic losses due to bacterial pathogens in aquaculture industry. In Bacterial Fish Diseases; Academic Press: Cambridge, MA, USA, 2022; pp. 399–417. ISBN 9780323856249. [Google Scholar] [CrossRef]
- Akter, T.; Haque, M.N.; Ehsan, R.; Paul, S.I.; Foysal, M.J.; Tay, A.C.Y.; Islam, M.T.; Rahman, M.M. Virulence and antibiotic-resistance genes in Enterococcus faecalis associated with streptococcosis disease in fish. Sci. Rep. 2023, 13, 1551. [Google Scholar] [CrossRef]
- Bonnet, M.; Lagier, J.C.; Raoult, D.; Khelaifia, S. Bacterial culture through selective and non-selective conditions: The evolution of culture media in clinical microbiology. NMNI 2020, 34, 100622. [Google Scholar] [CrossRef]
- Weiser, R.; Donoghue, D.; Weightman, A.; Mahenthiralingam, E. Evaluation of five selective media for the detection of Pseudomonas aeruginosa using a strain panel from clinical, environmental and industrial sources. J. Microbiol. Methods 2014, 99, 8–14. [Google Scholar] [CrossRef]
- Corry, J.E.L.; Curtis, G.D.W.; Baird, R.M. M-enterococcus (ME) agar. Prog. Ind. Ecol. 2003, 37, 524–526. [Google Scholar] [CrossRef]
- Knabl, L.; Huber, S.; Lass-Florl, C.; Fuchs, S. Comparison of novel approaches for expedited pathogen identification and antimicrobial susceptibility testing against routine blood culture diagnostics. Lett. Appl. Microbiol. 2021, 73, 2–8. [Google Scholar] [CrossRef]
- Moehario, L.H.; Tjoa, E.; Putranata, H.; Joon, S.; Edbert, D.; Robertus, T. Performance of TDR-300B and VITEKVR 2 for the identification of Pseudomonas aeruginosa in comparison with VITEKVR-MS. J. Int. Med. Res. 2021, 49, 1–12. [Google Scholar] [CrossRef]
- Rizkiantino, R.; Pasaribu, F.H.; Soejoedono, R.D.; Purnama, S.; Wibowo, D.B.; Wibawan, I.W.T. Experimental infection of Enterococcus faecalis in red tilapia (Oreochromis hybrid) revealed low pathogenicity to cause streptococcosis. Open Vet. J. 2021, 11, 309–318. [Google Scholar] [CrossRef] [PubMed]
- Thomas, J.; Thanigaivel, S.; Vijayakumar, S.; Acharya, K.; Shinge, D.; Seelan, T.S.J.; Mukherjee, A.; Chandrasekaran, N. Pathogenicity of Pseudomonas aeruginosa in Oreochromis mossambicus and treatment using lime oil nanoemulsion. Colloids Surf. B Biointerfaces 2014, 116, 372–377. [Google Scholar] [CrossRef]
- Liao, C.; Huang, X.; Wang, Q.; Yao, D.; Lu, W. Virulence Factors of Pseudomonas Aeruginosa and Antivirulence Strategies to Combat Its Drug Resistance. Front. Cell. Infect. Microbiol. 2022, 12, 926758. [Google Scholar] [CrossRef]
- Saikia, D.J.; Chattopadhyay, P.; Banerjee, G.; Talukdar, B.; Sarma, D. Identification and Pathogenicity of Pseudomonas aeruginosa DJ1990 on Tail and Fin Rot Disease in Spotted Snakehead. JWAS 2018, 49, 703–714. [Google Scholar] [CrossRef]
- Oh, W.T.; Kim, J.H.; Jun, J.W.; Giri, S.S.; Yun, S.; Kim, H.J.; Kim, S.G.; Kim, S.W.; Han, S.J.; Kwon, J.; et al. Genetic Characterization and Pathological Analysis of a Novel Bacterial Pathogen, Pseudomonas tructae, in Rainbow Trout (Oncorhynchus mykiss). Microorganisms 2018, 7, 432. [Google Scholar] [CrossRef]
- Ran, H.; Hassett, D.J.; Lau, G.W. Human targets of Pseudomonas aeruginosa pyocyanin. PNAS 2003, 100, 14315–14320. [Google Scholar] [CrossRef]
- Lau, G.W.; Ran, H.; Kong, F.; Hassett, D.J.; Mavrodi, D. Pseudomonas aeruginosa pyocyanin is critical for lung infection in mice. Infect. Immun. 2004, 72, 4275–4278. [Google Scholar] [CrossRef]
- Muller, M. Premature cellular senescence induced by pyocyanin, a redox-active Pseudomonas aeruginosa toxin. Free Radic. Biol. Med. 2006, 41, 1670–1677. [Google Scholar] [CrossRef] [PubMed]
- Hossain, Z. Bacteria: Pseudomonas. In Encyclopedia of Food Safety; Motarjemi, Y., Ed.; Academic Press: Cambridge, MA, USA, 2004; pp. 490–500. ISBN 9780123786135. [Google Scholar] [CrossRef]
- Wu, W.; Jin, Y.; Bai, F.; Jin, S. Chapter 41—Pseudomonas aeruginosa. In Molecular Medical Microbiology, 2nd ed.; Tang, Y., Sussman, M., Liu, D., Poxton, I., Schwartzman, J., Eds.; Academic Press: Cambridge, MA, USA, 2015; pp. 753–767. ISBN 9780123971692. [Google Scholar] [CrossRef]
- Rocha, A.J.; Barsottini, M.R.; Rocha, R.R.; Laurindo, M.V.; de Moraes, F.L.; da Rocha, S.L. Pseudomonas Aeruginosa: Virulence factors and antibiotic resistance genes. Braz. Arch. Biol. Technol. 2019, 62, e19180503. [Google Scholar] [CrossRef]
- Bukhari, S.I.; Aleanizy, F.S. Association of OprF mutant and disturbance of biofilm and pyocyanin virulence in Pseudomonas aeruginosa. SPJ 2020, 28, 196–200. [Google Scholar] [CrossRef] [PubMed]
- Damborg, P.; Top, J.; Hendrickx, A.P.; Dawson, S.; Willems, R.J.; Guardabassi, L. Dogs are a reservoir of ampicillin-resistant Enterococcus faecium lineages associated with human infections. Appl. Environ. Microbiol. 2009, 75, 2360–2365. [Google Scholar] [CrossRef] [PubMed]
- Bonten, M.J.; Willems, R.J. Vancomycin-resistant Enterococcus chronicle of a foretold problem. Ned. Tijdschr. Geneeskd. 2012, 156, A5233. [Google Scholar] [PubMed]
- Zahran, E.; Mahgoub, H.A.; Abdelhamid, F.; Sadeyen, J.-R.; Risha, E. Experimental pathogenesis and host immune responses of Enterococcus faecalis infection in Nile tilapia (Oreochromis niloticus). Aquaculture 2019, 512, 734319. [Google Scholar] [CrossRef]
- Rizkiantino, R.; Wibawan, I.W.T.; Pasaribu, F.H.; Soejoedono, R.D.; Arnafia, W.; Ulyama, V.; Wibowo, D.B. Isolation and characterization of the Enterococcus faecalis strain isolated from red tilapia (Oreochromis hybrid) in Indonesia: A preliminary report. SFS 2020, 7, 27–42. [Google Scholar] [CrossRef]
- Abdelsalam, M.; Ewiss, M.A.Z.; Khalefa, H.S.; Mahmoud, M.A.; Elgendy, M.Y.; Abdel-Moneam, D.A. Coinfections of Aeromonas spp., Enterococcus faecalis, and Vibrio alginolyticus isolated from farmed Nile tilapia and African catfish in Egypt, with an emphasis on poor water quality. Microb. Pathog. 2021, 160, 105213. [Google Scholar] [CrossRef] [PubMed]
- Jamet, A.; Dervyn, R.; Lapaque, N.; Bugli, F.; Perez-Cortez, N.G.; Blottière, H.M.; Twizere, J.C.; Sanguinetti, M.; Posteraro, B.; Serror, P.; et al. The Enterococcus faecalis virulence factor ElrA interacts with the human Four-and-a-Half LIM Domains Protein 2. Sci. Rep. 2017, 7, 4581. [Google Scholar] [CrossRef]
- Zheng, J.-X.; Wu, Y.; Lin, Z.-W.; Pu, Z.-Y.; Yao, W.-M.; Chen, Z.; Li, D.-Y.; Deng, Q.-W.; Qu, D.; Yu, Z.-J. Characteristics of and Virulence Factors Associated with Biofilm Formation in Clinical Enterococcus faecalis Isolates in China. Front. Microbiol. 2017, 8, 2338. [Google Scholar] [CrossRef]
- Hashem, Y.A.; Abdelrahman, K.A.; Aziz, R.A. Phenotype–Genotype Correlations and Distribution of Key Virulence Factors in Enterococcus faecalis Isolated from Patients with Urinary Tract Infections. Infect. Drug. Resist. 2021, 14, 1713–1723. [Google Scholar] [CrossRef] [PubMed]
- Ahmad, S.U.; Sun, J.; Cheng, F.; Li, B.; Arbab, S.; Zhou, X.; Zhang, J. Comparative Study on Pharmacokinetics of Four Long-Acting Injectable Formulations of Enrofloxacin in Pigs. Front. Vet. Sci. 2021, 7, 604628. [Google Scholar] [CrossRef]
- Xu, X.; Lu, Q.; Yang, Y.; Martinez, M.; Lopez-Torres, B.; Martinez-Larranaga, M.; Wang, X.; Anadon, A.; Ares, I. A proposed “steric-like effect” for the slowdown of enrofloxacin antibiotic metabolism by ciprofloxacin, and its mechanism. Chemosphere 2021, 284, 131347. [Google Scholar] [CrossRef] [PubMed]
- Mohamed, D.S.; Ragab, A.M.; Ibrahim, M.S.; Talat, D. Prevalence and Antibiogram of Pseudomonas aeruginosa Among Nile Tilapia and Smoked Herring, with an Emphasis on their Antibiotic Resistance Genes (blaTEM, blaSHV, blaOXA-1 and ampC) and Virulence Determinant (oprL and toxA). J. Adv. Vet. Res. 2023, 13, 1166–1172. [Google Scholar]
- Anifowose, O.R.; Adeoye, B.O.; Olayiwola, A.O. Pathogenicity and Antibiotic Susceptibility Pattern of Enterococcus faecalis in Clarias gariepinus Juvenile. Int. J. Oceanogr. Aquac. 2024, 8, 000303. [Google Scholar]
- Amable, V.I.; Amarilla, M.J.; Salas, P.L.; Mendoza, J.A.; Falcon, S.L.; Boehringer, S.I.; Sanchez, S.; Guidoli, M.G. Fluoroquinolones and tetracyclines as growth factors in aquaculture: Increase of biometrical parameters versus emergence of resistant bacteria and residues in meat. Aquaculture 2022, 561, 738640. [Google Scholar] [CrossRef]
- Concha, C.; Miranda, C.D.; Hurtado, L.; Romero, J. Characterization of Mechanisms Lowering Susceptibility to Flumequine among Bacteria Isolated from Chilean Salmonid Farms. Microorganisms 2019, 7, 698. [Google Scholar] [CrossRef] [PubMed]
- FAO. Aquaculture Development. 8. Recommendations for Prudent and Responsible Use of Veterinary Medicines in Aquaculture; FAO Technical Guidelines for Responsible Fisheries; FAO: Rome, Italy, 2019; No. 5. Suppl. 8; Available online: https://openknowledge.fao.org/items/5167b984-8ff2-4dc4-ae2d-dfbf3254d577 (accessed on 1 April 2023).
- Fabrega, A.; Madurga, S.; Giralt, E.; Vila, J. Mechanism of action of and resistance to quinolones. J. Microbial. Biotechnol. 2009, 2, 40–61. [Google Scholar] [CrossRef] [PubMed]
- Schar, D.; Klein, E.Y.; Laxminarayan, R.; Gilbert, M.; Van Boeckel, T.P. Global trends in antimicrobial use in aquaculture. Sci. Rep. 2020, 10, 21878. [Google Scholar] [CrossRef]
- Huang, L.; Mo, Y.; Wu, Z.; Rad, S.; Song, X.; Zeng, H.; Bashir, S.; Kang, B.; Chen, Z. Occurrence, distribution, and health risk assessment of quinolone antibiotics in water, sediment, and fish species of Qingshitan reservoir, South China. Sci. Rep. 2020, 10, 15777. [Google Scholar] [CrossRef]
- Phu, T.M.; Douny, C.; Scippo, M.L.; De Pauw, E.; Thinh, N.Q.; Huong, D.T.T.; Vinh, H.P.; Phuong, N.T.; Dalsgaard, A. Elimination of enrofloxacin in striped catfish (Pangasianodon hypophthalmus) following on-farm treatment. Aquaculture 2015, 438, 1–5. [Google Scholar] [CrossRef]
- Ferri, G.; Lauteri, C.; Vergara, A. Antibiotic Resistance in the Finfish Aquaculture Industry: A Review. Antibiotics 2022, 11, 1574. [Google Scholar] [CrossRef] [PubMed]
- CCAC. Guidelines on the Care and Use of Fish in Research, Teaching and Testing. Canadian Council on Animal Care, 1510–130 Albert Street Ottawa on Canada, 2004, K1P 5G4. ISBN 0-919087-43-4. Available online: https://ccac.ca/Documents/Standards/Guidelines/Fish.pdf (accessed on 20 February 2023).
- NACLAR. National Advisory Committee for Laboratory Animals Research. 20 Biopolis Way #08-01 Centros Singapore. 2004. Available online: https://www.nas.gov.sg/archivesonline/data/pdfdoc/AVA20050117001.pdf (accessed on 20 February 2023).




| Pathogen | P. aeruginosa | E. faecalis | ||||
|---|---|---|---|---|---|---|
| Inoculum CFU/Fish | Group No. | Dead Fish No. | Mortality % | Group No. | Dead Fish No. | Mortality % |
| 104 | 1 | 0 | 0 | 6 | 0 | 0 |
| 105 | 2 | 4 | 1.67 | 7 | 1 | 4.17 |
| 106 | 3 | 10 | 41.67 | 8 | 5 | 20.34 |
| 107 | 4 | 17 | 70.84 | 9 | 8 | 33.34 |
| 108 | 5 | 22 | 91.67 | 10 | 15 | 62.5 |
| Normal saline | Control | 0 | 0 | Control | 0 | 0 |
| P. aeruginosa (2.03 × 106 CFU. Fish−1) | E. faecalis (2.22 × 107 CFU. Fish−1) | ||||||
|---|---|---|---|---|---|---|---|
| Group | Enrofloxacin Dose | Dead Fish No. | Mortality % | Group | Enrofloxacin Dose | Dead Fish No. | Mortality % |
| 11 | 10 mg kg−1 | 4 | 16.67 | 13 | 10 mg kg−1 | 0 | 0 |
| 12 | 20 mg kg−1 | 2 | 8.3 | 14 | 20 mg kg−1 | 1 | 4.16 |
| Control +ve | 0 | 16 | 66.7 | Control +ve | 0 | 13 | 54.16 |
| Control -ve | 0 | 0 | 0 | Control -ve | 0 | 0 | 0 |
| Vitek Gram-Negative Identification Card. | Vitek Gram-Positive Identification Card | ||||
|---|---|---|---|---|---|
| Biochemical Reactions | Abbreviation | P. aeruginosa | Biochemical Reactions | Abbreviation | E. faecalis |
| Ala-Phe-Pro-Arylamidase | APPA | - | D-Amygdalin | AMY | + |
| Adonitol | ADO | - | Phosphoinositide phospholipase C | PIPLC | - |
| L- Pyrrolydonyl- Arylamidase | PyrA | - | D-Xylose | dXYL | - |
| L-Arabitol | IARL | - | Arginine Dihydrolase1 | ADH1 | + |
| D-Cellobiose | dCEL | - | β–Galactosidase | BGAL | - |
| β–Galactosidase | BGAL | - | α –Glucosidase | AGLU | + |
| H2S production | H25 | - | Ala-Phe-Pro-Arylamidase | APPA | - |
| β-N-Acetyl –Glucosaminidase | BNAG | - | Cyclodextrin | CDEX | + |
| Glutamyl Arylamidase pNA | AGLTp | + | L-Aspartate Arylamidase | AspA | + |
| D-Glucose | dGLU | + | β –Galactopyranosidase | BGAR | - |
| γ –Glutamyl –Transferase | GGT | + | α -Mannosidase | AMAN | - |
| Glucose Fermentation | OFF | - | Phosphatase | PHOS | - |
| β –Glucosidase | BGLU | - | Leucine Arylamidase | LeuA | - |
| D-Maltose | dMAL | - | L-Proline Arylamidase | ProA | - |
| D-Mannitol | dMAN | - | β –Glucuronidase | BGURr | - |
| D-Mannose | dMNE | + | α –Galactosidase | AGAL | - |
| β –Xylosidase | BXYL | - | L- Pyrrolydonyl- Arylamidase | PyrA | + |
| β -alanine arylamidase pNA | BAlap | + | β –Glucuronidase | BGUR | - |
| L-Proline Arylamidase | ProA | + | Alanine Arylamidase | AlaA | - |
| Lipase | LIP | + | Tyrosine Arylamidase | TyrA | - |
| Palatinose | PLE | - | D-Sorbitol | dSOR | + |
| Tyrosine Arylamidase | TyrA | - | Urease | URE | - |
| Urease | URE | - | Polymyxin B Resistance | POLYB | + |
| D-Sorbitol | dSOR | - | D-Galactose | dGAL | + |
| Saccharose/Sucrose | SAC | - | D-Ripose | dRIB | + |
| D-Tagatose | dTAG | - | L-Lactate Alkalinization | ILATk | - |
| D-Trehalose | dTRE | - | Lactose | LAC | + |
| Sodium Citrate | CIT | + | N-Acetyl-D-Glucosamine | NAG | + |
| Malonate | MNT | + | D-Maltose | dMAL | + |
| 5-Keto-D-Gluconate | 5KG | - | Bacitracin Resistance | BACI | + |
| L-Lactate alkalinization | ILATK | + | Novobiocin Resistance | NOVO | + |
| α –Glucosidase | AGLU | - | Growth in 6.5% NaCl | NC6.5 | - |
| Succinate Alkalinization | SUCT | + | D-Mannitol | dMAN | + |
| β -N-Acetyl –Galactosaminidase | NAGA | - | D-Mannose | dMNE | + |
| α –Galactosidase | AGAL | - | Methyl-B-D-Glucopyranoside | MBdG | + |
| Phosphatase | PHOS | - | Pullulan | PUL | - |
| Glycine Arylamidase | GIyA | - | D-Raffinose | dRAF | - |
| Ornithine Decarboxylase | ODC | - | O/129 Resistance (Comp. Vibrio) | O129R | - |
| Lysine Decarboxylase | LDC | - | Salicin | SAL | + |
| L-Histidine Assimilation | IHISa | - | Saccharose/Sucrose | SAC | + |
| Courmarate | CMT | + | D-Trehalose | dTRE | + |
| β –Glucuronidase | BGUR | - | Arginine Dihydrolase2 | ADH2s | + |
| O/129 Resistance (Comp. Vibrio) | O129R | + | Optochin Resistance | OPTO | + |
| Glu-Gly-Arg- Arylamidase | GGAA | - | |||
| L-Malate Assimilation | IMLTa | + | |||
| Ellman | ELLM | - | |||
| L-Lactate Assimilation | ILATa | - | |||
| Probability | 99% | 99% | |||
Disclaimer/Publisher’s Note: The statements, opinions and data contained in all publications are solely those of the individual author(s) and contributor(s) and not of MDPI and/or the editor(s). MDPI and/or the editor(s) disclaim responsibility for any injury to people or property resulting from any ideas, methods, instructions or products referred to in the content. |
© 2024 by the authors. Licensee MDPI, Basel, Switzerland. This article is an open access article distributed under the terms and conditions of the Creative Commons Attribution (CC BY) license (https://creativecommons.org/licenses/by/4.0/).
Share and Cite
Aboyadak, I.; Ali, N.G. Enrofloxacin, Effective Treatment of Pseudomonas aeruginosa and Enterococcus faecalis Infection in Oreochromis niloticus. Microorganisms 2024, 12, 901. https://doi.org/10.3390/microorganisms12050901
Aboyadak I, Ali NG. Enrofloxacin, Effective Treatment of Pseudomonas aeruginosa and Enterococcus faecalis Infection in Oreochromis niloticus. Microorganisms. 2024; 12(5):901. https://doi.org/10.3390/microorganisms12050901
Chicago/Turabian StyleAboyadak, Ibrahim, and Nadia Gabr Ali. 2024. "Enrofloxacin, Effective Treatment of Pseudomonas aeruginosa and Enterococcus faecalis Infection in Oreochromis niloticus" Microorganisms 12, no. 5: 901. https://doi.org/10.3390/microorganisms12050901
APA StyleAboyadak, I., & Ali, N. G. (2024). Enrofloxacin, Effective Treatment of Pseudomonas aeruginosa and Enterococcus faecalis Infection in Oreochromis niloticus. Microorganisms, 12(5), 901. https://doi.org/10.3390/microorganisms12050901

