Differential Epigenetic Regulation in Uninfected and Tuberculosis–Human Immunodeficiency Virus Co-Infected Patients
Abstract
1. Introduction
2. Methods
2.1. Ethics and Sample Collection
2.2. Total RNA Extraction
2.3. Reverse Transcription
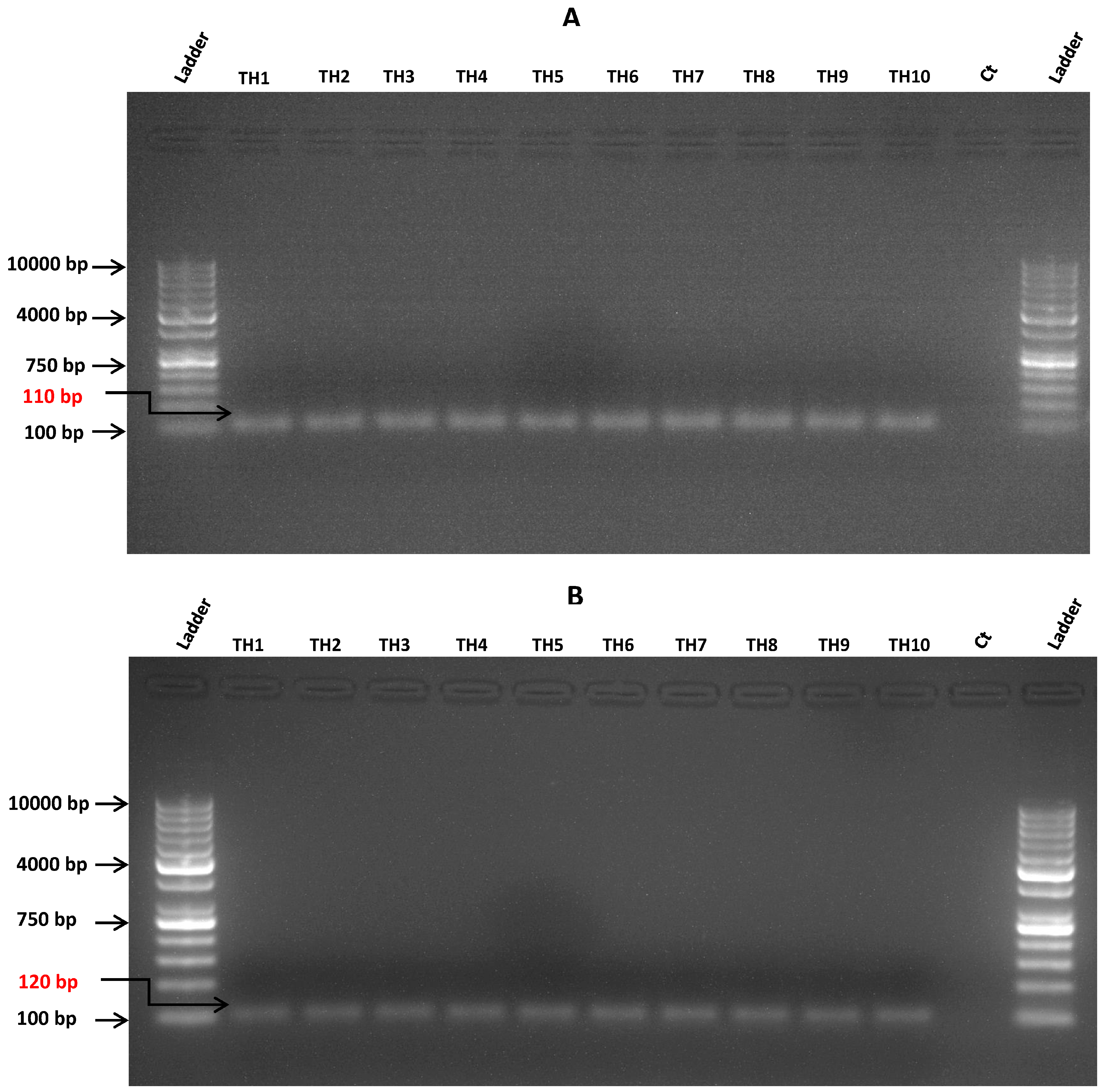
2.4. Target Gene Expression by Reverse Transcription Quantitative Polymerase Chain Reaction (RT-qPCR)
2.5. Protein Isolation
2.6. Determination of Protein Modification
2.7. Conventional PCR, DNA Sequencing and Phylogenetic Analysis
2.8. Statistical Analysis
3. Results
3.1. Variable Target Gene Expression
3.2. Differential Protein Modification
3.3. Convectional PCR and DNA Sequence Analysis
4. Discussion
5. Conclusions
Supplementary Materials
Author Contributions
Funding
Institutional Review Board Statement
Data Availability Statement
Acknowledgments
Conflicts of Interest
References
- Kumar, V.; Abbas, A.K.; Aster, J.C.; Perkins, J.A. (Eds.) Robbins Basic Pathology, 10th ed.; Elsevier: Philadelphia, PA, USA, 2018. [Google Scholar]
- Santiago, M.L.; Range, F.; Keele, B.F.; Li, Y.; Bailes, E.; Bibollet-Ruche, F.; Fruteau, C.; Noë, R.; Peeters, M.; Brookfield, J.F.; et al. Simian Immunodeficiency Virus Infection in Free-Ranging Sooty Mangabeys (Cercocebus atys atys) from the Taï Forest, Côte d’Ivoire: Implications for the Origin of Epidemic Human Immunodeficiency Virus Type 2. J. Virol. 2005, 79, 12515–12527. [Google Scholar] [CrossRef]
- Gupta, R.M.; Prasad, V.V.S.P.; Rai, A.; Seth, P. Analysis of HIV Type 1 Subtype C Full-Length gag Gene Sequences from India: Novel Observations and Plausible Implications. AIDS Res. Hum. Retrovir. 2005, 21, 1066–1072. [Google Scholar] [CrossRef] [PubMed]
- Spira, S.; Wainberg, M.A.; Loemba, H.; Turner, D.; Brenner, B.G. Impact of clade diversity on HIV-1 virulence, antiretroviral drug sensitivity and drug resistance. J. Antimicrob. Chemother. 2003, 51, 229–240. [Google Scholar] [CrossRef]
- Arnold, C. Molecular evolution of Mycobacterium tuberculosis. Clin. Microbiol. Infect. 2007, 13, 120–128. [Google Scholar] [CrossRef]
- Jordi, V.; Gary, P. Evolution of microbial pathogens. Clin. Infect. Dis. 2007, 44, 313–314. [Google Scholar] [CrossRef]
- Prozorov, A.A.; Danilenko, V.N. Mycobacteria of the tuberculosis complex: Genomics, molecular epidemiology, and evolution trends. Biol. Bull. Rev. 2011, 1, 483–495. [Google Scholar] [CrossRef]
- Brosch, R.; Gordon, S.V.; Marmiesse, M.; Brodin, P.; Buchrieser, C.; Eiglmeier, K.; Garnier, T.; Gutierrez, C.; Hewinson, G.; Kremer, K.; et al. A new evolutionary scenario for the Mycobacterium tuberculosis complex. Proc. Natl. Acad. Sci. USA 2002, 99, 3684–3689. [Google Scholar] [CrossRef] [PubMed]
- Lee, S.H. Tuberculosis Infection and Latent Tuberculosis. Tuberc. Respir. Dis. 2016, 79, 201–206. [Google Scholar] [CrossRef]
- Turner, R.D.; Chiu, C.; Churchyard, G.J.; Esmail, H.; Lewinsohn, D.M.; Gandhi, N.R.; Fennelly, K.P. Tuberculosis Infectiousness and Host Susceptibility. J. Infect. Dis. 2017, 216, 636–643. [Google Scholar] [CrossRef]
- Venkatesh, I.; Makky, K. Teaching epigenetic regulation of gene expression is critical in 21st-century science education: Key concepts & teaching strategies. Am. Biol. Teach. 2020, 82, 372–380. [Google Scholar] [CrossRef]
- Shin, J.E.; Cho, Y. Epigenetic regulation of axon regeneration after neural injury. Mol. Cell 2017, 40, 10–16. [Google Scholar] [CrossRef] [PubMed]
- Gaspar-Maia, A.; Alajem, A.; Polesso, F.; Sridharan, R.; Mason, M.J.; Heidersbach, A.; Ramalho-Santos, J.; McManus, M.T.; Plath, K.; Meshorer, E.; et al. Chd1 regulates open chromatin and pluripotency of embryonic stem cells. Nature 2009, 460, 863–868. [Google Scholar] [CrossRef] [PubMed]
- Mo, A.; Mukamel, E.A.; Davis, F.P.; Luo, C.; Henry, G.L.; Picard, S.; Urich, M.A.; Nery, J.R.; Sejnowski, T.J.; Lister, R.; et al. Epigenomic signatures of neuronal diversity in the mammalian brain. Neuron 2015, 86, 1369–1384. [Google Scholar] [CrossRef]
- Fang, J.Y.; Mikovits, J.A.; Bagni, R.; Petrow-Sadowski, C.L.; Ruscetti, F.W. Infection of Lymphoid Cells by Integration-Defective Human Immunodeficiency Virus Type 1 Increases De. Novo Methylation. J. Virol. 2001, 75, 9753–9761. [Google Scholar] [CrossRef] [PubMed]
- Mikovits, J.A.; Young, H.A.; Vertino, P.; Issa, J.P.; Pitha, P.M.; Turcoski-Corrales, S.; Taub, D.D.; Petrow, C.L.; Baylin, S.B.; Ruscetti, F.W. Infection with Human Immunodeficiency Virus Type 1 Upregulates DNA Methyltransferase, Resulting in De Novo Methylation of the Gamma Interferon (IFN-γ) Promoter and Subsequent Downregulation of IFN-γ Production. Mol. Cell Biol. 1998, 18, 5166–5177. [Google Scholar] [CrossRef]
- Zheng, L.; Leung, E.T.; Wong, H.K.; Lui, G.; Lee, N.; To, K.F.; Choy, K.W.; Chan, R.C.; Ip, M. Unraveling methylation changes of host macrophages in Mycobacterium tuberculosis infection. Tuberculosis 2016, 98, 139–148. [Google Scholar] [CrossRef] [PubMed]
- DiNardo, A.R.; Rajapakshe, K.; Nishiguchi, T.; Grimm, S.L.; Mtetwa, G.; Dlamini, Q.; Kahari, J.; Mahapatra, S.; Kay, A.; Maphalala, G.; et al. DNA hypermethylation during tuberculosis dampens host immune responsiveness. J. Clin. Investig. 2020, 130, 3113–3123. [Google Scholar] [CrossRef] [PubMed]
- Marimani, M.; Ahmad, A.; Stacey, S.; Duse, A. Examining the levels of acetylation, DNA methylation and phosphorylation in HIV-1 positive and multidrug-resistant TB-HIV patients. J. Glob. Antimicrob. Resist. 2020, 23, 232–242. [Google Scholar] [CrossRef] [PubMed]
- Maricato, J.T.; Furtado, M.N.; Takenaka, M.C.; Nunes, E.R.; Fincatti, P.; Meliso, F.M.; da Silva, I.D.; Jasiulionis, M.G.; Cecília de Araripe Sucupira, M.; Diaz, R.S.; et al. Epigenetic Modulations in Activated Cells Early after HIV-1 Infection and their Possible Functional Consequences. PLoS ONE 2015, 10, e0119234. [Google Scholar] [CrossRef]
- Pagans, S.; Kauder, S.E.; Kaehlcke, K.; Sakane, N.; Schroeder, S.; Dormeyer, W.; Trievel, R.C.; Verdin, E.; Schnolzer, M.; Ott, M. The Cellular Lysine Methyltransferase Set7/9-KMT7 Binds HIV-1 TAR RNA, Monomethylates the Viral Transactivator Tat, and Enhances HIV Transcription. Cell Host Microbe 2010, 7, 234–244. [Google Scholar] [CrossRef]
- Boehm, D.; Ott, M. Host Methyltransferases and Demethylases: Potential New Epigenetic Targets for HIV Cure Strategies and Beyond. AIDS Res. Hum. Retroviruses 2017, 33, 8–22. [Google Scholar] [CrossRef] [PubMed]
- Cell Signaling Technology. Epigenetic Writers and Erasers of Histone H3. Available online: https://www.cellsignal.com/pathways/epigenetic-histone-h3-pathway (accessed on 9 October 2023).
- Espíndola, M.S.; Soares, L.S.; Galvão-Lima, L.J.; Zambuzi, F.A.; Cacemiro, M.C.; Brauer, V.S.; Marzocchi-Machado, C.M.; de Souza Gomes, M.; Amaral, L.R.; Martins-Filho, O.A.; et al. Epigenetic alterations are associated with monocyte immune dysfunctions in HIV-1 infection. Sci. Rep. 2018, 8, 5505. [Google Scholar] [CrossRef] [PubMed]
- Porter, K.A.; Kelley, L.N.; Nekorchuk, M.D.; Jones, J.H.; Hahn, A.B.; de Noronha, C.; Harton, J.A.; Duus, K.M. CIITA Enhances HIV-1 Attachment to CD4+ T Cells leading to Enhanced Infection and Cell Depletion. J. Immun. 2010, 185, 6480–6488. [Google Scholar] [CrossRef] [PubMed]
- Porter, K.A.; Kelley, L.N.; George, A.; Harton, J.A.; Duus, K.M. Class II Transactivator (CIITA) Enhances Cytoplasmic Processing of HIV-1 Pr55Gag. PLoS ONE 2010, 5, e11304. [Google Scholar] [CrossRef] [PubMed]
- Soloaga, A.; Thomson, S.; Wiggin, G.R.; Rampersaud, N.; Dyson, M.H.; Hazzalin, C.A.; Mahadevan, L.C.; Arthur, J.S. MSK2 and MSK1 mediate the mitogen-and stress-induced phosphorylation of histone H3 and HMG-14. EMBO J. 2003, 22, 2788–2797. [Google Scholar] [CrossRef] [PubMed]
- Hazzalin, C.A.; Mahadevan, L.C. MAPK-regulated transcription: A continuously variable gene switch? Nat. Rev. Mol. Cell Biol. 2002, 3, 30–40. [Google Scholar] [CrossRef] [PubMed]
- White, T.E.; Brandariz-Nuñez, A.; Valle-Casuso, J.C.; Amie, S.; Nguyen, L.A.; Kim, B.; Tuzova, M.; Diaz-Griffero, F. The Retroviral Restriction Ability of SAMHD1, but Not Its Deoxynucleotide Triphosphohydrolase Activity, Is Regulated by Phosphorylation. Cell Host Microbe 2013, 13, 441–451. [Google Scholar] [CrossRef]
- Bach, H.; Papavinasasundaram, K.G.; Wong, D.; Hmama, Z.; Av-Gay, Y. Mycobacterium tuberculosis Virulence Is Mediated by PtpA Dephosphorylation of Human Vacuolar Protein Sorting 33B. Cell Host Microbe 2008, 3, 316–322. [Google Scholar] [CrossRef]





Disclaimer/Publisher’s Note: The statements, opinions and data contained in all publications are solely those of the individual author(s) and contributor(s) and not of MDPI and/or the editor(s). MDPI and/or the editor(s) disclaim responsibility for any injury to people or property resulting from any ideas, methods, instructions or products referred to in the content. |
© 2024 by the authors. Licensee MDPI, Basel, Switzerland. This article is an open access article distributed under the terms and conditions of the Creative Commons Attribution (CC BY) license (https://creativecommons.org/licenses/by/4.0/).
Share and Cite
Mamabolo, K.; Wadee, R.; Perner, Y.; Magangane, P.; Duze, S.T.; Marimani, M. Differential Epigenetic Regulation in Uninfected and Tuberculosis–Human Immunodeficiency Virus Co-Infected Patients. Microorganisms 2024, 12, 1001. https://doi.org/10.3390/microorganisms12051001
Mamabolo K, Wadee R, Perner Y, Magangane P, Duze ST, Marimani M. Differential Epigenetic Regulation in Uninfected and Tuberculosis–Human Immunodeficiency Virus Co-Infected Patients. Microorganisms. 2024; 12(5):1001. https://doi.org/10.3390/microorganisms12051001
Chicago/Turabian StyleMamabolo, Katlego, Reubina Wadee, Yvonne Perner, Pumza Magangane, Sanelisiwe Thinasonke Duze, and Musa Marimani. 2024. "Differential Epigenetic Regulation in Uninfected and Tuberculosis–Human Immunodeficiency Virus Co-Infected Patients" Microorganisms 12, no. 5: 1001. https://doi.org/10.3390/microorganisms12051001
APA StyleMamabolo, K., Wadee, R., Perner, Y., Magangane, P., Duze, S. T., & Marimani, M. (2024). Differential Epigenetic Regulation in Uninfected and Tuberculosis–Human Immunodeficiency Virus Co-Infected Patients. Microorganisms, 12(5), 1001. https://doi.org/10.3390/microorganisms12051001

