Expression of Recombinant Clostridial Neurotoxin by C. tetani
Abstract
1. Introduction
2. Materials and Methods
2.1. Biosafety and Security
2.2. Media and Reagents
2.3. Bacterial Strains
2.4. Antibiotic Sensitivity of C. tetani and E. coli Strains
2.5. Generation of TeNT Plasmid Constructs
2.6. Generation of BoNT/A1ERY Plasmid Constructs
2.7. Conjugation of pMTL Plasmids into C. tetani
2.8. Sequencing
2.9. SDS-PAGE and Western Blot
2.10. Toxin Stability in Spent Culture Media
3. Results
3.1. C. tetani 454 and 19406 Are Compatible Recipient Strains for Conjugative Plasmid Transfer
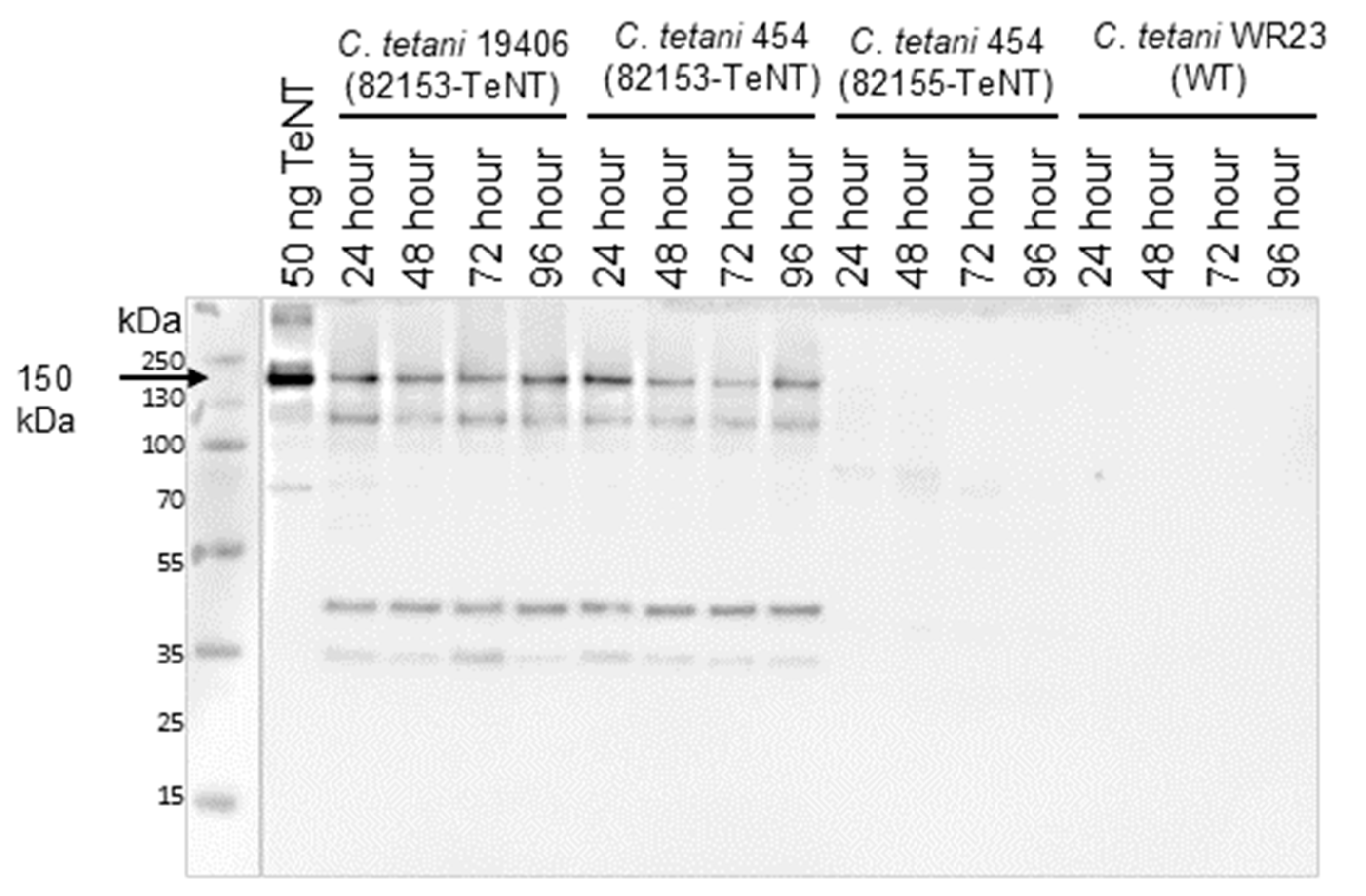
3.2. The Fdx Promotor Stimulates rTeNT Expression Earlier and in Greater Quantities than tetR and Wild-Type Strains
3.3. Full-Length Recombinant BoNT/A1ERY Is Produced by C. tetani 454 Without Complexing Proteins
3.4. The Role of pH in CNT Expression and Stability
3.5. BoNT/A1 Holotoxin Is More Stable in Spent Modified Mueller Miller Media than in Spent TPM
4. Discussion
Supplementary Materials
Author Contributions
Funding
Data Availability Statement
Acknowledgments
Conflicts of Interest
References
- Schiavo, G.; Matteoli, M.; Montecucco, C. Neurotoxins affecting neuroexocytosis. Physiol. Rev. 2000, 80, 717–766. [Google Scholar] [CrossRef] [PubMed]
- Pirazzini, M.; Montecucco, C.; Rossetto, O. Toxicology and pharmacology of botulinum and tetanus neurotoxins: An update. Arch. Toxicol. 2022, 96, 1521–1539. [Google Scholar] [CrossRef]
- Chalian, W. An Essay on the History of Lockjaw. Bull. Hist. Med. 1940, 8, 171–201. [Google Scholar]
- Tiwari, T.S.P.; Moro, P.L.; Acosta, A.M. Epidemiology and Prevention of Vaccine-Preventable Diseases—Chapter 21, 14th ed.; Centers for Disease Control and Prevention: Atlanta, GA, USA, 2021; pp. 315–328. [Google Scholar]
- Li, J.; Liu, Z.; Yu, C.; Tan, K.; Gui, S.; Zhang, S.; Shen, Y. Global epidemiology and burden of tetanus from 1990 to 2019: A systematic analysis for the Global Burden of Disease Study 2019. Int. J. Infect. Dis. 2023, 132, 118–126. [Google Scholar] [CrossRef] [PubMed]
- Lacy, D.B.; Stevens, R.C. Sequence homology and structural analysis of the clostridial neurotoxins. J. Mol. Biol. 1999, 291, 1091–1104. [Google Scholar] [CrossRef]
- Ovespian, S.V.; Bodeker, M.; O’Leary, V.B.; Lawrence, G.W.; Oliver Dolly, J. Internalization and retrograde axonal trafficking of tetanus toxin in motor neurons and trans-synaptic propagation at central synapses exceed those of its C-terminal-binding fragments. Brain Struct. Funct. 2015, 220, 1825–1838. [Google Scholar] [CrossRef]
- Megighian, A.; Pirazzini, M.; Fabris, F.; Rossetto, O.; Montecucco, C. Tetanus and tetanus neurotoxin: From peripheral uptake to central nervous tissue targets. J. Neurochem. 2021, 158, 1244–1253. [Google Scholar] [CrossRef] [PubMed]
- von Bartheld, C.S. Axonal transport and neuronal transcytosis of trophic factors, tracers, and pathogens. J. Neurobiol. 2004, 58, 295–314. [Google Scholar] [CrossRef]
- Schoch, S.; Deak, F.; Konigstorfer, A.; Mozhayeva, M.; Sara, Y.; Sudhof, T.C.; Kavalali, E.T. SNARE function analyzed in synaptobrevin/VAMP knockout mice. Science 2001, 294, 1117–1122. [Google Scholar] [CrossRef]
- Schiavo, G.; Rossetto, O.; Tonello, F.; Montecucco, C. Intracellular targets and metalloprotease activity of tetanus and botulism neurotoxins. Curr. Top. Microbiol. Immunol. 1995, 195, 257–274. [Google Scholar] [CrossRef]
- Albus, U.; Habermann, E. Tetanus toxin inhibits the evoked outflow of an inhibitory (GABA) and an excitatory (D-aspartate) amino acid from particulate brain cortex. Toxicon 1983, 21, 97–110. [Google Scholar] [CrossRef]
- Rossetto, O.; Montecucco, C. Tables of Toxicity of Botulinum and Tetanus Neurotoxins. Toxins 2019, 11, 686. [Google Scholar] [CrossRef]
- Haim, M.; Solomon, T.L., Jr. BAM Chapter 17: Clostridium Botulinum, 8th ed.; FDA: Silver Spring, MD, USA, 1998; Chapter 17. [Google Scholar]
- Davies, J.R.; Britton, A.; Liu, S.M.; Acharya, K.R. High-resolution crystal structures of the botulinum neurotoxin binding domains from subtypes A5 and A6. FEBS Open Bio 2020, 10, 1474–1481. [Google Scholar] [CrossRef] [PubMed]
- Hill, K.K.; Smith, T.J.; Helma, C.H.; Ticknor, L.O.; Foley, B.T.; Svensson, R.T.; Brown, J.L.; Johnson, E.A.; Smith, L.A.; Okinaka, R.T.; et al. Genetic diversity among Botulinum Neurotoxin-producing clostridial strains. J. Bacteriol. 2007, 189, 818–832. [Google Scholar] [CrossRef]
- Fischer, A.; Montal, M. Single molecule detection of intermediates during botulinum neurotoxin translocation across membranes. Proc. Natl. Acad. Sci. USA 2007, 104, 10447–10452. [Google Scholar] [CrossRef] [PubMed]
- Dong, M.; Stenmark, P. The Structure and Classification of Botulinum Toxins. Handb. Exp. Pharmacol. 2021, 263, 11–33. [Google Scholar] [CrossRef]
- Binz, T. Clostridial neurotoxin light chains: Devices for SNARE cleavage mediated blockade of neurotransmission. Curr. Top. Microbiol. Immunol. 2013, 364, 139–157. [Google Scholar] [CrossRef]
- Brunger, A.T.; Breidenbach, M.A.; Jin, R.; Fischer, A.; Santos, J.S.; Montal, M. Botulinum neurotoxin heavy chain belt as an intramolecular chaperone for the light chain. PLoS Pathog. 2007, 3, 1191–1194. [Google Scholar] [CrossRef] [PubMed]
- Gu, S.; Rumpel, S.; Zhou, J.; Strotmeier, J.; Bigalke, H.; Perry, K.; Shoemaker, C.B.; Rummel, A.; Jin, R. Botulinum neurotoxin is shielded by NTNHA in an interlocked complex. Science 2012, 335, 977–981. [Google Scholar] [CrossRef]
- Sugii, S.; Ohishi, I.; Sakaguchi, G. Correlation between oral toxicity and in vitro stability of Clostridium botulinum type A and B toxins of different molecular sizes. Infect. Immun. 1977, 16, 910–914. [Google Scholar] [CrossRef]
- Hill, K.K.; Xie, G.; Foley, B.T.; Smith, T.J.; Munk, A.C.; Bruce, D.; Smith, L.A.; Brettin, T.S.; Detter, J.C. Recombination and insertion events involving the botulinum neurotoxin complex genes in Clostridium botulinum types A, B, E and F and Clostridium butyricum type E strains. BMC Biol. 2009, 7, 66. [Google Scholar] [CrossRef]
- Lee, P.; Yin, L.; Shi, J.; Chen, P.; Xu, Y.; Liang, A.; Stenmark, P.; Doxey, A.C.; Dong, M. Identification and Characterization of Botulinum Neurotoxin Homologs from Paeniclostridium ghonii. In Proceedings of the 59th Annual Interagency Botulism Research Coordinating Committee Meeting, Madison, WI, USA, 22–25 October 2023. [Google Scholar]
- Mansfield, M.J.; Wentz, T.G.; Zhang, S.; Lee, E.J.; Dong, M.; Sharma, S.K.; Doxey, A.C. Bioinformatic discovery of a toxin family in Chryseobacterium piperi with sequence similarity to botulinum neurotoxins. Sci. Rep. 2019, 9, 1634. [Google Scholar] [CrossRef]
- Doxey, A.C.; Mansfield, M.J.; Montecucco, C. Discovery of novel bacterial toxins by genomics and computational biology. Toxicon 2018, 147, 2–12. [Google Scholar] [CrossRef]
- Hill, K.K.; Smith, T.J. Genetic Diversity Within Clostridium botulinum Serotypes, Botulinum Neurotoxin Gene Clusters and Toxin Subtypes; Springer: Berlin/Heidelberg, Germany, 2012. [Google Scholar]
- Gu, S.; Jin, R. Assembly and function of the botulinum neurotoxin progenitor complex. Curr. Top. Microbiol. Immunol. 2013, 364, 21–44. [Google Scholar] [CrossRef]
- Benefield, D.A.; Dessain, S.K.; Shine, N.; Ohi, M.D.; Lacy, D.B. Molecular assembly of botulinum neurotoxin progenitor complexes. Proc. Natl. Acad. Sci. USA 2013, 110, 5630–5635. [Google Scholar] [CrossRef] [PubMed]
- Marvaud, J.C.; Eisel, U.; Binz, T.; Niemann, H.; Popoff, M.R. TetR is a positive regulator of the tetanus toxin gene in Clostridium tetani and is homologous to botR. Infect. Immun. 1998, 66, 5698–5702. [Google Scholar] [CrossRef] [PubMed]
- Raffestin, S.; Dupuy, B.; Marvaud, J.C.; Popoff, M.R. BotR/A and TetR are alternative RNA polymerase sigma factors controlling the expression of the neurotoxin and associated protein genes in Clostridium botulinum type A and Clostridium tetani. Mol. Microbiol. 2005, 55, 235–249. [Google Scholar] [CrossRef]
- Chapeton-Montes, D.; Plourde, L.; Bouchier, C.; Ma, L.; Diancourt, L.; Criscuolo, A.; Popoff, M.R.; Bruggemann, H. The population structure of Clostridium tetani deduced from its pan-genome. Sci. Rep. 2019, 9, 11220. [Google Scholar] [CrossRef]
- Johnson, E.A.; Bradshaw, M.; Rood, J.I.; Lyras, D. Expression System for Clostridium Species. U.S. Patent US5955368A, 21 September 1999. [Google Scholar]
- Latham, W.C.; Bent, D.F.; Levine, L. Tetanus toxin production in the absence of protein. Appl. Microbiol. 1962, 10, 146–152. [Google Scholar] [CrossRef]
- Chapeton-Montes, D.; Plourde, L.; Deneve, C.; Garnier, D.; Barbirato, F.; Colombié, V.; Demay, S.; Haustant, G.; Gorgette, O.; Schmitt, C.; et al. Tetanus Toxin Synthesis is Under the Control of A Complex Network of Regulatory Genes in Clostridium tetani. Toxins 2020, 12, 328. [Google Scholar] [CrossRef] [PubMed]
- Rigoni, M.; Caccin, P.; Johnson, E.A.; Montecucco, C.; Rossetto, O. Site-directed mutagenesis identifies active-site residues of the light chain of botulinum neurotoxin type A. Biochem. Biophys. Res. Commun. 2001, 288, 1231–1237. [Google Scholar] [CrossRef] [PubMed]
- Purdy, D.; O’Keeffe, T.A.; Elmore, M.; Herbert, M.; McLeod, A.; Bokori-Brown, M.; Ostrowski, A.; Minton, N.P. Conjugative transfer of clostridial shuttle vectors from Escherichia coli to Clostridium difficile through circumvention of the restriction barrier. Mol. Microbiol. 2002, 46, 439–452. [Google Scholar] [CrossRef]
- Marshall, K.M.; Bradshaw, M.; Johnson, E.A. Conjugative botulinum neurotoxin-encoding plasmids in Clostridium botulinum. PLoS ONE 2010, 5, e11087. [Google Scholar] [CrossRef]
- Przedpelski, A.; Tepp, W.H.; Pellett, S.; Johnson, E.A.; Barbieri, J.T. A Novel High-Potency Tetanus Vaccine. mBio 2020, 11, e01668-20. [Google Scholar] [CrossRef] [PubMed]
- Malizio, C.J.; Goodnough, M.C.; Johnson, E.A. Purification of Clostridium botulinum type A neurotoxin. Methods Mol. Biol. 2000, 145, 27–39. [Google Scholar] [CrossRef]
- Inzalaco, H.N.; Tepp, W.H.; Fredrick, C.; Bradshaw, M.; Johnson, E.A.; Pellett, S. Posttranslational Regulation of Botulinum Neurotoxin Production in Clostridium botulinum Hall A-hyper. mSphere 2021, 6, e0032821. [Google Scholar] [CrossRef]
- Mueller, J.H.; Miller, P.A. Factors influencing the production of tetanal toxin. J. Immunol. 1947, 56, 143–147. [Google Scholar] [CrossRef]
- Heller, H.H. Mutations in the Genus Nicolaierillus (B. tetani): Studies on Pathogenic Anaerobes VIII. J. Infect. Dis. 1922, 30, 33–43. [Google Scholar] [CrossRef]
- Cohen, J.E.; Wang, R.; Shen, R.F.; Wu, W.W.; Keller, J.E. Comparative pathogenomics of Clostridium tetani. PLoS ONE 2017, 12, e0182909. [Google Scholar] [CrossRef]
- Schoch, C.L.; Ciufo, S.; Domrachev, M.; Hotton, C.L.; Kannan, S.; Khovanskaya, R.; Leipe, D.; Mcveigh, R.; O’Neill, K.; Robbertse, B.; et al. NCBI Taxonomy: A comprehensive update on curation, resources and tools. Database 2020, baaa062. [Google Scholar] [CrossRef] [PubMed]
- Woods, C.; Humphreys, C.M.; Rodrigues, R.M.; Ingle, P.; Rowe, P.; Henstra, A.M.; Köpke, M.; Simpson, S.D.; Winzer, K.; Minton, N.P. A novel conjugal donor strain for improved DNA transfer into Clostridium spp. Anaerobe 2019, 59, 184–191. [Google Scholar] [CrossRef]
- Heap, J.T.; Pennington, O.J.; Cartman, S.T.; Minton, N.P. A modular system for Clostridium shuttle plasmids. J. Microbiol. Methods 2009, 78, 79–85. [Google Scholar] [CrossRef] [PubMed]
- Garnier, T.; Cole, S.T. Identification and molecular genetic analysis of replication functions of the bacteriocinogenic plasmid pIP404 from Clostridium perfringens. Plasmid 1988, 19, 151–160. [Google Scholar] [CrossRef]
- Girbal, L.; Mortier-Barrière, I.; Raynaud, F.; Rouanet, C.; Croux, C.; Soucaille, P. Development of a sensitive gene expression reporter system and an inducible promoter-repressor system for Clostridium acetobutylicum. Appl. Environ. Microbiol. 2003, 69, 4985–4988. [Google Scholar] [CrossRef]
- Graves, M.C.; Mullenbach, G.T.; Rabinowitz, J.C. Cloning and nucleotide sequence determination of the Clostridium pasteurianum ferredoxin gene. Proc. Natl. Acad. Sci. USA 1985, 82, 1653–1657. [Google Scholar] [CrossRef] [PubMed]
- Demain, A.L.; Gerson, D.F.; Fang, A. Effective levels of tetanus toxin can be made in a production medium totally lacking both animal (e.g., brain heart infusion) and dairy proteins or digests (e.g., casein hydrolysates). Vaccine 2005, 23, 5420–5423. [Google Scholar] [CrossRef]
- Demain, A.L.; George, S.; Kole, M.; Gerson, D.F.; Fang, A. Tetanus toxin production in soy-based medium: Nutritional studies and scale-up into small fermentors. Lett. Appl. Microbiol. 2007, 45, 635–638. [Google Scholar] [CrossRef]
- Demain, A.L.; Gerson, D.F.; Kole, M.; Fang, A. The role of reduced iron powder in the fermentative production of tetanus toxin. Appl. Microbiol. Biotechnol. 2006, 73, 55–59. [Google Scholar] [CrossRef]
- Popoff, M.R.; Brüggemann, H. Regulatory Networks Controlling Neurotoxin Synthesis in Clostridium botulinum and Clostridium tetani. Toxins 2022, 14, 364. [Google Scholar] [CrossRef]
- Pennings, J.L.A.; Abachin, E.; Esson, R.; Hodemaekers, H.; Francotte, A.; Claude, J.B.; Vanhee, C.; Uhlrich, S.; Vandebriel, R.J. Regulation of Clostridium tetani Neurotoxin Expression by Culture Conditions. Toxins 2022, 14, 31. [Google Scholar] [CrossRef]
- Bradshaw, M.; Marshall, K.M.; Heap, J.T.; Tepp, W.H.; Minton, N.P.; Johnson, E.A. Construction of a nontoxigenic Clostridium botulinum strain for food challenge studies. Appl. Environ. Microbiol. 2010, 76, 387–393. [Google Scholar] [CrossRef] [PubMed]
- Bradshaw, M.; Tepp, W.H.; Whitemarsh, R.C.; Pellett, S.; Johnson, E.A. Holotoxin Activity of Botulinum Neurotoxin Subtype A4 Originating from a Nontoxigenic Clostridium botulinum Expression System. Appl. Environ. Microbiol. 2014, 80, 7415–7422. [Google Scholar] [CrossRef] [PubMed]
- Chen, F.; Kuziemko, G.M.; Amersdorfer, P.; Wong, C.; Marks, J.D.; Stevens, R.C. Antibody mapping to domains of botulinum neurotoxin serotype A in the complexed and uncomplexed forms. Infect. Immun. 1997, 65, 1626–1630. [Google Scholar] [CrossRef] [PubMed]
- Ohishi, I.; Sugii, S.; Sakaguchi, G. Oral toxicities of Clostridium botulinum toxins in response to molecular size. Infect. Immun. 1977, 16, 107–109. [Google Scholar] [CrossRef]
- Mueller, J.H.; Miller, P.A. Variable factors influencing the production of tetanus toxin. J. Bacteriol. 1954, 67, 271–277. [Google Scholar] [CrossRef]
- Ingle, P.; Groothuis, D.; Rowe, P.; Huang, H.; Cockayne, A.; Kuehne, S.A.; Jiang, W.; Gu, Y.; Humphreys, C.M.; Minton, N.P. Generation of a fully erythromycin-sensitive strain of Clostridioides difficile using a novel CRISPR-Cas9 genome editing system. Sci. Rep. 2019, 9, 8123. [Google Scholar] [CrossRef]
- Licona-Cassani, C.; Steen, J.A.; Zaragoza, N.E.; Moonen, G.; Moutafis, G.; Hodson, M.P.; Power, J.; Nielsen, L.K.; Marcellin, E. Tetanus toxin production is triggered by the transition from amino acid consumption to peptides. Anaerobe 2016, 41, 113–124. [Google Scholar] [CrossRef]
- Chung, Y.-J.; Jung, M.-Y.; Lee, J.-A.; Kim, T.-Y.; Choe, Y.-K.; Kim, I.-H. Tetanus toxin production from Clostridium tetani, using a casein-based medium in a single-use bioreactor. Biotechnol. Bioprocess Eng. 2016, 21, 531–536. [Google Scholar] [CrossRef]
- Fratelli, F.; Siquini, T.J.; Prado, S.M.; Higashi, H.G.; Converti, A.; de Carvalho, J.C. Effect of medium composition on the production of tetanus toxin by Clostridium tetani. Biotechnol. Prog. 2005, 21, 756–761. [Google Scholar] [CrossRef] [PubMed]
- de Marco, A. Strategies for successful recombinant expression of disulfide bond-dependent proteins in Escherichia coli. Microb. Cell Factories 2009, 8, 26. [Google Scholar] [CrossRef] [PubMed]
- Viravathana, P.; Tepp, W.H.; Bradshaw, M.; Przedpelski, A.; Barbieri, J.T.; Pellett, S. Potency Evaluations of Recombinant Botulinum Neurotoxin A1 Mutants Designed to Reduce Toxicity. Int. J. Mol. Sci. 2024, 25, 8955. [Google Scholar] [CrossRef] [PubMed]




Disclaimer/Publisher’s Note: The statements, opinions and data contained in all publications are solely those of the individual author(s) and contributor(s) and not of MDPI and/or the editor(s). MDPI and/or the editor(s) disclaim responsibility for any injury to people or property resulting from any ideas, methods, instructions or products referred to in the content. |
© 2024 by the authors. Licensee MDPI, Basel, Switzerland. This article is an open access article distributed under the terms and conditions of the Creative Commons Attribution (CC BY) license (https://creativecommons.org/licenses/by/4.0/).
Share and Cite
Gregg, B.M.; Gupta, S.; Tepp, W.H.; Pellett, S. Expression of Recombinant Clostridial Neurotoxin by C. tetani. Microorganisms 2024, 12, 2611. https://doi.org/10.3390/microorganisms12122611
Gregg BM, Gupta S, Tepp WH, Pellett S. Expression of Recombinant Clostridial Neurotoxin by C. tetani. Microorganisms. 2024; 12(12):2611. https://doi.org/10.3390/microorganisms12122611
Chicago/Turabian StyleGregg, Brieana M., Sonal Gupta, William H. Tepp, and Sabine Pellett. 2024. "Expression of Recombinant Clostridial Neurotoxin by C. tetani" Microorganisms 12, no. 12: 2611. https://doi.org/10.3390/microorganisms12122611
APA StyleGregg, B. M., Gupta, S., Tepp, W. H., & Pellett, S. (2024). Expression of Recombinant Clostridial Neurotoxin by C. tetani. Microorganisms, 12(12), 2611. https://doi.org/10.3390/microorganisms12122611

