H9 Consensus Hemagglutinin Subunit Vaccine with Adjuvants Induces Robust Mucosal and Systemic Immune Responses in Mice by Intranasal Administration
Abstract
1. Introduction
2. Materials and Methods
2.1. Cells
2.2. Optimization and Synthesis of H9 HA and Molecular Adjuvants
2.3. Construction of Recombinant Transfer Plasmids and Bacmids
2.4. Expression and Purification of H9 HA and Molecular Adjuvant Fusion HAs in Bac-to-Bac Expression System
2.5. Western Blotting
2.6. Indirect Immunofluorescence Assay
2.7. Animal Immunization
2.8. Enzyme-Linked Immunosorbent Assay
2.9. Statistical Analysis
3. Results
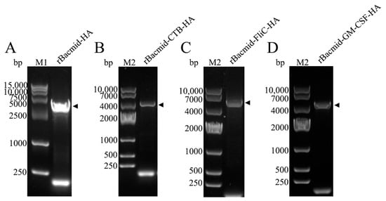
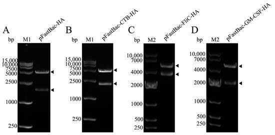
3.1. Identification of Recombinant Transfer Plasmids and Recombinant Bacmids
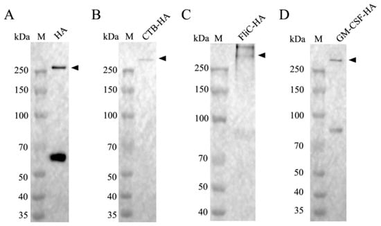
3.2. Identification of Recombinant Protein Expression in rBV-Infected sf9 Cells by Western Blotting and IFA
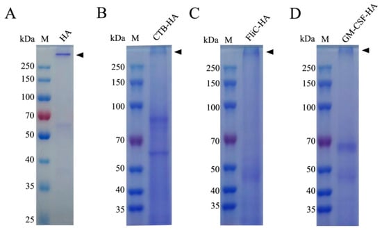
3.3. Identification of the Purified HAs by SDS-PAGE and Western Blotting
3.4. HA-Specific IgA and IgG Antibodies Were Induced by rHA Proteins and Molecular Adjuvant Fused-HAs with Intranasal Administration in Mice
3.5. PolyI:C Significantly Enhanced the Mucosal and Systematic Immune Responses of Recombinant H9 HA Proteins with Intranasal Administration in Mice
4. Discussion
5. Conclusions
6. Patents
Supplementary Materials
Author Contributions
Funding
Data Availability Statement
Conflicts of Interest
References
- Lee, J.; Cho, A.Y.; Kim, D.-H.; Lee, J.-B.; Park, S.-Y.; Choi, I.-S.; Lee, S.-W.; Song, C.-S. Live recombinant Newcastle disease virus vectored vaccine expressing the haemagglutinin of H9N2 avian influenza virus suppresses viral replication in chickens. Avian Pathol. 2023, 52, 100–107. [Google Scholar] [CrossRef] [PubMed]
- Sun, Y.; Liu, J. H9N2 influenza virus in China: A cause of concern. Protein Cell 2015, 6, 18–25. [Google Scholar] [CrossRef] [PubMed]
- Homme, P.J.; Easterday, B.C. Avian influenza virus infections. I. Characteristics of influenza A-turkey-Wisconsin-1966 virus. Avian Dis. 1970, 14, 66–74. [Google Scholar] [CrossRef]
- Peacock, T.H.P.; James, J.; Sealy, J.E.; Iqbal, M. A Global Perspective on H9N2 Avian Influenza Virus. Viruses 2019, 11, 620. [Google Scholar] [CrossRef]
- Yan, W.; Cui, H.; Engelsma, M.; Beerens, N.; van Oers, M.M.; de Jong, M.C.M.; Li, X.; Liu, Q.; Yang, J.; Teng, Q.; et al. Molecular and Antigenic Characterization of Avian H9N2 Viruses in Southern China. Microbiol. Spectr. 2022, 10, e0082221. [Google Scholar] [CrossRef]
- Sun, X.; Belser, J.A.; Maines, T.R. Adaptation of H9N2 Influenza Viruses to Mammalian Hosts: A Review of Molecular Markers. Viruses 2020, 12, 541. [Google Scholar] [CrossRef]
- Xu, K.M.; Smith, G.J.D.; Bahl, J.; Duan, L.; Tai, H.; Vijaykrishna, D.; Wang, J.; Zhang, J.X.; Li, K.S.; Fan, X.H.; et al. The genesis and evolution of H9N2 influenza viruses in poultry from southern China, 2000 to 2005. J. Virol. 2007, 81, 10389–10401. [Google Scholar] [CrossRef] [PubMed]
- Yu, H.; Zhou, Y.-J.; Li, G.-X.; Ma, J.-H.; Yan, L.-P.; Wang, B.; Yang, F.-R.; Huang, M.; Tong, G.-Z. Genetic diversity of H9N2 influenza viruses from pigs in China: A potential threat to human health? Vet. Microbiol. 2011, 149, 254–261. [Google Scholar] [CrossRef]
- Pusch, E.A.; Suarez, D.L. The Multifaceted Zoonotic Risk of H9N2 Avian Influenza. Vet. Sci. 2018, 5, 82. [Google Scholar] [CrossRef]
- WHO. Available online: https://cdn.who.int/media/docs/default-source/influenza/human-animal-interface-risk-assessments/influenza-at-the-human-animal-interface-summary-and-assessment--from-8-june-to-19-july-2024.pdf (accessed on 19 July 2024).
- Sorrell, E.M.; Wan, H.; Araya, Y.; Song, H.; Perez, D.R. Minimal molecular constraints for respiratory droplet transmission of an avian-human H9N2 influenza A virus. Proc. Natl. Acad. Sci. USA 2009, 106, 7565–7570. [Google Scholar] [CrossRef]
- Kimble, J.B.; Sorrell, E.; Shao, H.; Martin, P.L.; Perez, D.R. Compatibility of H9N2 avian influenza surface genes and 2009 pandemic H1N1 internal genes for transmission in the ferret model. Proc. Natl. Acad. Sci. USA 2011, 108, 12084–12088. [Google Scholar] [CrossRef] [PubMed]
- Sun, Y.; Qin, K.; Wang, J.; Pu, J.; Tang, Q.; Hu, Y.; Bi, Y.; Zhao, X.; Yang, H.; Shu, Y.; et al. High genetic compatibility and increased pathogenicity of reassortants derived from avian H9N2 and pandemic H1N1/2009 influenza viruses. Proc. Natl. Acad. Sci. USA 2011, 108, 4164–4169. [Google Scholar] [CrossRef]
- Hao, X.; Hu, J.; Wang, J.; Xu, J.; Cheng, H.; Xu, Y.; Li, Q.; He, D.; Liu, X.; Wang, X.; et al. Reassortant H5N1 avian influenza viruses containing PA or NP gene from an H9N2 virus significantly increase the pathogenicity in mice. Vet. Microbiol. 2016, 192, 95–101. [Google Scholar] [CrossRef] [PubMed]
- Gu, M.; Xu, L.; Wang, X.; Liu, X. Current situation of H9N2 subtype avian influenza in China. Vet. Res. 2017, 48, 49. [Google Scholar] [CrossRef] [PubMed]
- Zhou, J.; Wang, D.; Gao, R.; Zhao, B.; Song, J.; Qi, X.; Zhang, Y.; Shi, Y.; Yang, L.; Zhu, W.; et al. Biological features of novel avian influenza A (H7N9) virus. Nature 2013, 499, 500–503. [Google Scholar] [CrossRef]
- Zhang, Q.; Shi, J.; Deng, G.; Guo, J.; Zeng, X.; He, X.; Kong, H.; Gu, C.; Li, X.; Liu, J.; et al. H7N9 influenza viruses are transmissible in ferrets by respiratory droplet. Science 2013, 341, 410–414. [Google Scholar] [CrossRef]
- Watanabe, T.; Kiso, M.; Fukuyama, S.; Nakajima, N.; Imai, M.; Yamada, S.; Murakami, S.; Yamayoshi, S.; Iwatsuki-Horimoto, K.; Sakoda, Y.; et al. Characterization of H7N9 influenza A viruses isolated from humans. Nature 2013, 501, 551–555. [Google Scholar] [CrossRef]
- Li, C.; Chen, H. H7N9 Influenza Virus in China. Cold Spring Harb. Perspect. Med. 2021, 11, a038349. [Google Scholar] [CrossRef]
- Wong, S.-S.; Webby, R.J. Traditional and new influenza vaccines. Clin. Microbiol. Rev. 2013, 26, 476–492. [Google Scholar] [CrossRef]
- Quan, F.-S.; Lee, Y.-T.; Kim, K.-H.; Kim, M.-C.; Kang, S.-M. Progress in developing virus-like particle influenza vaccines. Expert Rev. Vaccines 2016, 15, 1281–1293. [Google Scholar] [CrossRef]
- Selman, M.; Dankar, S.K.; Forbes, N.E.; Jia, J.-J.; Brown, E.G. Adaptive mutation in influenza A virus non-structural gene is linked to host switching and induces a novel protein by alternative splicing. Emerg. Microbes Infect. 2012, 1, e42. [Google Scholar] [CrossRef] [PubMed]
- Yin, Y.; Li, B.; Zhou, L.; Luo, J.; Liu, X.; Wang, S.; Lu, Q.; Tan, W.; Chen, Z. Protein transduction domain-mediated influenza NP subunit vaccine generates a potent immune response and protection against influenza virus in mice. Emerg. Microbes Infect. 2020, 9, 1933–1942. [Google Scholar] [CrossRef] [PubMed]
- Chowdhury, M.Y.E.; Kim, T.-H.; Uddin, M.B.; Kim, J.-H.; Hewawaduge, C.Y.; Ferdowshi, Z.; Sung, M.-H.; Kim, C.-J.; Lee, J.-S. Mucosal vaccination of conserved sM2, HA2 and cholera toxin subunit A1 (CTA1) fusion protein with poly gamma-glutamate/chitosan nanoparticles (PC NPs) induces protection against divergent influenza subtypes. Vet. Microbiol. 2017, 201, 240–251. [Google Scholar] [CrossRef]
- Song, S.-J.; Shin, G.-I.; Noh, J.; Lee, J.; Kim, D.-H.; Ryu, G.; Ahn, G.; Jeon, H.; Diao, H.-P.; Park, Y.; et al. Plant-based, adjuvant-free, potent multivalent vaccines for avian influenza virus via Lactococcus surface display. J. Integr. Plant Biol. 2021, 63, 1505–1520. [Google Scholar] [CrossRef]
- Smith, P.K.; Krohn, R.I.; Hermanson, G.T.; Mallia, A.K.; Gartner, F.H.; Provenzano, M.D.; Fujimoto, E.K.; Goeke, N.M.; Olson, B.J.; Klenk, D.C. Measurement of protein using bicinchoninic acid. Anal. Biochem. 1985, 150, 76–85. [Google Scholar] [CrossRef]
- Kusakabe, T.; Ozasa, K.; Kobari, S.; Momota, M.; Kishishita, N.; Kobiyama, K.; Kuroda, E.; Ishii, K.J. Intranasal hydroxypropyl-β-cyclodextrin-adjuvanted influenza vaccine protects against sub-heterologous virus infection. Vaccine 2016, 34, 3191–3198. [Google Scholar] [CrossRef] [PubMed]
- Guo, J.; Wang, Y.; Zhao, C.; Gao, X.; Zhang, Y.; Li, J.; Wang, M.; Zhang, H.; Liu, W.; Wang, C.; et al. Molecular characterization, receptor binding property, and replication in chickens and mice of H9N2 avian influenza viruses isolated from chickens, peafowls, and wild birds in eastern China. Emerg. Microbes Infect. 2021, 10, 2098–2112. [Google Scholar] [CrossRef]
- James, J.; Bhat, S.; Walsh, S.K.; Karunarathna, T.K.; Sadeyen, J.-R.; Chang, P.; Sealy, J.E.; Mahmood, S.; Mollett, B.C.; Slomka, M.J.; et al. The Origin of Internal Genes Contributes to the Replication and Transmission Fitness of H7N9 Avian Influenza Virus. J. Virol. 2022, 96, e0129022. [Google Scholar] [CrossRef]
- Hao, X.; Wang, X.; Hu, J.; Gu, M.; Wang, J.; Deng, Y.; Jiang, D.; He, D.; Xu, H.; Yang, Y.; et al. The PB2 and M genes of genotype S H9N2 virus contribute to the enhanced fitness of H5Nx and H7N9 avian influenza viruses in chickens. Virology 2019, 535, 218–226. [Google Scholar] [CrossRef]
- Krammer, F. The human antibody response to influenza A virus infection and vaccination. Nat. Rev. Immunol. 2019, 19, 383–397. [Google Scholar] [CrossRef]
- Shi, H.; Zhang, X.; Ge, P.; Meliopoulos, V.; Freiden, P.; Livingston, B.; Schultz-Cherry, S.; Ross, T.M. Inactivated influenza virus vaccines expressing COBRA hemagglutinin elicited broadly reactive, long-lived protective antibodies. Hum. Vaccines Immunother. 2024, 20, 2356269. [Google Scholar] [CrossRef] [PubMed]
- Bar-Peled, Y.; Huang, J.; Nuñez, I.A.; Pierce, S.R.; Ecker, J.W.; Ross, T.M.; Mousa, J.J. Structural and antigenic characterization of a computationally-optimized H5 hemagglutinin influenza vaccine. Vaccine 2019, 37, 6022–6029. [Google Scholar] [CrossRef] [PubMed]
- Allen, J.D.; Ross, T.M. Bivalent H1 and H3 COBRA Recombinant Hemagglutinin Vaccines Elicit Seroprotective Antibodies against H1N1 and H3N2 Influenza Viruses from 2009 to 2019. J. Virol. 2022, 96, e0165221. [Google Scholar] [CrossRef] [PubMed]
- Ge, P.; Ross, T.M. COBRA HA and NA vaccination elicits long-live protective immune responses against pre-pandemic H2, H5, and H7 influenza virus subtypes. Virology 2024, 597, 110119. [Google Scholar] [CrossRef]
- Crevar, C.J.; Carter, D.M.; Lee KY, J.; Ross, T.M. Cocktail of H5N1 COBRA HA vaccines elicit protective antibodies against H5N1 viruses from multiple clades. Hum. Vaccines Immunother. 2015, 11, 572–583. [Google Scholar] [CrossRef]
- Lee, D.-H.; Park, J.-K.; Lee, Y.-N.; Song, J.-M.; Kang, S.-M.; Lee, J.-B.; Park, S.-Y.; Choi, I.-S.; Song, C.-S. H9N2 avian influenza virus-like particle vaccine provides protective immunity and a strategy for the differentiation of infected from vaccinated animals. Vaccine 2011, 29, 4003–4007. [Google Scholar] [CrossRef]
- Zhu, S.; Nie, Z.; Che, Y.; Shu, J.; Wu, S.; He, Y.; Wu, Y.; Qian, H.; Feng, H.; Zhang, Q. The Chinese Hamster Ovary Cell-Based H9 HA Subunit Avian Influenza Vaccine Provides Complete Protection against the H9N2 Virus Challenge in Chickens. Viruses 2024, 16, 163. [Google Scholar] [CrossRef]
- Margine, I.; Palese, P.; Krammer, F. Expression of functional recombinant hemagglutinin and neuraminidase proteins from the novel H7N9 influenza virus using the baculovirus expression system. J. Vis. Exp. 2013, 81, e51112. [Google Scholar] [CrossRef]
- Swalley, S.E.; Baker, B.M.; Calder, L.J.; Harrison, S.C.; Skehel, J.J.; Wiley, D.C. Full-length influenza hemagglutinin HA2 refolds into the trimeric low-pH-induced conformation. Biochemistry 2004, 43, 5902–5911. [Google Scholar] [CrossRef]
- Cox, M.M.; Izikson, R.; Post, P.; Dunkle, L. Safety, efficacy, and immunogenicity of Flublok in the prevention of seasonal influenza in adults. Ther. Adv. Vaccines 2015, 3, 97–108. [Google Scholar] [CrossRef]
- Cox, M.M.J.; Patriarca, P.A.; Treanor, J. FluBlok, a recombinant hemagglutinin influenza vaccine. Influenza Other Respir. Viruses 2008, 2, 211–219. [Google Scholar] [CrossRef] [PubMed]
- Krammer, F.; Margine, I.; Tan, G.S.; Pica, N.; Krause, J.C.; Palese, P. A carboxy-terminal trimerization domain stabilizes conformational epitopes on the stalk domain of soluble recombinant hemagglutinin substrates. PLoS ONE 2012, 7, e43603. [Google Scholar] [CrossRef] [PubMed]
- Reed, S.G.; Orr, M.T.; Fox, C.B. Key roles of adjuvants in modern vaccines. Nat. Med. 2013, 19, 1597–1608. [Google Scholar] [CrossRef] [PubMed]
- Feng, H.; Yamashita, M.; da Silva Lopes, T.J.; Watanabe, T.; Kawaoka, Y. Injectable Excipients as Novel Influenza Vaccine Adjuvants. Front. Microbiol. 2019, 10, 19. [Google Scholar] [CrossRef]
- Loudon, P.T.; Yager, E.J.; Lynch, D.T.; Narendran, A.; Stagnar, C.; Franchini, A.M.; Fuller, J.T.; White, P.A.; Nyuandi, J.; Wiley, C.A.; et al. GM-CSF increases mucosal and systemic immunogenicity of an H1N1 influenza DNA vaccine administered into the epidermis of non-human primates. PLoS ONE 2010, 5, e11021. [Google Scholar] [CrossRef]
- Cao, Y.; Zhang, E.; Yang, J.; Yang, Y.; Yu, J.; Xiao, Y.; Li, W.; Zhou, D.; Li, Y.; Zhao, B.; et al. Frontline Science: Nasal epithelial GM-CSF contributes to TLR5-mediated modulation of airway dendritic cells and subsequent IgA response. J. Leukoc. Biol. 2017, 102, 575–587. [Google Scholar] [CrossRef] [PubMed]
- Vijayan, A.; Van Maele, L.; Fougeron, D.; Cayet, D.; Sirard, J.-C. The GM-CSF Released by Airway Epithelial Cells Orchestrates the Mucosal Adjuvant Activity of Flagellin. J. Immunol. 2020, 205, 2873–2882. [Google Scholar] [CrossRef]
- Ichinohe, T.; Watanabe, I.; Ito, S.; Fujii, H.; Moriyama, M.; Tamura, S.-I.; Takahashi, H.; Sawa, H.; Chiba, J.; Kurata, T.; et al. Synthetic double-stranded RNA poly(I:C) combined with mucosal vaccine protects against influenza virus infection. J. Virol. 2005, 79, 2910–2919. [Google Scholar] [CrossRef]
- Dong, J.; Zhou, Y.; Pu, J.; Liu, L. Status and Challenges for Vaccination against Avian H9N2 Influenza Virus in China. Life 2022, 12, 1326. [Google Scholar] [CrossRef]
- Cui, H.; de Jong, M.C.; Beerens, N.; van Oers, M.M.; Teng, Q.; Li, L.; Li, X.; Liu, Q.; Li, Z. Vaccination with inactivated virus against low pathogenic avian influenza subtype H9N2 does not prevent virus transmission in chickens. J. Virus Erad. 2021, 7, 100055. [Google Scholar] [CrossRef]
- Brun, A. Vaccines and Vaccination for Veterinary Viral Diseases: A General Overview. In Methods in Molecular Biology; Humana Press: Clifton, NJ, USA, 2016; Volume 1349. [Google Scholar]
- Zhang, N.; Zheng, B.-J.; Lu, L.; Zhou, Y.; Jiang, S.; Du, L. Advancements in the development of subunit influenza vaccines. Microbes Infect. 2015, 17, 123–134. [Google Scholar] [CrossRef] [PubMed]











| Gene | Primer | Sequence (5′-3′) |
|---|---|---|
| CTB | P1 | GGAATTCGCCACCATGGAAACCAC |
| P2 | CGATGCAGATCTTGTCAGAGCCGCCACCT | |
| FliC | P3 | GGAATTCGCCACCATGGAAACCAC |
| P4 | CGATGCAGATCTTGTCAGAGCCGCCACCT | |
| GM-CSF | P5 | GGAATTCGCCACCATGGAAACCAC |
| P6 | CGATGCAGATCTTGTCAGAGCCGCCACCT | |
| HA | P7 | AGGAGGTGGCGGCTCTGACAAGATCTGCA |
| P8 | AGACTGCAGCTAGTGATGGTGATG | |
| M13-F | P9 | CCCAGTCACGACGTTGTAAAACG |
| M13-R | P10 | AGCGGATAACAATTTCACACAGG |
| Group | Immunogen | Dose (Per Mouse) |
|---|---|---|
| 1 | H9 HA | 5 µg |
| 2 | CTB-HA | 5 µg |
| 3 | FliC-HA | 5 µg |
| 4 | GM-CSF-HA | 5 µg |
| 5 | HA + PolyI:C | 5 µg + 10 µg |
| 6 | FliC-HA + PolyI:C | 5 µg + 10 µg |
| 7 | PBS | 20 µL |
Disclaimer/Publisher’s Note: The statements, opinions and data contained in all publications are solely those of the individual author(s) and contributor(s) and not of MDPI and/or the editor(s). MDPI and/or the editor(s) disclaim responsibility for any injury to people or property resulting from any ideas, methods, instructions or products referred to in the content. |
© 2024 by the authors. Licensee MDPI, Basel, Switzerland. This article is an open access article distributed under the terms and conditions of the Creative Commons Attribution (CC BY) license (https://creativecommons.org/licenses/by/4.0/).
Share and Cite
Lin, L.; Zhu, S.; Yang, B.; Zhang, X.; Wu, H.; Wu, S.; Wu, L.; Shu, J.; He, Y.; Feng, H. H9 Consensus Hemagglutinin Subunit Vaccine with Adjuvants Induces Robust Mucosal and Systemic Immune Responses in Mice by Intranasal Administration. Microorganisms 2024, 12, 2294. https://doi.org/10.3390/microorganisms12112294
Lin L, Zhu S, Yang B, Zhang X, Wu H, Wu S, Wu L, Shu J, He Y, Feng H. H9 Consensus Hemagglutinin Subunit Vaccine with Adjuvants Induces Robust Mucosal and Systemic Immune Responses in Mice by Intranasal Administration. Microorganisms. 2024; 12(11):2294. https://doi.org/10.3390/microorganisms12112294
Chicago/Turabian StyleLin, Liming, Shunfan Zhu, Beibei Yang, Xin Zhang, Huimin Wu, Shixiang Wu, Li Wu, Jianhong Shu, Yulong He, and Huapeng Feng. 2024. "H9 Consensus Hemagglutinin Subunit Vaccine with Adjuvants Induces Robust Mucosal and Systemic Immune Responses in Mice by Intranasal Administration" Microorganisms 12, no. 11: 2294. https://doi.org/10.3390/microorganisms12112294
APA StyleLin, L., Zhu, S., Yang, B., Zhang, X., Wu, H., Wu, S., Wu, L., Shu, J., He, Y., & Feng, H. (2024). H9 Consensus Hemagglutinin Subunit Vaccine with Adjuvants Induces Robust Mucosal and Systemic Immune Responses in Mice by Intranasal Administration. Microorganisms, 12(11), 2294. https://doi.org/10.3390/microorganisms12112294

