Involvement of a Microplusin-like Gene (HlonML-1) in the Olfactory Chemosensation of Haemophysalis longicornis: Expression, RNA Silencing, and Behavioral Implications
Abstract
1. Introduction
2. Materials and Methods
2.1. Ticks and Semiochemicals
2.2. Tissue Collection, RNA Extraction, and cDNA Synthesis
2.3. Gene Cloning and Sequence Analysis
2.4. Recombinant Protein Expression, and Polyclonal Antibody Preparation
2.5. Western Blotting
2.6. Gene Expression Analysis (RT-qPCR)
2.7. RNA Interference Alongside Ticks’ Chemosensory-Related Behavioral Assays
2.8. Ethical Consent
2.9. Statistical Analysis
3. Results
3.1. The Putative Chemosensory-Related Microplusin-like Gene: Sequence Analysis
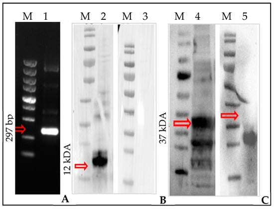
3.2. Detection of HlonML-1 Gene and Its Recombinant Protein in H. longicornis
3.3. HlonML-1 Gene Expression Patterns and Its Changes in Tick Olfactory Behavior
3.4. Effect of HlonML-1 Gene Silencing on Ticks’ Response to Selected Odorants
3.5. Effect of HlonML-1 Gene Silencing on Ticks’ Attachment Rate to a Rabbit Ear
4. Discussion
5. Conclusions
Supplementary Materials
Author Contributions
Funding
Data Availability Statement
Acknowledgments
Conflicts of Interest
References
- Yu, Z.; Wang, H.; Wang, T.; Sun, W.; Yang, X.; Liu, J. Tick-Borne Pathogens and the Vector Potential of Ticks in China. Parasites Vectors 2015, 8, 24. [Google Scholar] [CrossRef] [PubMed]
- Brites-Neto, J.; Duarte, K.M.R.; Martins, T.F. Tick-Borne Infections in Human and Animal Population Worldwide. Vet. World 2015, 8, 301–315. [Google Scholar] [CrossRef] [PubMed]
- Liu, X.Y.; Bonnet, S.I. Hard Tick Factors Implicated in Pathogen Transmission. PLoS Negl. Trop. Dis. 2014, 8, e2566. [Google Scholar] [CrossRef] [PubMed]
- Ferreira, L.L.; Soares, S.F.; de Oliveira Filho, J.G.; Oliveira, T.T.; Pérez de León, A.A.; Borges, L.M.F. Role of Rhipicephalus Microplus Cheliceral Receptors in Gustation and Host Differentiation. Ticks Tick-Borne Dis. 2015, 6, 228–233. [Google Scholar] [CrossRef] [PubMed]
- Carr, A.L.; Mitchell, R.D.; Dhammi, A.; Bissinger, B.W.; Sonenshine, D.E.; Roe, R.M. Tick Haller’s Organ, a New Paradigm for Arthropod Olfaction: How Ticks Differ from Insects. Int. J. Mol. Sci. 2017, 18, 1563. [Google Scholar] [CrossRef]
- Dethier, V.G. The Sensory Physiology of Blood-Sucking Arthropods. Exp. Parasitol. 1957, 6, 68–122. [Google Scholar] [CrossRef]
- Peng, G.; Shi, X.; Kadowaki, T. Evolution of TRP Channels Inferred by Their Classification in Diverse Animal Species. Mol. Phylogenet. Evol. 2015, 84, 145–157. [Google Scholar] [CrossRef]
- Josek, T.; Allan, B.F.; Alleyne, M. Morphometric Analysis of Chemoreception Organ in Male and Female Ticks (Acari: Ixodidae). J. Med. Entomol. 2018, 55, 547–552. [Google Scholar] [CrossRef]
- Buczek, A.; Buczek, L.; Kusmierz, A.; Olszewski, K.; Jasik, K. Ultrastructural Investigations of Haller’s Organ in Dermacentor reticulatus (Fabr.) (Acari: Ixodida: Ixodidae). In Acarid Phylogeny and Evolution: Adaptation in Mites and Ticks; Springer: Dordrecht, The Netherlands, 2002. [Google Scholar] [CrossRef]
- Leonovich, S.A. Structure of Haller’s Organ and Taxonomy of Hard Ticks of the Subfamily Amblyomminae (Family Ixodidae). Entomol. Rev. 2021, 101, 709–724. [Google Scholar] [CrossRef]
- Apanaskevich, D.A.; Oliver, J.H.J. Life Cycles and Natural History of Ticks. In Biology of Ticks; Sonenshine, D.E., Roe, R.M., Eds.; Oxford University Press: New York, NY, USA, 2014; Volume 1, pp. 59–73. [Google Scholar]
- Carr, A.L.; Roe, M. Acarine Attractants: Chemoreception, Bioassay, Chemistry and Control. Pestic. Biochem. Physiol. 2016, 131, 60–79. [Google Scholar] [CrossRef]
- Koloski, C.W.; Cassone, B.J. Transcriptional Profiling of Dermacentor variabilis (Acari: Ixodidae) Provides Insights into the Role of the Haller’s Organ in Spatial DEET Recognition. Ticks Tick-Borne Dis. 2021, 13, 101827. [Google Scholar] [CrossRef] [PubMed]
- Sonenshine, D.E.; Roe, R.M. (Eds.) Overview People, Ticks, and Animal. In Biology of Ticks; Oxford University Press: New York, NY, USA, 2014; Volume 1, pp. 3–16. [Google Scholar]
- Zhang, D.-D. Tick Chemosensation and Implications for Novel Control Strategies. Curr. Opin. Insect Sci. 2024, 65, 101249. [Google Scholar] [CrossRef] [PubMed]
- Clyne, P.J.; Warr, C.G.; Carlson, J.R. Candidate Taste Receptors in Drosophila. Science 2000, 287, 1830–1834. [Google Scholar] [CrossRef] [PubMed]
- Clyne, P.J.; Warr, C.G.; Freeman, M.R.; Lessing, D.; Kim, J.; Carlson, J.R. A Novel Family of Divergent Seven-Transmembrane Proteins: Candidate Odorant Receptors in Drosophila. Neuron 1999, 22, 327–338. [Google Scholar] [CrossRef] [PubMed]
- Benton, R.; Vannice, K.S.; Gomez-Diaz, C.; Vosshall, L.B. Variant Ionotropic Glutamate Receptors as Chemosensory Receptors in Drosophila. Cell 2009, 136, 149–162. [Google Scholar] [CrossRef]
- Vieira, F.G.; Rozas, J. Comparative Genomics of the Odorant-Binding and Chemosensory Protein Gene Families across the Arthropoda: Origin and Evolutionary History of the Chemosensory System. Genome Biol. Evol. 2011, 3, 476–490. [Google Scholar] [CrossRef]
- Pelosi, P.; Iovinella, I.; Felicioli, A.; Dani, F.R. Soluble Proteins of Chemical Communication: An Overview across Arthropods. Front. Physiol. 2014, 5, 320. [Google Scholar] [CrossRef]
- Gebremedhin, M.B.; Xu, Z.; Kuang, C.; Shumuye, N.A.; Cao, J.; Zhou, Y.; Zhang, H.; Zhou, J. Current Knowledge on Chemosensory-Related Candidate Molecules Potentially Involved in Tick Olfaction via Haller’s Organ. Insects 2023, 14, 294. [Google Scholar] [CrossRef]
- Renthal, R.; Manghnani, L.; Bernal, S.; Qu, Y.; Griffith, W.P.; Lohmeyer, K.; Guerrero, F.D.; Borges, L.M.F.; Pérez de León, A. The Chemosensory Appendage Proteome of Amblyomma americanum (Acari: Ixodidae) Reveals Putative Odorant-Binding and Other Chemoreception-Related Proteins. Insect Sci. 2017, 24, 730–742. [Google Scholar] [CrossRef]
- Cui, Y.; Wang, J.; Liu, Q.; Li, D.; Zhang, W.; Liu, X.; Wang, J.; Song, X.; Yao, F.; Wu, H.; et al. Identification and Expression of Potential Olfactory-Related Genes Related to Niemann–Pick C2 Protein and Ionotropic Receptors in Haemaphysalis longicornis. Exp. Appl. Acarol. 2022, 87, 337–350. [Google Scholar] [CrossRef]
- Iovinella, I.; Ban, L.; Song, L.; Pelosi, P.; Dani, F.R. Proteomic Analysis of Castor Bean Tick Ixodes ricinus: A Focus on Chemosensory Organs. Insect Biochem. Mol. Biol. 2016, 78, 58–68. [Google Scholar] [CrossRef] [PubMed]
- Josek, T.; Walden, K.K.O.; Allan, B.F.; Alleyne, M.; Robertson, H.M. A Foreleg Transcriptome for Ixodes Scapularis Ticks: Candidates for Chemoreceptors and Binding Proteins That Might Be Expressed in the Sensory Haller’s Organ. Ticks Tick-Borne Dis. 2018, 9, 1317–1327. [Google Scholar] [CrossRef] [PubMed]
- Jia, N.; Wang, J.; Shi, W.; Du, L.; Sun, Y.; Zhan, W.; Jiang, J.F.; Wang, Q.; Zhang, B.; Ji, P.; et al. Large-Scale Comparative Analyses of Tick Genomes Elucidate Their Genetic Diversity and Vector Capacities. Cell 2020, 182, 1328–1340.e13. [Google Scholar] [CrossRef] [PubMed]
- Fogaça, A.C.; Lorenzini, D.M.; Kaku, L.M.; Esteves, E.; Bulet, P.; Daffre, S. Cysteine-Rich Antimicrobial Peptides of the Cattle Tick Boophilus microplus: Isolation, Structural Characterization and Tissue Expression Profile. Dev. Comp. Immunol. 2004, 28, 191–200. [Google Scholar] [CrossRef]
- Kotsyfakis, M.; Kopáček, P.; Franta, Z.; Pedra, J.H.F.; Ribeiro, J.M.C. Correction: Deep Sequencing Analysis of the Ixodes ricinus Haemocytome. PLoS Neglected Trop. Dis. 2015, 9, e0003909. [Google Scholar] [CrossRef]
- Silva, F.D.; Rezende, C.A.; Rossi, D.C.P.; Esteves, E.; Dyszy, F.H.; Schreier, S.; Gueiros-Filho, F.; Campos, C.B.; Pires, J.R.; Daffre, S. Structure and Mode of Action of Microplusin, a Copper II-Chelating Antimicrobial Peptide from the Cattle Tick Rhipicephalus (Boophilus) microplus. J. Biol. Chem. 2009, 284, 34735–34746. [Google Scholar] [CrossRef]
- Beard, C.B.; Occi, J.; Bonilla, D.L.; Egizi, A.M.; Fonseca, D.M.; Mertins, J.W.; Backenson, B.P.; Bajwa, W.I.; Barbarin, A.M.; Bertone, M.A.; et al. Multistate Infestation with the Exotic Disease–Vector Tick Haemaphysalis longicornis—United States, August 2017–September 2018. Morb. Mortal. Wkly. Rep. 2018, 67, 1310–1313. [Google Scholar] [CrossRef]
- Biessmann, H.; Andronopoulou, E.; Biessmann, M.R.; Douris, V.; Dimitratos, S.D.; Eliopoulos, E.; Guerin, P.M.; Iatrou, K.; Justice, R.W.; Kröber, T.; et al. The Anopheles gambiae Odorant Binding Protein 1 (AgamOBP1) Mediates Indole Recognition in the Antennae of Female Mosquitoes. PLoS ONE 2010, 5, e9471. [Google Scholar] [CrossRef]
- Pelletier, J.; Dawit, M.; Ghaninia, M.; Marois, E.; Ignell, R. A Mosquito-Specific Antennal Protein Is Critical for the Attraction to Human Odor in the Malaria Vector Anopheles gambiae. Insect Biochem. Mol. Biol. 2023, 159, 103988. [Google Scholar] [CrossRef]
- Wu, Q.; Li, C.X.; Liu, Q.M.; Guo, X.X.; Shi, Q.M.; Zhang, H.D.; Xing, D.; Zhang, Y.M.; Liao, C.H.; Han, Q.; et al. RNA Interference of Odorant Receptor CquiOR114/117 Affects Blood-Feeding Behavior in Culex Quinquefasciatus. Acta Trop. 2020, 204, 105343. [Google Scholar] [CrossRef]
- Hajdusek, O.; Kopacek, P.; Perner, J. Experimental Platforms for Functional Genomics in Ticks. Curr. Opin. Insect Sci. 2023, 59, 101102. [Google Scholar] [CrossRef] [PubMed]
- Zhou, J.; Liao, M.; Hatta, T.; Tanaka, M.; Xuan, X.; Fujisaki, K. Identification of a Follistatin-Related Protein from the Tick Haemaphysalis longicornis and Its Effect on Tick Oviposition. Gene 2006, 372, 191–198. [Google Scholar] [CrossRef] [PubMed]
- Zhou, Y.; Cao, J.; Wang, Y.; Battsetseg, B.; Battur, B.; Zhang, H.; Zhou, J. Repellent Effects of Chinese Cinnamon Oil on Nymphal Ticks of Haemaphysalis longicornis, Rhipicephalus haemaphysaloides, and Hyalomma asiaticum. Exp. Appl. Acarol. 2023, 91, 497–507. [Google Scholar] [CrossRef] [PubMed]
- Carroll, J.F.; Benante, J.P.; Kramer, M.; Lohmeyer, K.H.; Lawrence, K. Formulations of Deet, Picaridin, and IR3535 Applied to Skin Repel Nymphs of the Lone Star Tick (Acari: Ixodidae) for 12 Hours. J. Med. Entomol. 2010, 47, 699–704. [Google Scholar] [CrossRef]
- Ferreira, L.L.; de Oliveira Filho, J.G.; de Oliveira Silva, F.; Lacerda Ferraz, A.L.; Mascarin, G.M. Attract or Repel Amblyomma Sculptum Ticks: Screening of Semiochemicals. Vet. Parasitol. 2020, 278, 109036. [Google Scholar] [CrossRef]
- Armenteros, J.J.A.; Salvatore, M.; Emanuelsson, O.; Winther, O.; Von Heijne, G.; Elofsson, A.; Nielsen, H. Detecting Sequence Signals in Targeting Peptides Using Deep Learning. Life Sci. Alliance 2019, 2. [Google Scholar] [CrossRef]
- Kumar, S.; Stecher, G.; Li, M.; Knyaz, C.; Tamura, K. MEGA X: Molecular Evolutionary Genetics Analysis across Computing Platforms. Mol. Biol. Evol. 2018, 35, 1547–1549. [Google Scholar] [CrossRef]
- Hu, S.; Wang, Y.; Xu, Z.; Zhou, Y.; Cao, J.; Zhang, H.; Zhou, J. Identification of the Bcl-2 and Bax Homologs from Rhipicephalus haemaphysaloides and Their Function in the Degeneration of Tick Salivary Glands. Parasites Vectors 2021, 14, 386. [Google Scholar] [CrossRef]
- Livak, K.J.; Schmittgen, T.D. Analysis of Relative Gene Expression Data Using Real-Time Quantitative PCR and the 2(-Delta Delta C(T)) Method. Methods 2001, 25, 402–408. [Google Scholar] [CrossRef]
- Kocan, K.M.; Blouin, E.; De La Fuente, J. RNA Interference in Ticks. J. Vis. Exp. 2011, 47, 2474. [Google Scholar] [CrossRef]
- Aung, K.M.; Boldbaatar, D.; Liao, M.; Umemiya-Shirafuji, R.; Nakao, S.; Matsuoka, T.; Tanaka, T.; Fujisaki, K. Identification and Characterization of Class B Scavenger Receptor CD36 from the Hard Tick, Haemaphysalis longicornis. Parasitol. Res. 2011, 108, 273–285. [Google Scholar] [CrossRef] [PubMed]
- Zhong, Z.; Zhong, T.; Peng, Y.; Zhou, X.; Wang, Z.; Tang, H.; Correspondence, J.W. Symbiont-Regulated Serotonin Biosynthesis Modulates Tick Feeding Activity. Cell Host Microbe 2021, 29, 1545–1557.E4. [Google Scholar] [CrossRef] [PubMed]
- Lu, X.; Zhang, Z.; Yuan, D.; Zhou, Y.; Cao, J.; Zhang, H.; da Silva Vaz, I.; Zhou, J. The Ecdysteroid Receptor Regulates Salivary Gland Degeneration through Apoptosis in Rhipicephalus haemaphysaloides. Parasites Vectors 2021, 14, 612. [Google Scholar] [CrossRef] [PubMed]
- Faraone, N.; Light, M.; Scott, C.; Macpherson, S.; Hillier, N.K. Chemosensory and Behavioural Responses of Ixodes scapularis to Natural Products: Role of Chemosensory Organs in Volatile Detection. Insects 2020, 11, 502. [Google Scholar] [CrossRef] [PubMed]
- Xu, P.; Choo, Y.M.; De La Rosa, A.; Leal, W.S. Mosquito Odorant Receptor for DEET and Methyl Jasmonate. Proc. Natl. Acad. Sci. USA 2014, 111, 16592–16597. [Google Scholar] [CrossRef]
- Carr, A.L.; Roe, R.M.; Arellano, C.; Sonenshine, D.E.; Schal, C.; Apperson, C.S. Responses of Amblyomma americanum and Dermacentor variabilis to Odorants That Attract Haematophagous Insects. Med. Vet. Entomol. 2013, 27, 86–95. [Google Scholar] [CrossRef]
- Zhang, H.; Zhang, W.; Wang, X.; Zhou, Y.; Wang, N.; Zhou, J. Identification of a Cysteine-Rich Antimicrobial Peptide from Salivary Glands of the Tick Rhipicephalus haemaphysaloides. Peptides 2011, 32, 441–446. [Google Scholar] [CrossRef]
- Sonenshine, D.E. Pheromones and Other Semiochemicals of Ticks and Their Use in Tick Control. Parasitology 2004, 129, S405–S425. [Google Scholar] [CrossRef]
- Josek, T.; Sperrazza, J.; Alleyne, M.; Syed, Z. Neurophysiological and Behavioral Responses of Blacklegged Ticks to Host Odors. J. Insect Physiol. 2021, 128, 104175. [Google Scholar] [CrossRef]
- Leal, B.; Zamora, E.; Fuentes, A.; Thomas, D.B.; Dearth, R.K. Questing by Tick Larvae (Acari: Ixodidae): A Review of the Influences That Affect Off-Host Survival. Ann. Entomol. Soc. Am. 2020, 113, 425–438. [Google Scholar] [CrossRef]
- Bontonou, G.; Saint-Leandre, B.; Kafle, T.; Baticle, T.; Hassan, A.; Sánchez-Alcañiz, J.A.; Arguello, J.R. Evolution of Chemosensory Tissues and Cells across Ecologically Diverse Drosophilids. Nat. Commun. 2024, 15, 1047. [Google Scholar] [CrossRef] [PubMed]
- Pelosi, P.; Iovinella, I.; Zhu, J.; Wang, G.; Dani, F.R. Beyond Chemoreception: Diverse Tasks of Soluble Olfactory Proteins in Insects. Biol. Rev. 2018, 93, 184–200. [Google Scholar] [CrossRef] [PubMed]
- Pages, F.; Dautel, H.; Duvallet, G.; Kahl, O.; De Gentile, L.; Boulanger, N. Tick Repellents for Human Use: Prevention of Tick Bites and Tick-Borne Diseases. Vector Borne Zoonotic Dis. 2014, 14, 85–93. [Google Scholar] [CrossRef] [PubMed]
- De Bruyne, M.; Guerin, P.M. Contact Chemostimuli in the Mating Behaviour of the Cattle Tick, Boophilus microplus. Arch. Insect Biochem. Physiol. 1998, 39, 65–80. [Google Scholar] [CrossRef]





Disclaimer/Publisher’s Note: The statements, opinions and data contained in all publications are solely those of the individual author(s) and contributor(s) and not of MDPI and/or the editor(s). MDPI and/or the editor(s) disclaim responsibility for any injury to people or property resulting from any ideas, methods, instructions or products referred to in the content. |
© 2024 by the authors. Licensee MDPI, Basel, Switzerland. This article is an open access article distributed under the terms and conditions of the Creative Commons Attribution (CC BY) license (https://creativecommons.org/licenses/by/4.0/).
Share and Cite
Gebremedhin, M.B.; Xu, Z.; Kuang, C.; Nawaz, M.; Wei, N.; Cao, J.; Zhou, Y.; Zhang, H.; Zhou, J. Involvement of a Microplusin-like Gene (HlonML-1) in the Olfactory Chemosensation of Haemophysalis longicornis: Expression, RNA Silencing, and Behavioral Implications. Microorganisms 2024, 12, 2269. https://doi.org/10.3390/microorganisms12112269
Gebremedhin MB, Xu Z, Kuang C, Nawaz M, Wei N, Cao J, Zhou Y, Zhang H, Zhou J. Involvement of a Microplusin-like Gene (HlonML-1) in the Olfactory Chemosensation of Haemophysalis longicornis: Expression, RNA Silencing, and Behavioral Implications. Microorganisms. 2024; 12(11):2269. https://doi.org/10.3390/microorganisms12112269
Chicago/Turabian StyleGebremedhin, Mebrahtu Berhe, Zhengmao Xu, Ceyan Kuang, Mohsin Nawaz, Nana Wei, Jie Cao, Yongzhi Zhou, Houshuang Zhang, and Jinlin Zhou. 2024. "Involvement of a Microplusin-like Gene (HlonML-1) in the Olfactory Chemosensation of Haemophysalis longicornis: Expression, RNA Silencing, and Behavioral Implications" Microorganisms 12, no. 11: 2269. https://doi.org/10.3390/microorganisms12112269
APA StyleGebremedhin, M. B., Xu, Z., Kuang, C., Nawaz, M., Wei, N., Cao, J., Zhou, Y., Zhang, H., & Zhou, J. (2024). Involvement of a Microplusin-like Gene (HlonML-1) in the Olfactory Chemosensation of Haemophysalis longicornis: Expression, RNA Silencing, and Behavioral Implications. Microorganisms, 12(11), 2269. https://doi.org/10.3390/microorganisms12112269

