Cross-Kingdom Pathogenesis of Pantoea alfalfae CQ10: Insights from Transcriptome and Proteome Analyses
Abstract
1. Introduction
2. Materials and Methods
2.1. Bacterial Strains
2.2. Plant Materials
2.3. Animals and Treatments
2.4. Measurement of Indices
2.5. Isolation and Identification of Bacteria from Mouse Feces and Tissues
2.6. Dual RNA-Seq Analysis
2.6.1. Sample Preparation
2.6.2. Screening of Differentially Expressed Genes
2.7. Proteome Analysis
2.8. Equipment and Reagents
2.9. Identification and Analysis of Differentially Expressed Genes (DEGs) and Differentially Expressed Proteins (DEPs)
2.10. Reverse Transcription Quantitative Polymerase Chain Reaction (RTq-PCR) Validations of DEGs
2.11. Statistical Analysis
3. Results
3.1. Infection of Mice Challenged with CQ10 Strains
3.2. Effect of CQ10 Strains on Food Intake and Body Mass of Mice
3.3. Effect of CQ10 Strains on the Organ Coefficient of Mice
3.4. Effect of CQ10 Strains on the Blood Routine Indexes of Mice
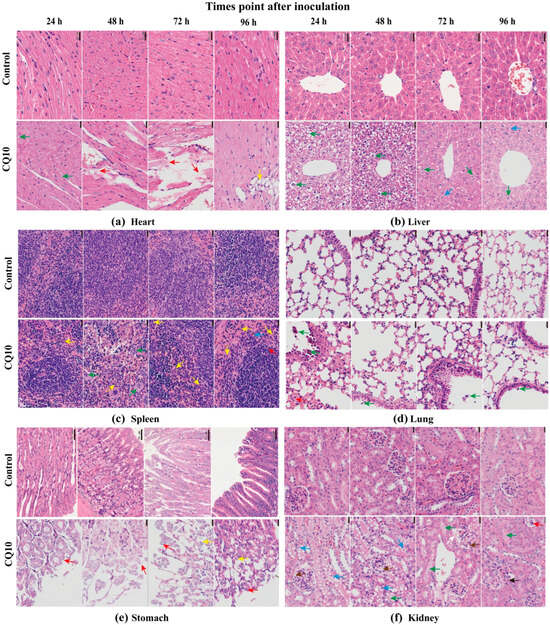
3.5. Effect of CQ10 Strains on the Pathological Changes of Mice
3.6. CQ10 on Alfalfa and Mouse Cross-Kingdom Infection
3.7. Dual RNA-Seq, DEGs Analysis, GO, and KEGG Enrichment
3.8. Toxicity Factor Analysis of DEGs
3.9. Analysis of DEGs in Pathogenic Bacteria–Host Interactions
3.10. RNA-Seq Data Validation
3.11. The Qualitative Proteome Analysis
3.12. Genes and Proteins Related to CQ10 on Alfalfa and Mouse Cross-Kingdom Infection
4. Discussion
4.1. Strain CQ10 Is a Plant and Animal Cross-Kingdom Pathogenic Bacteria
4.2. Genes Associated with the Plant and Animal Cross-Kingdom of Pathogenic Bacteria
4.3. Proteins Associated with the Plant and Animal Cross-Kingdom of Pathogenic Bacteria
5. Conclusions
Supplementary Materials
Author Contributions
Funding
Data Availability Statement
Conflicts of Interest
References
- Banerjee, S.; van der Heijden, M.G.A. Soil microbiomes and one health. Nat. Rev. Microbiol. 2023, 21, 6–20. [Google Scholar] [CrossRef] [PubMed]
- Berg, G.; Rybakova, D.; Fischer, D.; Cernava, T.; Vergès, M.C.; Charles, T.; Chen, X.; Cocolin, L.; Eversole, K.; Corral, G.H.; et al. Microbiome definition re-visited: Old concepts and new challenges. Microbiome 2020, 8, 103. [Google Scholar]
- Hou, F.J.; Xu, L. Meaning of the animal production layer in grassland agroecosystems. Pratacultural Sci. 2010, 4, 121–126. [Google Scholar]
- Fones, H.N.; Bebber, D.P.; Chaloner, T.M.; Kay, W.T.; Steinberg, G.; Gurr, S.J. Threats to global food security from emerging fungal and oomycete crop pathogens. Nat. Food 2020, 1, 332–342. [Google Scholar] [CrossRef]
- Abbas, A.; Mubeen, M.; Sohail, M.A.; Solanki, M.K.; Hussain, B.; Nosheen, S.; Kashyap, B.K.; Zhou, L.; Fang, X. Root rot a silent alfalfa killer in China: Distribution, fungal, and oomycete pathogens, impact of climatic factors and its management. Front. Microbiol. 2022, 13, 961794. [Google Scholar] [CrossRef]
- Tammam, S.N.; El Safy, S.; Ramadan, S.; Arjune, S.; Krakor, E.; Mathur, S. Repurpose but also (nano)-reformulate! The potential role of nanomedicine in the battle against SARS-CoV2. J. Control Release 2021, 337, 258–284. [Google Scholar] [CrossRef]
- Nan, Z.B.; Li, C.J.; Bai, Y.S. Diseases of Grass Crops in China and Their Control Countermeasures; Ocean Press: Beijing, China, 2003. [Google Scholar]
- Rahme, L.G.; Stevens, E.J.; Wolfort, S.F.; Shao, J.; Tompkins, R.G.; Ausubel, F.M. Common virulence factors for bacterial pathogenicity in plants and animals. Science 1995, 268, 1899–1902. [Google Scholar] [CrossRef]
- Yao, B.; Huang, R.; Zhang, Z.Z.; Shi, S.L. Seed-Borne Erwinia persicina Affects the Growth and Physiology of Alfalfa (Medicago sativa L.). Front. Microbiol. 2022, 13, 891188. [Google Scholar]
- Zhang, Z.F.; Nan, Z.B. Erwinia persicina, a possible new necrosis and wilt threat to forage or grain legumes production. Eur. J. Plant Pathol. 2014, 139, 349–358. [Google Scholar] [CrossRef]
- Zhang, Z.F. Seed-Borne Bacteria of Lucerne (Medicago sativa) and Their Pathogenicity. Ph.D. Thesis, Lanzhou University, Lanzhou, China, 2013. [Google Scholar]
- Mohamaden, W.I.; Zhang, Z.F.; Hegab, I.M.; Shi, S.L. Experimental infection in mouse with Erwinia persicina. Microb. Pathog. 2019, 130, 38–43. [Google Scholar] [CrossRef]
- Elvira-Recuenco, M.; van Vuurde, J.W. Natural incidence of endophytic bacteria in pea cultivars under field conditions. Can. J. Microbiol. 2000, 46, 1036–1041. [Google Scholar] [CrossRef] [PubMed]
- Cruz, A.T.; Cazacu, A.C.; Allen, C.H. Pantoea agglomerans, a plant pathogen causing human disease. J. Clin. Virol. Plus 2007, 45, 1989–1992. [Google Scholar] [CrossRef] [PubMed]
- Finet, O.; Yague-Sanz, C.; Krüger, L.K.; Tran, P.; Migeot, V.; Louski, M.; Nevers, A.; Rougemaille, M.; Sun, J.; Ernst, F.G.M.; et al. Transcription-wide mapping of dihydrouridine reveals that mRNA dihydrouridylation is required for meiotic chromosome segregation. Mol. Cell. 2022, 82, 404–419.e9. [Google Scholar] [CrossRef] [PubMed]
- Lum, K.K.; Cristea, I.M. Proteomic approaches to uncovering virus-host protein interactions during the progression of viral infection. Expert. Rev. Proteom. 2016, 13, 325–340. [Google Scholar] [CrossRef]
- Wu, M.X.; Zou, Y.; Yu, Y.H.; Chen, B.X.; Zheng, Q.W.; Ye, Z.W.; Guo, L.Q.; Lin, J.F. Comparative transcriptome and proteome provide new insights into the regulatory mechanisms of the postharvest deterioration of Pleurotus tuoliensis fruitbodies during storage. Food Res. Int. 2021, 147, 110540–110552. [Google Scholar] [CrossRef]
- Qu, S.; Li, M.; Wang, G.; Yu, W.; Zhu, S. Transcriptomic, proteomic and LC-MS analyses reveal anthocyanin biosynthesis during litchi pericarp browning. Sci. Hortic. 2021, 289, 110443–110451. [Google Scholar] [CrossRef]
- Yao, B.; Zhang, Z.F.; Shi, S.L.; Zhang, Y.J.; Jia, Q.Y.; Li, X.Y.; Zhang, H.; Deji, Z.M. A Plant Seed Germination and Seedling Stress Experimental Device. Gansu Province: CN202021672986.4, 8 June 2021. [Google Scholar]
- Zhu, S.; Xie, J.; Yang, J.; Hou, X.; He, L.; Zhang, Z. Seed-Borne Bacterial Diversity of Fescue (Festuca ovina L.) and Properties Study. Microorganisms 2024, 12, 329. [Google Scholar] [CrossRef]
- Kachuk, C.; Stephen, K.; Doucette, A. Comparison of sodium dodecyl sulfate depletion techniques for proteome analysis by mass spectrometry. J. Chromatogr. A 2015, 1418, 158–166. [Google Scholar] [CrossRef]
- Sun, Z.; Li, L.; Qu, J.; Li, H.; Chen, H. Proteomic analysis of therapeutic effects of Qingyi pellet on rodent severe acute pancreatitis-associated lung injury. Biomed. Pharmacother. 2019, 118, 109300. [Google Scholar] [CrossRef]
- Livak, K.J.; Schmittgen, T.D. Analysis of relative gene expression data using real-time quantitative PCR and the 2 (-Delta Delta C(T)) method. Methods 2001, 25, 402–408. [Google Scholar] [CrossRef]
- Chen, L.; Zheng, D.; Liu, B.; Yang, J.; Jin, Q. VFDB 2016: Hierarchical and refined dataset for big data analysis-10 years on. Nucleic Acids Res. 2016, 44, 694–697. [Google Scholar] [CrossRef] [PubMed]
- Amedei, A.; Cappon, A.; Codolo, G.; Cabrelle, A.; Polenghi, A.; Benagiano, M.; Tasca, E.; Azzurri, A.; D’Elios, M.M.; Del Prete, G.; et al. The neutrophil-activating protein of Helicobacter pylori promotes Th1 immune responses. J. Clin. Investig. 2006, 116, 1092–1101. [Google Scholar] [CrossRef] [PubMed]
- Consortium, R. RNA central 2021: Secondary structure integration, improved sequence search and new member databases. Nucleic Acids Res. 2021, 49, 212–220. [Google Scholar] [CrossRef] [PubMed]
- Liberto, M.C.; Matera, G.; Puccio, R.; Lo Russo, T.; Colosimo, E.; Focà, E. Six cases of sepsis caused by Pantoea agglomerans in a teaching hospital. New Microbiol. 2009, 32, 119. [Google Scholar]
- Choi, O.; Kim, H.; Lee, Y.; Kim, J.; Moon, j.; Hwang, I. First report of sheath rot of rice caused by Pantoea ananatis in Korea. Plant Pathol. J. 2012, 28, 331. [Google Scholar] [CrossRef]
- De Armas, S.; Galván, G.A.; Lapaz, M.I.; González-Barrios, P.; Vicente, E.; Pianzzola, M.J.; Siri, M.I. Phylogeny and Identification of Pantoea Species Associated with Bulb Rot and Bacterial Leaf Blight of Onion Crops in Uruguay. Plant Dis. 2022, 106, 1216–1225. [Google Scholar] [CrossRef]
- Guajardo, J.; Vasconez, I.N.; Dorta, F.; Cuadros, F.; Yañez, C.; Valenzuela, M. First Report of Pantoea ananatis and Pantoea eucalypti causing onion leaf blight and bulb decay in Central Chile. Plant Dis. 2023, 108, 515. [Google Scholar] [CrossRef]
- Ilyas, N.; Yang, Y.; Liu, W.; Li, X.; Pu, W.; Singh, R.P.P.; Li, Y. First report of bacterial rot caused by Pantoea endophytica on tobacco in Liuyang, China. Plant Dis. 2021, 105, 4147. [Google Scholar] [CrossRef]
- Wadhwa, N.; Berg, H.C. Bacterial motility: Machinery and mechanisms. Nat. Rev. Microbiol. 2022, 20, 161–173. [Google Scholar] [CrossRef]
- Tans-Kersten, J.; Huang, H.; Allen, C. Ralstonia solanacearum needs motility for invasive virulence on tomato. J. Bacterioli 2001, 183, 3597–3605. [Google Scholar] [CrossRef]
- Dietrich, C.; Heuner, K.; Brand, B.; Hacker, J.; Steinert, M. Flagellum of Legionella pneumophila positively affects the early phase of infection of eukaryotic host cells. Infect. Immun. 2001, 69, 2116–2122. [Google Scholar] [PubMed]
- Praveena, P.E.; Periasamy, S.; Kumar, A.A.; Singh, N. Cytokine profiles, apoptosis and pathology of experimental Pasteurella multocida serotype A1 infection in mouse. Res. Vet. Sci. 2010, 89, 332–339. [Google Scholar] [CrossRef] [PubMed]
- Van Heeckeren, A.M.; Tscheikuna, J.; Walenga, R.W.; Konstan, M.W.; Davis, P.B.; Erokwu, B.; Haxhiu, M.A.; Ferkol, T.W. Effect of Pseudomonas infection on weight loss, lung mechanics, and cytokines in mouse. Am. J. Respir. Crit. Care Med. 2000, 161, 271–279. [Google Scholar] [CrossRef] [PubMed]
- Allemailem, K.S.; Alnuqaydan, A.M.; Almatroudi, A.; Almatroudi, A.; Alrumaihi, F.; Aljaghwani, A.; Khalilullah, H.; Younus, H.; Khan, A.; Khan, M.A. Safety and therapeutic efficacy of thymoquinone-loaded liposomes against drug-sensitive and drug-resistant Acinetobacter baumannii. Pharmaceutics 2021, 13, 677. [Google Scholar] [CrossRef] [PubMed]
- Kim, J.H.; Lim, I.R.; Joo, H.J.; Park, C.Y.; Choi, S.C.; Jeong, H.S.; Hong, S.J. Fimasartan reduces neointimal formation and inflammation after carotid arterial injury in apolipoprotein E knockout mouse. Mol. Med. 2019, 25, 33. [Google Scholar] [CrossRef]
- Kaur, G.; STS, C.; Nimker, C.; Bansal, A. rIL-22 as an adjuvant enhances the immunogenicity of rGroEL in mouse and its protective efficacy against S. Typhi and S. Typhimurium. Cell Mol. Immunol. 2015, 12, 96–106. [Google Scholar] [CrossRef]
- Casson, C.N.; Doerner, J.L.; Copenhaver, A.M.; Ramirez, J.; Holmgren, A.M.; Boyer, M.A.; Siddarthan, I.J.; Rouhanifard, S.H.; Raj, A.; Shin, S. Neutrophils and Ly6Chi monocytes collaborate in generating an optimal cytokine response that protects against pulmonary Legionella pneumophila infection. PLoS Pathog. 2017, 13, e1006309. [Google Scholar]
- Xiong, H.; Carter, R.A.; Leiner, I.M.; Tang, Y.W.; Chen, L.; Kreiswirth, B.N.; Pamer, E.G. Distinct contributions of neutrophils and CCR2+ monocytes to pulmonary clearance of different Klebsiella pneumoniae strains. Infect. Immun. 2015, 83, 3418–3427. [Google Scholar] [CrossRef]
- Luo, H.; Gu, C.; Liu, C.; Wang, Y.; Wang, H.; Li, Y. Plasma metabolic profiling analysis of Strychnos nux-vomica Linn. and Tripterygium wilfordii Hook F-induced renal toxicity using metabolomics coupled with UPLC/Q-TOF-MS. Toxicol. Res. 2018, 7, 1153–1163. [Google Scholar] [CrossRef]
- Suzuki, H.; Masaoka, T.; Miyazawa, M.; Suzuki, M.; Miura, S.; Ishii, H. Gastric mucosal response to Helicobacter pylori. Keio J. Med. 2002, 51, 40–44. [Google Scholar] [CrossRef][Green Version]
- Kubes, P.; Jenne, C. Immune responses in the liver. Annu. Rev. Immunol. 2018, 36, 247–277. [Google Scholar] [CrossRef] [PubMed]
- Beristain-Covarrubias, N.; Perez-Toledo, M.; Flores-Langarica, A.; Zuidscherwoude, M.; Hitchcock, J.R.; Channell, W.M.; King, L.D.W.; Thomas, M.R.; Henderson, I.R.; Rayes, J.; et al. Salmonella-induced thrombi in mouse develop asynchronously in the spleen and liver and are not effective bacterial traps. Blood 2019, 133, 600–604. [Google Scholar] [CrossRef] [PubMed]
- Abraham, S.N.; Miao, Y. The nature of immune responses to urinary tract infections. Nat. Rev. Immunol. 2015, 15, 655–663. [Google Scholar] [CrossRef] [PubMed]
- Jaffe, A.L.; Castelle, C.J.; Banfield, J.F. Habitat Transition in the Evolution of Bacteria and Archaea. Annu. Rev. Microbiol. 2023, 77, 193–212. [Google Scholar] [CrossRef] [PubMed]
- Ali, R.; Ma, W.; Lemtiri-Chlieh, F.; Tsaltas, D.; Leng, Q.; von Bodman, S.; Berkowitz, G.A. Death don’t have no mercy and neither does calcium: Arabidopsis CYCLIC NUCLEOTIDE GATED CHANNEL2 and innate immunity. Plant Cell 2007, 19, 1081–1095. [Google Scholar] [CrossRef]
- Trautmann, H.S.; Ramsey, K.M. A ribosomal protein homolog governs gene expression and virulence in a bacterial pathogen. J. Bacteriol. 2002, 204, e0026822. [Google Scholar] [CrossRef]
- Pakbin, B.; Brück, W.M.; Rossen, J.W.A. Virulence factors of enteric pathogenic Escherichia coli: A review. Int. J. Mol. Sci. 2021, 22, 9922. [Google Scholar] [CrossRef]
- Taglialegna, A.; Navarro, S.L.; Ventura, S.; Garnett, J.A.; Matthews, S.; Penades, J.R.; Lasa, I.; Valle, J. Staphylococcal Bap proteins build amyloid scaffold biofilm matrices in response to environmental signals. PLoS Pathog. 2016, 12, e1005711. [Google Scholar] [CrossRef]
- Hinsa, S.M.; Espinosa-Urgel, M.; Ramos, J.L.; O’Toole, G.A. Transition from reversible to irreversible attachment during biofilm formation by Pseudomonas fluorescens WCS365 requires an ABC transporter and a large secreted protein. Mol. Microbiol. 2003, 49, 905–918. [Google Scholar] [CrossRef]
- Cucarella, C.; Tormo, M.Á.; Úbeda, C.; Trotonda, M.P.; Monzón, M.; Peris, C.; Amorena, B.; Lasa, I.; Penadés, J.R. Role of biofilm-associated protein bap in the pathogenesis of bovine Staphylococcus aureus. Infect. Immun. 2004, 72, 2177–2185. [Google Scholar] [CrossRef]
- Huber, B.; Riedel, K.; Köthe, M.; Givskov, M.; Molin, S.; Eberl, L. Genetic analysis of functions involved in the late stages of biofilm development in Burkholderia cepacia H111. Mol. Microbiol. 2009, 46, 411–426. [Google Scholar] [CrossRef] [PubMed]
- Roux, A.; Beloin, C.; Ghigo, J.M. Combined inactivation and expression strategy to study gene function under physiological conditions: Application to identification of new Escherichia coli adhesins. J. Bacteriol. 2005, 187, 1001–1013. [Google Scholar] [CrossRef] [PubMed]
- Lasa, I.; Penadés, J.R. Bap: A family of surface proteins involved in biofilm formation. Res. Microbiol. 2006, 157, 99–107. [Google Scholar] [CrossRef]
- Satin, B.; del Giudice, G.; Bianca, V.D.; Dusi, S.; Laudanna, C.; Tonello, F.; Kelleher, D.; Rappuoli, R.; Montecucco, C.; Rossi, F. The neutrophil-activating protein (HP-NAP) of Helicobacter pylori is a protective antigen and a major virulence factor. J. Exp. Med. 2000, 91, 1467–1476. [Google Scholar] [CrossRef] [PubMed]
- Liu, F.; Ou, X.C.; Zhan, R.L. Whole-genome sequence and genome annotation of Xanthomonas citri pv. mangiferaeindicae, causal agent of bacterial black spot on Mangifera indica. Arch. Microbiol. 2018, 200, 835–840. [Google Scholar] [CrossRef]
- Ren, Z.G.; Jiang, W.J.; Ni, X.Y.; Lin, M.; Zhang, W.; Tian, G.Z.; Zhang, L.Q. Multiplication of Acidovorax citrulli in planta during infection of melon seedlings requires the ability to synthesize leucine. Plant Pathol. 2014, 63, 784–791. [Google Scholar] [CrossRef]
- Yang, J.; Pan, X.; Xu, Y.; Li, Y.; Xu, N.; Huang, Z.; Ye, J.; Gao, D.; Guo, M. Agrobacterium tumefaciens ferritins play an important role in full virulence through regulating iron homeostasis and oxidative stress survival. Mol. Plant Pathol. 2020, 21, 1167–1178. [Google Scholar] [CrossRef]
- Fusco, W.G.; Choudhary, N.R.; Council, S.E.; Collins, E.J.; Leduc, I. Mutational analysis of hemoglobin binding and heme utilization by a bacterial hemoglobin receptor. J. Bacteriol. 2013, 195, 3115–3123. [Google Scholar] [CrossRef]
- Hall-Stoodley, L.; Costerton, J.W.; Stoodley, P. Bacterial biofilms: From the Natural environment to infectious diseases. Nat. Rev. Microbiol. 2004, 2, 95–108. [Google Scholar] [CrossRef]
- Büttner, D.; Bonas, U. Common infection strategies of plant and animal pathogenic bacteria. Curr. Opin. Plant Biol. 2003, 6, 312–319. [Google Scholar] [CrossRef]
- Iwasaki, A.; Medzhitov, R. Regulation of adaptive immunity by the innate immune system. Science 2010, 327, 291–295. [Google Scholar] [CrossRef] [PubMed]
- Pietras, E.M.; Miller, L.S.; Johnson, C.T.; O’Connell, R.M.; Dempsey, P.W.; Cheng, G. A MyD88-dependent IFNγR-CCR2 signaling circuit is required for mobilization of monocytes and host defense against systemic bacterial challenge. Cell Res. 2011, 21, 1068–1079. [Google Scholar] [CrossRef] [PubMed]
- Sheng, T.; Song, G.; Yue, T.; Zhang, J.; Wang, W.; Yang, Z.; Lu, Q. Whole-genome sequencing and antimicrobial resistance analysis of multidrug-resistant Aeromonas veronii strain JC529 from a common carp. J. Glob. Antimicrob. Resist. 2021, 27, 118–122. [Google Scholar] [CrossRef] [PubMed]







| Samples | Group | Type |
|---|---|---|
| CQ10-1 | CQ10 | 109 cfu/mL bacteria strain |
| CQ10-2 | ||
| CQ10-3 | ||
| CQ10-P-1 | CQ10-P | Alfalfa leaves infested with 109 cfu/mL CQ10 strain |
| CQ10-P-2 | ||
| CQ10-P-3 | ||
| CQ10-A-1 | CQ10-A | Stomach tissue of mice infested with 109 cfu/mL CQ10 strain |
| CQ10-A-2 | ||
| CQ10-A-3 |
| Samples | Group | Type |
|---|---|---|
| CQ10-P-1 | CQ10-Plant | Alfalfa leaves infested with 109 cfu/mL CQ10 strain |
| CQ10-P-2 | ||
| CQ10-P-3 | ||
| CQ10-A-1 | CQ10-Animal | Stomach tissue of mice infested with 109 cfu/mL CQ10 strain |
| CQ10-A-2 | ||
| CQ10-A-3 |
Disclaimer/Publisher’s Note: The statements, opinions and data contained in all publications are solely those of the individual author(s) and contributor(s) and not of MDPI and/or the editor(s). MDPI and/or the editor(s) disclaim responsibility for any injury to people or property resulting from any ideas, methods, instructions or products referred to in the content. |
© 2024 by the authors. Licensee MDPI, Basel, Switzerland. This article is an open access article distributed under the terms and conditions of the Creative Commons Attribution (CC BY) license (https://creativecommons.org/licenses/by/4.0/).
Share and Cite
Su, J.; Yao, B.; Huang, R.; Liu, X.; Zhang, Z.; Zhang, Y. Cross-Kingdom Pathogenesis of Pantoea alfalfae CQ10: Insights from Transcriptome and Proteome Analyses. Microorganisms 2024, 12, 2197. https://doi.org/10.3390/microorganisms12112197
Su J, Yao B, Huang R, Liu X, Zhang Z, Zhang Y. Cross-Kingdom Pathogenesis of Pantoea alfalfae CQ10: Insights from Transcriptome and Proteome Analyses. Microorganisms. 2024; 12(11):2197. https://doi.org/10.3390/microorganisms12112197
Chicago/Turabian StyleSu, Jing, Bo Yao, Rong Huang, Xiaoni Liu, Zhenfen Zhang, and Yong Zhang. 2024. "Cross-Kingdom Pathogenesis of Pantoea alfalfae CQ10: Insights from Transcriptome and Proteome Analyses" Microorganisms 12, no. 11: 2197. https://doi.org/10.3390/microorganisms12112197
APA StyleSu, J., Yao, B., Huang, R., Liu, X., Zhang, Z., & Zhang, Y. (2024). Cross-Kingdom Pathogenesis of Pantoea alfalfae CQ10: Insights from Transcriptome and Proteome Analyses. Microorganisms, 12(11), 2197. https://doi.org/10.3390/microorganisms12112197

