A Rare Case and Literature Review of Pyelo-Hepatic Abscess in an Immunocompetent Patient: When Effective Source Control and Targeted Antimicrobial Therapy Might Not Be Enough
Abstract
1. Introduction
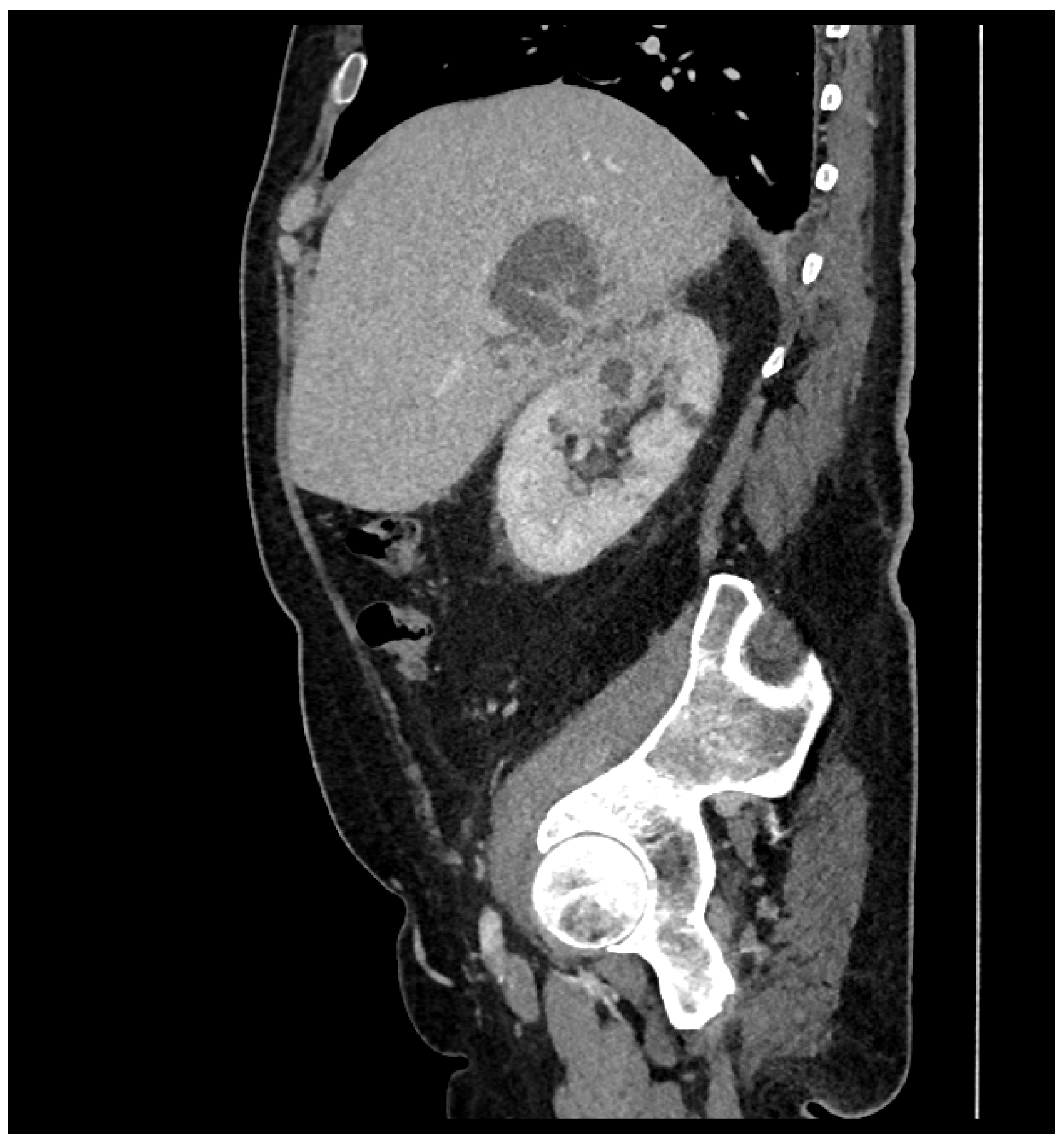
2. Case Report
3. Discussion
4. Conclusions
Author Contributions
Funding
Institutional Review Board Statement
Informed Consent Statement
Data Availability Statement
Conflicts of Interest
References
- Rubilotta, E.; Balzarro, M.; Lacola, V.; Sarti, A.; Porcaro, A.B.; Artibani, W. Current clinical management of renal and perinephric abscesses: A literature review. Urologia 2014, 81, 144–147. [Google Scholar] [CrossRef]
- Johnson, J.R.; Russo, T.A. Acute Pyelonephritis in Adults. N. Engl. J. Med. 2018, 378, 48–59. [Google Scholar] [CrossRef]
- Okafor, C.N.; Onyeaso, E.E. Perinephric Abscess. In StatPearls [Internet]; StatPearls Publishing: Treasure Island, FL, USA, 2022. [Google Scholar] [PubMed]
- Lange, D.; Bidnur, S.; Hoag, N.; Chew, B.H. Ureteral stent-associated complications-where we are and where we are going. Nat. Rev. Urol. 2015, 12, 17–25. [Google Scholar] [CrossRef] [PubMed]
- Wagner, C.; Sauermann, R.; Joukhadar, C. Principles of antibiotic penetration into abscess fluid. Pharmacology 2006, 78, 1–10. [Google Scholar] [CrossRef]
- Lardière-Deguelte, S.; Ragot, E.; Amroun, K.; Piardi, T.; Dokmak, S.; Bruno, O.; Appere, F.; Sibert, A.; Hoeffel, C.; Sommacale, D.; et al. Hepatic abscess: Diagnosis and management. J. Visc. Surg. 2015, 152, 231–243. [Google Scholar] [CrossRef] [PubMed]
- Page, M.J.; McKenzie, J.E.; Bossuyt, P.M.; Boutron, I.; Hoffmann, T.C.; Mulrow, C.D.; Shamseer, L.; Tetzlaff, J.M.; Akl, E.A.; Brennan, S.E.; et al. The PRISMA 2020 statement: An updated guideline for reporting systematic reviews. BMJ 2021, 372, n71. [Google Scholar] [CrossRef] [PubMed]
- Salgado, O.J.; Pesantes-Barros, K.S.; Rosales, B.C.; Espinosa-Martin, L. Pyelo-hepatic abscess caused by staghorn stone infection: A case report. J. Med. Case Rep. 2023, 17, 440. [Google Scholar] [CrossRef] [PubMed]
- Tanwar, R.; Singh, S.K.; Pawar, D.S. Pyelo-hepatic abscess caused by renal calculi: A rare complication. Indian J. Urol. 2013, 29, 249–250. [Google Scholar] [CrossRef] [PubMed]
- Chung, S.D.; Chen, K.H.; Chang, H.C. Pyelo-hepatic fistula. Urology 2008, 72, 524. [Google Scholar] [CrossRef]
- Titus, B.; Gupta, S.; Edpao, P.; Psutka, S.P.; Limaye, A.P.; Bakthavatsalam, R.; Rakita, R.M. Xanthogranulomatous Pyelonephritis With Direct Extension Into the Liver. Am. J. Med. 2020, 133, 1054–1055. [Google Scholar] [CrossRef] [PubMed]
- Karki, A.; Riley, L.; Mehta, H.J.; Ataya, A. Abdominal etiologies of pleural effusion. Dis. Mon. 2019, 65, 95–103. [Google Scholar] [CrossRef] [PubMed]
- Kehinde, E.O.; Rotimi, V.O.; Al-Awadi, K.A.; Abdul-Halim, H.; Boland, F.; Al-Hunayan, A.; Pazhoor, A. Factors predisposing to urinary tract infection after J ureteral stent insertion. J. Urol. 2002, 167, 1334–1337. [Google Scholar] [CrossRef] [PubMed]
- Liu, X.Q.; Wang, C.C.; Liu, Y.B.; Liu, K. Renal and perinephric abscesses in West China Hospital: 10-year retrospective-descriptive study. World J. Nephrol. 2016, 5, 108–114. [Google Scholar] [CrossRef] [PubMed]
- Huang, C.J.; Pitt, H.A.; Lipsett, P.A.; Osterman, F.A., Jr.; Lillemoe, K.D.; Cameron, J.L.; Zuidema, G.D. Pyogenic hepatic abscess: Changing trends over 42 years. Ann. Surg. 1996, 223, 600–609. [Google Scholar] [CrossRef] [PubMed]
- Fiore, M.; Cascella, M.; Bimonte, S.; Maraolo, A.E.; Gentile, I.; Schiavone, V.; Pace, M.C. Liver fungal infections: An overview of the etiology and epidemiology in patients affected or not affected by oncohematologic malignancies. Infect. Drug Resist. 2018, 11, 177–186. [Google Scholar] [CrossRef] [PubMed]
- Bamberger, D.M. Outcome of medical treatment of bacterial abscesses without therapeutic drainage: Review of cases reported in the literature. Clin. Infect. Dis. 1996, 23, 592–603. [Google Scholar] [CrossRef]
- Hope, W.W.; Vrochides, D.V.; Newcomb, W.L.; Mayo-Smith, W.W.; Iannitti, D.A. Optimal treatment of hepatic abscess. Am. Surg. 2008, 74, 178–182. [Google Scholar] [CrossRef]
- Bou-Antoun, S.; Davies, J.; Guy, R.; Johnson, A.P.; Sheridan, E.A.; Hope, R.J. Descriptive epidemiology of Escherichia coli bacteraemia in England, April 2012 to March 2014. Eurosurveillance 2016, 21, 30329. [Google Scholar] [CrossRef]
- Paterson, D.L.; Bonomo, R.A. Extended-spectrum beta-lactamases: A clinical update. Clin. Microbiol. Rev. 2005, 18, 657–686. [Google Scholar] [CrossRef] [PubMed]
- Abdelraouf, K.; Chavda, K.D.; Satlin, M.J.; Jenkins, S.G.; Kreiswirth, B.N.; Nicolau, D.P. Piperacillin-Tazobactam-Resistant/Third-Generation Cephalosporin-Susceptible Escherichia coli and Klebsiella pneumoniae Isolates: Resistance Mechanisms and In vitro-In vivo Discordance. Int. J. Antimicrob. Agents 2020, 55, 105885. [Google Scholar] [CrossRef]
- Schechter, L.M.; Creely, D.P.; Garner, C.D.; Shortridge, D.; Nguyen, H.; Chen, L.; Hanson, B.M.; Sodergren, E.; Weinstock, G.M.; Dunne, W.M., Jr.; et al. Extensive Gene Amplification as a Mechanism for Piperacillin-Tazobactam Resistance in Escherichia coli. mBio 2018, 9, e00583-18. [Google Scholar] [CrossRef] [PubMed]
- Hansen, K.H.; Andreasen, M.R.; Pedersen, M.S.; Westh, H.; Jelsbak, L.; Schønning, K. Resistance to piperacillin/tazobactam in Escherichia coli resulting from extensive IS26-associated gene amplification of blaTEM-1. J. Antimicrob. Chemother. 2019, 74, 3179–3183. [Google Scholar] [CrossRef]
- Baker, T.M.; Rogers, W.; Chavda, K.D.; Westblade, L.F.; Jenkins, S.G.; Nicolau, D.P.; Kreiswirth, B.N.; Calfee, D.P.; Satlin, M.J. Epidemiology of Bloodstream Infections Caused by Escherichia coli and Klebsiella pneumoniae That Are Piperacillin-Tazobactam-Nonsusceptible but Ceftriaxone-Susceptible. Open Forum Infect. Dis. 2018, 5, ofy300. [Google Scholar] [CrossRef]


| Escherichia coli TZP-S/Ceph3-S | Escherichia coli TZP-S/Ceph3-S | Escherichia coli TZP-R/Ceph3-S | ||||
|---|---|---|---|---|---|---|
| Uroculture (Day 1) | Liver Drainage (Day 1) | Liver Drainage (Day 7) | ||||
| MIC (mcg/mL) | MIC (mcg/mL) | MIC (mcg/mL) | ||||
| Amikacin | S | 2 | S | 2 | S | 2 |
| Amoxicillin/clavulanic acid | R | >16 | R | >16 | R | >16 |
| Cefepime | S | ≤0.12 | S | ≤0.12 | S | ≤0.12 |
| Cefotaxime | S | ≤0.25 | S | ≤0.25 | S | ≤0.25 |
| Ceftazidime | S | 0.25 | S | 0.25 | S | 0.25 |
| Ceftazidime/avibactam | NT | NT | S | ≤0.12 | S | 0.25 |
| Ceftolozane/tazobactam | NT | NT | S | ≤0.25 | S | ≤0.25 |
| Ciprofloxacin | I | 0.5 | I | 0,5 | R | 1 |
| Ertapenem | S | ≤0.12 | NT | NT | NT | NT |
| Fosfomycin | S | ≤16 | NT | NT | NT | NT |
| Gentamicin | S | ≤1 | S | ≤1 | S | ≤1 |
| Imipenem | S | ≤0.25 | S | ≤0.25 | S | ≤0.25 |
| Meropenem | S | ≤0.25 | S | ≤0.25 | S | ≤0.25 |
| Nitrofurantoin | S | ≤16 | NT | NT | ||
| Piperacillin/tazobactam | S | ≤4 | S | ≤4 | R | 64 |
| Trimethoprim/sulfamethoxazole | S | ≤20 | S | ≤20 | S | ≤20 |
| Candida albicans | ||
|---|---|---|
| Double-J Stent Culture | ||
| MIC (mcg/mL) | ||
| Amphotericin B | S | 0.5 |
| Anidulafungin | S | 0.03 |
| Caspofungin | S | NR |
| Fluconazole | S | 0.25 |
| Isavuconazole | NR | ≤0.008 |
| Itraconazole | S | 0.06 |
| Micafungin | S | 0.015 |
| Posaconazole | S | 0.03 |
| Voriconazole | S | ≤0.008 |
| Authors | Journal | Year | Article | Aetiology | Sample | Cause of Pyelo-Hepatic Abscess |
|---|---|---|---|---|---|---|
| [8] | J. Med. Case Rep. | 2023 | Case Report | Proteus mirabilis | Urine culture | Extension of a renal infectious focus |
| [9] | Ind. J. Urol. | 2013 | Case report | Escherichia coli | Blood culture | Dissemination of pyonephrosis due to nephrolithiasis |
| [10] | Urol. | 2008 | Case report | Proteus mirabilis | Urine and drainage culture | Xanthogranulomatous pyelonephritis with nephrolithiasis |
Disclaimer/Publisher’s Note: The statements, opinions and data contained in all publications are solely those of the individual author(s) and contributor(s) and not of MDPI and/or the editor(s). MDPI and/or the editor(s) disclaim responsibility for any injury to people or property resulting from any ideas, methods, instructions or products referred to in the content. |
© 2024 by the authors. Licensee MDPI, Basel, Switzerland. This article is an open access article distributed under the terms and conditions of the Creative Commons Attribution (CC BY) license (https://creativecommons.org/licenses/by/4.0/).
Share and Cite
Sforza, A.; Bonito, A.; Tiecco, G.; Moioli, G.; Storti, S.; Lechiara, M.; Castelli, F.; Quiros-Roldan, E. A Rare Case and Literature Review of Pyelo-Hepatic Abscess in an Immunocompetent Patient: When Effective Source Control and Targeted Antimicrobial Therapy Might Not Be Enough. Microorganisms 2024, 12, 1989. https://doi.org/10.3390/microorganisms12101989
Sforza A, Bonito A, Tiecco G, Moioli G, Storti S, Lechiara M, Castelli F, Quiros-Roldan E. A Rare Case and Literature Review of Pyelo-Hepatic Abscess in an Immunocompetent Patient: When Effective Source Control and Targeted Antimicrobial Therapy Might Not Be Enough. Microorganisms. 2024; 12(10):1989. https://doi.org/10.3390/microorganisms12101989
Chicago/Turabian StyleSforza, Anita, Andrea Bonito, Giorgio Tiecco, Giovanni Moioli, Samuele Storti, Marco Lechiara, Francesco Castelli, and Eugenia Quiros-Roldan. 2024. "A Rare Case and Literature Review of Pyelo-Hepatic Abscess in an Immunocompetent Patient: When Effective Source Control and Targeted Antimicrobial Therapy Might Not Be Enough" Microorganisms 12, no. 10: 1989. https://doi.org/10.3390/microorganisms12101989
APA StyleSforza, A., Bonito, A., Tiecco, G., Moioli, G., Storti, S., Lechiara, M., Castelli, F., & Quiros-Roldan, E. (2024). A Rare Case and Literature Review of Pyelo-Hepatic Abscess in an Immunocompetent Patient: When Effective Source Control and Targeted Antimicrobial Therapy Might Not Be Enough. Microorganisms, 12(10), 1989. https://doi.org/10.3390/microorganisms12101989

