Infective Endocarditis Due to Kingella kingae
Abstract
1. Introduction
2. Pathogenicity
3. Infective Endocarditis
3.1. Epidemiology and Clinical Features
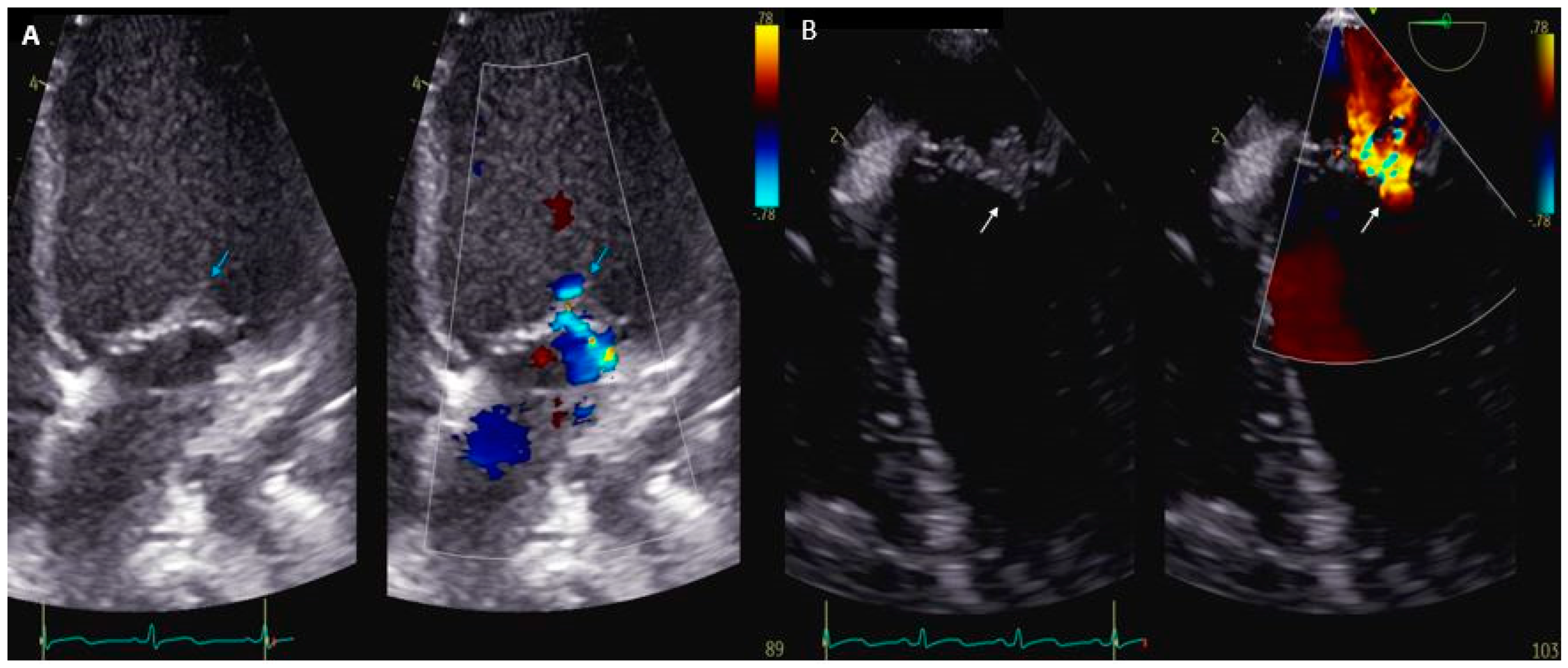
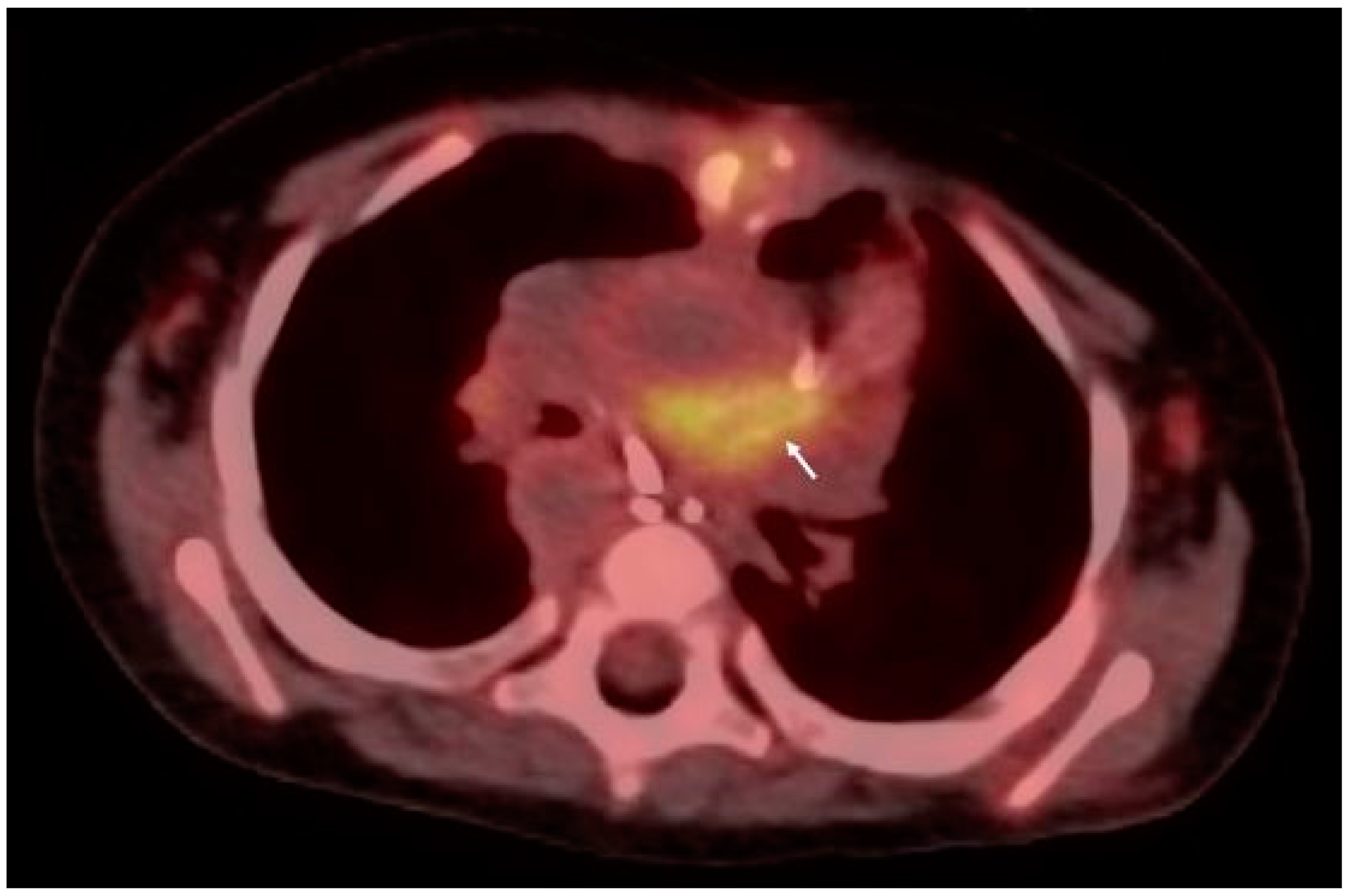
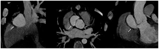
3.2. Diagnosis
3.3. Treatment
4. Conclusions
Supplementary Materials
Author Contributions
Funding
Data Availability Statement
Conflicts of Interest
References
- Yagupsky, P. Kingella kingae: From medical rarity to an emerging paediatric pathogen. Lancet Infect. Dis. 2004, 4, 358–367. [Google Scholar] [CrossRef] [PubMed]
- Yagupsky, P. Review highlights the latest research in Kingella kingae and stresses that molecular tests are required for diagnosis. Acta Paediatr. 2021, 110, 1750–1758. [Google Scholar] [CrossRef] [PubMed]
- Yagupsky, P.; Porsch, E.; St. Geme, J.W., III. Kingella kingae: An emerging pathogen in young children. Pediatrics 2011, 127, 557–565. [Google Scholar] [CrossRef] [PubMed]
- Principi, N.; Esposito, S. Kingella kingae infections in children. BMC Infect. Dis. 2015, 15, 260. [Google Scholar] [CrossRef] [PubMed]
- Yagupsky, P.; Dagan, R.; Prajgrod, F.; Merires, M. Respiratory carriage of Kingella kingae among healthy children. Pediatr. Infect. Dis. J. 1995, 14, 673–677. [Google Scholar] [CrossRef] [PubMed]
- Yagupsky, P. Kingella kingae: Carriage, transmission, and disease. Clin. Microbiol. Rev. 2015, 28, 54–79. [Google Scholar] [CrossRef]
- Ceroni, D.; Dubois-Ferriere, V.; Anderson, R.; Combescure, C.; Lamah, L.; Cherkaoui, A.; Schrenzel, J. Small risk of osteoarticular infections in children with asymptomatic oropharyngeal carriage of Kingella kingae. Pediatr. Infect. Dis. J. 2012, 31, 983–985. [Google Scholar] [CrossRef]
- Dubnov-Raz, G.; Ephros, M.; Garty, B.Z.; Schlesinger, Y.; Maayan-Metzger, A.; Hasson, J.; Kassis, I.; Schwartz-Harari, O.; Yagupsky, P. Invasive pediatric Kingella kingae Infections: A nationwide collaborative study. Pediatr. Infect. Dis. J. 2010, 29, 639–643. [Google Scholar] [CrossRef]
- Bofinger, J.J.; Fekete, T.; Samuel, R. Bacterial peritonitis caused by Kingella kingae. J. Clin. Microbiol. 2007, 45, 3118–3120. [Google Scholar] [CrossRef]
- Van Erps, J.; Schmedding, E.; Naessens, A.; Keymeulen, B. Kingella kingae, a rare cause of bacterial meningitis. Clin. Neurol. Neurosurg. 1992, 94, 173–175. [Google Scholar] [CrossRef]
- Delgado, V.; Marsan, N.A.; de Waha, S.; Bonaros, N.; Brida, M.; Burri, H.; Caselli, S.; Doenst, T.; Ederhy, S.; Erba, P.A.; et al. 2023 ESC Guidelines for the management of endocarditis. Eur. Heart J. 2023, 44, 3948–4042. [Google Scholar] [CrossRef] [PubMed]
- Baltimore, R.S.; Gewitz, M.; Baddour, L.M.; Beerman, L.B.; Jackson, M.A.; Lockhart, P.B.; Pahl, E.; Schutze, G.E.; Shulman, S.T.; Willoughby, R., Jr. Infective Endocarditis in Childhood: 2015 Update: A Scientific Statement From the American Heart Association. Circulation 2015, 132, 1487–1515. [Google Scholar] [CrossRef] [PubMed]
- Momtazmanesh, S.; Moghaddam, S.S.; Rad, E.M.; Azadnajafabad, S.; Ebrahimi, N.; Mohammadi, E.; Rouhifard, M.; Rezaei, N.; Masinaei, M.; Rezaei, N.; et al. Global, regional, and national burden and quality of care index of endocarditis: The global burden of disease study 1990–2019. Eur. J. Prev. Cardiol. 2022, 29, 1287–1297. [Google Scholar] [CrossRef] [PubMed]
- Jortveit, J.; Eskedal, L.; Klcovansky, J.; Dohlen, G.; Holmstrom, H. Prevalence of infective endocarditis in children. Tidsskr. Nor. Laegeforen. 2019, 139. [Google Scholar] [CrossRef]
- Gupta, S.; Sakhuja, A.; McGrath, E.; Asmar, B. Trends, microbiology, and outcomes of infective endocarditis in children during 2000–2010 in the United States. Congenit. Heart Dis. 2017, 12, 196–201. [Google Scholar] [CrossRef]
- Mahony, M.; Lean, D.; Pham, L.; Horvath, R.; Suna, J.; Ward, C.; Veerappan, S.; Versluis, K.; Nourse, C. Infective Endocarditis in Children in Queensland, Australia: Epidemiology, Clinical Features and Outcome. Pediatr. Infect. Dis. J. 2021, 40, 617–622. [Google Scholar] [CrossRef] [PubMed]
- Webb, R.; Voss, L.; Roberts, S.; Hornung, T.; Rumball, E.; Lennon, D. Infective endocarditis in New Zealand children 1994–2012. Pediatr. Infect. Dis. J. 2014, 33, 437–442. [Google Scholar] [CrossRef]
- Schuler, S.K.; Crisinel, P.A.; Joye, R.; Rohr, M.; Bressieux-Degueldre, S.; Glockler, M.; Paioni, P.; Agyeman, P.K.A.; Knirsch, W. Swiss Evaluation Registry for Pediatric Infective Endocarditis (SERPIE)–Risk factors for complications in children and adolescents with infective endocarditis. Int. J. Cardiol. 2023, 370, 463–471. [Google Scholar] [CrossRef]
- Foster, M.A.; Walls, T. High rates of complications following Kingella kingae infective endocarditis in children: A case series and review of the literature. Pediatr. Infect. Dis. J. 2014, 33, 785–786. [Google Scholar] [CrossRef]
- Lowenthal, A.; Weisblum-Neuman, H.; Birk, E.; Ashkenazi-Hoffnung, L.; Levy, I.; Ben-Zvi, H.; Amir, G.; Frenkel, G.; Bruckheimer, E.; Yarden-Bilavsky, H.; et al. Clinical Features and Comparison of Kingella and Non-Kingella Endocarditis in Children, Israel. Emerg. Infect. Dis. 2021, 27, 703–709. [Google Scholar] [CrossRef]
- Porsch, E.A.; Hernandez, K.A.; Morreale, D.P.; Montoya, N.R.; Yount, T.A.; St. Geme, J.W., III. Pathogenic determinants of Kingella kingae disease. Front. Pediatr. 2022, 10, 1018054. [Google Scholar] [CrossRef] [PubMed]
- Kehl-Fie, T.E.; Miller, S.E.; St. Geme, J.W., III. Kingella kingae expresses type IV pili that mediate adherence to respiratory epithelial and synovial cells. J. Bacteriol. 2008, 190, 7157–7163. [Google Scholar] [CrossRef] [PubMed]
- Porsch, E.A.; Kehl-Fie, T.E.; St. Geme, J.W., III. Modulation of Kingella kingae adherence to human epithelial cells by type IV Pili, capsule, and a novel trimeric autotransporter. mBio 2012, 3, e00372-12. [Google Scholar] [CrossRef] [PubMed]
- Opota, O.; Laurent, S.; Pillonel, T.; Leger, M.; Trachsel, S.; Prod’hom, G.; Jaton, K.; Greub, G. Genomics of the new species Kingella negevensis: Diagnostic issues and identification of a locus encoding a RTX toxin. Microbes Infect. 2017, 19, 546–552. [Google Scholar] [CrossRef] [PubMed]
- Kehl-Fie, T.E.; St. Geme, J.W., III. Identification and characterization of an RTX toxin in the emerging pathogen Kingella kingae. J. Bacteriol. 2007, 189, 430–436. [Google Scholar] [CrossRef] [PubMed]
- Filipi, K.; Rahman, W.U.; Osickova, A.; Osicka, R. Kingella kingae RtxA Cytotoxin in the Context of Other RTX Toxins. Microorganisms 2022, 10, 518. [Google Scholar] [CrossRef] [PubMed]
- Osickova, A.; Khaliq, H.; Masin, J.; Jurnecka, D.; Sukova, A.; Fiser, R.; Holubova, J.; Stanek, O.; Sebo, P.; Osicka, R. Acyltransferase-mediated selection of the length of the fatty acyl chain and of the acylation site governs activation of bacterial RTX toxins. J. Biol. Chem. 2020, 295, 9268–9280. [Google Scholar] [CrossRef]
- Osickova, A.; Balashova, N.; Masin, J.; Sulc, M.; Roderova, J.; Wald, T.; Brown, A.C.; Koufos, E.; Chang, E.H.; Giannakakis, A.; et al. Cytotoxic activity of Kingella kingae RtxA toxin depends on post-translational acylation of lysine residues and cholesterol binding. Emerg. Microbes Infect. 2018, 7, 178. [Google Scholar] [CrossRef]
- Linhartova, I.; Bumba, L.; Masin, J.; Basler, M.; Osicka, R.; Kamanova, J.; Prochazkova, K.; Adkins, I.; Hejnova-Holubova, J.; Sadilkova, L.; et al. RTX proteins: A highly diverse family secreted by a common mechanism. FEMS Microbiol. Rev. 2010, 34, 1076–1112. [Google Scholar] [CrossRef]
- Chang, D.W.; Nudell, Y.A.; Lau, J.; Zakharian, E.; Balashova, N.V. RTX toxin plays a key role in Kingella kingae virulence in an infant rat model. Infect. Immun. 2014, 82, 2318–2328. [Google Scholar] [CrossRef]
- Maldonado, R.; Wei, R.; Kachlany, S.C.; Kazi, M.; Balashova, N.V. Cytotoxic effects of Kingella kingae outer membrane vesicles on human cells. Microb. Pathog. 2011, 51, 22–30. [Google Scholar] [CrossRef] [PubMed]
- Starr, K.F.; Porsch, E.A.; Seed, P.C.; St. Geme, J.W., III. Genetic and Molecular Basis of Kingella kingae Encapsulation. Infect. Immun. 2016, 84, 1775–1784. [Google Scholar] [CrossRef] [PubMed]
- Porsch, E.A. Kingella kingae Virulence Factors and Insights into Pathogenicity. Microorganisms 2022, 10, 997. [Google Scholar] [CrossRef] [PubMed]
- Starr, K.F.; Porsch, E.A.; Seed, P.C.; Heiss, C.; Naran, R.; Forsberg, L.S.; Amit, U.; Yagupsky, P.; Azadi, P.; St. Geme, J.W., III. Kingella kingae Expresses Four Structurally Distinct Polysaccharide Capsules That Differ in Their Correlation with Invasive Disease. PLoS Pathog. 2016, 12, e1005944. [Google Scholar] [CrossRef] [PubMed]
- Basmaci, R.; Bidet, P.; Mallet, C.; Vialle, R.; Bonacorsi, S. Distribution of Kingella kingae Capsular Serotypes in France Assessed by a Multiplex PCR Assay on Osteoarticular Samples. J. Clin. Microbiol. 2018, 56, e01491-18. [Google Scholar] [CrossRef]
- Kern, B.K.; Porsch, E.A.; St. Geme, J.W., III. Defining the Mechanical Determinants of Kingella kingae Adherence to Host Cells. J. Bacteriol. 2017, 199, e00314-17. [Google Scholar] [CrossRef] [PubMed][Green Version]
- Munoz, V.L.; Porsch, E.A.; St. Geme, J.W., III. Kingella kingae Surface Polysaccharides Promote Resistance to Human Serum and Virulence in a Juvenile Rat Model. Infect. Immun. 2018, 86, e00100-18. [Google Scholar] [CrossRef]
- Munoz, V.L.; Porsch, E.A.; St. Geme, J.W., III. Kingella kingae Surface Polysaccharides Promote Resistance to Neutrophil Phagocytosis and Killing. mBio 2019, 10, e00631-19. [Google Scholar] [CrossRef]
- Starr, K.F.; Porsch, E.A.; Heiss, C.; Black, I.; Azadi, P.; St. Geme, J.W., III. Characterization of the Kingella kingae polysaccharide capsule and exopolysaccharide. PLoS ONE 2013, 8, e75409. [Google Scholar] [CrossRef]
- Amit, U.; Porat, N.; Basmaci, R.; Bidet, P.; Bonacorsi, S.; Dagan, R.; Yagupsky, P. Genotyping of invasive Kingella kingae isolates reveals predominant clones and association with specific clinical syndromes. Clin. Infect. Dis. 2012, 55, 1074–1079. [Google Scholar] [CrossRef]
- Basmaci, R.; Bonacorsi, S.; Bidet, P.; Balashova, N.V.; Lau, J.; Munoz-Almagro, C.; Gene, A.; Yagupsky, P. Genotyping, local prevalence and international dissemination of β-lactamase-producing Kingella kingae strains. Clin. Microbiol. Infect. 2014, 20, O811–O817. [Google Scholar] [CrossRef] [PubMed]
- Basmaci, R.; Yagupsky, P.; Ilharreborde, B.; Guyot, K.; Porat, N.; Chomton, M.; Thiberge, J.M.; Mazda, K.; Bingen, E.; Bonacorsi, S.; et al. Multilocus sequence typing and rtxA toxin gene sequencing analysis of Kingella kingae isolates demonstrates genetic diversity and international clones. PLoS ONE 2012, 7, e38078. [Google Scholar] [CrossRef]
- Basmaci, R.; Bidet, P.; Yagupsky, P.; Munoz-Almagro, C.; Balashova, N.V.; Doit, C.; Bonacorsi, S. Major intercontinentally distributed sequence types of Kingella kingae and development of a rapid molecular typing tool. J. Clin. Microbiol. 2014, 52, 3890–3897. [Google Scholar] [CrossRef] [PubMed]
- Murik, O.; Zeevi, D.A.; Mann, T.; Kashat, L.; Assous, M.V.; Megged, O.; Yagupsky, P. Whole-Genome Sequencing Reveals Differences among Kingella kingae Strains from Carriers and Patients with Invasive Infections. Microbiol. Spectr. 2023, 11, e0389522. [Google Scholar] [CrossRef] [PubMed]
- Ceroni, D.; Dubois-Ferriere, V.; Cherkaoui, A.; Lamah, L.; Renzi, G.; Lascombes, P.; Wilson, B.; Schrenzel, J. 30 years of study of Kingella kingae: Post tenebras, lux. Future Microbiol. 2013, 8, 233–245. [Google Scholar] [CrossRef]
- Ceroni, D.; Dubois-Ferriere, V.; Della Llana, R.A.; Kherad, O.; Lascombes, P.; Renzi, G.; Manzano, S.; Cherkaoui, A.; Schrenzel, J. Oropharyngeal colonization density of Kingella kingae. Pediatr. Infect. Dis. J. 2013, 32, 803–804. [Google Scholar] [CrossRef]
- Amit, U.; Flaishmakher, S.; Dagan, R.; Porat, N.; Yagupsky, P. Age-Dependent Carriage of Kingella kingae in Young Children and Turnover of Colonizing Strains. J. Pediatr. Infect. Dis. Soc. 2014, 3, 160–162. [Google Scholar] [CrossRef][Green Version]
- Lillebo, K.; Breistein, R.I.; Aamas, J.V.; Kommedal, O. The first report on epidemiology of oropharyngeal Kingella kingae carriage in Scandinavian children: K. kingae carriage is very common in children attending day care facilities in Western Norway. APMIS 2020, 128, 35–40. [Google Scholar] [CrossRef]
- Khatami, A.; Outhred, A.C.; Kesson, A.M. Oropharyngeal carriage rates of Kingella kingae in young children in New Zealand and Australia. J. Paediatr. Child. Health 2017, 53, 612. [Google Scholar] [CrossRef]
- El Houmami, N.; Mirand, A.; Dubourg, G.; Hung, D.; Minodier, P.; Jouve, J.L.; Charrel, R.; Raoult, D.; Fournier, P.E. Hand, foot and mouth disease and Kingella kingae infections. Pediatr. Infect. Dis. J. 2015, 34, 547–548. [Google Scholar] [CrossRef]
- Yagupsky, P. Risk for invasive Kingella kingae infections and day-care facility attendance. Pediatr. Infect. Dis. J. 2012, 31, 1101. [Google Scholar] [CrossRef] [PubMed]
- Holmes, A.A.; Hung, T.; Human, D.G.; Campbell, A.I. Kingella kingae endocarditis: A rare case of mitral valve perforation. Ann. Pediatr. Cardiol. 2011, 4, 210–212. [Google Scholar] [CrossRef] [PubMed]
- Oloron, P.M.; Ibarra, C.R.; Alvarez, L.T.; Ocon, A.P. Kingella kingae endocarditis. An. Pediatr. 2011, 74, 274–275. [Google Scholar] [CrossRef] [PubMed]
- Youssef, D.; Henaine, R.; Di Filippo, S. Subtle bacterial endocarditis due to Kingella kingae in an infant: A case report. Cardiol. Young 2010, 20, 448–450. [Google Scholar] [CrossRef]
- Gelbart, B.; Connell, T.G.; Konstantinov, I.E.; Phillips, R.; Starr, M. Kingella kingae endocardial abscess and cerebral infarction in a previously well immunocompetent child. BMJ Case Rep. 2009, 2009, bcr0920092238. [Google Scholar] [CrossRef]
- Dubnov-Raz, G.; Scheuerman, O.; Chodick, G.; Finkelstein, Y.; Samra, Z.; Garty, B.Z. Invasive Kingella kingae infections in children: Clinical and laboratory characteristics. Pediatrics 2008, 122, 1305–1309. [Google Scholar] [CrossRef] [PubMed]
- Berkun, Y.; Brand, A.; Klar, A.; Halperin, E.; Hurvitz, H. Kingella kingae endocarditis and sepsis in an infant. Eur. J. Pediatr. 2004, 163, 687–688. [Google Scholar] [CrossRef]
- Brachlow, A.; Chatterjee, A.; Stamato, T. Endocarditis due to Kingella kingae: A patient report. Clin. Pediatr. 2004, 43, 283–286. [Google Scholar] [CrossRef]
- Wells, L.; Rutter, N.; Donald, F. Kingella kingae endocarditis in a sixteen-month-old-child. Pediatr. Infect. Dis. J. 2001, 20, 454–455. [Google Scholar] [CrossRef]
- Sarda, H.; Ghazali, D.; Thibault, M.; Leturdu, F.; Adams, C.; Le Loc’h, H. Multifocal invasive Kingella kingae infection. Arch. Pediatr. 1998, 5, 159–162. [Google Scholar] [CrossRef]
- Ferber, B.; Bruckheimer, E.; Schlesinger, Y.; Berger, I.; Glaser, J.; Olsha, O.; Branski, D.; Kerem, E. Kingella kingae endocarditis in a child with hair-cartilage hypoplasia. Pediatr. Cardiol. 1997, 18, 445–446. [Google Scholar] [CrossRef]
- Waghorn, D.J.; Cheetham, C.H. Kingella kingae endocarditis following chickenpox in infancy. Eur. J. Clin. Microbiol. Infect. Dis. 1997, 16, 944–946. [Google Scholar] [CrossRef]
- Goutzmanis, J.J.; Gonis, G.; Gilbert, G.L. Kingella kingae infection in children: Ten cases and a review of the literature. Pediatr. Infect. Dis. J. 1991, 10, 677–683. [Google Scholar] [CrossRef] [PubMed]
- Joye, R.; Ceroni, D.; Beghetti, M.; Aggoun, Y.; Sologashvili, T. Fulminant Infective Endocarditis Due to Kingella kingae and Several Complications in a 6-Year-Old Girl: A Case Report. Front. Pediatr. 2021, 9, 707760. [Google Scholar] [CrossRef] [PubMed]
- Verbruggen, A.M.; Hauglustaine, D.; Schildermans, F.; van der Hauwaert, L.; Rombouts, J.J.; Wauters, G.; Vandepitte, J. Infections caused by Kingella kingae: Report of four cases and review. J. Infect. 1986, 13, 133–142. [Google Scholar] [CrossRef] [PubMed]
- La Selve, H.; Bozio, A.; Vidil, P.; Gallet, S.; Barbe, G.; David, M. Acute endocarditis caused by Kingella kingae in an infant. Arch. Fr. Pediatr. 1985, 42, 35–36. [Google Scholar] [PubMed]
- Lee, W.L.; Dooling, E.C. Acute Kingella kingae endocarditis with recurrent cerebral emboli in a child with mitral prolapse. Ann. Neurol. 1984, 16, 88–89. [Google Scholar] [CrossRef] [PubMed]
- Odum, L.; Jensen, K.T.; Slotsbjerg, T.D. Endocarditis due to Kingella kingae. Eur. J. Clin. Microbiol. 1984, 3, 263–266. [Google Scholar] [CrossRef]
- Adachi, R.; Hammerberg, O.; Richardson, H. Infective endocarditis caused by Kingella kingae. Can. Med. Assoc. J. 1983, 128, 1087–1088. [Google Scholar]
- Bosworth, D.E. Kingella (Moraxella) kingae infections in children. Am. J. Dis. Child. 1983, 137, 650–653. [Google Scholar] [CrossRef]
- Le, C.T. Kingella (Moraxella) kingae infections. Am. J. Dis. Child. 1983, 137, 1212. [Google Scholar] [CrossRef] [PubMed]
- Rabin, R.L.; Wong, P.; Noonan, J.A.; Plumley, D.D. Kingella kingae endocarditis in a child with a prosthetic aortic valve and bifurcation graft. Am. J. Dis. Child. 1983, 137, 403–404. [Google Scholar] [CrossRef]
- Christensen, C.E.; Emmanouilides, G.C. Bacterial endocarditis due to Moraxella new species I. N. Engl. J. Med. 1967, 277, 803–804. [Google Scholar] [CrossRef] [PubMed]
- Rotstein, A.; Konstantinov, I.E.; Penny, D.J. Kingella-infective endocarditis resulting in a perforated aortic root abscess and fistulous connection between the sinus of Valsalva and the left atrium in a child. Cardiol. Young 2010, 20, 332–333. [Google Scholar] [CrossRef] [PubMed]
- Lenoir, M.; Desnous, B.; Raisky, O.; Vouhe, P. Particular surgical aspects of endocarditis due to Kingella kingae with cerebral complication. Interact. Cardiovasc. Thorac. Surg. 2018, 26, 885–887. [Google Scholar] [CrossRef] [PubMed]
- Le Bourgeois, F.; Germanaud, D.; Bendavid, M.; Bonnefoy, R.; Desnous, B.; Beyler, C.; Blauwblomme, T.; Elmaleh, M.; Pierron, C.; Lorrot, M.; et al. Kingella kingae Sequence Type 25 Causing Endocarditis with Multiple and Severe Cerebral Complications. J. Pediatr. 2016, 169, 326.e1. [Google Scholar] [CrossRef]
- Danish, M.; Mahal, T.; Cornett, J. Kingella kingae infective endocarditis in a healthy adult. IDCases 2018, 14, e00471. [Google Scholar] [CrossRef]
- Chakraborty, R.N.; Meigh, R.E.; Kaye, G.C. Kingella kingae prosthetic valve endocarditis. Indian Heart J. 1999, 51, 438–439. [Google Scholar]
- Lepori, M.; Bochud, P.Y.; Owlya, R.; Broccard, A.; Schaller, M.D. Endocarditis due to HACEK bacteria. A case report of endocarditis due to Kingella kingae. Rev. Medicale Suisse Rom. 2001, 121, 47–50. [Google Scholar]
- Sage, M.J.; Maslowski, A.H.; MacCulloch, D. Bacterial endocarditis due to Kingella kingae. N. Z. Med. J. 1983, 96, 795–796. [Google Scholar]
- Ravdin, J.I.; Brandstetter, R.D.; Wade, M.J.; Roberts, R.B. Endocarditis resulting from Kingella kingae, presenting initially as culture–Negative bacterial endocarditis. Heart Lung 1982, 11, 552–554. [Google Scholar] [PubMed]
- Korach, A.; Olshtain-Pops, K.; Schwartz, D.; Moses, A. Kingella kingae prosthetic valve endocarditis complicated by a paravalvular abscess. Isr. Med. Assoc. J. 2009, 11, 251–253. [Google Scholar] [PubMed]
- Baddour, L.M.; Wilson, W.R.; Bayer, A.S.; Fowler, V.G., Jr.; Tleyjeh, I.M.; Rybak, M.J.; Barsic, B.; Lockhart, P.B.; Gewitz, M.H.; Levison, M.E.; et al. Infective Endocarditis in Adults: Diagnosis, Antimicrobial Therapy, and Management of Complications: A Scientific Statement for Healthcare Professionals From the American Heart Association. Circulation 2015, 132, 1435–1486. [Google Scholar] [CrossRef] [PubMed]
- Yagupsky, P.; Dagan, R.; Howard, C.W.; Einhorn, M.; Kassis, I.; Simu, A. High prevalence of Kingella kingae in joint fluid from children with septic arthritis revealed by the BACTEC blood culture system. J. Clin. Microbiol. 1992, 30, 1278–1281. [Google Scholar] [CrossRef] [PubMed]
- Rosey, A.L.; Abachin, E.; Quesnes, G.; Cadilhac, C.; Pejin, Z.; Glorion, C.; Berche, P.; Ferroni, A. Development of a broad-range 16S rDNA real-time PCR for the diagnosis of septic arthritis in children. J. Microbiol. Methods 2007, 68, 88–93. [Google Scholar] [CrossRef] [PubMed]
- Chometon, S.; Benito, Y.; Chaker, M.; Boisset, S.; Ploton, C.; Berard, J.; Vandenesch, F.; Freydiere, A.M. Specific real-time polymerase chain reaction places Kingella kingae as the most common cause of osteoarticular infections in young children. Pediatr. Infect. Dis. J. 2007, 26, 377–381. [Google Scholar] [CrossRef] [PubMed]
- El Houmami, N.; Durand, G.A.; Bzdrenga, J.; Darmon, A.; Minodier, P.; Seligmann, H.; Raoult, D.; Fournier, P.E. A New Highly Sensitive and Specific Real-Time PCR Assay Targeting the Malate Dehydrogenase Gene of Kingella kingae and Application to 201 Pediatric Clinical Specimens. J. Clin. Microbiol. 2018, 56, e00505-18. [Google Scholar] [CrossRef]
- Bai, A.D.; Steinberg, M.; Showler, A.; Burry, L.; Bhatia, R.S.; Tomlinson, G.A.; Bell, C.M.; Morris, A.M. Diagnostic Accuracy of Transthoracic Echocardiography for Infective Endocarditis Findings Using Transesophageal Echocardiography as the Reference Standard: A Meta-Analysis. J. Am. Soc. Echocardiogr. 2017, 30, 639–646.e8. [Google Scholar] [CrossRef]
- Chamat-Hedemand, S.; Bruun, N.E.; Ostergaard, L.; Arpi, M.; Fosbol, E.; Boel, J.; Oestergaard, L.B.; Lauridsen, T.K.; Gislason, G.; Torp-Pedersen, C.; et al. Proposal for the use of echocardiography in bloodstream infections due to different streptococcal species. BMC Infect. Dis. 2021, 21, 689. [Google Scholar] [CrossRef]
- Young, W.J.; Jeffery, D.A.; Hua, A.; Primus, C.; Wani, R.S.; Das, S.; Wong, K.; Uppal, R.; Thomas, M.; Davies, C.; et al. Echocardiography in Patients With Infective Endocarditis and the Impact of Diagnostic Delays on Clinical Outcomes. Am. J. Cardiol. 2018, 122, 650–655. [Google Scholar] [CrossRef]
- Jain, V.; Wang, T.K.M.; Bansal, A.; Farwati, M.; Gad, M.; Montane, B.; Kaur, S.; Bolen, M.A.; Grimm, R.; Griffin, B.; et al. Diagnostic performance of cardiac computed tomography versus transesophageal echocardiography in infective endocarditis: A contemporary comparative meta-analysis. J. Cardiovasc. Comput. Tomogr. 2021, 15, 313–321. [Google Scholar] [CrossRef] [PubMed]
- Oliveira, M.; Guittet, L.; Hamon, M.; Hamon, M. Comparative Value of Cardiac CT and Transesophageal Echocardiography in Infective Endocarditis: A Systematic Review and Meta-Analysis. Radiol. Cardiothorac. Imaging 2020, 2, e190189. [Google Scholar] [CrossRef] [PubMed]
- Snygg-Martin, U.; Gustafsson, L.; Rosengren, L.; Alsio, A.; Ackerholm, P.; Andersson, R.; Olaison, L. Cerebrovascular complications in patients with left-sided infective endocarditis are common: A prospective study using magnetic resonance imaging and neurochemical brain damage markers. Clin. Infect. Dis. 2008, 47, 23–30. [Google Scholar] [CrossRef] [PubMed]
- Cooper, H.A.; Thompson, E.C.; Laureno, R.; Fuisz, A.; Mark, A.S.; Lin, M.; Goldstein, S.A. Subclinical brain embolization in left-sided infective endocarditis: Results from the evaluation by MRI of the brains of patients with left-sided intracardiac solid masses (EMBOLISM) pilot study. Circulation 2009, 120, 585–591. [Google Scholar] [CrossRef] [PubMed]
- Duval, X.; Le Moing, V.; Tubiana, S.; Esposito-Farese, M.; Ilic-Habensus, E.; Leclercq, F.; Bourdon, A.; Goehringer, F.; Selton-Suty, C.; Chevalier, E.; et al. Impact of Systematic Whole-body 18F-Fluorodeoxyglucose PET/CT on the Management of Patients Suspected of Infective Endocarditis: The Prospective Multicenter TEPvENDO Study. Clin. Infect. Dis. 2021, 73, 393–403. [Google Scholar] [CrossRef] [PubMed]
- Wang, T.K.M.; Sanchez-Nadales, A.; Igbinomwanhia, E.; Cremer, P.; Griffin, B.; Xu, B. Diagnosis of Infective Endocarditis by Subtype Using 18F-Fluorodeoxyglucose Positron Emission Tomography/Computed Tomography: A Contemporary Meta-Analysis. Circ. Cardiovasc. Imaging 2020, 13, e010600. [Google Scholar] [CrossRef]
- Meyer, Z.; Fischer, M.; Koerfer, J.; Laser, K.T.; Kececioglu, D.; Burchert, W.; Ulrich, S.; Preuss, R.; Haas, N.A. The role of FDG-PET-CT in pediatric cardiac patients and patients with congenital heart defects. Int. J. Cardiol. 2016, 220, 656–660. [Google Scholar] [CrossRef]
- Roque, A.; Pizzi, M.N.; Fernandez-Hidalgo, N.; Permanyer, E.; Cuellar-Calabria, H.; Romero-Farina, G.; Rios, R.; Almirante, B.; Castell-Conesa, J.; Escobar, M.; et al. Morpho-metabolic post-surgical patterns of non-infected prosthetic heart valves by [18F]FDG PET/CTA: “normality” is a possible diagnosis. Eur. Heart J. Cardiovasc. Imaging 2020, 21, 24–33. [Google Scholar] [CrossRef]
- Yagupsky, P.; Slonim, A.; Amit, U.; Porat, N.; Dagan, R. Beta-lactamase production by Kingella kingae in Israel is clonal and common in carriage organisms but rare among invasive strains. Eur. J. Clin. Microbiol. Infect. Dis. 2013, 32, 1049–1053. [Google Scholar] [CrossRef]
- Matuschek, E.; Ahman, J.; Kahlmeter, G.; Yagupsky, P. Antimicrobial susceptibility testing of Kingella kingae with broth microdilution and disk diffusion using EUCAST recommended media. Clin. Microbiol. Infect. 2018, 24, 396–401. [Google Scholar] [CrossRef]



| Children (n = 45) | Adults (n = 18) | |
|---|---|---|
| Sex, n (%) | ||
| Female | 13 (29) | 6 (33) |
| Male | 20 (44) | 7 (39) |
| Unknown | 12 (27) | 5 (28) |
| Age, median (IQR) | 19 months (14–48) | 56 years (41–63) |
| Previous heart disease, n (%) | 23 (51) | 8 (44) |
| Congenital heart disease | 21 (47) | 5 (28) |
| Rheumatic heart disease | 2 (4) | 3 (17) |
| None | 22 (49) | 3 (17) |
| Unknown | 2 (4) | 7 (39) |
| Endocarditis localization, n (%) | ||
| Mitral valve | 26 (58) | 7 (39) |
| Aortic valve | 4 (9) | 7 (39) |
| Tricuspid valve | 1 (2) | 0 (0) |
| Pulmonary valve | 1 (2) | 0 (0) |
| Other | 2 (4) | 0 (0) |
| Unknown | 11 (25) | 6 (33) |
| Type of valve, n (%) | ||
| Native | 43 (96) | 4 (22) |
| Prosthetic | 1 (2) | 8 (44) |
| Unknown | 1 (2) | 6 (33) |
| Complications, n (%) | ||
| Valvular perforation/severe regurgitation | 13 (29) | 0 (0) |
| Paravalvular abscess/pseudoaneurysm | 2 (4) | 1 (6) |
| Heart failure/cardiogenic shock | 2 (4) | 4 (22) |
| Pulmonary embolism | 1 (2) | 0 (0) |
| Systemic embolism (other than cerebral) | 6 (13) | 0 (0) |
| Meningitis/brain abscess | 9 (20) | 0 (0) |
| Stroke | 13 (29) | 1 (6) |
| Death | 4 (9) | 1 (6) |
| None | 7 (16) | 6 (33) |
| Unknown | 9 (20) | 5 (27) |
Disclaimer/Publisher’s Note: The statements, opinions and data contained in all publications are solely those of the individual author(s) and contributor(s) and not of MDPI and/or the editor(s). MDPI and/or the editor(s) disclaim responsibility for any injury to people or property resulting from any ideas, methods, instructions or products referred to in the content. |
© 2024 by the authors. Licensee MDPI, Basel, Switzerland. This article is an open access article distributed under the terms and conditions of the Creative Commons Attribution (CC BY) license (https://creativecommons.org/licenses/by/4.0/).
Share and Cite
Joye, R.; Cousin, V.L.; Malaspinas, I.; Mwizerwa, L.; Bouhabib, M.; Nalecz, T.; Sologashvili, T.; Beghetti, M.; L’Huillier, A.G.; Wacker, J. Infective Endocarditis Due to Kingella kingae. Microorganisms 2024, 12, 164. https://doi.org/10.3390/microorganisms12010164
Joye R, Cousin VL, Malaspinas I, Mwizerwa L, Bouhabib M, Nalecz T, Sologashvili T, Beghetti M, L’Huillier AG, Wacker J. Infective Endocarditis Due to Kingella kingae. Microorganisms. 2024; 12(1):164. https://doi.org/10.3390/microorganisms12010164
Chicago/Turabian StyleJoye, Raphael, Vladimir L. Cousin, Iliona Malaspinas, Leonce Mwizerwa, Maya Bouhabib, Tomasz Nalecz, Tornike Sologashvili, Maurice Beghetti, Arnaud G. L’Huillier, and Julie Wacker. 2024. "Infective Endocarditis Due to Kingella kingae" Microorganisms 12, no. 1: 164. https://doi.org/10.3390/microorganisms12010164
APA StyleJoye, R., Cousin, V. L., Malaspinas, I., Mwizerwa, L., Bouhabib, M., Nalecz, T., Sologashvili, T., Beghetti, M., L’Huillier, A. G., & Wacker, J. (2024). Infective Endocarditis Due to Kingella kingae. Microorganisms, 12(1), 164. https://doi.org/10.3390/microorganisms12010164

