The Mating Type (MAT) and Virulence of Sporothrix schenckii sensu stricto Isolates Maintained in Culture Collection
Abstract
1. Introduction
2. Materials and Methods
2.1. Isolates
2.2. PCR Conditions
2.3. Experimental Sporotrichosis
2.3.1. Inoculum
2.3.2. Reactivation of the Isolates
2.3.3. Animal Experimentation
Infection Capacity of the Isolates
2.3.4. Ethical Statement
2.3.5. Statistical Analysis
3. Results
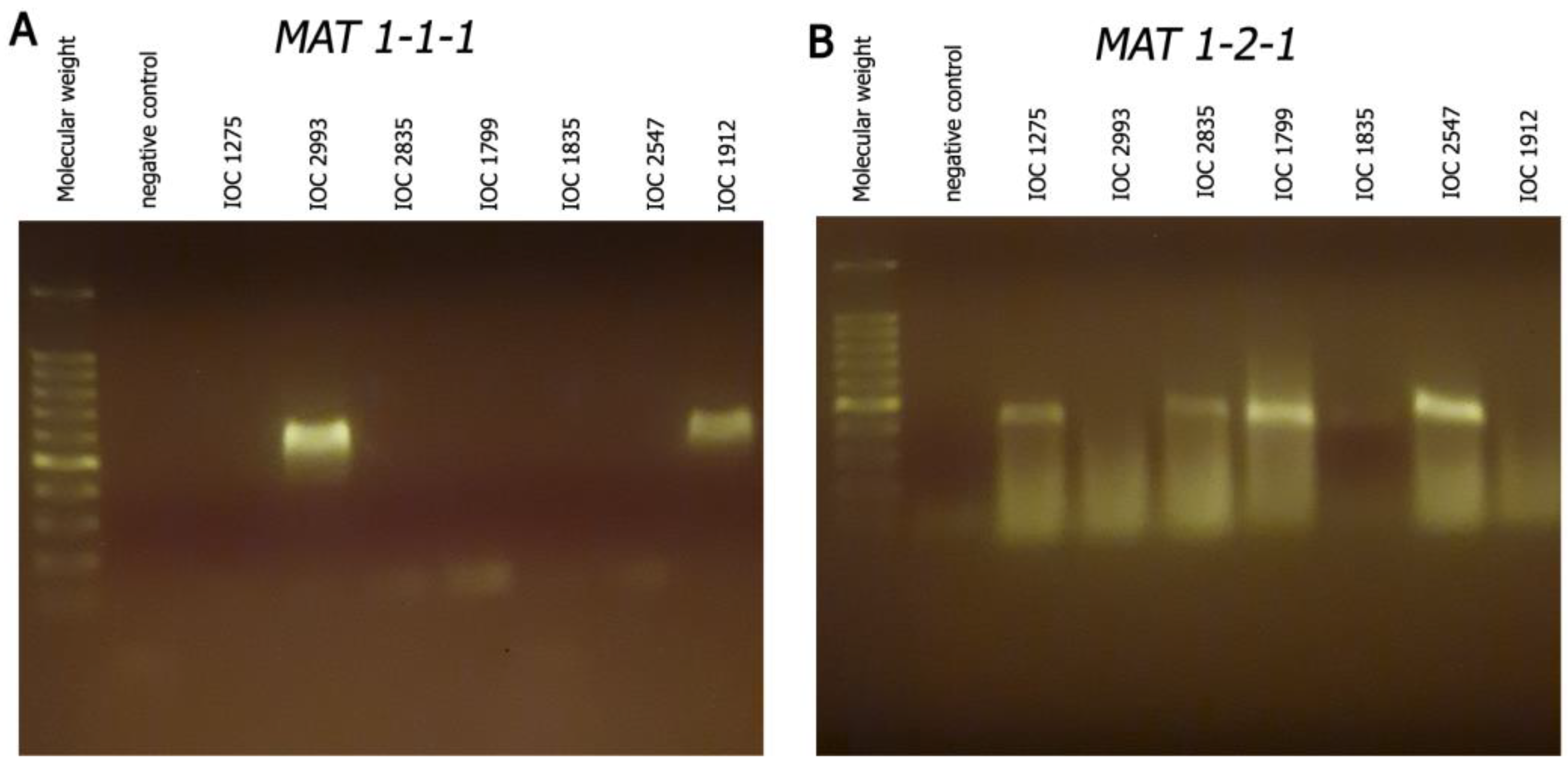
3.1. Mating-Type Gene Analysis
3.2. Experimental Sporotrichosis
3.2.1. Clinical Signs
3.2.2. Weight Variation
3.2.3. Splenic Index
3.2.4. Recovery of Fungal Cells
3.2.5. Survival of Mice Inoculated with S. schenckii stricto sensu Isolates
3.2.6. Histopathology
4. Discussion
5. Conclusions
Author Contributions
Funding
Data Availability Statement
Acknowledgments
Conflicts of Interest
References
- Teixeira, M.M.; Rodrigues, A.M.; Tsui, C.K.; de Almeida, L.G.; Van Diepeningen, A.D.; Van den Ende, B.G.; Fernandes, G.F.; Kano, R.; Hamelin, R.C.; Lopes-Bezerra, L.M.; et al. Asexual propagation of a virulent clone complex in a human and feline outbreak of sporotrichosis. Eukaryot. Cell 2015, 14, 158–169. [Google Scholar] [CrossRef] [PubMed]
- Guarro, J. Taxonomía y biología de los hongos causantes de infección en humanos [Taxonomy and biology of fungi causing human infection]. Enferm. Infecc. Microbiol. Clin. 2012, 30, 33–39. [Google Scholar] [CrossRef]
- Marimon, R.; Cano, J.; Gené, J.; Sutton, D.A.; Kawasaki, M.; Guarro, J. Sporothrix brasiliensis, S. globosa, and S. mexicana, three new Sporothrix species of clinical interest. J. Clin. Microbiol. 2007, 45, 3198–3206. [Google Scholar] [CrossRef] [PubMed]
- Oliveira, M.M.; Almeida-Paes, R.; Muniz, M.M.; Gutierrez-Galhardo, M.C.; Zancope-Oliveira, R.M. Phenotypic and molecular identification of Sporothrix isolates from an epidemic area of sporotrichosis in Brazil. Mycopathologia 2011, 172, 257–267. [Google Scholar] [CrossRef] [PubMed]
- Chakrabarti, A.; Bonifaz, A.; Gutierrez-Galhardo, M.C.; Mochizuki, T.; Li, S. Global epidemiology of sporotrichosis. Med. Mycol. 2015, 53, 3–14. [Google Scholar] [CrossRef]
- Gremião, I.D.F.; Rocha, E.M.S.; Monteegro, H.; Carneiro, A.B.; Xavier, M.O.; Farias, M.R.; Monti, F.; Mansho, W.; Pereira, R.H.M.A.; Pereira, S.A.; et al. Guideline for the management of feline sporotrichosis caused by Sporothrix brasiliensis and literature revision. Braz. J. Microbiol. 2021, 52, 107–124. [Google Scholar] [CrossRef]
- Usher, J. The Mechanisms of Mating in Pathogenic Fungi-A Plastic Trait. Genes 2019, 10, 831. [Google Scholar] [CrossRef] [PubMed]
- De Carvalho, J.A.; Pinheiro, B.G.; Hagen, F.; Gonçalves, S.S.; Negroni, R.; Kano, R.; Bonifaz, A.; de Camargo, Z.P.; Rodrigues, A.M. A new duplex PCR assay for the rapid screening of mating-type idiomorphs of pathogenic Sporothrix species. Fungal Biol. 2021, 125, 834–843. [Google Scholar] [CrossRef]
- Kano, R.; Anzawa, K.; Mochizuki, T.; Nishimoto, K.; Hiruma, M.; Kamata, H.; Hasegawa, A. Sporothrix schenckii (sensu strict S. globosa) mating type 1-2 (MAT1-2) gene. J. Dermatol. 2013, 40, 726–730. [Google Scholar] [CrossRef]
- Kano, R.; Tsui, C.K.; Hamelin, R.C.; Anzawa, K.; Mochizuki, T.; Nishimoto, K.; Hiruma, M.; Kamata, H.; Hasegawa, A. The MAT1-1:MAT1-2 ratio of Sporothrix globosa isolates in Japan. Mycopathologia 2015, 179, 81–86. [Google Scholar] [CrossRef]
- Xu, W.; Liang, G.; Peng, J.; Long, Z.; Li, D.; Fu, M.; Wang, Q.; Shen, Y.; Lv, G.; Mei, H.; et al. The influence of the mating type on virulence of Mucor irregularis. Sci. Rep. 2017, 7, 10629. [Google Scholar] [CrossRef]
- Zhan, J.; Torriani, S.F.; McDonald, B.A. Significant difference in pathogenicity between MAT1-1 and MAT1-2 isolates in the wheat pathogen Mycosphaerella graminicola. Fungal Genet. Biol. 2007, 44, 339–346. [Google Scholar] [CrossRef] [PubMed]
- Della Terra, P.P.; Rodrigues, A.M.; Fernandes, G.F.; Nishikaku, A.S.; Burger, E. Exploring virulence and immunogenicity in the emerging pathogen Sporothrix brasiliensis. PLoS Negl. Trop. Dis. 2017, 11, e0005903. [Google Scholar] [CrossRef] [PubMed]
- Uruburu, F. History and services of culture collections. Int. Microbiol. 2003, 6, 101–103. [Google Scholar] [CrossRef] [PubMed]
- Da Silva, M.; Sá, M.R. Coleções Vivas: As Coleções Microbiológicas da Fundação Oswaldo Cruz. Museol. Interdiscip. 2016, 5, 157–169. [Google Scholar]
- Barreira, T.; Corrêa-Moreira, D.; Borba, C.; Moraes, A.; Oliveira, M. Molecular and phenotypic reidentification of Sporothrix schenckii clinical isolates preserved under mineral oil for 34 to 64 years in a culture collection in Brazil. Curr. Res. Microb. Sci. 2022, 3, 100128. [Google Scholar] [CrossRef]
- Oliveira, M.M.; de Almeida-Paes, R.; de Medeiros Muniz, M.; de Lima Barros, M.B.; Galhardo, M.C.; Zancope-Oliveira, R.M. Sporotrichosis caused by Sporothrix globosa in Rio De Janeiro, brazil: Case report. Mycopathologia 2010, 169, 359–363. [Google Scholar] [CrossRef]
- Goihman-Yahr, M.; Essenfeld-Yahr, E.; De Albornoz, M.C.; Yarzábal, L.; De Gómez, M.H.; Martín, B.S.; Ocanto, A.; Gil, F.; Convit, J. Defect of In Vitro Digestive Ability of Polymorphonuclear Leukocytes in Paracoccidioido mycosis. Infect. Immun. 1980, 28, 557–566. [Google Scholar] [CrossRef]
- Corrêa-moreira, D.; Menezes, R.C.; Romeo, O.; Borba, C.M.; Oliveira, M.M.E. Clinical and Anatomopathological Evaluation of BALB/c Murine Models Infected with Isolates of Seven Pathogenic Sporothrix Species. Pathogens 2021, 10, 2021. [Google Scholar] [CrossRef]
- Nielsen, K.; Marra, R.E.; Hagen, F.; Boekhout, T.; Mitchell, T.G.; Cox, G.M.; Heitman, J. Interaction between genetic background and the mating-type locus in Cryptococcus neoformans virulence potential. Genetics 2005, 171, 975–983. [Google Scholar] [CrossRef]
- Zheng, Q.; Hou, R.; Zhang, J.; Ma, J.; Wu, Z.; Wang, G.; Wang, C.; Xu, J.R. The MAT locus genes play diferent roles in sexual reproduction and pathogenesis in Fusarium graminearum. PLoS ONE 2013, 8, e66980. [Google Scholar]
- Michailides, T.J.; Spotts, R.A. Mating types of Mucor piriformis isolated from soil and pear fruit in Oregon orchards. Mycologia 1986, 78, 766–770. [Google Scholar] [CrossRef]
- Kwon-Chung, J.; Hill, W. Virulence of the two mating types of Emmonsiella capsulata and the mating experiments with Emmonsiella capsulata var. duboisii. In Sexuality and Pathogenicity of Fungi Masson; Vroey, D., Vanbreuseghem, R., Eds.; Masson: Paris, France, 1981; pp. 48–56. [Google Scholar]
- Kwon-Chung, K.J.; Edman, J.C.; Wickes, B.L. Genetic association of mating types and virulence in Cryptococcus neoformans. Infect. Immun. 1992, 60, 602–605. [Google Scholar] [CrossRef] [PubMed]
- Borba, C.M.; DA Silva, A.M.; DE Oliveira, P.C. Long-time survival and morphological stability of preserved Sporothrix schenckii strains. Mycoses 1992, 35, 185–188. [Google Scholar] [CrossRef] [PubMed]
- Lima, R.F.; Schäffer, G.M.; Borba, C.M. Variants of Sporothrix schenckii with attenuated virulence for mice. Microb. Infect. 2003, 5, 933–938. [Google Scholar] [CrossRef] [PubMed]
- Restrepo-Gutierrez, S.; Arango-Arteaga, M.; Uribe-Jaramillo, F.; Zuluaga-Cadena, A.I.; Restrepo-Moreno, A. Course of the experimental murine infection induced by Sporothrix schenckii conidia according to depth of inoculation. J. Med. Vet. Mycol. 1993, 31, 411–420. [Google Scholar] [CrossRef]
- Hennemann, C.R.A.; Guimarães, J.; Bremm, M.; Esporotricose felina revisão. Veterinária em foco, Universidade Luterana do Brasil. In Curso de Medicina Veterinária; ULBRA: Canoas, Brazil, 2003; Volume 1. [Google Scholar]
- Hogan, L.H.; Klein, B.S.; Levitz, S.M. Virulence factors of medically important fungi. Clin. Microbiol. Rev. 1996, 9, 469–488. [Google Scholar] [CrossRef]
- Fernandes, K.S.S.; Mathews, H.L.; Bezerra, L.M.L. Differences in virulence of Sporothrix schenckii conidia related to culture conditions and cell-wall components. J. Med. Microbiol. 1999, 48, 195–203. [Google Scholar] [CrossRef][Green Version]
- Brass, C.; Volkmann, C.M.; Philpott, D.E.; Klein, H.P.; Halde, C.J.; Stevens, D.A. Spontaneous mutant of Blastomyces dermatitidis attenuated in virulence for mice. Sabouraudia 1982, 20, 145–158. [Google Scholar] [CrossRef]
- Brummer, E.; Restrepo, A.; Hanson, L.H.; Stevens, D.A. Virulence of Paracoccidioides brasiliensis: The influence of in vitro passage and storage. Mycopathologia 1990, 109, 13–17. [Google Scholar] [CrossRef]
- Borba, C.M.; Schaffer, G.M.V. Paracoccidioides brasiliensis: Virulence and an attempt to induce the dimorphic process with fetal calf serum. Mycoses 2002, 45, 174–179. [Google Scholar] [CrossRef] [PubMed]
- Levine, H.B.; Pappagianis, D.; Cobb, J.M. Development of vaccines for coccidioidomycosis. Mycopathol. Mycol. Appl. 1970, 41, 177–185. [Google Scholar] [CrossRef] [PubMed]
- Tsuboi, R.; Sanada, T.; Takamori, K.; Ogawa, H. Isolation and properties of extracellular proteinases from Sporothrix schenckii. J. Bacteriol. 1987, 169, 4104–4109. [Google Scholar] [CrossRef] [PubMed]
- Lima, R.F.; Borba, C.M. Viability, morphological characteristics and dimorphic ability of fungi preserved bydifferent methods. Rev. Iberoam. Micol. 2001, 18, 191–196. [Google Scholar]
- Borba, C.M.; Rodrigues, K.F. Viability and sporulating capability of Coelomycetes preserved under a range of different storage regimes. Rev. Iberoam. Micol. 2000, 17, 142–145. [Google Scholar]
- Mendes da Silva, A.M.; Borba, C.M.; Oliveira, P.C. Viability and morphological alterations of Paracoccidioides brasiliensis strains preserved under mineral oil for long periods of time. Mycoses 1994, 37, 165–169. [Google Scholar] [CrossRef]
- Ryan, M.J.; Smith, D.; Jeffries, P. A decision-based key to determine the most appropriate protocol for the preservation of fungi. World J. Microbiol. Biotechnol. 2000, 16, 183–186. [Google Scholar] [CrossRef]







| No. of Isolates | Year of Entry into CCFF | Period under Mineral Oil (Years) |
|---|---|---|
| IOC 1275 | 1929 | 35 |
| IOC 1799 | 1935 | 59 |
| IOC 1835 | 1936 | 34 |
| IOC 1912 | 1945 | 56 |
| IOC 2547 | 1948 | 64 |
| IOC 2835 | 1950 | 34 |
| IOC 2993 | 1951 | 37 |
| No. of Isolates | Weight (g) ± DP | |||
|---|---|---|---|---|
| 0 Day | 21 Day | 35 Day | 49 Day | |
| PBS | 25.00 | 33.04 ± 0.73 | 35.04 ± 2.37 | 34.28 ± 0.91 |
| IOC 1275 | 25.00 | 31.19 ± 0.70 | 33.29 ± 1.43 | 34.14 ± 0.55 |
| IOC 1835 | 25.00 | 33.25 ± 2.19 | 34.61 ± 0.75 | 34.88 ± 2.69 |
| IOC 2993 | 25.00 | 32.44 ± 3.09 | 33.07 ± 1.99 | 33.06 ± 2.12 |
| IOC 2835 | 25.00 | 30.98 ± 1.62 | 31.68 ± 1.91 | 34.08 ± 0.57 |
| IOC 1799 | 25.00 | 32.23 ± 1.16 | 32.56 ± 1.27 | 34.75 ± 3.11 |
| IOC 1912 | 25.00 | 33.25 ± 2.12 | 33.69 ± 2.47 | 33.61 ± 2.51 |
| IOC 2547 | 25.00 | 32.14 ± 2.27 | 31.61 ± 2.10 | 34.09 ± 2.08 |
| Isolates | Days Post Infection | ||
|---|---|---|---|
| 21 | 35 | 49 | |
| IOC 1275 | 1.01 | 1.03 ± 0.66 | 1.02 ± 0.24 |
| IOC 1835 | 1.71 ± 0.58 | 1.03 ± 0.23 | 1.08 ± 0.13 |
| IOC 2993 | 1.05 ± 0.26 | 1.05 ± 0.34 | 1.06 ± 0.13 |
| IOC 2835 | 1.22 ± 0.43 | 1.09 ± 0.56 | 1.10 ± 0.33 |
| IOC 1799 | 1.07 ± 0.23 | 1.09 ± 0.21 | 1.09 ± 0.37 |
| IOC 1912 | 1.02 ± 0.28 | 1.09 ± 0.06 | 1.09 ± 0.12 |
| IOC 2547 | 1.47 ± 0.46 | 1.66 ± 0.06 | 1.23 ± 0.32 |
| Isolates | Skin | Heart | Kidney | Lung | ||||
|---|---|---|---|---|---|---|---|---|
| 21 | 35 | 21 | 35 | 21 | 35 | 21 | 35 | |
| IOC 1799 | Unseen | Unseen | Unseen | Unseen | Unseen | Unseen | Unseen | +GMS |
| IOC 1912 | Unseen | Moderate and diffuse suppurative dermatitis, more intense in the deep dermis. The inflammatory infiltrate consisted mainly of neutrophils. Presence of marked and diffuse panniculitis with extensive area of necrosis. Extensive destruction of striated skeletal muscle fibers underlying the dermis. +GMS | Unseen | Unseen | Unseen | Unseen | +GMS | Unseen |
| IOC 1835 | Unseen | Marked and diffuse suppurative panniculitis. The infiltrate consisted mainly of neutrophils, with macrophages and lymphocytes in smaller numbers. Areas of necrosis were observed in the subcutaneous tissue. +GMS | Unseen | Unseen | Unseen | Unseen | +GMS | Moderate and diffuse suppurative pneumonitis. Inflammatory infiltrate composed predominantly of neutrophils, with many lymphocytes, with thickening of the alveolar wall. +GMS |
| IOC 2835 | Unseen | Subcutaneous tissue showing areas of hemorrhage and discrete and diffuse lymphoplasmacytic inflammatory infiltrate. | Unseen | Unseen | Unseen | Unseen | Unseen | Unseen |
| IOC 2993 | Unseen | Marked and diffuse lymphoplasmacytic panniculitis. Inflammatory infiltrate composed mainly of lymphocytes and plasma cells. In the other section, focal and discreet suppurative dermatitis was observed, with a predominant infiltrate of neutrophils. | Unseen | Unseen | Unseen | Unseen | Unseen | Unseen |
| IOC 1275 | Unseen | Moderate and diffuse suppurative dermatitis. The inflammatory infiltrate consisted mainly of neutrophils, more intense in the deep dermis. There were areas of spongiosis in the epidermis. | Unseen | Two foci of dystrophic mineralization in the epicardium. | Unseen | Unseen | Unseen | Multifocal and moderate pyogranulomatous pneumonitis. The inflammatory infiltrate was also composed of lymphocytes. |
| IOC 2547 | Unseen | Moderate and diffuse dermatitis and panniculitis with inflammatory infiltrate consisting mainly of neutrophils, more intense in the deep dermis and subcutaneous tissue. Presence of suppurative folliculitis with follicular hyperkeratosis and areas of acanthosis in the epidermis. Additionally, extensive areas of coagulation necrosis were observed in the subcutaneous tissue. | Unseen | Unseen | Unseen | Unseen | +GMS | Discrete and diffuse pyogranulomatous interstitial pneumonitis with areas of alveolar wall thickening. The infiltrate was also made up of lymphocytes and plasma cells. |
| IOC 2993 | Unseen | Marked and diffuse lymphoplasmacytic panniculitis. Inflammatory infiltrate composed mainly of lymphocytes and plasma cells. In the other section, focal and discreet suppurative dermatitis was observed, with a predominant infiltrate of neutrophils. | Unseen | Unseen | Unseen | Unseen | Unseen | Unseen |
| Virulence Parameters | |||||||||
|---|---|---|---|---|---|---|---|---|---|
| Isolates | Presence of Macroscopic Lesions | Bodyweight | Clinical Signs | Splenic Index | Fungal Cell Recovery | Survival Rate (%) | Histopathology | Total Score | |
| Histological Change | GMS+ | ||||||||
| IOC 1799 | 0 | 0 | 0 | +1 | 0 | 0 | 0 | +1 | 2 |
| IOC 1912 | +1 | 0 | +1 | +1 | +1 | 0 | +1 | +1 | 5 |
| IOC 1835 | +2 | 0 | +2 | +2 | +2 | +2 | +2 | +1 | 11 |
| IOC 2835 | +1 | 0 | +1 | +1 | +3 | +3 | +1 | 0 | 9 |
| IOC 2993 | +1 | 0 | +1 | +1 | +2 | +1 | +1 | 0 | 6 |
| IOC 1275 | +3 | 0 | +3 | +1 | +2 | 0 | +2 | 0 | 8 |
| IOC 2547 | +1 | 0 | +1 | +3 | 0 | 0 | +2 | +1 | 7 |
| Number of Isolates | Mating-Type Gene | Virulence Score |
|---|---|---|
| IOC 1275 | MAT 1-2-1 | 8 |
| IOC 1799 | MAT 1-2-1 | 2 |
| IOC 1835 | MAT 1-2-1 | 11 |
| IOC 1912 | MAT 1-1-1 | 5 |
| IOC 2547 | MAT 1-2-1 | 7 |
| IOC 2835 | MAT 1-2-1 | 9 |
| IOC 2993 | MAT 1-1-1 | 6 |
Disclaimer/Publisher’s Note: The statements, opinions and data contained in all publications are solely those of the individual author(s) and contributor(s) and not of MDPI and/or the editor(s). MDPI and/or the editor(s) disclaim responsibility for any injury to people or property resulting from any ideas, methods, instructions or products referred to in the content. |
© 2023 by the authors. Licensee MDPI, Basel, Switzerland. This article is an open access article distributed under the terms and conditions of the Creative Commons Attribution (CC BY) license (https://creativecommons.org/licenses/by/4.0/).
Share and Cite
Barreira, T.; Corrêa-Moreira, D.; de Moraes Borba, C.; Menezes, R.C.; de Moraes, A.M.L.; Oliveira, M.M.E. The Mating Type (MAT) and Virulence of Sporothrix schenckii sensu stricto Isolates Maintained in Culture Collection. Microorganisms 2023, 11, 2335. https://doi.org/10.3390/microorganisms11092335
Barreira T, Corrêa-Moreira D, de Moraes Borba C, Menezes RC, de Moraes AML, Oliveira MME. The Mating Type (MAT) and Virulence of Sporothrix schenckii sensu stricto Isolates Maintained in Culture Collection. Microorganisms. 2023; 11(9):2335. https://doi.org/10.3390/microorganisms11092335
Chicago/Turabian StyleBarreira, Thais, Danielly Corrêa-Moreira, Cintia de Moraes Borba, Rodrigo Caldas Menezes, Aurea Maria Lage de Moraes, and Manoel Marques Evangelista Oliveira. 2023. "The Mating Type (MAT) and Virulence of Sporothrix schenckii sensu stricto Isolates Maintained in Culture Collection" Microorganisms 11, no. 9: 2335. https://doi.org/10.3390/microorganisms11092335
APA StyleBarreira, T., Corrêa-Moreira, D., de Moraes Borba, C., Menezes, R. C., de Moraes, A. M. L., & Oliveira, M. M. E. (2023). The Mating Type (MAT) and Virulence of Sporothrix schenckii sensu stricto Isolates Maintained in Culture Collection. Microorganisms, 11(9), 2335. https://doi.org/10.3390/microorganisms11092335

