Alternative PCR-Based Approaches for Generation of Komagataella phaffii Strains
Abstract
1. Introduction
2. Materials and Methods
2.1. Bacterial and Yeast Strains
2.2. Media and Cultivation Conditions
2.3. Molecular Methods
2.4. Electrophoresis Methods
2.5. Western Blot Hybridization
2.6. PCR Amplification
2.7. Vector Construction
2.8. Cell Transformation
2.9. Reporter Gene Assays
3. Results
3.1. Use of iVEC for Rapid Change of Selectable Markers in pPICZ Series Vectors
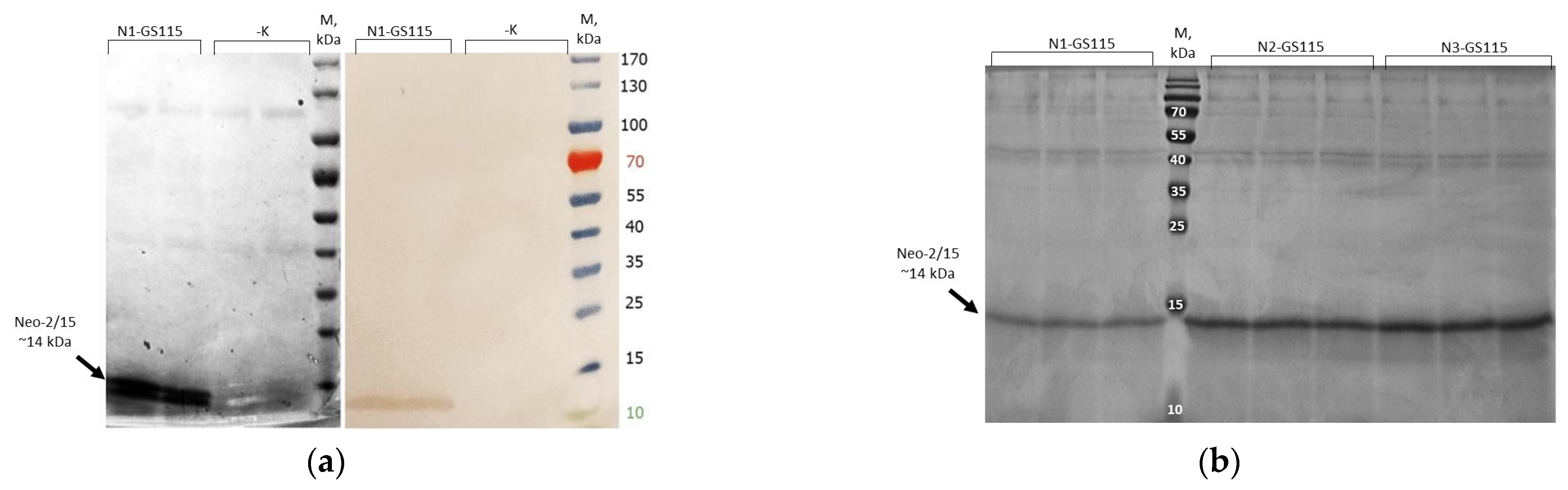
3.2. Use of Rapid Change of Selectable Markers for Generation of K. phaffii Strains for Efficient Production of Recombinant Neo-2/15 Protein
3.3. Use of PCR and Split-Marker-Based Approach for Generation of K. phaffii MutS Strains with Two Expression Cassettes
3.4. Use of PCR and Split-Marker-Based Approach for Generation of K. phaffii Strains for Efficient Production of Recombinant Neo-2/15 Protein
4. Discussion
5. Conclusions
Supplementary Materials
Author Contributions
Funding
Data Availability Statement
Conflicts of Interest
Correction Statement
References
- Bustos, C.; Quezada, J.; Veas, R.; Altamirano, C.; Braun-Galleani, S.; Fickers, P.; Berrios, J. Advances in Cell Engineering of the Komagataella phaffii Platform for Recombinant Protein Production. Metabolites 2022, 12, 346. [Google Scholar] [CrossRef] [PubMed]
- Carneiro, C.V.G.C.; Serra, L.A.; Pacheco, T.F.; Ferreira, L.M.M.; Brandão, L.T.D.; Freitas, M.N.d.M.; Trichez, D.; Almeida, J.R.M.d. Advances in Komagataella phaffii Engineering for the Production of Renewable Chemicals and Proteins. Fermentation 2022, 8, 575. [Google Scholar] [CrossRef]
- Ahmad, M.; Hirz, M.; Pichler, H.; Schwab, H. Protein expression in Pichia pastoris: Recent achievements and perspectives for heterologous protein production. Appl. Microbiol. Biotechnol. 2014, 98, 5301–5317. [Google Scholar] [CrossRef] [PubMed]
- Pan, Y.; Yang, J.; Wu, J.; Yang, L.; Fang, H. Current advances of Pichia pastoris as cell factories for production of recombinant proteins. Front. Microbiol. 2022, 13, 1059777. [Google Scholar] [CrossRef]
- de Sá Magalhães, S.; Keshavarz-Moore, E. Pichia pastoris (Komagataella phaffii) as a Cost-Effective Tool for Vaccine Production for Low- and Middle-Income Countries (LMICs). Bioengineering 2021, 8, 119. [Google Scholar] [CrossRef]
- Azarakhsh, M.; Rumyantsev, A.M.; Lebedeva, M.A.; Lutova, L.A. Cytokinin biosynthesis genes expressed during nodule organogenesis are directly regulated by the KNOX3 protein in Medicago truncatula. PLoS ONE 2020, 15, e0232352, Correction in PLoS ONE 2020, 15, e0234022. [Google Scholar] [CrossRef] [PubMed]
- Asada, H.; Uemura, T.; Yurugi-Kobayashi, T.; Shiroishi, M.; Shimamura, T.; Tsujimoto, H.; Ito, K.; Sugawara, T.; Nakane, T.; Nomura, N.; et al. Evaluation of the Pichia pastoris expression system for the production of GPCRs for structural analysis. Microb. Cell Factories 2011, 10, 24. [Google Scholar] [CrossRef]
- Michaelson, L.V.; Zäuner, S.; Markham, J.E.; Haslam, R.P.; Desikan, R.; Mugford, S.; Albrecht, S.; Warnecke, D.; Sperling, P.; Heinz, E.; et al. Functional characterization of a higher plant sphingolipid Delta4-desaturase: Defining the role of sphingosine and sphingosine-1-phosphate in Arabidopsis. Plant Physiol. 2009, 149, 487–498. [Google Scholar] [CrossRef] [PubMed]
- Jayachandran, D.; Banerjee, S.; Chundawat, S.P.S. Plant cellulose synthase membrane protein isolation directly from Pichia pastoris protoplasts, liposome reconstitution, and its enzymatic characterization. Protein. Expr. Purif. 2023, 210, 106309. [Google Scholar] [CrossRef] [PubMed]
- Bernauer, L.; Radkohl, A.; Lehmayer, L.G.K.; Emmerstorfer-Augustin, A. Komagataella phaffii as Emerging Model Organism in Fundamental Research. Front. Microbiol. 2021, 11, 607028. [Google Scholar] [CrossRef]
- De Schutter, K.; Lin, Y.C.; Tiels, P.; Van Hecke, A.; Glinka, S.; Weber-Lehmann, J.; Rouzé, P.; Van de Peer, Y.; Callewaert, N. Genome sequence of the recombinant protein production host Pichia pastoris. Nat. Biotechnol. 2009, 27, 561–566. [Google Scholar] [CrossRef] [PubMed]
- Rumyantsev, A.; Sidorin, A.; Volkov, A.; Al Shanaa, O.; Sambuk, E.; Padkina, M. Transcriptome Analysis Unveils the Effects of Proline on Gene Expression in the Yeast Komagataella phaffii. Microorganisms 2021, 10, 67. [Google Scholar] [CrossRef]
- Ianshina, T.; Sidorin, A.; Petrova, K.; Shubert, M.; Makeeva, A.; Sambuk, E.; Govdi, A.; Rumyantsev, A.; Padkina, M. Effect of Methionine on Gene Expression in Komagataella phaffii Cells. Microorganisms 2023, 11, 877. [Google Scholar] [CrossRef]
- Valli, M.; Grillitsch, K.; Grünwald-Gruber, C.; Tatto, N.E.; Hrobath, B.; Klug, L.; Ivashov, V.; Hauzmayer, S.; Koller, M.; Tir, N.; et al. A subcellular proteome atlas of the yeast Komagataella phaffii. FEMS Yeast Res. 2020, 20, foaa001. [Google Scholar] [CrossRef]
- Adelantado, N.; Tarazona, P.; Grillitsch, K.; García-Ortega, X.; Monforte, S.; Valero, F.; Feussner, I.; Daum, G.; Ferrer, P. The effect of hypoxia on the lipidome of recombinant Pichia pastoris. Microb. Cell Factories 2017, 16, 86. [Google Scholar] [CrossRef]
- Yu, Y.F.; Yang, J.; Zhao, F.; Lin, Y.; Han, S. Comparative transcriptome and metabolome analyses reveal the methanol dissimilation pathway of Pichia pastoris. BMC Genom. 2022, 23, 366. [Google Scholar] [CrossRef] [PubMed]
- Chen, H.; Cao, C.; Kulinich, A.; Liu, L.; Jung, Y.S.; Voglmeir, J. Engineering of an Episomal Plasmid Suitable for High-Throughput Expression in Pichia pastoris. Comb. Chem. High Throughput Screen 2017, 20, 726–733. [Google Scholar] [CrossRef] [PubMed]
- Camattari, A.; Goh, A.; Yip, L.Y.; Tan, A.H.; Ng, S.W.; Tran, A.; Liu, G.; Liachko, I.; Dunham, M.J.; Rancati, G. Characterization of a panARS-based episomal vector in the methylotrophic yeast Pichia pastoris for recombinant protein production and synthetic biology applications. Microb. Cell Factories 2016, 15, 139. [Google Scholar] [CrossRef]
- Vogl, T.; Glieder, A. Regulation of Pichia pastoris promoters and its consequences for protein production. New Biotechnol. 2013, 30, 385–404. [Google Scholar] [CrossRef]
- Ellis, S.B.; Brust, P.F.; Koutz, P.J.; Waters, A.F.; Harpold, M.M.; Gingeras, T.R. Isolation of alcohol oxidase and two other methanol regulatable genes from the yeast Pichia pastoris. Mol. Cell Biol. 1985, 5, 1111–1121. [Google Scholar] [CrossRef]
- Hartner, F.S.; Glieder, A. Regulation of methanol utilisation pathway genes in yeasts. Microb. Cell Factories 2006, 5, 39. [Google Scholar] [CrossRef]
- Crane, D.I.; Gould, S.J. The Pichia pastoris HIS4 gene: Nucleotide sequence, creation of a non-reverting his4 deletion mutant, and development of HIS4-based replicating and integrating plasmids. Curr. Genet 1994, 26, 443–450. [Google Scholar] [CrossRef] [PubMed]
- Zhang, Y.; Huang, H.; Yao, X.; Du, G.; Chen, J.; Kang, Z. High-yield secretory production of stable, active trypsin through engineering of the N-terminal peptide and self-degradation sites in Pichia pastoris. Bioresour. Technol. 2018, 247, 81–87. [Google Scholar] [CrossRef]
- Eissazadeh, S.; Moeini, H.; Dezfouli, M.G.; Heidary, S.; Nelofer, R.; Abdullah, M.P. Production of recombinant human epidermal growth factor in Pichia pastoris. Braz. J. Microbiol. 2017, 48, 286–293. [Google Scholar] [CrossRef] [PubMed]
- Lin Cereghino, G.P.; Lin Cereghino, J.; Sunga, A.J.; Johnson, M.A.; Lim, M.; Gleeson, M.A.; Cregg, J.M. New selectable marker/auxotrophic host strain combinations for molecular genetic manipulation of Pichia pastoris. Gene 2001, 263, 159–169. [Google Scholar] [CrossRef]
- Ahmad, M.; Winkler, C.M.; Kolmbauer, M.; Pichler, H.; Schwab, H.; Emmerstorfer-Augustin, A. Pichia pastoris protease-deficient and auxotrophic strains generated by a novel, user-friendly vector toolbox for gene deletion. Yeast 2019, 36, 557–570. [Google Scholar] [CrossRef]
- Papakonstantinou, T.; Harris, S.; Hearn, M.T. Expression of GFP using Pichia pastoris vectors with zeocin or G-418 sulphate as the primary selectable marker. Yeast 2009, 26, 311–321. [Google Scholar] [CrossRef] [PubMed]
- Yang, J.; Nie, L.; Chen, B.; Liu, Y.; Kong, Y.; Wang, H.; Diao, L. Hygromycin-resistance vectors for gene expression in Pichia pastoris. Yeast 2014, 31, 115–125. [Google Scholar] [CrossRef] [PubMed]
- Laukens, B.; De Wachter, C.; Callewaert, N. Engineering the Pichia pastoris N-Glycosylation Pathway Using the GlycoSwitch Technology. Methods Mol. Biol. 2015, 1321, 103–122. [Google Scholar] [CrossRef]
- Gupta, A.; Rangarajan, P.N. Histidine is essential for growth of Komagataella phaffii cultured in YPA medium. FEBS Open Bio. 2022, 12, 1241–1252. [Google Scholar] [CrossRef]
- Fischer, J.E.; Glieder, A. Current advances in engineering tools for Pichia pastoris. Curr. Opin. Biotechnol. 2019, 59, 175–181. [Google Scholar] [CrossRef] [PubMed]
- Piva, L.C.; Bentacur, M.O.; Reis, V.C.B.; De Marco, J.L.; Moraes, L.M.P.; Torres, F.A.G. Molecular strategies to increase the levels of heterologous transcripts in Komagataella phaffii for protein production. Bioengineered 2017, 8, 441–445. [Google Scholar] [CrossRef] [PubMed]
- Aw, R.; Polizzi, K.M. Can too many copies spoil the broth? Microb. Cell Factories 2013, 12, 128. [Google Scholar] [CrossRef]
- Betancur, M.O.; Reis, V.C.B.; Nicola, A.M.; De Marco, J.L.; de Moraes, L.M.P.; Torres, F.A.G. Multicopy plasmid integration in Komagataella phaffii mediated by a defective auxotrophic marker. Microb. Cell Factories 2017, 16, 99. [Google Scholar] [CrossRef] [PubMed]
- Invitrogen. EasySelect™ Pichia Expression Kit. User Manual; Life Technologies: Carlsbad, CA, USA, 2010. [Google Scholar]
- Aw, R.; Polizzi, K.M. Liquid PTVA: A faster and cheaper alternative for generating multi-copy clones in Pichia pastoris. Microb. Cell Factories 2016, 15, 29. [Google Scholar] [CrossRef]
- Pla, I.A.; Damasceno, L.M.; Vannelli, T.; Ritter, G.; Batt, C.A.; Shuler, M.L. Evaluation of Mut+ and MutS Pichia pastoris phenotypes for high level extracellular scFv expression under feedback control of the methanol concentration. Biotechnol. Prog. 2006, 22, 881–888. [Google Scholar] [CrossRef]
- Krainer, F.W.; Dietzsch, C.; Hajek, T.; Herwig, C.; Spadiut, O.; Glieder, A. Recombinant protein expression in Pichia pastoris strains with an engineered methanol utilization pathway. Microb. Cell Factories 2012, 11, 22. [Google Scholar] [CrossRef] [PubMed]
- Invitrogen. Pichia Expression Kit. User Guide; Life Technologies: Carlsbad, CA, USA, 2014. [Google Scholar]
- Karbalaei, M.; Rezaee, S.A.; Farsiani, H. Pichia pastoris: A highly successful expression system for optimal synthesis of heterologous proteins. J. Cell Physiol. 2020, 235, 5867–5881. [Google Scholar] [CrossRef]
- Maniatis, T.; Fritsch, E.F.; Sambrook, J. Molecular Cloning: A Laboratory Manual, 2nd ed.; Cold Spring Harbor Laboratory Press: New York, NY, USA, 1988; ISBN 978-0-87969-309-1. [Google Scholar]
- Wingfield, P. Protein precipitation using ammonium sulfate. Curr. Protoc. Protein Sci. 2001, 13, A.3F.1–A.3F.8. [Google Scholar] [CrossRef]
- Gallagher, S.R. One-dimensional SDS gel electrophoresis of proteins. Curr. Protoc. Immunol. 2006, 75, 8.4.1–8.4.37. [Google Scholar] [CrossRef]
- Schneider, C.A.; Rasband, W.S.; Eliceiri, K.W. NIH Image to ImageJ: 25 years of image analysis. Nat. Methods 2012, 9, 671–675. [Google Scholar] [CrossRef]
- Livak, K.J.; Schmittgen, T.D. Analysis of relative gene expression data using real-time quantitative PCR and the 2(-Delta Delta C(T)) Method. Methods 2001, 25, 402–408. [Google Scholar] [CrossRef] [PubMed]
- Rumjantsev, A.M.; Padkina, M.V.; Sambuk, E.V. Effect of nitrogen source on gene expression of first steps of methanol utilization pathway in Pichia pastoris. Russ. J. Genet 2013, 49, 394–400. [Google Scholar] [CrossRef]
- Rumjantsev, A.M.; Bondareva, O.V.; Padkina, M.V.; Sambuk, E.V. Effect of nitrogen source and inorganic phosphate concentration on methanol utilization and PEX genes expression in Pichia pastoris. Sci. World J. 2014, 2014, 743615. [Google Scholar] [CrossRef]
- Matsuda, T.; Cepko, C.L. Electroporation and RNA interference in the rodent retina in vivo and in vitro. Proc. Natl. Acad. Sci. USA 2004, 101, 16–22. [Google Scholar] [CrossRef] [PubMed]
- Silva, D.A.; Yu, S.; Ulge, U.Y.; Spangler, J.B.; Jude, K.M.; Labão-Almeida, C.; Ali, L.R.; Quijano-Rubio, A.; Ruterbusch, M.; Leung, I.; et al. De novo design of potent and selective mimics of IL-2 and IL-15. Nature 2019, 565, 186–191. [Google Scholar] [CrossRef]
- Bähler, J.; Wu, J.Q.; Longtine, M.S.; Shah, N.G.; McKenzie, A., 3rd; Steever, A.B.; Wach, A.; Philippsen, P.; Pringle, J.R. Heterologous modules for efficient and versatile PCR-based gene targeting in Schizosaccharomyces pombe. Yeast 1998, 14, 943–951. [Google Scholar] [CrossRef]
- Hanahan, D. Studies on transformation of Escherichia coli with plasmids. J. Mol. Biol. 1983, 166, 557–580. [Google Scholar] [CrossRef] [PubMed]
- Wu, S.; Letchworth, G.J. High efficiency transformation by electroporation of Pichia pastoris pretreated with lithium acetate and dithiothreitol. Biotechniques 2004, 36, 152–154. [Google Scholar] [CrossRef] [PubMed]
- Samsonova, M.G.; Padkina, M.V.; Krasnopevtseva, N.G.; Kozhin, S.A.; Smirnov, M.N. Genetico-biochemical study of acid phosphatases in Saccharomyces cerevisiae yeast. V. Genetic control of regulation of acid phosphatase II synthesis. Genetika 1975, 11, 104–115. [Google Scholar]
- Padkina, M.V.; Krasnopevtseva, N.G.; Petrashen, M.G. Genetic and biochemical studies of acid phosphatases of Saccharomyces cerevisiae. Properties of acid phosphatases from different strains (Russian). Genetika 1974, 10, 100–110. [Google Scholar]
- Bubeck, P.; Winkler, M.; Bautsch, W. Rapid cloning by homologous recombination in vivo. Nucleic Acids Res. 1993, 21, 601–3602. [Google Scholar] [CrossRef] [PubMed]
- Oliner, J.D.; Kinzler, K.W.; Vogelstein, B. In vivo cloning of PCR products in E. coli. Nucleic Acids Res. 1993, 21, 5192–5197. [Google Scholar] [CrossRef] [PubMed]
- Nozaki, S.; Niki, H. Exonuclease III (XthA) Enforces In Vivo DNA Cloning of Escherichia coli To Create Cohesive Ends. J. Bacteriol. 2019, 201, e00660-18. [Google Scholar] [CrossRef] [PubMed]
- Huang, M.; Gao, Y.; Zhou, X.; Zhang, Y.; Cai, M. Regulating unfolded protein response activator HAC1p for production of thermostable raw-starch hydrolyzing α-amylase in Pichia pastoris. Bioprocess Biosyst. Eng. 2017, 40, 341–350. [Google Scholar] [CrossRef] [PubMed]
- Damasceno, L.M.; Anderson, K.A.; Ritter, G.; Cregg, J.M.; Old, L.J.; Batt, C.A. Cooverexpression of chaperones for enhanced secretion of a single-chain antibody fragment in Pichia pastoris. Appl. Microbiol. Biotechnol. 2007, 74, 381–389. [Google Scholar] [CrossRef] [PubMed]
- Sallada, N.D.; Harkins, L.E.; Berger, B.W. Effect of gene copy number and chaperone coexpression on recombinant hydrophobin HFBI biosurfactant production in Pichia pastoris. Biotechnol. Bioeng. 2019, 116, 2029–2040. [Google Scholar] [CrossRef]
- Ben Azoun, S.; Belhaj, A.E.; Göngrich, R.; Gasser, B.; Kallel, H. Molecular optimization of rabies virus glycoprotein expression in Pichia pastoris. Microb. Biotechnol. 2016, 9, 355–368. [Google Scholar] [CrossRef] [PubMed]
- Gasser, B.; Prielhofer, R.; Marx, H.; Maurer, M.; Nocon, J.; Steiger, M.; Puxbaum, V.; Sauer, M.; Mattanovich, D. Pichia pastoris: Protein production host and model organism for biomedical research. Future Microbiol. 2013, 8, 191–208. [Google Scholar] [CrossRef]
- Näätsaari, L.; Mistlberger, B.; Ruth, C.; Hajek, T.; Hartner, F.S.; Glieder, A. Deletion of the Pichia pastoris KU70 homologue facilitates platform strain generation for gene expression and synthetic biology. PLoS ONE 2012, 7, e39720. [Google Scholar] [CrossRef]
- Nishi, T.; Ito, Y.; Nakamura, Y.; Yamaji, T.; Hashiba, N.; Tamai, M.; Yasohara, Y.; Ishii, J.; Kondo, A. One-Step In Vivo Assembly of Multiple DNA Fragments and Genomic Integration in Komagataella phaffii. ACS Synth. Biol. 2022, 11, 644–654. [Google Scholar] [CrossRef] [PubMed]
- Ito, Y.; Watanabe, T.; Aikawa, S.; Nishi, T.; Nishiyama, T.; Nakamura, Y.; Hasunuma, T.; Okubo, Y.; Ishii, J.; Kondo, A. Deletion of DNA ligase IV homolog confers higher gene targeting efficiency on homologous recombination in Komagataella phaffii. FEMS Yeast Res. 2018, 18, foy074. [Google Scholar] [CrossRef] [PubMed]







| Strain | Genotype | Sourse |
|---|---|---|
| GS115 | his4 | Thermo Fisher Scientific, Waltham, MA USA |
| X-33 | wt | Thermo Fisher Scientific, Waltham, MA USA |
| K1-ACP-X-33 | PAOX1-PHO5 KanR | This study |
| Z1-ACP-X-33 | PAOX1-PHO5 ZeoR | This study |
| KZ2-ACP-X-33 | 2×PAOX1-PHO5 ZeoR KanR | This study |
| S-ACP-GFP-X-33 | aox1::PAOX1-PHO5-ZeoR-PAOX1-GFP | This study |
| N1-GS115 | PAOX1-Neo2/15 HIS4 | This study |
| N2-GS115 | 2×PAOX1-Neo2/15 HIS4 ZeoR | This study |
| N3-GS115 | 3×PAOX1-Neo2/15 HIS4 ZeoR KanR | This study |
| SN2-X33 | aox1::PAOX1-Neo2/15-ZeoR-PAOX1-Neo2/15 | This study |
| Name | Sequence (from 5′ to 3′ End) |
|---|---|
| NeoRQ-F | TCCAGCTGAAGAGAAGTTGGA |
| NeoRQ-R | CGGAGAAAATCCAGCTTTGA |
| ACT1-F | AGTGTTCCCATCGGTCGTAG |
| ACT1-R | GGTTCATTGGAGCCTCAGTC |
| PHO5-F | CGGGATCCCGAGATTACCAA |
| PHO5-R | CGGAATTCCAAAACTATTGT |
| eGFP-F | ATTACAGGATCCATGGTGAGCAAGGGCG |
| eGFP-R | ATTACAGAATTCTTACTTGTACAGCTCGTCCATGC |
| PAOX1-F | AACATCCAAAGACGAAAGG |
| 3′AOX1-R | CACAAACGAAGGTCTCACTTA |
| ZeoDown2 | AGTTGACCAGTGCCGTTC |
| ZeoUp | CGGAAGTTCGTGGACAC |
| iVEC-F | TCGATGAGTTTTTCTAAGGACTGACACGTCCGAC |
| iVEC-R | TTTTCCTTACCCATGGTTTAGTTCCTCACCTTGTC |
| Kan-F | GAGGAACTAAACCATGGGTAAGGAAAAGACTCAC |
| Kan-R | CGTGTCAGTCCTTAGAAAAACTCATCGAGCATC |
Disclaimer/Publisher’s Note: The statements, opinions and data contained in all publications are solely those of the individual author(s) and contributor(s) and not of MDPI and/or the editor(s). MDPI and/or the editor(s) disclaim responsibility for any injury to people or property resulting from any ideas, methods, instructions or products referred to in the content. |
© 2023 by the authors. Licensee MDPI, Basel, Switzerland. This article is an open access article distributed under the terms and conditions of the Creative Commons Attribution (CC BY) license (https://creativecommons.org/licenses/by/4.0/).
Share and Cite
Makeeva, A.; Muzaev, D.; Shubert, M.; Ianshina, T.; Sidorin, A.; Sambuk, E.; Rumyantsev, A.; Padkina, M. Alternative PCR-Based Approaches for Generation of Komagataella phaffii Strains. Microorganisms 2023, 11, 2297. https://doi.org/10.3390/microorganisms11092297
Makeeva A, Muzaev D, Shubert M, Ianshina T, Sidorin A, Sambuk E, Rumyantsev A, Padkina M. Alternative PCR-Based Approaches for Generation of Komagataella phaffii Strains. Microorganisms. 2023; 11(9):2297. https://doi.org/10.3390/microorganisms11092297
Chicago/Turabian StyleMakeeva, Anastasiya, Dmitry Muzaev, Maria Shubert, Tatiana Ianshina, Anton Sidorin, Elena Sambuk, Andrey Rumyantsev, and Marina Padkina. 2023. "Alternative PCR-Based Approaches for Generation of Komagataella phaffii Strains" Microorganisms 11, no. 9: 2297. https://doi.org/10.3390/microorganisms11092297
APA StyleMakeeva, A., Muzaev, D., Shubert, M., Ianshina, T., Sidorin, A., Sambuk, E., Rumyantsev, A., & Padkina, M. (2023). Alternative PCR-Based Approaches for Generation of Komagataella phaffii Strains. Microorganisms, 11(9), 2297. https://doi.org/10.3390/microorganisms11092297

