Using Cryopreserved Plasmodium falciparum Sporozoites in a Humanized Mouse Model to Study Early Malaria Infection Processes and Test Prophylactic Treatments
Abstract
1. Introduction
2. Results and Discussion
2.1. Successful Infection of Cryopreserved P. falciparum Sporozoites and Transition of Liver-Stage Parasites to Blood-Stage Parasites In Vivo
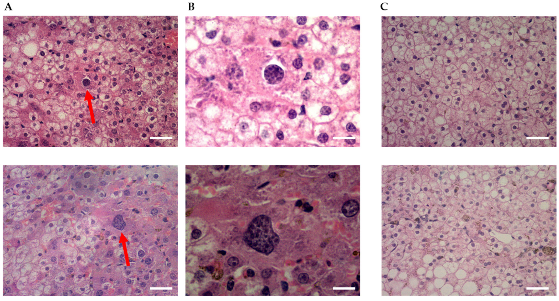
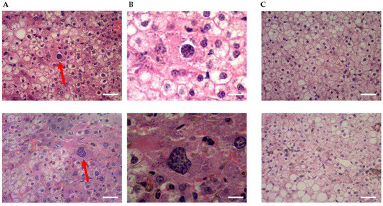
2.2. Detection of Parasite Liver Infection by Microscopy Confirmed the Infectivity of Cryopreserved Sporozoites
3. Conclusions
4. Materials and Methods
4.1. Ethics Statements
4.2. Mice
4.3. Parasites
5. Human Erythrocyte Engraftment
6. Sporozoite Infection
6.1. Blood-Stage Parasite Detection
6.2. Liver-Stage Parasite Detection
6.3. Software
Author Contributions
Funding
Institutional Review Board Statement
Data Availability Statement
Acknowledgments
Conflicts of Interest
References
- WHO. World Malaria Report 2022; World Health Organisation: Geneva, Switzerland, 2022. [Google Scholar]
- Uhomoibhi, P.; Malm, K.L.; Cisse, I.; Dzibo, H.; Poku-Awuku, A.; Tchouatieu, A.-M.; Olumese, P.E.; Van Hulle, S.; Florey, L.; Filler, S.; et al. Redoubling Efforts to Sustain Seasonal Malaria Chemoprevention. Lancet Child Adolesc. Health 2022, 6, 142–144. [Google Scholar] [CrossRef]
- Baral, R.; Levin, A.; Odero, C.; Pecenka, C.; Tabu, C.; Mwendo, E.; Bonsu, G.; Bawa, J.; Dadzie, J.F.; Charo, J.; et al. Costs of Continuing RTS,S/ASO1E Malaria Vaccination in the Three Malaria Vaccine Pilot Implementation Countries. PLoS ONE 2021, 16, e0244995. [Google Scholar] [CrossRef]
- Datoo, M.S.; Natama, M.H.; Somé, A.; Traoré, O.; Rouamba, T.; Bellamy, D.; Yameogo, P.; Valia, D.; Tegneri, M.; Ouedraogo, F.; et al. Efficacy of a Low-Dose Candidate Malaria Vaccine, R21 in Adjuvant Matrix-M, with Seasonal Administration to Children in Burkina Faso: A Randomised Controlled Trial. Lancet 2021, 397, 1809–1818. [Google Scholar] [CrossRef] [PubMed]
- Cabrales, P.; Zanini, G.M.; Meays, D.; Frangos, J.A.; Carvalho, L.J.M. Murine Cerebral Malaria Is Associated with a Vasospasm-like Microcirculatory Dysfunction, and Survival upon Rescue Treatment Is Markedly Increased by Nimodipine. Am. J. Pathol. 2010, 176, 1306–1315. [Google Scholar] [CrossRef] [PubMed]
- Casares, S.; Richie, T.L. Immune Evasion by Malaria Parasites: A Challenge for Vaccine Development. Curr. Opin. Immunol. 2009, 21, 321–330. [Google Scholar] [CrossRef] [PubMed]
- Kaushansky, A.; Mikolajczak, S.A.; Vignali, M.; Kappe, S.H.I. Of Men in Mice: The Success and Promise of Humanized Mouse Models for Human Malaria Parasite Infections. Cell. Microbiol. 2014, 16, 602–611. [Google Scholar] [CrossRef] [PubMed]
- Tyagi, R.K. Plasmodium falciparum-Infected Humanized Mice: A Viable Preclinical Tool. Immunotherapy 2021, 13, 1345–1353. [Google Scholar] [CrossRef] [PubMed]
- Azuma, H.; Paulk, N.; Ranade, A.; Dorrell, C.; Al-Dhalimy, M.; Ellis, E.; Strom, S.; Kay, M.A.; Finegold, M.; Grompe, M. Robust Expansion of Human Hepatocytes in Fah−/−/Rag2−/−/Il2rg−/− Mice. Nat. Biotechnol. 2007, 25, 903–910. [Google Scholar] [CrossRef] [PubMed]
- Vaughan, A.M.; Kappe, S.H.I.; Ploss, A.; Mikolajczak, S.A. Development of Humanized Mouse Models to Study Human Malaria Parasite Infection. Future Microbiol. 2012, 7, 657–665. [Google Scholar] [CrossRef] [PubMed]
- Foquet, L.; Schafer, C.; Minkah, N.K.; Alanine, D.G.W.; Flannery, E.L.; Steel, R.W.J.; Sack, B.K.; Camargo, N.; Fishbaugher, M.; Betz, W.; et al. Plasmodium falciparum Liver Stage Infection and Transition to Stable Blood Stage Infection in Liver-Humanized and Blood-Humanized FRGN KO Mice Enables Testing of Blood Stage Inhibitory Antibodies (Reticulocyte-Binding Protein Homolog 5) In Vivo. Front. Immunol. 2018, 9, 524. [Google Scholar] [CrossRef] [PubMed]
- Schäfer, C.; Roobsoong, W.; Kangwanrangsan, N.; Bardelli, M.; Rawlinson, T.A.; Dambrauskas, N.; Trakhimets, O.; Parthiban, C.; Goswami, D.; Reynolds, L.M.; et al. A Humanized Mouse Model for Plasmodium vivax to Test Interventions That Block Liver Stage to Blood Stage Transition and Blood Stage Infection. iScience 2020, 23, 101381. [Google Scholar] [CrossRef] [PubMed]
- Jeffery, G.M.; Rendtorff, R.C. Preservation of Viable Human Malaria Sporozoites by Low-Temperature Freezing. Exp. Parasitol. 1955, 4, 445–454. [Google Scholar] [CrossRef] [PubMed]
- Singh, N.; Barnes, S.J.; Jenwithisuk, R.; Sattabongkot, J.; Adams, J.H. A Simple and Efficient Method for Cryopreservation and Recovery of Viable Plasmodium vivax and P. falciparum Sporozoites. Parasitol. Int. 2016, 65, 552–557. [Google Scholar] [CrossRef] [PubMed]
- Singh, N.; Barnes, S.J.; Kennedy, S.; Adams, J.H. Experimental Evaluation of Cryopreservative Solutions to Maintain in Vitro and in Vivo Infectivity of P. berghei Sporozoites. PLoS ONE 2017, 12, e0177304. [Google Scholar] [CrossRef] [PubMed]
- Vaughan, A.M.; Mikolajczak, S.A.; Wilson, E.M.; Grompe, M.; Kaushansky, A.; Camargo, N.; Bial, J.; Ploss, A.; Kappe, S.H.I. Complete Plasmodium falciparum Liver-Stage Development in Liver-Chimeric Mice. J. Clin. Investig. 2012, 122, 3618–3628. [Google Scholar] [CrossRef] [PubMed]
- Jiménez-Díaz, M.B.; Mulet, T.; Gómez, V.; Viera, S.; Alvarez, A.; Garuti, H.; Vázquez, Y.; Fernández, A.; Ibáñez, J.; Jiménez, M.; et al. Quantitative Measurement of Plasmodium-Infected Erythrocytes in Murine Models of Malaria by Flow Cytometry Using Bidimensional Assessment of SYTO-16 Fluorescence. Cytom. Part A 2009, 75, 225–235. [Google Scholar] [CrossRef] [PubMed]
- Roestenberg, M.; Bijker, E.M.; Sim, B.K.L.; Billingsley, P.F.; James, E.R.; Bastiaens, G.J.H.; Teirlinck, A.C.; Scholzen, A.; Teelen, K.; Arens, T.; et al. Controlled Human Malaria Infections by Intradermal Injection of Cryopreserved Plasmodium falciparum Sporozoites. Am. J. Trop. Med. Hyg. 2013, 88, 5–13. [Google Scholar] [CrossRef] [PubMed]
- Wijayalath, W.; Majji, S.; Villasante, E.F.; Brumeanu, T.D.; Richie, T.L.; Casares, S. Humanized HLA-DR4.RagKO.IL2RγcKO.NOD (DRAG) Mice Sustain the Complex Vertebrate Life Cycle of Plasmodium falciparum Malaria. Malar. J. 2014, 13, 386. [Google Scholar] [CrossRef] [PubMed]
- Sheehy, S.H.; Spencer, A.J.; Douglas, A.D.; Sim, B.K.L.; Longley, R.J.; Edwards, N.J.; Poulton, I.D.; Kimani, D.; Williams, A.R.; Anagnostou, N.A.; et al. Optimising Controlled Human Malaria Infection Studies Using Cryopreserved P. falciparum Parasites Administered by Needle and Syringe. PLoS ONE 2013, 8, e65960. [Google Scholar] [CrossRef] [PubMed][Green Version]


Disclaimer/Publisher’s Note: The statements, opinions and data contained in all publications are solely those of the individual author(s) and contributor(s) and not of MDPI and/or the editor(s). MDPI and/or the editor(s) disclaim responsibility for any injury to people or property resulting from any ideas, methods, instructions or products referred to in the content. |
© 2023 by the authors. Licensee MDPI, Basel, Switzerland. This article is an open access article distributed under the terms and conditions of the Creative Commons Attribution (CC BY) license (https://creativecommons.org/licenses/by/4.0/).
Share and Cite
Jiménez-Díaz, M.-B.; Möhrle, J.J.; Angulo-Barturen, I.; Demarta-Gatsi, C. Using Cryopreserved Plasmodium falciparum Sporozoites in a Humanized Mouse Model to Study Early Malaria Infection Processes and Test Prophylactic Treatments. Microorganisms 2023, 11, 2209. https://doi.org/10.3390/microorganisms11092209
Jiménez-Díaz M-B, Möhrle JJ, Angulo-Barturen I, Demarta-Gatsi C. Using Cryopreserved Plasmodium falciparum Sporozoites in a Humanized Mouse Model to Study Early Malaria Infection Processes and Test Prophylactic Treatments. Microorganisms. 2023; 11(9):2209. https://doi.org/10.3390/microorganisms11092209
Chicago/Turabian StyleJiménez-Díaz, María-Belén, Jörg J. Möhrle, Iñigo Angulo-Barturen, and Claudia Demarta-Gatsi. 2023. "Using Cryopreserved Plasmodium falciparum Sporozoites in a Humanized Mouse Model to Study Early Malaria Infection Processes and Test Prophylactic Treatments" Microorganisms 11, no. 9: 2209. https://doi.org/10.3390/microorganisms11092209
APA StyleJiménez-Díaz, M.-B., Möhrle, J. J., Angulo-Barturen, I., & Demarta-Gatsi, C. (2023). Using Cryopreserved Plasmodium falciparum Sporozoites in a Humanized Mouse Model to Study Early Malaria Infection Processes and Test Prophylactic Treatments. Microorganisms, 11(9), 2209. https://doi.org/10.3390/microorganisms11092209

