Disseminated Mycobacterium genavense Infection Mimicking Sarcoidosis: A Case Report and Review of Literature on Japanese Patients
Abstract
1. Introduction
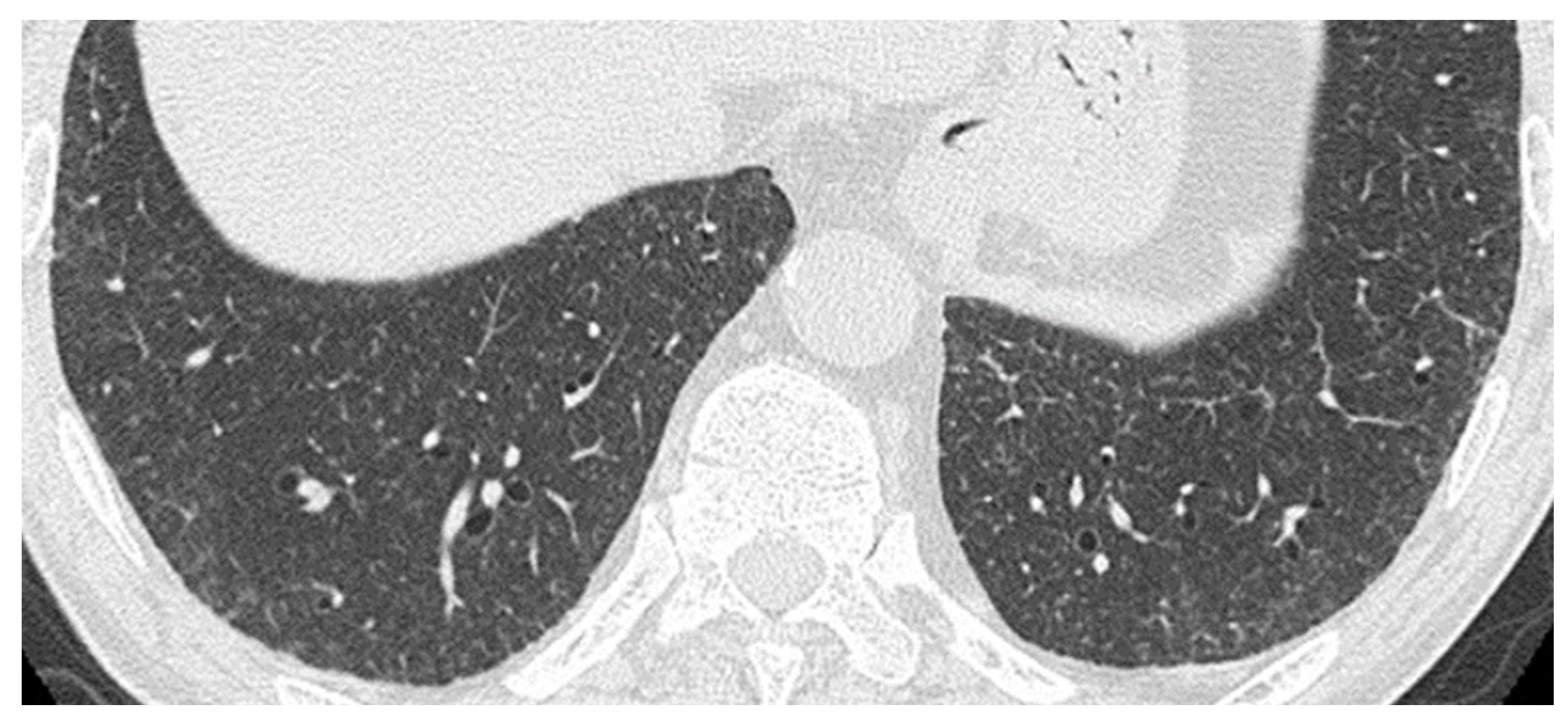
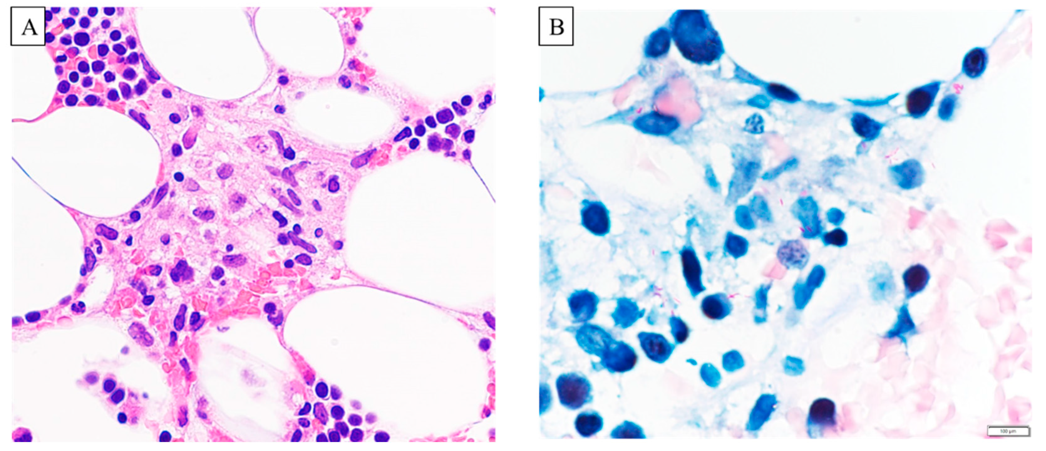
2. Case Presentation and Review of Literature on Japanese Patients
3. Discussion
4. Conclusions
Author Contributions
Funding
Data Availability Statement
Conflicts of Interest
References
- Denicolò, S.; Laydevant, S.; Fink, J.; Geiger, C.; Pizzini, A.; Sarcletti, M.; Zschocke, J.; Bellmann-Weiler, R.; Weiss, G.; Tancevski, I. Sarcoid-like lesions obfuscating the diagnosis of disseminated Mycobacterium genavense infection in a patient with IL-12Rβ1-associated immunodeficiency. BMC Infect. Dis. 2022, 22, 770. [Google Scholar] [CrossRef] [PubMed]
- Böttger, E.C.; Teske, A.; Kirschner, P.; Bost, S.; Chang, H.R.; Beer, V.; Hirschel, B. Disseminated “Mycobacterium genavense” Infection in Patients with AIDS. Lancet 1992, 340, 76–80. [Google Scholar] [CrossRef] [PubMed]
- Baldolli, A.; Chocron, R.; Dargère, S.; Michon, J.; Daurel, C.; Thuillier-Lecouf, A.; Verdon, R. Mycobacterium genavense infections in immunocompromised patients without HIV: Case series of solid organ transplant patients and literature review. Open Forum Infect. Dis. 2022, 9, ofac498. [Google Scholar] [CrossRef]
- Oka, K.; Yamane, M.; Yokota, Y.; Yasuda, M.; Hasegawa, K.; Fujimori, T.; Iio, K.; Hagiya, H.; Otsuka, F. Disseminated Mycobacterium genavense infection mimicking TAFRO syndrome. J. Infect. Chemother. 2020, 26, 1095–1099. [Google Scholar] [CrossRef] [PubMed]
- Naito, K.; Noguchi, S.; Yatera, K.; Kawanami, T.; Yamasaki, K.; Fukuda, K.; Ikegami, H.; Akata, K.; Kido, T.; Sakamoto, N.; et al. Coinfection with multiple nontuberculous Mycobacteria as a possible exacerbating factor in pulmonary nontuberculous mycobacteriosis: Clone library analysis using the 16S ribosomal RNA gene. Chest 2020, 158, 2304–2313. [Google Scholar] [CrossRef]
- Griffith, D.E.; Aksamit, T.; Brown-Elliott, B.A.; Catanzaro, A.; Daley, C.; Gordin, F.; Holland, S.M.; Horsburgh, R.; Huitt, G.; Iademarco, M.F.; et al. An Official ATS/IDSA Statement: Diagnosis, treatment, and prevention of nontuberculous mycobacterial diseases. Am. J. Respir. Crit. Care Med. 2007, 175, 367–416. [Google Scholar] [CrossRef]
- Ogawa, Y.; Koizumi, Y.; Watanabe, D.; Hirota, K.; Ikuma, M.; Yajima, K.; Kasai, D.; Nishida, Y.; Uehira, T.; Shirasaka, T. A case of disseminated Mycobacterium genavense infection in an AIDS patient. A case report and a review of the literature. Kansenshogaku Zasshi. 2015, 89, 259–264. [Google Scholar] [CrossRef]
- Uchino, H.; Terasaka, S.; Yamaguchi, S.; Kobayashi, H.; Kawai, K.; Kubota, K.; Ooe, S.; Houkin, K. Multiple infectious intracranial lesions of Mycobacterium genavense in an immunocompromised patient. Brain Nerve = Shinkei Kenkyu No Shinpo 2011, 63, 79–83. [Google Scholar]
- Miyoshi, H.; Tamura, G.; Satoh, T.; Homma, R.; Omoto, E.; Nakano, N.; Wada, R. Disseminated Mycobacterium genavense infection in a healthy boy. Hum. Pathol. 2010, 41, 1646–1649. [Google Scholar] [CrossRef]
- Niino, D.; Matsuki, K.; Tanaka, T.; Yanagihara, K.; Ohkusu, K.; Hayashi, T.; Imaizumi, Y.; MIyazaki, Y.; Ariyoshi, K.; Oshima, K. Disseminated Mycobacterium genavense infection in a patient with acquired immunodeficiency Syndrome (AIDS). Jpn. J. Diagn. Pathol. 2011, 20, 18–20. [Google Scholar]
- Abe, K.; Yamamoto, T.; Ishii, T.; Kuyama, Y.; Koga, I.; Ota, Y. Duodenal Mycobacterium genavense Infection in a Patient with Acquired Immunodeficiency Syndrome. Endoscopy 2013, 45, E27–E28. [Google Scholar] [CrossRef][Green Version]
- Tanaka, T.; Saito, N.; Takaki, M.; Furumoto, A.; Morimoto, K.; Ariyoshi, K. Refractory chylothorax in HIV/AIDS-related disseminated mycobacterial infection. Thorax 2016, 71, 960–961. [Google Scholar] [CrossRef][Green Version]
- Asakura, T.; Namkoong, H.; Sakagami, T.; Hasegawa, N.; Ohkusu, K.; Nakamura, A. Disseminated Mycobacterium genavense infection in patient with adult-onset immunodeficiency. Emerg. Infect. Dis. 2017, 23, 1208–1210. [Google Scholar] [CrossRef]
- Yamasita, Y.; Morokuma, Y.; Mochimaru, T.; Nishida, R.; Kiyosuke, M.; Hotta, T.; Murata, M.; Shimono, N.; Kang, D.A. Two cases of non-tuberculosis Mycobacteria misidentified as Mycobacterium avium complex with GENECUBED. J. Jpn. Soc. Clin. Microbiol. 2017, 27, 306–312. [Google Scholar]
- Hosoda, T.; Sakamoto, M.; Ohkusu, K. Splenic infarction complicated with immune reconstitution inflammatory syndrome due to disseminated Mycobacterium genavense infection in a patient infected with human immunodeficiency virus. J. Infect. Chemother. 2019, 25, 1060–1064. [Google Scholar] [CrossRef] [PubMed]
- Hosoda, C.; Ishiguro, T.; Shimizu, Y.; Kanegane, H.; Takayanagi, N. Mycobacterium genavense infection presenting as an endobronchial polyp and upper lobe atelectasis. Am. J. Respir. Crit. Care. Med. 2020, 202, e144–e145. [Google Scholar] [CrossRef]
- Ito, Y.; Takaoka, K.; Toyama, K.; Taoka, K.; Wakabayashi, Y.; Shinozaki-Ushiku, A.; Okazaki, A.; Chikamatsu, K.; Mitarai, S.; Ushiku, T.; et al. The first case of concomitant Mycobacterium genavense lymphadenitis and EBV-positive lymphoproliferative disorder. Mediterr. J. Hematol. Infect. Dis. 2020, 12, e2020035. [Google Scholar] [CrossRef]
- Murata, Y.; Mori, N.; Kagawa, N.; Okuma, K.; Yoshida, S.; Ohkusu, K.; Honda, M. Acid-fast bacilli smear test of a blood culture sample for the diagnosis of disseminated Mycobacterium genavense infection: A case report. Int. J. STD AIDS 2021, 32, 483–485. [Google Scholar] [CrossRef] [PubMed]
- Wetzstein, N.; Kessel, J.; Bingold, T.M.; Carney, J.; Graf, C.; Koch, B.F.; Meier, F.; Baumgarten, J.; Küpper-Tetzel, C.P.; Khodamoradi, Y.; et al. High overall mortality of Mycobacterium genavense infections and impact of antimycobacterial therapy: Systematic review and individual patient data meta-analysis. J. Infect. 2022, 84, 8–16. [Google Scholar] [CrossRef]
- Hoefsloot, W.; van Ingen, J.; Peters, E.J.; Magis-Escurra, C.; Dekhuijzen, P.N.; Boeree, M.J.; van Soolingen, D. Mycobacterium genavense in the Netherlands: An opportunistic pathogen in HIV and Non-HIV immunocompromised patients. An observational study in 14 Cases. Clin. Microbiol. Infect. 2013, 19, 432–437. [Google Scholar] [CrossRef] [PubMed]
- Mahmood, M.; Ajmal, S.; Abu Saleh, O.M.; Marcelin, J.R.; Wilson, J.W. Mycobacterium genavense infections in non-HIV immunocompromised hosts: A systematic review. Infect. Dis. 2018, 50, 329–339. [Google Scholar] [CrossRef]
- Potjewijd, J.; de Paus, R.A.; van Wengen, A.; Damoiseaux, J.; Verbon, A.; van de Vosse, E. Disseminated Mycobacterium genavense infection in a patient with a novel partial interleukin-12/23 receptor β1 deficiency. Clin. Immunol. 2012, 144, 83–86. [Google Scholar] [CrossRef] [PubMed]
- Smith, D.K.; Neal, J.J.; Holmberg, S.D. Unexplained opportunistic infections and CD4+ T-lymphocytopenia without HIV infection. An investigation of cases in the United States. The Centers for Disease Control Idiopathic CD4+ T-lymphocytopenia Task Force. N. Engl. J. Med. 1993, 328, 373–379. [Google Scholar] [CrossRef] [PubMed]
- Manion, M.; Lynn, N.; Pei, L.; Hammoud, D.A.; Laidlaw, E.; Roby, G.; Metzger, D.; Mejia, Y.; Lisco, A.; Zelazny, A.; et al. To induce immune reconstitution inflammatory syndrome or suppress it: The spectrum of Mycobacterium genavense in the antiretroviral era. Clin. Infect. Dis. 2021, 72, 315–318. [Google Scholar] [CrossRef]
- Gupta, D.; Agarwal, R.; Aggarwal, A.N.; Jindal, S.K. Molecular evidence for the role of mycobacteria in sarcoidosis: A meta-analysis. Eur. Respir. J. 2007, 30, 508–516. [Google Scholar] [CrossRef] [PubMed]
- Baughman, R.P.; Teirstein, A.S.; Judson, M.A.; Rossman, M.D.; Yeager, H., Jr.; Bresnitz, E.A.; DePalo, L.; Hunninghake, G.; Iannuzzi, M.C.; Johns, C.J.; et al. Clinical characteristics of patients in a case control study of sarcoidosis. Am. J. Respir. Crit. Care Med. 2001, 164, 1885–1889. [Google Scholar] [CrossRef]


| Author, Publication Year | Age | Sex | HIV | Symptom | S 1 | C 1 | G 1 | Detecting Samples | CD4 (/µL) | Treatment | Reference Number |
|---|---|---|---|---|---|---|---|---|---|---|---|
| Furunishi et al., 2006 | 43 | M | (+) | Fever | (+) | (+) | (+) | Airway sample | 7 | RFP, EB, CAM, INH | [7] 2 |
| Saito et al., 2006; Uchino et al., 2011 | 45 | M | (−) | Fever, lymphadenopathy, hepatomegaly | (+) | (+) | (+) | Lymph node | N/A | RFP, EB, CAM, SM | [7,8] |
| Miyoshi et al., 2010 | 15 | M | (−) | Abdominal pain, lymphadenopathy | (+) | (− | (+) | Digestive tract tissue, lymph node | 298 | RFP, EB, CAM | [9] |
| Niino et al., 2011 | 26 | M | (+) | Fever, lymphadenopathy | (+) | (−) | (+) | Lymph node | 25 | RFP, EB, CAM, MFLX | [7,10] 2 |
| Abe et al., 2013 | 23 | M | (+) | Fever, cough | (+) | (+) | (+) | Digestive tract tissue, airway sample, blood | 11 | EB, AZM, LVFX | [11] |
| Koizumi et al., 2013 | 58 | M | (+) | Lymphadenopathy | (+) | (+) | (+) | Digestive tract tissue, lymph node, blood | 17 | RFB, EB, CAM | [7] 2 |
| Hoshina et al., 2014 | 44 | M | (+) | Fever, lymphadenopathy | (+) | (−) | (+) | Lymph node | 24 | RFB, EB, CAM | [7] 2 |
| Ogawa et al., 2015 | 44 | M | (+) | Fever, lymphadenopathy | (+) | (−) | (+) | Bone marrow, lymph node | 22 | RFB, EB, CAM, LVFX | [7] 2 |
| Tanaka et al., 2016 | 38 | M | (+) | Fever, abdominal pain, lymphadenopathy | (+) | (−) | (+) | Bone marrow, lymph node, stool | 25 | RFP, EB, CAM, LVFX | [12] |
| Asakura et al., 2017 | 66 | M | (−) | Abdominal pain, lymphadenopathy | (+) | (−) | (+) | Lymph node | Normal | RFP, EB, CAM, AMK | [13] |
| Yamashita et al., 2017 | 30s | M | (+) | Fever, abdominal pain, lymphadenopathy | (+) | (+) | (+) | Airway sample, stool, bone marrow, blood | 10 | RFB, EB, CAM | [14] |
| Hosoda et al., 2019 | 48 | M | (+) | Fever, lymphadenopathy | (+) | (−) | (+) | Lymph node | 3 | RFB, EB, AZM, INH, LVFX, AMK | [15] |
| Oka et al., 2020 | 69 | M | (−) | Fever, back pain | (+) | (+) | (+) | Bone marrow, blood | Normal | RFP, EB, CAM | [4] |
| Hosoda et al., 2020 | 73 | M | (−) | Hemoptysis, lymphadenopathy | (+) | (−) | (+) | Airway sample | N/A | RFP, EB, CAM | [16] |
| Ito et al., 2020 | 53 | M | (−) | Fever, lymphadenopathy, weight loss | (+) | (−) | (+) | Lymph node | 678 | RFP, EB, CAM | [17] |
| Murata et al., 2021 | 40 | M | (+) | Fever, lymphadenopathy | (+) | (+) | (+) | Lymph node, blood | 4 | RFB, EB, CAM, INH | [18] |
| Present case (Ogata et al.), 2023 | 69 | M | (−) | Fever | (+) | (−) | (+) | Bone marrow | 88 | RFP, EB, CAM, AMK |
| Age | Median: 44 years | Range: 15–73 years |
|---|---|---|
| Number | Percentage | |
| Sex | ||
| Male | 17 | 100% |
| Female | 0 | 0% |
| Underlying Conditions | ||
| HIV | 10 | 59% |
| non-HIV | 7 | 41% |
| Collagen disease | 3 | 18% |
| Positive for anti-IFN-γ antibodies | 2 | 12% |
| Hypogammaglobulinemia | 1 | 6% |
| Possibility of idiopathic CD4 lymphocytopenia | 1 | 6% |
| Unknown | 2 | 12% |
| CD4 (cells/μL) | ||
| 1–100 | 11 | 65% |
| 100–500 | 1 | 6% |
| 501+ | 3 | 18% |
| Unknown | 2 | 12% |
| Clinical manifestations | ||
| Fever | 13 | 76% |
| Lymphadenopathy | 13 | 76% |
| Abdominal pain | 4 | 24% |
| Affected organs | ||
| Lymph nodes | 11 | 65% |
| Bone marrow | 5 | 29% |
| Gastrointestinal tissue | 5 | 29% |
| Respiratory system | 4 | 24% |
| Blood | 4 | 24% |
| Tests | ||
| Smear | 17 | 100% |
| Culture | 7 | 41% |
| Genetic analysis | 17 | 100% |
| Treatment Medication | ||
| Macrolide | 17 | 100% |
| Clarithromycin | 15 | 88% |
| Azithromycin | 2 | 12% |
| Ethambutol | 17 | 100% |
| Rifamycin | 16 | 94% |
| Rifampicin | 10 | 59% |
| Rifabutin | 6 | 35% |
| Quinolone | 4 | 24% |
| Levofloxacin | 4 | 24% |
| Moxifloxacin | 1 | 6% |
| Aminoglycoside | 3 | 18% |
| Amikacin | 3 | 18% |
| Streptomycin | 1 | 6% |
| Isoniazid | 3 | 18% |
Disclaimer/Publisher’s Note: The statements, opinions and data contained in all publications are solely those of the individual author(s) and contributor(s) and not of MDPI and/or the editor(s). MDPI and/or the editor(s) disclaim responsibility for any injury to people or property resulting from any ideas, methods, instructions or products referred to in the content. |
© 2023 by the authors. Licensee MDPI, Basel, Switzerland. This article is an open access article distributed under the terms and conditions of the Creative Commons Attribution (CC BY) license (https://creativecommons.org/licenses/by/4.0/).
Share and Cite
Ogata, R.; Kido, T.; Takeda, K.; Nemoto, K.; Heima, R.; Takao, M.; Miyashita, R.; Ozasa, M.; Tokito, T.; Okuno, D.; et al. Disseminated Mycobacterium genavense Infection Mimicking Sarcoidosis: A Case Report and Review of Literature on Japanese Patients. Microorganisms 2023, 11, 2145. https://doi.org/10.3390/microorganisms11092145
Ogata R, Kido T, Takeda K, Nemoto K, Heima R, Takao M, Miyashita R, Ozasa M, Tokito T, Okuno D, et al. Disseminated Mycobacterium genavense Infection Mimicking Sarcoidosis: A Case Report and Review of Literature on Japanese Patients. Microorganisms. 2023; 11(9):2145. https://doi.org/10.3390/microorganisms11092145
Chicago/Turabian StyleOgata, Ryo, Takashi Kido, Kazuaki Takeda, Kazuki Nemoto, Riko Heima, Mami Takao, Ritsuko Miyashita, Mutsumi Ozasa, Takatomo Tokito, Daisuke Okuno, and et al. 2023. "Disseminated Mycobacterium genavense Infection Mimicking Sarcoidosis: A Case Report and Review of Literature on Japanese Patients" Microorganisms 11, no. 9: 2145. https://doi.org/10.3390/microorganisms11092145
APA StyleOgata, R., Kido, T., Takeda, K., Nemoto, K., Heima, R., Takao, M., Miyashita, R., Ozasa, M., Tokito, T., Okuno, D., Ito, Y., Yura, H., Koga, T., Hashimoto, K., Takemoto, S., Takazono, T., Ishimoto, H., Sakamoto, N., Fukuda, K., ... Mukae, H. (2023). Disseminated Mycobacterium genavense Infection Mimicking Sarcoidosis: A Case Report and Review of Literature on Japanese Patients. Microorganisms, 11(9), 2145. https://doi.org/10.3390/microorganisms11092145

