Protective and Therapeutic Effects of Lactic Acid Bacteria against Aflatoxin B1 Toxicity to Rat Organs
Abstract
1. Introduction
2. Material and Methods
2.1. Aflatoxin
2.1.1. Fungal Isolate
2.1.2. Maintaining and Storage of Isolate
2.1.3. Production, Extraction, and Determination of Aflatoxin
2.1.4. Testing of Aflatoxin Production
2.1.5. Gas Chromatography (GC) Analysis
2.1.6. High-Performance Liquid Chromatography (HPLC) Analysis
2.2. Preparation of Probiotic Inoculum
2.3. Animals
2.3.1. Experimental Design
2.3.2. Biochemical Study
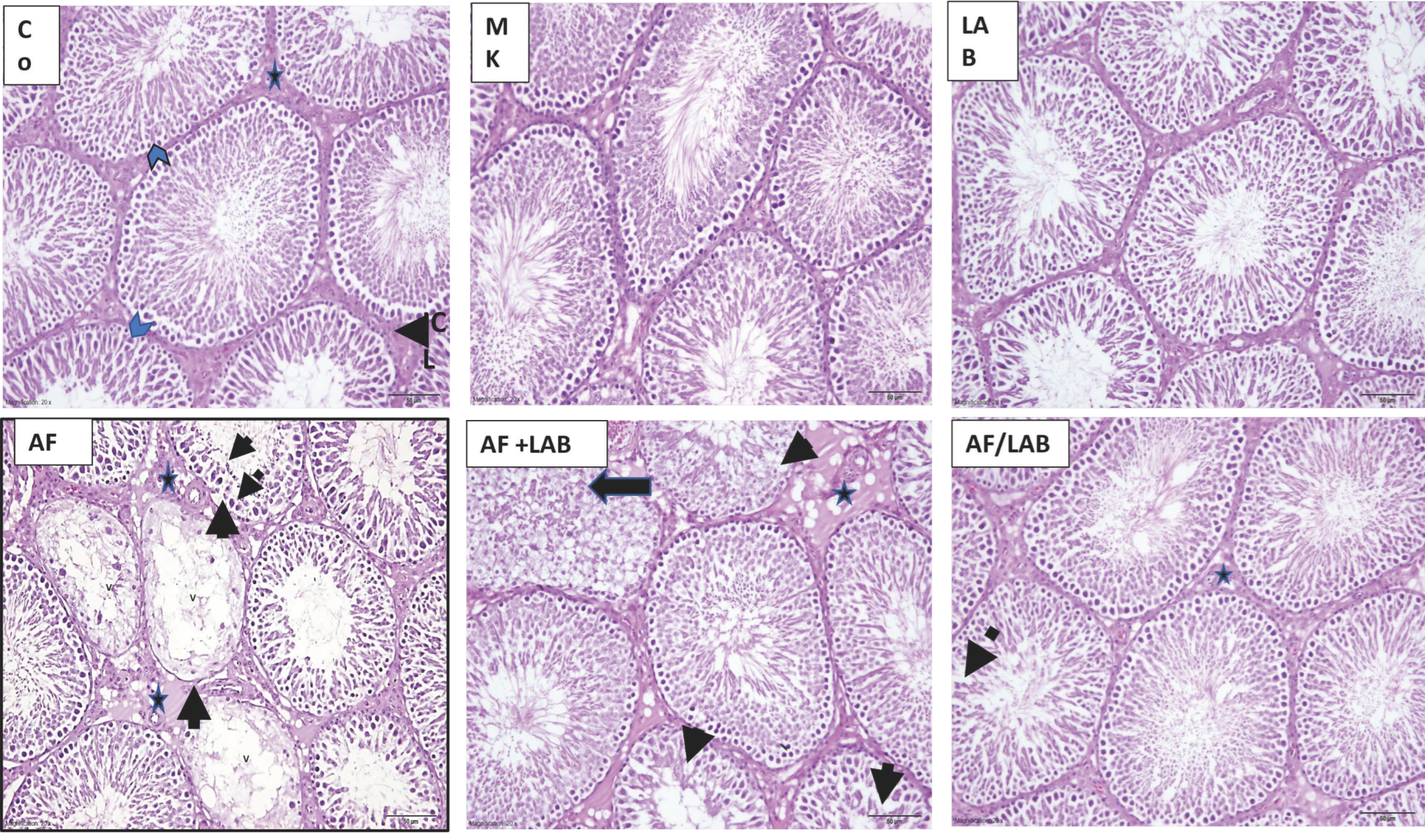
2.3.3. Histological Study
2.4. Statistical Analysis
3. Results
4. Discussion
5. Conclusions
Author Contributions
Funding
Institutional Review Board Statement
Data Availability Statement
Conflicts of Interest
References
- Shan, Y. The toxic effects of aflatoxin B1: An update. In Aflatoxin B1 Occurrence, Detection and Toxicological Effects; IntechOpen: London, UK, 2019; pp. 1–22. [Google Scholar] [CrossRef]
- Pickova, D.; Ostry, V.; Toman, J.; Malir, F. Aflatoxins: History, Significant Milestones, Recent Data on Their Toxicity and Ways to Mitigation. Toxins 2021, 13, 399. [Google Scholar] [CrossRef] [PubMed]
- Rushing, B.R.; Selim, M.I. Aflatoxin B1: A review on metabolism, toxicity, occurrence in food, occupational exposure, and detoxification methods. Food Chem. Toxicol. 2019, 124, 81–100. [Google Scholar] [CrossRef] [PubMed]
- Gao, Y.; Ye, Q.; Bao, X.; Huang, X.; Wang, J.; Zheng, N. Transcriptomic and proteomic profiling reveals the intestinal immunotoxicity induced by aflatoxin M1 and ochratoxin A. Toxicon 2020, 180, 49–61. [Google Scholar] [CrossRef]
- Misra, S.; Pandey, P.; Mishra, H.N. Novel approaches for co-encapsulation of probiotic bacteria with bioactive compounds, their health benefits and functional food product development: A review. Trends Food Sci. Technol. 2021, 109, 340–351. [Google Scholar] [CrossRef]
- Wu, J.; Zhang, Y.; Ye, L.; Wang, C. T1he anti-cancer effects and mechanisms of lactic acid bacteria exopolysaccharides in vitro: A review. Carbohydr. Polym. 2020, 253, 117308. [Google Scholar] [CrossRef] [PubMed]
- Aween, M.M.; Hassan, Z.; Muhialdin, B.J.; Noor, H.M.; Eljamel, Y.A. Evaluation on Antibacterial Activity of Lactobacillus acidophilus Strains Isolated from Honey. Am. J. Appl. Sci. 2012, 9, 807–817. [Google Scholar] [CrossRef]
- Rämö, S.; Kahala, M.; Joutsjoki, V. Aflatoxin B1 Binding by Lactic Acid Bacteria in Protein-Rich Plant Material Fermentation. Appl. Sci. 2022, 12, 12769. [Google Scholar] [CrossRef]
- Jebali, R.; Abbès, S.; Ben Salah-Abbès, J.; Ben Younes, R.; Haous, Z.; Oueslati, R. Ability of Lactobacillus plantarum MON03 to mitigate aflatoxins (B1and M1) immunotoxicities in mice. J. Immunotoxicol. 2015, 12, 290–299. [Google Scholar] [CrossRef] [PubMed]
- Abbès, S.; Ben Salah-Abbès, J.; Jebali, R.; Ben Younes, R.; Oueslati, R. Interaction of aflatoxin B1and fumonisin B1in mice causes immunotoxicity and oxidative stress: Possible protective role using lactic acid bacteria. J. Immunotoxicol. 2016, 13, 46–54. [Google Scholar] [CrossRef]
- Sundaram, B.; Krishnamurthy, R.; Subramanian, S. Aflatoxin-producing fungi in stored paddy. Proc. Plant Sci. 1988, 98, 291–297. [Google Scholar] [CrossRef]
- Fakruddin; Chowdhury, A.; Hossain, N.; Ahmed, M.M. Characterization of aflatoxin producing Aspergillus flavus from food and feed samples. Springerplus 2015, 4, 159. [Google Scholar] [CrossRef] [PubMed]
- Sreekanth, D.; Sushim, G.; Syed, A.; Khan, B.; Ahmad, A. Molecular and Morphological Characterization of a Taxol-Producing Endophytic Fungus, Gliocladium sp., from Taxus baccata. Mycobiology 2011, 39, 151–157. [Google Scholar] [CrossRef] [PubMed]
- Nielsen, K.F.; Smedsgaard, J. Fungal metabolite screening: Database of 474 mycotoxins and fungal metabolites for dereplication by standardised liquid chromatography–UV–mass spectrometry methodology. J. Chromatogr. A 2003, 1002, 111–136. [Google Scholar] [CrossRef] [PubMed]
- Schmitz, N.; Laverty, S.; Kraus, V.B.; Aigner, T. Basic methods in histopathology of joint tissues. Osteoarthr. Cartil. 2010, 18 (Suppl. S3), S113–S116. [Google Scholar] [CrossRef]
- Bertrand, S.; Schumpp, O.; Bohni, N.; Bujard, A.; Azzollini, A.; Monod, M.; Gindro, K.; Wolfender, J.-L. Detection of metabolite induction in fungal co-cultures on solid media by high-throughput differential ultra-high pressure liquid chromatography–time-of-flight mass spectrometry fingerprinting. J. Chromatogr. A 2013, 1292, 219–228. [Google Scholar] [CrossRef]
- Saito, M.; Machida, S. A rapid identification method for aflatoxin-producing strains of Aspergillus flavus and A. parasiticus by ammonia vapor. Mycoscience 1999, 40, 205–208. [Google Scholar] [CrossRef]
- Elbanna, K.; El Hadad, S.; Assaeedi, A.; Aldahlawi, A.; Khider, M.; Alhebshi, A. In vitro and in vivo evidences for innate immune stimulators lactic acid bacterial starters isolated from fermented camel dairy products. Sci. Rep. 2018, 8, 12553. [Google Scholar] [CrossRef]
- Hathout, A.S.; Mohamed, S.R.; El-Nekeety, A.A.; Hassan, N.S.; Aly, S.E.; Abdel-Wahhab, M.A. Ability of Lactobacillus casei and Lactobacillus reuteri to protect against oxidative stress in rats fed aflatoxins-contaminated diet. Toxicon 2011, 58, 179–186. [Google Scholar] [CrossRef] [PubMed]
- Yilmaz, S.; Kaya, E.; Karaca, A.; Karatas, O. Aflatoxin B1 induced renal and cardiac damage in rats: Protective effect of lycopene. Res. Veter. Sci. 2018, 119, 268–275. [Google Scholar] [CrossRef]
- Corrin, B. Carleton’s histological technique. J. Clin. Pathol. 1981, 34, 572. [Google Scholar] [CrossRef]
- Bbosa, G.S.; Kitya, D.; Lubega, A.; Ogwal-Okeng, J.; Anokbonggo, W.W.; Kyegombe, D.B. Review of the biological and health effects of aflatoxins on body organs and body systems. Aflatoxins-Recent Adv. Future Prospect. 2013, 12, 239–265. [Google Scholar] [CrossRef]
- Pandey, K.R.; Naik, S.R.; Vakil, B.V. Probiotics, prebiotics and synbiotics—A review. J. Food Sci. Technol. 2015, 52, 7577–7587. [Google Scholar] [CrossRef] [PubMed]
- Ramamurthy, V.; Rajakumar, R. Studies on Ethanolic Leaf Extract of Phyllanthus Niruri and Its EFFECT on Aflatoxin Intoxicated Male Albino Rats. Int. J. Zool. Appl. Biosci. 2016, 1, 1–6. [Google Scholar]
- Khaled, M.Q.; Thalij, K.M. Effect of Aflatoxin B1 Contaminated Corn and Their Products on Some Physiology Parameters in Laboratory Rats. IOP Conf. Ser. Earth Environ. Sci. 2021, 910, 012103. [Google Scholar] [CrossRef]
- Perdigón, G.; Fuller, R.; Raya, R. Lactic acid bacteria and their effect on the immune system. Curr. Issues Intest. Microbiol. 2001, 2, 27–42. [Google Scholar] [PubMed]
- Tran, V.N.; Viktorová, J.; Ruml, T. Mycotoxins: Biotransformation and Bioavailability Assessment Using Caco-2 Cell Monolayer. Toxins 2020, 12, 628. [Google Scholar] [CrossRef] [PubMed]
- Adilah, Z.N.; Liew, W.-P.-P.; Redzwan, S.M.; Amin, I. Effect of High Protein Diet and Probiotic Lactobacillus casei Shirota Supplementation in Aflatoxin B1-Induced Rats. BioMed. Res. Int. 2018, 2018, 9568351. [Google Scholar] [CrossRef]
- Ghofrani Tabari, D.; Kermanshahi, H.; Golian, A.; Majidzadeh Heravi, R. In vitro binding potentials of bentonite, yeast cell wall and lactic acid bacteria for aflatoxin B1 and ochratoxin A. Iran. J. Toxicol. 2018, 12, 7–13. [Google Scholar] [CrossRef]
- Wells, J.M. Immunomodulatory mechanisms of Lactobacilli. Microb. Cell Fact. 2011, 10 (Suppl. S1), S17. [Google Scholar] [CrossRef]
- Sadiq, F.A.; Yan, B.; Tian, F.; Zhao, J.; Zhang, H.; Chen, W. Lactic Acid Bacteria as Antifungal and Anti-Mycotoxigenic Agents: A Comprehensive Review. Compr. Rev. Food Sci. Food Saf. 2019, 18, 1403–1436. [Google Scholar] [CrossRef]
- Nasrabadi, E.N.; Jamaluddin, R.; Mutalib, M.A.; Khaza’Ai, H.; Khalesi, S.; Redzwan, S.M. Reduction of aflatoxin level in aflatoxin-induced rats by the activity of probiotic Lactobacillus casei strain Shirota. J. Appl. Microbiol. 2013, 114, 1507–1515. [Google Scholar] [CrossRef] [PubMed]
- Sherif, S.O.; Salama, E.E.; Abdel-Wahhab, M.A. Mycotoxins and child health: The need for health risk assessment. Int. J. Hyg. Environ. Health 2009, 212, 347–368. [Google Scholar] [CrossRef] [PubMed]
- Abdel-Wahhab, M.; Kholif, A. Mycotoxins in animal feeds and prevention strategies: A review. Asian J. Anim. Sci. 2010, 4, 113–131. [Google Scholar] [CrossRef]
- Wang, L. The significance of Cys-C UREA and Scr tests in early renal damage assessment of acute glomerulonephritis. Labeled Immunoass. Clin. Med. 2017, 4, 422–424. [Google Scholar]
- Solbu, M.D.; Norvik, J.V.; Storhaug, H.-M.; Eriksen, B.O.; Melsom, T.; Eggen, A.E.; Zykova, S.N.; Kronborg, J.B.; Jenssen, T.G. The Association between Adiponectin, Serum Uric Acid and Urinary Markers of Renal Damage in the General Population: Cross-Sectional Data from the Tromsø Study. Kidney Blood Press. Res. 2016, 41, 623–634. [Google Scholar] [CrossRef]
- Olonisakin, O.; Ogidi, C.; Jeff-Agboola, Y.; Akinyele, B. Histopathological studies on kidney and liver of albino rat infected with toxigenic Aspergillus flavus after treatment with isolated Lactobacillus species from Kunu. Afr. J. Clin. Exp. Microbiol. 2019, 20, 87–94. [Google Scholar] [CrossRef]
- Abdel-Wahhab, M.; Nada, S.; Khalil, F. Physiological and toxicological responses in rats fed aflatoxin-contaminated diet with or without sorbent materials. Anim. Feed. Sci. Technol. 2002, 97, 209–219. [Google Scholar] [CrossRef]
- El-Mahalaway, A.M. Protective effect of curcumin against experimentally induced aflatoxicosis on the renal cortex of adult male albino rats: A histological and immunohisochemical study. Int. J. Clin. Exp. Pathol. 2015, 8, 6019–6030. [Google Scholar]
- Śliżewska, K.; Cukrowska, B.; Smulikowska, S.; Cielecka-Kuszyk, J. The Effect of Probiotic Supplementation on Performance and the Histopathological Changes in Liver and Kidneys in Broiler Chickens Fed Diets with Aflatoxin B1. Toxins 2019, 11, 112. [Google Scholar] [CrossRef]
- Awad, W.; Ghareeb, K.; Abdel-Raheem, S.; Böhm, J. Effects of dietary inclusion of probiotic and synbiotic on growth performance, organ weights, and intestinal histomorphology of broiler chickens. Poult. Sci. 2009, 88, 49–56. [Google Scholar] [CrossRef]
- Liżewska, K.; Smulikowska, S. Detoxification of aflatoxin B. J. Anim. Feed. Sci. 2011, 20, 300–309. [Google Scholar]
- Yener, Z.; Celik, I.; Ilhan, F.; Bal, R. Effects of Urtica dioica L. seed on lipid peroxidation, antioxidants and liver pathology in aflatoxin-induced tissue injury in rats. Food Chem. Toxicol. 2009, 47, 418–424. [Google Scholar] [CrossRef]
- Gelderblom, W.; Marasas, W.; Lebepe-Mazur, S.; Swanevelder, S.; Vessey, C.; Hall, P.D.L.M. Interaction of fumonisin B1 and aflatoxin B1 in a short-term carcinogenesis model in rat liver. Toxicology 2002, 171, 161–173. [Google Scholar] [CrossRef]
- Rotimi, O.A.; Rotimi, S.O.; Duru, C.U.; Ebebeinwe, O.J.; Abiodun, A.O.; Oyeniyi, B.O.; Faduyile, F.A. Acute aflatoxin B1—Induced hepatotoxicity alters gene expression and disrupts lipid and lipoprotein metabolism in rats. Toxicol. Rep. 2017, 4, 408–414. [Google Scholar] [CrossRef]
- Salminen, S.; Nybom, S.; Meriluoto, J.; Collado, M.C.; Vesterlund, S.; El-Nezami, H. Interaction of probiotics and pathogens—Benefits to human health? Curr. Opin. Biotechnol. 2010, 21, 157–167. [Google Scholar] [CrossRef] [PubMed]
- Kodali, V.P.; Sen, R. Antioxidant and free radical scavenging activities of an exopolysaccharide from a probiotic bacterium. Biotechnol. J. 2008, 3, 245–251. [Google Scholar] [CrossRef] [PubMed]
- Liu, C.-F.; Pan, T.-M. In vitro effects of lactic acid bacteria on cancer cell viability and antioxidant activity. J. Food Drug Anal. 2010, 18, 8. [Google Scholar] [CrossRef]
- Kullisaar, T.; Zilmer, M.; Mikelsaar, M.; Vihalemm, T.; Annuk, H.; Kairane, C.; Kilk, A. Two antioxidative lactobacilli strains as promising probiotics. Int. J. Food Microbiol. 2002, 72, 215–224. [Google Scholar] [CrossRef]
- Saide, J.; Gilliland, S. Antioxidative Activity of Lactobacilli Measured by Oxygen Radical Absorbance Capacity. J. Dairy Sci. 2005, 88, 1352–1357. [Google Scholar] [CrossRef]
- Mary, V.S.; Theumer, M.G.; Arias, S.L.; Rubinstein, H.R. Reactive oxygen species sources and biomolecular oxidative damage induced by aflatoxin B1 and fumonisin B1 in rat spleen mononuclear cells. Toxicology 2012, 302, 299–307. [Google Scholar] [CrossRef]
- Morris, S.M.; Aidoo, A.; Chen, J.J.; Chou, M.W.; Casciano, D.A. Aflatoxin B1-induced Hprt mutations in splenic lymphocytes of Fischer 344 rats.: Results of an intermittent feeding trial. Mutat. Res. Fundam. Mol. Mech. Mutagen. 1999, 423, 33–38. [Google Scholar] [CrossRef] [PubMed]
- Sabourin, P.J.; Price, J.A.; Casbohm, S.L.; Perry, M.R.; Tuttle, R.S.; Rogers, J.V.; Rowell, K.S.; Estep, J.E.; Sabourin, C.L. Evaluation of Acute Immunotoxicity of Aerosolized Aflatoxin B1in Female C57BL/6N Mice. J. Immunotoxicol. 2006, 3, 11–20. [Google Scholar] [CrossRef] [PubMed]
- Omar, N. Effect of some aflatoxins on a lymphatic organ (spleen) of male albino rats (histopathological study). Egypt. J. Hosp. Med. 2012, 48, 357–367. [Google Scholar] [CrossRef]
- Hinton, D.M.; Myers, M.J.; Raybourne, R.A.; Francke-Carroll, S.; Sotomayor, R.E.; Shaddock, J.; Warbritton, A.; Chou, M.W. Immunotoxicity of Aflatoxin B1 in Rats: Effects on Lymphocytes and the Inflammatory Response in a Chronic Intermittent Dosing Study. Toxicol. Sci. 2003, 73, 362–377. [Google Scholar] [CrossRef]
- Ortatatli, M.; Oğuz, H.; Hatipoğlu, F.; Karaman, M. Evaluation of pathological changes in broilers during chronic aflatoxin (50 and 100 ppb) and clinoptilolite exposure. Res. Veter. Sci. 2005, 78, 61–68. [Google Scholar] [CrossRef]
- Kudayer, A.M.; Alsandaqchi, A.T.; Saleh, F.M.; Alwan, N.A. Toxic Effect of Aflatoxin B1 on Heart, Lung, and Testis of Male Albino Rats: Histopathology Study. IOP Conf Ser. Mater. Sci. Eng. 2019, 571, 012055. [Google Scholar] [CrossRef]
- Nair, A.; Verma, R. Effect of aflatoxin on histoarchitecture of testis of male mouse and its amelioration by vitamin E. Indian J. Toxicol. 2000, 7, 452–460. [Google Scholar]
- Murad, A.F.; Ahmed, S.; Abead, S. Toxicity Effect of Aflatoxin B1 on Reproductive System of Albino Male Rats. Pak. J. Biol. Sci. 2015, 18, 107–114. [Google Scholar] [CrossRef]
- Deabes, M.M.; Darwish, H.R.; Abdel-Aziz, K.B.; Farag, I.M.; Nada, S.A.; Tawfek, N.S. Protective effects of Lactobacillus rhamnosus GG on Aflatox-ins-induced toxicities in male Albino Mice. J. Environ. Anal. Toxicol. 2012, 2, 2–9. [Google Scholar]
- Faridha, A.F.K.; Akbarsha, M.A. Duration-dependent histopathological and histometric changes in the testis of aflatoxin B1-treated mice. J. Endocrinol. Reprod. 2006, 1, 117–133. [Google Scholar]
- Faridha, A.; Faisal, K.; Akbarsha, M.A. Aflatoxin treatment brings about generation of multinucleate giant spermatids (symplasts) through opening of cytoplasmic bridges: Light and transmission electron microscopic study in Swiss mouse. Reprod. Toxicol. 2007, 24, 403–408. [Google Scholar] [CrossRef] [PubMed]
- Agnes, V.; Akbarsha, M. Pale vacuolated epithelial cells in epididymis of aflatoxin-treated mice. Reproduction 2001, 122, 629–641. [Google Scholar] [CrossRef] [PubMed]
- Agnes, V.; Akbarsha, M. Spermatotoxic effect of aflatoxin B1 in the albino mouse. Food Chem. Toxicol. 2003, 41, 119–130. [Google Scholar] [CrossRef] [PubMed]
- Braat, H.; Brande, J.V.D.; van Tol, E.; Hommes, D.; Peppelenbosch, M.; van Deventer, S. Lactobacillus rhamnosus induces peripheral hyporesponsiveness in stimulated CD4+ T cells via modulation of dendritic cell function. Am. J. Clin. Nutr. 2004, 80, 1618–1625. [Google Scholar] [CrossRef] [PubMed]
- Bravo, M.; Combes, T.; Martinez, F.O.; Cerrato, R.; Rey, J.; Garcia-Jimenez, W.; Fernandez-Llario, P.; Risco, D.; Gutierrez-Merino, J. Lactobacilli Isolated from Wild Boar (Sus scrofa) Antagonize Mycobacterium bovis Bacille Calmette-Guerin (BCG) in a Species-Dependent Manner. Front. Microbiol. 2019, 10, 1663. [Google Scholar] [CrossRef]




| Variables | Control | MK | LAB | AF | AF + LAB | AF/LAB |
|---|---|---|---|---|---|---|
| RBCs (×106/UL) | 9.12 ± 0.19 | 9.33 †** ± 0.09 | 9.02 ± 0.12 | 8.44 ± 0.21 * | 8.32 ‡** ± 0.05 | 9.37 †*** ± 0.13 |
| Hemoglobin (g/dL) | 15.64 ± 0.30 | 15.84 ± 0.33 | 15.72 ± 0.34 | 16.36 ± 0.38 | 15.50 ± 0.18 | 15.96 ± 0.25 |
| Hematocrit (%) | 47.30 ± 1.12 | 48.34 ± 1.10 | 47.34 ± 0.82 | 49.42 ± 1.13 | 45.70 ± 0.41 | 48.94 ± 0.75 |
| MCV (fL) | 51.86 ± 0.22 | 51.84 ± 1.00 | 53.10 ± 1.32 | 51.26 ± 0.84 | 52.26 ± 0.50 | 54.94 ± 0.39 †* |
| MCH (pg/dL) | 17.14 ± 0.11 | 16.26 ± 0.61 | 17.38 ± 0.39 | 17.10 ± 0.08 | 17.96 ± 0.42 | 17.02 ± 0.12 |
| MCHC (g/dL) | 33.06 ± 0.23 | 32.80 ± 0.17 | 33.20 ± 0.13 | 33.10 ± 0.31 | 32.42 ± 0.24 | 33.90 ± 0.09 |
| Platelets (×103/UL) | 1064.40 ± 10.73 | 1073.80 ± 15.02 | 1085.80 ± 23.26 | 1044.80 ± 11.54 | 1099.20 ± 12.86 | 1039.20 ± 9.67 |
| Variables | Control | MK | LAB | AF | AF + LAB | AF/LAB |
|---|---|---|---|---|---|---|
| WBCs (×103/UL) | 15.01 ± 0.61 | 18.61 ± 1.87 | 16.47 †** ± 0.70 | 22.27 ‡*** ± 1.28 | 19.31 ± 0.75 | 16.35 †** ± 0.86 |
| Lymphocytic count (×103/UL) | 12.25 ± 0.37 | 12.39 ± 0.37 †** | 12.10 ± 0.39 †* | 9.20 ‡** ± 0.28 | 14.09 †*** ± 0.99 | 11.51 ± 0.62 |
| Neutrophil count (×103/UL) | 2.53 ± 0.17 | 2.44 †*** ± 0.19 | 2.49 †*** ± 0.08 | 4.13 ‡*** ± 0.25 | 3.08 ± 0.32 | 3.15 ± 0.35 |
| Monocyte count (×103/UL) | 1.53 ± 0.06 | 1.41 †*** ± 0.09 | 1.57 †*** ± 0.15 | 4.58 ± 0.33 ‡*** | 2.41 ‡*/†*** ± 0.18 | 2.50 ‡**/†*** ± 0.12 |
| Eosinophil count (×103/UL) | 0.77 ± 0.06 | 0.52 ± 0.07 | 0.72 †*** ± 0.09 | 0.28 ‡*** ± 0.02 | 0.27 ‡*** ± 0.03 | 0.46 ‡** ± 0.02 |
| Basophil count (×103/UL) | 0.04 ± 0.004 | 0.05 ± 0.005 | 0.04 ± 0.004 | 0.04 ± 0.005 | 0.05 ± 0.002 | 0.04 ± 0.007 |
| Variables | Control | MK | LAB | AF | AF + LAB | AF/LAB |
|---|---|---|---|---|---|---|
| Urea (mg/dL) | 18.08 ± 1.27 | 17.58 †*** ± 1.09 | 17.98 †*** ± 0.82 | 23.74 ‡*** ± 0.42 | 17.58 †*** ± 0.47 | 16.60 †*** ± 0.45 |
| Creatinine (mg/dL) | 0.20 ± 0.01 | 0.20 †*** ± 0.01 | 0.20 †*** ± 0.01 | 0.33 ‡*** ± 0.01 | 0.22 †*** ± 0.01 | 0.21 †*** ± 0.01 |
| Uric acid (mg/dL) | 1.56 ± 0.07 | 1.52 †*** ± 0.11 | 1.66 †*** ± 0.02 | 0.76 ‡*** ± 0.06 | 1.06 †/‡*** ± 0.04 †/‡*** | 1.26 ‡**/†*** ± 0.09 |
| Variables | Control | MK | LAB | AF | AF + LAB | AF/LAB |
|---|---|---|---|---|---|---|
| AST (U/L) | 111.74 ± 3.40 | 110.86 †*** ± 2.72 | 111.06 †*** ± 0.97 | 152.14 ‡*** ± 2.79 | 109.52 †*** ± 1.19 | 106.76 †*** ± 1.31 |
| ALT (U/L) | 78.12 ± 2.30 | 81.68 †*** ± 1.67 | 77.08 †*** ± 3.15 | 122.84 ‡*** ± 3.39 | 80.58 †*** ± 4.94 | 75.32 †*** ± 1.03 |
| ALP (U/L) | 75.40 ± 3.52 | 81.80 †*** ± 4.68 | 69.80 †*** ± 5.54 | 186.20 ‡*** ± 4.18 | 101.80 †/‡*** ± 3.43 | 100.60 †/‡*** ± 2 |
| Total proteins (mg/dL) | 5.49 ± 0.35 | 5.38 †*** ± 0.22 | 5.13 †*** ± 0.39 | 3.84 ‡*** ± 0.23 | 5.43 †*** ± 0.15 | 5.44 †*** ± 0.32 |
| Albumin (g/dL) | 3.55 ± 0.17 | 3.58 †*** ± 0.10 | 3.20 †*** ± 0.23 | 1.43 ‡*** ± 0.11 | 3.20 †*** ± 0.06 | 3.45 †*** ± 0.14 |
| Bilirubin (mg/dL) | 0.03 ± 0.01 | 0.03 †** ± 0.01 | 0.03 †** ± 0.01 | 0.05 ‡*** ± 0.002 | 0.03 †** ± 0.002 | 0.03 †** ± 0.002 |
| Variables | Control | MK | LAB | AF | AF + LAB | AF/LAB |
|---|---|---|---|---|---|---|
| LDH (mg/dL) | 226.60 ± 3.31 | 238.40 †*** ± 7.39 | 244.00 †*** ± 8.14 | 463.80 ‡*** ± 10.77 | 336.80 †/‡*** ± 5.29 | 336.80 †/‡*** ± 6.92 |
| CK (IU/L) | 211.40 ± 6.13 | 202.00 †*** ± 6.57 | 199.80 †*** ± 3.01 | 385.40 ‡*** ± 3.53 | 285.80 †/‡*** ± 4.01 | 232.80 ‡**/†*** ± 3.89 |
Disclaimer/Publisher’s Note: The statements, opinions and data contained in all publications are solely those of the individual author(s) and contributor(s) and not of MDPI and/or the editor(s). MDPI and/or the editor(s) disclaim responsibility for any injury to people or property resulting from any ideas, methods, instructions or products referred to in the content. |
© 2023 by the authors. Licensee MDPI, Basel, Switzerland. This article is an open access article distributed under the terms and conditions of the Creative Commons Attribution (CC BY) license (https://creativecommons.org/licenses/by/4.0/).
Share and Cite
Ashi, H.; Almalki, M.H.K.; Hamed, E.A.; Ramadan, W.S.; Alahmadi, T.F.H.; Alami, O.T.; Arafa, S.H.; Alshareef, A.K.; Alsulami, F.S.; Alharbi, A.F.; et al. Protective and Therapeutic Effects of Lactic Acid Bacteria against Aflatoxin B1 Toxicity to Rat Organs. Microorganisms 2023, 11, 1703. https://doi.org/10.3390/microorganisms11071703
Ashi H, Almalki MHK, Hamed EA, Ramadan WS, Alahmadi TFH, Alami OT, Arafa SH, Alshareef AK, Alsulami FS, Alharbi AF, et al. Protective and Therapeutic Effects of Lactic Acid Bacteria against Aflatoxin B1 Toxicity to Rat Organs. Microorganisms. 2023; 11(7):1703. https://doi.org/10.3390/microorganisms11071703
Chicago/Turabian StyleAshi, Hayat, Meshal H. K. Almalki, Enas A. Hamed, Wafaa S. Ramadan, Tahani F. H. Alahmadi, Outour Tariq Alami, Sara H. Arafa, Atheer K. Alshareef, Fatimah S. Alsulami, Areej F. Alharbi, and et al. 2023. "Protective and Therapeutic Effects of Lactic Acid Bacteria against Aflatoxin B1 Toxicity to Rat Organs" Microorganisms 11, no. 7: 1703. https://doi.org/10.3390/microorganisms11071703
APA StyleAshi, H., Almalki, M. H. K., Hamed, E. A., Ramadan, W. S., Alahmadi, T. F. H., Alami, O. T., Arafa, S. H., Alshareef, A. K., Alsulami, F. S., Alharbi, A. F., Al-Harbi, M. S., Alqurashi, E. H., Aashi, S., Alzahrani, Y. A., Elbanna, K., & Abulreesh, H. H. (2023). Protective and Therapeutic Effects of Lactic Acid Bacteria against Aflatoxin B1 Toxicity to Rat Organs. Microorganisms, 11(7), 1703. https://doi.org/10.3390/microorganisms11071703

