Experimental Studies of the Liposomal Form of Lytic Mycobacteriophage D29 for the Treatment of Tuberculosis Infection
Abstract
1. Introduction
2. Materials and Methods
2.1. Production of Mycobacteriophage D29
2.2. Development and Determination of Biological Activity of Lytic Mycobacteriophage D29
2.3. Obtaining a Concentrated Highly Purified Preparation of Mycobacteriophage D29
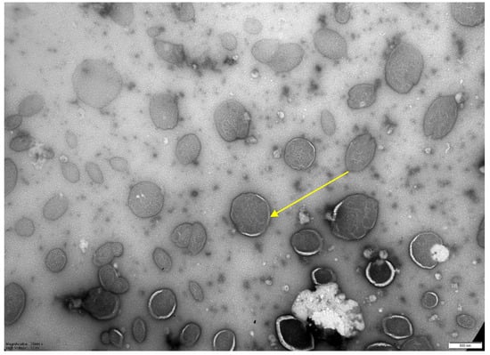
2.4. Obtaining a Liposomal Preparation of Mycobacteriophage D29 by Extrusion with a Liposome Diameter of 0.45 and 0.8 Microns
2.5. Obtaining a Liposomal Preparation of Mycobacteriophage Based on Chromatography on a Sephadex G-75 Column
2.6. Obtaining Tuberculous Granuloma In Vitro, Formed by Human Blood Mononuclear Cells
3. Results and Discussion
3.1. Manufacturing a Liposomal Preparation of Mycobacteriophage D29
3.2. Formation of a Human Granuloma by Blood Mononuclear Cells In Vitro and Results Analysis Antimycobacterial Efficiency Liposomal
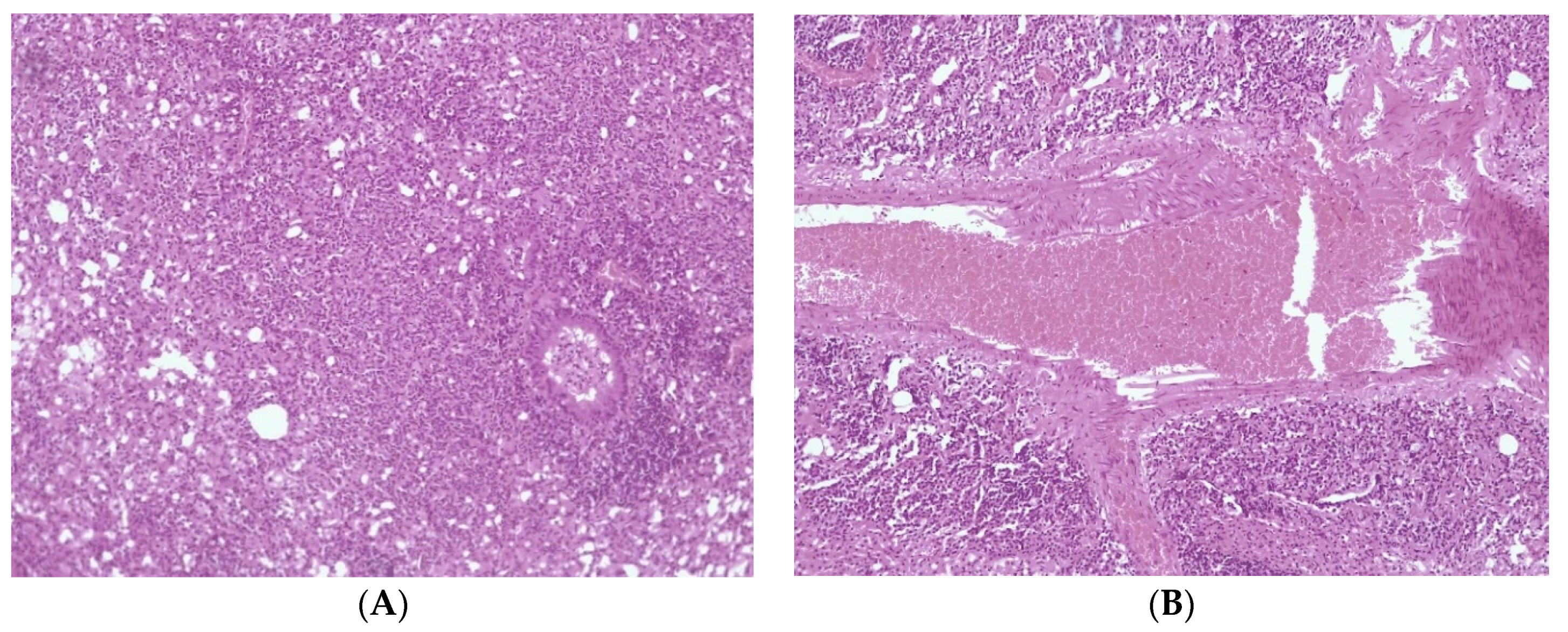
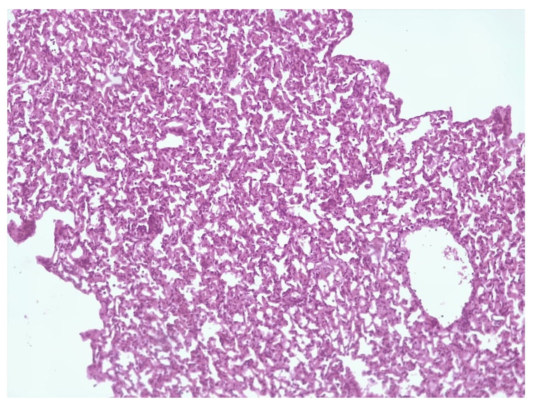
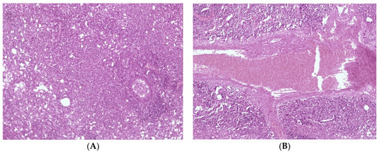
3.3. Studies of the Antimycobacterial Activity of the Liposomal Preparation of Mycobacteriophage D29 on Laboratory Mice of the C57BL/6 Strain
4. Conclusions and Short Discussion
- We believe that in this work, for the first time on an experimental model of laboratory animals with developed tuberculosis infection, the high efficiency of using the liposomal form of lytic mycobacteriophages in short–term (three days) endobronchial (endonasal on inspiration) administration was proved.
- Possible questions about the toxicity of such a drug are planned to be resolved as part of the forthcoming studies on the acute and chronic toxicity of our drug on laboratory animals in the near future. We believe that the success of treatment described in the well-known study using a combination of lytic mycobacteriophages to treat a lung transplant girl infected with drug-resistant M. abscessus infection [7] suggests minimal toxicity of specific lytic mycobacteriophages in their clinical use.
- We believe that a liposomal preparation of lytic mycobacteriophages in the future can be administered to patients with tuberculosis into the bronchial system through a bronchoscope. However, the possibilities of inhalation administration are also discussed [24].
- It also planned to conduct a comparative study of the effectiveness of liposomal preparation of the lytic mycobacteriophages and a combination of the most well-known and effective antibiotics for the treatment of tuberculosis.
Author Contributions
Funding
Institutional Review Board Statement
Data Availability Statement
Conflicts of Interest
References
- World Health Organization. Global Tuberculosis Report; World Health Organization: Geneva, Switzerland, 2020.
- World Health Organization. Implementing Tuberculosis Diagnostics: A Policy Framework; World Health Organization: Geneva, Switzerland, 2020; WHO/HTM/TB.
- Lange, C.; Chesov, D.; Jon, H.; Leung, C.C.; Udwadia, Z.; Dheda, K. Drug resistant tuberculosis; An update on diseases burden diagnosis and treatment. Respirology 2018, 23, 256–673. [Google Scholar] [CrossRef] [PubMed]
- Hatfull, G.F. Mycobacteriophages: Windows into tuberculosis. PLoS Pathog. 2014, 10, e1003953. [Google Scholar] [CrossRef] [PubMed]
- Hatfull, G.F. Mycobacteriophages. Microbiol. Spectr. 2018, 6, 1–48. [Google Scholar] [CrossRef] [PubMed]
- Hatfull, G.F. Mycobacteriophages: From Petri dish to patient. PLoS Pathog. 2022, 18, e1010602. [Google Scholar] [CrossRef] [PubMed]
- Abrar Senhagi-Kacha, J.E.; Garcia-Quintanilla, M. Considerations for phage therapy against Mycobacterium abscessus. Front. Microbiol. 2021, 11, 609017. [Google Scholar] [CrossRef]
- Allue-Guardia, A.; Saranathan, R.; Chan, J.; Torreles, J. Mycobacteriophages as a potential therapeutic agents drug resistant tuberculosis. Int. J. Mol. Sci. 2021, 22, 735. [Google Scholar] [CrossRef]
- Azimi, T.; Mosadegh, T.; Nasiri, M.; Sabour, S.; Karimaei, S.; Nasser, A. Phage therapy as a renewed therapeutic approach to mycobacterial infections: A comprehensive review. Int. Drug Resist. 2019, 12, 2943–2959. [Google Scholar] [CrossRef]
- Diacon, A.; Guerrero-Bustamante, C.; Rosenkrants, B.; Rubio Pomar, F.J.; Vanker, N.; Hatfull, G.F. Mycobacteriophage to treat tuberculosis. Dream or delusion? Respiration 2022, 101, 1–15. [Google Scholar] [CrossRef]
- Zeynali, K.F.; Susan, K.; Fatemeh, F.; Sarabi, H.S.; Nikkhahi, F. Bacteriophages of Mycobacterium tuberculosis, their diversity, and potential therapeutic uses: A review. BMC Infect. Dis. 2022, 22, 957. [Google Scholar]
- Pires, D.P.; Costa, A.R.; Pinto, G.; Meneses, L.; Azeredo, J. Current challenges and future opportunities of phage therapy. FEMS Microbiol. Rev. 2020, 44, 684–700. [Google Scholar] [CrossRef]
- Hosseiniporgham, S.; Leonardo, A.S. A Review on Mycobacteriophages: From Classification to Applications. Pathogens 2012, 50, 754–761. [Google Scholar] [CrossRef] [PubMed]
- Sliwka, P.; Ochocka, M.; Skaradzinska, A. Application of bacteriophages against intracellular bacteria. Crit. Rev. Microbiol. 2022, 48, 222–239. [Google Scholar] [CrossRef]
- Ford, M.E.; Sarkis, G.J.; Belanger, A.E.; Hatfull, G.F.; Hendrix, R.W.; Hatfull, G.F. Genome Structure of Mycobacteriophage D29: Implications for Phage Evolution. J. Mol. Biol. 1998, 279, 143–164. [Google Scholar] [CrossRef] [PubMed]
- Pholwat, S.; Ehdaie, B.; Foongladda, S.; Kelly, K.; Houpt, E. Real-time PCR using mycobacteriophage DNA for rapid phenotypic drug susceptibility results for Mycobacterium tuberculosis. J. Clin. Microbiol. 2012, 50, 754–761. [Google Scholar] [CrossRef] [PubMed]
- Guerrero-Bustamante, C.A.; Dedrick, R.M.; Garlena, R.A.; Russell, D.A.; Hatfull, G.F. Toward a Phage Cocktail for Tuberculosis: Susceptibility and Tuberculocidal Action of Mycobacteriophages against Diverse Mycobacterium tuberculosis Strains. mBio 2021, 12, e00973-21. [Google Scholar] [CrossRef] [PubMed]
- Ferreira, M.; Ogren, M.; Dias, J.; Silva, M.; Gil, S.; Tavares, L.; Aires-Da-Silva, F.; Gaspar, M.M.; Aguiar, S.I. Liposomes as antibiotic delivery systems: A promising nanotechnological strategy against antimicrobial resistance. Molecules 2021, 26, 2047. [Google Scholar] [CrossRef]
- Lapenkova, M.B.; Smirnova, N.S.; Rutkevich, P.N.; Vladimirsky, M.A. Study of the activity of lytic mycobacteriophage D29 on the model of a propagated line of macrophages infected with Mycobacterium tuberculosis. Bull. Exp. Biol. Med. 2017, 164, 326–329. [Google Scholar]
- Lapenkova, M.B.; Alyapkina, Y.S.; Vladimirsky, M.A. Bactericidal activity Liposomal form of lytic mycobacteriophage D29 in cell models of tuberculosis infection in vitro. Bull. Exp. Biol. Med. 2020, 169, 361–364. [Google Scholar] [CrossRef]
- Nieth, A.; Verceux; Barnett, S.; Süss, R.; Römer, W. A first step toward liposome-mediated intracellular bacteriophage therapy. Expert Opin. Drug Deliv. 2015, 12, 9. [Google Scholar] [CrossRef]
- Nisini, R.; Poerio, N.; Mariotti, S.; De Santis, F.; Fraziano, M. The Multirole of Liposomes in Therapy and Prevention of Infectious Diseases. Front. Immunol. 2018, 9, 155. [Google Scholar] [CrossRef]
- Vandenheuvel, D.; Rombouts, S.; Adriaenssens, E.M. Purification of bacteriophages using anion-exchange chromatography. In Bacteriophages: Methods and Protocols; Humana Press: Totowa, NJ, USA, 2018; Volume 1681, pp. 56–69. [Google Scholar]
- Carrigy, N.B.; Chang, R.Y.; Leung, S.Y. Antituberculosis bacteriophage D29 delivery with a vibrating mesh nebulizer. Pharm. Res. 2020, 34, 2084–2096. [Google Scholar] [CrossRef] [PubMed]
Optical density [u]
Conductivity [mS/cm].
Optical density [u]
Conductivity [mS/cm].






| Study Drug | Threshold Cycle for the Supernatant | Threshold Cycle for the FAM Sediment | Percentage of Mycobacteriophage Incorporation into Liposomes |
|---|---|---|---|
| Parent lytic mycobacteriophage D29 | 16.75 | * | |
| Liposomal mycobacteriophage D29, 0.8 micron (extrusion) | 17.25 | 15.27 | 40 |
| Liposomal mycobacteriophage D29, 0.25 micron (chromatography) | 18.21 | 15.56 | 32 |
| Liposomal mycobacteriophage D29, less than 0.45 micron (extrusion) | 17.14 | 15.12 | 25 |
| Group Number/Mouse No. | Treatment Regimen | Mouse Weight Gr. | Lung Weight Gr. | Macroscopic Assessment of Lung Condition | Culture Results on a Middlebrook 7H10 Solid Medium (CFU) |
|---|---|---|---|---|---|
| 1/1 | Liposomal form of the lytic mycobacteriophage D29 obtained by extrusion method | 22.2 | 0.24 | normal | No growth |
| 1/2 | 26.6 | 0.33 | Foci hyperemia | 3 · 10 lg | |
| 1/3 | 25.5 | 0.32 | normal | No growth | |
| 1/4 | 25.5 | 0.23 | normal | No growth | |
| 1/5 | 21.8 | 0.38 | Foci hyperemia | 3 · 10 lg | |
| 1/6 | 21.9 | 0.21 | normal | No growth | |
| 2/1 | Liposomal form of the lytic mycobacteriophage D29 obtained by chromatography column method | 24.3 | 0.24 | normal | No growth |
| 2/2 | 22.3 | 0.26 | normal | Singles colonies | |
| 2/3 | 18.1 | 0.64 | Multiple lesions | 4 · 10 lg | |
| 2/4 | 22.4 | 0.36 | Multiple lesions | 4 · 10 lg | |
| 2/5 | 23.8 | 0.32 | normal | No growth | |
| 2/6 | 24.5 | 0.50 | Multiple lesions | 5 · 10 lg | |
| 3/1 | Control. MTB H37Rv without treatment | 23.7 | 0.35 | Single Foci lesions | 5 · 10 lg |
| 3/2 | 24.4 | 0.30 | Single Foci lesions | 4 · 10 lg | |
| 3/3 | 22.9 | 0.73 | Multiple lesions | 5 · 10 lg | |
| 3/4 | 24.5 | 0.70 | Multiple lesions | Singles colonies | |
| 3/5 | 23.2 | 0.59 | Multiple lesions | 5 · 10 lg |
Disclaimer/Publisher’s Note: The statements, opinions and data contained in all publications are solely those of the individual author(s) and contributor(s) and not of MDPI and/or the editor(s). MDPI and/or the editor(s) disclaim responsibility for any injury to people or property resulting from any ideas, methods, instructions or products referred to in the content. |
© 2023 by the authors. Licensee MDPI, Basel, Switzerland. This article is an open access article distributed under the terms and conditions of the Creative Commons Attribution (CC BY) license (https://creativecommons.org/licenses/by/4.0/).
Share and Cite
Avdeev, V.V.; Kuzin, V.V.; Vladimirsky, M.A.; Vasilieva, I.A. Experimental Studies of the Liposomal Form of Lytic Mycobacteriophage D29 for the Treatment of Tuberculosis Infection. Microorganisms 2023, 11, 1214. https://doi.org/10.3390/microorganisms11051214
Avdeev VV, Kuzin VV, Vladimirsky MA, Vasilieva IA. Experimental Studies of the Liposomal Form of Lytic Mycobacteriophage D29 for the Treatment of Tuberculosis Infection. Microorganisms. 2023; 11(5):1214. https://doi.org/10.3390/microorganisms11051214
Chicago/Turabian StyleAvdeev, Vadim Vadimovich, Victor Vladimirovich Kuzin, Mikhail Aleksandrovich Vladimirsky, and Irina Anatol’evna Vasilieva. 2023. "Experimental Studies of the Liposomal Form of Lytic Mycobacteriophage D29 for the Treatment of Tuberculosis Infection" Microorganisms 11, no. 5: 1214. https://doi.org/10.3390/microorganisms11051214
APA StyleAvdeev, V. V., Kuzin, V. V., Vladimirsky, M. A., & Vasilieva, I. A. (2023). Experimental Studies of the Liposomal Form of Lytic Mycobacteriophage D29 for the Treatment of Tuberculosis Infection. Microorganisms, 11(5), 1214. https://doi.org/10.3390/microorganisms11051214

