Molecular Mimicry between SARS-CoV-2 Proteins and Human Self-Antigens Related with Autoimmune Central Nervous System (CNS) Disorders
Abstract
:1. Introduction
2. Materials and Methods
2.1. Study Population
2.2. Linear Sequence Analysis
2.3. Three-Dimensional Comparative Modelling
2.4. Antigenic Prediction
2.5. Search for Potential T Cell Epitopes
3. Results
3.1. Study Population
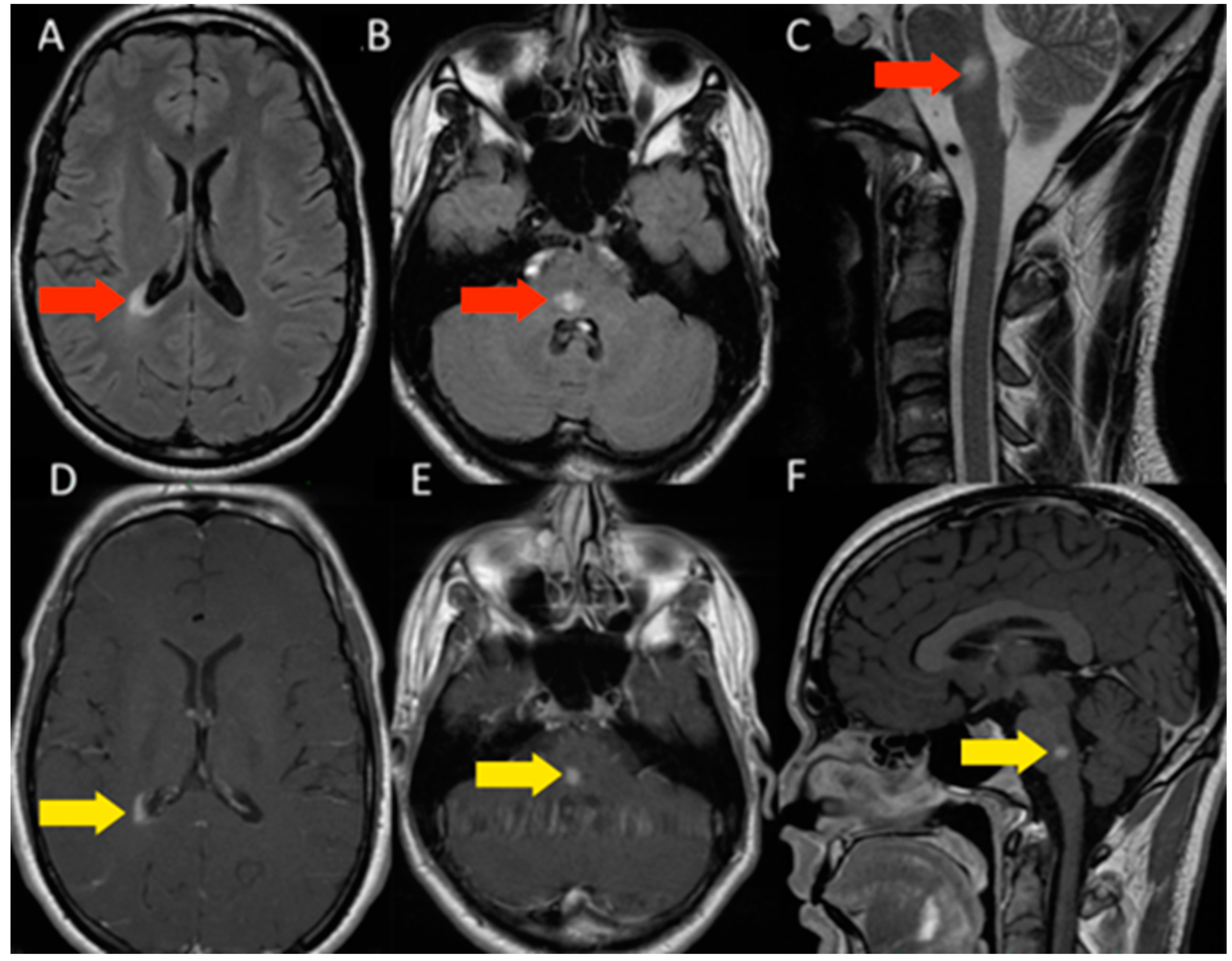
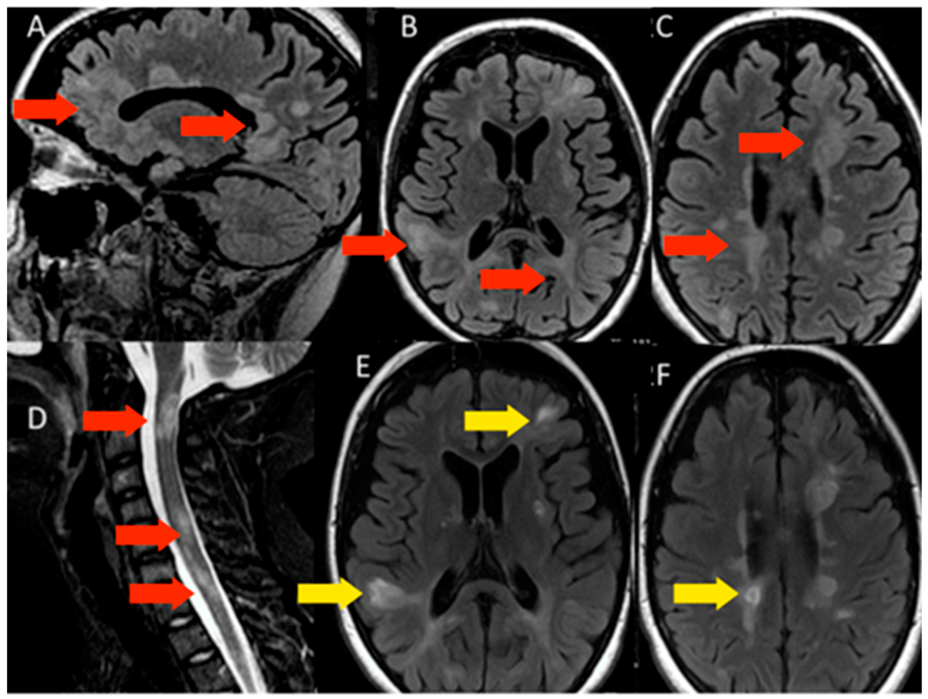
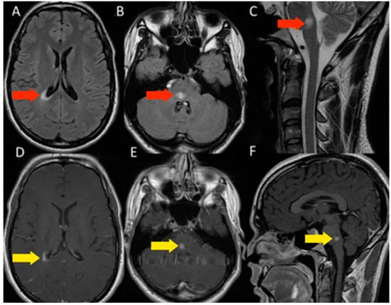
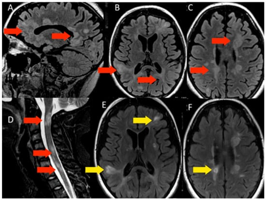
3.1.1. Patient 1
3.1.2. Patient 2
3.1.3. Patient 3
3.2. Sequence Identification
3.3. Linear and Three-Dimensional Analysis
3.4. Search for Potential T Cell Epitopes
4. Discussion
5. Conclusions
Supplementary Materials
Author Contributions
Funding
Data Availability Statement
Conflicts of Interest
Abbreviations
| ADEM | Acute disseminated encephalomyelitis |
| AE | Autoimmune encephalitis |
| Ala | Alanine |
| AQP4 | Aquaporin-4 |
| anti-GAD65 | Anti-glutamic acid decarboxylase 65-kilodalton isoform |
| anti-MOG | Anti-myelin oligodendrocyte glycoprotein |
| anti-NMDAR | Anti- N-methyl-D-aspartate receptor |
| CNP | 2’,3’-Cyclic-nucleotide 3’-phosphodiesterase |
| COVID-19 | Coronavirus disease 2019 |
| E | Envelope protein |
| EDSS | Expanded Disability Status Scale |
| FLAIR | Fluid-attenuated inversion recovery |
| GAD65 | Glutamic acid decarboxylase 65-kilodalton isoform |
| HLA | Human leukocyte antigen |
| IC50nM | Half maximal inhibitory concentration |
| ICU | Intense care unit |
| IDDs | Inflammatory demyelinating diseases |
| IEDB | Immune Epitope Database and Analysis |
| Leu | Leucine |
| MAG | |
| Myelin-associated Glycoprotein | |
| MBP | Myelin basic protein |
| MHC-I | Major histocompatibility complex-I |
| MHC-II | Major histocompatibility complex-II |
| MM | Molecular mimicry |
| MOBP | Myelin-associated oligodendrocyte basic protein |
| MoCA | Montreal Cognitive Assessment |
| MOG | |
| Myelin-oligodendrocyte Glycoprotein | |
| MOGAD | Myelin oligodendrocyte glycoprotein antibody-associated Disease |
| MPO | Myeloperoxidase |
| MRI | Magnetic resonance imaging |
| MS | Multiple sclerosis |
| N | Nucleocapsid |
| NCBI | National Center for Biotechnology Information |
| NMDAR1 | N-methyl-D-aspartate receptor 1 |
| NMOSD | Neuromyelitis optica spectrum diseases |
| Nsp1 | Non-structural protein 1 |
| Nsp2 | Non-structural protein 2 |
| Nsp3 | Non-structural protein 3 |
| Nsp13 | Non-structural protein 13 |
| PCR | Polymerase chain reaction |
| PDB | Protein data bank |
| PLP | Myelin proteolipid protein |
| RMSD | Root mean square deviation |
| S | Spike protein |
| SARS-CoV-2 | Severe acute respiratory syndrome coronavirus 2 |
| SDMT | Symbol Digit Modalities Test |
| SMM-align | Stabilization matrix alignment method |
| TM-scores | Template modeling scores |
| WHO | World Health Organization |
| ZIKV | Zika virus |
References
- COVID-19 Coronavirus Pandemic. Available online: https://www.worldometers.info/coronavirus/ (accessed on 6 September 2023).
- Nii-Trebi, N.I. Emerging and Neglected Infectious Diseases: Insights, Advances, and Challenges. Biomed. Res. Int. 2017, 2017, 5245021. [Google Scholar] [CrossRef] [PubMed]
- Alves-Leon, S.V.; da Rocha Lima, M.; Nunes, P.C.G.; Chimelli, L.M.C.; Rabelo, K.; Nogueira, R.M.R.; de Bruyc-ker-Nogueira, F.; de Azeredo, E.L.; Bahia, P.R.; Rueda Lopes, F.C.; et al. Zika virus found in brain tissue of a multiple sclerosis patient undergoing an acute disseminated encephalomyelitis-like episode. Mult. Scler. J. 2019, 25, 427–430. [Google Scholar] [CrossRef] [PubMed]
- Rueda-Lopes, F.C.; da Cruz, L.C.H.; Fontes, F.L.; Herlinger, A.L.; da Costa Ferreira Junior, O.; de Aguiar, R.S.; Vasconcelos, C.C.F.; do Nascimento, O.J.M.; Alves-Leon, S.V. Clinical and magnetic resonance imaging patterns of extensive Chikungunya virus–associated myelitis. J. Neurovirol. 2021, 27, 616–625. [Google Scholar] [CrossRef] [PubMed]
- Alves-Leon, S.V.; dos Santos Ferreira, C.; Herlinger, A.L.; Fontes-Dantas, F.L.; Rueda-Lopes, F.C.; da Silva Francisco, R.; da Costa Gonçalves, J.P.; de Araújo, A.D.; da Silva Rêgo, C.C.; Higa, L.M.; et al. Exome-Wide Search for Genes Associated with Central Nervous System Inflammatory Demyelinating Diseases Following CHIKV Infection: The Tip of the Iceberg. Front. Genet. 2021, 12, 639364. [Google Scholar] [CrossRef]
- Feizi, P.; Sharma, K.; Pasham, S.R.; Nirwan, L.; Joseph, J.; Jaiswal, S.; Sriwastava, S. Central nervous system (CNS) inflammatory demyelinating diseases (IDDs) associated with COVID-19: A case series and review. J. Neuroimmunol. 2022, 371, 577939. [Google Scholar] [CrossRef] [PubMed]
- Toscano, G.; Palmerini, F.; Ravaglia, S.; Ruiz, L.; Invernizzi, P.; Cuzzoni, M.G.; Franciotta, D.; Baldanti, F.; Daturi, R.; Postorino, P.; et al. Guillain–Barré Syndrome Associated with SARS-CoV-2. N. Engl. J. Med. 2020, 382, 2574–2576. [Google Scholar] [CrossRef]
- Oldstone, M.B.A. Molecular mimicry and immune-mediated diseases. FASEB J. 1998, 12, 1255–1265. [Google Scholar] [CrossRef]
- Lima, M.; Aloizou, A.-M.; Siokas, V.; Bakirtzis, C.; Liampas, I.; Tsouris, Z.; Bogdanos, D.P.; Baloyannis, S.J.; Dardiotis, E. Coronaviruses and their relationship with multiple sclerosis: Is the prevalence of multiple sclerosis going to increase after the COVID-19 pandemia? Rev. Neurosci. 2022, 33, 703–720. [Google Scholar] [CrossRef]
- Gerdes, J.C.; Klein, I.; DeVald, B.L.; Burks, J.S. Coronavirus isolates SK and SD from multiple sclerosis patients are serologically related to murine coronaviruses A59 and JHM and human coronavirus OC43, but not to human coronavirus 229E. J. Virol. 1981, 38, 231–238. [Google Scholar] [CrossRef]
- Moody, R.; Wilson, K.; Flanagan, K.L.; Jaworowski, A.; Plebanski, M. Adaptive Immunity and the Risk of Autoreactivity in COVID-19. Int. J. Mol. Sci. 2021, 22, 8965. [Google Scholar] [CrossRef]
- Hammer, C.; Stepniak, B.; Schneider, A.; Papiol, S.; Tantra, M.; Begemann, M.; Sirén, A.-L.; Pardo, L.A.; Sper-ling, S.; Mohd Jofrry, S.; et al. Neuropsychiatric disease relevance of circulating anti-NMDA receptor autoantibodies depends on blood–brain barrier integrity. Mol. Psychiatry 2014, 19, 1143–1149. [Google Scholar] [CrossRef]
- Prüss, H. Autoantibodies in neurological disease. Nat. Rev. Immunol. 2021, 21, 798–813. [Google Scholar] [CrossRef] [PubMed]
- Wang, H. COVID−19, Anti-NMDA Receptor Encephalitis and MicroRNA. Front. Immunol. 2022, 13, 825103. [Google Scholar] [CrossRef] [PubMed]
- Salari, M.; Harofteh, B.Z.; Etemadifar, M. Autoimmune meningoencephalitis associated with anti-glutamic acid decarboxylase antibody following COVID-19 infection: A case report. Clin. Case Rep. 2022, 10, e6597. [Google Scholar] [CrossRef] [PubMed]
- Ayuso, L.L.; Rubio, P.T.; Rosário, R.F.B.D.; Arroyo, M.L.G.; Sierra-Hidalgo, F. Bickerstaff encephalitis after COVID-19. J. Neurol. 2021, 268, 2035–2037. [Google Scholar] [CrossRef]
- Gaughan, M.; Connolly, S.; O’Riordan, S.; Tubridy, N.; McGuigan, C.; Kinsella, J.A. Pediatric Parainfectious Encephalitis Associated with COVID-19. Neurology 2021, 96, 541–544. [Google Scholar] [CrossRef] [PubMed]
- Ahsan, N.; Jafarpour, S.; Santoro, J.D. Myelin oligodendrocyte glycoprotein antibody encephalitis following severe acute respiratory syndrome coronavirus 2 in a pediatric patient. Clin. Exp. Pediatr. 2021, 64, 310–312. [Google Scholar] [CrossRef]
- Guilmot, A.; Maldonado Slootjes, S.; Sellimi, A.; Bronchain, M.; Hanseeuw, B.; Belkhir, L.; Yombi, J.C.; De Greef, J.; Pothen, L.; Yildiz, H.; et al. Immune-mediated neurological syndromes in SARS-CoV-2-infected patients. J. Neurol. 2021, 268, 751–757. [Google Scholar] [CrossRef]
- Gammazza, A.M.; Légaré, S.; Lo Bosco, G.; Fucarino, A.; Angileri, F.; de Macario, E.C.; Macario, A.J.; Cappello, F. Human molecular chaperones share with SARS-CoV-2 antigenic epitopes potentially capable of eliciting autoimmunity against endothelial cells: Possible role of molecular mimicry in COVID-19. Cell Stress Chaperones 2020, 25, 737–741. [Google Scholar] [CrossRef]
- Kanduc, D. From Anti-SARS-CoV-2 Immune Responses to COVID-19 via Molecular Mimicry. Antibodies 2020, 9, 33. [Google Scholar] [CrossRef]
- Gusev, E.; Sarapultsev, A.; Solomatina, L.; Chereshnev, V. SARS-CoV-2-Specific Immune Response and the Pathogenesis of COVID-19. Int. J. Mol. Sci. 2022, 23, 1716. [Google Scholar] [CrossRef]
- Sharma, C.; Bayry, J. High risk of autoimmune diseases after COVID-19. Nat. Rev. Rheumatol. 2023, 19, 399–400. [Google Scholar] [CrossRef]
- Lucchese, G.; Flöel, A. SARS-CoV-2 and Guillain-Barré syndrome: Molecular mimicry with human heat shock proteins as potential pathogenic mechanism. Cell Stress Chaperones 2020, 25, 731–735. [Google Scholar] [CrossRef] [PubMed]
- Cuspoca, A.F.; Estrada, P.I.; Velez-van-Meerbeke, A. Molecular Mimicry of SARS-CoV-2 Spike Protein in the Nervous System: A Bioinformatics Approach. Comput. Struct. Biotechnol. J. 2022, 20, 6041–6054. [Google Scholar] [CrossRef] [PubMed]
- Madeira, F.; Pearce, M.; Tivey, A.R.N.; Basutkar, P.; Lee, J.; Edbali, O.; Madhusoodanan, N.; Kolesnikov, A.; Lopez, R. Search and sequence analysis tools services from EMBL-EBI in 2022. Nucleic Acids Res. 2022, 50, W276–W279. [Google Scholar] [CrossRef] [PubMed]
- Altschul, S.F.; Gish, W.; Miller, W.; Myers, E.W.; Lipman, D.J. Basic local alignment search tool. J. Mol. Biol. 1990, 215, 403–410. [Google Scholar] [CrossRef]
- Altschul, S.F.; Wootton, J.C.; Gertz, E.M.; Agarwala, R.; Morgulis, A.; Schaffer, A.A.; Yu, Y.-K. Protein database searches using compositionally adjusted substitution matrices. FEBS J. 2005, 272, 5101–5109. [Google Scholar] [CrossRef] [PubMed]
- Zhang, Y. TM-align: A protein structure alignment algorithm based on the TM-score. Nucleic Acids Res. 2005, 33, 2302–2309. [Google Scholar] [CrossRef]
- Nielsen, M.; Lundegaard, C.; Lund, O. Prediction of MHC class II binding affinity using SMM-align, a novel stabilization matrix alignment method. BMC Bioinform. 2007, 8, 238. [Google Scholar] [CrossRef] [PubMed]
- Mohkhedkar, M.; Venigalla, S.S.K.; Janakiraman, V. Untangling COVID-19 and autoimmunity: Identification of plausible targets suggests multi organ involvement. Mol. Immunol. 2021, 137, 105–113. [Google Scholar] [CrossRef]
- Figueiredo, C.P.; Barros-Aragão, F.G.Q.; Neris, R.L.S.; Frost, P.S.; Soares, C.; Souza, I.N.O.; Zeidler, J.D.; Zamberlan, D.C.; de Sousa, V.L.; Souza, A.S. Zika virus replicates in adult human brain tissue and impairs synapses and memory in mice. Nat. Commun. 2019, 10, 3890. [Google Scholar] [CrossRef]
- Ranawaka, U.K. Emerging tropical neurological infections. Clin. Med. 2022, 22, 18–20. [Google Scholar] [CrossRef]
- Zerboni, L.; Reichelt, M.; Arvin, A. Varicella-Zoster Virus Neurotropism in SCID Mouse–Human Dorsal Root Ganglia Xenografts. Curr. Top. Microbiol. Immunol. 2010, 342, 255–276. [Google Scholar] [CrossRef] [PubMed]
- Das, M.K.; Sarma, A.; Chakraborty, T. Nano-ART and NeuroAIDS. Drug Deliv. Transl. Res. 2016, 6, 452–472. [Google Scholar] [CrossRef]
- Da Silva, E.V.; Fontes-Dantas, F.L.; Dantas, T.V.; Dutra, A.; Nascimento, O.J.M.; Alves-Leon, S.V. Shared Molecular Signatures Across Zika Virus Infection and Multiple Sclerosis Highlight AP-1 Transcription Factor as a Potential Player in Post-ZIKV MS-Like Phenotypes. Mol. Neurobiol. 2023, 60, 4184–4205. [Google Scholar] [CrossRef]
- França, L.C.; Fontes-Dantas, F.L.; Garcia, D.G.; de Araújo, A.D.; da Costa Gonçalves, J.P.; da Silva Rêgo, C.C.; da Silva, E.V.; do Nascimento, O.J.M.; Lopes, F.C.R.; Herlinger, A.L.; et al. Mimetismo molecular entre o vírus Zika e os distúrbios inflamatórios desmielinizantes do sistema nervoso central: O papel do epítopo NS5 do vírus Zika e dos autoantígenos PLP. Arq. Neuropsiquiatr. 2023, 81, 357–368. [Google Scholar] [CrossRef]
- Cavalcante, L.T.d.F.; da Fonseca, G.C.; Amado Leon, L.A.; Salvio, A.L.; Brustolini, O.J.; Gerber, A.L.; Guimarães, A.P.d.C.; Marques, C.A.B.; Fernandes, R.A.; Ramos Filho, C.H.F.; et al. Buffy Coat Transcriptomic Analysis Reveals Alterations in Host Cell Protein Synthesis and Cell Cycle in Severe COVID-19 Patients. Int. J. Mol. Sci. 2022, 23, 13588. [Google Scholar] [CrossRef]
- Yan, L.; Ge, J.; Zheng, L.; Zhang, Y.; Gao, Y.; Wang, T.; Huang, Y.; Yang, Y.; Gao, S.; Li, M.; et al. Cryo-EM Structure of an Extended SARS-CoV-2 Replication and Transcription Complex Reveals an Intermediate State in Cap Synthesis. Cell 2021, 184, 184–193.e10. [Google Scholar] [CrossRef] [PubMed]
- Almqvist, J.; Granberg, T.; Tzortzakakis, A.; Klironomos, S.; Kollia, E.; Öhberg, C.; Martin, R.; Piehl, F.; Ouel-lette, R.; Ineichen, B.V. Neurological manifestations of coronavirus infections—A systematic review. Ann. Clin. Transl. Neurol. 2020, 7, 2057–2071. [Google Scholar] [CrossRef]
- Chang, R.; Chen, T.Y.-T.; Wang, S.-I.; Hung, Y.-M.; Chen, H.-Y.; Wei, C.-C.J. Risk of autoimmune diseases in patients with COVID-19: A retrospective cohort study. eClinicalMedicine 2023, 56, 101783. [Google Scholar] [CrossRef] [PubMed]
- Tesch, F.; Ehm, F.; Vivirito, A.; Wende, D.; Batram, M.; Loser, F.; Menzer, S.; Jacob, J.; Roessler, M.; Seifert, M.; et al. Incident autoimmune diseases in association with a SARS-CoV-2 infection: A matched cohort study. Clin. Rheumatol. 2023, 42, 2905–2914. [Google Scholar] [CrossRef]
- Corrêa, D.G.; de Souza Lima, F.C.; da Cruz Bezerra, D.; Coutinho, A.C.; da Cruz, L.C.H. COVID-19 associated with encephalomyeloradiculitis and positive anti-aquaporin-4 antibodies: Cause or coincidence? Mult. Scler. J. 2021, 27, 973–976. [Google Scholar] [CrossRef] [PubMed]
- Lotan, I.; Nishiyama, S.; Manzano, G.S.; Lydston, M.; Levy, M. COVID-19 and the risk of CNS demyelinating diseases: A systematic review. Front. Neurol. 2022, 13, 970383. [Google Scholar] [CrossRef]
- Galeotti, C.; Bayry, J. Autoimmune and inflammatory diseases following COVID-19. Nat. Rev. Rheumatol. 2020, 16, 413–414. [Google Scholar] [CrossRef] [PubMed]
- Schattner, A.; Rager-Zisman, B. Virus-Induced Autoimmunity. Clin. Infect. Dis. 1990, 12, 204–222. [Google Scholar] [CrossRef]
- Morsy, S.; Morsy, A. Epitope mimicry analysis of SARS-CoV-2 surface proteins and human lung proteins. J. Mol. Graph. Model. 2021, 105, 107836. [Google Scholar] [CrossRef] [PubMed]
- Petrenko, V.A.; Gillespie, J.W.; De Plano, L.M.; Shokhen, M.A. Phage-Displayed Mimotopes of SARS-CoV-2 Spike Protein Targeted to Authentic and Alternative Cellular Receptors. Viruses 2022, 14, 384. [Google Scholar] [CrossRef]
- Karagöz, I.K.; Munk, M.R.; Kaya, M.; Rückert, R.; Yıldırım, M.; Karabaş, L. Using bioinformatic protein sequence similarity to investigate if SARS-CoV-2 infection could cause an ocular autoimmune inflammatory reactions? Exp. Eye Res. 2021, 203, 108433. [Google Scholar] [CrossRef]
- Lucchese, G.; Flöel, A. Molecular mimicry between SARS-CoV-2 and respiratory pacemaker neurons. Autoimmun. Rev. 2020, 19, 102556. [Google Scholar] [CrossRef]
- Lavi, Y.; Vojdani, A.; Halpert, G.; Sharif, K.; Ostrinski, Y.; Zyskind, I.; Lattin, M.T.; Zimmerman, J.; Silverberg, J.I.; Rosenberg, A.Z.; et al. Dysregulated Levels of Circulating Autoantibodies against Neuronal and Nervous System Autoantigens in COVID-19 Patients. Diagnostics 2023, 13, 687. [Google Scholar] [CrossRef]
- Giovannoni, G.; Ebers, G. Multiple sclerosis: The environment and causation. Curr. Opin. Neurol. 2007, 20, 261–268. [Google Scholar] [CrossRef] [PubMed]
- Olsson, T.; Barcellos, L.F.; Alfredsson, L. Interactions between genetic, lifestyle and environmental risk factors for multiple sclerosis. Nat. Rev. Neurol. 2017, 13, 25–36. [Google Scholar] [CrossRef]
- Kaushansky, N.; Eisenstein, M.; Zilkha-Falb, R.; Ben-Nun, A. The myelin-associated oligodendrocytic basic protein (MOBP) as a relevant primary target autoantigen in multiple sclerosis. Autoimmun. Rev. 2010, 9, 233–236. [Google Scholar] [CrossRef]
- Mohammadi-Milasi, F.; Mahnam, K.; Shakhsi-Niaei, M. In silico study of the association of the HLA-A*31:01 allele (human leucocyte antigen allele 31:01) with neuroantigenic epitopes of PLP (proteolipid protein), MBP (myelin basic protein) and MOG proteins (myelin oligodendrocyte glycoprotein) for studying the multiple sclerosis disease pathogenesis. J. Biomol. Struct. Dyn. 2021, 39, 2526–2542. [Google Scholar] [CrossRef] [PubMed]
- Minohara, M.; Matsuoka, T.; Li, W.; Osoegawa, M.; Ishizu, T.; Ohyagi, Y.; Kira, J. Upregulation of myeloperoxidase in patients with opticospinal multiple sclerosis: Positive correlation with disease severity. J. Neuroimmunol. 2006, 178, 156–160. [Google Scholar] [CrossRef]
- Gray, E.; Thomas, T.L.; Betmouni, S.; Scolding, N.; Love, S. Elevated Activity and Microglial Expression of Myeloperoxidase in Demyelinated Cerebral Cortex in Multiple Sclerosis. Brain Pathol. 2008, 18, 86–95. [Google Scholar] [CrossRef] [PubMed]
- Nagra, R.M.; Becher, B.; Tourtellotte, W.W.; Antel, J.P.; Gold, D.; Paladino, T.; Smith, R.A.; Nelson, J.R.; Reynolds, W.F. Immunohistochemical and genetic evidence of myeloperoxidase involvement in multiple sclerosis. J. Neuroimmunol. 1997, 78, 97–107. [Google Scholar] [CrossRef]
- Sedighi, S.; Gholizadeh, O.; Yasamineh, S.; Akbarzadeh, S.; Amini, P.; Favakehi, P.; Afkhami, H.; Firouzi-Amandi, A.; Pahlevan, D.; Eslami, M. Comprehensive Investigations Relationship Between Viral Infections and Multiple Sclerosis Pathogenesis. Curr. Microbiol. 2023, 80, 15. [Google Scholar] [CrossRef]
- Mariotto, S.; Ferrari, S.; Monaco, S.; Benedetti, M.D.; Schanda, K.; Alberti, D.; Farinazzo, A.; Capra, R.; Mancinelli, C.; De Rossi, N.; et al. Clinical spectrum and IgG subclass analysis of anti-myelin oligodendrocyte glycoprotein antibody-associated syndromes: A multicenter study. J. Neurol. 2017, 264, 2420–2430. [Google Scholar] [CrossRef]
- Cobo-Calvo, A.; Ruiz, A.; Maillart, E.; Audoin, B.; Zephir, H.; Bourre, B.; Ciron, J.; Collongues, N.; Brassat, D.; Cotton, F.; et al. Clinical spectrum and prognostic value of CNS MOG autoimmunity in adults. Neurology 2018, 90, e1858–e1869. [Google Scholar] [CrossRef]
- Sehgal, V.; Bansal, P.; Arora, S.; Kapila, S.; Bedi, G.S. Myelin Oligodendrocyte Glycoprotein Antibody Disease after COVID-19 Vaccination—Causal or Incidental? Cureus 2022, 14, e27024. [Google Scholar] [CrossRef] [PubMed]
- Netravathi, M.; Dhamija, K.; Gupta, M.; Tamborska, A.; Nalini, A.; Holla, V.V.; Nitish, L.K.; Menon, D.; Pal, P.K.; Seena, V.; et al. COVID-19 vaccine associated demyelination & its association with MOG antibody. Mult. Scler. Relat. Disord. 2022, 60, 103739. [Google Scholar] [CrossRef] [PubMed]
- Lambe, J.; McGinley, M.P.; Moss, B.P.; Mao-Draayer, Y.; Kassa, R.; Ciotti, J.R.; Mariotto, S.; Kunchok, A. Myelin oligodendrocyte glycoprotein-IgG associated disorders (MOGAD) following SARS-CoV-2 infection: A case series. J. Neuroimmunol. 2022, 370, 577933. [Google Scholar] [CrossRef]
- Vasilevska, V.; Guest, P.C.; Bernstein, H.G.; Schroeter, M.L.; Geis, C.; Steiner, J. Molecular mimicry of NMDA receptors may contribute to neuropsychiatric symptoms in severe COVID-19 cases. J. Neuroinflamm. 2021, 18, 245. [Google Scholar] [CrossRef]
- Etemadifar, M.; Nouri, H.; Salari, M.; Sedaghat, N. Detection of anti-NMDA receptor antibodies following BBIBP-CorV COVID-19 vaccination in a rituximab-treated person with multiple sclerosis presenting with manifestations of an acute relapse. Hum. Vaccin. Immunother. 2022, 18, 2033540. [Google Scholar] [CrossRef] [PubMed]
- Valadez-Calderon, J.; Navarro, A.O.; Rodriguez-Chavez, E.; Vera-Lastra, O. Co-expression of anti-NMDAR and anti-GAD65 antibodies. A case of autoimmune encephalitis in a post-COVID-19 patient. Neurología 2022, 37, 503–504. [Google Scholar] [CrossRef] [PubMed]
- Assi, F.; Abdallah, R.; Mecheik, A.; Rahhal, H.H.; Wazne, J. Acute Disseminated Encephalomyelitis Following COVID-19 Infection. Cureus 2023, 15, e33365. [Google Scholar] [CrossRef]
- Mumoli, L.; Vescio, V.; Pirritano, D.; Russo, E.; Bosco, D. ADEM anti-MOG antibody-positive after SARS-CoV-2 vaccination. Neurol. Sci. 2022, 43, 763–766. [Google Scholar] [CrossRef]
- Wang, Y.; Wang, Y.; Huo, L.; Li, Q.; Chen, J.; Wang, H. SARS-CoV-2-associated acute disseminated encephalomyelitis: A systematic review of the literature. J. Neurol. 2022, 269, 1071–1092. [Google Scholar] [CrossRef] [PubMed]
- Miyamoto, K.; Koh, J.; Takahashi, M.; Niwa, M.; Ito, H. A case of anti-MOG antibody-positive ADEM following COVID-19 mRNA vaccination. Neurol. Sci. 2022, 43, 3513–3514. [Google Scholar] [CrossRef]
- Pinto, A.A.; Carroll, L.S.; Nar, V.; Varatharaj, A.; Galea, I. CNS inflammatory vasculopathy with antimyelin oligodendrocyte glycoprotein antibodies in COVID-19. Neurol.-Neuroimmunol. Neuroinflamm. 2020, 7, e813. [Google Scholar] [CrossRef]
- Naidu, K.; Tayler, R. Anti N-Methyl-D-Aspartate receptor antibody associated Acute Demyelinating Encephalomyelitis in a patient with COVID-19: A case report. J. Med. Case Rep. 2023, 17, 247. [Google Scholar] [CrossRef]
- Al-Hakeim, H.K.; Al-Rubaye, H.T.; Al-Hadrawi, D.S.; Almulla, A.F.; Maes, M. Long-COVID post-viral chronic fatigue and affective symptoms are associated with oxidative damage, lowered antioxidant defenses and inflammation: A proof of concept and mechanism study. Mol. Psychiatry 2023, 28, 564–578. [Google Scholar] [CrossRef] [PubMed]
- Al-Hakeim, H.K.; Al-Rubaye, H.T.; Almulla, A.F.; Al-Hadrawi, D.S.; Maes, M. Chronic Fatigue, Depression and Anxiety Symptoms in Long COVID Are Strongly Predicted by Neuroimmune and Neuro-Oxidative Pathways Which Are Caused by the Inflammation during Acute Infection. J. Clin. Med. 2023, 12, 511. [Google Scholar] [CrossRef] [PubMed]
- Li, F.; Tsien, J.Z. Memory and the NMDA Receptors. N. Engl. J. Med. 2009, 361, 302–303. [Google Scholar] [CrossRef] [PubMed]
- Franke, C.; Boesl, F.; Goereci, Y.; Gerhard, A.; Schweitzer, F.; Schroeder, M.; Foverskov-Rasmussen, H.; Heine, J.; Quitschau, A.; Kandil, F.I.; et al. Association of cerebrospinal fluid brain-binding autoantibodies with cognitive impairment in post-COVID-19 syndrome. Brain Behav. Immun. 2023, 109, 139–143. [Google Scholar] [CrossRef]
- Mueller, S.H.; Färber, A.; Prüss, H.; Melzer, N.; Golombeck, K.S.; Kümpfel, T.; Thaler, F.; Elisak, M.; Lewerenz, J.; Kaufmann, M.; et al. Genetic predisposition in anti-LGI1 and anti-NMDA receptor encephalitis. Ann. Neurol. 2018, 83, 863–869. [Google Scholar] [CrossRef]
- Sawcer, S.; Hellenthal, G.; Pirinen, M.; Spencer, C.C.A.; Patsopoulos, N.A.; Moutsianas, L.; Dilthey, A.; Su, Z.; Freeman, C.; Hunt, S.E.; et al. Genetic risk and a primary role for cell-mediated immune mechanisms in multiple sclerosis. Nature 2011, 476, 214–219. [Google Scholar] [CrossRef] [PubMed]
- Alves-Leon, S.V.; Veluttini-Pimentel, M.L.; Gouveia, M.E.; Malfetano, F.R.; Gaspareto, E.L.; Alvarenga, M.P.; Frugulhetti, I.; Quirico-Santos, T. ACUTE DISSEMINATED ENCEPHALOMYELITIS Clinical features, HLA DRB1*1501, HLA DRB1*1503, HLA DQA1*0102, HLA DQB1*0602, and HLA DPA1*0301 allelic association study. Arq. Neuro-Psiquiatr. 2009, 67, 643–651. [Google Scholar] [CrossRef] [PubMed]
- De Silvestri, A.; Capittini, C.; Mallucci, G.; Bergamaschi, R.; Rebuffi, C.; Pasi, A.; Martinetti, M.; Tinelli, C. The Involvement of HLA Class II Alleles in Multiple Sclerosis: A Systematic Review with Meta-analysis. Dis. Markers 2019, 2019, 1409069. [Google Scholar] [CrossRef]
- Barcellos, L.F.; Sawcer, S.; Ramsay, P.P.; Baranzini, S.E.; Thomson, G.; Briggs, F.; Cree, B.C.A.; Begovich, A.B.; Villoslada, P.; Montalban, X.; et al. Heterogeneity at the HLA-DRB1 locus and risk for multiple sclerosis. Hum. Mol. Genet. 2006, 15, 2813–2824. [Google Scholar] [CrossRef] [PubMed]
- Fontes-Dantas, F.L.; Fernandes, G.G.; Gutman, E.G.; De Lima, E.V.; Antonio, L.S.; Hammerle, M.B.; Mo-ta-Araujo, H.P.; Colodeti, L.C.; Araújo, S.M.B.; Froz, G.M.; et al. SARS-CoV-2 spike protein induces TLR4-mediated long-term cognitive dysfunction recapitulating post-COVID syndrome in mice. Cell Rep. 2023, 42, 112189. [Google Scholar] [CrossRef]
- Ismail, I.I.; Salama, S. A systematic review of cases of CNS demyelination following COVID-19 vaccination. J. Neuroimmunol. 2022, 362, 577765. [Google Scholar] [CrossRef] [PubMed]
- Flannery, P.; Yang, I.; Keyvani, M.; Sakoulas, G. Acute Psychosis Due to Anti-N-Methyl D-Aspartate Receptor Encephalitis Following COVID-19 Vaccination: A Case Report. Front. Neurol. 2021, 12, 764197. [Google Scholar] [CrossRef]
- Lee, H.C.; Kim, B.-K.; Kang, K.; Lee, W.-W.; Yoo, I.; Kim, Y.S.; Lee, J.-J. Anti-N-Methyl-D-Aspartate Receptor Encephalitis after BNT162b2 COVID-19 Vaccination. J. Epilepsy Res. 2022, 12, 71–73. [Google Scholar] [CrossRef]
- Jarius, S.; Bieber, N.; Haas, J.; Wildemann, B. MOG encephalomyelitis after vaccination against severe acute respiratory syndrome coronavirus type 2 (SARS-CoV-2): Case report and comprehensive review of the literature. J. Neurol. 2022, 269, 5198–5212. [Google Scholar] [CrossRef] [PubMed]
- Amado, L.A.; Coelho, W.L.d.C.N.P.; Alves, A.D.R.; Carneiro, V.C.d.S.; Moreira, O.d.C.; de Paula, V.S.; Lemos, A.S.; Duarte, L.A.; Gutman, E.G.; Fontes-Dantas, F.L.; et al. Clinical Profile and Risk Factors for Severe COVID-19 in Hospitalized Patients from Rio de Janeiro, Brazil: Comparison between the First and Second Pandemic Waves. J. Clin. Med. 2023, 12, 2568. [Google Scholar] [CrossRef] [PubMed]
- Carneiro, V.C.d.S.; Moreira, O.d.C.; Coelho, W.L.d.C.N.P.; Rio, B.C.; Sarmento, D.J.d.S.; Salvio, A.L.; Alves-Leon, S.V.; de Paula, V.S.; Leon, L.A.A. miRNAs in Neurological Manifestation in Patients Co-Infected with SARS-CoV-2 and Herpesvírus 6 (HHV-6). Int. J. Mol. Sci. 2023, 24, 11201. [Google Scholar] [CrossRef]
- Mares-Guia, M.A.M.M.; Paiva, A.A.P.; Mello, V.M.; Eller, C.M.; Salvio, A.L.; Nascimento, F.F.; Silva, E.S.R.F.; Campos, V.T.M.G.; da Silva Mendes, Y.; Lemos, E.R.S.; et al. Effectiveness of Household Disinfection Techniques to Remove SARS-CoV-2 from Cloth Masks. Pathogens 2022, 11, 916. [Google Scholar] [CrossRef]




| Protein | Number of Aminoacids | Gene | NCBI Reference Sequence | Uniprot ID |
|---|---|---|---|---|
| E | 75aa | E | YP_009724392 | P0DTC4 |
| Nsp1 | 180aa | ORF1a | YP_009742608.1 | P0DTD1 |
| M | 222aa | M | YP_009724393.1 | P0DTC5 |
| Nsp2 | 638aa | ORF1a | YP_009742609.1 | P0DTD1 |
| Nsp3 | 1945aa | ORF1a | YP_009742610.1 | P0DTD1 |
| Nsp13 | 601aa | ORF1a | NP_828870.1 | P0DTD1 |
| ORF7a | 121aa | ORF7a | YP_009724395.1 | P0DTC7 |
| S | 1273aa | S | YP_009724390.1 | P0DTC2 |
| Protein | Number of Aminoacids | Gene | NCBI Reference Sequence | Uniprot ID |
|---|---|---|---|---|
| 2’,3’-Cyclic-nucleotide 3’-phosphodiesterase (CNP) | 421aa | CNP | NP_149124.3 | P09543 |
| Aquaporin-4 (AQP4) | 323aa | AQP4 | NP_001641.1 | P55087 |
| Glutamic acid decarboxylase 65-kilodalton isoform (GAD65) | 585aa | GAD2 | NP_001127838.1 | Q05329 |
| Myelin-associated glycoprotein (MAG) | 626aa | MAG | NP_002352.1 | P20916 |
| Myelin basic protein (MBP) | 304aa | MBP | NP_001020272.1 | P02686 |
| Myelin oligodendrocyte glycoprotein (MOG) | 247aa | MOG | NP_996532.2 | Q16653 |
| Myelin-associated oligodendrocytic basic protein (MOBP) | 183aa | MOBP | NP_001380633.1 | Q13875 |
| Myeloperoxidase (MPO) | 745aa | MPO | NP_000241.1 | P05164 |
| N-methyl-D-aspartate receptor 1 (NMDAR1) | 938aa | GRIN1 | NP_015566.1 | Q05586 |
| Transaldolase | 337aa | TALDO1 | NP_006746.1 | P37837 |
| SARS-CoV-2 Antigens | Autoantigens | Region of the SARS-CoV-2 Antigen with More Identity | Region of the Autoantigen with More Identity | % Identity | E-Value | SWISS MODEL SARS-CoV-2 Antigen | SWISS MODEL Autoantigen | TM-SCORE | RMSD | Overall Prediction Vaxijen Linear | Overall Prediction VaxiJen Three-Dimensional Model |
|---|---|---|---|---|---|---|---|---|---|---|---|
| M | NMDAR1 | 54–70 | 562–577 | 100 | 3.00 × 10−4 | 74–106 | 626–658 | 0.89 | 0.55 | 0.9306 | 0.5324 |
| M | MPO | 134–162 | 57–85 | 100 | 1.0 | 76–105 | 67–96 | 0.73 | 1.21 | 0.4740 | 0.5177 |
| Nsp2 | NMDAR1 | 448–465 | 325–344 | 71.43 | 0.038 | 549–584 | 621–650 | 0.69 | 1.35 | 0.5983 | 0.4174 |
| S | MOG | 249–278 | 83–102 | 83.33 | 0.069 | 944–974 | 150–180 | 0.63 | 2.06 | 0.4706 | 0.4059 |
| ORF7a | MOG | 25–32 | 95–102 | 75 | 2.00 × 10−4 | 17–81 | 30–153 | 0.62 | 2.83 | 0.4846 | 0.6598 |
| N | MPO | 227–236 | 149–157 | 70 | 0.002 | 388–419 | 67–98 | 0.59 | 1.91 | 0.4117 | 0.4124 |
| Nsp13 | GAD65 | 466–472 | 439–445 | 66.67 | 3.00 × 10−4 | 290–349 | 312–389 | 0.52 | 3.22 | 0.6555 | 0.4695 |
| Nsp1 | GAD65 | 131–138 | 137–139 | 100 | 0.005 | 32–61 | 302–331 | 0.52 | 1.57 | −0.3299 | 0.6325 |
| Nsp1 | MOG | 103–114 | 210–221 | 71.43 | 0.003 | 33–62 | 204–232 | 0.50 | 1.59 | 0.6013 | 0.6757 |
| Nsp3 | MPO | 903–908 | 613–618 | 83.33 | 2.00 × 10−5 | 180–209 | 71–112 | 0.50 | 2.79 | 1.8236 | 0.8823 |
| S | NMDAR1 | 1020–1027 | 223–230 | 100 | 0.017 | 1020–1050 | 221–250 | 0.50 | 1.47 | 0.8726 | 0.7359 |
| Nsp3 | NMDAR1 | 1800–1809 | 766–774 | 100 | 5.00 × 10−4 | 399–535 | 153–278 | 0.49 | 3.86 | 0.4238 | 0.4044 |
| Nsp13 | PLP | 88–94 | 99–105 | 71.43 | 1.00 × 10−4 | 310–342 | 175–210 | 0.49 | 2.82 | −0.0624 | 0.4685 |
| Nsp1 | PLP | 34–62 | 196–211 | 100 | 0.006 | 33–64 | 240–272 | 0.47 | 1.69 | 0.7645 | 0.5854 |
| Nsp1 | Transaldolase | 84–99 | 139–154 | 100 | 0.001 | 33–62 | 145–176 | 0.46 | 2.18 | 0.6898 | 0.6757 |
| Nsp2 | MPO | 419–425 | 159–165 | 100 | 0.15 | 672–707 | 67–95 | 0.46 | 1.16 | 0.5813 | 0.5890 |
| Nsp3 | PLP | 88–94 | 99–105 | 71.43 | 1.00 × 10−4 | 180–209 | 34–63 | 0.45 | 2.07 | −0.0624 | 0.8823 |
| M | MAG | 132–138 | 369–375 | 100 | 2.00 × 10−4 | 156–186 | 295–325 | 0.43 | 2.59 | 0.4549 | 0.6527 |
| S | Transaldolase | 1110–1117 | 37–44 | 62.50 | 0.002 | 276–305 | 125–156 | 0.42 | 2.10 | 0.8734 | 0.6476 |
| Nsp13 | Transaldolase | 146–151 | 307–312 | 83.33 | 0.001 | 367–396 | 135–164 | 0.41 | 2.60 | 1.0726 | 1.1104 |
| N | CNP | 243–252 | 191–200 | 100 | 0.001 | 195–239 | 322–363 | 0.41 | 2.72 | 0.7056 | 0.6601 |
| Nsp13 | NMDAR1 | 301–306 | 628–636 | 100 | 3.00 × 10−4 | 503–532 | 683–712 | 0.41 | 2.90 | 0.9060 | 0.4818 |
| Nsp2 | Transaldolase | 389–403 | 95–109 | 66.67 | 0.19 | 249–280 | 134–163 | 0.40 | 1.90 | 0.5146 | 0.7524 |
| Nsp2 | CNP | 270–278 | 348–356 | 77.78 | 4.00 × 10−7 | 395–432 | 349–382 | 0.39 | 2.38 | 0.9295 | 0.4387 |
| N | MOBP | 198–209 | 168–178 | 77.78 | 5.00 × 10−6 | 202–233 | 29–74 | 0.38 | 2.38 | 0.4291 | 0.6320 |
| N | PLP | 170–184 | 120–134 | 75 | 0.0003 | 212–241 | 75–98 | 0.37 | 1.44 | 0.4459 | 0.7169 |
| Nsp1 | MBP | 76–102 | 198–116 | 100 | 0.010 | 32–67 | 211–240 | 0.36 | 3.22 | 0.6583 | 0.4770 |
| Nsp3 | AQP4 | 63–77 | 51–65 | 100 | 0.27 | 2667–2697 | 197–227 | 0.35 | 2.36 | 0.4168 | 0.5551 |
| Nsp2 | MBP | 61–73 | 107–119 | 100 | 8.00 × 10−4 | 280–309 | 200–229 | 0.33 | 2.79 | 0.6625 | 0.5624 |
| SARS-CoV-2 Antigen | Autoantigens | Allele | Potential SARS-CoV-2 Epitope | Corresponding Human Epitope | IC50 Virus Peptide | IC50 Human Peptide |
|---|---|---|---|---|---|---|
| M | NMDAR1 | HLA-DQA1*01:02/DQB1*06:02 | NWITGGIAIAMACLV | VWAGFAMIIVASYTA | 57.00 | 60.00 |
| HLA-DRB1*15:01 | LMWLSYFIASFRLFA | GFAMIIVASYTANLA | 68.00 | 49.00 | ||
| HLA-A*31:01 | LSYFIASFR | LGMVWAGFAM | 12.20 | 262.06 | ||
| M | MPO | HLA-A*31:01 | LSYFIASFR | KQLVDKAYK | 12.20 | 68.78 |
| HLA-B*07:02 | GGIAIAMACLV | RLRSGSASPM | 321.23 | 159.89 | ||
| Nsp2 | NMDAR1 | HLA-DQA1*01:02/DQB1*06:02 | RVLQKAAITILDGIS | VWAGFAMIIVASYTA | 93.00 | 60.00 |
| HLA-DRB1*15:01 | ITILDGISQYSLRLI | VWAGFAMIIVASYTA | 146.00 | 60.00 | ||
| HLA-A*31:01 | RTLETAQNSVR | GAPRSFSAR | 309.40 | 129.86 | ||
| HLA-B*07:02 | SVRVLQKAAI | APRSFSARIL | 357.95 | 29.30 | ||
| S | MOG | HLA-DRB1*15:01 | LNTLVKQLSSNFGAI | GVLVLLAVLPVLLLQ | 89.00 | 58.00 |
| HLA-DQA1*01:02/DQB1*06:02 | QNAQALNTLVKQLSS | WVSPGVLVLLAVLPV | 319.00 | 229.00 | ||
| ORF7a | MOG | HLA-DQA1*01:02/DQB1*06:02 | YQECVRGTTVLLKEP | YWVSPGVLVLLAVLP | 261.00 | 210.00 |
| N | MPO | HLA-A*31:01 | FSKQLQQSMSS | KQLVDKAYK | 46.72 | 68.78 |
| Nsp13 | GAD65 | HLA-DRB1*15:01 | AIGLALYYPSARIVY | AKQKGFVPFLVSATA | 71.00 | 196.00 |
| HLA-DQA1*01:02/DQB1*06:02 | IVYTACSHAAVDALC | LVSATAGTTVYGAFD | 347.00 | 52.00 | ||
| HLA-A*31:01 | KYLPIDKCSR | KHKWKLSGVER | 18.72 | 35.44 | ||
| HLA-B*07:02 | LPIDKCSR | VPFLVSAT | 187.50 | 69.82 | ||
| Nsp1 | GAD65 | HLA-DRB1*03:01 | SVEEVLSEARQHLKD | RGKMIPSDLERRILE | 489.00 | 448.00 |
| HLA-A*31:01 | HLKDGTCGLVE | KMIPSDLERR | 31.44 | 27.31 | ||
| Nsp1 | MOG | HLA-A*31:01 | HLKDGTCGLVE | CWKITLFVIVP | 31.44 | 284.79 |
| Nsp3 | MPO | HLA-A*31:01 | SYKDWSYSGQS | RLRSGSASPME | 38.77 | 111.56 |
| S | NMDAR1 | HLA-DQA1*01:02/DQB1*06:02 | ASANLAATKMSECVL | ASEDDAATVYRAAAM | 213.00 | 121.00 |
| HLA-A*31:01 | KMSECVLGQSKR | LSASEDDAATVYR | 297.9 | 495.7 | ||
| HLA-DQA1*01:02/DQB1*06:02 | AQYTSALLAGTITSG | SRRVLLLAGRLAAQS | 122.00 | 199.00 | ||
| HLA-B*07:02 | MIAQYTSAL | MAAESRRVL | 61.88 | 54.29 |
Disclaimer/Publisher’s Note: The statements, opinions and data contained in all publications are solely those of the individual author(s) and contributor(s) and not of MDPI and/or the editor(s). MDPI and/or the editor(s) disclaim responsibility for any injury to people or property resulting from any ideas, methods, instructions or products referred to in the content. |
© 2023 by the authors. Licensee MDPI, Basel, Switzerland. This article is an open access article distributed under the terms and conditions of the Creative Commons Attribution (CC BY) license (https://creativecommons.org/licenses/by/4.0/).
Share and Cite
Gutman, E.G.; Fernandes, R.A.; Raposo-Vedovi, J.V.; Salvio, A.L.; Duarte, L.A.; Tardim, C.F.; Costa, V.G.C.; Pereira, V.C.S.R.; Bahia, P.R.V.; da Silva, M.M.; et al. Molecular Mimicry between SARS-CoV-2 Proteins and Human Self-Antigens Related with Autoimmune Central Nervous System (CNS) Disorders. Microorganisms 2023, 11, 2902. https://doi.org/10.3390/microorganisms11122902
Gutman EG, Fernandes RA, Raposo-Vedovi JV, Salvio AL, Duarte LA, Tardim CF, Costa VGC, Pereira VCSR, Bahia PRV, da Silva MM, et al. Molecular Mimicry between SARS-CoV-2 Proteins and Human Self-Antigens Related with Autoimmune Central Nervous System (CNS) Disorders. Microorganisms. 2023; 11(12):2902. https://doi.org/10.3390/microorganisms11122902
Chicago/Turabian StyleGutman, Elisa Gouvea, Renan Amphilophio Fernandes, Jéssica Vasques Raposo-Vedovi, Andreza Lemos Salvio, Larissa Araujo Duarte, Caio Faria Tardim, Vinicius Gabriel Coutinho Costa, Valéria Coelho Santa Rita Pereira, Paulo Roberto Valle Bahia, Marcos Martins da Silva, and et al. 2023. "Molecular Mimicry between SARS-CoV-2 Proteins and Human Self-Antigens Related with Autoimmune Central Nervous System (CNS) Disorders" Microorganisms 11, no. 12: 2902. https://doi.org/10.3390/microorganisms11122902
APA StyleGutman, E. G., Fernandes, R. A., Raposo-Vedovi, J. V., Salvio, A. L., Duarte, L. A., Tardim, C. F., Costa, V. G. C., Pereira, V. C. S. R., Bahia, P. R. V., da Silva, M. M., Fontes-Dantas, F. L., & Alves-Leon, S. V. (2023). Molecular Mimicry between SARS-CoV-2 Proteins and Human Self-Antigens Related with Autoimmune Central Nervous System (CNS) Disorders. Microorganisms, 11(12), 2902. https://doi.org/10.3390/microorganisms11122902

