Regulatory Functions of PurR in Yersinia pestis: Orchestrating Diverse Biological Activities
Abstract
1. Introduction
2. Materials and Methods
2.1. Bacterial Strains and Culture Conditions
2.2. DNA Extraction and Amplification
2.3. Construction of the Mutant and Complementation Strain
2.4. Growth Rate Determination
2.5. Biofilm Formation Analysis
2.6. Survivability under Stressful Environments
2.7. Real-Time Cell Analysis (RTCA) Assay
2.8. Survival Curves
2.9. RNA-Seq and Quantitative Reverse Transcription PCR (qRT-PCR)
2.10. Expression and Purification of PurR
2.11. Motif Prediction of PurR
2.12. Electrophoretic Mobility Shift Assay (EMSA)
2.13. Reverse Transcription PCR (RT-PCR)
2.14. Ethics Statement
2.15. Statistical Analysis
2.16. Data Availability Statement
3. Results
3.1. Deletion of the PurR Makes No Difference in Growth of Y. pestis
3.2. No Differences Were Observed in the In Vitro Phenotypes of 201-WT and 201-ΔPurR
3.3. Deletion of the PurR Attenuated the Cytotoxicity to HeLa and 293 Cells of Y. pestis
3.4. Deletion of the PurR Significantly Alters Gene Expressions in Y. pestis
3.5. Motif Prediction of PurR
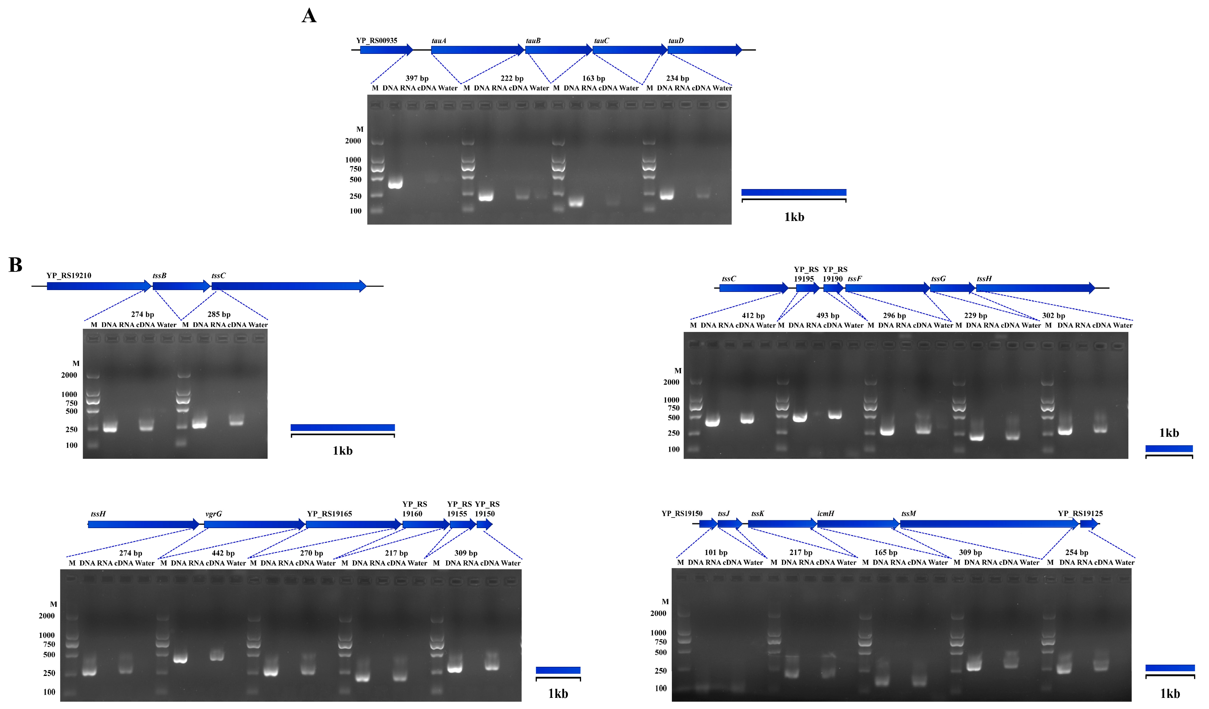
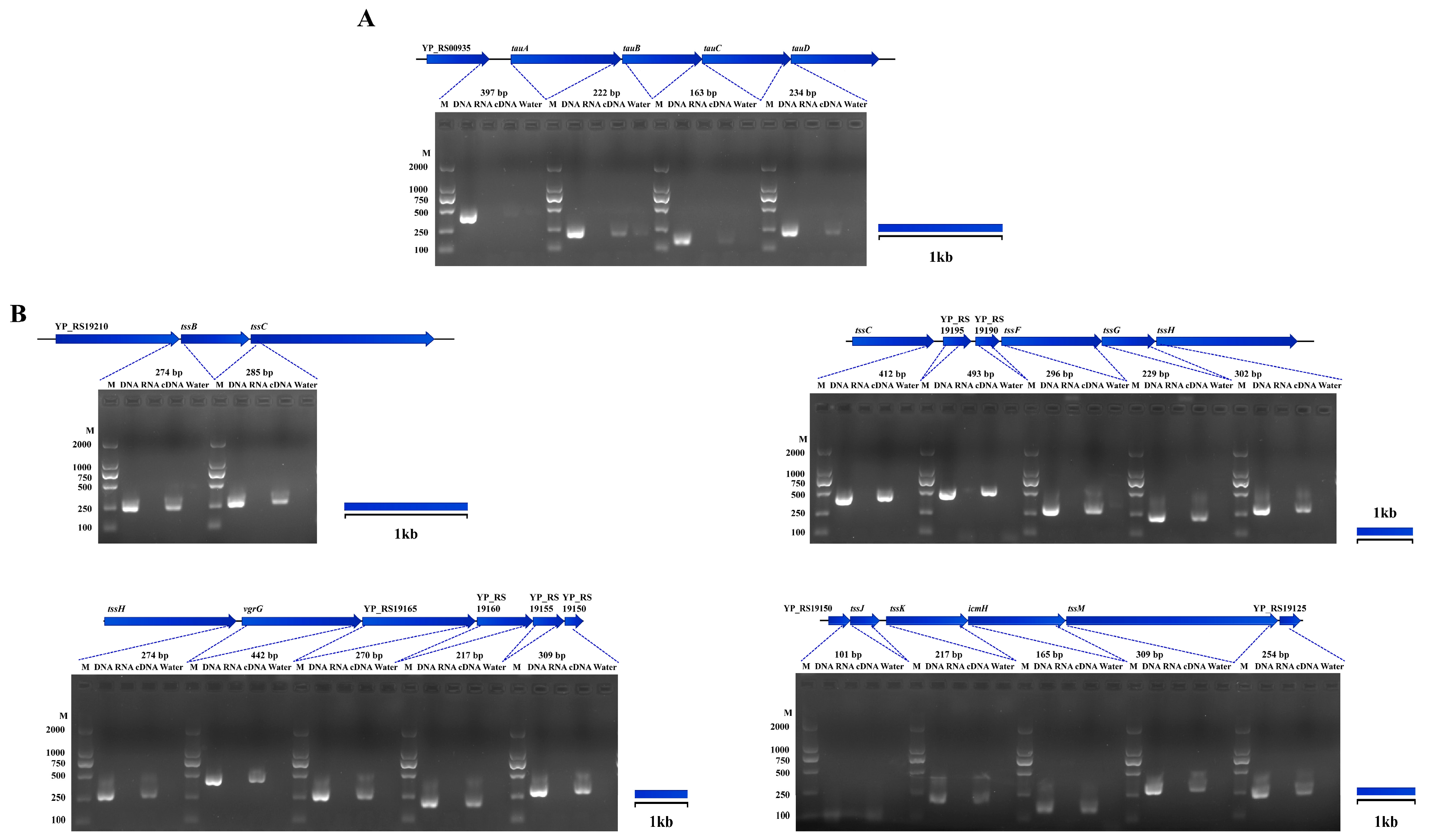
3.6. PurR Regulates Potential Operons in Y. pestis Strain 201
3.7. PurR May Potentially Regulate Other Gene Expressions in Y. pestis Strain 201
3.8. Potential Operons of Y. pestis
4. Discussion
Supplementary Materials
Author Contributions
Funding
Data Availability Statement
Conflicts of Interest
References
- Yang, R.; Atkinson, S.; Chen, Z.; Cui, Y.; Du, Z.; Han, Y.; Sebbane, F.; Slavin, P.; Song, Y.; Yan, Y.; et al. Yersinia pestis and Plague: Some knowns and unknowns. Zoonoses 2023, 3, 5. [Google Scholar] [CrossRef]
- Valles, X.; Stenseth, N.C.; Demeure, C.; Horby, P.; Mead, P.S.; Cabanillas, O.; Ratsitorahina, M.; Rajerison, M.; Andrianaivoarimanana, V.; Ramasindrazana, B.; et al. Human plague: An old scourge that needs new answers. PLoS Neglected Trop. Dis. 2020, 14, e0008251. [Google Scholar] [CrossRef] [PubMed]
- Li, B.; Tan, Y.; Guo, J.; Cui, B.; Wang, Z.; Wang, H.; Zhou, L.; Guo, Z.; Zhu, Z.; Du, Z.; et al. Use of protein microarray to identify gene expression changes of Yersinia pestis at different temperatures. Can. J. Microbiol. 2011, 57, 287–294. [Google Scholar] [CrossRef] [PubMed]
- Achtman, M.; Zurth, K.; Morelli, G.; Torrea, G.; Guiyoule, A.; Carniel, E. Yersinia pestis, the cause of plague, is a recently emerged clone of Yersinia pseudotuberculosis. Proc. Natl. Acad. Sci. USA 1999, 96, 14043–14048. [Google Scholar] [CrossRef]
- Achtman, M. Evolution, population structure, and phylogeography of genetically monomorphic bacterial pathogens. Annu. Rev. Microbiol. 2008, 62, 53–70. [Google Scholar] [CrossRef] [PubMed]
- Connolly, J.; Boldock, E.; Prince, L.R.; Renshaw, S.A.; Whyte, M.K.; Foster, S.J. Identification of Staphylococcus aureus Factors Required for Pathogenicity and Growth in Human Blood. Infect. Immun. 2017, 85, e00337-17. [Google Scholar] [CrossRef]
- Cho, B.K.; Federowicz, S.A.; Embree, M.; Park, Y.S.; Kim, D.; Palsson, B.O. The PurR regulon in Escherichia coli K-12 MG1655. Nucleic Acids Res. 2011, 39, 6456–6464. [Google Scholar] [CrossRef] [PubMed]
- Abdelwahed, E.K.; Hussein, N.A.; Moustafa, A.; Moneib, N.A.; Aziz, R.K. Gene Networks and Pathways Involved in Escherichia coli Response to Multiple Stressors. Microorganisms 2022, 10, 1793. [Google Scholar] [CrossRef]
- Shi, T.; Wang, Y.; Wang, Z.; Wang, G.; Liu, D.; Fu, J.; Chen, T.; Zhao, X. Deregulation of purine pathway in Bacillus subtilis and its use in riboflavin biosynthesis. Microb. Cell Factories 2014, 13, 101. [Google Scholar] [CrossRef]
- Liu, S.; Hu, W.; Wang, Z.; Chen, T. Rational Engineering of Escherichia coli for High-Level Production of Riboflavin. J. Agric. Food Chem. 2021, 69, 12241–12249. [Google Scholar] [CrossRef]
- Jiménez, A.; Santos, M.A.; Pompejus, M.; Revuelta, J.L. Metabolic engineering of the purine pathway for riboflavin production in Ashbya gossypii. Appl. Environ. Microbiol. 2005, 71, 5743–5751. [Google Scholar] [CrossRef]
- Shimizu, K.; Hayashi, S.; Doukyu, N.; Kobayashi, T.; Honda, H. Time-course data analysis of gene expression profiles reveals purR regulon concerns in organic solvent tolerance in Escherichia coli. J. Biosci. Bioeng. 2005, 99, 72–74. [Google Scholar] [CrossRef][Green Version]
- Alkam, D.; Jenjaroenpun, P.; Ramirez, A.M.; Beenken, K.E.; Spencer, H.J.; Smeltzer, M.S. The increased accumulation of Staphylococcus aureus virulence factors is maximized in a purR mutant by the increased production of SarA and decreased production of extracellular proteases. Infect. Immun. 2021, 89, e00718-20. [Google Scholar] [CrossRef]
- Song, Y.; Tong, Z.; Wang, J.; Wang, L.; Guo, Z.; Han, Y.; Zhang, J.; Pei, D.; Zhou, D.; Qin, H.; et al. Complete genome sequence of Yersinia pestis strain 91001, an isolate avirulent to humans. DNA Res. 2004, 11, 179–197. [Google Scholar] [CrossRef] [PubMed]
- Zhang, Q.; Wang, Q.; Tian, G.; Qi, Z.; Zhang, X.; Wu, X.; Qiu, Y.; Bi, Y.; Yang, X.; Xin, Y.; et al. Yersinia pestis biovar Microtus strain 201, an avirulent strain to humans, provides protection against bubonic plague in rhesus macaques. Hum. Vaccines Immunother. 2014, 10, 368–377. [Google Scholar] [CrossRef]
- Barbieri, R.; Signoli, M.; Cheve, D.; Costedoat, C.; Tzortzis, S.; Aboudharam, G.; Raoult, D.; Drancourt, M. Yersinia pestis: The Natural History of Plague. Clin. Microbiol. Rev. 2021, 34, e00044-19. [Google Scholar] [CrossRef] [PubMed]
- Chen, Y.; Song, K.; Chen, X.; Li, Y.; Lv, R.; Zhang, Q.; Cui, Y.; Bi, Y.; Han, Y.; Tan, Y.; et al. Attenuation of Yersinia pestis fyuA mutants caused by iron uptake inhibition and decreased survivability in macrophages. Front. Cell. Infect. Microbiol. 2022, 12, 874773. [Google Scholar] [CrossRef] [PubMed]
- Zhang, Y.; Gao, H.; Wang, L.; Xiao, X.; Tan, Y.; Guo, Z.; Zhou, D.; Yang, R. Molecular characterization of transcriptional regulation of rovA by PhoP and RovA in Yersinia pestis. PLoS ONE 2011, 6, e25484. [Google Scholar] [CrossRef]
- Chang, A.C.; Cohen, S.N. Construction and characterization of amplifiable multicopy DNA cloning vehicles derived from the P15A cryptic miniplasmid. J. Bacteriol. 1978, 134, 1141–1156. [Google Scholar] [CrossRef]
- Straley, S.C.; Bowmer, W.S. Virulence genes regulated at the transcriptional level by Ca2+ in Yersinia pestis include structural genes for outer membrane proteins. Infect. Immun. 1986, 51, 445–454. [Google Scholar] [CrossRef] [PubMed]
- Lisby, A.N.; Carlson, R.D.; Baybutt, T.R.; Weindorfer, M.; Snook, A.E. Evaluation of CAR-T cell cytotoxicity: Real-time impedance-based analysis. Methods Cell Biol. 2022, 167, 81–98. [Google Scholar] [CrossRef]
- Bailey, T.L.; Elkan, C. Fitting a mixture model by expectation maximization to discover motifs in biopolymers. Proc. Int. Conf. Intell. Syst. Mol. Biol. 1994, 2, 28–36. [Google Scholar] [PubMed]
- Grant, C.E.; Bailey, T.L.; Noble, W.S. FIMO: Scanning for occurrences of a given motif. Bioinformatics 2011, 27, 1017–1018. [Google Scholar] [CrossRef]
- Miller, M.C.; Fetherston, J.D.; Pickett, C.L.; Bobrov, A.G.; Weaver, R.H.; DeMoll, E.; Perry, R.D. Reduced synthesis of the Ybt siderophore or production of aberrant Ybt-like molecules activates transcription of yersiniabactin genes in Yersinia pestis. Microbiology 2010, 156, 2226–2238. [Google Scholar] [CrossRef] [PubMed]
- Perez-Rueda, E.; Collado-Vides, J.; Segovia, L. Phylogenetic distribution of DNA-binding transcription factors in bacteria and archaea. Comput. Biol. Chem. 2004, 28, 341–350. [Google Scholar] [CrossRef]
- Han, Y.; Qiu, J.; Guo, Z.; Gao, H.; Song, Y.; Zhou, D.; Yang, R. Comparative transcriptomics in Yersinia pestis: A global view of environmental modulation of gene expression. BMC Microbiol. 2007, 7, 96. [Google Scholar] [CrossRef] [PubMed]
- Sause, W.E.; Balasubramanian, D.; Irnov, I.; Copin, R.; Sullivan, M.J.; Sommerfield, A.; Chan, R.; Dhabaria, A.; Askenazi, M.; Ueberheide, B.; et al. The purine biosynthesis regulator PurR moonlights as a virulence regulator in Staphylococcus aureus. Proc. Natl. Acad. Sci. USA 2019, 116, 13563–13572. [Google Scholar] [CrossRef]
- Anderson, B.W.; Schumacher, M.A.; Yang, J.; Turdiev, A.; Turdiev, H.; Schroeder, J.W.; He, Q.; Lee, V.T.; Brennan, R.G.; Wang, J.D. The nucleotide messenger (p)ppGpp is an anti-inducer of the purine synthesis transcription regulator PurR in Bacillus. Nucleic Acids Res. 2022, 50, 847–866. [Google Scholar] [CrossRef]
- Jewett, M.W.; Lawrence, K.A.; Bestor, A.; Byram, R.; Gherardini, F.; Rosa, P.A. GuaA and GuaB are essential for Borrelia burgdorferi survival in the tick-mouse infection cycle. J. Bacteriol. 2009, 191, 6231–6241. [Google Scholar] [CrossRef]
- Butcher, B.G.; Chakravarthy, S.; D’Amico, K.; Stoos, K.B.; Filiatrault, M.J. Disruption of the carA gene in Pseudomonas syringae results in reduced fitness and alters motility. BMC Microbiol. 2016, 16, 194. [Google Scholar] [CrossRef]
- Tezuka, T.; Ohnishi, Y. Two glycine riboswitches activate the glycine cleavage system essential for glycine detoxification in Streptomyces griseus. J. Bacteriol. 2014, 196, 1369–1376. [Google Scholar] [CrossRef]
- Goncheva, M.I.; Flannagan, R.S.; Heinrichs, D.E. De Novo Purine Biosynthesis Is Required for Intracellular Growth of Staphylococcus aureus and for the Hypervirulence Phenotype of a purR Mutant. Infect. Immun. 2020, 88, e00104-20. [Google Scholar] [CrossRef] [PubMed]
- Musila, J.M.; Forbes, D.L.; Ellis, H.R. Functional Evaluation of the π-Helix in the NAD(P)H:FMN Reductase of the Alkanesulfonate Monooxygenase System. Biochemistry 2018, 57, 4469–4477. [Google Scholar] [CrossRef]
- van der Ploeg, J.R.; Eichhorn, E.; Leisinger, T. Sulfonate-sulfur metabolism and its regulation in Escherichia coli. Arch. Microbiol. 2001, 176, 1–8. [Google Scholar] [CrossRef] [PubMed]
- Jani, A.J.; Cotter, P.A. Type VI secretion: Not just for pathogenesis anymore. Cell Host Microbe 2010, 8, 2–6. [Google Scholar] [CrossRef]
- Yang, X.; Pan, J.; Wang, Y.; Shen, X. Type VI Secretion Systems Present New Insights on Pathogenic Yersinia. Front. Cell. Infect. Microbiol. 2018, 8, 260. [Google Scholar] [CrossRef] [PubMed]
- Hinnebusch, B.J.; Jarrett, C.O.; Bland, D.M. Molecular and Genetic Mechanisms That Mediate Transmission of Yersinia pestis by Fleas. Biomolecules 2021, 11, 210. [Google Scholar] [CrossRef]
- Le-Bury, P.; Druart, K.; Savin, C.; Lechat, P.; Mas Fiol, G.; Matondo, M.; Becavin, C.; Dussurget, O.; Pizarro-Cerda, J. Yersiniomics, a Multi-Omics Interactive Database for Yersinia Species. Microbiol. Spectr. 2023, 11, e0382622. [Google Scholar] [CrossRef] [PubMed]
- Goncheva, M.I.; Flannagan, R.S.; Sterling, B.E.; Laakso, H.A.; Friedrich, N.C.; Kaiser, J.C.; Watson, D.W.; Wilson, C.H.; Sheldon, J.R.; McGavin, M.J.; et al. Stress-induced inactivation of the Staphylococcus aureus purine biosynthesis repressor leads to hypervirulence. Nat. Commun. 2019, 10, 775. [Google Scholar] [CrossRef]
- Weng, M.; Nagy, P.L.; Zalkin, H. Identification of the Bacillus subtilis pur operon repressor. Proc. Natl. Acad. Sci. USA 1995, 92, 7455–7459. [Google Scholar] [CrossRef]
- Long, H.X.; Ma, W.J.; Qin, J.C.; Wang, A.Q. Regulation of purine biosynthetic genes expression in Salmonella typhimurium. Yi Chuan Xue Bao 2000, 27, 462–467. [Google Scholar] [PubMed]
- Gao, H.; Zhou, D.; Li, Y.; Guo, Z.; Han, Y.; Song, Y.; Zhai, J.; Du, Z.; Wang, X.; Lu, J.; et al. The iron-responsive Fur regulon in Yersinia pestis. J. Bacteriol. 2008, 190, 3063–3075. [Google Scholar] [CrossRef] [PubMed]
- Robinson, J.B.; Telepnev, M.V.; Zudina, I.V.; Bouyer, D.; Montenieri, J.A.; Bearden, S.W.; Gage, K.L.; Agar, S.L.; Foltz, S.M.; Chauhan, S.; et al. Evaluation of a Yersinia pestis mutant impaired in a thermoregulated type VI-like secretion system in flea, macrophage and murine models. Microb. Pathog. 2009, 47, 243–251. [Google Scholar] [CrossRef] [PubMed][Green Version]







| Strain or Plasmid | Genotype | Reference |
|---|---|---|
| E. coli | ||
| S17λpir | Tpr Smr recA thi pro hsdR−M+ (RP4-2-Tc::Mu: KanrTn7) λpir | [17] |
| S17-pDS132-purR-del | pDS132-purR-del was introduced into S17λpir | This study |
| DH5α | F- φ80lacZΔM15 Δ(lacZYA-arg F) U169 endA1 recA1 hsdR17(rk−, mk+) supE44 λ- thi-1 gyrA96 relA1 phoA | [17] |
| DH5α-pACYC184- purR | pACYC184-purR was introduced into DH5α | This study |
| DH5α-pET28a (+)-purR | pET28a (+)-purR was introduced into DH5α | This study |
| BL21(DE3) | F-ompT hsdSB(rB−mB−) gal dcm (DE3) | [18] |
| BL21(DE3)-pET28a (+)-purR | pET28a (+)-purR was introduced into BL21 (DE3) | This study |
| Y. pestis | ||
| 201-WT | Y. pestis biovar Microtus strain 201, WT | [14] |
| 201-ΔpurR | deleted purR based on strain 201 | This study |
| 201-ΔpurR-Comp | 201-ΔpurR containing plasmid pACYC184-purR | This study |
| plasmids | ||
| pDS132 | suicide vector, derived from pCVD442, without IS1 sequences. bla gene replaced by the cat gene | [17] |
| pACYC184 | cloning vector, Cmr Tetr | [17,19] |
| pET28a (+) | overexpression vectors, carry an N-terminal His-Tag/T7-Tag configuration plus an optional C-terminal His-Tag sequence, Kanr | [18] |
| Locus Tag * | Log2FC | p-Adjust | Gene Name | Gene Description | Pathway Name |
|---|---|---|---|---|---|
| YP_RS08450 | 3.92 | 5.23 × 10−120 | purT | formate-dependent phosphoribosylglycinamide formyltransferase | Purine metabolism |
| YP_RS04375 | 3.12 | 4.25 × 10−46 | purE | 5-(carboxyamino)imidazole ribonucleotide mutase | |
| YP_RS04370 | 3.01 | 2.65 × 10−52 | purK | 5-(carboxyamino)imidazole ribonucleotide synthase | |
| YP_RS16125 | 2.30 | 1.50 × 10−46 | purH | bifunctional phosphoribosylaminoimidazolecarboxamide formyltransferase/IMP cyclohydrolase | |
| YP_RS14005 | 2.29 | 1.70 × 10−55 | purM | phosphoribosylformylglycinamidine cyclo-ligase | |
| YP_RS12405 | 1.98 | 2.79 × 10−52 | purF | amidophosphoribosyltransferase | |
| YP_RS16130 | 1.97 | 1.56 × 10−34 | purD | phosphoribosylamine--glycine ligase | |
| YP_RS14010 | 1.97 | 1.16 × 10−26 | purN | phosphoribosylglycinamide formyltransferase | |
| YP_RS13160 | 1.90 | 1.40 × 10−21 | purL | phosphoribosylformylglycinamidine synthase | |
| YP_RS14225 | 1.21 | 2.03 × 10−16 | guaB | IMP dehydrogenase | |
| YP_RS19195 | 1.95 | 3.45 × 10−27 | - | Hcp family type VI secretion system effector | Bacterial secretion system |
| YP_RS19175 | 1.89 | 3.77 × 10−24 | tssH | type VI secretion system ATPase TssH | |
| YP_RS19210 | 1.83 | 3.03 × 10−21 | - | ImpA family type VI secretion system protein | |
| YP_RS19205 | 1.82 | 2.89 × 10−25 | tssB | type VI secretion system contractile sheath small subunit | |
| YP_RS19200 | 1.80 | 2.38 × 10−27 | tssC | type VI secretion system contractile sheath large subunit | |
| YP_RS19185 | 1.79 | 1.88 × 10−18 | tssF | type VI secretion system baseplate subunit TssF | |
| YP_RS19145 | 1.78 | 4.53 × 10−19 | tssJ | type VI secretion system lipoprotein TssJ | |
| YP_RS19180 | 1.72 | 8.93 × 10−18 | tssG | type VI secretion system baseplate subunit TssG | |
| YP_RS19140 | 1.71 | 1.51 × 10−25 | tssK | type VI secretion system baseplate subunit TssK | |
| YP_RS19135 | 1.68 | 5.57 × 10−37 | icmH | type IV secretion system protein IcmH/DotU | |
| YP_RS19170 | 1.62 | 1.09 × 10−15 | vgrG | type VI secretion system tip protein VgrG | |
| YP_RS19190 | 1.60 | 2.14 × 10−18 | - | type VI secretion system baseplate subunit TssE | |
| YP_RS19130 | 1.45 | 3.02 × 10−28 | tssM | type VI secretion system membrane subunit TssM | |
| YP_RS15960 | 1.44 | 2.50 × 10−5 | tssE | type VI secretion system baseplate subunit TssE | |
| YP_RS15965 | 1.11 | 1.88 × 10−15 | tssC | type VI secretion system contractile sheath large subunit | |
| YP_RS15970 | 1.03 | 2.09 × 10−6 | tssB | type VI secretion system contractile sheath small subunit | |
| YP_RS15955 | 0.96 | 8.61 × 10−4 | tssF | type VI secretion system baseplate subunit TssF |
| Locus Tag * | Log2FC | p-Adjust | Gene Name | Gene Description | KEGG |
|---|---|---|---|---|---|
| YP_RS08450 | 4.18 | 1.68 × 10−95 | purT | formate-dependent phosphoribosylglycinamide formyltransferase | Purine metabolism |
| YP_RS04375 | 3.76 | 4.12 × 10−46 | purE | 5-(carboxyamino)imidazole ribonucleotide mutase | |
| YP_RS04370 | 3.60 | 5.14 × 10−64 | purK | 5-(carboxyamino)imidazole ribonucleotide synthase | |
| YP_RS16125 | 2.97 | 1.89 × 10−64 | purH | bifunctional phosphoribosylaminoimidazolecarboxamide formyltransferase/IMP cyclohydrolase | |
| YP_RS13160 | 2.83 | 4.37 × 10−41 | purL | phosphoribosylformylglycinamidine synthase | |
| YP_RS14005 | 2.76 | 8.61 × 10−66 | purM | phosphoribosylformylglycinamidine cyclo-ligase | |
| YP_RS16130 | 2.70 | 2.68 × 10−33 | purD | phosphoribosylamine--glycine ligase | |
| YP_RS14225 | 2.47 | 3.44 × 10−23 | guaB | IMP dehydrogenase | |
| YP_RS14010 | 2.36 | 1.28 × 10−22 | purN | phosphoribosylglycinamide formyltransferase | |
| YP_RS12405 | 2.24 | 4.64 × 10−27 | purF | amidophosphoribosyltransferase | |
| YP_RS13925 | 1.95 | 8.44 × 10−11 | - | phosphoribosylaminoimidazolesuccinocarboxamide synthase | |
| YP_RS14215 | 1.75 | 1.04 × 10−14 | guaA | glutamine-hydrolyzing GMP synthase | |
| YP_RS09185 | 1.26 | 1.20 × 10−7 | purB | adenylosuccinate lyase | |
| YP_RS20415 | −2.40 | 3.19 × 10−8 | ssuD | FMNH2-dependent alkanesulfonate monooxygenase | Sulfur metabolism |
| YP_RS20410 | −1.80 | 2.48 × 10−4 | ssuC | aliphatic sulfonate ABC transporter permease SsuC | |
| YP_RS00940 | −1.79 | 7.13 × 10−4 | tauA | taurine ABC transporter substrate-binding protein | |
| YP_RS00950 | −1.79 | 1.23 × 10−3 | tauC | taurine ABC transporter permease TauC | |
| YP_RS00945 | −1.59 | 1.27 × 10−3 | tauB | taurine ABC transporter ATP-binding subunit | |
| YP_RS20405 | −1.35 | 5.37 × 10−2 | ssuB | aliphatic sulfonates ABC transporter ATP-binding protein | |
| YP_RS00425 | −1.19 | 5.53 × 10−2 | - | sulfate ABC transporter substrate-binding protein |
Disclaimer/Publisher’s Note: The statements, opinions and data contained in all publications are solely those of the individual author(s) and contributor(s) and not of MDPI and/or the editor(s). MDPI and/or the editor(s) disclaim responsibility for any injury to people or property resulting from any ideas, methods, instructions or products referred to in the content. |
© 2023 by the authors. Licensee MDPI, Basel, Switzerland. This article is an open access article distributed under the terms and conditions of the Creative Commons Attribution (CC BY) license (https://creativecommons.org/licenses/by/4.0/).
Share and Cite
Xiao, L.; Jin, J.; Song, K.; Qian, X.; Wu, Y.; Sun, Z.; Xiong, Z.; Li, Y.; Zhao, Y.; Shen, L.; et al. Regulatory Functions of PurR in Yersinia pestis: Orchestrating Diverse Biological Activities. Microorganisms 2023, 11, 2801. https://doi.org/10.3390/microorganisms11112801
Xiao L, Jin J, Song K, Qian X, Wu Y, Sun Z, Xiong Z, Li Y, Zhao Y, Shen L, et al. Regulatory Functions of PurR in Yersinia pestis: Orchestrating Diverse Biological Activities. Microorganisms. 2023; 11(11):2801. https://doi.org/10.3390/microorganisms11112801
Chicago/Turabian StyleXiao, Liting, Junyan Jin, Kai Song, Xiuwei Qian, Yarong Wu, Zhulin Sun, Ziyao Xiong, Yanbing Li, Yanting Zhao, Leiming Shen, and et al. 2023. "Regulatory Functions of PurR in Yersinia pestis: Orchestrating Diverse Biological Activities" Microorganisms 11, no. 11: 2801. https://doi.org/10.3390/microorganisms11112801
APA StyleXiao, L., Jin, J., Song, K., Qian, X., Wu, Y., Sun, Z., Xiong, Z., Li, Y., Zhao, Y., Shen, L., Cui, Y., Yao, W., Cui, Y., & Song, Y. (2023). Regulatory Functions of PurR in Yersinia pestis: Orchestrating Diverse Biological Activities. Microorganisms, 11(11), 2801. https://doi.org/10.3390/microorganisms11112801

