Development of a Multiplex PCR Assay for Efficient Detection of Two Potential Probiotic Strains Using Whole Genome-Based Primers
Abstract
:1. Introduction
2. Materials and Methods
2.1. Phylogenetic Analysis
2.2. In Silico Pipeline for the Detection of Unique Regions in the Genome Sequence of Lp. plantarum L125 and Lp. pentosus L33
2.3. Design of Strain-Specific Primers
2.4. Bacterial Cultures and DNA Extraction
2.5. Preparation of Yogurt Products Containing Lp. plantarum L125 or Lp. pentosus L33, Bacterial Sampling and DNA Extraction
2.6. Multiplex PCR Assay Design and Gel Electrophoresis
3. Results
3.1. Phylogenomic Analysis
3.2. Detection of Strain-Specific Unique Regions in the Genome of Lp. plantarum L125 and Lp. pentosus L33
3.3. Design of Strain-Specific Primers for Lp. plantarum L125 and Lp. pentosus L33
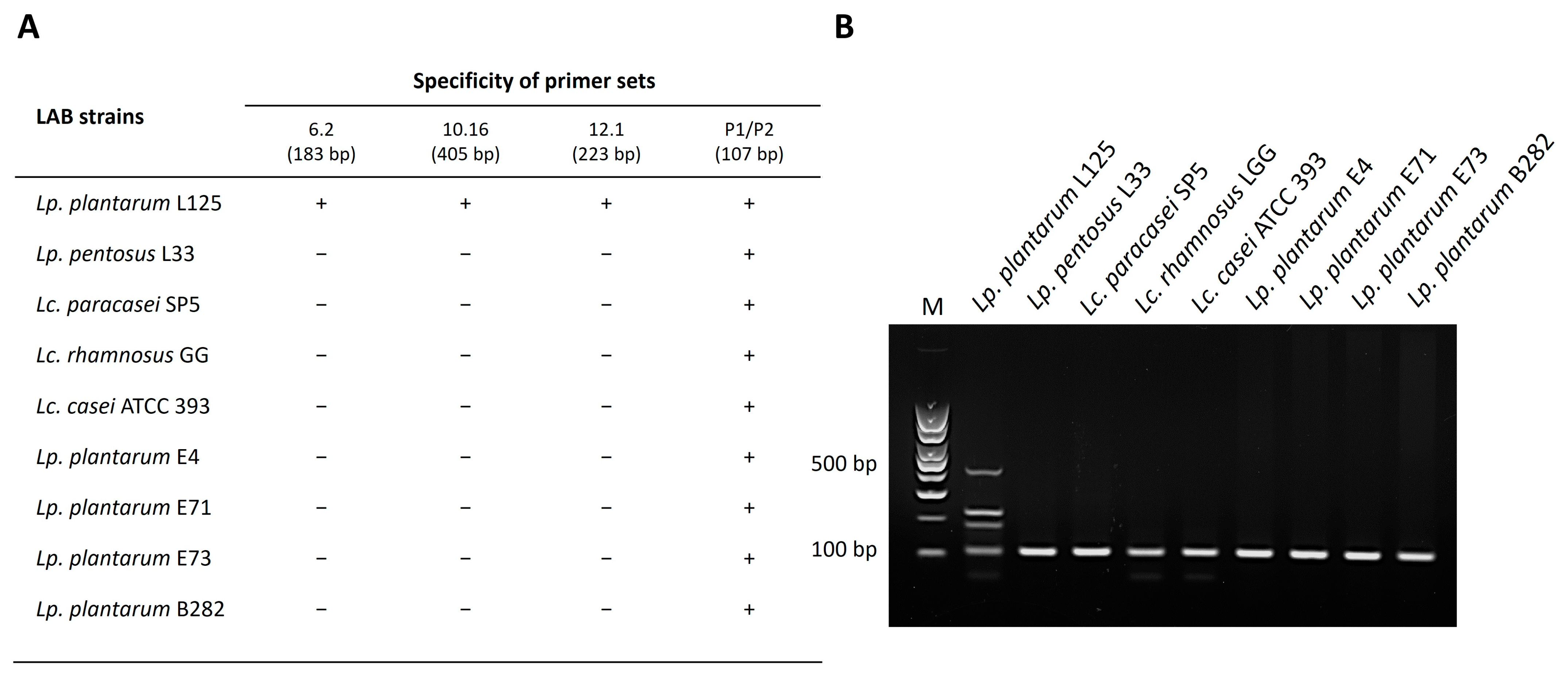
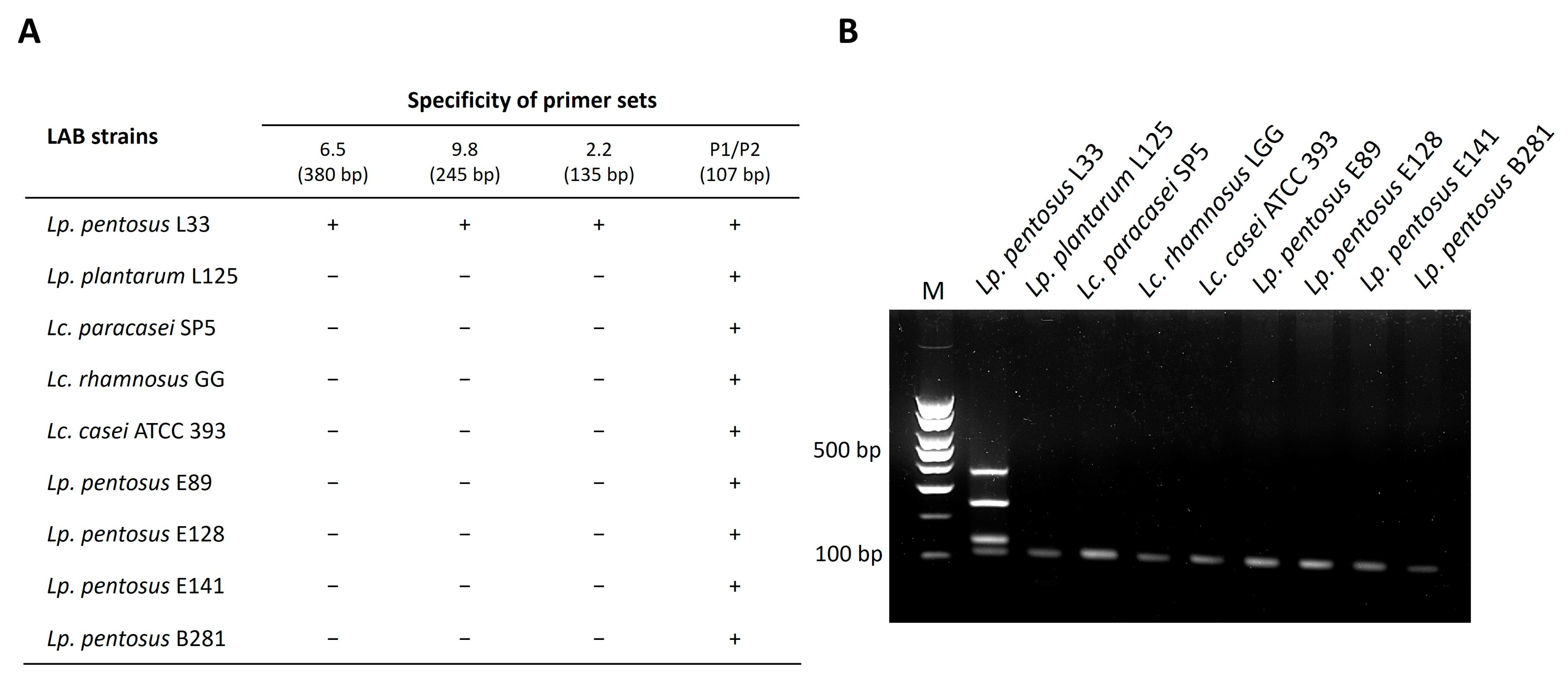
3.4. Validation of the Specificity of Primers In Vitro Using DNA Extracted from Monocultures or Fermented Dairy Products
4. Discussion
5. Conclusions
Supplementary Materials
Author Contributions
Funding
Data Availability Statement
Acknowledgments
Conflicts of Interest
References
- Hill, C.; Guarner, F.; Reid, G.; Gibson, G.R.; Merenstein, D.J.; Pot, B.; Morelli, L.; Canani, R.B.; Flint, H.J.; Salminen, S.; et al. The International Scientific Association for Probiotics and Prebiotics Consensus Statement on the Scope and Appropriate Use of the Term Probiotic. Nat. Rev. Gastroenterol. Hepatol. 2014, 11, 506–514. [Google Scholar] [CrossRef] [PubMed]
- McFarland, L.V.; Evans, C.T.; Goldstein, E.J.C. Strain-Specificity and Disease-Specificity of Probiotic Efficacy: A Systematic Review and Meta-Analysis. Front. Med. 2018, 5, 124. [Google Scholar] [CrossRef]
- Milner, E.; Stevens, B.; An, M.; Lam, V.; Ainsworth, M.; Dihle, P.; Stearns, J.; Dombrowski, A.; Rego, D.; Segars, K. Utilizing Probiotics for the Prevention and Treatment of Gastrointestinal Diseases. Front. Microbiol. 2021, 12, 689958. [Google Scholar] [CrossRef]
- Kiousi, D.E.; Karapetsas, A.; Karolidou, K.; Panayiotidis, M.I.; Pappa, A.; Galanis, A. Probiotics in Extraintestinal Diseases: Current Trends and New Directions. Nutrients 2019, 11, 788. [Google Scholar] [CrossRef]
- Rychen, G.; Aquilina, G.; Azimonti, G.; Bampidis, V.; de Bastos, M.L.; Bories, G.; Chesson, A.; Cocconcelli, P.S.; Flachowsky, G.; Gropp, J.; et al. Guidance on the Characterisation of Microorganisms Used as Feed Additives or as Production Organisms. EFSA J. 2018, 16, 5206. [Google Scholar] [CrossRef]
- Prete, R.; Long, S.L.; Joyce, S.A.; Corsetti, A. Genotypic and Phenotypic Characterization of Food-Associated Lactobacillus Plantarum Isolates for Potential Probiotic Activities. FEMS Microbiol. Lett. 2021, 367, fnaa076. [Google Scholar] [CrossRef]
- Kawase, M.; He, F.; Kubota, A.; Miyazawa, K.; Yoda, K.; Hiramatsu, M. Strain-Specific Detection by Pulsed-Field Gel Electrophoresis of Lactobacillus Gasseri TMC0356 in Human Feces after Oral Administration of These Organisms. Microbiol. Immunol. 2011, 55, 589–594. [Google Scholar] [CrossRef]
- Öztürk, M.; Meterelliyöz, M. Practical Identification of Human Originated Lactobacillus Species by Amplified Ribosomal DNA Restriction Analysis (ARDRA) for Probiotic Use. Mol. Biol. Rep. 2015, 42, 1323–1332. [Google Scholar] [CrossRef]
- Galanis, A.; Kourkoutas, Y.; Tassou, C.C.; Chorianopoulos, N. Detection and Identification of Probiotic Lactobacillus Plantarum Strains by Multiplex PCR Using RAPD-Derived Primers. Int. J. Mol. Sci. 2015, 16, 25141–25153. [Google Scholar] [CrossRef]
- Lee, S.H.; Ahn, M.J.; Hong, J.S.; Lee, J.H. Diversity and Community Analysis of Fermenting Bacteria Isolated from Eight Major Korean Fermented Foods Using Arbitrary-Primed PCR and 16S RRNA Gene Sequencing. J. Korean Soc. Appl. Biol. Chem. 2015, 58, 453–461. [Google Scholar] [CrossRef]
- Ventura, M.; Canchaya, C.; Meylan, V.; Klaenhammer, T.R.; Zink, R. Analysis, Characterization, and Loci of the Tuf Genes in Lactobacillus and Bifidobacterium Species and Their Direct Application for Species Identification. Appl. Environ. Microbiol. 2003, 69, 6908–6922. [Google Scholar] [CrossRef]
- Karapetsas, A.; Vavoulidis, E.; Galanis, A.; Sandaltzopoulos, R.; Kourkoutas, Y. Rapid Detection and Identification of Probiotic Lactobacillus Casei ATCC 393 by Multiplex PCR. J. Mol. Microbiol. Biotechnol. 2010, 18, 156–161. [Google Scholar] [CrossRef]
- Sharma, A.; Lee, S.; Park, Y.S. Molecular Typing Tools for Identifying and Characterizing Lactic Acid Bacteria: A Review. Food Sci. Biotechnol. 2020, 29, 1301–1318. [Google Scholar] [CrossRef]
- Stefanis, C.; Mantzourani, I.; Plessas, S.; Alexopoulos, A.; Galanis, A.; Bezirtzoglou, E.; Kandylis, P.; Varzakas, T. Reviewing Classical and Molecular Techniques Regarding Profiling of Probiotic Character of Microorganisms. Curr. Res. Nutr. Food Sci. 2016, 4, 27–47. [Google Scholar] [CrossRef]
- Huang, C.H.; Chen, C.C.; Chiu, S.H.; Liou, J.S.; Lin, Y.C.; Lin, J.S.; Huang, L.; Watanabe, K. Development of a High-Resolution Single-Nucleotide Polymorphism Strain-Typing Assay Using Whole Genome-Based Analyses for the Lactobacillus Acidophilus Probiotic Strain. Microorganisms 2020, 8, 1445. [Google Scholar] [CrossRef]
- Hamamoto, H.; Ogasawara, A.A.; Iwasa, M.; Sekimizu, K. Establishment of a Polymerase Chain Reaction-Based Method for Strain-Level Management of Enterococcus Faecalis EF-2001 Using Species-Specific Sequences Identified by Whole Genome Sequences. Front. Microbiol. 2022, 13, 959063. [Google Scholar] [CrossRef]
- Stergiou, O.S.; Tegopoulos, K.; Kiousi, D.E.; Tsifintaris, M.; Papageorgiou, A.C.; Tassou, C.C.; Chorianopoulos, N.; Kolovos, P.; Galanis, A. Whole-Genome Sequencing, Phylogenetic and Genomic Analysis of Lactiplantibacillus Pentosus L33, a Potential Probiotic Strain Isolated from Fermented Sausages. Front. Microbiol. 2021, 12, 746659. [Google Scholar] [CrossRef]
- Tegopoulos, K.; Stergiou, O.S.; Kiousi, D.E.; Tsifintaris, M.; Koletsou, E.; Papageorgiou, A.C.; Argyri, A.A.; Chorianopoulos, N.; Galanis, A.; Kolovos, P. Genomic and Phylogenetic Analysis of Lactiplantibacillus plantarum L125, and Evaluation of Its Anti-Proliferative and Cytotoxic Activity in Cancer Cells. Biomedicines 2021, 9, 1718. [Google Scholar] [CrossRef]
- Pavli, F.G.; Argyri, A.A.; Papadopoulou, O.S. Probiotic Potential of Lactic Acid Bacteria from Traditional Fermented Dairy and Meat Products: Assessment by In Vitro Tests and Molecular Characterization. J. Probiotics Health 2016, 4, 3. [Google Scholar] [CrossRef]
- Kiousi, D.E.; Efstathiou, C.; Tzampazlis, V.; Plessas, S.; Panopoulou, M.; Koffa, M.; Galanis, A. Genetic and Phenotypic Assessment of the Antimicrobial Activity of Three Potential Probiotic Lactobacilli against Human Enteropathogenic Bacteria. Front. Cell Infect. Microbiol. 2023, 13, 1127256. [Google Scholar] [CrossRef]
- Pavli, F.G.; Argyri, A.A.; Chorianopoulos, N.G.; Nychas, G.J.E.; Tassou, C.C. Effect of Lactobacillus Plantarum L125 Strain with Probiotic Potential on Physicochemical, Microbiological and Sensorial Characteristics of Dry-Fermented Sausages. LWT 2020, 118, 108810. [Google Scholar] [CrossRef]
- Kiousi, D.E.; Efstathiou, C.; Tegopoulos, K.; Mantzourani, I.; Alexopoulos, A.; Plessas, S.; Kolovos, P.; Koffa, M.; Galanis, A. Genomic Insight into Lacticaseibacillus paracasei SP5, Reveals Genes and Gene Clusters of Probiotic Interest and Biotechnological Potential. Front. Microbiol. 2022, 13, 922689. [Google Scholar] [CrossRef]
- Darling, A.E.; Mau, B.; Perna, N.T. ProgressiveMauve: Multiple Genome Alignment with Gene Gain, Loss and Rearrangement. PLoS ONE 2010, 5, e11147. [Google Scholar] [CrossRef] [PubMed]
- Letunic, I.; Bork, P. Interactive Tree of Life (ITOL) v3: An Online Tool for the Display and Annotation of Phylogenetic and Other Trees. Nucleic Acids Res. 2016, 44, W242–W245. [Google Scholar] [CrossRef] [PubMed]
- Ciufo, S.; Kannan, S.; Sharma, S.; Badretdin, A.; Clark, K.; Turner, S.; Brover, S.; Schoch, C.L.; Kimchi, A.; DiCuccio, M. Using Average Nucleotide Identity to Improve Taxonomic Assignments in Prokaryotic Genomes at the NCBI. Int. J. Syst. Evol. Microbiol. 2018, 68, 2386. [Google Scholar] [CrossRef]
- Langmead, B.; Salzberg, S.L. Fast Gapped-Read Alignment with Bowtie 2. Nat. Methods 2012, 9, 357–359. [Google Scholar] [CrossRef] [PubMed]
- Danecek, P.; Bonfield, J.K.; Liddle, J.; Marshall, J.; Ohan, V.; Pollard, M.O.; Whitwham, A.; Keane, T.; McCarthy, S.A.; Davies, R.M. Twelve Years of SAMtools and BCFtools. Gigascience 2021, 10, giab008. [Google Scholar] [CrossRef]
- Bankevich, A.; Nurk, S.; Antipov, D.; Gurevich, A.A.; Dvorkin, M.; Kulikov, A.S.; Lesin, V.M.; Nikolenko, S.I.; Pham, S.; Prjibelski, A.D.; et al. Original Articles SPAdes: A New Genome Assembly Algorithm and Its Applications to Single-Cell Sequencing. J. Comput. Biol. 2012, 19, 455–477. [Google Scholar] [CrossRef]
- Camacho, C.; Coulouris, G.; Avagyan, V.; Ma, N.; Papadopoulos, J.; Bealer, K.; Madden, T.L. BLAST+: Architecture and Applications. BMC Bioinform. 2009, 10, 421. [Google Scholar] [CrossRef]
- Seemann, T. Genome Analysis Prokka: Rapid Prokaryotic Genome Annotation. Bioinformatics 2014, 30, 2068–2069. [Google Scholar] [CrossRef]
- Arndt, D.; Grant, J.R.; Marcu, A.; Sajed, T.; Pon, A.; Liang, Y.; Wishart, D.S. PHASTER: A Better, Faster Version of the PHAST Phage Search Tool. Nucleic Acids Res. 2016, 44, W16–W21. [Google Scholar] [CrossRef]
- Ye, J.; Coulouris, G.; Zaretskaya, I.; Cutcutache, I.; Rozen, S.; Madden, T.L. Primer-BLAST: A Tool to Design Target-Specific Primers for Polymerase Chain Reaction. BMC Bioinform. 2012, 13, 134. [Google Scholar] [CrossRef]
- Lu, J.; Johnston, A.; Berichon, P.; Ru, K.L.; Korbie, D.; Trau, M. PrimerSuite: A High-Throughput Web-Based Primer Design Program for Multiplex Bisulfite PCR. Sci. Rep. 2017, 7, 41328. [Google Scholar] [CrossRef]
- Mantzourani, I.; Chondrou, P.; Bontsidis, C.; Karolidou, K.; Terpou, A.; Alexopoulos, A.; Bezirtzoglou, E.; Galanis, A.; Plessas, S. Assessment of the Probiotic Potential of Lactic Acid Bacteria Isolated from Kefir Grains: Evaluation of Adhesion and Antiproliferative Properties in in Vitro Experimental Systems. Ann. Microbiol. 2019, 69, 751–763. [Google Scholar] [CrossRef]
- Argyri, A.A.; Zoumpopoulou, G.; Karatzas, K.A.G.; Tsakalidou, E.; Nychas, G.J.E.; Panagou, E.Z.; Tassou, C.C. Selection of Potential Probiotic Lactic Acid Bacteria from Fermented Olives by in Vitro Tests. Food Microbiol. 2013, 33, 282–291. [Google Scholar] [CrossRef] [PubMed]
- Saxami, G.; Papadopoulou, O.S.; Chorianopoulos, N.; Kourkoutas, Y.; Tassou, C.C.; Galanis, A. Molecular Detection of Two Potential Probiotic Lactobacilli Strains and Evaluation of Their Performance as Starter Adjuncts in Yogurt Production. Int. J. Mol. Sci. 2016, 17, 668. [Google Scholar] [CrossRef] [PubMed]
- Klijn, N.; Weerkamp, A.H.; De Vos, W.M. Identification of Mesophilic Lactic Acid Bacteria by Using Polymerase Chain Reaction-Amplified Variable Regions of 16S RRNA and Specific DNA Probes. Appl. Environ. Microbiol. 1991, 57, 3390–3393. [Google Scholar] [CrossRef] [PubMed]
- Zotta, T.; Giavalisco, M.; Parente, E.; Picariello, G.; Siano, F.; Ricciardi, A. Selection of Lactiplantibacillus Strains for the Production of Fermented Table Olives. Microorganisms 2022, 10, 625. [Google Scholar] [CrossRef]
- Kim, E.; Kim, H.B.; Yang, S.M.; Kim, D.; Kim, H.Y. Real-Time PCR Assay for Detecting Lactobacillus Plantarum Group Using Species/Subspecies-Specific Genes Identified by Comparative Genomics. LWT 2021, 138, 110789. [Google Scholar] [CrossRef]
- Hernández, I.; Sant, C.; Martínez, R.; Fernández, C. Design of Bacterial Strain-Specific QPCR Assays Using NGS Data and Publicly Available Resources and Its Application to Track Biocontrol Strains. Front. Microbiol. 2020, 11, 208. [Google Scholar] [CrossRef] [PubMed]
- Kiousi, D.E.; Chorianopoulos, N.; Tassou, C.C.; Galanis, A. The Clash of Microbiomes: From the Food Matrix to the Host Gut. Microorganisms 2022, 10, 116. [Google Scholar] [CrossRef] [PubMed]
- Senanayake, D.; Torley, P.J.; Chandrapala, J.; Terefe, N.S. Microbial Fermentation for Improving the Sensory, Nutritional and Functional Attributes of Legumes. Fermentation 2023, 9, 635. [Google Scholar] [CrossRef]
- Kiousi, D.E.; Rathosi, M.; Tsifintaris, M.; Chondrou, P.; Galanis, A. Pro-Biomics: Omics Technologies To Unravel the Role of Probiotics in Health and Disease. Adv. Nutr. 2021, 12, 1802–1820. [Google Scholar] [CrossRef] [PubMed]
- Suez, J.; Zmora, N.; Zilberman-Schapira, G.; Mor, U.; Dori-Bachash, M.; Bashiardes, S.; Zur, M.; Regev-Lehavi, D.; Ben-Zeev Brik, R.; Federici, S.; et al. Post-Antibiotic Gut Mucosal Microbiome Reconstitution Is Impaired by Probiotics and Improved by Autologous FMT. Cell 2018, 174, 1406–1423.e16. [Google Scholar] [CrossRef] [PubMed]
- Zmora, N.; Zilberman-Schapira, G.; Suez, J.; Mor, U.; Dori-Bachash, M.; Bashiardes, S.; Kotler, E.; Zur, M.; Regev-Lehavi, D.; Brik, R.B.Z.; et al. Personalized Gut Mucosal Colonization Resistance to Empiric Probiotics Is Associated with Unique Host and Microbiome Features. Cell 2018, 174, 1388–1405.e21. [Google Scholar] [CrossRef]
- Kiousi, D.E.; Bucka-Kolendo, J.; Wojtczak, A.; Sokołowska, B.; Doulgeraki, A.I.; Galanis, A. Genomic Analysis and In Vitro Investigation of the Hop Resistance Phenotype of Two Novel Loigolactobacillus backii Strains, Isolated from Spoiled Beer. Microorganisms 2023, 11, 280. [Google Scholar] [CrossRef]
- Roobab, U.; Batool, Z.; Manzoor, M.F.; Shabbir, M.A.; Khan, M.R.; Aadil, R.M. Sources, Formulations, Advanced Delivery and Health Benefits of Probiotics. Curr. Opin. Food Sci. 2020, 32, 17–28. [Google Scholar] [CrossRef]
- Wong, Y.P.; Othman, S.; Lau, Y.L.; Radu, S.; Chee, H.Y. Loop-Mediated Isothermal Amplification (LAMP): A Versatile Technique for Detection of Micro-Organisms. J. Appl. Microbiol. 2018, 124, 626–643. [Google Scholar] [CrossRef]
- Stubbendieck, R.M.; Vargas-Bautista, C.; Straight, P.D. Bacterial Communities: Interactions to Scale. Front. Microbiol. 2016, 7, 1234. [Google Scholar] [CrossRef]
- Barnett, S.E.; Youngblut, N.D.; Buckley, D.H. Bacterial Community Dynamics Explain Carbon Mineralization and Assimilation in Soils of Different Land-Use History. Environ. Microbiol. 2022, 24, 5230–5247. [Google Scholar] [CrossRef]
- Maier, L.; Pruteanu, M.; Kuhn, M.; Zeller, G.; Telzerow, A.; Anderson, E.; Brochado, A.R.; Fernandez, K.C.; Dose, H.; Mori, H.; et al. Extensive Impact of Non-Antibiotic Drugs on Human Gut Bacteria. Nature 2018, 555, 623–628. [Google Scholar] [CrossRef] [PubMed]
- Maier, L.; Goemans, C.V.; Wirbel, J.; Kuhn, M.; Eberl, C.; Pruteanu, M.; Müller, P.; Garcia-Santamarina, S.; Cacace, E.; Zhang, B.; et al. Unravelling the Collateral Damage of Antibiotics on Gut Bacteria. Nature 2021, 599, 120–124. [Google Scholar] [CrossRef] [PubMed]
- Lkhagva, E.; Chung, H.J.; Ahn, J.S.; Hong, S.T. Host Factors Affect the Gut Microbiome More Significantly than Diet Shift. Microorganisms 2021, 9, 2520. [Google Scholar] [CrossRef] [PubMed]
- Mawarda, P.C.; Lakke, S.L.; Dirk van Elsas, J.; Salles, J.F. Temporal Dynamics of the Soil Bacterial Community Following Bacillus Invasion. iScience 2022, 25, 104185. [Google Scholar] [CrossRef] [PubMed]






| Strain Name | Isolation Source | Available WGS | Reference |
|---|---|---|---|
| Lp. plantarum L125 | Fermented sausages | Yes | [19] |
| Lp. pentosus L33 | Fermented sausages | Yes | [19] |
| Lc. paracasei SP5 | Kefir grains | Yes | [34] |
| Lc. rhamnosus GG | Commercial strain | Yes | DSMZ (Braunschweig, Germany) |
| Lc. casei ATCC 393 | Commercial strain | Yes | ATCC (LGC Standards, Middlesex, UK) |
| Lp. pentosus B281 | Fermented table olives | No | [35] |
| Lp. pentosus E89 | Fermented table olives | No | [35] |
| Lp. pentosus E128 | Fermented table olives | No | [35] |
| Lp. pentosus E141 | Fermented table olives | No | [35] |
| Lp. plantarum B282 | Fermented table olives | No | [35] |
| Lp. plantarum E4 | Fermented table olives | No | [35] |
| Lp. plantarum E71 | Fermented table olives | No | [35] |
| Lp. plantarum E73 | Fermented table olives | No | [35] |
| Primer Code | Primer Sequence (5′-3′) | Primer Length (bp) | Tm (°C) | GC Content (%) | Product Length (bp) |
|---|---|---|---|---|---|
| Lp. plantarum L125 | |||||
| 6.2F | CCCGATAGAGGTTCTTCAAGCC | 22 | 60.48 | 54.55 | 183 |
| 6.2R | ACTCCAAGGATCCAAACAAGCC | 22 | 60.82 | 50.00 | |
| 10.16F | CGATTGCAGCAACGATAGATCC | 22 | 59.84 | 50 | 405 |
| 10.16R | TAGACCCATTTTGCCAAGGTC | 21 | 58.2 | 47.62 | |
| 12.1F | AGGAGCAATGTGATTCTACCAC | 22 | 58.12 | 45.45 | 223 |
| 12.1R | AGGCAATGCTATCGTCCATGA | 21 | 59.58 | 47.62 | |
| Lp. pentosus L33 | |||||
| 2.2F | CATATCGTCAACAATCCCACGG | 22 | 59.46 | 50 | 135 |
| 2.2R | TAGCACTGTGGCTGAGTATTGG | 22 | 60.09 | 50 | |
| 6.5F | TACTTTCTGATCTGGTCGGGTC | 22 | 59.24 | 50.0 | 380 |
| 6.5R | GCTTTACCGGACATCCTCAATG | 22 | 59.39 | 50.0 | |
| 9.8F | TGTTTTGGGTATAGCTGTGGC | 21 | 58.56 | 47.62 | 245 |
| 9.8R | CGAACTCGGGCTAGAAATCATC | 22 | 58.95 | 50 | |
| Contig | Range of Primer Design | Prokka Annotation | Range of CDS | Blastp Annotation | Prophage Region |
|---|---|---|---|---|---|
| Lp. plantarum L125 | |||||
| Contig 6 | 515–697 | Hypothetical protein | 425–1276 | Glycosyl-transferase | No |
| Contig 12 | 1908–2130 | Hypothetical protein | 1983–2468 | Hypothetical protein | No |
| Contig 10 | 1947–2351 | General stress protein A | 1547–2557 | Glycosyl-transferase | No |
| Lp. pentosus L33 | |||||
| Contig 6 | 3120–3478 | Hypothetical protein | 3044–3577 | PH domain-containing protein | No |
| Contig 2 | 763–876 | Hypothetical protein | 791–1060 | No significant similarity found | No |
| Contig 9 | 720–964 | Hypothetical protein | 616–954 | Hypothetical protein | No |
Disclaimer/Publisher’s Note: The statements, opinions and data contained in all publications are solely those of the individual author(s) and contributor(s) and not of MDPI and/or the editor(s). MDPI and/or the editor(s) disclaim responsibility for any injury to people or property resulting from any ideas, methods, instructions or products referred to in the content. |
© 2023 by the authors. Licensee MDPI, Basel, Switzerland. This article is an open access article distributed under the terms and conditions of the Creative Commons Attribution (CC BY) license (https://creativecommons.org/licenses/by/4.0/).
Share and Cite
Kiousi, D.E.; Karadedos, D.M.; Sykoudi, A.; Repanas, P.; Kamarinou, C.S.; Argyri, A.A.; Galanis, A. Development of a Multiplex PCR Assay for Efficient Detection of Two Potential Probiotic Strains Using Whole Genome-Based Primers. Microorganisms 2023, 11, 2553. https://doi.org/10.3390/microorganisms11102553
Kiousi DE, Karadedos DM, Sykoudi A, Repanas P, Kamarinou CS, Argyri AA, Galanis A. Development of a Multiplex PCR Assay for Efficient Detection of Two Potential Probiotic Strains Using Whole Genome-Based Primers. Microorganisms. 2023; 11(10):2553. https://doi.org/10.3390/microorganisms11102553
Chicago/Turabian StyleKiousi, Despoina E., Dimitrios M. Karadedos, Anastasia Sykoudi, Panagiotis Repanas, Christina S. Kamarinou, Anthoula A. Argyri, and Alex Galanis. 2023. "Development of a Multiplex PCR Assay for Efficient Detection of Two Potential Probiotic Strains Using Whole Genome-Based Primers" Microorganisms 11, no. 10: 2553. https://doi.org/10.3390/microorganisms11102553
APA StyleKiousi, D. E., Karadedos, D. M., Sykoudi, A., Repanas, P., Kamarinou, C. S., Argyri, A. A., & Galanis, A. (2023). Development of a Multiplex PCR Assay for Efficient Detection of Two Potential Probiotic Strains Using Whole Genome-Based Primers. Microorganisms, 11(10), 2553. https://doi.org/10.3390/microorganisms11102553

