Transmission of Escherichia coli Causing Pyometra between Two Female Dogs
Abstract
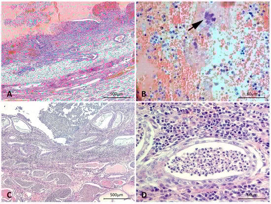
Short Communication/Note
Author Contributions
Funding
Data Availability Statement
Acknowledgments
Conflicts of Interest
References
- Hagman, R. Pyometra in Small Animals. Vet. Clin. Small Anim. Pract. 2018, 48, 639–661. [Google Scholar] [CrossRef] [PubMed]
- Hagman, R. Pyometra in Small Animals 2.0. Vet. Clin. N. Am. Small Anim. Pract. 2022, 52, 631–657. [Google Scholar] [CrossRef] [PubMed]
- Fieni, F.; Topie, E.; Gogny, A. Medical Treatment for Pyometra in Dogs. Reprod. Domest. Anim. 2014, 49, 28–32. [Google Scholar] [CrossRef]
- Jitpean, S.; Ström-Holst, B.; Emanuelson, U.; Höglund, O.V.; Pettersson, A.; Alneryd-Bull, C.; Hagman, R. Outcome of Pyometra in Female Dogs and Predictors of Peritonitis and Prolonged Postoperative Hospitalization in Surgically Treated Cases. BMC Vet. Res. 2014, 10, 6. [Google Scholar] [CrossRef]
- Müştak, H.K.; Günaydin, E.; Kaya, İ.B.; Salar, M.Ö.; Babacan, O.; Önat, K.; Ata, Z.; Diker, K.S. Phylo-Typing of Clinical Escherichia coli Isolates Originating from Bovine Mastitis and Canine Pyometra and Urinary Tract Infection by Means of Quadruplex PCR. Vet. Q. 2015, 35, 194–199. [Google Scholar] [CrossRef][Green Version]
- Chen, Y.M.M.; Wright, P.J.; Lee, C.-S.; Browning, G.F. Uropathogenic Virulence Factors in Isolates of Escherichia coli from Clinical Cases of Canine Pyometra and Feces of Healthy Bitches. Vet. Microbiol. 2003, 94, 57–69. [Google Scholar] [CrossRef]
- Schlafer, D.H.; Gifford, A.T. Cystic Endometrial Hyperplasia, Pseudo-Placentational Endometrial Hyperplasia, and Other Cystic Conditions of the Canine and Feline Uterus. Theriogenology 2008, 70, 349–358. [Google Scholar] [CrossRef] [PubMed]
- Santana, C.H.; Santos, R.L. Canine Pyometra—An Update and Revision of Diagnostic Terminology. Braz. J. Vet. Pathol. 2021, 14, 1–8. [Google Scholar] [CrossRef]
- Santana, C.H.; Santos, D.O.; Trindade, L.M.; Moreira, L.G.; Paixão, T.A.; Santos, R.L. Association of Pseudoplacentational Endometrial Hyperplasia and Pyometra in Dogs. J. Comp. Pathol. 2020, 180, 79–85. [Google Scholar] [CrossRef]
- McDaniels, A.E.; Rice, E.W.; Reyes, A.L.; Johnson, C.H.; Haugland, R.A.; Stelma, G.N. Confirmational Identification of Escherichia coli, a Comparison of Genotypic and Phenotypic Assays for Glutamate Decarboxylase and Beta-D-Glucuronidase. Appl. Environ. Microbiol. 1996, 62, 3350–3354. [Google Scholar] [CrossRef]
- Clermont, O.; Christenson, J.K.; Denamur, E.; Gordon, D.M. The Clermont Escherichia coli Phylo-Typing Method Revisited: Improvement of Specificity and Detection of New Phylo-Groups. Environ. Microbiol. Rep. 2013, 5, 58–65. [Google Scholar] [CrossRef]
- Johnson, J.R.; Stell, A.L. Extended Virulence Genotypes of Escherichia coli Strains from Patients with Urosepsis in Relation to Phylogeny and Host Compromise. J. Infect. Dis. 2000, 181, 261–272. [Google Scholar] [CrossRef]
- Siqueira, A.K.; Ribeiro, M.G.; Leite, D.d.S.; Tiba, M.R.; de Moura, C.; Lopes, M.D.; Prestes, N.C.; Salerno, T.; da Silva, A.V. Virulence Factors in Escherichia coli Strains Isolated from Urinary Tract Infection and Pyometra Cases and from Feces of Healthy Dogs. Res. Vet. Sci. 2009, 86, 206–210. [Google Scholar] [CrossRef]
- CLSI. Performance Standards for Antimicrobial Disk and Dilution Susceptibility Tests for Bacteria Isolated from Animals, 5th ed.; CLSI supplement VET01S; Clinical and Laboratory Standards Institute: Wayne, PA, USA, 2020; ISBN 978-1-68440-093-5. [Google Scholar]
- CLSI. Performance Standards for Antimicrobial Susceptibility Testing, 31st ed.; CLSI supplement M100; Clinical and Laboratory Standards Institute: Wayne, PA, USA, 2021; ISBN 978-1-68440-105-5. [Google Scholar]
- Lopes, C.E.; De Carli, S.; Riboldi, C.I.; De Lorenzo, C.; Panziera, W.; Driemeier, D.; Siqueira, F.M. Pet Pyometra: Correlating Bacteria Pathogenicity to Endometrial Histological Changes. Pathogens 2021, 10, 833. [Google Scholar] [CrossRef] [PubMed]
- Xavier, R.G.C.; da Silva, P.H.S.; Trindade, H.D.; Carvalho, G.M.; Nicolino, R.R.; Freitas, P.M.C.; Silva, R.O.S. Characterization of Escherichia coli in Dogs with Pyometra and the Influence of Diet on the Intestinal Colonization of Extraintestinal Pathogenic E. coli (ExPEC). Vet. Sci. 2022, 9, 245. [Google Scholar] [CrossRef] [PubMed]
- Lopes, C.E.; De Carli, S.; Weber, M.N.; Fonseca, A.C.V.; Tagliari, N.J.; Foresti, L.; Cibulski, S.P.; Mayer, F.Q.; Canal, C.W.; Siqueira, F.M. Insights on the Genetic Features of Endometrial Pathogenic Escherichia coli Strains from Pyometra in Companion Animals: Improving the Knowledge about Pathogenesis. Infect. Genet. Evol. 2020, 85, 104453. [Google Scholar] [CrossRef] [PubMed]
- Agostinho, J.M.A.; de Souza, A.; Schocken-Iturrino, R.P.; Beraldo, L.G.; Borges, C.A.; Ávila, F.A.; Marin, J.M. Escherichia coli Strains Isolated from the Uteri Horn, Mouth, and Rectum of Bitches Suffering from Pyometra: Virulence Factors, Antimicrobial Susceptibilities, and Clonal Relationships among Strains. Int. J. Microbiol. 2014, 2014, 979584. [Google Scholar] [CrossRef]
- Lim, H.; Lee, K.H.; Hong, C.-H.; Bahk, G.-J.; Choi, W.S. Comparison of Four Molecular Typing Methods for the Differentiation of Salmonella spp. Int. J. Food Microbiol. 2005, 105, 411–418. [Google Scholar] [CrossRef]
- Smith, S.I.; Fowora, M.A.; Goodluck, H.A.; Nwaokorie, F.O.; Aboaba, O.O.; Opere, B. Molecular Typing of Salmonella spp. Isolated from Food Handlers and Animals in Nigeria. Int. J. Mol. Epidemiol. Genet. 2011, 2, 73–77. [Google Scholar]
- Duan, H.; Chai, T.; Liu, J.; Zhang, X.; Qi, C.; Gao, J.; Wang, Y.; Cai, Y.; Miao, Z.; Yao, M.; et al. Source Identification of Airborne Escherichia coli of Swine House Surroundings Using ERIC-PCR and REP-PCR. Environ. Res. 2009, 109, 511–517. [Google Scholar] [CrossRef]
- Henriques, S.; Silva, E.; Lemsaddek, A.; Lopes-da-Costa, L.; Mateus, L. Genotypic and Phenotypic Comparison of Escherichia coli from Uterine Infections with Different Outcomes: Clinical Metritis in the Cow and Pyometra in the Bitch. Vet. Microbiol. 2014, 170, 109–116. [Google Scholar] [CrossRef] [PubMed]
- Bakhshi, B.; Afshari, N.; Fallah, F. Enterobacterial Repetitive Intergenic Consensus (ERIC)-PCR Analysis as a Reliable Evidence for Suspected Shigella spp. Outbreaks. Braz. J. Microbiol. 2018, 49, 529–533. [Google Scholar] [CrossRef] [PubMed]
- Dale, A.P.; Woodford, N. Extra-Intestinal Pathogenic Escherichia coli (ExPEC): Disease, Carriage and Clones. J. Infect. 2015, 71, 615–626. [Google Scholar] [CrossRef] [PubMed]
- Nurk, S.; Bankevich, A.; Antipov, D.; Gurevich, A.A.; Korobeynikov, A.; Lapidus, A.; Prjibelski, A.D.; Pyshkin, A.; Sirotkin, A.; Sirotkin, Y.; et al. Assembling Single-Cell Genomes and Mini-Metagenomes from Chimeric MDA Products. J. Comput. Biol. J. Comput. Mol. Cell Biol. 2013, 20, 714–737. [Google Scholar] [CrossRef]
- Seemann, T. Prokka: Rapid Prokaryotic Genome Annotation. Bioinformatics 2014, 30, 2068–2069. [Google Scholar] [CrossRef]
- Camacho, C.; Coulouris, G.; Avagyan, V.; Ma, N.; Papadopoulos, J.; Bealer, K.; Madden, T.L. BLAST+: Architecture and Applications. BMC Bioinformatics 2009, 10, 421. [Google Scholar] [CrossRef]
- Joensen, K.G.; Scheutz, F.; Lund, O.; Hasman, H.; Kaas, R.S.; Nielsen, E.M.; Aarestrup, F.M. Real-Time Whole-Genome Sequencing for Routine Typing, Surveillance, and Outbreak Detection of Verotoxigenic Escherichia coli. J. Clin. Microbiol. 2014, 52, 1501–1510. [Google Scholar] [CrossRef]
- Zankari, E.; Allesøe, R.; Joensen, K.G.; Cavaco, L.M.; Lund, O.; Aarestrup, F.M. PointFinder: A Novel Web Tool for WGS-Based Detection of Antimicrobial Resistance Associated with Chromosomal Point Mutations in Bacterial Pathogens. J. Antimicrob. Chemother. 2017, 72, 2764–2768. [Google Scholar] [CrossRef]
- Bortolaia, V.; Kaas, R.S.; Ruppe, E.; Roberts, M.C.; Schwarz, S.; Cattoir, V.; Philippon, A.; Allesoe, R.L.; Rebelo, A.R.; Florensa, A.F.; et al. ResFinder 4.0 for Predictions of Phenotypes from Genotypes. J. Antimicrob. Chemother. 2020, 75, 3491–3500. [Google Scholar] [CrossRef]
- Malberg Tetzschner, A.M.; Johnson, J.R.; Johnston, B.D.; Lund, O.; Scheutz, F. In Silico Genotyping of Escherichia coli Isolates for Extraintestinal Virulence Genes by Use of Whole-Genome Sequencing Data. J. Clin. Microbiol. 2020, 58, e01269-20. [Google Scholar] [CrossRef]
- Joensen, K.G.; Tetzschner, A.M.M.; Iguchi, A.; Aarestrup, F.M.; Scheutz, F. Rapid and Easy In Silico Serotyping of Escherichia coli Isolates by Use of Whole-Genome Sequencing Data. J. Clin. Microbiol. 2015, 53, 2410–2426. [Google Scholar] [CrossRef] [PubMed]
- Wirth, T.; Falush, D.; Lan, R.; Colles, F.; Mensa, P.; Wieler, L.H.; Karch, H.; Reeves, P.R.; Maiden, M.C.J.; Ochman, H.; et al. Sex and Virulence in Escherichia coli: An Evolutionary Perspective. Mol. Microbiol. 2006, 60, 1136–1151. [Google Scholar] [CrossRef]
- Jaureguy, F.; Landraud, L.; Passet, V.; Diancourt, L.; Frapy, E.; Guigon, G.; Carbonnelle, E.; Lortholary, O.; Clermont, O.; Denamur, E.; et al. Phylogenetic and Genomic Diversity of Human Bacteremic Escherichia coli Strains. BMC Genomics 2008, 9, 560. [Google Scholar] [CrossRef] [PubMed]
- Larsen, M.V.; Cosentino, S.; Rasmussen, S.; Friis, C.; Hasman, H.; Marvig, R.L.; Jelsbak, L.; Sicheritz-Pontén, T.; Ussery, D.W.; Aarestrup, F.M.; et al. Multilocus Sequence Typing of Total-Genome-Sequenced Bacteria. J. Clin. Microbiol. 2012, 50, 1355–1361. [Google Scholar] [CrossRef] [PubMed]
- Francisco, A.P.; Bugalho, M.; Ramirez, M.; Carriço, J.A. Global Optimal EBURST Analysis of Multilocus Typing Data Using a Graphic Matroid Approach. BMC Bioinform. 2009, 10, 152. [Google Scholar] [CrossRef]
- Nascimento, M.; Sousa, A.; Ramirez, M.; Francisco, A.P.; Carriço, J.A.; Vaz, C. PHYLOViZ 2.0: Providing Scalable Data Integration and Visualization for Multiple Phylogenetic Inference Methods. Bioinformatics 2017, 33, 128–129. [Google Scholar] [CrossRef]
- Jünemann, S.; Sedlazeck, F.J.; Prior, K.; Albersmeier, A.; John, U.; Kalinowski, J.; Mellmann, A.; Goesmann, A.; von Haeseler, A.; Stoye, J.; et al. Updating Benchtop Sequencing Performance Comparison. Nat. Biotechnol. 2013, 31, 294–296. [Google Scholar] [CrossRef]
- Wagner, S.; Gally, D.L.; Argyle, S.A. Multidrug-Resistant Escherichia coli from Canine Urinary Tract Infections Tend to Have Commensal Phylotypes, Lower Prevalence of Virulence Determinants and AmpC-Replicons. Vet. Microbiol. 2014, 169, 171–178. [Google Scholar] [CrossRef][Green Version]
- LeCuyer, T.E.; Byrne, B.A.; Daniels, J.B.; Diaz-Campos, D.V.; Hammac, G.K.; Miller, C.B.; Besser, T.E.; Davis, M.A. Population Structure and Antimicrobial Resistance of Canine Uropathogenic Escherichia coli. J. Clin. Microbiol. 2018, 56, e00788-18. [Google Scholar] [CrossRef]
- Flament-Simon, S.-C.; de Toro, M.; García, V.; Blanco, J.E.; Blanco, M.; Alonso, M.P.; Goicoa, A.; Díaz-González, J.; Nicolas-Chanoine, M.-H.; Blanco, J. Molecular Characteristics of Extraintestinal Pathogenic E. coli (ExPEC), Uropathogenic E. coli (UPEC), and Multidrug Resistant E. coli Isolated from Healthy Dogs in Spain. Whole Genome Sequencing of Canine ST372 Isolates and Comparison with Human Isolates Causing Extraintestinal Infections. Microorganisms 2020, 8, 1712. [Google Scholar] [CrossRef]
- Gilbertie, J.M.; Levent, G.; Norman, K.N.; Vinasco, J.; Scott, H.M.; Jacob, M.E. Comprehensive Phenotypic and Genotypic Characterization and Comparison of Virulence, Biofilm, and Antimicrobial Resistance in Urinary Escherichia coli Isolated from Canines. Vet. Microbiol. 2020, 249, 108822. [Google Scholar] [CrossRef] [PubMed]
- Kidsley, A.K.; O’Dea, M.; Saputra, S.; Jordan, D.; Johnson, J.R.; Gordon, D.M.; Turni, C.; Djordjevic, S.P.; Abraham, S.; Trott, D.J. Genomic Analysis of Phylogenetic Group B2 Extraintestinal Pathogenic E. coli Causing Infections in Dogs in Australia. Vet. Microbiol. 2020, 248, 108783. [Google Scholar] [CrossRef] [PubMed]
- Valat, C.; Drapeau, A.; Beurlet, S.; Bachy, V.; Boulouis, H.-J.; Pin, R.; Cazeau, G.; Madec, J.-Y.; Haenni, M. Pathogenic Escherichia coli in Dogs Reveals the Predominance of ST372 and the Human-Associated ST73 Extra-Intestinal Lineages. Front. Microbiol. 2020, 11, 580. [Google Scholar] [CrossRef] [PubMed]
- Hagman, R. Canine Pyometra: What Is New? Reprod. Domest. Anim. 2017, 52, 288–292. [Google Scholar] [CrossRef]
- Coggan, J.A.; Melville, P.A.; de Oliveira, C.M.; Faustino, M.; Moreno, A.M.; Benites, N.R. Microbiological and Histopathological Aspects of Canine Pyometra. Braz. J. Microbiol. 2008, 39, 477–483. [Google Scholar] [CrossRef]
- Johnson, J.R.; Stell, A.L.; Delavari, P. Canine Feces as a Reservoir of Extraintestinal Pathogenic Escherichia coli. Infect. Immun. 2001, 69, 1306–1314. [Google Scholar] [CrossRef]
- Harada, K.; Okada, E.; Shimizu, T.; Kataoka, Y.; Sawada, T.; Takahashi, T. Antimicrobial Resistance, Virulence Profiles, and Phylogenetic Groups of Fecal Escherichia coli Isolates: A Comparative Analysis between Dogs and Their Owners in Japan. Comp. Immunol. Microbiol. Infect. Dis. 2012, 35, 139–144. [Google Scholar] [CrossRef]
- Naziri, Z.; Derakhshandeh, A.; Firouzi, R.; Motamedifar, M.; Shojaee Tabrizi, A. DNA Fingerprinting Approaches to Trace Escherichia coli Sharing between Dogs and Owners. J. Appl. Microbiol. 2016, 120, 460–468. [Google Scholar] [CrossRef]
- Yasugi, M.; Hatoya, S.; Motooka, D.; Matsumoto, Y.; Shimamura, S.; Tani, H.; Furuya, M.; Mie, K.; Miyake, M.; Nakamura, S.; et al. Whole-genome analyses of extended-spectrum or AmpC β-lactamase-producing Escherichia coli isolates from companion dogs in Japan. PLoS ONE 2021, 16, e0246482. [Google Scholar] [CrossRef]
- Ewald, B.H. A survey of the cystic hyperplasia-pyometra complex in the bitch. Small Anim. Clin. 1961, 1, 383–386. [Google Scholar]
- Jitpean, S.; Hagman, R.; Ström Holst, B.; Höglund, O.V.; Pettersson, A.; Egenvall, A. Breed variations in the incidence of pyometra and mammary tumours in Swedish dogs. Reprod. Domest. Anim. 2012, 47 (Suppl. 6), 347–350. [Google Scholar] [CrossRef] [PubMed]
- Egenvall, A.; Hagman, R.; Bonnett, B.N.; Hedhammar, A.; Olson, P.; Lagerstedt, A.S. Breed risk of pyometra in insured dogs in Sweden. J. Vet. Intern. Med. 2001, 15, 530–538. [Google Scholar] [CrossRef] [PubMed]




| Animal | Source | Sample ID | Accession Number | O Serotype 1 | Antimicrobial Resistance Genes | Virulence Factors |
|---|---|---|---|---|---|---|
| D23 | Uterine content | P23 | JAMJIL000000000 | O4:H31 | mdf(A) sitABCD | papC, cnf1, focI, hra, papA_F13, focG, usp, chuA, cea, clbB, focCsfaE, fyuA, ibeA, iroN, irp2, iss, mchB, mchC, mchF, mcmA, ompT, sitA, terC, vat, and yfcV |
| Rectal swab | S23 | JAMJIK000000000 | ||||
| D24 | Uterine content | P24 | JAMJIJ000000000 | |||
| Rectal swab | S24 | JAMJII000000000 | O5:H22 | mdf(A) sitABCD | gad, kpsE, kpsMII, pic, sfaD, tcpC, focG, usp, chuA, cea, clbB, focCsfaE, fyuA, ibeA, iroN, irp2, iss, mchB, mchC, mchF, mcmA, ompT, sitA, terC, vat, and yfcV |
Publisher’s Note: MDPI stays neutral with regard to jurisdictional claims in published maps and institutional affiliations. |
© 2022 by the authors. Licensee MDPI, Basel, Switzerland. This article is an open access article distributed under the terms and conditions of the Creative Commons Attribution (CC BY) license (https://creativecommons.org/licenses/by/4.0/).
Share and Cite
Xavier, R.G.C.; Santana, C.H.; da Silva, P.H.S.; Aburjaile, F.F.; Pereira, F.L.; Figueiredo, H.C.P.; Freitas, P.M.C.; Santos, R.L.; Silva, R.O.S. Transmission of Escherichia coli Causing Pyometra between Two Female Dogs. Microorganisms 2022, 10, 2465. https://doi.org/10.3390/microorganisms10122465
Xavier RGC, Santana CH, da Silva PHS, Aburjaile FF, Pereira FL, Figueiredo HCP, Freitas PMC, Santos RL, Silva ROS. Transmission of Escherichia coli Causing Pyometra between Two Female Dogs. Microorganisms. 2022; 10(12):2465. https://doi.org/10.3390/microorganisms10122465
Chicago/Turabian StyleXavier, Rafael Gariglio Clark, Clarissa Helena Santana, Paloma Helena Sanches da Silva, Flávia Figueira Aburjaile, Felipe Luiz Pereira, Henrique César Pereira Figueiredo, Patrícia Maria Coletto Freitas, Renato Lima Santos, and Rodrigo Otávio Silveira Silva. 2022. "Transmission of Escherichia coli Causing Pyometra between Two Female Dogs" Microorganisms 10, no. 12: 2465. https://doi.org/10.3390/microorganisms10122465
APA StyleXavier, R. G. C., Santana, C. H., da Silva, P. H. S., Aburjaile, F. F., Pereira, F. L., Figueiredo, H. C. P., Freitas, P. M. C., Santos, R. L., & Silva, R. O. S. (2022). Transmission of Escherichia coli Causing Pyometra between Two Female Dogs. Microorganisms, 10(12), 2465. https://doi.org/10.3390/microorganisms10122465

