Bovine Papillomavirus 1 Gets Out of the Flock: Detection in an Ovine Wart in Sicily
Abstract
1. Introduction
2. Results
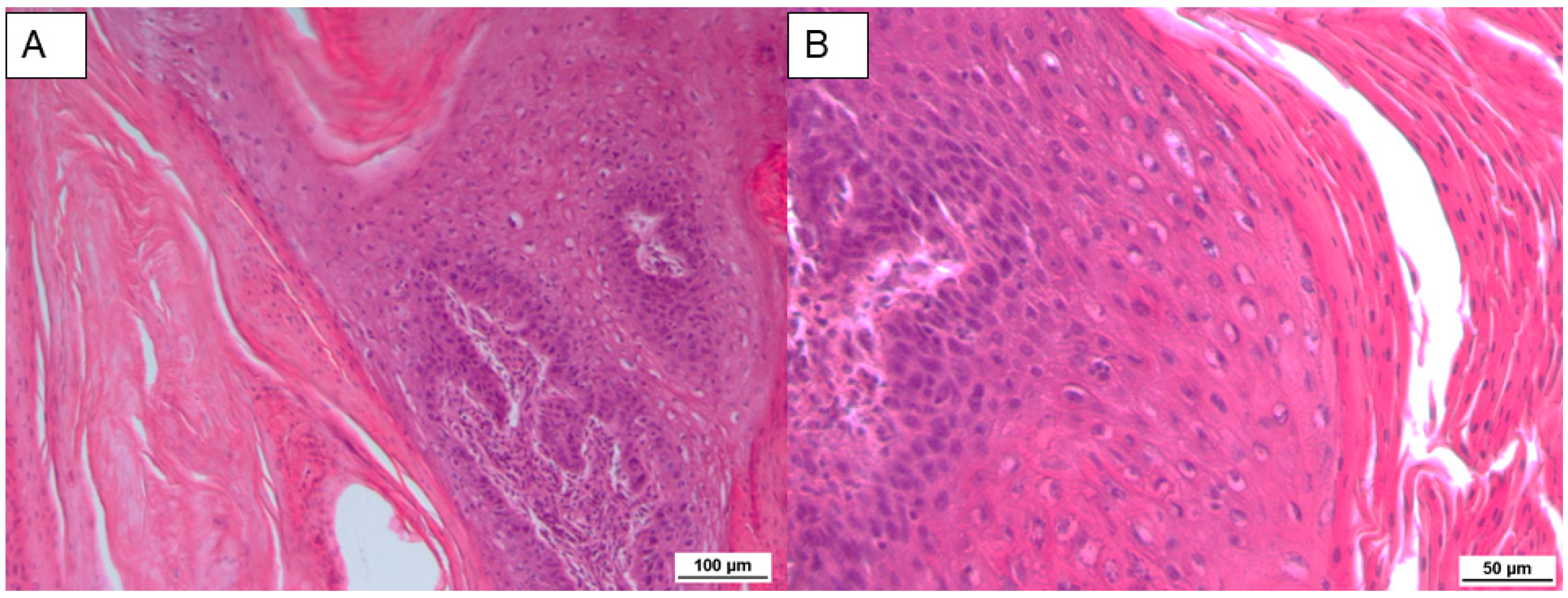
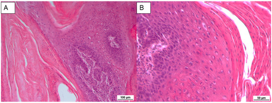
2.1. Histopathology
2.2. In Situ Hybridization
2.3. Molecular Biology
2.4. Electron Microscopy
3. Discussion
4. Materials and Methods
4.1. Sample Collection
4.2. Histological Evaluation
4.3. In Situ Hybridization
4.4. Negative Staining Electron Microscopy
4.5. DNA Amplification and PCR
4.6. RCA
4.7. NGS Analysis
Author Contributions
Funding
Conflicts of Interest
References
- Bernard, H.-U.; Burk, R.D.; Chen, Z.; van Doorslaer, K.; zur Hausen, H.; de Villiers, E.-M. Classification of papillomaviruses (PVs) based on 189 PV types and proposal of taxonomic amendments. Virology 2010, 401, 70–79. [Google Scholar] [CrossRef] [PubMed]
- Bernard, H.-U. Taxonomy and phylogeny of papillomaviruses: An overview and recent developments. Infect. Genet. Evol. 2013, 18, 357–361. [Google Scholar] [CrossRef] [PubMed]
- Gil da Costa, R.M.; Medeiros, R. Bovine papillomavirus: Opening new trends for comparative pathology. Arch. Virol. 2014, 159, 191–198. [Google Scholar] [CrossRef] [PubMed]
- PaVE: Papilloma Virus Genome Database. Available online: https://pave.niaid.nih.gov/ (accessed on 8 April 2020).
- Orbell, G.M.B.; Young, S.; Munday, J.S. Cutaneous Sarcoids in Captive African Lions Associated with Feline Sarcoid-Associated Papillomavirus Infection. Vet. Pathol. 2011, 48, 1176–1179. [Google Scholar] [CrossRef]
- Munday, J.S.; Thomson, N.; Dunowska, M.; Knight, C.G.; Laurie, R.E.; Hills, S. Genomic characterisation of the feline sarcoid-associated papillomavirus and proposed classification as Bos taurus papillomavirus type 14. Vet. Microbiol. 2015, 177, 289–295. [Google Scholar] [CrossRef]
- Williams, J.H.; van Dyk, E.; Nel, P.J.; Lane, E.; Wilpe, E.V.; Bengis, R.G.; de Klerk-Lorist, L.-M.; van Heerden, J. Pathology and immunohistochemistry of papillomavirus-associated cutaneous lesions in Cape mountain zebra, giraffe, sable antelope and African buffalo in South Africa. J. S. Afr. Vet. Assoc. 2011, 82, 97–106. [Google Scholar] [CrossRef]
- Van Dyk, E.; Oosthuizen, M.C.; Bosman, A.-M.; Nel, P.J.; Zimmerman, D.; Venter, E.H. Detection of bovine papillomavirus DNA in sarcoid-affected and healthy free-roaming zebra (Equus zebra) populations in South Africa. J. Virol. Methods 2009, 158, 141–151. [Google Scholar] [CrossRef]
- Amtmann, E.; Müller, H.; Sauer, G. Equine connective tissue tumors contain unintegrated bovine papilloma virus DNA. J. Virol. 1980, 35, 962–964. [Google Scholar] [CrossRef]
- Lancaster, W.D. Apparent lack of integration of bovine papillomavirus DNA in virus-induced equine and bovine tumor cells and virus-transformed mouse cells. Virology 1981, 108, 251–255. [Google Scholar] [CrossRef]
- Carr, E.A.; Theon, A.P.; Madewell, B.R.; Hitchcock, M.E.; Schlegel, R.; Schiller, J.T. Expression of a transforming gene (E5) of bovine papillomavirus in sarcoids obtained from horses. Am. J. Vet. Res. 2001, 62, 1212–1217. [Google Scholar] [CrossRef]
- Chambers, G.; Ellsmore, V.A.; O’Brien, P.M.; Reid, S.W.J.; Love, S.; Campo, M.S.; Nasir, L. Association of bovine papillomavirus with the equine sarcoid. J. Gen. Virol. 2003, 84, 1055–1062. [Google Scholar] [CrossRef] [PubMed]
- Mazzuchelli-de-Souza, J.; de Carvalho, R.F.; Módolo, D.G.; Thompson, C.E.; Araldi, R.P.; Stocco, R.C. First detection of bovine papillomavirus type 2 in cutaneous wart lesions from ovines. Transbound. Emerg. Dis. 2018, 65, 939–943. [Google Scholar] [CrossRef] [PubMed]
- Roperto, S.; Russo, V.; Corrado, F.; Munday, J.S.; De Falco, F.; Roperto, F. Detection of bovine Deltapapillomavirus DNA in peripheral blood of healthy sheep (Ovis aries). Transbound. Emerg. Dis. 2018, 65, 758–764. [Google Scholar] [CrossRef] [PubMed]
- Roperto, S.; Russo, V.; Corrado, F.; De Falco, F.; Munday, J.S.; Roperto, F. Oral fibropapillomatosis and epidermal hyperplasia of the lip in newborn lambs associated with bovine Deltapapillomavirus. Sci. Rep. 2018, 8, 13310. [Google Scholar] [CrossRef]
- Olson, C.; Cook, R.H. Cutaneous Sarcoma-like Lesions of the Horse Caused by the Agent of Bovine Papilloma. Exp. Biol. Med. 1951, 77, 281–284. [Google Scholar] [CrossRef]
- Campo, M. Papillomavirus Research: From Natural History to Vaccine and Beyond; Caister Academic Press: Wymondham, UK, 2006. [Google Scholar]
- Garcês, A.; Pires, I.; Savini, F.; Scagliarini, A.; Gallina, L. Cutaneous Fibropapilloma in a Red Deer (Cervus elaphus) Associated with Cervus elaphus Papillomavirus in Portugal. J. Wildl. Dis. 2020, 2019, C03–C70. [Google Scholar] [CrossRef]
- Scagliarini, A.; Gallina, L.; Battilani, M.; Turrini, F.; Savini, F.; Lavazza, A.; Chiari, M.; Coradduzza, E.; Peli, A.; Erdélyi, K.; et al. Cervus elaphus papillomavirus (CePV1): New insights on viral evolution in deer. Vet. Microbiol. 2013, 165, 252–259. [Google Scholar] [CrossRef]
- Savini, F.; Dal Molin, E.; Gallina, L.; Casà, G.; Scagliarini, A. Papillomavirus in healthy skin and mucosa of wild ruminants in the Italian Alps. J. Wildl. Dis. 2016, 52, 82–87. [Google Scholar] [CrossRef]
- De Villiers, E.-M.; Fauquet, C.; Broker, T.R.; Bernard, H.-U.; zur Hausen, H. Classification of papillomaviruses. Virology 2004, 324, 17–27. [Google Scholar] [CrossRef]
- Brandt, S.; Haralambus, R.; Schoster, A.; Kirnbauer, R.; Stanek, C. Peripheral blood mononuclear cells represent a reservoir of bovine papillomavirus DNA in sarcoid-affected equines. J. Gen. Virol. 2008, 89, 1390–1395. [Google Scholar] [CrossRef]
- Ukpo, O.C.; Flanagan, J.J.; Thorstad, W.L. High-Risk Human Papillomavirus E6/E7 mRNA Detection by a Novel In Situ Hybridization Assay Strongly Correlates with p16 Expression and Patient Outcomes in Oropharyngeal Squamous Cell Carcinoma. Am. J. Surg. Pathol. 2011, 35, 343–1350. [Google Scholar] [CrossRef] [PubMed]
- Mills, A.M.; Dirks, D.C.; Poulter, M.D.; Mills, S.E.; Stoler, M.H. HR-HPV E6/E7 mRNA In Situ Hybridization: Validation Against PCR, DNA In Situ Hybridization, and p16 Immunohistochemistry in 102 Samples of Cervical, Vulvar, Anal, and Head and Neck Neoplasia. Am. J. Surg. Pathol. 2017, 41, 607–615. [Google Scholar] [CrossRef] [PubMed]
- Augustin, J.; Outh-Gauer, S.; Mandavit, M.; Gasne, C.; Grard, O.; Denize, T.; Nervo, M.; Mirghani, H.; Laccourreye, O.; Bonfils, P.; et al. Evaluation of the efficacy of the 4 tests (p16 immunochemistry, polymerase chain reaction, DNA, and RNA in situ hybridization) to evaluate a human papillomavirus infection in head and neck cancers: A cohort of 348 French squamous cell carcinomas. Hum. Pathol. 2018, 78, 63–71. [Google Scholar] [CrossRef] [PubMed]
- Venuti, A.; Paolini, F.; Nasir, L.; Corteggio, A.; Roperto, S.; Campo, M.S.; Borzacchiello, G. Papillomavirus E5: The smallest oncoprotein with many functions. Mol. Cancer 2011, 10, 140. [Google Scholar] [CrossRef]
- Roperto, S.; Borzacchiello, G.; Esposito, I.; Riccardi, M.; Urraro, C.; Lucà, R.; Corteggio, A.; Tatè, R.; Cermola, M.; Paciello, O.; et al. Productive Infection of Bovine Papillomavirus Type 2 in the Placenta of Pregnant Cows Affected with Urinary Bladder Tumors. PLoS ONE 2012, 7, e33569. [Google Scholar] [CrossRef]
- Borzacchiello, G.; Iovane, G.; Marcante, M.L.; Poggiali, F.; Roperto, F.; Roperto, S.; Venuti, A. Presence of bovine papillomavirus type 2 DNA and expression of the viral oncoprotein E5 in naturally occurring urinary bladder tumours in cows. J. Gen. Virol. 2003, 84, 2921–2926. [Google Scholar] [CrossRef]
- Alberti, A.; Pirino, S.; Pintore, F.; Addis, M.F.; Chessa, B.; Cacciotto, C.; Cubeddu, T.; Anfossi, A.; Benenati, G.; Coradduzza, E.; et al. Ovis aries Papillomavirus 3: A prototype of a novel genus in the family Papillomaviridae associated with ovine squamous cell carcinoma. Virology 2010, 407, 352–359. [Google Scholar] [CrossRef]
- Vitiello, V.; Burrai, G.P.; Agus, M.; Anfossi, A.G.; Alberti, A.; Antuofermo, E.; Rocca, S.; Cubeddu, T.; Pirino, S. Ovis aries Papillomavirus 3 in Ovine Cutaneous Squamous Cell Carcinoma. Vet. Pathol. 2017, 54, 775–782. [Google Scholar] [CrossRef]
- Tore, G.; Cacciotto, C.; Anfossi, A.G.; Dore, G.M.; Antuofermo, E.; Scagliarini, A.; Burrai, G.P.; Pau, S.; Zedda, M.T.; Masala, G.; et al. Host cell tropism, genome characterization, and evolutionary features of OaPV4, a novel Deltapapillomavirus identified in sheep fibropapilloma. Vet. Microbiol. 2017, 204, 151–158. [Google Scholar] [CrossRef]
- Koch, C.; Ramsauer, A.S.; Drögemüller, M.; Ackermann, M.; Gerber, V.; Tobler, K. Genomic comparison of bovine papillomavirus 1 isolates from bovine, equine and asinine lesional tissue samples. Virus Res. 2018, 244, 6–12. [Google Scholar] [CrossRef]
- Sarkola, M.E.; Grénman, S.E.; Rintala, M.A.M.; Syrjänen, K.J.; Syrjänen, S.M. Human papillomavirus in the placenta and umbilical cord blood. Acta Obstet. Gynecol. Scand. 2008, 87, 1181–1188. [Google Scholar] [CrossRef] [PubMed]
- Savini, F.; Gallina, L.; Mazza, F.; Mariella, J.; Castagnetti, C.; Scagliarini, A. Molecular Detection of Bovine Papillomavirus DNA in the Placenta and Blood of Healthy Mares and Respective Foals. Vet. Sci. 2019, 6, 14. [Google Scholar] [CrossRef] [PubMed]
- Bogaert, L.; Martens, A.; Van Poucke, M.; Ducatelle, R.; De Cock, H.; Dewulf, J.; De Baere, C.; Peelman, L.; Gasthuys, F. High prevalence of bovine papillomaviral DNA in the normal skin of equine sarcoid-affected and healthy horses. Vet. Microbiol. 2008, 129, 58–68. [Google Scholar] [CrossRef] [PubMed]
- Finlay, M.; Yuan, Z.; Burden, F.; Trawford, A.; Morgan, I.M.; Saveria Campo, M.; Nasir, L. The detection of Bovine Papillomavirus type 1 DNA in flies. Virus Res. 2009, 144, 315–317. [Google Scholar] [CrossRef]
- Howley, P.; Lowy, D. Fields’ Virology; Lippincott Williams and Wilkins: Philadelphia, PA, USA, 2007. [Google Scholar]
- Wilson, A.D.; Armstrong, E.L.R.; Gofton, R.G.; Mason, J.; De Toit, N.; Day, M.J. Characterisation of early and late bovine papillomavirus protein expression in equine sarcoids. Vet. Microbiol. 2013, 162, 369–380. [Google Scholar] [CrossRef]
- Brandt, S.; Haralambus, R.; Shafti-Keramat, S.; Steinborn, R.; Stanek, C.; Kirnbauer, R. A subset of equine sarcoids harbours BPV-1 DNA in a complex with L1 major capsid protein. Virology 2008, 375, 433–441. [Google Scholar] [CrossRef]
- Carr, E.A.; Theon, A.P.; Madewell, B.R.; Griffey, S.M.; Hitchcock, M.E. Bovine papillomavirus DNA in neoplastic and nonneoplastic tissues obtained from horses with and without sarcoids in the western United States. Am. J. Vet. Res. 2001, 62, 741–744. [Google Scholar] [CrossRef]
- Campo, M.S.; Jarrett, W.F.; Barron, R.; O’Neil, B.W.; Smith, K.T. Association of bovine papillomavirus type 2 and bracken fern with bladder cancer in cattle. Cancer Res. 1992, 52, 6898–6904. [Google Scholar]
- Khalafalla, A.I.; Ramadan, R.O.; Rector, A.; Barakat, S. Investigation on papillomavirus infection in dromedary camels in Al-Ahsa, (Saudi Arabia). Open Vet. J. 2017, 7, 174–179. [Google Scholar] [CrossRef][Green Version]
- Smith, G.W.; Scherba, G.; Constable, P.D.; Hsiao, V.; Behr, M.J.; Morin, D.E. Atypical Parapoxvirus Infection in Sheep. J. Vet. Intern. Med. 2002, 16, 287–292. [Google Scholar] [CrossRef]
- Scagliarini, A.; Casà, G.; Trentin, B.; Gallina, L.; Savini, F.; Morent, M.; Lavazza, A.; Puleio, R.; Buttaci, C.; Cannella, V.; et al. Evidence of zoonotic Poxviridae coinfections in clinically diagnosed papillomas using a newly developed mini-array test. J. Vet. Diagn. Investig. 2016, 28, 59–64. [Google Scholar] [CrossRef] [PubMed]
- Gallina, L.; Savini, F.; Lavazza, A.; Di Marco, P.; Puleio, R.; Roccaro, M.; Purpari, G.; Guercio, A.; Scagliarini, A. Bovine Papillomatosis in Sicily: Virus Identification, Diagnosis and Co-infections. Large Anim. Rev. 2017, 35, 17–27. [Google Scholar]
- Lavazza, A.; Pascucci, S.; Gelmetti, D. Rod-shaped virus-like particles in intestinal contents of three avian species. Vet. Rec. 1990, 126, 581. [Google Scholar] [PubMed]
- Inoshima, Y.; Morooka, A.; Sentsui, H. Detection and diagnosis of parapoxvirus by the polymerase chain reaction. J. Virol. Methods 2000, 84, 201–208. [Google Scholar] [CrossRef]
- Rector, A.; Bossart, G.D.; Ghim, S.-J.; Sundberg, J.P.; Jenson, A.B.; Van Ranst, M. Characterization of a novel close-to-root papillomavirus from a Florida manatee by using multiply primed rolling-circle amplification: Trichechus manatus latirostris papillomavirus type 1. J. Virol. 2004, 78, 12698–12702. [Google Scholar] [CrossRef]



© 2020 by the authors. Licensee MDPI, Basel, Switzerland. This article is an open access article distributed under the terms and conditions of the Creative Commons Attribution (CC BY) license (http://creativecommons.org/licenses/by/4.0/).
Share and Cite
Savini, F.; Gallina, L.; Prosperi, A.; Puleio, R.; Lavazza, A.; Di Marco, P.; Tumino, S.; Moreno, A.; Lelli, D.; Guercio, A.; et al. Bovine Papillomavirus 1 Gets Out of the Flock: Detection in an Ovine Wart in Sicily. Pathogens 2020, 9, 429. https://doi.org/10.3390/pathogens9060429
Savini F, Gallina L, Prosperi A, Puleio R, Lavazza A, Di Marco P, Tumino S, Moreno A, Lelli D, Guercio A, et al. Bovine Papillomavirus 1 Gets Out of the Flock: Detection in an Ovine Wart in Sicily. Pathogens. 2020; 9(6):429. https://doi.org/10.3390/pathogens9060429
Chicago/Turabian StyleSavini, Federica, Laura Gallina, Alice Prosperi, Roberto Puleio, Antonio Lavazza, Patrizia Di Marco, Serena Tumino, Ana Moreno, Davide Lelli, Annalisa Guercio, and et al. 2020. "Bovine Papillomavirus 1 Gets Out of the Flock: Detection in an Ovine Wart in Sicily" Pathogens 9, no. 6: 429. https://doi.org/10.3390/pathogens9060429
APA StyleSavini, F., Gallina, L., Prosperi, A., Puleio, R., Lavazza, A., Di Marco, P., Tumino, S., Moreno, A., Lelli, D., Guercio, A., & Scagliarini, A. (2020). Bovine Papillomavirus 1 Gets Out of the Flock: Detection in an Ovine Wart in Sicily. Pathogens, 9(6), 429. https://doi.org/10.3390/pathogens9060429

