Silver Nanoparticles as a Novel Potential Preventive Agent against Acanthamoeba Keratitis
Abstract
1. Introduction
2. Results
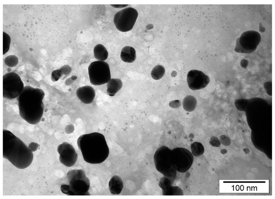
2.1. Characterization of Nanoparticles
2.2. Activity and Cytotoxicity
2.3. Adhesion
3. Discussion
4. Materials and Methods
4.1. Cultivation of the Strain
4.2. Nanoparticles
4.3. Activity Assays
4.4. Cytotoxicity Assays
4.5. Adhesion Assays
5. Conclusions
Author Contributions
Funding
Conflicts of Interest
References
- Lorenzo-Morales, J.; Martin-Navarro, C.M.; Lopez-Arencibia, A.; Arnalich-Montiel, F.; Pinero, J.E.; Valladares, B. Acanthamoeba keratitis: an emerging disease gathering importance worldwide? Trends Parasitol. 2013, 29, 181–187. [Google Scholar] [CrossRef]
- Somani, S.N.; Ronquillo, Y.; Moshirfar, M. Acanthamoeba Keratitis. In Stat. Pearls.; Publishing LLC: Treasure Island, FL, USA, 2020. [Google Scholar]
- Lorenzo-Morales, J.; Khan, N.A.; Walochnik, J. An update on Acanthamoeba keratitis: diagnosis, pathogenesis and treatment. Parasite 2015, 22, 10. [Google Scholar] [CrossRef]
- Panjwani, N. Pathogenesis of Acanthamoeba keratitis. Ocul. Surf. 2010, 8, 70–79. [Google Scholar] [CrossRef]
- Siddiqui, R.; Khan, N.A. Biology and pathogenesis of Acanthamoeba. Parasit. Vectors. 2012, 5, 6. [Google Scholar] [CrossRef]
- Eggink, C.A.; Oliveira Dos Santos, C.; Randag, A.C.; Wijdh, R.J. Infectious keratitis in contact lens wearers. Ned. Tijdschr. Geneeskd. 2019, 163, D3190. [Google Scholar]
- Ahuja, M. Contact lens wear and microbial keratitis. J. Indian. Med. Assoc. 2002, 100, 664–666. [Google Scholar]
- Li, W.; Wang, Z.; Qu, J.; Zhang, Y.; Sun, X. Acanthamoeba keratitis related to contact lens use in a tertiary hospital in China. BMC. Ophthalmol. 2019, 19, 202. [Google Scholar] [CrossRef]
- Rodriguez-Martin, J.; Rocha-Cabrera, P.; Reyes-Batlle, M.; Lopez-Arencibia, A.; Sifaoui, I.; Rizo-Liendo, A.; Bethencourt-Estrella, C.J.; Pinero, J.E.; Lorenzo-Morales, J. Presence of Acanthamoeba in the ocular surface in a Spanish population of contact lens wearers. Acta Parasitol. 2018, 63, 393–396. [Google Scholar] [CrossRef]
- Trabelsi, H.; Dendana, F.; Sellami, A.; Sellami, H.; Cheikhrouhou, F.; Neji, S.; Makni, F.; Ayadi, A. Pathogenic free-living amoebae: epidemiology and clinical review. Pathol. Biol. 2012, 60, 399–405. [Google Scholar] [CrossRef]
- Clarke, B.; Sinha, A.; Parmar, D.N.; Sykakis, E. Advances in the diagnosis and treatment of Acanthamoeba keratitis. J. Ophthalmol. 2012, 2012, 484892. [Google Scholar] [CrossRef]
- Huang, F.C.; Shih, M.H.; Chang, K.F.; Huang, J.M.; Shin, J.W.; Lin, W.C. Characterizing clinical isolates of Acanthamoeba castellanii with high resistance to polyhexamethylene biguanide in Taiwan. J. Microbiol. Immunol. Infect. 2017, 50, 570–577. [Google Scholar] [CrossRef]
- Papa, V.; Rama, P.; Radford, C.; Minassian, D.C.; Dart, J.K.G. Acanthamoeba keratitis therapy: time to cure and visual outcome analysis for different antiamoebic therapies in 227 cases. Br. J. Ophthalmol. 2020, 104, 575–581. [Google Scholar] [CrossRef]
- Rahman, K.; Khan, S.U.; Fahad, S.; Chang, M.X.; Abbas, A.; Khan, W.U.; Rahman, L.; Haq, Z.U.; Nabi, G.; Khan, D. Nano-biotechnology: a new approach to treat and prevent malaria. Int. J. Nanomedicine 2019, 14, 1401–1410. [Google Scholar] [CrossRef]
- Singh, L.; Kruger, H.G.; Maguire, G.E.M.; Govender, T.; Parboosing, R. The role of nanotechnology in the treatment of viral infections. Ther. Adv. Infect. Dis. 2017, 4, 105–131. [Google Scholar] [CrossRef]
- Chaurasia, S.S.; Lim, R.R.; Lakshminarayanan, R.; Mohan, R.R. Nanomedicine approaches for corneal diseases. J. Funct. Biomater. 2015, 6, 277–298. [Google Scholar] [CrossRef]
- Bonfim, C.M.D.; Monteleoni, L.F.; Calmon, M.F.; Candido, N.M.; Provazzi, P.J.S.; Lino, V.S.; Rabachini, T.; Sichero, L.; Villa, L.L.; Quintana, S.M.; et al. Antiviral activity of curcumin-nanoemulsion associated with photodynamic therapy in vulvar cell lines transducing different variants of HPV-16. Artif. Cells. Nanomed. Biotechnol. 2020, 48, 515–524. [Google Scholar] [CrossRef]
- Gharpure, S.; Akash, A.; Ankamwar, B. A Review on Antimicrobial Properties of Metal Nanoparticles. J. Nanosci. Nanotechnol. 2020, 20, 3303–3339. [Google Scholar] [CrossRef]
- Nisar, P.; Ali, N.; Rahman, L.; Ali, M.; Shinwari, Z.K. Antimicrobial activities of biologically synthesized metal nanoparticles: an insight into the mechanism of action. J. Biol. Inorg. Chem. 2019. [Google Scholar] [CrossRef]
- Balashanmugam, P.; Kalaichelvan, P.T. Biosynthesis characterization of silver nanoparticles using Cassia roxburghii DC. aqueous extract, and coated on cotton cloth for effective antibacterial activity. Int. J. Nanomedicine 2015, 10, 87–97. [Google Scholar] [CrossRef]
- Emmanuel, R.; Palanisamy, S.; Chen, S.M.; Chelladurai, K.; Padmavathy, S.; Saravanan, M.; Prakash, P.; Ajmal Ali, M.; Al-Hemaid, F.M. Antimicrobial efficacy of green synthesized drug blended silver nanoparticles against dental caries and periodontal disease causing microorganisms. Mater. Sci. Eng. C Mater. Biol. Appl. 2015, 56, 374–379. [Google Scholar] [CrossRef]
- Baldi, F.; Daniele, S.; Gallo, M.; Paganelli, S.; Battistel, D.; Piccolo, O.; Faleri, C.; Puglia, A.M.; Gallo, G. Polysaccharide-based silver nanoparticles synthesized by Klebsiella oxytoca DSM 29614 cause DNA fragmentation in E. coli cells. Biometals 2016, 29, 321–331. [Google Scholar] [CrossRef]
- Manjumeena, R.; Duraibabu, D.; Sudha, J.; Kalaichelvan, P.T. Biogenic nanosilver incorporated reverse osmosis membrane for antibacterial and antifungal activities against selected pathogenic strains: an enhanced eco-friendly water disinfection approach. J. Environ. Sci. Health. A Tox. Hazard. Subst. Environ. Eng. 2014, 49, 1125–1133. [Google Scholar] [CrossRef]
- Monerris, M.; Broglia, M.F.; Yslas, E.I.; Barbero, C.A.; Rivarola, C.R. Highly effective antimicrobial nanocomposites based on hydrogel matrix and silver nanoparticles: long-lasting bactericidal and bacteriostatic effects. Soft. Matter. 2019. [Google Scholar] [CrossRef]
- Shahverdi, A.R.; Fakhimi, A.; Shahverdi, H.R.; Minaian, S. Synthesis and effect of silver nanoparticles on the antibacterial activity of different antibiotics against Staphylococcus aureus and Escherichia coli. Nanomedicine 2007, 3, 168–171. [Google Scholar] [CrossRef]
- Sondi, I.; Salopek-Sondi, B. Silver nanoparticles as antimicrobial agent: a case study on E. coli as a model for Gram-negative bacteria. J. Colloid. Interface. Sci. 2004, 275, 177–182. [Google Scholar] [CrossRef]
- Zia, M.; Gul, S.; Akhtar, J.; Haq, I.U.; Abbasi, B.H.; Hussain, A.; Naz, S.; Chaudhary, M.F. Green synthesis of silver nanoparticles from grape and tomato juices and evaluation of biological activities. IET. Nanobiotechnol. 2017, 11, 193–199. [Google Scholar] [CrossRef]
- Cheng, Y.; Chen, X.; Song, W.; Kong, Z.; Li, P.; Liu, Y. Contribution of silver ions to the inhibition of infectivity of Schistosoma japonicum cercariae caused by silver nanoparticles. Parasitology 2013, 140, 617–625. [Google Scholar] [CrossRef]
- Rahimi, M.T.; Ahmadpour, E.; Rahimi Esboei, B.; Spotin, A.; Kohansal Koshki, M.H.; Alizadeh, A.; Honary, S.; Barabadi, H.; Ali Mohammadi, M. Scolicidal activity of biosynthesized silver nanoparticles against Echinococcus granulosus protoscolices. Int. J. Surg. 2015, 19, 128–133. [Google Scholar] [CrossRef]
- Saad, H.A.; Soliman, M.I.; Azzam, A.M.; Mostafa, B. Antiparasitic Activity of Silver and Copper Oxide Nanoparticles against Entamoeba Histolytica and Cryptosporidium Parvum Cysts. J. Egypt. Soc. Parasitol. 2015, 45, 593–602. [Google Scholar] [CrossRef]
- Said, D.E.; Elsamad, L.M.; Gohar, Y.M. Validity of silver, chitosan, and curcumin nanoparticles as anti-Giardia agents. Parasitol. Res. 2012, 111, 545–554. [Google Scholar] [CrossRef]
- Ullah, I.; Cosar, G.; Abamor, E.S.; Bagirova, M.; Shinwari, Z.K.; Allahverdiyev, A.M. Comparative study on the antileishmanial activities of chemically and biologically synthesized silver nanoparticles (AgNPs). 3. Biotech 2018, 8, 98. [Google Scholar] [CrossRef]
- Machado, L.F.; Sanfelice, R.A.; Bosqui, L.R.; Assolini, J.P.; Scandorieiro, S.; Navarro, I.T.; Depieri Cataneo, A.H.; Wowk, P.F.; Nakazato, G.; Bordignon, J.; et al. Biogenic silver nanoparticles reduce adherence, infection, and proliferation of Toxoplasma gondii RH strain in HeLa cells without inflammatory mediators induction. Exp. Parasitol. 2020, 211, 107853. [Google Scholar] [CrossRef]
- Padzik, M.; Hendiger, E.B.; Chomicz, L.; Grodzik, M.; Szmidt, M.; Grobelny, J.; Lorenzo-Morales, J. Tannic acid-modified silver nanoparticles as a novel therapeutic agent against Acanthamoeba. Parasitol. Res. 2018, 117, 3519–3525. [Google Scholar] [CrossRef]
- Bharathan, S.; Sundaramoorthy, N.S.; Chandrasekaran, H.; Rangappa, G.; ArunKumar, G.; Subramaniyan, S.B.; Veerappan, A.; Nagarajan, S. Sub lethal levels of platinum nanoparticle cures plasmid and in combination with carbapenem, curtails carbapenem resistant Escherichia coli. Sci. Rep. 2019, 9, 5305. [Google Scholar] [CrossRef]
- Gopal, J.; Hasan, N.; Manikandan, M.; Wu, H.F. Bacterial toxicity/compatibility of platinum nanospheres, nanocuboids and nanoflowers. Sci. Rep. 2013, 3, 1260. [Google Scholar] [CrossRef]
- Nejdl, L.; Kudr, J.; Moulick, A.; Hegerova, D.; Ruttkay-Nedecky, B.; Gumulec, J.; Cihalova, K.; Smerkova, K.; Dostalova, S.; Krizkova, S.; et al. Platinum nanoparticles induce damage to DNA and inhibit DNA replication. PLoS ONE 2017, 12, e0180798. [Google Scholar] [CrossRef]
- Tahir, K.; Nazir, S.; Ahmad, A.; Li, B.; Khan, A.U.; Khan, Z.U.; Khan, F.U.; Khan, Q.U.; Khan, A.; Rahman, A.U. Facile and green synthesis of phytochemicals capped platinum nanoparticles and in vitro their superior antibacterial activity. J. Photochem. Photobiol. B 2017, 166, 246–251. [Google Scholar] [CrossRef]
- Sankarganesh, M.; Adwin Jose, P.; Dhaveethu Raja, J.; Kesavan, M.P.; Vadivel, M.; Rajesh, J.; Jeyamurugan, R.; Senthil Kumar, R.; Karthikeyan, S. New pyrimidine based ligand capped gold and platinum nano particles: Synthesis, characterization, antimicrobial, antioxidant, DNA interaction and in vitro anticancer activities. J. Photochem. Photobiol. B 2017, 176, 44–53. [Google Scholar] [CrossRef]
- Sawosz, E.; Chwalibog, A.; Szeliga, J.; Sawosz, F.; Grodzik, M.; Rupiewicz, M.; Niemiec, T.; Kacprzyk, K. Visualization of gold and platinum nanoparticles interacting with Salmonella enteritidis and Listeria monocytogenes. Int. J. Nanomedicine 2010, 5, 631–637. [Google Scholar] [CrossRef]
- Subramaniyan, S.B.; Ramani, A.; Ganapathy, V.; Anbazhagan, V. Preparation of self-assembled platinum nanoclusters to combat Salmonella typhi infection and inhibit biofilm formation. Colloids. Surf. B Biointerfaces 2018, 171, 75–84. [Google Scholar] [CrossRef]
- Adeyemi, O.S.; Murata, Y.; Sugi, T.; Kato, K. Inorganic nanoparticles kill Toxoplasma gondii via changes in redox status and mitochondrial membrane potential. Int. J. Nanomedicine 2017, 12, 1647–1661. [Google Scholar] [CrossRef] [PubMed]
- Lonnen, J.; Heaselgrave, W.; Nomachi, M.; Mori, O.; Santodomingo-Rubido, J. Disinfection efficacy and encystment rate of soft contact lens multipurpose solutions against Acanthamoeba. Eye Contact Lens 2010, 36, 26–32. [Google Scholar] [CrossRef] [PubMed]
- Niyyati, M.; Sasani, R.; Mohebali, M.; Ghazikhansari, M.; Kargar, F.; Hajialilo, E.; Rezaeian, M. Anti-Acanthamoeba Effects of Silver and Gold Nanoparticles and Contact Lenses Disinfection Solutions. Iran. J. Parasitol. 2018, 13, 180–185. [Google Scholar]
- Padzik, M.; Chomicz, L.; Szaflik, J.P.; Chruscikowska, A.; Perkowski, K.; Szaflik, J. In vitro effects of selected contact lens care solutions on Acanthamoeba castellanii strains in Poland. Exp. Parasitol. 2014, 145, S98–S101. [Google Scholar] [CrossRef]
- Padzik, M.; Hendiger, E.B.; Zochowska, A.; Szczepaniak, J.; Baltaza, W.; Pietruczuk-Padzik, A.; Oledzka, G.; Chomicz, L. Evaluation of in vitro effect of selected contact lens solutions conjugated with nanoparticles in terms of preventive approach to public health risk generated by Acanthamoeba strains. Ann. Agric. Environ. Med. 2019, 26, 198–202. [Google Scholar] [CrossRef]
- Amos, C.F.; George, M.D. Clinical and laboratory testing of a silver-impregnated lens case. Cont. Lens Anterior Eye 2006, 29, 247–255. [Google Scholar] [CrossRef]
- Fazly Bazzaz, B.S.; Khameneh, B.; Jalili-Behabadi, M.M.; Malaekeh-Nikouei, B.; Mohajeri, S.A. Preparation, characterization and antimicrobial study of a hydrogel (soft contact lens) material impregnated with silver nanoparticles. Cont. Lens Anterior Eye 2014, 37, 149–152. [Google Scholar] [CrossRef]
- Simmons, P.A.; Tomlinson, A.; Seal, D.V. The role of Pseudomonas aeruginosa biofilm in the attachment of Acanthamoeba to four types of hydrogel contact lens materials. Optom. Vis. Sci. 1998, 75, 860–866. [Google Scholar] [CrossRef]
- Beattie, T.K.; Tomlinson, A.; McFadyen, A.K. Attachment of Acanthamoeba to first- and second-generation silicone hydrogel contact lenses. Ophthalmology 2006, 113, 117–125. [Google Scholar] [CrossRef]
- Lee, S.M.; Lee, J.E.; Lee, D.I.; Yu, H.S. Adhesion of Acanthamoeba on Cosmetic Contact Lenses. J. Korean Med. Sci. 2018, 33, e26. [Google Scholar] [CrossRef]
- Omana-Molina, M.A.; Gonzalez-Robles, A.; Salazar-Villatoro, L.; Bernal-Escobar, A.; Duran-Diaz, A.; Mendez-Cruz, A.R.; Martinez-Palomo, A. Silicone hydrogel contact lenses surface promote Acanthamoeba castellanii trophozoites adherence: qualitative and quantitative analysis. Eye Contact Lens 2014, 40, 132–139. [Google Scholar] [CrossRef]
- Reverey, J.F.; Fromme, R.; Leippe, M.; Selhuber-Unkel, C. In vitro adhesion of Acanthamoeba castellanii to soft contact lenses depends on water content and disinfection procedure. Cont. Lens Anterior Eye 2014, 37, 262–266. [Google Scholar] [CrossRef]
- Heaselgrave, W.; Hamad, A.; Coles, S.; Hau, S. In Vitro Evaluation of the Inhibitory Effect of Topical Ophthalmic Agents on Acanthamoeba Viability. Transl. Vis. Sci. Technol. 2019, 8, 17. [Google Scholar] [CrossRef]
- Brito, T.K.; Silva Viana, R.L.; Goncalves Moreno, C.J.; da Silva Barbosa, J.; Lopes de Sousa Junior, F.; Campos de Medeiros, M.J.; Melo-Silveira, R.F.; Almeida-Lima, J.; de Lima Pontes, D.; Sousa Silva, M.; et al. Synthesis of Silver Nanoparticle Employing Corn Cob Xylan as a Reducing Agent with Anti-Trypanosoma cruzi Activity. Int. J. Nanomedicine 2020, 15, 965–979. [Google Scholar] [CrossRef]
- Sepulveda, A.A.L.; Arenas Velasquez, A.M.; Patino Linares, I.A.; de Almeida, L.; Fontana, C.R.; Garcia, C.; Silva Graminha, M.A. Efficacy of Photodynamic Therapy Using TiO2 Nanoparticles Doped with Zn and Hypericin Association in the Treatment of Cutaneous Leishmaniasis Caused by Leishmania amazonensis. Photodiagnosis. Photodyn. Ther. 2020, 101676. [Google Scholar] [CrossRef]
- Anwar, A.; Chi Fung, L.; Anwar, A.; Jagadish, P.; Numan, A.; Khalid, M.; Shahabuddin, S.; Siddiqui, R.; Khan, N.A. Effects of Shape and Size of Cobalt Phosphate Nanoparticles against Acanthamoeba castellanii. Pathogens 2019, 8, E260. [Google Scholar] [CrossRef]
- Imran, M.; Muazzam, A.G.; Habib, A.; Matin, A. Synthesis, characterization and amoebicidal potential of locally synthesized TiO2 nanoparticles against pathogenic Acanthamoeba trophozoites in vitro. J. Photochem. Photobiol. B 2016, 159, 125–132. [Google Scholar] [CrossRef]
- Aqeel, Y.; Siddiqui, R.; Anwar, A.; Shah, M.R.; Khan, N.A. Gold Nanoparticle Conjugation Enhances the Antiacanthamoebic Effects of Chlorhexidine. Antimicrob. Agents. Chemother. 2015, 60, 1283–1288. [Google Scholar] [CrossRef]
- Anwar, A.; Siddiqui, R.; Raza Shah, M.; Ahmed Khan, N. Gold Nanoparticles Conjugation Enhances Antiacanthamoebic Properties of Nystatin, Fluconazole and Amphotericin B. J. Microbiol. Biotechnol. 2019, 29, 171–177. [Google Scholar] [CrossRef]
- Grün, A.; Scheid, P.; Hauröder, B.; Emmerling, C.; Manz, W. Assessment of the effect of silver nanoparticles on the relevant soil protozoan genus Acanthamoeba. J. Plant. Nutr. Soil. Sci. 2017, 180, 602–613. [Google Scholar] [CrossRef]
- Anwar, A.; Siddiqui, R.; Hussain, M.A.; Ahmed, D.; Shah, M.R.; Khan, N.A. Silver nanoparticle conjugation affects antiacanthamoebic activities of amphotericin B, nystatin, and fluconazole. Parasitol. Res. 2018, 117, 265–271. [Google Scholar] [CrossRef] [PubMed]
- Anwar, A.; Siddiqui, R.; Raza Shah, M.; Khan, N.A. Antidiabetic Drugs and Their Nanoconjugates Repurposed as Novel Antimicrobial Agents against Acanthamoeba castellanii. J. Microbiol. Biotechnol. 2019, 29, 713–720. [Google Scholar] [CrossRef] [PubMed]
- Seal, D.V.; Bennett, E.S.; McFadyen, A.K.; Todd, E.; Tomlinson, A. Differential adherence of Acanthamoeba to contact lenses: effects of material characteristics. Optom. Vis. Sci. 1995, 72, 23–28. [Google Scholar] [CrossRef] [PubMed]
- Lee, G.H.; Lee, J.E.; Park, M.K.; Yu, H.S. Adhesion of Acanthamoeba on Silicone Hydrogel Contact Lenses. Cornea 2016, 35, 663–668. [Google Scholar] [CrossRef]
- Sehgal, R.; Saini, J.; Singh, K.D.; Bhatti, H.S. Acanthamoeba adherence to soft contact lens and human corneal stroma. Indian J. Pathol. Microbiol. 2002, 45, 63–67. [Google Scholar]
- Kal, A.; Toker, M.I.; Kaya, S. The comparison of antimicrobial effectiveness of contact lens solutions. Int. Ophthalmol. 2017, 37, 1103–1114. [Google Scholar] [CrossRef]
- Fears, A.C.; Metzinger, R.C.; Killeen, S.Z.; Reimers, R.S.; Roy, C.J. Comparative in vitro effectiveness of a novel contact lens multipurpose solution on Acanthamoeba castellanii. J. Ophthalmic. Inflamm. Infect. 2018, 8, 19. [Google Scholar] [CrossRef]
- Bouchoucha, I.; Aziz, A.; Hoffart, L.; Drancourt, M. Repertoire of free-living protozoa in contact lens solutions. BMC Ophthalmol. 2016, 16, 191. [Google Scholar] [CrossRef][Green Version]
- Lee, S.M.; Lee, D.I.; Park, S.H.; Yu, H.S.; Lee, J.E.; Lee, J.S. Effect of Multipurpose Solution Combined With Autophagy Inhibitors on Adhesion of Acanthamoeba trophozoites to Silicone Hydrogel Contact Lenses. Cornea 2017, 36, 1538–1543. [Google Scholar] [CrossRef]







| FDA 1 | FDA 2 | FDA 3 | FDA 4 | |
|---|---|---|---|---|
| adhesion arrangement | not regular | not regular, grouped | monolayer | monolayer |
| adhesion strength | mild | mild | strong | strong |
| detachment of cells after washing | moderate | strong | mild | mild |
| NPs Concentration (ppm) | AgNPs | PtNPs |
|---|---|---|
| 60 | 55.46 | 43.51 |
| 50 | 42.92 | 12.98 |
| 25 | 48.38 | 2.21 |
| 12.5 | 10.18 | 0 |
| 6.25 | 0 | 0 |
| Polymer | FDA Group | Water Content | Ionic | Silicon Content | Manufacturer |
|---|---|---|---|---|---|
| Senofilcon A | 1 | 38% | no | yes | ACUVUE oasys |
| Hilafilcon B | 2 | 59% | no | no | Baush&Lomb SofLens |
| Balafilcon A | 3 | 36% | yes | yes | Baush&Lomb PureVision |
| Methafilcon A | 4 | 55% | yes | no | FitView |
© 2020 by the authors. Licensee MDPI, Basel, Switzerland. This article is an open access article distributed under the terms and conditions of the Creative Commons Attribution (CC BY) license (http://creativecommons.org/licenses/by/4.0/).
Share and Cite
Hendiger, E.B.; Padzik, M.; Sifaoui, I.; Reyes-Batlle, M.; López-Arencibia, A.; Rizo-Liendo, A.; Bethencourt-Estrella, C.J.; San Nicolás-Hernández, D.; Chiboub, O.; Rodríguez-Expósito, R.L.; et al. Silver Nanoparticles as a Novel Potential Preventive Agent against Acanthamoeba Keratitis. Pathogens 2020, 9, 350. https://doi.org/10.3390/pathogens9050350
Hendiger EB, Padzik M, Sifaoui I, Reyes-Batlle M, López-Arencibia A, Rizo-Liendo A, Bethencourt-Estrella CJ, San Nicolás-Hernández D, Chiboub O, Rodríguez-Expósito RL, et al. Silver Nanoparticles as a Novel Potential Preventive Agent against Acanthamoeba Keratitis. Pathogens. 2020; 9(5):350. https://doi.org/10.3390/pathogens9050350
Chicago/Turabian StyleHendiger, Edyta B., Marcin Padzik, Ines Sifaoui, María Reyes-Batlle, Atteneri López-Arencibia, Aitor Rizo-Liendo, Carlos J. Bethencourt-Estrella, Desirée San Nicolás-Hernández, Olfa Chiboub, Rubén L. Rodríguez-Expósito, and et al. 2020. "Silver Nanoparticles as a Novel Potential Preventive Agent against Acanthamoeba Keratitis" Pathogens 9, no. 5: 350. https://doi.org/10.3390/pathogens9050350
APA StyleHendiger, E. B., Padzik, M., Sifaoui, I., Reyes-Batlle, M., López-Arencibia, A., Rizo-Liendo, A., Bethencourt-Estrella, C. J., San Nicolás-Hernández, D., Chiboub, O., Rodríguez-Expósito, R. L., Grodzik, M., Pietruczuk-Padzik, A., Stępień, K., Olędzka, G., Chomicz, L., Piñero, J. E., & Lorenzo-Morales, J. (2020). Silver Nanoparticles as a Novel Potential Preventive Agent against Acanthamoeba Keratitis. Pathogens, 9(5), 350. https://doi.org/10.3390/pathogens9050350

