Development of Conventional Multiplex PCR: A Rapid Technique for Simultaneous Detection of Soil-Transmitted Helminths
Abstract
1. Introduction
2. Results
2.1. Species-Specific Primers of Each Parasite to Specifically Amplify Target Amplicons
2.2. Multiplex PCR Is Sensitive for Simultaneous Detection of Mixed Infections
2.3. No Cross-Reactivity of Each Species-Specific Primer and Other Parasites
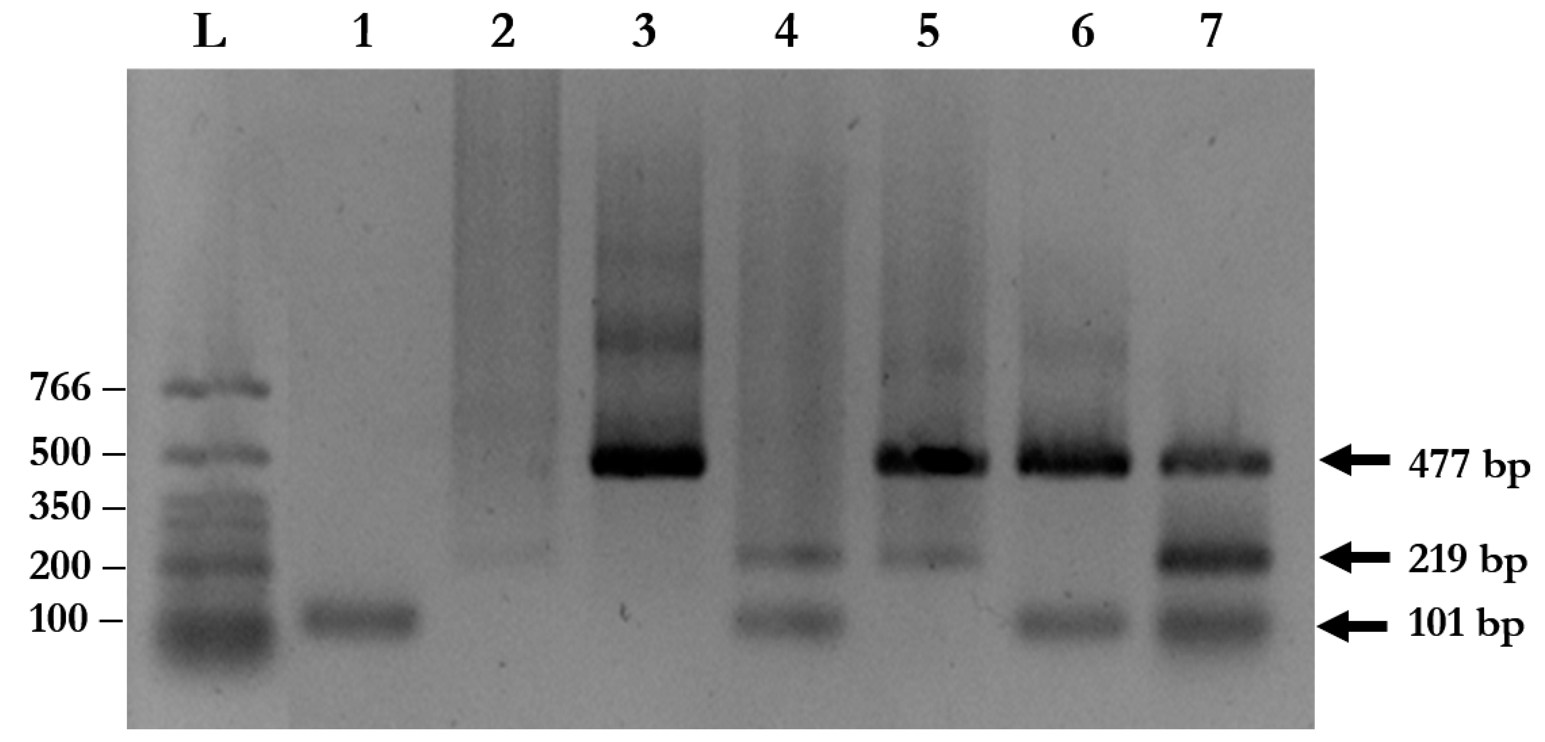
2.4. Multiplex PCR Correctly Identifies Parasites in Stool Samples
2.5. Comparison of Multiplex PCR and FECT for Detection of STHs in Stool Samples
3. Discussion
4. Materials and Methods
4.1. Sample Collection and Examination
4.2. DNA Preparation
4.3. Primer Design for Multiplex PCR
4.4. Multiplex PCR
4.5. Determination of Specificity and Limit of Detection
4.6. Statistical Analysis
Supplementary Materials
Author Contributions
Funding
Acknowledgments
Conflicts of Interest
References
- Ojha, S.C.; Jaide, C.; Jinawath, N.; Rotjanapan, P.; Baral, P. Geohelminths: Public health significance. J. Infect. Dev. Ctries. 2014, 8, 5–16. [Google Scholar] [CrossRef] [PubMed]
- Keiser, J.; Utzinger, J. Efficacy of current drugs against soil-transmitted helminth infections: Systematic review and meta-analysis. JAMA 2008, 299, 1937–1948. [Google Scholar] [CrossRef] [PubMed]
- Gordon, C.A.; McManus, D.P.; Acosta, L.P.; Olveda, R.M.; Williams, G.M.; Ross, A.G.; Gray, D.J.; Gobert, G.N. Multiplex real-time PCR monitoring of intestinal helminths in humans reveals widespread polyparasitism in Northern Samar, the Philippines. Int. J. Parasitol. 2015, 45, 477–483. [Google Scholar] [CrossRef]
- Mationg, M.L.S.; Gordon, C.A.; Tallo, V.L.; Olveda, R.M.; Alday, P.P.; Renosa, M.D.C.; Bieri, F.A.; Williams, G.M.; Clements, A.C.A.; Steinmann, P.; et al. Status of soil-transmitted helminth infections in schoolchildren in Laguna Province, the Philippines: Determined by parasitological and molecular diagnostic techniques. PLoS Negl. Trop. Dis. 2017, 11, e0006022. [Google Scholar] [CrossRef]
- Glinz, D.; Silue, K.D.; Knopp, S.; Lohourignon, L.K.; Yao, K.P.; Steinmann, P.; Rinaldi, L.; Cringoli, G.; N’Goran, E.K.; Utzinger, J. Comparing diagnostic accuracy of Kato-Katz, Koga agar plate, ether-concentration, and FLOTAC for Schistosoma mansoni and soil-transmitted helminths. PLoS Negl. Trop. Dis. 2010, 4, e754. [Google Scholar] [CrossRef] [PubMed]
- Knopp, S.; Rinaldi, L.; Khamis, I.S.; Stothard, J.R.; Rollinson, D.; Maurelli, M.P.; Steinmann, P.; Marti, H.; Cringoli, G.; Utzinger, J. A single FLOTAC is more sensitive than triplicate Kato-Katz for the diagnosis of low-intensity soil-transmitted helminth infections. Trans. R. Soc. Trop. Med. Hyg. 2009, 103, 347–354. [Google Scholar] [CrossRef] [PubMed]
- Speich, B.; Utzinger, J.; Marti, H.; Ame, S.M.; Ali, S.M.; Albonico, M.; Keiser, J. Comparison of the Kato-Katz method and ether-concentration technique for the diagnosis of soil-transmitted helminth infections in the framework of a randomised controlled trial. Eur. J. Clin. Microbiol. Infect. Dis. 2014, 33, 815–822. [Google Scholar] [CrossRef] [PubMed]
- Albonico, M.; Stoltzfus, R.J.; Savioli, L.; Tielsch, J.M.; Chwaya, H.M.; Ercole, E.; Cancrini, G. Epidemiological evidence for a differential effect of hookworm species, Ancylostoma duodenale OR. Necator americanus, on iron status of children. Int. J. Epidemiol. 1998, 27, 530–537. [Google Scholar] [CrossRef]
- Engels, D.; Nahimana, S.; Gryseels, B. Comparison of the direct faecal smear and two thick smear techniques for the diagnosis of intestinal parasitic infections. Trans. R. Soc. Trop. Med. Hyg. 1996, 90, 523–525. [Google Scholar] [CrossRef]
- Santos, F.L.; Cerqueira, E.J.; Soares, N.M. Comparison of the thick smear and Kato-Katz techniques for diagnosis of intestinal helminth infections. Rev. Soc. Bras. Med. Trop. 2005, 38, 196–198. [Google Scholar] [CrossRef]
- Verweij, J.J.; Stensvold, C.R. Molecular testing for clinical diagnosis and epidemiological investigations of intestinal parasitic infections. Clin. Microbiol. Rev. 2014, 27, 371–418. [Google Scholar] [CrossRef] [PubMed]
- Deng, M.H.; Zhong, L.Y.; Kamolnetr, O.; Limpanont, Y.; Lv, Z.Y. Detection of helminths by loop-mediated isothermal amplification assay: A review of updated technology and future outlook. Infect. Dis. Poverty 2019, 8, 20. [Google Scholar] [CrossRef] [PubMed]
- Fernandez, S.; Pagotto, A.H.; Furtado, M.M.; Katsuyama, A.M.; Madeira, A.M.; Gruber, A. A multiplex PCR assay for the simultaneous detection and discrimination of the seven Eimeria species that infect domestic fowl. Parasitology 2003, 127, 317–325. [Google Scholar] [CrossRef] [PubMed]
- Yan, W.; Wang, W.; Wang, T.; Suo, X.; Qian, W.; Wang, S.; Fan, D. Simultaneous identification of three highly pathogenic Eimeria species in rabbits using a multiplex PCR diagnostic assay based on ITS1-5.8S rRNA-ITS2 fragments. Vet. Parasitol. 2013, 193, 284–288. [Google Scholar] [CrossRef] [PubMed]
- Zarlenga, D.S.; Barry Chute, M.; Gasbarre, L.C.; Boyd, P.C. A multiplex PCR assay for differentiating economically important gastrointestinal nematodes of cattle. Vet. Parasitol. 2001, 97, 199–209. [Google Scholar] [CrossRef]
- Ernest, H.B.; Penedo, M.C.; May, B.P.; Syvanen, M.; Boyce, W.M. Molecular tracking of mountain lions in the Yosemite Valley region in California: Genetic analysis using microsatellites and faecal DNA. Mol. Ecol. 2000, 9, 433–441. [Google Scholar] [CrossRef]
- Croker, C.; Reporter, R.; Redelings, M.; Mascola, L. Strongyloidiasis-related deaths in the United States, 1991-2006. Am. J. Trop. Med. Hyg. 2010, 83, 422–426. [Google Scholar] [CrossRef]
- Anamnart, W.; Pattanawongsa, A.; Intapan, P.M.; Maleewong, W. Albendazole stimulates the excretion of Strongyloides stercoralis Larvae in stool specimens and enhances sensitivity for diagnosis of strongyloidiasis. J. Clin. Microbiol. 2010, 48, 4216–4220. [Google Scholar] [CrossRef] [PubMed]
- Koga, K.; Kasuya, S.; Khamboonruang, C.; Sukhavat, K.; Ieda, M.; Takatsuka, N.; Kita, K.; Ohtomo, H. A modified agar plate method for detection of Strongyloides stercoralis. Am. J. Trop. Med. Hyg. 1991, 45, 518–521. [Google Scholar] [CrossRef]
- Verweij, J.J.; Brienen, E.A.; Ziem, J.; Yelifari, L.; Polderman, A.M.; Van Lieshout, L. Simultaneous detection and quantification of Ancylostoma duodenale, Necator americanus, and Oesophagostomum bifurcum in fecal samples using multiplex real-time PCR. Am. J. Trop. Med. Hyg. 2007, 77, 685–690. [Google Scholar] [CrossRef]
- Basuni, M.; Muhi, J.; Othman, N.; Verweij, J.J.; Ahmad, M.; Miswan, N.; Rahumatullah, A.; Aziz, F.A.; Zainudin, N.S.; Noordin, R. A pentaplex real-time polymerase chain reaction assay for detection of four species of soil-transmitted helminths. Am. J. Trop. Med. Hyg. 2011, 84, 338–343. [Google Scholar] [CrossRef] [PubMed]
- Pilotte, N.; Torres, M.; Tomaino, F.R.; Laney, S.J.; Williams, S.A. A TaqMan-based multiplex real-time PCR assay for the simultaneous detection of Wuchereria bancrofti and Brugia malayi. Mol. Biochem. Parasitol. 2013, 189, 33–37. [Google Scholar] [CrossRef] [PubMed]
- Taniuchi, M.; Verweij, J.J.; Noor, Z.; Sobuz, S.U.; Lieshout, L.; Petri, W.A., Jr.; Haque, R.; Houpt, E.R. High throughput multiplex PCR and probe-based detection with Luminex beads for seven intestinal parasites. Am. J. Trop. Med. Hyg. 2011, 84, 332–337. [Google Scholar] [CrossRef] [PubMed]
- Kaewkong, W.; Intapan, P.M.; Sanpool, O.; Janwan, P.; Thanchomnang, T.; Laummaunwai, P.; Lulitanond, V.; Doanh, P.N.; Maleewong, W. Molecular differentiation of Opisthorchis viverrini and Clonorchis sinensis eggs by multiplex real-time PCR with high resolution melting analysis. Korean J. Parasitol. 2013, 51, 689–694. [Google Scholar] [CrossRef] [PubMed]
- Truant, A.L.; Elliott, S.H.; Kelly, M.T.; Smith, J.H. Comparison of formalin-ethyl ether sedimentation, formalin-ethyl acetate sedimentation, and zinc sulfate flotation techniques for detection of intestinal parasites. J. Clin. Microb. 1981, 13, 882–884. [Google Scholar]
- Intapan, P.; Maleewong, W.; Wongsaroj, T.; Singthong, S.; Morakote, N. Comparison of the quantitative formalin ethyl acetate concentration technique and agar plate culture for diagnosis of human strongyloidiasis. J. Clin. Microb. 2005, 43, 1932–1933. [Google Scholar] [CrossRef] [PubMed]
- Cociancic, P.; Rinaldi, L.; Zonta, M.L.; Navone, G.T. Formalin-ethyl acetate concentration, FLOTAC Pellet and anal swab techniques for the diagnosis of intestinal parasites. Parasitol. Res. 2018, 117, 3567–3573. [Google Scholar] [CrossRef]
- Sato, M.; Sanguankiat, S.; Yoonuan, T.; Pongvongsa, T.; Keomoungkhoun, M.; Phimmayoi, I.; Boupa, B.; Moji, K.; Waikagul, J. Copro-molecular identification of infections with hookworm eggs in rural Lao PDR. Trans. R. Soc. Trop. Med. Hyg. 2010, 104, 617–622. [Google Scholar] [CrossRef]
- Repetto, S.A.; Soto, C.A.; Cazorla, S.I.; Tayeldin, M.L.; Cuello, S.; Lasala, M.B.; Tekiel, V.S.; Cappa, S.G. An improved DNA isolation technique for PCR detection of Strongyloides stercoralis in stool samples. Acta. Trop. 2013, 126, 110–114. [Google Scholar] [CrossRef]
- Hall, T.A. BioEdit: A user-friendly biological sequence alignment editor and analysis program for Windows 95/98/NT. Nucl. Acids. Symp. Ser. 1999, 41, 95–98. [Google Scholar]






| Parasite | Target Region (Accession No.) | Primer (5′→ 3′) | Length (bp) | Product Size (bp) |
|---|---|---|---|---|
| A. lumbricoides | ITS1 | F: GGT GAT GTA ATA GCA GTC GG | 20 | 219 |
| (AJ000895.1) | R: TTC TCT CCA CCT TTC ATC G | 19 | ||
| N. americanus | 18S rRNA | F: AGC ATT GCT TGA ATG CC | 17 | 477 |
| (AF217891.1) | R: AAG TAC CGT TCG ACA AAC AG | 20 | ||
| S. stercoralis | 18S rDNA | F: GAATTCCAAGTAAACGTAAGTCAT | 24 | 101 |
| (AF279916.2) | R: TGCCTCTGGATATTGCTCAGTTC | 23 |
| Multiplex- PCR | FECT | |
|---|---|---|
| Positive | 66 | 49 |
| Single infection | ||
| A. lumbricoides | 25 | 26 |
| N. americanus | 0 | 5 |
| S. stercoralis | 30 | 16 |
| Co-infection | ||
| A. lumbricoides and N. americanus | 3 | 2 |
| A. lumbricoides and S. stercoralis | 4 | 0 |
| N. americanus and S. stercoralis | 2 | 0 |
| A. lumbricoides, N. Americanus, and S. stercoralis | 2 | 0 |
| Negative | 28 | 45 |
| Multiplex PCR | FECT | Total | Kappa | ||
|---|---|---|---|---|---|
| Positive | Negative | ||||
| A. lumbricoides | Positive | 23 | 11 | 34 | 0.617 |
| Negative | 5 | 55 | 60 | ||
| Total | 28 | 66 | 94 | ||
| N. americanus | Positive | 3 | 4 | 7 | 0.383 |
| Negative | 4 | 83 | 87 | ||
| Total | 7 | 87 | 94 | ||
| S. stercoralis | Positive | 13 | 25 | 38 | 0.318 |
| Negative | 3 | 53 | 56 | ||
| Total | 16 | 78 | 94 | ||
© 2019 by the authors. Licensee MDPI, Basel, Switzerland. This article is an open access article distributed under the terms and conditions of the Creative Commons Attribution (CC BY) license (http://creativecommons.org/licenses/by/4.0/).
Share and Cite
Sanprasert, V.; Kerdkaew, R.; Srirungruang, S.; Charuchaibovorn, S.; Phadungsaksawasdi, K.; Nuchprayoon, S. Development of Conventional Multiplex PCR: A Rapid Technique for Simultaneous Detection of Soil-Transmitted Helminths. Pathogens 2019, 8, 152. https://doi.org/10.3390/pathogens8030152
Sanprasert V, Kerdkaew R, Srirungruang S, Charuchaibovorn S, Phadungsaksawasdi K, Nuchprayoon S. Development of Conventional Multiplex PCR: A Rapid Technique for Simultaneous Detection of Soil-Transmitted Helminths. Pathogens. 2019; 8(3):152. https://doi.org/10.3390/pathogens8030152
Chicago/Turabian StyleSanprasert, Vivornpun, Ruthairat Kerdkaew, Siriporn Srirungruang, Sarit Charuchaibovorn, Kobpat Phadungsaksawasdi, and Surang Nuchprayoon. 2019. "Development of Conventional Multiplex PCR: A Rapid Technique for Simultaneous Detection of Soil-Transmitted Helminths" Pathogens 8, no. 3: 152. https://doi.org/10.3390/pathogens8030152
APA StyleSanprasert, V., Kerdkaew, R., Srirungruang, S., Charuchaibovorn, S., Phadungsaksawasdi, K., & Nuchprayoon, S. (2019). Development of Conventional Multiplex PCR: A Rapid Technique for Simultaneous Detection of Soil-Transmitted Helminths. Pathogens, 8(3), 152. https://doi.org/10.3390/pathogens8030152
