Identification of Differentially Expressed Genes in BALB/c Mouse Liver upon Primary Infection with DENV1 and Sequential Heterologous Infection with DENV2
Abstract
1. Introduction
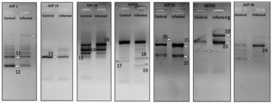
2. Results
3. Discussion
4. Materials and Methods
4.1. Viruses
4.2. Animal Work
4.3. mRNA Differential Display PCR
4.4. Quantitative Real-Time PCR
Author Contributions
Funding
Acknowledgments
Conflicts of Interest
References
- McBride, W.J.; Bielefeldt-Ohmann, H. Dengue viral infections; pathogenesis and epidemiology. Microbe. Infect. 2000, 2, 1041–1050. [Google Scholar] [CrossRef]
- Tham, H.W.; Balasubramaniam, V.; Chew, M.F.; Ahmad, H.; Hassan, S.S. Protein-protein interactions between A. aegypti midgut and dengue virus 2: Two-hybrid screens using the midgut cDNA library. J. Infect. Dev. Ctries. 2015, 9, 1338–1349. [Google Scholar] [CrossRef] [PubMed]
- Murrell, S.; Wu, S.C.; Butler, M. Review of dengue virus and the development of a vaccine. Biotechnol. Adv. 2011, 29, 239–247. [Google Scholar] [CrossRef] [PubMed]
- Rothman, A.L. Dengue: Defining protective versus pathologic immunity. J. Clin. Invest. 2004, 113, 946–951. [Google Scholar] [CrossRef] [PubMed]
- Rothman, A.L.; Ennis, F.A. Immunopathogenesis of dengue hemorrhagic fever. Virology 1999, 257, 1–6. [Google Scholar] [CrossRef] [PubMed]
- Lin, Y.L.; Liu, C.C.; Chuang, J.I.; Lei, H.Y.; Yeh, T.M.; Lin, Y.S.; Huang, Y.H.; Liu, H.S. Involvement of oxidative stress, NF-IL-6 and RANTES expression in dengue-2 virus infected human liver cells. Virology 2000, 276, 114–126. [Google Scholar] [CrossRef] [PubMed]
- Lei, H.Y.; Yeh, T.M.; Liu, H.S.; Lin, Y.S.; Chen, S.H.; Liu, C.C. Immunopathogenesis of dengue virus infection. J. Biomed. Sci. 2001, 8, 377–388. [Google Scholar] [CrossRef] [PubMed]
- Yauch, L.E.; Shresta, S. Mouse models of dengue virus infection and disease. Antiviral Res. 2008, 80, 87–93. [Google Scholar] [CrossRef] [PubMed]
- Seneviratne, S.L.; Malavige, G.N.; de Silva, H.J. Pathogenesis of liver involvement during dengue viral infections. Trans. R. Soc. Trop. Med. Hyg. 2006, 100, 608–614. [Google Scholar] [CrossRef] [PubMed]
- Bhamarapravati, N. Hemostatic defects in dengue hemorrhagic fever. Rev. Infect. Dis. 1989, 11, 826–829. [Google Scholar] [CrossRef]
- Subramanian, V.; Shenoy, S.; Joseph, A.J. Dengue hemorrhagic fever and fulminant hepatic failure. Dig. Dis. Sci. 2005, 50, 1146–1147. [Google Scholar] [CrossRef] [PubMed]
- Pancharoen, C.; Rungsarannont, A.; Thisyakorn, U. Hepatic dysfunction in dengue patients with various severity. J. Med. Assoc. Thail. 2002, 85, 298–301. [Google Scholar]
- Smith, D.R.; Khakpoor, A. Involvement of the liver in dengue infections. Dengue Bull. 2009, 33, 75–86. [Google Scholar]
- Kuo, C.H.; Tai, D.I.; Chang-Chien, C.S.; Lan, C.K.; Chiou, S.S.; Liaw, Y.F. Liver biochemical tests and dengue fever. Am. J. Trop. Med. Hyg. 1992, 47, 265–270. [Google Scholar] [CrossRef] [PubMed]
- Wichmann, O.; Hongsiriwon, S.; Bowonwatanuwong, C.; Chotivanich, K.; Sukthana, Y.; Pukrittayakamee, S. Risk factors and clinical features associated with severe dengue infection in adults and children during the 2001 epidemic in Chonburi, Thailand. Trop. Med. Int. Health 2004, 9, 1022–1029. [Google Scholar] [CrossRef] [PubMed]
- Ekkapongpisit, E.; Wannatung, T.; Susantad, T.; Triwitayakorn, K.; Smith, D.R. cDNA-AFLP analysis of differential gene expression in human hepatoma (HepG2) cells upon dengue virus infection. J. Med. Virol. 2007, 79, 552–561. [Google Scholar] [CrossRef] [PubMed]
- Loke, P.; Hammond, S.N.; Leung, J.M.; Kim, C.C.; Batra, S.; Rocha, C.; Balmaseda, A.; Harris, E. Gene expression patterns of dengue virus-infected children from Nicaragua reveal a distinct signature of increased metabolism. PLoS Negl. Trop. Dis. 2010, 4, e710. [Google Scholar] [CrossRef] [PubMed]
- Burns, J.C.; Friedmann, T.; Driever, W.; Burrascano, M.; Yee, J.K. Vesicular stomatitis virus G glycoprotein pseudotyped retroviral vectors: Concentration to very high titer and efficient gene transfer into mammalian and non-mammalian cells. Proc. Natl. Acad. Sci. USA 1993, 90, 8033–8037. [Google Scholar] [CrossRef] [PubMed]
- Hierholzer, J.; Killington, R. Virus isolation and quantitation. In Virology Methods Manual; Hillar, O.K., Brian, W.J.M., Eds.; Academic Press: Cambridge, MA, USA, 1996; pp. 25–46. [Google Scholar]
- Balasubramaniam, V.R.M.T.; Wai, T.H.; Omar, A.R.; Othman, I.; Hassan, S.S. Cellular transcripts of chicken brain tissue in response to H5N1 and Newcastle disease virus. Virol. J. 2012, 9, 1–12. [Google Scholar] [CrossRef] [PubMed]
- Balasubramaniam, V.R.M.T.; Hassan, S.S.; Omar, A.R.; Mohamed, M.; Noor, S.M.; Mohamed, R.; Othman, I. Cellular transcripts regulated during infections with Highly Pathogenic H5N1 Avian Influenza virus in 3 host systems. Virol. J. 2011, 8, 196. [Google Scholar] [CrossRef] [PubMed]
- Hwang, I.T.; Kim, Y.J.; Kim, S.H.; Kwak, C.I.; Gu, Y.Y.; Chun, J.Y. Annealing control primer system for improving specificity of PCR amplification. BioTechniques 2003, 35, 1180–1191. [Google Scholar] [CrossRef] [PubMed]
- Schmittgen, T.D.; Livak, K.J. Analyzing real-time PCR data by the comparative C(T) method. Nat. Protoc. 2008, 3, 1101–1108. [Google Scholar] [CrossRef] [PubMed]




| DEG No. | Regulation (Infected) | Identified mRNA | Max Identity | Accession |
|---|---|---|---|---|
| 1 | Down | Mus musculus kelch-like 25 (Drosophila), mRNA (cDNA clone IMAGE:4159269) | 99% | BC022600.1 |
| 2 | Down | Mus musculus histidine ammonia lyase, mRNA (cDNA clone MGC:67748 IMAGE:4211545), complete cds | 99% | BC057637.1 |
| 3 | Down | Mus musculus cDNA sequence BC024137, mRNA (cDNA clone IMAGE:5136153), partial cds | 99% | BC024137.1 |
| 4 | Down | Mus musculus SEC62 homolog (S. cerevisiae) (Sec62), mRNA | 99% | NM_027016.2 |
| 5 | Down | Mus musculus prefoldin 5 (Pfdn5), mRNA | 99% | NM_027044.3 |
| 6 | Up | Mus musculus translocase of outer mitochondrial membrane 6 homolog (yeast), mRNA (cDNA clone MGC:46796 IMAGE:5007624), complete cds | 98% | BC037589.1 |
| 7 | Down | Mus musculus C-reactive protein, pentraxin-related, mRNA (cDNA clone MGC:18634 IMAGE:4195658), complete cds | 100% | BC011124.1 |
| 8 | Up | Mus musculus S-adenosylhomocysteine hydrolase (Ahcy), mRNA | 99% | NM_016661.3 |
| 9 | Up | Mus musculus alpha 1 microglobulin/bikunin, mRNA (cDNA clone MGC:14070 IMAGE:4193922), complete cds | 99% | BC021660.1 |
| 10 | Down | Mus musculus mitochondrial DNA from Lewis lung carcinoma, complete sequence | 88% | AP013054.1 |
| DEG No. | Regulation (Infected) | Identified mRNA | Max Identity | Accession |
|---|---|---|---|---|
| 11 | Down | Mus musculus fibronectin 1, mRNA (cDNA clone IMAGE:4985138), partial cds | 99% | BC036167.1 |
| 12 | Down | Mus musculus mitochondrial DNA from Lewis lung carcinoma, complete sequence | 96% | AP013054.1 |
| 13 | Down | Mus musculus mRNA for serum albumin | 99% | AJ011413.1 |
| 14 | Down | Mus musculus interferon induced transmembrane protein 1 (Ifitm1), transcript variant 2, mRNA | 94% | NM_001112715.1 |
| 15 | Down | Mus musculus ribosomal protein L12 (Rpl12), mRNA | 99% | NM_009076.3 |
| 16 | Up | Mus musculus MACRO domain containing 1, mRNA | 78% | BC008653.1 |
| (cDNA clone MGC:11843 IMAGE:3597023), complete cds | ||||
| 17 | Down | Mus musculus capping protein (actin filament) muscle Z-line, beta | 100% | NM_001271405.1 |
| (Capzb), transcript variant 3, mRNA | ||||
| 18 | Up | Mus musculus alpha-2-HS-glycoprotein (Ahsg), mRNA | 83% | NM_013465.1 |
| 19 | Up | Mus musculus hydroxysteroid (17-beta) dehydrogenase 11 | 99% | NM_053262.3 |
| (Hsd17b11), mRNA | ||||
| 20 | Down | Mus musculus cytochrome P450, family 2, subfamily a, polypeptide 5 | 99% | NM_007812.4 |
| (Cyp2a5), mRNA | ||||
| 21 | Up | Mus musculus alpha 1 microglobulin/bikunin, mRNA | 99% | BC021660.1 |
| (cDNA clone MGC:14070 IMAGE:4193922), complete cds | ||||
| 22 | Up | Mus musculus cytochrome P450, family 2, subfamily d, polypeptide 26, mRNA | 100% | BC023241.1 |
| (cDNA clone MGC:28632 IMAGE:4222538), complete cds | ||||
| 23 | Up | Mus musculus FCF1 small subunit (SSU) processome component homolog | 97% | NM_028632.2 |
| (S. cerevisiae) (Fcf1), mRNA | ||||
| 24 | Up | Mus musculus pyrophosphatase (inorganic) 1, mRNA | 99% | BC010468.1 |
| (cDNA clone MGC:6716 IMAGE:3585780), complete cds |
| DEG No. | Regulation (Infected) | Identified mRNA | Max Identity | Accession |
|---|---|---|---|---|
| 25 | Up | Mus musculus esterase D/formylglutathione hydrolase, mRNA (cDNA clone MGC:57923 IMAGE:5694094), complete cds | 99% | BC046766.1 |
| 26 | Down | Mus musculus pregnane X receptor mRNA, complete cds | 97% | AF031814.1 |
| 27 | Down | Mus musculus hairy and enhancer of split 6 (Drosophila) (Hes6), mRNA | 99% | NM_019479.3 |
| 28 | Down | Mus musculus mitochondrial pyruvate carrier 1, pseudogene (Mpc1-ps) on chromosome 12 | 99% | NG_032669.1 |
| 29 | Up | Mus musculus interferon, alpha-inducible protein 27 like 1 (Ifi271), transcript variant 5, mRNA | 99% | NM_194069.2 |
| 30 | Down | Mus musculus ribosomal protein L18A (Rpl18a), mRNA | 81% | NM_029751.4 |
© 2018 by the authors. Licensee MDPI, Basel, Switzerland. This article is an open access article distributed under the terms and conditions of the Creative Commons Attribution (CC BY) license (http://creativecommons.org/licenses/by/4.0/).
Share and Cite
Wickremsinghe, I.A.C.; R. M. T. Balasubramaniam, V.; Mot, Y.Y.; Dhanoa, A.; S. Hassan, S. Identification of Differentially Expressed Genes in BALB/c Mouse Liver upon Primary Infection with DENV1 and Sequential Heterologous Infection with DENV2. Pathogens 2018, 7, 78. https://doi.org/10.3390/pathogens7040078
Wickremsinghe IAC, R. M. T. Balasubramaniam V, Mot YY, Dhanoa A, S. Hassan S. Identification of Differentially Expressed Genes in BALB/c Mouse Liver upon Primary Infection with DENV1 and Sequential Heterologous Infection with DENV2. Pathogens. 2018; 7(4):78. https://doi.org/10.3390/pathogens7040078
Chicago/Turabian StyleWickremsinghe, Indeevari A. C., Vinod R. M. T. Balasubramaniam, Y. Yik Mot, Amreeta Dhanoa, and Sharifah S. Hassan. 2018. "Identification of Differentially Expressed Genes in BALB/c Mouse Liver upon Primary Infection with DENV1 and Sequential Heterologous Infection with DENV2" Pathogens 7, no. 4: 78. https://doi.org/10.3390/pathogens7040078
APA StyleWickremsinghe, I. A. C., R. M. T. Balasubramaniam, V., Mot, Y. Y., Dhanoa, A., & S. Hassan, S. (2018). Identification of Differentially Expressed Genes in BALB/c Mouse Liver upon Primary Infection with DENV1 and Sequential Heterologous Infection with DENV2. Pathogens, 7(4), 78. https://doi.org/10.3390/pathogens7040078

