Reoviral Hepatitis in Young Turkey Poults—An Emerging Problem
Abstract
1. Introduction
2. Materials and Methods
2.1. Case Definition
2.2. Retrospective Data Review
2.3. Pathology
2.4. In Situ Hybridization
2.5. Bacterial Isolation
2.6. Virus Isolation
2.7. Transmission Electron Microscopy (EM)
2.8. σC Gene Sequencing
2.9. Phylogenetic Analysis
3. Results
3.1. Retrospective Data Summary
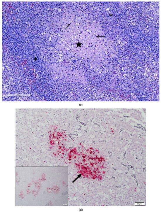
3.2. Gross Lesions and Histopathology
3.3. In Situ Hybridization
3.4. Bacterial Isolation
3.5. Virus Isolation
3.6. Transmission Electron Microscopy
3.7. Phylogenetic Analysis
4. Discussion
5. Conclusions
Author Contributions
Funding
Institutional Review Board Statement
Informed Consent Statement
Data Availability Statement
Acknowledgments
Conflicts of Interest
Abbreviations
| ARVs | Avian reoviruses |
| CPE | Cytopathic effects |
| EM | Electron microscopy |
| FFPE | Formalin fixed paraffin embedded |
| H&E | Hematoxylin and Eosin |
| HBSS | Hanks’ balanced salt solution |
| ISH | In situ hybridization |
| MVDL | Minnesota Veterinary Diagnostic Laboratory |
| rRT-PCR | Real-time reverse transcription-PCR |
| TARV | Turkey arthritis reovirus |
| TERV | Turkey enteric reovirus |
| THRV | Turkey hepatitis reovirus |
References
- Spandidos, D.A.; Graham, A.F. Physical and chemical characterization of an avian reovirus. J. Virol. 1976, 19, 968–976. [Google Scholar] [CrossRef]
- Jones, R.C. Viral arthritis. In Diseases of Poultry, 12th ed.; Saif, Y.M., Ed.; Wiley-Blackwell: Ames, IA, USA, 2009; pp. 310–322. [Google Scholar]
- Varela, R.; Benavente, J. Protein coding assignment of avian reovirus strain S11343. J. Virol. 1994, 68, 2974–2981. [Google Scholar] [CrossRef]
- Schnitzer, T.J.; Ramos, T.; Gouvea, V. Avian reo virus polypeptides: Analysis of intracellular virus-specified products virions, top component, and cores. J. Virol. 1982, 43, 1006–1014. [Google Scholar] [CrossRef] [PubMed]
- Martínez-Costas, J.; Grande, A.; Varela, R.; García-Martínez, C.; Benavente, J. Protein architecture of avian reovirus S1133 and identification of the cell attachment protein. J. Virol. 1997, 71, 59–64. [Google Scholar] [CrossRef] [PubMed]
- Wickramasinghe, R.; Meanger, J.; Enriquez, C.E.; Wilcox, G.E. Avian reovirus proteins associated with neutralization of virus infectivity. Virology 1993, 194, 688–696. [Google Scholar] [CrossRef]
- Kant, A.; Balk, F.; Born, L.; van Roozelaar, D.; Heijmans, J.; Gielkens, A.; ter Huurne, A. Classification of Dutch and German avian reoviruses by sequencing the sigma C protein. Vet. Res. 2003, 34, 203–212. [Google Scholar] [CrossRef]
- Sellers, H.S. Avian reoviruses from clinical cases of tenosynovitis: An overview of diagnostic approaches and 10-year review of isolations and genetic characterization. Avian Dis. 2022, 66, 420–426. [Google Scholar] [CrossRef]
- Rosenberger, J.K.; Sterner, F.J.; Botts, S.; Lee, K.P.; Margolin, A. In vitro and in vivo characterization of avian reoviruses. I. Pathogenicity and antigenic relatedness of several avian reovirus isolates. Avian Dis. 1989, 33, 535–544. [Google Scholar] [CrossRef] [PubMed]
- Tang, Y.; Lu, H. Genomic characterization of a broiler reovirus field strain detected in Pennsylvania. Infect. Genet. Evol. 2015, 31, 177–182. [Google Scholar] [CrossRef]
- Chen, Z.; Zhu, Y.; Li, C.; Liu, G. Outbreak-associated novel duck Reovirus, China, 2011. Emerg. Infect. Dis. 2012, 18, 1209–1211. [Google Scholar] [CrossRef] [PubMed] [PubMed Central]
- Wang, H.; Gao, B.; Chen, H.; Diao, Y.; Tang, Y. Isolation and characterization of a variant duck orthoreovirus causing spleen necrosis in Peking ducks, China. Transbound. Emerg. Dis. 2019, 66, 2033–2044. [Google Scholar] [CrossRef]
- Liu, Q.; Zhang, G.; Huang, Y.; Ren, G.; Chen, L.; Gao, J.; Zhang, D.; Han, B.; Su, W.; Zhao, J.; et al. Isolation and characterization of a reovirus causing spleen necrosis in Pekin ducklings. Vet. Microbiol. 2011, 148, 200–206. [Google Scholar] [CrossRef]
- Niu, X.; Tian, J.; Yang, J.; Jiang, X.; Wang, H.; Tang, Y.; Diao, Y. Complete genome sequence of a novel avian orthoreovirus isolated from gosling, China. Arch. Virol. 2018, 163, 3463–3466. [Google Scholar] [CrossRef] [PubMed]
- Yang, J.; Tian, J.; Chen, L.; Tang, Y.; Diao, Y. Isolation and genomic characterization of a novel chicken-origin orthoreovirus causing goslings hepatitis. Vet. Microbiol. 2018, 227, 69–77. [Google Scholar] [CrossRef] [PubMed]
- Palya, V.; Glávits, R.; Dobos-Kovács, M.; Ivanics, É.; Nagy, E.; Bányai, K.; Szücs, G.; Dá, Á.; Benkö, M. Reovirus identified as cause of disease in young geese. Avian Pathol. 2003, 32, 129–138. [Google Scholar] [CrossRef]
- Tang, Y.; Lu, H.; Sebastian, A.; Yeh, Y.T.; Praul, C.A.; Albert, I.U.; Zheng, S.Y. Genomic characterization of a turkey reovirus field strain by next-generation sequencing. Infect. Genet. Evol. 2015, 32, 313–321. [Google Scholar] [CrossRef]
- Lu, H.; Tang, Y.; Dunn, P.A.; Wallner-Pendleton, E.A.; Lin, L.; Knoll, E.A. Isolation and molecular characterization of newly emerging avian reovirus variants and novel strains in Pennsylvania, USA, 2011–2014. Sci. Rep. 2015, 5, 14727. [Google Scholar] [CrossRef]
- Mor, S.K.; Sharafeldin, T.A.; Abin, M.; Kromm, M.; Porter, R.E.; Goyal, S.M.; Patnayak, D.P. The occurrence of enteric viruses in light turkey syndrome. Avian Pathol. 2013, 42, 497–501. [Google Scholar] [CrossRef]
- Guy, J.S.; Levy, M.G.; Ley, D.H.; Barnes, H.J.; Gerig, T.M. Experimental reproduction of enteritis in bobwhite quail (Colinus virginianus) with Cryptosporidium and reovirus. Avian Dis. 1987, 31, 713–722. [Google Scholar] [CrossRef] [PubMed]
- Hollmen, T.; Docherty, D.E. Orthoreovirus. In Infectious Diseases of Wild Birds; Thomas, N.C., Hunter, D.B., Atkinson, C.T., Eds.; Blackwell Publishing: Ames, IA, USA, 2007; pp. 177–181. [Google Scholar]
- Styś-Fijoł, N.; Kozdruń, W.; Czekaj, H. Detection of avian reoviruses in wild birds in Poland. J. Vet. Res. 2017, 61, 239–245. [Google Scholar] [CrossRef][Green Version]
- Pantin-Jackwood, M.J.; Day, J.M.; Jackwood, M.W.; Spackman, E. Enteric viruses detected by molecular methods in commercial chicken and turkey flocks in the United States between 2005 and 2006. Avian Dis. 2008, 52, 235–244. [Google Scholar] [CrossRef]
- Jindal, N.; Patnayak, D.P.; Chander, Y.; Ziegler, A.F.; Goyal, S.M. Detection and molecular characterization of enteric viruses from poult enteritis syndrome in turkeys. Poult. Sci. 2010, 89, 217–226. [Google Scholar] [CrossRef]
- Al Afaleq, A.; Jones, R.C. Pathogenicity of three turkey and three chicken reoviruses for poults and chicks with particular reference to arthritis/tenosynovitis. Avian Pathol. 1989, 18, 433–440. [Google Scholar] [CrossRef]
- Levisohn, S.; Gur-Lavie, A.; Weisman, J. Infectious synovitis in turkeys: Isolation of tenosynovitis virus-like agent. Avian Pathol. 1980, 9, 1–4. [Google Scholar] [CrossRef] [PubMed]
- Page, R.K.; Fletcher, O.J.; Rowland, G.N.; Gaudry, D.; Villegas, P. Malabsorption syndrome in broiler chickens. Avian Dis. 1982, 26, 618–624. [Google Scholar] [CrossRef] [PubMed]
- Mor, S.K.; Sharafeldin, T.A.; Porter, R.E.; Ziegler, A.; Patnayak, D.P.; Goyal, S.M. Isolation and characterization of a turkey arthritis reovirus. Avian Dis. 2013, 57, 97–103. [Google Scholar] [CrossRef]
- USAHA-2021. Available online: https://www.eatturkey.org/wp-content/uploads/2020/01/Economic-Impact-of-TARV_NTF_122019.pdf (accessed on 1 January 2022).
- Lighty, M. Viral Hepatitis in Turkey Poults. In Proceedings of the 63rd American Association of Avian Pathologists (AAAP) Virtual Annual Meeting, Online, 30 July–6 August 2020. [Google Scholar]
- Porter, R. Characterization of Reoviral Hepatitis and Splenitis in Commercial Turkey Poults. In Proceedings of the 63rd American Association of Avian Pathologists (AAAP) Virtual Annual Meeting, Online, 30 July–6 August 2020. [Google Scholar]
- Smith, A. Turkey Reovirus Hepatitis: An Emerging Disease from a Known Etiological Agent. In Proceedings of the 63rd American Association of Avian Pathologists (AAAP) Virtual Annual Meeting, Online, 30 July–6 August 2020. [Google Scholar]
- Kumar, R.; Sharafeldin, T.A.; Sobhy, N.M.; Goyal, S.M.; Porter, R.E.; Mor, S.K. Comparative pathogenesis of turkey reoviruses. Avian Pathol. 2022, 51, 435–444. [Google Scholar] [CrossRef]
- Wang, F.; Flanagan, J.; Su, N.; Wang, L.C.; Bui, S.; Nielson, A.; Wu, X.; Vo, H.T.; Ma, X.J.; Luo, Y. RNAscope: A novel in situ RNA analysis platform for formalin-fixed, paraffin-embedded tissues. J. Mol. Diagn. 2012, 14, 22–29. [Google Scholar] [CrossRef]
- Frey, M.C.; Hanson, R.P.; Anderson, D.P. A medium for the isolation of avian Mycoplasma. Am. J. Vet. Res. 1968, 29, 2164–2171. [Google Scholar] [PubMed]
- Armién, A.G.; Wolf, T.M.; Mor, S.K.; Ng, T.F.F.; Bracht, A.J.; Goyal, S.M.; Rasmussen, J.M. Molecular and Biological Characterization of a Cervidpoxvirus Isolated From Moose with Necrotizing Dermatitis. Vet. Pathol. 2020, 57, 296–310. [Google Scholar] [CrossRef] [PubMed]
- Gál, B.; Varga-Kugler, R.; Ihász, K.; Kaszab, E.; Domán, M.; Farkas, S.; Bányai, K. Marked Genotype Diversity among Reoviruses Isolated from Chicken in Selected East-Central European Countries. Animals 2023, 13, 2137. [Google Scholar] [CrossRef]
- Sievers, F.; Higgins, D.G. Clustal Omega for making accurate alignments of many protein sequences. Protein Sci. 2018, 27, 135–145. [Google Scholar] [CrossRef] [PubMed]
- Kearse, M.; Moir, R.; Wilson, A.; Stones-Havas, S.; Cheung, M.; Sturrock, S.; Buxton, S.; Cooper, A.; Markowitz, S.; Duran, C.; et al. Geneious Basic: An integrated and extendable desktop software platform for the organization and analysis of sequence data. Bioinformatics. 2012, 28, 1647–1649. [Google Scholar] [CrossRef] [PubMed]
- Tamura, K.; Stecher, G.; Kumar, S. MEGA11: Molecular Evolutionary Genetics Analysis Version 11. Mol Biol Evol. 2021, 38, 3022–3027. [Google Scholar] [CrossRef] [PubMed] [PubMed Central]
- Mor, S.K.; Kumar, R.; Sobhy, N.M.; Singh, A.; Kakrudi, N.; Marusak, R.A.; Goyal, S.M.; Porter, R.E. Enteric Viruses Associated with Mid-growth Turkey Enteritis. Avian Dis. 2020, 64, 471–477. [Google Scholar] [CrossRef] [PubMed]
- Clark, S.R.; Chiaia, L. Current Health and Industry Issues Facing the US Turkey Industry (HVP.PO.100324.1). In Proceedings of the 128th Annual Mtg of the USAHA, Committee on Poultry and Other Avian Species, Virtual, 30 September 2024. [Google Scholar]
- Hauck, R.; Chin, R.P.; Sentíes-Cué, G.; Charlton, B.; Shivaprasad, H.L. Retrospective study of Turkey Viral Hepatitis in California turkey flocks, 2000–2012. Avian Dis. 2014, 58, 205–210. [Google Scholar] [CrossRef]
- Barrera, M.; Kumar, P.; Porter, R.E.; Goyal, S.M.; Mor, S.K. Retrospective Analysis of Turkey Arthritis Reovirus Diagnostic Submissions in Minnesota. Avian Dis. 2019, 63, 681–685. [Google Scholar] [CrossRef]
- Chénier, S.; Boulianne, M.; Gagnon, C.A. Postvaccinal reovirus infection with high mortality in breeder chicks. Avian Dis. 2014, 58, 659–665. [Google Scholar] [CrossRef][Green Version]
- Tang, K.N.; Fletcher, O.J.; Villegas, P. The effect on newborn chicks of oral inoculation of reovirus isolated from chickens with tenosynovitis. Avian Dis. 1987, 31, 584–590. [Google Scholar] [CrossRef] [PubMed]
- Tang, K.N.; Fletcher, O.J.; Villegas, P. Comparative study of the pathogenicity of avian reoviruses. Avian Dis. 1987, 31, 577–583. [Google Scholar] [CrossRef] [PubMed]
- van den Brand, J.M.; Manvell, R.; Paul, G.; Kik, M.J.; Dorrestein, G.M. Reovirus infections associated with high mortality in psittaciformes in The Netherlands. Avian Pathol. 2007, 36, 293–299. [Google Scholar] [CrossRef][Green Version]
- Lawson, B.; Dastjerdi, A.; Shah, S.; Everest, D.; Núñez, A.; Pocknell, A.; Hicks, D.; Horton, D.L.; Cunningham, A.A.; Irvine, R.M. Mortality associated with avian reovirus infection in a free-living magpie (Pica pica) in Great Britain. BMC Vet. Res. 2015, 11, 20. [Google Scholar] [CrossRef]
- Forzán, M.J.; Renshaw, R.W.; Bunting, E.M.; Buckles, E.; Okoniewski, J.; Hynes, K.; Melendez, R.; Ableman, A.; Laverack, M.; Fadden, M.; et al. A novel orthoreovirus associated with epizootic necrotizing enteritis and splenic necrosis in American crows (Corvus brachyrhynchos). J. Wildl. Dis. 2019, 55, 812–822. [Google Scholar] [CrossRef] [PubMed]
- Meteyer, C.; Docherty, D.; Ip, H.; Ramsay, N.; Saito, E.; Oaks, L. Reovirus-associated necrotizing enteritis in American crows. In Proceedings of the Program and Abstracts of the 58th Annual International Conference of the Wildlife Disease Association, Blaine, WA, USA, 2–7 August 2009; p. 79. [Google Scholar]
- Czekaj, H.; Kozdruń, W.; Styś-Fijoł, N.; Niczyporuk, J.S.; Piekarska, K. Occurrence of reovirus (ARV) infections in poultry flocks in Poland in 2010–2017. J. Vet. Res. 2018, 62, 421–426. [Google Scholar] [CrossRef] [PubMed] [PubMed Central]
- Shivaprasad, H.L.; Franca, M.; Woolcock, P.R.; Nordhausen, R.; Day, J.M.; Pantin-Jackwood, M. Myocarditis associated with reovirus in turkey poults. Avian Dis. 2009, 53, 523–532. [Google Scholar] [CrossRef] [PubMed]
- Yu, K.; Ti, J.; Lu, X.; Pan, L.; Liu, L.; Gao, Y.; Guo, X.; Hu, F.; Liu, C.; Ma, X.; et al. Novel duck reovirus exhibits pathogenicity to specific pathogen-free chickens by the subcutaneous route. Sci. Rep. 2021, 11, 1176. [Google Scholar] [CrossRef] [PubMed] [PubMed Central]
- Malkinson, M.; Perk, K.; Weisman, Y. Reovirus infection of young Muscovy ducks (Cairina moschata). Avian Pathol. 1981, 10, 433–440. [Google Scholar] [CrossRef] [PubMed]
- Markis, M.; Rosenberger, J.K. Viral arthritis/tenosynovitis and other reovirus infections. In A Laboratory Manual for the Isolation, Identification, and Characterization of Avian Pathogens; Williams, S.M., Ed.; OmniPress: Madison, WI, USA, 2016; pp. 303–308. [Google Scholar]
- Day, J.M.; Pantin-Jackwood, M.J.; Spackman, E. Sequence and phylogenetic analysis of the S1 genome segment of turkey-origin reoviruses. Virus Genes 2007, 35, 235–242. [Google Scholar] [CrossRef] [PubMed]
- Mor, S.K.; Verma, H.; Sharafeldin, T.A.; Porter, R.E.; Jindal, N.; Ziegler, A.; Goyal, S.M. Characterization of S class gene segments of a newly isolated turkey arthritis reovirus. Virology 2014, 464–465, 33–44. [Google Scholar] [CrossRef] [PubMed]
- Mandelli, G.; Rampin, T.; Finazzi, M. Experimental reovirus hepatitis in newborn chicks. Vet. Pathol. 1978, 15, 531–543. [Google Scholar] [CrossRef]







| Sequence Name | GenBank Accession Numbers | Country | State | Age (Days) |
|---|---|---|---|---|
| MVDL-THRV-1/USA/AR/2019 | OR525778 | United States | Arkansas | 14 |
| MVDL-THRV-2/USA/AR/2019 | OR525777 | United States | Arkansas | 22 |
| MVDL-THRV-3/USA/AR/2019 | OR525788 | United States | Arkansas | - |
| MVDL-THRV-4/USA/AR/2019 | OR525787 | United States | Arkansas | 21 |
| MVDL-THRV-5/Canada/2019 | OR525775 | Canada | - | - |
| MVDL-THRV-6/USA/MN/2019 | OR525782 | United States | Minnesota | 14 |
| MVDL-THRV-7/USA/MN/2019 | OR525786 | United States | Minnesota | - |
| MVDL-THRV-8/USA/MN/2019 | OR525789 | United States | Minnesota | 14 |
| MVDL-THRV-9/USA/MN/2019 | OR525783 | United States | Minnesota | 8 |
| MVDL-THRV-10/USA/MO/2020 | OR525790 | United States | Missouri | 14 |
| MVDL-THRV-11/USA/MO/2020 | OR525784 | United States | Missouri | 18 |
| MVDL-THRV-12/USA/AR/2020 | OR525785 | United States | Arkansas | 12 |
| MVDL-THRV-13/USA/MO/2020 | OR525776 | United States | Missouri | - |
| MVDL-THRV-14/USA/KY/2020 | OR525794 | United States | Kentucky | 13 |
| MVDL-THRV-15/USA/VA/2020 | OR525795 | United States | Virginia | 10 |
| MVDL-THRV-16/USA/VA/2020 | OR525796 | United States | Virginia | 10 |
| MVDL-THRV-17/USA/IN/2020 | OR525793 | United States | Indiana | 15 |
| MVDL-THRV-18/USA/MN/2021 | OR525791 | United States | Minnesota | 10 |
| MVDL-THRV-19/USA/IN/2021 | OR525797 | United States | Indiana | 11 |
| MVDL-THRV-20/Canada/2021 | OR525792 | Canada | - | 10 |
| MVDL-THRV-21/Canada/2021 | OR525774 | Canada | - | 4 |
| MVDL-THRV-22/Canada/2021 | OR525773 | Canada | - | 13 |
| MVDL-THRV-23/USA/IA/2021 | OR525780 | United States | Iowa | - |
| MVDL-THRV-24/USA/IA/2021 | OR525781 | United States | Iowa | 23 |
| MVDL-THRV-25/USA/VA/2021 | OR525779 | United States | Virginia | - |
| Country | State (Codes) | Submitter | No. of Submissions | No. (%) Positive for Reovirus |
|---|---|---|---|---|
| US | Arkansas (AR) | Client 1 | 8 | 8 (100) |
| California (CA) | Client 2 | 1 | 0 | |
| Indiana (IN) | Client 3 | 3 | 2 (67) | |
| Iowa (IA) | Client 4 | 9 | 0 | |
| Client 5 | 2 | 2 (100) | ||
| Michigan (MI) | Client 6 | 1 | 0 | |
| Minnesota (MN) | Client 7 | 1 | 1 (100) | |
| Client 8 | 1 | 1 (100) | ||
| Client 9 | 1 | 0 | ||
| Client 10 | 8 | 3 (37.5) | ||
| Client 11 | 54 | 36 (67) | ||
| Client 12 | 15 | 12 (80) | ||
| Client 13 | 3 | 0 | ||
| Client 14 | 3 | 1 (33) | ||
| Client 15 | 36 | 6 (17) | ||
| Missouri (MO) | Client 16 | 7 | 6 (86) | |
| Client 17 | 1 | 0 | ||
| Nebraska (NE) | Client 18 | 1 | 0 | |
| North Carolina (NC) | Client 19 | 3 | 1 (33) | |
| Wisconsin (WI) | Client 20 | 18 | 9 (50) | |
| Canada | NA | Client 2 | 8 | 0 |
| NA | Client 9 | 1 | 0 | |
| Total | 185 | 88 (47.5) | ||
| Age (Days) | No. of Submissions | No. (%) Positive for Reovirus |
|---|---|---|
| 0–6 | 69 | 7 |
| 7 to 14 | 60 | 42 |
| 15 to 21 | 35 | 27 |
| 22 to 28 | 9 | 7 |
| 29 to 35 | 7 | 2 |
| 36 to 42 | 1 | 1 |
| 43 to 49 | 2 | 1 |
| >50 | 2 | 1 |
| Total | 185 | 88 |
| Group 1 | Group 2 | Group 3 | Group 4 | |||||||
|---|---|---|---|---|---|---|---|---|---|---|
| NA | AA | NA | AA | NA | AA | NA | AA | |||
| Genocluster 1 | Subcluster I | THRV Group I | 99.6 | 99.5 | 96.5 | 95.3 | 96.4 | 95.9 | 96.3 | 96.0 |
| THRV Group II | 96.5 | 95.3 | 99.0 | 99.0 | 97.0 | 97.4 | 96.7 | 94.0 | ||
| THRV Group III | 96.4 | 95.9 | 97.7 | 97.4 | 99.6 | 99.6 | 97.1 | 96.0 | ||
| THRV Group IV | 96.3 | 95.2 | 96.7 | 96.2 | 97.1 | 96.7 | 99.4 | 100 | ||
| TARV-O’ Neil-like sequences | 97.0 | 97.4 | 98.0 | 98.1 | 98.7 | 98.2 | 98.3 | 97.5 | ||
| Reo/Turkey/PA/00659/14 | 97.2 | 95.6 | 97.8 | 97.3 | 98.2 | 98.0 | 98.3 | 98.1 | ||
| Reo/Turkey/PA/01769/14 Reo/Turkey/PA/27011/13 | 97.0 | 96.0 | 98.3 | 98.4 | 97.8 | 98.2 | 96.8 | 97.4 | ||
| Reo/PA/Turkey/27399/12 Reo/PA/Broiler/27541/12 | 96.9 | 95.9 | 98.0 | 97.6 | 98.4 | 98.4 | 97.7 | 97.0 | ||
| Tk_SD_121541_Td_2016 | 98.7 | 99.0 | 96.3 | 95.3 | 96.4 | 96.1 | 96.2 | 95.1 | ||
| Tk_SD_121539_Td_2016 Tk_SD_121540_Td_2016 Tk_SD_121542_Td_2016 Tk_SD_121544_Td_2016 | 94.8 | 93.6 | 95.1 | 94.8 | 95.2 | 95.4 | 95.5 | 94.7 | ||
| ARV/TK/HUN/19831M09 ARV/TK/HUN/D1246/09 ARV/TK/HUN188/16 | 94.2 | 93.8 | 95.4 | 95.1 | 95.4 | 95.8 | 95.6 | 95.0 | ||
| TERV-MN1 | 95.2 | 93.9 | 95.1 | 95.8 | 96.1 | 96.4 | 96.3 | 95.5 | ||
| TRV/NC/SEP-R61/03 | 93.2 | 92.6 | 93.8 | 94.4 | 93.9 | 95.0 | 94.4 | 94.8 | ||
| Subcluster II | 90.0 | 91.0 | 91.6 | 91.6 | 91.6 | 91.9 | 92.1 | 91.6 | ||
| Subcluster III | 86.7 | 85.7 | 87.3 | 87.3 | 87.0 | 87.3 | 87.1 | 86.1 | ||
| Genocluster 2 | 59.4 | 53.7 | 59.6 | 54.9 | 59.6 | 54.2 | 59.6 | 54.2 | ||
Disclaimer/Publisher’s Note: The statements, opinions and data contained in all publications are solely those of the individual author(s) and contributor(s) and not of MDPI and/or the editor(s). MDPI and/or the editor(s) disclaim responsibility for any injury to people or property resulting from any ideas, methods, instructions or products referred to in the content. |
© 2025 by the authors. Licensee MDPI, Basel, Switzerland. This article is an open access article distributed under the terms and conditions of the Creative Commons Attribution (CC BY) license (https://creativecommons.org/licenses/by/4.0/).
Share and Cite
Kumar, R.; Selim, M.; Armien, A.G.; Goyal, S.M.; Vannucci, F.A.; Deshmukh, S.; Porter, R.E.; Mor, S.K. Reoviral Hepatitis in Young Turkey Poults—An Emerging Problem. Pathogens 2025, 14, 865. https://doi.org/10.3390/pathogens14090865
Kumar R, Selim M, Armien AG, Goyal SM, Vannucci FA, Deshmukh S, Porter RE, Mor SK. Reoviral Hepatitis in Young Turkey Poults—An Emerging Problem. Pathogens. 2025; 14(9):865. https://doi.org/10.3390/pathogens14090865
Chicago/Turabian StyleKumar, Rahul, Mohamed Selim, Anibal G. Armien, Sagar M. Goyal, Fabio A. Vannucci, Sidhartha Deshmukh, Robert E. Porter, and Sunil K. Mor. 2025. "Reoviral Hepatitis in Young Turkey Poults—An Emerging Problem" Pathogens 14, no. 9: 865. https://doi.org/10.3390/pathogens14090865
APA StyleKumar, R., Selim, M., Armien, A. G., Goyal, S. M., Vannucci, F. A., Deshmukh, S., Porter, R. E., & Mor, S. K. (2025). Reoviral Hepatitis in Young Turkey Poults—An Emerging Problem. Pathogens, 14(9), 865. https://doi.org/10.3390/pathogens14090865

