Investigation of the Pathogenesis of Lumpy Skin Disease Virus in Indigenous Cattle in Kazakhstan
Abstract
1. Introduction
2. Materials and Methods
2.1. Virus
2.2. Animal Ethics
2.3. Experimental Animals
2.4. Experimental Design
2.5. PCR
2.6. ELISA
2.7. Serum Neutralization Test
2.8. Evaluation of the Clinical Reaction
2.9. Histopathology
2.10. Virus Isolation
3. Results
3.1. Clinical Manifestations and Pathogenicity Evaluation of the Virus
3.2. Serum Neutralization Test
3.3. ELISA
3.4. PCR
3.5. Virus Isolation
3.6. Postmortem Examination
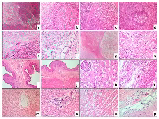
3.7. Histopathological Alterations in the Skin
3.8. Histopathological Alterations in Other Organs
4. Discussion
Author Contributions
Funding
Institutional Review Board Statement
Informed Consent Statement
Data Availability Statement
Conflicts of Interest
References
- Tuppurainen, E.S.M.; Oura, C.A.L. Review: Lumpy skin disease: An emerging threat to Europe, the Middle East and Asia. Transbound. Emerg. Dis. 2012, 59, 40–48. [Google Scholar] [CrossRef] [PubMed]
- Babiuk, S.; Bowden, T.R.; Boyle, D.B.; Wallace, D.B.; Kitching, R.P. Capripoxviruses: An emerging worldwide threat to sheep, goats and cattle. Transbound. Emerg. Dis. 2008, 55, 263–272. [Google Scholar] [CrossRef]
- Tuppurainen, E.S.; Babiuk, S.; Klement, E. Lumpy Skin Disease; Springer International Publishing: Cham, Switzerland, 2018. [Google Scholar]
- Babiuk, S.; Bowden, T.R.; Parkyn, G.; Dalman, B.; Manning, L.; Neufeld, J.; Embury-Hyatt, C.; Copps, J.; Boyle, D.B. Quantification of lumpy skin disease virus following experimental infection in cattle. Transbound. Emerg. Dis. 2008, 55, 299–307. [Google Scholar] [CrossRef] [PubMed]
- Tran, H.T.T.; Truong, A.D.; Dang, A.K.; Ly, D.V.; Nguyen, C.T.; Chu, N.T.; Hoang, T.V.; Nguyen, H.T.; Nguyen, V.T.; Dang, H.V. Lumpy skin disease outbreaks in vietnam, 2020. Transbound. Emerg. Dis. 2021, 68, 977–980. [Google Scholar] [CrossRef]
- Lu, G.; Xie, J.; Luo, J.; Shao, R.; Jia, K.; Li, S. Lumpy skin disease outbreaks in China, since 3 August 2019. Transbound. Emerg. Dis. 2020, 68, 216–219. [Google Scholar] [CrossRef]
- Nugroho, W.; Mardani, H.M.; Reichel, M.P.; Fitria, Y.; Miswati, Y.; Febrianto, N.; Nuryanto, M.E.; Apriana, I.; Azzahrawani, N.; Martalina, E.; et al. The first outbreak of Lumpy Skin Disease in Indonesia. Trop. Anim. Health Prod. 2024, 56, 237. [Google Scholar] [CrossRef]
- Arjkumpa, O.; Suwannaboon, M.; Boonrawd, M.; Punyawan, I.; Laobannu, P.; Yantaphan, S.; Bungwai, A.; Ponyium, V.; Suwankitwat, N.; Boonpornprasert, P.; et al. First emergence of lumpy skin disease in cattle in Thailand, 2021. Transbound. Emerg. Dis. 2021, 68, 3002–3004. [Google Scholar] [CrossRef]
- Khoo, C.K.; Dahlan, R.; Mat Desa, Z.; Syarina, P.N.A.; Mohd. Salim, S.S.H.; Barker, Z.; Abu Hassan, M.H.; Hassan, R.; Mohd Saeid, F.H. Molecular Detection of Lumpy Skin Disease Virus in Malaysia 2021. Int. J. Infect. Dis. 2022, 116, S64. [Google Scholar] [CrossRef]
- Kulpiisova, A.; Aitpayeva, Z.; Maimatayeva, A.; Ussenova, L.; Paritova, A.; Zhanabayev, A.; Bakishev, T.; Tursunkulov, S.; Kitapbay, T.; Abutalip, A.; et al. Knowledge, attitude and practice related to anthrax among livestock farmers in West Kazakhstan. Vet. Med. Sci. 2024, 10, e1553. [Google Scholar] [CrossRef]
- Bowden, T.R.; Babiuk, S.L.; Parkyn, G.R.; Copps, J.S.; Boyle, D.B. Capripoxvirus tissue tropism and shedding: A quantitative study in experimentally infected sheep and goats. Virology 2008, 371, 380–393. [Google Scholar] [CrossRef]
- Tuppurainen, E.S.M.; Venter, E.H.; Coetzer, J.A.W. The detection of lumpy skin disease virus in samples of experimentally infected cattle using different diagnostic techniques. Onderstepoort J. Vet. Res. 2005, 72, 153–164. [Google Scholar] [CrossRef] [PubMed]
- Acharya, K.P.; Subedi, D. First outbreak of lumpy skin disease in Nepal. Transbound. Emerg. Dis. 2020, 67, 2280–2281. [Google Scholar] [CrossRef] [PubMed]
- Ginayatov, N.; Aitpayeva, Z.; Zhubantayev, I.; Kassymbekova, L.; Zhanabayev, A.; Abulgazimova, G.; Arynova, R.; Bizhanov, A.; Mussayeva, A.; Berdikulov, M.; et al. Smallholder Cattle Farmers’ Knowledge, Attitudes, and Practices Toward Rabies: A Regional Survey in Kazakhstan. Vet. Sci. 2025, 12, 335. [Google Scholar] [CrossRef]
- Kononov, A.; Prutnikov, P.; Shumilova, I.; Kononova, S.; Nesterov, A.; Byadovskaya, O.; Pestova, Y.; Diev, V.; Sprygin, A. Determination of lumpy skin disease virus in bovine meat and offal products following experimental infection. Transbound. Emerg. Dis. 2019, 66, 1332–1340. [Google Scholar] [CrossRef]
- Alexander, R.A.; Plowright, W.; Haig, D.A. Cytopathogenic agents associated with lumpy-skin disease of cattle. Bull. Epizoot. Dis. Afr. 1957, 5, 489–492. [Google Scholar]
- Adamu, K.; Abayneh, T.; Getachew, B.; Mohammed, H.; Deresse, G.; Zekarias, M.; Chala, W.; Gelaye, E. Lumpy skin disease virus isolation, experimental infection, and evaluation of disease development in a calf. Sci. Rep. 2024, 14, 20460. [Google Scholar] [CrossRef]
- Irons, P.C.; Tuppurainen, E.S.M.; Venter, E.H. Excretion of lumpy skin disease virus in bull semen. Theriogenology 2005, 63, 1290–1297. [Google Scholar] [CrossRef]
- Gupta, V.; Pravalika, A.; Pandey, M.K.; Mareddy, V.; Jain, A.K.; Singh, A.; Nayak, A.; Tripathi, S.; Rajoriya, S. Molecular Detection, Seroprevalence and Biochemical Analysis of Lumpy Skin Disease Virus. Viruses 2025, 17, 293. [Google Scholar] [CrossRef]
- Bedeković, T.; Šimić, I.; Krešić, N.; Lojkić, I. Detection of lumpy skin disease virus in skin lesions, blood, nasal swabs and milk following preventive vaccination. Transbound. Emerg. Dis. 2018, 65, 491–496. [Google Scholar] [CrossRef]
- Wainwright, S.; El Idrissi, A.; Mattioli, R.; Tibbo, M.; Njeumi, F.; Raizman, E. Emergence of Lumpy Skin Disease in the Eastern Mediterranean Basin Countries; EMPRES Watch: Rome, Italy, 2013; pp. 112–117. [Google Scholar]
- Issimov, A. Investigations into the Transmission of Lumpy Skin Disease Virus. Ph.D. Thesis, The University of Sydney, Camperdown, Australia, 2022. [Google Scholar]
- Haig, D.A. Lumpy skin disease. Bull. Epizoot. Dis. Afr. 1957, 5, 421–430. [Google Scholar]
- Tuppurainen, E.S.M.; Venter, E.H.; Shisler, J.L.; Gari, G.; Mekonnen, G.A.; Juleff, N.; Lyons, N.A.; Clercq, K.D.; Upton, C.; Bowden, T.R.; et al. Review: Capripoxvirus diseases: Current status and opportunities for control. Transbound. Emerg. Dis. 2017, 64, 729–745. [Google Scholar] [CrossRef] [PubMed]
- Tuppurainen, E.; Alexandrov, T.; Beltrán-Alcrudo, D. Lumpy Skin Disease–A Manual for Veterinarians; FAO: Rome, Italy, 2017. [Google Scholar]
- Azanbekova, M. Biological Properties of the Epizootic Strain of the Lumpy Skin Disease Virus. Ph.D. Thesis, Kyrgyz-Turkish Manas University, Bishkek, Kyrgyzstan, 2024. [Google Scholar]
- Orynbayev, M.B.; Nissanova, R.K.; Khairullin, B.M.; Issimov, A.; Zakarya, K.D.; Sultankulova, K.T.; Kutumbetov, L.B.; Tulendibayev, A.B.; Myrzakhmetova, B.S.; Burashev, E.D.; et al. Lumpy skin disease in Kazakhstan. Trop. Anim. Health Prod. 2021, 53, 166. [Google Scholar] [CrossRef]
- Issimov, A.; Kushaliyev, K.; Abekeshev, N.; Molla, W.; Rametov, N.; Bayantassova, S.; Zhanabayev, A.; Paritova, A.; Shalmenov, M.; Ussenbayev, A.; et al. Risk factors associated with Lumpy skin disease in cattle in West Kazakhstan. Prev. Vet. Med. 2022, 207, 105660. [Google Scholar] [CrossRef]
- Ismagambetov, B.M.; N.S.S.; Koshemetov, Z.K.; Sugirbaeva, G.D. Study of cultural properties of the lumpy skin disease virus in cattle. SemSU Bull. 2017, 78, 170–176. [Google Scholar]
- Amirgazin, A.; Ragatova, A. Lumpy Skin Disease Virus Strain KZ-Kostanay-2018, Partial Genome (GenBank: MT992618.1). National Library of Medicine. 2020. Available online: https://www.ncbi.nlm.nih.gov/nuccore/MT992618.1 (accessed on 19 April 2025).
- WOAH. Manual of Diagnostic Tests and Vaccines for Terrestrial Animals; World Organisation for Animal Health: Paris, France, 2024. [Google Scholar]
- Carn, V.M.; Kitching, R.P. The clinical response of cattle experimentally infected with lumpy skin disease (Neethling) virus. Arch. Virol. 1995, 140, 503–513. [Google Scholar] [CrossRef] [PubMed]
- Wolff, J.; Tuppurainen, E.; Adedeji, A.; Meseko, C.; Asala, O.; Adole, J.; Atai, R.; Dogonyaro, B.; Globig, A.; Hoffmann, D.; et al. Characterization of a Nigerian Lumpy Skin Disease Virus Isolate after Experimental Infection of Cattle. Pathogens 2022, 11, 16. [Google Scholar] [CrossRef]
- Moller, J.; Moritz, T.; Schlottau, K.; Krstevski, K.; Hoffmann, D.; Beer, M.; Hoffmann, B. Experimental lumpy skin disease virus infection of cattle: Comparison of a field strain and a vaccine strain. Arch. Virol. 2019, 164, 2931–2941. [Google Scholar] [CrossRef]
- Khan, Y.R.; Ali, A.; Hussain, K.; Ijaz, M.; Rabbani, A.H.; Khan, R.L.; Abbas, S.N.; Aziz, M.U.; Ghaffar, A.; Sajid, H.A. A review: Surveillance of lumpy skin disease (LSD) a growing problem in Asia. Microb. Pathog. 2021, 158, 105050. [Google Scholar] [CrossRef]
- Zhugunissov, K.; Mambetaliyev, M.; Sarsenkulova, N.; Tabys, S.; Kenzhebaeva, M.; Issimov, A.; Abduraimov, Y. Development of an Inactivated Camelpox Vaccine from Attenuated Camelpox Virus Strain: Safety and Protection in Camels. Animals 2023, 13, 1513. [Google Scholar] [CrossRef]
- Aleksandr, K.; Olga, B.; David, W.B.; Pavel, P.; Yana, P.; Svetlana, K.; Alexander, N.; Vladimir, R.; Dmitriy, L.; Alexander, S. Non-vector-borne transmission of lumpy skin disease virus. Sci. Rep. 2020, 10, 7436. [Google Scholar] [CrossRef]
- Kumar, N.; Chander, Y.; Kumar, R.; Khandelwal, N.; Riyesh, T.; Chaudhary, K.; Shanmugasundaram, K.; Kumar, S.; Kumar, A.; Gupta, M.K.; et al. Isolation and characterization of lumpy skin disease virus from cattle in India. PLoS ONE 2021, 16, e0241022. [Google Scholar] [CrossRef]
- Flannery, J.; Shih, B.; Haga, I.R.; Ashby, M.; Corla, A.; King, S.; Freimanis, G.; Polo, N.; Tse, A.C.N.; Brackman, C.J.; et al. A novel strain of lumpy skin disease virus causes clinical disease in cattle in Hong Kong. Transbound. Emerg. Dis. 2021, 69, e336–e343. [Google Scholar] [CrossRef] [PubMed]
- Badr, Y.; Noreldin, A.E.; Elewa, Y.H.A.; Ahmed, M.S.; Inoshima, Y.; Baker, N.M.; Aamer, W.N.; Abas, O.M.; Nayel, M.; Rahman, M.M.; et al. Cellular infiltration, cytokines, and histopathology of skin lesions associated with different clinical forms and stages of naturally occurring lumpy skin disease in cattle. Comp. Immunol. Microbiol. Infect. Dis. 2022, 90, 101894. [Google Scholar] [CrossRef]
- Douglass, N.; Munyanduki, H.; Omar, R.; Gers, S.; Mutowembwa, P.; Heath, L.; Williamson, A.-L. Influence of the Viral Superoxide Dismutase (SOD) Homologue on Lumpy Skin Disease Virus (LSDV) Growth, Histopathology and Pathogenicity. Vaccines 2020, 8, 664. [Google Scholar] [CrossRef] [PubMed]
- Haegeman, A.; Sohier, C.; Mostin, L.; De Leeuw, I.; Van Campe, W.; Philips, W.; De Regge, N.; De Clercq, K. Evidence of Lumpy Skin Disease Virus Transmission from Subclinically Infected Cattle by Stomoxys calcitrans. Viruses 2023, 15, 1285. [Google Scholar] [CrossRef]
- Kaur, B.; Dhillon, S.S.; Pannu, A.S.; Mukhopadhyay, C.S. Lumpy skin disease: A systematic review of mode of transmission, risk of emergence, and risk entry pathways. Virus Genes 2025, 61, 1–8. [Google Scholar] [CrossRef]
- Shumilova, I.; Prutnikov, P.; Mazloum, A.; Krotova, A.; Tenitilov, N.; Byadovskaya, O.; Chvala, I.; Prokhvatilova, L.; Sprygin, A. Subclinical infection caused by a recombinant vaccine-like strain poses high risks of lumpy skin disease virus transmission. Front. Vet. Sci. 2024, 11, 1330657. [Google Scholar] [CrossRef]
- Haider, A.; Abbas, Z.; Taqveem, A.; Ali, A.; Khurshid, M.; Naggar, R.F.E.; Rohaim, M.A.; Munir, M. Lumpy Skin Disease: Insights into Molecular Pathogenesis and Control Strategies. Vet. Sci. 2024, 11, 561. [Google Scholar] [CrossRef]








| Samples | Sampling Time Points (Days Post-Infection) and Viral Titers (TCID50/mL) Obtained from Various Pathological Materials. | ||||||||
|---|---|---|---|---|---|---|---|---|---|
| 3 | 5 | 7 | 9 | 11 | 13 | 15 | 21 | 28 | |
| Whole blood | 0.00 | 0.00 | 1.75 | 2.50 | 4.50 | 4.00 | 4.25 | 2.00 | 0.00 |
| Nasal swabs | 0.00 | 0.00 | 0.00 | 0.00 | 1.00 | 2.75 | 1.75 | 0.00 | 0.00 |
| Ocular swabs | 0.00 | 0.00 | 0.00 | 0.00 | 1.25 | 2.00 | 2.00 | 0.00 | 0.00 |
| Skin nodules | n/a | n/a | 3.50 | 4.75 | 4.75 | n/a | 5.00 | 0.00 | 0.00 |
| Prescapular lymph nodes | n/a | n/a | 1.75 | 1.75 | 1.00 | n/a | 1.00 | 0.00 | 0.00 |
| Submandibular lymph nodes | n/a | n/a | 1.25 | 1.25 | 1.25 | n/a | 1.75 | 0.00 | 0.00 |
| Samples | Days Post-Infection | ||||||||
|---|---|---|---|---|---|---|---|---|---|
| 3 | 5 | 7 | 9 | 11 | 13 | 15 | 21 | 28 | |
| Ct Value * | |||||||||
| Whole blood | - | - | 25.02 | 21.14 | 20.02 | 21.01 | 20.17 | 29.50 | - |
| Nasal swabs | - | - | - | 27.88 | 28.25 | 25.89 | 28.87 | - | - |
| Ocular swabs | - | - | - | 25.13 | 28.18 | 28.06 | - | - | - |
| Skin nodules | n/a | n/a | 19.76 | 15.45 | 18.98 | n/a | 21.03 | 24.56 | 29.84 |
| Prescapular lymph nodes | n/a | n/a | - | 29.32 | 29.85 | n/a | - | - | - |
| Submandibular lymph nodes | n/a | n/a | 29.41 | 28.56 | 29.78 | n/a | 30.00 | - | - |
Disclaimer/Publisher’s Note: The statements, opinions and data contained in all publications are solely those of the individual author(s) and contributor(s) and not of MDPI and/or the editor(s). MDPI and/or the editor(s) disclaim responsibility for any injury to people or property resulting from any ideas, methods, instructions or products referred to in the content. |
© 2025 by the authors. Licensee MDPI, Basel, Switzerland. This article is an open access article distributed under the terms and conditions of the Creative Commons Attribution (CC BY) license (https://creativecommons.org/licenses/by/4.0/).
Share and Cite
Kutumbetov, L.; Ragatova, A.; Azanbekova, M.; Myrzakhmetova, B.; Aldayarov, N.; Zhugunissov, K.; Abduraimov, Y.; Nissanova, R.; Sarzhigitova, A.; Kemalova, N.; et al. Investigation of the Pathogenesis of Lumpy Skin Disease Virus in Indigenous Cattle in Kazakhstan. Pathogens 2025, 14, 577. https://doi.org/10.3390/pathogens14060577
Kutumbetov L, Ragatova A, Azanbekova M, Myrzakhmetova B, Aldayarov N, Zhugunissov K, Abduraimov Y, Nissanova R, Sarzhigitova A, Kemalova N, et al. Investigation of the Pathogenesis of Lumpy Skin Disease Virus in Indigenous Cattle in Kazakhstan. Pathogens. 2025; 14(6):577. https://doi.org/10.3390/pathogens14060577
Chicago/Turabian StyleKutumbetov, Lespek, Ainur Ragatova, Moldir Azanbekova, Balzhan Myrzakhmetova, Nurbek Aldayarov, Kuandyk Zhugunissov, Yergali Abduraimov, Raikhan Nissanova, Asylay Sarzhigitova, Nazerke Kemalova, and et al. 2025. "Investigation of the Pathogenesis of Lumpy Skin Disease Virus in Indigenous Cattle in Kazakhstan" Pathogens 14, no. 6: 577. https://doi.org/10.3390/pathogens14060577
APA StyleKutumbetov, L., Ragatova, A., Azanbekova, M., Myrzakhmetova, B., Aldayarov, N., Zhugunissov, K., Abduraimov, Y., Nissanova, R., Sarzhigitova, A., Kemalova, N., & Issimov, A. (2025). Investigation of the Pathogenesis of Lumpy Skin Disease Virus in Indigenous Cattle in Kazakhstan. Pathogens, 14(6), 577. https://doi.org/10.3390/pathogens14060577

