First Case of Human Ocular Dirofilariasis in the Aosta Valley Region: Clinical Management and Morphological-Molecular Confirmation
Abstract
1. Introduction
2. Materials and Methods
2.1. Case Description
2.2. Molecular Identification
3. Results
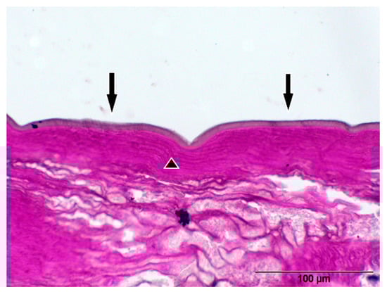
3.1. Morphology
3.2. Serological and Stool Analysis
3.3. Molecular Identification
4. Discussion
5. Conclusions
Author Contributions
Funding
Institutional Review Board Statement
Informed Consent Statement
Data Availability Statement
Conflicts of Interest
References
- Redón-Soriano, M.; Blasco, A.; Gomila, B.; González-Sánchez, M.; Simón, F.; Esteban, J.G. Subconjunctival human dirofilariasis by Dirofilaria repens in the Mediterranean Basin. Am. J. Ophthalmol. Case Rep. 2022, 26, 101570. [Google Scholar] [CrossRef] [PubMed]
- Simón, F.; Siles-Lucas, M.; Morchón, R.; González-Miguel, J.; Mellado, I.; Carretón, E.; Montoya-Alonso, J.A. Human and animal dirofilariasis: The emergence of a zoonotic mosaic. Clin. Microbiol. Rev. 2012, 25, 507–544. [Google Scholar] [CrossRef] [PubMed]
- Reddy, M.V. Human dirofilariasis: An emerging zoonosis. Trop. Parasitol. 2013, 3, 2–3. [Google Scholar] [PubMed]
- Genchi, C.; Kramer, L. Subcutaneous dirofilariosis (Dirofilaria repens): An infection spreading throughout the old world. Parasites Vectors 2017, 10 (Suppl. 2), 517. [Google Scholar] [CrossRef]
- Capelli, G.; Genchi, C.; Baneth, G.; Bourdeau, P.; Brianti, E.; Cardoso, L.; Silaghi, C. Recent advances on Dirofilaria repens in dogs and humans in Europe. Parasites Vectors 2018, 11, 663. [Google Scholar] [CrossRef]
- Fuehrer, H.P.; Auer, H.; Leschnik, M.; Silbermayr, K.; Duscher, G.; Joachim, A. Dirofilaria in Humans, Dogs, and Vectors in Austria (1978–2014)-From Imported Pathogens to the Endemicity of Dirofilaria repens. PLoS Neglected Trop. Dis. 2016, 10, e0004547. [Google Scholar] [CrossRef]
- Otranto, D.; Testini, G.; Dantas-Torres, F.; Latrofa, M.S.; Diniz PP VD, P.; de Caprariis, D.; Breitschwerdt, E.B. Diagnosis of canine vector-borne diseases in young dogs: A longitudinal study. J. Clin. Microbiol. 2010, 48, 3316–3324. [Google Scholar] [CrossRef]
- Nakagaki, K.; Yoshida, M.; Nogami, S.; Nakagaki, K. Experimental infection of Dirofilaria immitis in raccoon dogs. J. Parasitol. 2007, 93, 432–434. [Google Scholar] [CrossRef]
- Sato, H.; Suzuki, K.; Aoki, M. Nematodes from raccoon dogs (Nyctereutes procyonoides viverrinus) introduced recently on Yakushima Island, Japan. J. Vet. Med. Sci. 2006, 68, 693–700. [Google Scholar] [CrossRef]
- Kido, N.; Wada, Y.; Takahashi, M.; Kamegaya, C.; Omiya, T.; Yamamoto, Y. Prevalence of Dirofilaria immitis infection in living raccoon dogs assessed by hematological examination. J. Vet. Med. Sci. 2011, 73, 845–847. [Google Scholar] [CrossRef]
- Härtwig, V.; Schulze, C.; Pfeffer, M.; Daugschies, A.; Dyachenko, V. No evidence of Dirofilaria repens infection in red foxes (Vulpes vulpes) and raccoon dogs (Nyctereutes procyonoides) from Brandenburg, Germany. Parasitol. Res. 2016, 115, 867–871. [Google Scholar] [CrossRef] [PubMed]
- Kravchenko, V.; Itin, G.; Kartashev, V.; Ermakov, A.; Kartashov, S.; Diosdado, A.; Simón, F. Dirofilaria immitis and D. repens in sylvatic reservoirs of Krasnodar Krai (Russian Federation). Vet. Parasitol. Reg. Stud. Rep. 2016, 6, 35–38. [Google Scholar] [CrossRef] [PubMed]
- Genchi, C.; Mortarino, M.; Rinaldi, L.; Cringoli, G.; Traldi, G.; Genchi, M. Changing climate and changing vector-borne disease distribution: The example of Dirofilaria in Europe. Vet. Parasitol. 2011, 176, 295–299. [Google Scholar] [CrossRef]
- Shaikh, Z.; Kar, P.; Mohanty, S.; Dey, M.; Samal, D.K. Ocular dirofilariasis: A report from Odisha. Indian J. Med. Microbiol. 2023, 45, 100388. [Google Scholar] [CrossRef]
- Tahir, D.; Davoust, B.; Parola, P. Vector-borne nematode diseases in pets and humans in the Mediterranean Basin: An update. Vet. World 2019, 12, 1630–1643. [Google Scholar] [CrossRef]
- Giangaspero, A.; Marangi, M.; Latrofa, M.S.; Martinelli, D.; Traversa, D.; Otranto, D.; Genchi, C. Evidences of increasing risk of dirofilarioses in southern Italy. Parasitol. Res. 2013, 112, 1357–1361. [Google Scholar] [CrossRef]
- Otranto, D.; Capelli, G.; Genchi, C. Changing distribution patterns of canine vector borne diseases in Italy: Leishmaniosis vs. dirofilariosis. Parasites Vectors 2009, 2 (Suppl. 1), S2. [Google Scholar] [CrossRef]
- Latrofa, M.S.; Montarsi, F.; Ciocchetta, S.; Annoscia, G.; Dantas-Torres, F.; Ravagnan, S.; Otranto, D. Molecular xenomonitoring of Dirofilaria immitis and Dirofilaria repens in mosquitoes from north-eastern Italy by real-time PCR coupled with melting curve analysis. Parasites Vectors 2012, 5, 76. [Google Scholar] [CrossRef]
- Pampiglione, S.; Rivasi, F.; Angeli, G.; Boldorini, R.; Incensati, R.M.; Pastormerlo, M.; Ramponi, A. Dirofilariasis due to Dirofilaria repens in Italy, an emergent zoonosis: Report of 60 new cases. Histopathology 2001, 38, 344–354. [Google Scholar] [CrossRef]
- Pampiglione, S.; Rivasi, F.; Gustinelli, A. Dirofilarial human cases in the Old World, attributed to Dirofilaria immitis: A critical analysis. Histopathology 2009, 54, 746–747. [Google Scholar] [CrossRef]
- Otranto, D.; Brianti, E.; Gaglio, G.; Dantas-Torres, F.; Azzaro, S.; Giannetto, S. Human ocular infection with Dirofilaria repens (Railliet and Henry, 1911) in an area endemic for canine dirofilariasis. Am. J. Trop. Med. Hyg. 2011, 84, 1002–1004. [Google Scholar] [CrossRef] [PubMed]
- Baneth, G.; Bourdeau, P.; Bourdoiseau, G.; Bowman, D.; Breitschwerdt, E.; Capelli, G.; Weston, S. Vector-borne diseases--constant challenge for practicing veterinarians: Recommendations from the CVBD World Forum. Parasites Vectors 2012, 5, 55. [Google Scholar] [CrossRef] [PubMed]
- Blaxter, M.L.; De Ley, P.; Garey, J.R.; Liu, L.X.; Scheldeman, P.; Vierstraete, A.; Thomas, W.K. A molecular evolutionary framework for the phylum Nematoda. Nature 1998, 392, 71–75. [Google Scholar] [CrossRef] [PubMed]
- Casiraghi, M.; Bain, O.; Guerrero, R.; Martin, C.; Pocacqua, V.; Gardner, S.L.; Bandi, C. Mapping the presence of Wolbachia pipientis on the phylogeny of filarial nematodes: Evidence for symbiont loss during evolution. Int. J. Parasitol. 2004, 34, 191–203. [Google Scholar] [CrossRef]
- Casiraghi, M.; Anderson, T.J.C.; Bandi, C.; Bazzocchi, C.; Genchi, C. A phylogenetic analysis of filarial nematodes: Comparison with the phylogeny of Wolbachia endosymbionts. Parasitology 2001, 122 Pt 1, 93–103. [Google Scholar] [CrossRef]
- Kołodziej, P.; Szostakowska, B.; Jarosz, B.; Pojasek, S.; Romak, M.; Kocki, J.; Bogucka-Kocka, A. The First Case of Elbow Bursitis Caused by Dirofilaria repens in Humans. Open Forum Infect. Dis. 2019, 6, ofz157. [Google Scholar] [CrossRef]
- Baptista-Fernandes, T.; Rodrigues, M.; Domingues, D.; Monteiro, L.; Paixão, P.; Pereira, P.; Toscano, C. Dirofilariasis by Dirofilaria repens: An imported case and a brief review. Parasitol. Int. 2015, 64, 261–263. [Google Scholar] [CrossRef]
- Permi, H.S.; Veena, S.; Kishan Prasad, H.L.; Kumar, Y.S.; Mohan, R.; Shetty, K.J. Subcutaneous human dirofilariasis due to dirofilaria repens: Report of two cases. J. Glob. Infect. Dis. 2011, 3, 199–201. [Google Scholar] [CrossRef]
- Hrčkova, G.; Kuchtová, H.; Miterpáková, M.; Ondriska, F.; Cibíček, J.; Kovacs, Š. Histological and molecular confirmation of the fourth human case caused by Dirofilaria repens in a new endemic region of Slovakia. J. Helminthol. 2013, 87, 85–90. [Google Scholar] [CrossRef]
- Mikola, N.; Oborina, V.; Jokelainen, P. Knowledge About Emerging Zoonotic Vector-Borne Parasites Dirofilaria immitis and Dirofilaria repens in Finland: Questionnaire Survey to Medical Doctors and Veterinarians. Vector-Borne Zoonotic Dis. 2020, 20, 27–32. [Google Scholar] [CrossRef]
- Shankar, M.K.; Shet, S.; Gupta, P.; Nadgir, S.D. Sac over the sac-a rare case of subcutaneous dirofilariasis over the lacrimal sac area. Nepal. J. Ophthalmol. 2014, 6, 224–226. [Google Scholar] [CrossRef] [PubMed]
- Gopinath, T.N.; Lakshmi, K.P.; Shaji, P.C.; Rajalakshmi, P.C. Periorbital dirofilariasis-clinical and imaging findings: Live worm on ultrasound. Indian J. Ophthalmol. 2013, 61, 298–300. [Google Scholar] [CrossRef]
- Shambhu, S.K.; Murthy, P.R.; D’Souza, P.E.; Hanumappa, D.; Vikram, H.R.; Janardhana, G.C.; Matada, R. Subconjunctival Dirofilariasis Presenting as Orbital Cellulitis. Ophthalmic Plast. Reconstr. Surg. 2019, 35, E97–E99. [Google Scholar] [CrossRef] [PubMed]
- Sangit, V.A.; Haldipurkar, S.S. Subconjunctival dirofilariasis mimicking scleritis: First report from Western India. Indian J. Ophthalmol. 2012, 60, 76–77. [Google Scholar] [CrossRef] [PubMed]
- Sathyan, P.; Manikandan, P.; Bhaskar, M.; Padma, S.; Singh, G.; Appalaraju, B. Subtenons infection by Dirofilaria repens. Indian J. Med. Microbiol. 2006, 24, 61–62. [Google Scholar] [CrossRef]
- Rajan, R.; Jena, S.; Ramachandran, N.; Kohli, P. Rare cause of floaters: A motile live worm in vitreous cavity. Indian J. Ophthalmol. 2019, 67, 1490–1492. [Google Scholar] [CrossRef]
- Chopra, R.; Bhatti, S.; Mohan, S.; Taneja, N. Dirofilaria in the anterior chamber: A rare occurrence. Middle East Afr. J. Ophthalmol. 2012, 19, 349–351. [Google Scholar] [CrossRef]
- Montesel, A.; Bendinelli, A.; Figus, M.; Posarelli, C. There is a worm in my eye! Ocular dirofilariasis. Eur. J. Ophthalmol. 2019, 29, NP5–NP8. [Google Scholar] [CrossRef]
- Mackenzie, J.S.; Jeggo, M. The One Health Approach-Why Is It So Important? Trop. Med. Infect. Dis. 2019, 4, 88. [Google Scholar] [CrossRef]







Disclaimer/Publisher’s Note: The statements, opinions and data contained in all publications are solely those of the individual author(s) and contributor(s) and not of MDPI and/or the editor(s). MDPI and/or the editor(s) disclaim responsibility for any injury to people or property resulting from any ideas, methods, instructions or products referred to in the content. |
© 2025 by the authors. Licensee MDPI, Basel, Switzerland. This article is an open access article distributed under the terms and conditions of the Creative Commons Attribution (CC BY) license (https://creativecommons.org/licenses/by/4.0/).
Share and Cite
Mus, E.; Viani, A.; Domenis, L.; Maradei, F.; Valastro, A.; Marucci, G.; Giacomazzi, C.G.; Magnani, S.C.M.; Imparato, R.; Cometto, A.; et al. First Case of Human Ocular Dirofilariasis in the Aosta Valley Region: Clinical Management and Morphological-Molecular Confirmation. Pathogens 2025, 14, 423. https://doi.org/10.3390/pathogens14050423
Mus E, Viani A, Domenis L, Maradei F, Valastro A, Marucci G, Giacomazzi CG, Magnani SCM, Imparato R, Cometto A, et al. First Case of Human Ocular Dirofilariasis in the Aosta Valley Region: Clinical Management and Morphological-Molecular Confirmation. Pathogens. 2025; 14(5):423. https://doi.org/10.3390/pathogens14050423
Chicago/Turabian StyleMus, Erik, Annalisa Viani, Lorenzo Domenis, Fabio Maradei, Antonio Valastro, Gianluca Marucci, Claudio Giuseppe Giacomazzi, Silvia Carla Maria Magnani, Roberto Imparato, Annie Cometto, and et al. 2025. "First Case of Human Ocular Dirofilariasis in the Aosta Valley Region: Clinical Management and Morphological-Molecular Confirmation" Pathogens 14, no. 5: 423. https://doi.org/10.3390/pathogens14050423
APA StyleMus, E., Viani, A., Domenis, L., Maradei, F., Valastro, A., Marucci, G., Giacomazzi, C. G., Magnani, S. C. M., Imparato, R., Cometto, A., Casulli, A., Orusa, R., & Ventre, L. (2025). First Case of Human Ocular Dirofilariasis in the Aosta Valley Region: Clinical Management and Morphological-Molecular Confirmation. Pathogens, 14(5), 423. https://doi.org/10.3390/pathogens14050423

