Pathology and VP2-Based Characterization of Infectious Bursal Disease Virus Associated with an Outbreak in Layer Chickens in Ghana
Abstract
1. Introduction
2. Materials and Methods
2.1. Case Description
2.2. Post-Mortem Evaluation
2.3. RNA Extraction from Formalin-Fixed Paraffin-Embedded (FFPE) Tissues and RT-PCR
2.4. Viruses Used in Phylogenetic Analysis
2.5. Phylogenetic Analysis
3. Results
3.1. Post-Mortem Findings
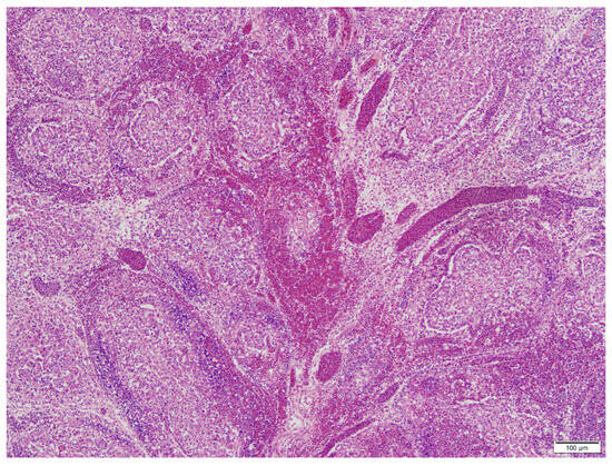
3.2. Histopathology
3.3. RT-PCR and Sequencing Results
3.4. Phylogenetic Analysis
4. Discussion
5. Conclusions
Author Contributions
Funding
Institutional Review Board Statement
Informed Consent Statement
Data Availability Statement
Acknowledgments
Conflicts of Interest
References
- Thomrongsuwannakij, T.; Charoenvisal, N.; Chansiripornchai, N. Comparison of two attenuated infectious bursal disease vaccine strains focused on safety and antibody response in commercial broilers. Vet. World 2021, 14, 70. [Google Scholar] [CrossRef]
- Mossie, T. A Comprehensive Review on Infectious Bursal Disease Which Has Serious Threat for Ethiopian Poultry Sector. J. Biol. Agric. Healthc. 2021, 11, 5. [Google Scholar]
- Du, X.; Ahmad, L.; Wang, B.; Ding, M.; Elsaid, F.G.; Wen, H.; Yang, J.; Khan, A. Infectious Bursal Disease: Distribution, Pathogenesis and Pathology. Pak. Vet. J. 2023, 43, 388–395. [Google Scholar]
- Zachar, T.; Popowich, S.; Goodhope, B.; Knezacek, T.; Ojkic, D.; Willson, P.; Ahmed, K.A.; Gomis, S. A 5-year study of the incidence and economic impact of variant infectious bursal disease viruses on broiler production in Saskatchewan, Canada. Can. J. Vet. Res. 2016, 80, 255–261. [Google Scholar] [PubMed]
- Mahgoub, H.A. An overview of infectious bursal disease. Arch. Virol. 2012, 157, 2047–2057. [Google Scholar] [CrossRef] [PubMed]
- Molinet, A.; Courtillon, C.; Bougeard, S.; Keita, A.; Grasland, B.; Eterradossi, N.; Soubies, S. Infectious bursal disease virus: Predicting viral pathotype using machine learning models focused on early changes in total blood cell counts. Vet. Res. 2023, 54, 101. [Google Scholar] [CrossRef]
- Rodríguez-Lecompte, J.C.; Niño-Fong, R.; Lopez, A.; Markham, R.F.; Kibenge, F.S. Infectious bursal disease virus (IBDV) induces apoptosis in chicken B cells. Comp. Immunol. Microbiol. Infect. Dis. 2005, 28, 321–337. [Google Scholar] [CrossRef]
- Yu, Y.; Li, L.; Sun, R.; Xu, Z.; Wang, Q.; Ou, C.; Zhang, Y.; Gao, P.; Ma, J. Tissue distribution and developmental changes of PTEN in the immune organs of chicken and effect of IBDV infection on it. Poult. Sci. 2021, 100, 101356. [Google Scholar] [CrossRef] [PubMed]
- Alkie, T.N. Rautenschlein S Infectious bursal disease virus in poultry: Current status and future prospects. Vet. Med. Res. Rep. 2016, 7, 9–18. [Google Scholar]
- Okata, E.O.; Al-Hassan, R.M. Does publishing poultry vaccination schedule increase awareness and compliance among small-scale farmers? Evidence from Eastern Ghana. Cogent Food Agric. 2023, 9, 2241709. [Google Scholar] [CrossRef]
- Arowolo, O.; George, U.; Luka, P.; Maurice, N.; Atuman, Y.; Shallmizhili, J.; Shittu, I.; Oluwayelu, D. Infectious bursal disease in Nigeria: Continuous circulation of reassortant viruses. Trop. Anim. Health Prod. 2021, 53, 271. [Google Scholar] [CrossRef] [PubMed]
- Badji, A.; Ducatez, M.; Lo, F.T.; Mbengue, M.; Diouf, M.; Samb, Y.; Diop, M.; Lo, M.M.; Thiongane, Y.; Guerin, J.L. Genetic evolution of infectious bursal disease virus in Senegal. J. Vet. Med. Anim. Health 2016, 8, 237–243. [Google Scholar]
- Omer, M.G.; Khalafalla, A.I. Epidemiology and laboratory diagnosis of very virulent infectious bursal disease virus in vaccinated chickens in Khartoum, Sudan. Open Vet. J. 2022, 12, 33–43. [Google Scholar] [CrossRef] [PubMed]
- Rukia, S.; Gabriel, S.; Joram, B.; Christopher, K. Factors associated with infectious bursal disease vaccination failure in Dar es salaam, Tanzania. J. Vet. Med. Anim. Health 2020, 12, 99–109. [Google Scholar] [CrossRef]
- Gyening, K.; Corkish, J. Infectious bursal disease in Ghana. Bull. Anim. Health Prod. Afr. 1976, 24, 247–249. [Google Scholar]
- Amakye-Anim, J.; Otsyina, H.; Osei-Somuah, A.; Aning, K. Isolation and characterization of infectious bursal disease virus (IBDV) field strains and pathotypes in Ghana. Ghana J. Agric. Sci. 2008, 41, 167–172. [Google Scholar] [CrossRef]
- Otsyina, H.; Osei-Somuah, A.; Amakye-Anim, J.; Aning, K. An epidemiological study of recent outbreaks of Gumboro disease in Ghana. Ghana J. Agric. Sci. 2009, 42, 1–2. [Google Scholar] [CrossRef]
- McFerran, J.; McNulty, M.; McKillop, E.; Connor, T.; McCracken, R.; Collins, D.; Allan, G. Isolation and serological studies with infectious bursal disease viruses from fowl, turkeys and ducks: Demonstration of a second serotype. Avian Pathol. 1980, 9, 395–404. [Google Scholar] [CrossRef]
- Eterradossi, N.; Saif, Y.M. Infectious bursal disease. In Diseases of Poultry; Wiley: Hoboken, NJ, USA, 2013; pp. 219–246. [Google Scholar]
- Fan, L.; Wu, T.; Hussain, A.; Gao, Y.; Zeng, X.; Wang, Y.; Gao, L.; Li, K.; Wang, Y.; Liu, C. Novel variant strains of infectious bursal disease virus isolated in China. Vet. Microbiol. 2019, 230, 212–220. [Google Scholar] [CrossRef]
- Mosad, S.M.; Elsayed, M.M.; Hammad, E.M.; Hendam, B.M.; Ali, H.S.; Eladl, A.H.; Saif, M.A. Genotype classification and pathogenicity of infectious bursal disease virus circulating in vaccinated broiler chicken farms. Vet. Res. Commun. 2024, 48, 3089–3104. [Google Scholar] [CrossRef] [PubMed]
- Michel, L.O.; Jackwood, D.J. Classification of infectious bursal disease virus into genogroups. Arch. Virol. 2017, 162, 3661–3670. [Google Scholar] [CrossRef] [PubMed]
- Jenberie, S.; Lynch, S.E.; Kebede, F.; Christley, R.M.; Gelaye, E.; Negussie, H.; Asmare, K.; Ayelet, G. Genetic characterisation of infectious bursal disease virus isolates in Ethiopia. Acta Trop. 2014, 130, 39–43. [Google Scholar] [CrossRef]
- Adel, A.; Zanaty, A.; Mosaad, Z.; Selim, K.; Hagag, N.M.; Badr, M.; Ellakany, H.; Shahien, M.; Samy, A. Advancing IBDV diagnostics: A one-step multiplex real-time qRT-PCR for discriminating between vvIBDV and non-vvIBDV viruses, including the newly emerged IBDV variant. Front. Vet. Sci. 2024, 11, 1421153. [Google Scholar] [CrossRef] [PubMed]
- Islam, M.R.; Nooruzzaman, M.; Rahman, T.; Mumu, T.T.; Rahman, M.M.; Chowdhury, E.H.; Eterradossi, N.; Müller, H. A unified genotypic classification of infectious bursal disease virus based on both genome segments. Avian Pathol. 2021, 50, 190–206. [Google Scholar] [CrossRef]
- Wang, W.; Huang, Y.; Zhang, Y.; Qiao, Y.; Deng, Q.; Chen, R.; Chen, J.; Huang, T.; Wei, T.; Mo, M. The emerging naturally reassortant strain of IBDV (genotype A2dB3) having segment A from Chinese novel variant strain and segment B from HLJ 0504-like very virulent strain showed enhanced pathogenicity to three-yellow chickens. Transbound. Emerg. Dis. 2022, 69, e566–e579. [Google Scholar] [CrossRef] [PubMed]
- Islam, M.; Rahman, S.; Noor, M.; Chowdhury, E.; Müller, H. Differentiation of infectious bursal disease virus (IBDV) genome segment B of very virulent and classical lineage by RT-PCR amplification and restriction enzyme analysis. Arch. Virol. 2012, 157, 333–336. [Google Scholar] [CrossRef]
- Kasanga, C.; Yamaguchi, T.; Wambura, P.; Maeda-Machang’u, A.; Ohya, K.; Fukushi, H. Molecular characterization of infectious bursal disease virus (IBDV): Diversity of very virulent IBDV in Tanzania. Arch. Virol. 2007, 152, 783–790. [Google Scholar] [CrossRef] [PubMed]
- Jiang, N.; Wang, Y.; Zhang, W.; Niu, X.; Huang, M.; Gao, Y.; Liu, A.; Gao, L.; Li, K.; Pan, Q. Genotyping and molecular characterization of infectious bursal disease virus identified in important poultry-raising areas of China during 2019 and 2020. Front. Vet. Sci. 2021, 8, 759861. [Google Scholar] [CrossRef]
- Jackwood, D.J.; Schat, K.A.; Michel, L.O.; de Wit, S. A proposed nomenclature for infectious bursal disease virus isolates. Avian Pathol. 2018, 47, 576–584. [Google Scholar] [CrossRef] [PubMed]
- Letunic, I.; Bork, P. Interactive Tree Of Life (iTOL) v4: Recent updates and new developments. Nucleic Acids Res. 2019, 47, W256–W259. [Google Scholar] [CrossRef] [PubMed]
- Pikuła, A.; Domańska-Blicharz, K.; Cepulis, R.; Śmietanka, K. Identification of infectious bursal disease virus with atypical VP2 amino acid profile in Latvia. J. Vet. Res. 2017, 61, 145–149. [Google Scholar] [CrossRef] [PubMed]
- Brown, M.D.; Green, P.; Skinner, M.A. VP2 sequences of recent European ‘very virulent’isolates of infectious bursal disease virus are closely related to each other but are distinct from those of ‘classical’strains. J. Gen. Virol. 1994, 75, 675–680. [Google Scholar] [CrossRef] [PubMed]
- Nwagbo, I.O.; Shittu, I.; Nwosuh, C.I.; Ezeifeka, G.O.; Odibo, F.J.; Michel, L.O.; Jackwood, D.J. Molecular characterization of field infectious bursal disease virus isolates from Nigeria. Vet. World 2016, 9, 1420. [Google Scholar] [CrossRef] [PubMed]
- Jackwood, D.J.; Sommer-Wagner, S. Genetic characteristics of infectious bursal disease viruses from four continents. Virology 2007, 365, 369–375. [Google Scholar] [CrossRef]
- Beshah, A.; Ahmed, A.; Dandecha, M. Epidemiology And Risk Factors of Infectious Bursal Disease-A Review. Int. J. Med. Case Rep. Rev. 2024, 3, 1–14. [Google Scholar]
- Rashid, M.H.; Xue, C.; Islam, M.T.; Islam, M.R.; Cao, Y. Risk factors associated with infectious bursal disease in commercial chickens in Bangladesh. Prev. Vet. Med. 2013, 111, 181–185. [Google Scholar] [CrossRef] [PubMed]
- Mutinda, W.U.; Nyaga, P.N.; Mbuthia, P.G.; Bebora, L.C.; Muchemi, G. Risk factors associated with infectious bursal disease vaccination failures in broiler farms in Kenya. Trop. Anim. Health Prod. 2014, 46, 603–608. [Google Scholar] [CrossRef]
- Okoye, J.; Uzoukwu, M. An outbreak of infectious bursal disease among chickens between 16 and 20 weeks old. Avian Dis. 1981, 25, 1034–1038. [Google Scholar] [CrossRef] [PubMed]
- Mohammed, U.M.; Garba, S.; Armiya’u, R. Outbreak of infectious bursal disease in a flock of 14 weeks old ISA brown pullets, Sokoto State, Nigeria. GSC Biol. Pharm. Sci. 2019, 9, 01–08. [Google Scholar] [CrossRef]
- Bumstead, N.; Reece, R.; Cook, J.K. Genetic differences in susceptibility of chicken lines to infection with infectious bursal disease virus. Poult. Sci. 1993, 72, 403–410. [Google Scholar] [CrossRef] [PubMed]
- Tippenhauer, M.; Heller, D.E.; Weigend, S.; Rautenschlein, S. The host genotype influences infectious bursal disease virus pathogenesis in chickens by modulation of T cells responses and cytokine gene expression. Dev. Comp. Immunol. 2013, 40, 1–10. [Google Scholar] [CrossRef] [PubMed]
- Bowan, P.A. Assessment of Drinking Tap Water Quality in Wa Municipality, Ghana. J. Environ. Sci. Stud. 2022, 5, 1–12. [Google Scholar] [CrossRef]
- Guérin, J.-L.; Balloy, D.; Pinson, M.; Jbenyeni, A.; Delpont, M. Vaccination technology in poultry: Principles of vaccine administration. Avian Dis. 2024, 67, 489–494. [Google Scholar] [CrossRef] [PubMed]
- Orakpoghenor, O.; Oladele, S.B.; Abdu, P.A. Research Note: Detection of infectious bursal disease virus antibodies in free-living wild birds in Zaria, Nigeria. Poult. Sci. 2020, 99, 1975–1977. [Google Scholar] [CrossRef]
- YOngshan, W.; Zongan, Z.; Yv, L.; Jibo, H.; Kongwang, H.; Chan, D.; Xiaozhao, D.; Jian, G.; Zhenyv, D. Isolation of infectious bursal disease virus from different bird species and analysis of their biological properties. Dongwu Yixue Jinzhan 2003, 24, 84–86. [Google Scholar]
- Jeon, W.-J.; Lee, E.-K.; Joh, S.-J.; Kwon, J.H.; Yang, C.-B.; Yoon, Y.-S.; Choi, K.-S. Very virulent infectious bursal disease virus isolated from wild birds in Korea: Epidemiological implications. Virus Res. 2008, 137, 153–156. [Google Scholar] [CrossRef]
- Naggar, R.F.E.; Rohaim, M.A.; Munir, M. Potential reverse spillover of infectious bursal disease virus at the interface of commercial poultry and wild birds. Virus Genes 2020, 56, 705–711. [Google Scholar] [CrossRef] [PubMed]
- Wagari, A. A review on infectious bursal disease in poultry. Health Econ. Outcome Res. Open Access 2021, 7, 167. [Google Scholar]
- Aliyu, H.; Sa’idu, L.; Jamilu, A.; Andamin, A. Akpavie S Outbreaks of virulent infectious bursal disease in flocks of battery cage brooding system of commercial chickens. J. Vet. Med. 2016, 2016, 8182160. [Google Scholar] [CrossRef] [PubMed]
- Jenbreie, S.; Ayelet, G.; Gelaye, E.; Kebede, F.; Lynch, S.E.; Negussie, H. Infectious bursal disease: Seroprevalence and associated risk factors in major poultry rearing areas of Ethiopia. Trop. Anim. Health Prod. 2012, 45, 75–79. [Google Scholar] [CrossRef]
- Zhang, W.; Wang, X.; Gao, Y.; Qi, X. The Over-40-years-epidemic of infectious bursal disease virus in China. Viruses 2022, 14, 2253. [Google Scholar] [CrossRef]
- Gul, I.; Hassan, A.; Muneeb, J.M.; Akram, T.; Haq, E.; Shah, R.A.; Ganai, N.A.; Ahmad, S.M.; Chikan, N.A.; Shabir, N. A multiepitope vaccine candidate against infectious bursal disease virus using immunoinformatics-based reverse vaccinology approach. Front. Vet. Sci. 2023, 9, 1116400. [Google Scholar] [CrossRef] [PubMed]
- Müller, H.; Mundt, E.; Eterradossi, N.; Islam, M.R. Current status of vaccines against infectious bursal disease. Avian Pathol. 2012, 41, 133–139. [Google Scholar] [CrossRef] [PubMed]
- Baba, S. Avian influenza and family poultry in Nigeria: Potentials for rapid spread and continued presence of disease. World’s Poult. Sci. J. 2006, 16, 4. [Google Scholar]
- Goka, P.D.; Folitse, R.D.; Tasiame, W.; Amemor, E.; Burimuah, V.; Asare, D.A.; Emikpe, B.O. Assessing cross-border live poultry trade as a possible factor for infectious diseases spread between Aflao and Lomé. PAMJ-One Health 2024, 14, 7. [Google Scholar]
- Pikuła, A.; Lisowska, A.; Jasik, A.; Perez, L.J. The novel genetic background of infectious bursal disease virus strains emerging from the action of positive selection. Viruses 2021, 13, 396. [Google Scholar] [CrossRef] [PubMed]






Disclaimer/Publisher’s Note: The statements, opinions and data contained in all publications are solely those of the individual author(s) and contributor(s) and not of MDPI and/or the editor(s). MDPI and/or the editor(s) disclaim responsibility for any injury to people or property resulting from any ideas, methods, instructions or products referred to in the content. |
© 2024 by the authors. Licensee MDPI, Basel, Switzerland. This article is an open access article distributed under the terms and conditions of the Creative Commons Attribution (CC BY) license (https://creativecommons.org/licenses/by/4.0/).
Share and Cite
Enyetornye, B.; Abugri, H.A.; Kusi-Appiah, A.K.; Maboni, G.; Odoom, T.; Gottdenker, N.L.; Velayudhan, B.T. Pathology and VP2-Based Characterization of Infectious Bursal Disease Virus Associated with an Outbreak in Layer Chickens in Ghana. Pathogens 2024, 13, 1115. https://doi.org/10.3390/pathogens13121115
Enyetornye B, Abugri HA, Kusi-Appiah AK, Maboni G, Odoom T, Gottdenker NL, Velayudhan BT. Pathology and VP2-Based Characterization of Infectious Bursal Disease Virus Associated with an Outbreak in Layer Chickens in Ghana. Pathogens. 2024; 13(12):1115. https://doi.org/10.3390/pathogens13121115
Chicago/Turabian StyleEnyetornye, Ben, Henry A. Abugri, Ama K. Kusi-Appiah, Grazieli Maboni, Theophilus Odoom, Nicole L. Gottdenker, and Binu T. Velayudhan. 2024. "Pathology and VP2-Based Characterization of Infectious Bursal Disease Virus Associated with an Outbreak in Layer Chickens in Ghana" Pathogens 13, no. 12: 1115. https://doi.org/10.3390/pathogens13121115
APA StyleEnyetornye, B., Abugri, H. A., Kusi-Appiah, A. K., Maboni, G., Odoom, T., Gottdenker, N. L., & Velayudhan, B. T. (2024). Pathology and VP2-Based Characterization of Infectious Bursal Disease Virus Associated with an Outbreak in Layer Chickens in Ghana. Pathogens, 13(12), 1115. https://doi.org/10.3390/pathogens13121115

