The Leishmania Skin Test Predicts Clinic-Immunologic and Therapeutic Outcomes in Cutaneous Leishmaniasis
Abstract
1. Introduction
2. Materials and Methods
2.1. Study Design, Case Definition and Treatment
2.2. Leishmania Antigen and Intradermal Leishmania Skin Test
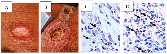
2.3. Histopathological Analysis
2.4. Immunohistochemistry (IHC) and Double Staining
2.5. Cell Culture and Determination of Cytokines
2.6. Statistical Analyses
3. Results
3.1. Clinical-Demographic Characteristics
3.2. Histopathological Features
3.3. Immunological Profile
4. Discussion
Supplementary Materials
Author Contributions
Funding
Institutional Review Board Statement
Informed Consent Statement
Data Availability Statement
Acknowledgments
Conflicts of Interest
References
- Alvar, J.; Vélez, I.D.; Bern, C.; Herrero, M.; Desjeux, P.; Cano, J.; Jannin, J.; den Boer, M.; WHO Leishmaniasis Control Team. Leishmaniasis worldwide and global estimates of its incidence. PLoS ONE 2012, 7, e35671. [Google Scholar] [CrossRef] [PubMed]
- Burza, S.; Croft, S.L.; Boelaert, M. Leishmaniasis. Lancet 2018, 392, 951–970. [Google Scholar] [CrossRef] [PubMed]
- Curti, M.C.; Silveira, T.G.; Arraes, S.M.; Bertolini, D.A.; Zanzarini, P.D.; Venazzi, E.A.; Fernandes, A.C.; Teixeira, J.J.; Lonardoni, M.V. Epidemiological and clinical characteristics of cutaneous leishmaniasis and their relationship with the laboratory data, south of Brazil. Braz. J. Infect. Dis. 2011, 15, 12–16. [Google Scholar] [CrossRef] [PubMed]
- Scott, P.; Pearce, E.; Cheever, A.W.; Coffman, R.L.; Sher, A. Role of cytokines and CD4+ T-cell subsets in the regulation of parasite immunity and disease. Immunol Rev. 1989, 112, 161–182. [Google Scholar] [CrossRef] [PubMed]
- Bogdan, C.; Röllinghoff, M.; Diefenbach, A. The role of nitric oxide in innate immunity. Immunol. Rev. 2000, 173, 17–26. [Google Scholar] [CrossRef] [PubMed]
- Ritter, U.; Körner, H. Divergent expression of inflammatory dermal chemokines in cutaneous leishmaniasis. Parasite Immunol. 2002, 24, 295–301. [Google Scholar] [CrossRef] [PubMed]
- Bacellar, O.; Lessa, H.; Schriefer, A.; Machado, P.; Ribeiro de Jesus, A.; Dutra, W.O.; Gollob, K.J.; Carvalho, E.M. Up-regulation of Th1- type responses in mucosal leishmaniasis patients. Infect. Immun. 2002, 70, 6734–6740. [Google Scholar] [CrossRef] [PubMed] [PubMed Central]
- Santos Cda, S.; Boaventura, V.; Ribeiro Cardoso, C.; Tavares, N.; Lordelo, M.J.; Noronha, A.; Costa, J.; Borges, V.M.; de Oliveira, C.I.; Van Weyenbergh, J.; et al. CD8(+) granzyme B(+)-mediated tissue injury vs. CD4(+)IFNγ(+)-mediated parasite killing in human cutaneous leishmaniasis. J. Investig. Dermatol. 2013, 133, 1533–1540, Erratum in J. Investig. Dermatol. 2014, 134, 2850. [Google Scholar] [CrossRef] [PubMed]
- Carvalho, A.M.; Costa, R.S.; Lago, A.; Bacellar, O.; Beiting, D.P.; Scott, P.; Carvalho, L.P.; Carvalho, E.M. In Situ versus Systemic Immune Response in the Pathogenesis of Cutaneous Leishmaniasis. Pathogens 2024, 13, 199. [Google Scholar] [CrossRef] [PubMed] [PubMed Central]
- Silveira, F.T.; Lainson, R.; De Castro Gomes, C.M.; Laurenti, M.D.; Corbett, C.E. Immunopathogenic competences of Leishmania (V.) braziliensis and L. (L.) amazonensis in American cutaneous leishmaniasis. Parasite Immunol. 2009, 31, 423–431. [Google Scholar] [CrossRef] [PubMed]
- Montenegro, J. Cutaneous Reaction in Leishmaniasis. Arch. Derm. Syphilol. 1926, 13, 187–194. [Google Scholar] [CrossRef]
- Reed, S.G.; Badaró, R.; Masur, H.; Carvalho, E.M.; Lorenco, R.; Lisboa, A.; Teixeira, R.; Johnson, W.D., Jr.; Jones, T.C. Selection of a skin test antigen for American visceral leishmaniasis. Am. J. Trop. Med. Hyg. 1986, 35, 79–85. [Google Scholar] [CrossRef] [PubMed]
- Carstens-Kass, J.; Paulini, K.; Lypaczewski, P.; Matlashewski, G. A review of the leishmanin skin test: A neglected test for a neglected disease. PLoS Negl. Trop. Dis. 2021, 15, e0009531. [Google Scholar] [CrossRef] [PubMed] [PubMed Central]
- Ben Salah, A.; Louzir, H.; Chlif, S.; Mokni, M.; Zaatour, A.; Raouene, M.; Ismail, R.B.; Dellagi, K. The predictive validity of naturally acquired delayed-type hypersensitivity to leishmanin in resistance to Leishmania major-associated cutaneous leishmaniasis. J. Infect. Dis. 2005, 192, 1981–1987. [Google Scholar] [CrossRef] [PubMed]
- Jerônimo, S.M.; Pearson, R.D. The challenges on developing vaccine against visceral leishmaniasis. Rev. Soc. Bras. Med. Trop. 2016, 49, 395–397. [Google Scholar] [CrossRef] [PubMed]
- Silveira, F.T.; Lainson, R.; Corbett, C.E. Clinical and immunopathological spectrum of American cutaneous leishmaniasis with special reference to the disease in Amazonian Brazil: A review. Memórias Inst. Oswaldo Cruz 2004, 99, 239–251. [Google Scholar] [CrossRef] [PubMed]
- Pinart, M.; Rueda, J.R.; Romero, G.A.; Pinzón-Flórez, C.E.; Osorio-Arango, K.; Silveira Maia-Elkhoury, A.N.; Reveiz, L.; Elias, V.M.; Tweed, J.A. Interventions for American cutaneous and mucocutaneous leishmaniasis. Cochrane Database Syst. Rev. 2020, 8, CD004834. [Google Scholar] [CrossRef] [PubMed] [PubMed Central]
- Turetz, M.L.; Machado, P.R.; Ko, A.I.; Alves, F.; Bittencourt, A.; Almeida, R.P.; Mobashery, N.; Johnson, W.D., Jr.; Carvalho, E.M. Disseminated leishmaniasis: A new and emerging form of leishmaniasis observed in northeastern Brazil. J. Infect. Dis. 2002, 186, 1829–1834. [Google Scholar] [CrossRef] [PubMed]
- Oliveira, W.N.; Dórea, A.S.; Carneiro, P.P.; Nascimento, M.T.; Carvalho, L.P.; Machado, P.R.L.; Schriefer, A.; Bacellar, O.; Carvalho, E.M. The influence of infection by different Leishmania (Viannia) braziliensis isolates on the pathogenesis of disseminated leishmaniasis. Front. Cell. Infect. Microbiol. 2021, 11, 740278. [Google Scholar] [CrossRef] [PubMed] [PubMed Central]
- Novais, F.O.; Carvalho, A.M.; Clark, M.L.; Carvalho, L.P.; Beiting, D.P.; Brodsky, I.E.; Carvalho, E.M.; Scott, P. CD8+ T cell cytotoxicity mediates pathology in the skin by inflammasome activation and IL-1β production. PLoS Pathog. 2017, 13, e1006196. [Google Scholar] [CrossRef] [PubMed] [PubMed Central]
- Campos, T.M.; Novais, F.O.; Saldanha, M.; Costa, R.; Lordelo, M.; Celestino, D.; Sampaio, C.; Tavares, N.; Arruda, S.; Machado, P.; et al. Granzyme B Produced by Natural Killer Cells Enhances Inflammatory Response and Contributes to the Immunopathology of Cutaneous Leishmaniasis. J. Infect. Dis. 2020, 221, 973–982. [Google Scholar] [CrossRef] [PubMed] [PubMed Central]
- Carvalho, A.M.; Novais, F.O.; Paixão, C.S.; de Oliveira, C.I.; Machado, P.R.L.; Carvalho, L.P.; Scott, P.; Carvalho, E.M. Glyburide, a NLRP3 Inhibitor, Decreases Inflammatory Response and Is a Candidate to Reduce Pathology in Leishmania braziliensis Infection. J. Investig. Dermatol. 2020, 140, 246–249.e2. [Google Scholar] [CrossRef] [PubMed] [PubMed Central]
- Carvalho, A.M.; Guimarães, L.H.; Costa, R.; Saldanha, M.G.; Prates, I.; Carvalho, L.P.; Arruda, S.; Carvalho, E.M. Impaired Th1 Response Is Associated With Therapeutic Failure in Patients With Cutaneous Leishmaniasis Caused by Leishmania braziliensis. J. Infect. Dis. 2021, 223, 527–535. [Google Scholar] [CrossRef] [PubMed] [PubMed Central]
- Passos, V.M.; Barreto, S.M.; Romanha, A.J.; Krettli, A.U.; Volpini, A.C.; Lima e Costa, M.F. American cutaneous leishmaniasis: Use of a skin test as a predictor of relapse after treatment. Bull. World Health Organ. 2000, 78, 968–974. [Google Scholar] [PubMed]
- Schnorr, D.; Muniz, A.C.; Passos, S.; Guimaraes, L.H.; Lago, E.L.; Bacellar, O.; Glesby, M.J.; Carvalho, E.M. IFN-γ production to leishmania antigen supplements the leishmania skin test in identifying exposure to L. braziliensis infection. PLoS Negl. Trop. Dis. 2012, 6, e1947. [Google Scholar] [CrossRef] [PubMed]
- Oliveira, L.F.; Schubach, A.O.; Martins, M.M.; Passos, S.L.; Oliveira, R.V.; Marzochi, M.C.; Andrade, C.A. Systematic review of the adverse effects of cutaneous leishmaniasis treatment in the New World. Acta Trop. 2011, 118, 87–96. [Google Scholar] [CrossRef] [PubMed]
- Teixeira, A.C.; Paes, M.G.; Guerra Jde, O.; Prata, A.; Silva-Vergara, M.L. Failure of both azithromycin and antimony to treat cutaneous leishmaniasis in Manaus, AM, Brazil. Rev. Inst. Med. Trop. São Paulo 2008, 50, 157–160. [Google Scholar] [CrossRef] [PubMed]
- Unger, A.; O’Neal, S.; Machado, P.R.; Guimarães, L.H.; Morgan, D.J.; Schriefer, A.; Bacellar, O.; Glesby, M.J.; Carvalho, E.M. Association of treatment of American cutaneous leishmaniasis prior to ulcer development with high rate of failure in northeastern Brazil. Am. J. Trop. Med. Hyg. 2009, 80, 574–579. [Google Scholar] [CrossRef] [PubMed] [PubMed Central]
- Machado, P.; Araújo, C.; Da Silva, A.T.; Almeida, R.P.; D’Oliveira, A., Jr.; Bittencourt, A.; Carvalho, E.M. Failure of early treatment of cutaneous leishmaniasis in preventing the development of an ulcer. Clin. Infect. Dis. 2002, 34, E69–E73. [Google Scholar] [CrossRef] [PubMed]
- Saheki, M.N.; Lyra, M.R.; Bedoya-Pacheco, S.J.; Antônio, L.F.; Pimentel, M.I.F.; Salgueiro, M.M.; Vasconcellos, É.C.F.E.; Passos, S.R.L.; Santos, G.P.L.D.; Ribeiro, M.N.; et al. Low versus high dose of antimony for American cutaneous leishmaniasis: A randomized controlled blind non-inferiority trial in Rio de Janeiro, Brazil. PLoS ONE 2017, 12, e0178592. [Google Scholar] [CrossRef] [PubMed] [PubMed Central]
- Ridley, D.S.; De Magalhaes, A.V.; Marsden, P.D. Histological analysis and the pathogenesis of mucocutaneous leishmaniasis. J. Pathol. 1989, 159, 293–299. [Google Scholar] [CrossRef] [PubMed]
- Barral-Netto, M.; Machado, P.; Bittencourt, A.; Barral, A. Recent advances in the pathophysiology and treatment of human cutaneous leishmaniasis. Curr. Opin. Dermatol. 1997, 4, 51–58. [Google Scholar]
- Antonelli, L.R.; Dutra, W.O.; Almeida, R.P.; Bacellar, O.; Carvalho, E.M.; Gollob, K.J. Activated inflammatory T cells correlate with lesion size in human cutaneous leishmaniasis. Immunol. Lett. 2005, 101, 226–230. [Google Scholar] [CrossRef] [PubMed]
- Faria, D.R.; Souza, P.E.; Durães, F.V.; Carvalho, E.M.; Gollob, K.J.; Machado, P.R.; Dutra, W.O. Recruitment of CD8(+) T cells expressing granzyme A is associated with lesion progression in human cutaneous leishmaniasis. Parasite Immunol. 2009, 31, 432–439. [Google Scholar] [CrossRef] [PubMed]
- Carvalho, A.M.; Bacellar, O.; Carvalho, E.M. Protection and Pathology in Leishmania braziliensis Infection. Pathogens 2022, 11, 466. [Google Scholar] [CrossRef] [PubMed]
- Cardoso, T.M.; Machado, Á.; Costa, D.L.; Carvalho, L.P.; Queiroz, A.; Machado, P.; Scott, P.; Carvalho, E.M.; Bacellar, O. Protective and pathological functions of CD8+ T cells in Leishmania braziliensis infection. Infect. Immun. 2015, 83, 898–906. [Google Scholar] [CrossRef] [PubMed] [PubMed Central]
- Saraiva, M.; O’Garra, A. The regulation of IL-10 production by immune cells. Nat. Rev. Immunol. 2010, 10, 170–181. [Google Scholar] [CrossRef] [PubMed]
- Ouyang, W.; Rutz, S.; Crellin, N.K.; Valdez, P.A.; Hymowitz, S.G. Regulation and functions of the IL-10 family of cytokines in inflammation and disease. Annu. Rev. Immunol. 2011, 29, 71–109. [Google Scholar] [CrossRef] [PubMed]
- Novais, F.O.; Scott, P. CD8+ T cells in cutaneous leishmaniasis: The good, the bad, and the ugly. Semin. Immunopathol. 2015, 37, 251–259. [Google Scholar] [CrossRef] [PubMed] [PubMed Central]
- Boaventura, V.S.; Santos, C.S.; Cardoso, C.R.; de Andrade, J.; Dos Santos, W.L.; Clarêncio, J.; Silva, J.S.; Borges, V.M.; Barral-Netto, M.; Brodskyn, C.I.; et al. Human mucosal leishmaniasis: Neutrophils infiltrate areas of tissue damage that express high levels of Th17-related cytokines. Eur. J. Immunol. 2010, 40, 2830–2836. [Google Scholar] [CrossRef] [PubMed]
- Scott, P.; Novais, F.O. Cutaneous leishmaniasis: Immune responses in protection and pathogenesis. Nat. Rev. Immunol. 2016, 16, 581–592. [Google Scholar] [CrossRef] [PubMed]





| Variables | LST+ (n = 67) | LST- (n = 67) | p-Value |
|---|---|---|---|
| Age (years), mean ± SD | 28.3 ± 11.7 | 37.8 ± 14.4 | 0.13 * |
| Male no. (%) | 40 (59.7) | 38 (56.7) | 0.86 # |
| Illness duration (days), median ± SD | 37 ± 17.8 | 57 ± 35.8 | 0.0001 * |
| Number of lesions | 1 (1–8) | 1 (1–8) | 0.08 * |
| Area of lesion (mm2), mean ± SD | 226 ± 245.4 | 1090 ± 3073.9 | 0.02 * |
| # Cure rate on day 90, no. (%) | 44 (65.7) | 22 (43.3) | 0.004 * |
| Healing time (days,) mean ± SD | 78.7 ± 53.9 | 126.32 ± 90.29 | 0.0006 * |
Disclaimer/Publisher’s Note: The statements, opinions and data contained in all publications are solely those of the individual author(s) and contributor(s) and not of MDPI and/or the editor(s). MDPI and/or the editor(s) disclaim responsibility for any injury to people or property resulting from any ideas, methods, instructions or products referred to in the content. |
© 2024 by the authors. Licensee MDPI, Basel, Switzerland. This article is an open access article distributed under the terms and conditions of the Creative Commons Attribution (CC BY) license (https://creativecommons.org/licenses/by/4.0/).
Share and Cite
Guimarães, L.H.; Zacarias, E.; Nolasco, S.T.; Filho, A.N.; Lago, J.; Machado, P.R.L.; Oliveira, J.; Carvalho, L.P.; Carvalho, A.; Carvalho, E.M.; et al. The Leishmania Skin Test Predicts Clinic-Immunologic and Therapeutic Outcomes in Cutaneous Leishmaniasis. Pathogens 2024, 13, 1018. https://doi.org/10.3390/pathogens13111018
Guimarães LH, Zacarias E, Nolasco ST, Filho AN, Lago J, Machado PRL, Oliveira J, Carvalho LP, Carvalho A, Carvalho EM, et al. The Leishmania Skin Test Predicts Clinic-Immunologic and Therapeutic Outcomes in Cutaneous Leishmaniasis. Pathogens. 2024; 13(11):1018. https://doi.org/10.3390/pathogens13111018
Chicago/Turabian StyleGuimarães, Luiz H., Evelyn Zacarias, Sandra T. Nolasco, Almério N. Filho, Jamile Lago, Paulo R. L. Machado, Joyce Oliveira, Lucas P. Carvalho, Augusto Carvalho, Edgar M. Carvalho, and et al. 2024. "The Leishmania Skin Test Predicts Clinic-Immunologic and Therapeutic Outcomes in Cutaneous Leishmaniasis" Pathogens 13, no. 11: 1018. https://doi.org/10.3390/pathogens13111018
APA StyleGuimarães, L. H., Zacarias, E., Nolasco, S. T., Filho, A. N., Lago, J., Machado, P. R. L., Oliveira, J., Carvalho, L. P., Carvalho, A., Carvalho, E. M., & Arruda, S. (2024). The Leishmania Skin Test Predicts Clinic-Immunologic and Therapeutic Outcomes in Cutaneous Leishmaniasis. Pathogens, 13(11), 1018. https://doi.org/10.3390/pathogens13111018

