Accurate Diagnosis of Schistosoma mansoni and S. haematobium from Filtered Urine Samples Collected in Tanzania, Africa
Abstract
1. Introduction
2. Materials and Methods
2.1. Sample Location and Sample Population
2.2. Ethical Approval
2.3. Sample Collection
2.4. KK and CCA Test
2.5. Hematuria Test
2.6. DNA Extraction
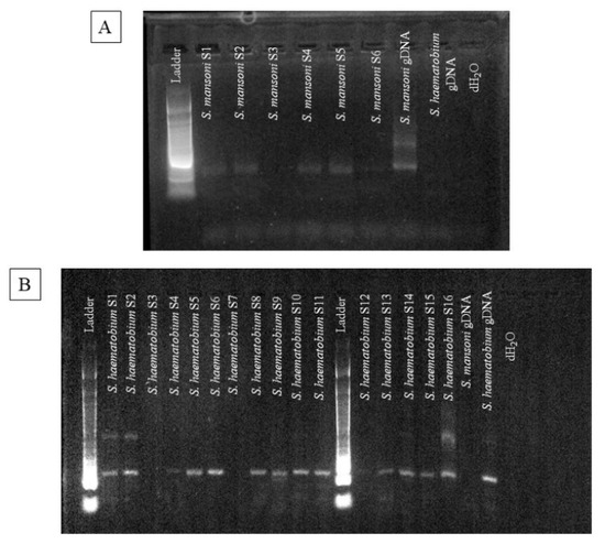
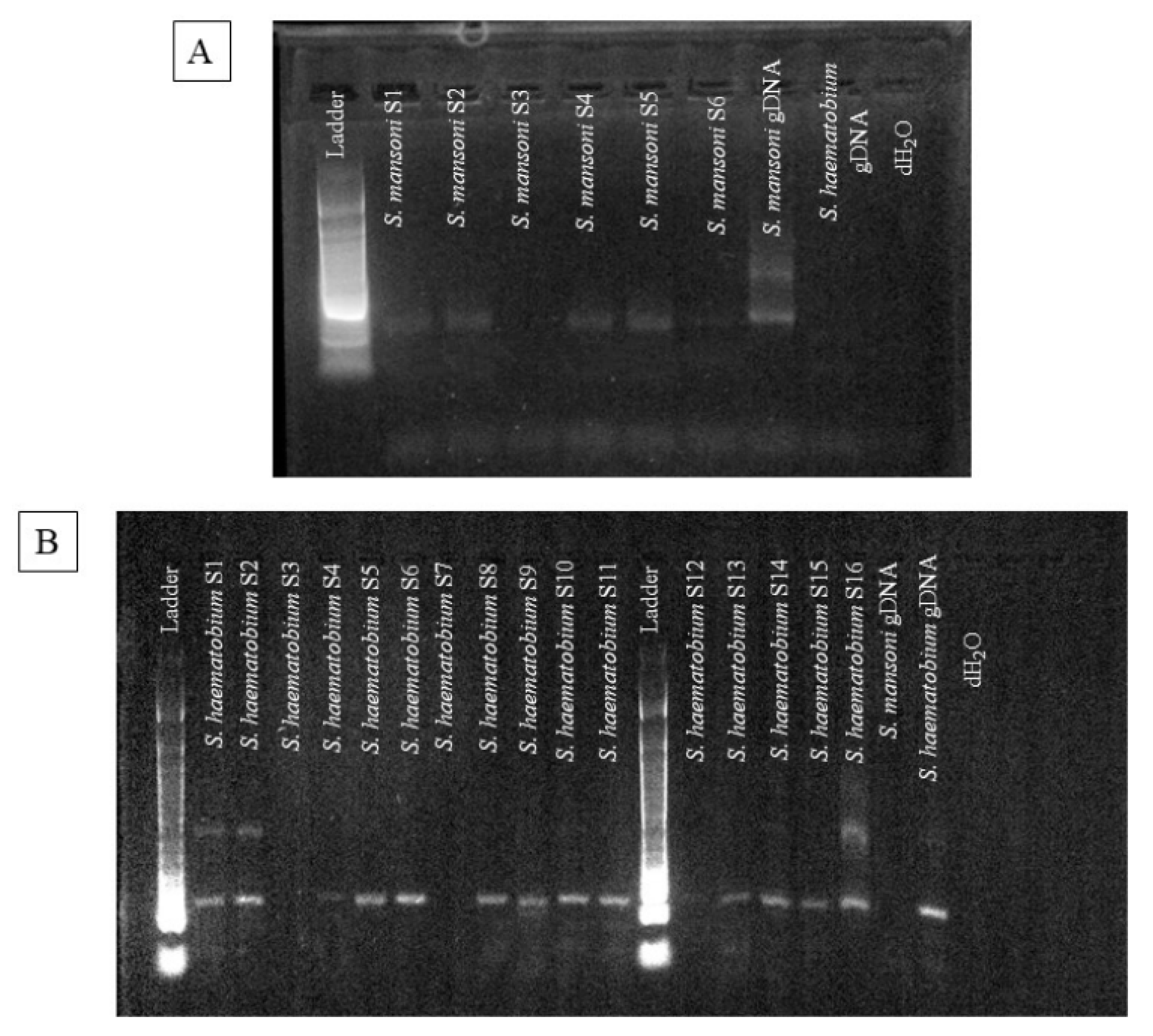
2.7. PCR and Gel Electrophoresis
2.8. Statistical Analysis
- If KK +, then there is surely the presence of S. mansoni infection.
- If S. mansoni PCR +, then we assume the presence of S. mansoni infection.
- S. mansoni true positive (TP): KK + and S. mansoni PCR +
- S. mansoni true negative (TN): KK − and S. mansoni PCR −
- S. haematobium true positive (TP): S. haematobium PCR +
- S. haematobium true negative (TN): S. haematobium PCR −
3. Results
3.1. Detection of Dual Schistosome Parasite Infection
3.2. Prevalence Data for S. mansoni
3.3. Prevalence Data for S. haematobium
3.4. Comparison of S. mansoni Detection Methods
3.5. Comparison of S. haematobium Detection Methods
3.6. Diagnostic Parametrs for S. masoni
4. Discussion
Author Contributions
Funding
Institutional Review Board Statement
Informed Consent Statement
Data Availability Statement
Acknowledgments
Conflicts of Interest
References
- Kokaliaris, C.; Garba, A.; Matuska, M.; Bronzan, R.N.; Colley, D.G.; Dorkenoo, A.M.; Ekpo, U.F.; Fleming, F.M.; French, M.D.; Kabore, A.; et al. Effect of preventive chemotherapy with praziquantel on schistosomiasis among school-aged children in sub-Saharan Africa: A spatiotemporal modelling study. Lancet Infect. Dis. 2022, 22, 136–149. [Google Scholar] [CrossRef] [PubMed]
- Mazigo, H.D.; Nuwaha, F.; Kinung’hi, S.M.; Morona, D.; de Moira, A.P.; Wilson, S.; Heukelbach, J.; Dunne, D.W. Epidemiology and control of human schistosomiasis in Tanzania. Parasites Vectors 2012, 5, 274. [Google Scholar] [CrossRef] [PubMed]
- World Health Organization. Ending the Neglect to Attain the Sustainable Development Goals: A Road Map for Neglected Tropical Diseases 2021–2030; Licence: CC BY-NC-SA 3.0 IGO; World Health Organization: Geneva, Switzerland, 2020. [Google Scholar]
- Obeng, B.B.; Aryeetey, Y.A.; de Dood, C.J.; Amoah, A.S.; Larbi, I.A.; Deelder, A.M.; Yazdanbakhsh, M.; Hartgers, F.C.; Boakye, D.A.; Verweij, J.J.; et al. Application of a circulating-cathodic-antigen (CCA) strip test and real-time PCR, in comparison with microscopy, for the detection of Schistosoma haematobium in urine samples from Ghana. Ann. Trop. Med. Parasitol. 2008, 102, 625–633. [Google Scholar] [CrossRef] [PubMed]
- Anyan, W.K.; Pulkkila, B.R.; Dyra, C.E.; Price, M.; Naples, J.M.; Quartey, J.K.; Anang, A.K.; Lodh, N. Assessment of dual schistosome infection prevalence from urine in an endemic community of Ghana by molecular diagnostic approach. Parasite Epidemiol. Control 2020, 9, e00130. [Google Scholar] [CrossRef] [PubMed]
- Hessler, M.J.; Cyrs, A.; Krenzke, S.C.; Mahmoud, E.S.; Sikasunge, C.; Mwansa, J.; Lodh, N. Detection of duo-schistosome infection from filtered urine samples from school children in Zambia after MDA. PLoS ONE 2017, 12, e0189400. [Google Scholar] [CrossRef]
- Lodh, N.; Naples, J.M.; Bosompem, K.M.; Quartey, J.; Shiff, C.J. Detection of Parasite-Specific DNA in Urine Sediment Obtained by Filtration Differentiates between Single and Mixed Infections of Schistosoma mansoni and S. haematobium from Endemic Areas in Ghana. PLoS ONE 2014, 9, e91144. [Google Scholar] [CrossRef]
- Lodh, N.; Mikita, K.; Bosompem, K.M.; Anyan, W.K.; Quartey, J.K.; Otchere, J.; Shiff, C.J. Point of care diagnosis of multiple schistosome parasites: Species-specific DNA detection in urine by loop-mediated isothermal amplification (LAMP). Acta Trop. 2017, 173, 125–129. [Google Scholar] [CrossRef]
- Lodh, N.; Mwansa, J.C.; Mutengo, M.M.; Shiff, C.J. Diagnosis of Schistosoma mansoni without the stool: Comparison of three diagnostic tests to detect Schistosoma mansoni infection from filtered urine in Zambia. Am. J. Trop. Med. Hyg. 2013, 89, 46–50. [Google Scholar] [CrossRef]
- Ibironke, O.A.; Phillips, A.E.; Garba, A.; Lamine, S.M.; Shiff, C. Diagnosis of Schistosoma haematobium by detection of specific DNA fragments from filtered urine samples. Am. J. Trop. Med. Hyg. 2011, 84, 998–1001. [Google Scholar] [CrossRef]
- Lodh, N.; Caro, R.; Sofer, S.; Scott, A.; Krolewiecki, A.; Shiff, C. Diagnosis of Strongyloides stercoralis: Detection of parasite-derived DNA in urine. Acta Trop. 2016, 163, 9–13. [Google Scholar] [CrossRef]
- Mharakurwa, S.; Simoloka, C.; Thuma, P.E.; Shiff, C.J.; Sullivan, D.J. PCR detection of Plasmodium falciparum in human urine and saliva samples. Malar. J. 2006, 5, 103. [Google Scholar] [CrossRef] [PubMed]
- Hamburger, J.; Turetski, T.; Kapeller, I.; Deresiewicz, R. Highly Repeated Short DNA-Sequences In The Genome Of Schistosoma mansoni Recognized By A Species-Specific Probe. Mol. Biochem. Parasitol. 1991, 44, 73–80. [Google Scholar] [CrossRef] [PubMed]
- Hamburger, J.; He, N.; Abbasi, I.; Ramzy, R.M.; Jourdane, J.; Ruppel, A. Polymerase chain reaction assay based on a highly repeated sequence of Schistosoma haematobium: A potential tool for monitoring schistosome-infested water. Am. J. Trop. Med. Hyg. 2001, 65, 907–911. [Google Scholar] [CrossRef]
- Lamberton, P.H.L.; Kabatereine, N.B.; Oguttu, D.W.; Fenwick, A.; Webster, J.P. Sensitivity and Specificity of Multiple Kato-Katz Thick Smears and a Circulating Cathodic Antigen Test for Schistosoma mansoni Diagnosis Pre- and Post-repeated-Praziquantel Treatment. PLOS Neglected Trop. Dis. 2014, 8, e3139. [Google Scholar] [CrossRef]
- King, C.H.; Dangerfield-Cha, M. The unacknowledged impact of chronic schistosomiasis. Chronic Illn. 2008, 4, 65–79. [Google Scholar] [CrossRef]
- Hotez, P.J.; Fenwick, A. Schistosomiasis in Africa: An Emerging Tragedy in Our New Global Health Decade. PLoS Neglected Trop. Dis. 2009, 3, e485. [Google Scholar] [CrossRef]
- Koukounari, A.; Webster, J.P.; Donnelly, C.A.; Bray, B.C.; Naples, J.; Bosompem, K.; Shiff, C. Sensitivities and Specificities of Diagnostic Tests and Infection Prevalence of Schistosoma haematobium Estimated from Data on Adults in Villages Northwest of Accra, Ghana. Am. J. Trop. Med. Hyg. 2009, 80, 435–441. [Google Scholar] [CrossRef]
- Doenhoff, M.J.; Cioli, D.; Utzinger, J. Praziquantel: Mechanisms of action, resistance and new derivatives for schistosomiasis. Curr. Opin. Infect. Dis. 2008, 21, 659–667. [Google Scholar] [CrossRef]
- Wright, J.E.; Werkman, M.; Dunn, J.C.; Anderson, R.M. Current epidemiological evidence for predisposition to high or low intensity human helminth infection: A systematic review. Parasites Vectors 2018, 11, 65. [Google Scholar] [CrossRef]
- Booth, M.; Vennervald, B.J.; Butterworth, A.E.; Kariuki, H.C.; Amaganga, C.; Kimani, G.; Mwatha, J.K.; Otedo, A.; Ouma, J.H.; Dunne, D.W. Exposure to malaria affects the regression of hepatosplenomegaly after treatment for Schistosoma mansoni infection in Kenyan children. BMC Med. 2004, 2, 36. [Google Scholar] [CrossRef]
- Ernould, J.C.; Ba, K.; Sellin, B. Increase of intestinal schistosomiasis after praziquantel treatment in a Schistosoma haematobium and Schistosoma mansoni mixed focus. Acta Trop. 1999, 73, 143–152. [Google Scholar] [CrossRef] [PubMed]

| Schistosome Parasite | Oligonucleotide Name | Oligonucleotide Sequence |
|---|---|---|
| Schistosoma mansoni | SmPF | 5′ GAT CTG AAT CCG ACC AAC CG 3′ |
| SmPR | 5′ ATA TTA ACG CCC ACG CTC TC 3’ | |
| Schistosoma haematobium | ShDra1F | 5′ TCA CAA CGA TAC GAC CAA C 3′ |
| ShDra1R | 5′ GAT CTC ACC TAT CAG ACG AAA C 3′ |
| S. mansoni PCR | ||||
|---|---|---|---|---|
| S. haematobium PCR | Count | 0 | 1 | Total |
| 0 | 15 (14%) | 22 (21%) | 37 | |
| 1 | 7 (7%) | 60 (58%) | 67 | |
| Total | 22 | 82 | 104 | |
| Species | PCR + | PCR − |
|---|---|---|
| S. mansoni | 82 (79%) | 22 (21%) |
| S. haematobium | 67 (64%) | 37 (36%) |
| Schistosome Species | Gender | Age Group | |||
|---|---|---|---|---|---|
| Male | Female | A (17–30 yrs) | B (31–50 yrs) | C (51–97 yrs) | |
| S. mansoni | 28 (27%) | 54 (52%) | 26 (25%) | 36 (35%) | 20 (19%) |
| S. haematobium | 24 (23%) | 43 (41%) | 20 (19%) | 29 (28%) | 18 (17%) |
| Diagnostic Tests | CCA | PCR | ||
|---|---|---|---|---|
| Positive | Negative | Positive | Negative | |
| KK Positive | 64 (61%) | 35 (34%) | 78 (75%) | 21 (20%) |
| KK Negative | 5 (5%) | 0 | 4 (4%) | 1 (1%) |
| Diagnostic Test Parameters | Kato–Katz (S. mansoni) | CCA (S. mansoni) | PCR (S. mansoni) |
|---|---|---|---|
| Sensitivity | 95.2% | 66.4% | 80% |
| Specificity | 100% | 100% | 100% |
Disclaimer/Publisher’s Note: The statements, opinions and data contained in all publications are solely those of the individual author(s) and contributor(s) and not of MDPI and/or the editor(s). MDPI and/or the editor(s) disclaim responsibility for any injury to people or property resulting from any ideas, methods, instructions or products referred to in the content. |
© 2024 by the authors. Licensee MDPI, Basel, Switzerland. This article is an open access article distributed under the terms and conditions of the Creative Commons Attribution (CC BY) license (https://creativecommons.org/licenses/by/4.0/).
Share and Cite
Miller, K.; Choudry, J.; Mahmoud, E.S.; Lodh, N. Accurate Diagnosis of Schistosoma mansoni and S. haematobium from Filtered Urine Samples Collected in Tanzania, Africa. Pathogens 2024, 13, 59. https://doi.org/10.3390/pathogens13010059
Miller K, Choudry J, Mahmoud ES, Lodh N. Accurate Diagnosis of Schistosoma mansoni and S. haematobium from Filtered Urine Samples Collected in Tanzania, Africa. Pathogens. 2024; 13(1):59. https://doi.org/10.3390/pathogens13010059
Chicago/Turabian StyleMiller, Koreena, Javeriya Choudry, El Shaimaa Mahmoud, and Nilanjan Lodh. 2024. "Accurate Diagnosis of Schistosoma mansoni and S. haematobium from Filtered Urine Samples Collected in Tanzania, Africa" Pathogens 13, no. 1: 59. https://doi.org/10.3390/pathogens13010059
APA StyleMiller, K., Choudry, J., Mahmoud, E. S., & Lodh, N. (2024). Accurate Diagnosis of Schistosoma mansoni and S. haematobium from Filtered Urine Samples Collected in Tanzania, Africa. Pathogens, 13(1), 59. https://doi.org/10.3390/pathogens13010059

