A Dual-Pathogen Mitral Valve Endocarditis Caused by Coxiella burnetii and Streptococcus gordonii—Which Came First?
Abstract
1. Introduction
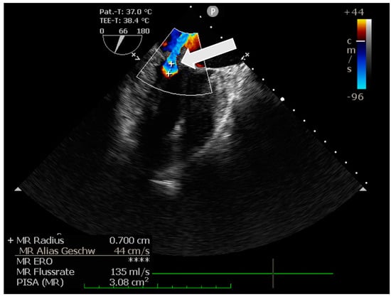
2. Case Presentation
2.1. Follow-Up Recommendations
2.2. Postoperative Event
3. Discussion
Minimally Invasive Mitral Valve Replacement in Infective Endocarditis
4. Conclusions
Author Contributions
Funding
Institutional Review Board Statement
Informed Consent Statement
Data Availability Statement
Conflicts of Interest
References
- Hubers, S.A.; DeSimone, D.C.; Gersh, B.J.; Anavekar, N.S. Infective Endocarditis: A Contemporary Review. Mayo Clin. Proc. 2020, 95, 982–997. [Google Scholar] [CrossRef] [PubMed]
- Murdoch, D.R.; Corey, G.R.; Hoen, B.; Miro, J.M.; Fowler, V.G., Jr.; Bayer, A.S.; Karchmer, A.W.; Olaison, L.; Pappas, P.A.; Moreillon, P.; et al. Clinical presentation, etiology, and outcome of infective endocarditis in the 21st century: The International Collaboration on Endocarditis-Prospective Cohort Study. Arch. Intern. Med. 2009, 169, 463–473. [Google Scholar] [CrossRef] [PubMed]
- Hoen, B.; Alla, F.; Selton-Suty, C.; Beguinot, I.; Bouvet, A.; Briancon, S.; Casalta, J.P.; Danchin, N.; Delahaye, F.; Etienne, J.; et al. Changing profile of infective endocarditis: Results of a 1-year survey in France. JAMA 2002, 288, 75–81. [Google Scholar] [CrossRef]
- Murillo, H.; Restrepo, C.S.; Marmol-Velez, J.A.; Vargas, D.; Ocazionez, D.; Martinez-Jimenez, S.; Reddick, R.L.; Baxi, A.J. Infectious Diseases of the Heart: Pathophysiology, Clinical and Imaging Overview. Radiographics 2016, 36, 963–983. [Google Scholar] [CrossRef]
- Piper, C.; Horstkotte, D. Endocarditis: Current diagnosis and therapy. Med. Klin. 2008, 103, 217–227. [Google Scholar] [CrossRef] [PubMed]
- Toyoda, N.; Chikwe, J.; Itagaki, S.; Gelijns, A.C.; Adams, D.H.; Egorova, N.N. Trends in Infective Endocarditis in California and New York State, 1998–2013. JAMA 2017, 317, 1652–1660. [Google Scholar] [CrossRef]
- Olmos, C.; Vilacosta, I.; Fernandez-Perez, C.; Bernal, J.L.; Ferrera, C.; Garcia-Arribas, D.; Perez-Garcia, C.N.; San Roman, J.A.; Maroto, L.; Macaya, C.; et al. The Evolving Nature of Infective Endocarditis in Spain: A Population-Based Study (2003 to 2014). J. Am. Coll. Cardiol. 2017, 70, 2795–2804. [Google Scholar] [CrossRef]
- Dayer, M.J.; Jones, S.; Prendergast, B.; Baddour, L.M.; Lockhart, P.B.; Thornhill, M.H. Incidence of infective endocarditis in England, 2000–2013: A secular trend, interrupted time-series analysis. Lancet 2015, 385, 1219–1228. [Google Scholar] [CrossRef]
- Audebert, F.B.S.; Ehrenstein, B.; Glück, T.; Salzberge, B. Endocarditis—Diagnostik, Therapie, Prophylaxe. In Infectiorum, C; InfectoPharm Arzneimittel und Consilium GmbH: Heppenheim, Germany, 2019. [Google Scholar]
- Rahouma, M.; Khairallah, S.; Dabsha, A.; Elkharbotly, I.A.M.H.; Baudo, M.; Ismail, A.; Korani, O.M.; Hossny, M.; Dimagli, A.; Girardi, L.N.; et al. Lung Cancer as a Leading Cause among Paraneoplastic Non-Bacterial Thrombotic Endocarditis: A Meta-Analysis of Individual Patients’ Data. Cancers 2023, 15, 1848. [Google Scholar] [CrossRef]
- Durack, D.T.; Lukes, A.S.; Bright, D.K. New criteria for diagnosis of infective endocarditis: Utilization of specific echocardiographic findings. Duke Endocarditis Service. Am. J. Med. 1994, 96, 200–209. [Google Scholar] [CrossRef]
- Plicht, B.; Naber, C.K.; Erbel, R. Behandlung und Diagnostik infektiöser Endokarditiden mit negativen Blutkulturbefunden. Der Kardiol. 2007, 1, 35–42. [Google Scholar] [CrossRef]
- Brouqui, P.; Raoult, D. Endocarditis due to rare and fastidious bacteria. Clin. Microbiol. Rev. 2001, 14, 177–207. [Google Scholar] [CrossRef] [PubMed]
- Fournier, P.E.; Raoult, D. Nonculture Laboratory Methods for the Diagnosis of Infectious Endocarditis. Curr. Infect. Dis. Rep. 1999, 1, 136–141. [Google Scholar] [CrossRef] [PubMed]
- Tattevin, P.; Watt, G.; Revest, M.; Arvieux, C.; Fournier, P.E. Update on blood culture-negative endocarditis. Med. Mal. Infect. 2015, 45, 1–8. [Google Scholar] [CrossRef]
- Lin, K.P.; Yeh, T.K.; Chuang, Y.C.; Wang, L.A.; Fu, Y.C.; Liu, P.Y. Blood Culture Negative Endocarditis: A Review of Laboratory Diagnostic Approaches. Int. J. Gen. Med. 2023, 16, 317–327. [Google Scholar] [CrossRef] [PubMed]
- McGee, M.; Brienesse, S.; Chong, B.; Levendel, A.; Lai, K. Tropheryma whipplei Endocarditis: Case Presentation and Review of the Literature. Open Forum Infect. Dis. 2019, 6, ofy330. [Google Scholar] [CrossRef] [PubMed]
- Geissdorfer, W.; Moos, V.; Moter, A.; Loddenkemper, C.; Jansen, A.; Tandler, R.; Morguet, A.J.; Fenollar, F.; Raoult, D.; Bogdan, C.; et al. High frequency of Tropheryma whipplei in culture-negative endocarditis. J. Clin. Microbiol. 2012, 50, 216–222. [Google Scholar] [CrossRef] [PubMed]
- Godfrey, R.; Curtis, S.; Schilling, W.H.; James, P.R. Blood culture negative endocarditis in the modern era of 16S rRNA sequencing. Clin. Med. 2020, 20, 412–416. [Google Scholar] [CrossRef]
- Maor, Y.; Sternik, L.; Orlov, B.; Rahav, G.; Keller, N.; Raanani, E.; Kogan, A. Coxiella burnetii Endocarditis and Aortic Vascular Graft Infection: An Underrecognized Disease. Ann. Thorac. Surg. 2016, 101, 141–145. [Google Scholar] [CrossRef]
- Raoult, D.; Marrie, T. Q fever. Clin. Infect. Dis. 1995, 20, 489–495. [Google Scholar] [CrossRef]
- Birlutiu, V.; Birlutiu, R.M.; Costache, V.S. Viridans streptococcal infective endocarditis associated with fixed orthodontic appliance managed surgically by mitral valve plasty: A case report. Medicine 2018, 97, e11260. [Google Scholar] [CrossRef]
- García-Granja, P.E.; López, J.; Vilacosta, I.; Ortiz-Bautista, C.; Sevilla, T.; Olmos, C.; Sarriá, C.; Ferrera, C.; Gómez, I.; Román, J.A.S. Polymicrobial Infective Endocarditis: Clinical Features and Prognosis. Medicine 2015, 94, e2000. [Google Scholar] [CrossRef]
- Gagliardi, J.P.; Nettles, R.E.; McCarty, D.E.; Sanders, L.L.; Corey, G.R.; Sexton, D.J. Native valve infective endocarditis in elderly and younger adult patients: Comparison of clinical features and outcomes with use of the Duke criteria and the Duke Endocarditis Database. Clin. Infect. Dis. 1998, 26, 1165–1168. [Google Scholar] [CrossRef]
- Hecht, S.R.; Berger, M. Right-sided endocarditis in intravenous drug users. Prognostic features in 102 episodes. Ann. Intern. Med. 1992, 117, 560–566. [Google Scholar] [CrossRef] [PubMed]
- Habib, G.; Lancellotti, P.; Antunes, M.J.; Bongiorni, M.G.; Casalta, J.P.; Del Zotti, F.; Dulgheru, R.; El Khoury, G.; Erba, P.A.; Iung, B.; et al. 2015 ESC Guidelines for the management of infective endocarditis: The Task Force for the Management of Infective Endocarditis of the European Society of Cardiology (ESC). Endorsed by: European Association for Cardio-Thoracic Surgery (EACTS), the European Association of Nuclear Medicine (EANM). Eur. Heart J. 2015, 36, 3075–3128. [Google Scholar] [CrossRef] [PubMed]
- Heim, C.; Muller, P.P.; Massoudy, P.; Harig, F.; Nooh, E.; Weyand, M.; Czesla, M. Pass On What You Have Learned: A Structured Mentor-Mentee Concept for the Implementation of a Minimally Invasive Mitral Valve Surgery Program. Eur. Surg. Res. 2022, 63, 98–104. [Google Scholar] [CrossRef]
- Brouqui, P.; Dumler, J.S.; Raoult, D. Immunohistologic demonstration of Coxiella burnetii in the valves of patients with Q fever endocarditis. Am. J. Med. 1994, 97, 451–458. [Google Scholar] [CrossRef]
- Peters, B.M.; Jabra-Rizk, M.A.; O’May, G.A.; Costerton, J.W.; Shirtliff, M.E. Polymicrobial interactions: Impact on pathogenesis and human disease. Clin. Microbiol. Rev. 2012, 25, 193–213. [Google Scholar] [CrossRef] [PubMed]
- Raoult, D.; Casalta, J.P.; Richet, H.; Khan, M.; Bernit, E.; Rovery, C.; Branger, S.; Gouriet, F.; Imbert, G.; Bothello, E.; et al. Contribution of systematic serological testing in diagnosis of infective endocarditis. J. Clin. Microbiol. 2005, 43, 5238–5242. [Google Scholar] [CrossRef] [PubMed]
- Yahav, D.; Kuznitz, I.; Reisfeld, S.; Eliakim-Raz, N.; Bishara, J. Polymicrobial Q Fever and enterococcal aortic prosthetic valve endocarditis with aortic root abscess. Vector Borne Zoonotic Dis. 2015, 15, 326–328. [Google Scholar] [CrossRef]
- Garg, P.; Chan, S.; Peeceeyen, S.; Youssef, G.; Graves, S.R.; Sullivan, R. Culture-negative polymicrobial chronic Q fever prosthetic valve infective endocarditis utilizing 16S ribosomal RNA polymerase chain reaction on explanted valvular tissue. Int. J. Infect. Dis. 2022, 121, 138–140. [Google Scholar] [CrossRef]
- Puges, M.; Bérard, X.; Caradu, C.; Ducours, M.; Eldin, C.; Carrer, M.; Sauvage, N.; Vareil, M.O.; Alleman, L.; M’Zali, F.; et al. Polymicrobial Infections Among Patients with Vascular Q Fever, France, 2004–2020. Emerg. Infect. Dis. 2021, 27, 1961–1963. [Google Scholar] [CrossRef]
- European Centre for Disease Prevention and Control. Q Fever; ECDC: Solna, Sweden, 2021.
- Samuel, J.E.; Hendrix, L.R. Laboratory Maintenance of Coxiella burnetii. Curr. Protoc. Microbiol. 2009, 15, 6C.1.1–6C.1.16. [Google Scholar] [CrossRef] [PubMed]
- Francis, R.; Mioulane, M.; Le Bideau, M.; Mati, M.C.; Fournier, P.E.; Raoult, D.; Bou Khalil, J.Y.; La Scola, B. High-Content Screening, a Reliable System for Coxiella burnetii Isolation from Clinical Samples. J. Clin. Microbiol. 2020, 58, e02081-9. [Google Scholar] [CrossRef] [PubMed]
- Rolain, J.M.; Lepidi, H.; Harle, J.R.; Allegre, T.; Dorval, E.D.; Khayat, Z.; Raoult, D. Acute acalculous cholecystitis associated with Q fever: Report of seven cases and review of the literature. Eur. J. Clin. Microbiol. Infect. Dis. 2003, 22, 222–227. [Google Scholar] [CrossRef] [PubMed]
- Deyell, M.W.; Chiu, B.; Ross, D.B.; Alvarez, N. Q fever endocarditis: A case report and review of the literature. Can. J. Cardiol. 2006, 22, 781–785. [Google Scholar] [CrossRef]
- Million, M.; Thuny, F.; Richet, H.; Raoult, D. Long-term outcome of Q fever endocarditis: A 26-year personal survey. Lancet Infect. Dis. 2010, 10, 527–535. [Google Scholar] [CrossRef]
- Eldin, C.; Mélenotte, C.; Mediannikov, O.; Ghigo, E.; Million, M.; Edouard, S.; Mege, J.L.; Maurin, M.; Raoult, D. From Q Fever to Coxiella burnetii Infection: A Paradigm Change. Clin. Microbiol. Rev. 2017, 30, 115–190. [Google Scholar] [CrossRef] [PubMed]
- Kampschreur, L.M.; Wegdam-Blans, M.C.; Wever, P.C.; Renders, N.H.; Delsing, C.E.; Sprong, T.; van Kasteren, M.E.; Bijlmer, H.; Notermans, D.; Oosterheert, J.J.; et al. Chronic Q fever diagnosis—Consensus guideline versus expert opinion. Emerg. Infect. Dis. 2015, 21, 1183–1188. [Google Scholar] [CrossRef]
- Fowler, V.G., Jr.; Durack, D.T.; Selton-Suty, C.; Athan, E.; Bayer, A.S.; Chamis, A.L.; Dahl, A.; DiBernardo, L.; Durante-Mangoni, E.; Duval, X.; et al. The 2023 Duke-International Society for Cardiovascular Infectious Diseases Criteria for Infective Endocarditis: Updating the Modified Duke Criteria. Clin. Infect. Dis. 2023, 77, 518–526. [Google Scholar] [CrossRef]
- Baddour, L.M.; Wilson, W.R.; Bayer, A.S.; Fowler, V.G., Jr.; Tleyjeh, I.M.; Rybak, M.J.; Barsic, B.; Lockhart, P.B.; Gewitz, M.H.; Levison, M.E.; et al. Infective Endocarditis in Adults: Diagnosis, Antimicrobial Therapy, and Management of Complications: A Scientific Statement for Healthcare Professionals From the American Heart Association. Circulation 2015, 132, 1435–1486. [Google Scholar] [CrossRef]
- The 2015 ESC Guidelines for the management of infective endocarditis. Eur. Heart J. 2015, 36, 3036–3037. [CrossRef]
- Rolain, J.M.; Gouriet, F.; Brouqui, P.; Larrey, D.; Janbon, F.; Vene, S.; Jarnestrom, V.; Raoult, D. Concomitant or consecutive infection with Coxiella burnetii and tickborne diseases. Clin. Infect. Dis. 2005, 40, 82–88. [Google Scholar] [CrossRef]
- Middlebrook, E.A.; Romero, A.T.; Bett, B.; Nthiwa, D.; Oyola, S.O.; Fair, J.M.; Bartlow, A.W. Identification and distribution of pathogens coinfecting with Brucella spp., Coxiella burnetii and Rift Valley fever virus in humans, livestock and wildlife. Zoonoses Public Health 2022, 69, 175–194. [Google Scholar] [CrossRef]
- Papakonstantinou, P.E.; Georgiadou, V.; Doumanis, G.; Bistola, V.; Papaparaskevas, J.; Filippatos, G.; Xydonas, S. Implantable Cardiac Defibrillator-Related Culture-Negative Infection: A Case of Coxiella burnetii Infection. J. Clin. Med. 2023, 12, 2817. [Google Scholar] [CrossRef] [PubMed]
- Battista, R.; Raddi, A.; Labonia, F.; Raffone, M.; Sommella, A.; Pedicelli, M.; Di Cecio, M.; Smeraglia, R. Subacute bacterial endocarditis (SBE) due to Streptococcus gordonii. Microbiol. Medica 2009, 24, 258–259. [Google Scholar] [CrossRef]
- Mosailova, N.; Truong, J.; Dietrich, T.; Ashurst, J. Streptococcus gordonii: A Rare Cause of Infective Endocarditis. Case Rep. Infect. Dis. 2019, 2019, 7127848. [Google Scholar] [CrossRef]
- Abranches, J.; Zeng, L.; Kajfasz, J.K.; Palmer, S.R.; Chakraborty, B.; Wen, Z.T.; Richards, V.P.; Brady, L.J.; Lemos, J.A. Biology of Oral Streptococci. Microbiol. Spectr. 2018, 6. [Google Scholar] [CrossRef]
- Iversen, K.H.; Rasmussen, L.H.; Al-Nakeeb, K.; Armenteros, J.J.A.; Jensen, C.S.; Dargis, R.; Lukjancenko, O.; Justesen, U.S.; Moser, C.; Rosenvinge, F.S.; et al. Similar genomic patterns of clinical infective endocarditis and oral isolates of Streptococcus sanguinis and Streptococcus gordonii. Sci. Rep. 2020, 10, 2728. [Google Scholar] [CrossRef] [PubMed]
- Siddiqui, B.K.; Tariq, M.; Jadoon, A.; Alam, M.; Murtaza, G.; Abid, B.; Sethi, M.J.; Atiq, M.; Abrar, S.; Smego, R.A., Jr. Impact of prior antibiotic use in culture-negative endocarditis: Review of 86 cases from southern Pakistan. Int. J. Infect. Dis. 2009, 13, 606–612. [Google Scholar] [CrossRef] [PubMed]
- Menu, E.; Gouriet, F.; Casalta, J.P.; Tissot-Dupont, H.; Vecten, M.; Saby, L.; Hubert, S.; Salaun, E.; Theron, A.; Grisoli, D.; et al. Evaluation of empirical treatment for blood culture-negative endocarditis. J. Antimicrob. Chemother. 2017, 72, 290–298. [Google Scholar] [CrossRef]
- Lamas, C.C.; Fournier, P.E.; Zappa, M.; Brandao, T.J.; Januario-da-Silva, C.A.; Correia, M.G.; Barbosa, G.I.; Golebiovski, W.F.; Weksler, C.; Lepidi, H.; et al. Diagnosis of blood culture-negative endocarditis and clinical comparison between blood culture-negative and blood culture-positive cases. Infection 2016, 44, 459–466. [Google Scholar] [CrossRef]
- Melenotte, C.; Protopopescu, C.; Million, M.; Edouard, S.; Carrieri, M.P.; Eldin, C.; Angelakis, E.; Djossou, F.; Bardin, N.; Fournier, P.E.; et al. Clinical Features and Complications of Coxiella burnetii Infections From the French National Reference Center for Q Fever. JAMA Netw. Open 2018, 1, e181580. [Google Scholar] [CrossRef]
- Raoult, D. Chronic Q fever: Expert opinion versus literature analysis and consensus. J. Infect. 2012, 65, 102–108. [Google Scholar] [CrossRef]
- Million, M.; Thuny, F.; Bardin, N.; Angelakis, E.; Edouard, S.; Bessis, S.; Guimard, T.; Weitten, T.; Martin-Barbaz, F.; Texereau, M.; et al. Antiphospholipid Antibody Syndrome With Valvular Vegetations in Acute Q Fever. Clin. Infect. Dis. 2016, 62, 537–544. [Google Scholar] [CrossRef]
- Ritwick, B.; Chaudhuri, K.; Crouch, G.; Edwards, J.R.; Worthington, M.; Stuklis, R.G. Minimally invasive mitral valve procedures: The current state. Minim. Invasive Surg. 2013, 2013, 679276. [Google Scholar] [CrossRef]
- Cohn, L.H.; Adams, D.H.; Couper, G.S.; Bichell, D.P.; Rosborough, D.M.; Sears, S.P.; Aranki, S.F. Minimally invasive cardiac valve surgery improves patient satisfaction while reducing costs of cardiac valve replacement and repair. Ann. Surg. 1997, 226, 421–426, discussion 427–428. [Google Scholar] [CrossRef]
- Shih, E.; Squiers, J.J.; DiMaio, J.M. Systematic Review of Minimally Invasive Surgery for Mitral Valve Infective Endocarditis. Innovations 2021, 16, 244–248. [Google Scholar] [CrossRef]
- Pettersson, G.B.; Griffin, B.; Gordon, S.M.; Blackstone, E.H. Infective endocarditis: Refer for expert team care as soon as possible. Cleve. Clin. J. Med. 2018, 85, 365–366. [Google Scholar]





| Results | Unit | Evaluation | Reference Value | |
|---|---|---|---|---|
| Enzyme immunoassay (EIA) method | ||||
| Phase I-Ag IgG | 2.2 | Ratio | Elevated | <0.8 |
| Phase II-Ag IgG | 1.5 | Ratio | Elevated | <0.8 |
| Phase II-Ag IgM | 1.0 | Index | Borderline | <0.9 |
| Immunofluorescence test (IIFT) method | ||||
| Phase I-Ag IgG | 1:40,960 | Titer | Highly elevated | <1:20 |
| Phase I-Ag IgM | 1:40,960 | Titer | Highly elevated | <1:10 |
| Phase II-Ag IgG | 1:10,240 | Titer | Highly elevated | <1:80 |
| Phase II-Ag IgM | 1:320 | Titer | Highly elevated | <1:10 |
| The serological findings indicate a chronic Coxiella burnetii infection. |
Disclaimer/Publisher’s Note: The statements, opinions and data contained in all publications are solely those of the individual author(s) and contributor(s) and not of MDPI and/or the editor(s). MDPI and/or the editor(s) disclaim responsibility for any injury to people or property resulting from any ideas, methods, instructions or products referred to in the content. |
© 2023 by the authors. Licensee MDPI, Basel, Switzerland. This article is an open access article distributed under the terms and conditions of the Creative Commons Attribution (CC BY) license (https://creativecommons.org/licenses/by/4.0/).
Share and Cite
Kaemmerer, A.-S.; Ciotola, F.; Geißdörfer, W.; Harig, F.; Mattner, J.; Seitz, T.; Suleiman, M.N.; Weyand, M.; Heim, C. A Dual-Pathogen Mitral Valve Endocarditis Caused by Coxiella burnetii and Streptococcus gordonii—Which Came First? Pathogens 2023, 12, 1130. https://doi.org/10.3390/pathogens12091130
Kaemmerer A-S, Ciotola F, Geißdörfer W, Harig F, Mattner J, Seitz T, Suleiman MN, Weyand M, Heim C. A Dual-Pathogen Mitral Valve Endocarditis Caused by Coxiella burnetii and Streptococcus gordonii—Which Came First? Pathogens. 2023; 12(9):1130. https://doi.org/10.3390/pathogens12091130
Chicago/Turabian StyleKaemmerer, Ann-Sophie, Francesco Ciotola, Walter Geißdörfer, Frank Harig, Jochen Mattner, Timo Seitz, Mathieu N. Suleiman, Michael Weyand, and Christian Heim. 2023. "A Dual-Pathogen Mitral Valve Endocarditis Caused by Coxiella burnetii and Streptococcus gordonii—Which Came First?" Pathogens 12, no. 9: 1130. https://doi.org/10.3390/pathogens12091130
APA StyleKaemmerer, A.-S., Ciotola, F., Geißdörfer, W., Harig, F., Mattner, J., Seitz, T., Suleiman, M. N., Weyand, M., & Heim, C. (2023). A Dual-Pathogen Mitral Valve Endocarditis Caused by Coxiella burnetii and Streptococcus gordonii—Which Came First? Pathogens, 12(9), 1130. https://doi.org/10.3390/pathogens12091130

